JavaScript is disabled in your browser. Please enable JavaScript to view this website.
AB314008

重组Anti-LDL Receptor抗体[2B10]

Anti-LDL Receptor antibody [2B10]

Be the first to review this product! Submit a review

|

(0 Publication)

Rabbit Monoclonal LDL Receptor antibody. Suitable for IHC-P, ICC/IF, Flow Cyt and reacts with Human samples. Immunogen corresponding to Synthetic Peptide within Human Low-density lipoprotein receptor.

查看别名

Low-density lipoprotein receptor, LDL receptor, LDLR

4 Images
Immunocytochemistry/ Immunofluorescence - Anti-LDL Receptor antibody [2B10] (AB314008)
  • ICC/IF

Supplier Data

Immunocytochemistry/ Immunofluorescence - Anti-LDL Receptor antibody [2B10] (AB314008)

Immunofluorescence staining of HeLa (Human epithelial cell line from cervix adenocarcinoma) cells with ab314008 at 1 : 50, counter-stained with DAPI. The cells were fixed in 4% formaldehyde, permeated by 0.2% TritonX-100, and blocked in 10% normal Goat Serum. The cells were then incubated with the antibody overnight at 4°C. Nuclear DNA was labeled in blue with DAPI. The secondary antibody was FITC-conjugated Goat Anti-Rabbit IgG (H+L).

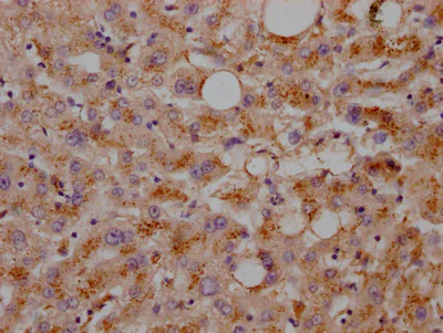
Immunohistochemistry (Formalin/PFA-fixed paraffin-embedded sections) - Anti-LDL Receptor antibody [2B10] (AB314008)
  • IHC-P

Supplier Data

Immunohistochemistry (Formalin/PFA-fixed paraffin-embedded sections) - Anti-LDL Receptor antibody [2B10] (AB314008)

Immunohistochemical analysis of ab314008 diluted at 1 : 100 and staining in paraffin-embedded human liver tissue performed on a Leica BondTM system. After dewaxing and hydration, antigen retrieval was mediated by high pressure in a citrate buffer (pH 6.0). Section was blocked with 10% normal goat serum 30min at RT. Then primary antibody (1% BSA) was incubated at 4°C overnight. The primary is detected by a Goat anti-rabbit IgG polymer labeled by HRP and visualized using 0.05% DAB.

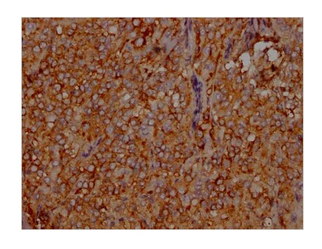
Immunohistochemistry (Formalin/PFA-fixed paraffin-embedded sections) - Anti-LDL Receptor antibody [2B10] (AB314008)
  • IHC-P

Supplier Data

Immunohistochemistry (Formalin/PFA-fixed paraffin-embedded sections) - Anti-LDL Receptor antibody [2B10] (AB314008)

Immunohistochemical analysis of ab314008 diluted at 1 : 100 and staining in paraffin-embedded human adrenal gland tissue performed on a Leica Bond™ system. After dewaxing and hydration, antigen retrieval was mediated by high pressure in a citrate buffer (pH 6.0). Section was blocked with 10% normal goat serum 30min at RT. Then primary antibody (1% BSA) was incubated at 4°C overnight. The primary is detected by a Goat anti-rabbit IgG polymer labeled by HRP and visualized using 0.05% DAB.

Flow Cytometry - Anti-LDL Receptor antibody [2B10] (AB314008)
  • Flow Cyt

Supplier Data

Flow Cytometry - Anti-LDL Receptor antibody [2B10] (AB314008)

Overlay histogram showing HeLa (Human epithelial cell line from cervix adenocarcinoma) cells stained with ab314008 (pink line) at 1 : 50. The cells were incubated in 10% normal goat serum to block non-specific protein-protein interactions followed by the antibody (1μg/1 x 10E6 cells) for 1 h at 4°C.The secondary antibody used was FITC-conjugated goat anti-rabbit IgG (H+L) at 1/200 dilution for 30min at 4°C. Control antibody (green line) was Rabbit IgG (1μg/1 x 10E6 cells) used under the same conditions. Acquisition of >10,000 events was performed.

关键信息

宿主种属

Rabbit

克隆

Monoclonal

克隆号

2B10

亚型

IgG

不含载体蛋白

No

反应种属

Human

应用

Flow Cyt, ICC/IF, IHC-P

applications

免疫原

Synthetic Peptide within Human Low-density lipoprotein receptor.

P01130

反应性数据

{ "title": "Reactivity Data", "filters": { "stats": ["", "Species", "Dilution Info", "Notes"], "tabs": { "all-applications": {"fullname" : "All Applications", "shortname": "All Applications"}, "IHCP" : {"fullname" : "Immunohistochemistry (Formalin/PFA-fixed paraffin-embedded sections)", "shortname":"IHC-P"}, "ICCIF" : {"fullname" : "Immunocytochemistry/ Immunofluorescence", "shortname":"ICC/IF"}, "FlowCyt" : {"fullname" : "Flow Cytometry", "shortname":"Flow Cyt"} }, "product-promise": { "all": "all", "testedAndGuaranteed": "tested", "guaranteed": "expected", "predicted": "predicted", "notRecommended": "not-recommended" } }, "values": { "Human": { "IHCP-species-checked": "testedAndGuaranteed", "IHCP-species-dilution-info": "1/50 - 1/200", "IHCP-species-notes": "<p></p>", "ICCIF-species-checked": "testedAndGuaranteed", "ICCIF-species-dilution-info": "1/20 - 1/200", "ICCIF-species-notes": "<p></p>", "FlowCyt-species-checked": "testedAndGuaranteed", "FlowCyt-species-dilution-info": "1/20 - 1/200", "FlowCyt-species-notes": "<p></p>" } } }

产品详情

What are the advantages of a recombinant monoclonal antibody?
This product is a recombinant monoclonal antibody, which offers several advantages including:

  • - High batch-to-batch consistency and reproducibility
  • - Improved sensitivity and specificity
  • - Long-term security of supply
  • - Animal-free batch production

For more information, read more on recombinant antibodies.

性能和储存信息

形式
Liquid
纯化工艺
Affinity purification
存储溶液
pH: 7.4 Preservative: 0.02% Sodium azide Constituents: PBS, 50% Glycerol (glycerin, glycerine), 0.88% Sodium chloride
运输条件
Blue Ice
推荐的短期储存时间
1-2 weeks
推荐的短期储存条件
+4°C
推荐的长期储存条件
-20°C
分装信息
Upon delivery aliquot
储存信息
Avoid freeze / thaw cycle

补充信息

This supplementary information is collated from multiple sources and compiled automatically.

The LDL Receptor also called LDLR is a protein that plays an important role in the uptake and clearance of low-density lipoproteins (LDL) from the bloodstream. LDLR binds LDL particles facilitating their internalization through receptor-mediated endocytosis. This receptor is expressed mainly in the liver adrenal glands and other tissues involved in cholesterol metabolism. It has an approximate molecular weight of 160 kDa. Researchers often study LDLR using techniques like Western blotting to understand its presence and function.
Biological function summary

The LDL receptor interacts with LDL particles to regulate cholesterol levels in the body. It is part of a cell surface complex that recognizes and binds to apolipoprotein B-100 or apolipoprotein E present on LDL. This interaction initiates internalization of LDL leading to its degradation in lysosomes where cholesterol can be released and used by the cell. Mutations in the gene encoding LDLR can lead to inefficient cholesterol uptake influencing various metabolic processes.

Pathways

LDL receptor activities are integral to lipid metabolism and cholesterol homeostasis. Two important biological pathways that involve LDLR include the cholesterol biosynthesis pathway and the lipoprotein clearance pathway. Within these pathways LDLR collaborates closely with proteins like PCSK9 which modulates its expression and degradation and HMG-CoA reductase an important enzyme in cholesterol synthesis to balance cholesterol levels in the body.

Defects in the LDL receptor are strongly associated with familial hypercholesterolemia and atherosclerosis. These conditions arise from impaired clearance of LDL leading to elevated cholesterol levels which pose risks for cardiovascular diseases. LDLR dysfunctions are linked with the Protein PCSK9 whose gain-of-function mutations can exacerbate hypercholesterolemia by promoting degradation of LDLR while statins aim to increase LDLR expression to lower LDL cholesterol levels.

产品实验方案

For this product, it's our understanding that no specific protocols are required. You can visit:

靶点信息

Binds low density lipoprotein /LDL, the major cholesterol-carrying lipoprotein of plasma, and transports it into cells by endocytosis. In order to be internalized, the receptor-ligand complexes must first cluster into clathrin-coated pits. Forms a ternary complex with PGRMC1 and TMEM97 receptors which increases LDLR-mediated LDL internalization (PubMed : 30443021).. (Microbial infection) Acts as a receptor for hepatitis C virus in hepatocytes, but not through a direct interaction with viral proteins.. (Microbial infection) Acts as a receptor for Vesicular stomatitis virus.. (Microbial infection) In case of HIV-1 infection, may function as a receptor for extracellular Tat in neurons, mediating its internalization in uninfected cells.. (Microbial infection) Acts as a receptor for Crimean-Congo hemorrhagic fever virus (CCHFV).. (Microbial infection) Acts as a receptor for many Alphavirus, including Getah virus (GETV), Ross river virus (RRV) and Semliki Forest virus.
See full target information Low-density lipoprotein receptor

Abcam Product Promise

我们致力于为您的研究提供高质量的试剂,为您科研的每一步提供支持。若我们的产品未能达到预期性能,我们向您提供 Abcam Product Promise 保障。
详情请参阅我们的条款与条件。

Please note: All products are 'FOR RESEARCH USE ONLY. NOT FOR USE IN DIAGNOSTIC OR THERAPEUTIC PROCEDURES'.

For licensing inquiries, please contact partnerships@abcam.com