JavaScript is disabled in your browser. Please enable JavaScript to view this website.
AB262946

Anti-LH1抗体

Anti-LH1 antibody

Be the first to review this product! Submit a review

|

(0 Publication)

Rabbit Polyclonal LH1 antibody. Suitable for WB and reacts with Human samples. Immunogen corresponding to Recombinant Fragment Protein within Human PLOD1 aa 450-550.

查看别名

LLH, PLOD, PLOD1, Lysyl hydroxylase 1, LH1

2 Images
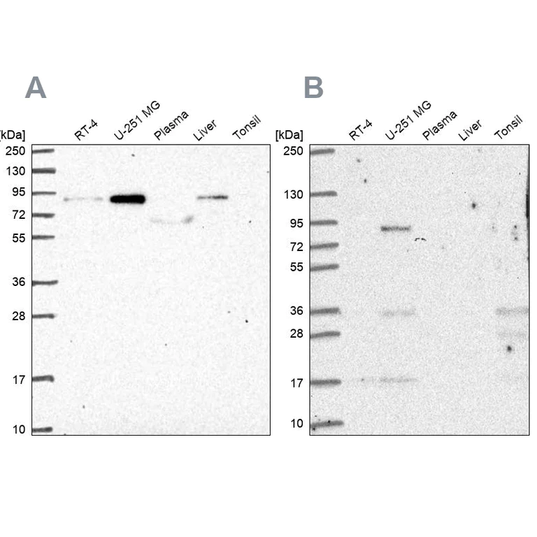
Western blot - Anti-LH1 antibody (AB262946)
  • WB

Unknown

Western blot - Anti-LH1 antibody (AB262946)

Western blot staining using ab262946 shows simillar staining to an independent antibody (B)

All lanes:

Western blot - Anti-LH1 antibody (ab262946) at 0.4 µg/mL

Lane 1:

RT4 cell lysate

Lane 2:

U-251 MG (formally U-373 MG) (human brain glioma cell line) whole cell lysate

Lane 3:

Human Plasma

Lane 4:

Human liver tissue lysate

Lane 5:

Human tonsil tissue lysate

Predicted band size: 84 kDa

false

Western blot - Anti-LH1 antibody (AB262946)
  • WB

Unknown

Western blot - Anti-LH1 antibody (AB262946)

All lanes:

Western blot - Anti-LH1 antibody (ab262946) at 0.4 µg/mL

All lanes:

U-251 MG (formally U-373 MG) (human brain glioma cell line) whole cell lysate

Predicted band size: 84 kDa

false

关键信息

宿主种属

Rabbit

克隆

Polyclonal

亚型

IgG

不含载体蛋白

No

反应种属

Human

应用

WB

applications

免疫原

Recombinant Fragment Protein within Human PLOD1 aa 450-550. The exact immunogen used to generate this antibody is proprietary information.

Q02809

反应性数据

{ "title": "Reactivity Data", "filters": { "stats": ["", "Species", "Dilution Info", "Notes"], "tabs": { "all-applications": {"fullname" : "All Applications", "shortname": "All Applications"}, "WB" : {"fullname" : "Western blot", "shortname":"WB"} }, "product-promise": { "all": "all", "testedAndGuaranteed": "tested", "guaranteed": "expected", "predicted": "predicted", "notRecommended": "not-recommended" } }, "values": { "Human": { "WB-species-checked": "testedAndGuaranteed", "WB-species-dilution-info": "0.4 µg/mL", "WB-species-notes": "<p></p>" } } }

性能和储存信息

形式
Liquid
纯化工艺
Affinity purification Immunogen
存储溶液
pH: 7.2 Preservative: 0.02% Sodium azide Constituents: PBS, 40% Glycerol (glycerin, glycerine)
运输条件
Blue Ice
推荐的短期储存时间
1-2 weeks
推荐的短期储存条件
+4°C
推荐的长期储存条件
-20°C
分装信息
Upon delivery aliquot
储存信息
Avoid freeze / thaw cycle

补充信息

This supplementary information is collated from multiple sources and compiled automatically.

LH1 also known as Luteinizing Hormone subunit beta plays an important mechanical role in reproductive biology. The molecular mass of LH1 is approximately 15 kDa. It is chiefly expressed in the anterior pituitary gland. This expression is essential for mediating reproductive processes by interacting with other hormones and receptors located in various tissues including the gonads. The activity of LH1 involves binding and signaling through specific hormone receptors therefore instigating a cascade of biological responses.
Biological function summary

LH1 engages in regulatory functions within the reproductive system facilitating ovulation and stimulating the production of sex steroids such as testosterone and estradiol. LH1 operates as part of a dimeric glycoprotein hormone complex which includes the alpha and beta subunits that also construct other glycoprotein hormones like TSH and FSH. This complex plays a fundamental role in orchestrating the hormonal milieu necessary for reproductive organ function and development.

Pathways

LH1 operates within the hypothalamic-pituitary-gonadal (HPG) axis. This pathway involves a series of hormonal signals starting from GnRH release from the hypothalamus prompting the synthesis and release of LH1 from the pituitary. Within this axis LH1 works in conjunction with related proteins like FSH to regulate reproductive functions. These pathways ensure proper feedback regulation of hormone levels important for maintaining reproductive health and function.

LH1 abnormalities have associations with reproductive conditions such as polycystic ovary syndrome (PCOS) and hypogonadism. In PCOS an imbalance in LH1 and FSH levels can disrupt normal ovarian function leading to symptoms like irregular menstruation and infertility. In hypogonadism LH1 levels may be insufficient to stimulate normal gonadal activity. Prolactin another hormone interacting in these disorders can also influence the functioning of LH1 adding complexity to the underlying pathophysiology.

产品实验方案

For this product, it's our understanding that no specific protocols are required. You can visit:

靶点信息

Part of a complex composed of PLOD1, P3H3 and P3H4 that catalyzes hydroxylation of lysine residues in collagen alpha chains and is required for normal assembly and cross-linkling of collagen fibrils (By similarity). Forms hydroxylysine residues in -Xaa-Lys-Gly- sequences in collagens (PubMed : 10686424, PubMed : 15854030, PubMed : 8621606). These hydroxylysines serve as sites of attachment for carbohydrate units and are essential for the stability of the intermolecular collagen cross-links (Probable).
See full target information PLOD1

Abcam Product Promise

我们致力于为您的研究提供高质量的试剂,为您科研的每一步提供支持。若我们的产品未能达到预期性能,我们向您提供 Abcam Product Promise 保障。
详情请参阅我们的条款与条件。

Please note: All products are 'FOR RESEARCH USE ONLY. NOT FOR USE IN DIAGNOSTIC OR THERAPEUTIC PROCEDURES'.

For licensing inquiries, please contact partnerships@abcam.com