JavaScript is disabled in your browser. Please enable JavaScript to view this website.
AB192890

Anti-LC3B 抗体 [EPR18709] - Autophagosome Marker

Anti-LC3B antibody [EPR18709] - Autophagosome Marker

  • BOND RX™ Validated
  • RabMAb
  • Recombinant
  • KO Validated
  • Lab Essentials
  • 20ul selling size
  • 了解详情

5

(19 Reviews)

|

(886 Publications)

Anti-LC3B antibody [EPR18709] - Autophagosome Marker (ab192890) is a rabbit monoclonal antibody detecting LC3B in Western Blot, IHC-P, ICC/IF. Suitable for Human, Mouse, Rat.

- KO validated for confirmed specificity
- Biophysical QC for unrivalled batch-batch consistency
- Over 460 publications

查看别名

MAP1ALC3, MAP1LC3B, Microtubule-associated proteins 1A/1B light chain 3B, Autophagy-related protein LC3 B, Autophagy-related ubiquitin-like modifier LC3 B, MAP1 light chain 3-like protein 2, MAP1A/MAP1B light chain 3 B, Microtubule-associated protein 1 light chain 3 beta, MAP1A/MAP1B LC3 B

12 Images
Western blot - Anti-LC3B antibody [EPR18709] - Autophagosome Marker (AB192890)
  • WB

Lab

Western blot - Anti-LC3B antibody [EPR18709] - Autophagosome Marker (AB192890)

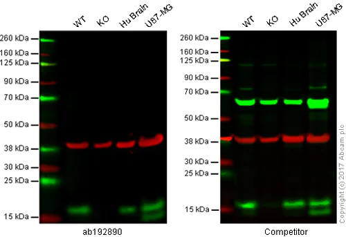
Lane 1 : Wild-type HAP1 cell lysate (20 μg)
Lane 2 : LC3B knockout HAP1 cell lysate (20 μg)
Lane 3 : Human brain tissue lysate (20 μg)
Lane 4 : U-87 MG cell lysate (20 μg)
Lanes 1 - 4 : Merged signal (red and green).

Green -target observed at 14 and 16 kDa. Red - loading control, ab8245, observed at 37 kDa.

This western blot image is a comparison between ab192890 and a competitor's top cited rabbit polyclonal antibody.

All lanes:

Western blot - Anti-LC3B antibody [EPR18709] - Autophagosome Marker (ab192890)

Predicted band size: 15 kDa

false

Immunohistochemistry (Formalin/PFA-fixed paraffin-embedded sections) - Anti-LC3B antibody [EPR18709] - Autophagosome Marker (AB192890)
  • IHC-P

Lab

Immunohistochemistry (Formalin/PFA-fixed paraffin-embedded sections) - Anti-LC3B antibody [EPR18709] - Autophagosome Marker (AB192890)

ab192890 staining LC3B in paraffin embedded human astrocytoma tissue by Immunohistochemistry. Heat mediated antigen retrieval was performed with Citrate buffer (pH 6.0, Epitope Retrieval Solution 1) for 20 mins.  Samples were incubated with primary antibody at 1/1000 dilution for 30 mins at room temperature. Ready to use LeicaDS9800 (Bond™ Polymer Refine Detection) was used as the secondary antibody. Hematoxylin was used as a counterstain. The immunostaining was performed on a Leica Biosystems BOND® RX instrument.

Immunohistochemistry (Formalin/PFA-fixed paraffin-embedded sections) - Anti-LC3B antibody [EPR18709] - Autophagosome Marker (AB192890)
  • IHC-P

Lab

Immunohistochemistry (Formalin/PFA-fixed paraffin-embedded sections) - Anti-LC3B antibody [EPR18709] - Autophagosome Marker (AB192890)

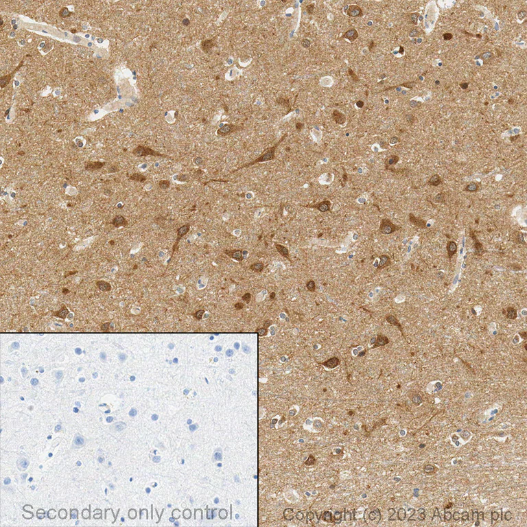
IHC image of LC3B staining in a section of formalin-fixed paraffin-embedded normal human cerebral cortex* performed on a Leica BONDTM system using the standard protocol F. The section was pre-treated using heat mediated antigen retrieval with sodium citrate buffer (pH6, epitope retrieval solution 1) for 20mins. The section was then incubated with ab221794, 0.1ug/ml, for 15 mins at room temperature and detected using an HRP conjugated compact polymer system. DAB was used as the chromogen. The section was then counterstained with haematoxylin and mounted with DPX. The inset secondary-only control image is taken from an identical assay without primary antibody.

For other IHC staining systems (automated and non-automated) customers should optimize variable parameters such as antigen retrieval conditions, primary antibody concentration and antibody incubation times.

This data was developed using the same antibody clone in a different buffer formulation containing only PBS (ab221794).

Immunocytochemistry/ Immunofluorescence - Anti-LC3B antibody [EPR18709] - Autophagosome Marker (AB192890)
  • ICC/IF

Lab

Immunocytochemistry/ Immunofluorescence - Anti-LC3B antibody [EPR18709] - Autophagosome Marker (AB192890)

ab192890 staining LC3B in HAP1 cells (wildtype and MAP1LC3B knockout) +/- Chloroquine (50μM 24 hours).

The cells were fixed with 100% methanol (5 min) permeabilized with 0.1% Triton X-100 for 5 minutes and then blocked with 1% BSA/10% normal goat serum/0.3M glycine in 0.1% PBS-Tween for 1h. The cells were then incubated overnight at +4°C with ab192890 at 1 μg/ml and ab195889 Mouse monoclonal to alpha Tubulin (Alexa Fluor® 594) at 1/250 dilution (shown in pseudocolor red) followed by a further incubation at room temperature for 1h with a goat secondary antibody to Rabbit IgG (Alexa Fluor® 488) (ab150081) at 2 μg/ml (shown in green). Nuclear DNA was labeled with DAPI (shown in blue).

Image was taken with a confocal microscope (Leica-Microsystems TCS SP8).

Immunocytochemistry/ Immunofluorescence - Anti-LC3B antibody [EPR18709] - Autophagosome Marker (AB192890)
  • ICC/IF

Lab

Immunocytochemistry/ Immunofluorescence - Anti-LC3B antibody [EPR18709] - Autophagosome Marker (AB192890)

ab192890 staining LC3B in HeLa (Human epithelial cell line from cervix adenocarcinoma) cells +/- Chloroquine (50μM 24 hours).

The cells were fixed with 100% methanol (5 min) permeabilized with 0.1% Triton X-100 for 5 minutes and then blocked with 1% BSA/10% normal goat serum/0.3M glycine in 0.1% PBS-Tween for 1h. The cells were then incubated overnight at +4°C with ab192890 at 1μg/ml and ab195889 Mouse monoclonal to alpha Tubulin (Alexa Fluor® 594) at 1/250 dilution (shown in pseudocolor red) followed by a further incubation at room temperature for 1h with a goat secondary antibody to Rabbit IgG (Alexa Fluor® 488) (ab150081) at 2 μg/ml (shown in green). Nuclear DNA was labeled with DAPI (shown in blue).

Image was taken with a confocal microscope (Leica-Microsystems TCS SP8).

Alexa Fluor® 488 (ab225383) and Alexa Fluor® 647 (ab225382) conjugated versions are available for this clone.

Immunohistochemistry (Formalin/PFA-fixed paraffin-embedded sections) - Anti-LC3B antibody [EPR18709] - Autophagosome Marker (AB192890)
  • IHC-P

Lab

Immunohistochemistry (Formalin/PFA-fixed paraffin-embedded sections) - Anti-LC3B antibody [EPR18709] - Autophagosome Marker (AB192890)

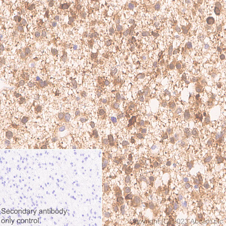
Immunohistochemical analysis of formalin fixed paraffin embedded human cortex labelling LC3B with ab192890 at a dilution of 0.1 µg/ml. The immunostaining was performed on a Ventana DISCOVERY ULTRA (Roche Tissue Diagnostics) instrument with an OptiView DAB IHC Detection Kit. Heat mediated antigen retrieval was conducted for 32min with ULTRA cell conditioning solution (CC1 pH8.5) . ab192890 anti LC3B antibody was incubated at 37°C for 16min. Sections were counterstained is with Hematoxylin II. Image inset shows absence of staining in secondary antibody only control

Immunoprecipitation - Anti-LC3B antibody [EPR18709] - Autophagosome Marker (AB192890)
  • IP

Supplier Data

Immunoprecipitation - Anti-LC3B antibody [EPR18709] - Autophagosome Marker (AB192890)

LC3B was immunoprecipitated from 1 mg of HeLa (Human epithelial cell line from cervix adenocarcinoma) whole cell lysate with ab192890 at 1/50 dilution. Western blot was performed from the immunoprecipitate using ab192890 at 1/1000 dilution. VeriBlot for IP Detection Reagent (HRP) (ab131366), was used for detection at 1/10,000 dilution.
Lane 1 : HeLa whole cell lysate 10 μg (Input).
Lane 2 : ab192890 IP in HeLa whole cell lysate.
Lane 3 : Rabbit IgG,monoclonal [EPR25A] Isotype Control (ab172730) instead of ab192890 in HeLa whole cell cell lysate.
Blocking/Dilution buffer : 5% NFDM/TBST.
Exposure time : 30 seconds.

All lanes:

Immunoprecipitation - Anti-LC3B antibody [EPR18709] - Autophagosome Marker (ab192890)

Predicted band size: 15 kDa

false

Exposure time: 30s

Western blot - Anti-LC3B antibody [EPR18709] - Autophagosome Marker (AB192890)
  • WB

Lab

Western blot - Anti-LC3B antibody [EPR18709] - Autophagosome Marker (AB192890)

False colour image of Western blot : Anti-LC3B antibody [EPR18709] - Autophagosome Marker staining at 1/2000 dilution, shown in green; Mouse anti-Alpha Tubulin [DM1A] (ab7291) loading control staining at 1/20000 dilution, shown in red. In Western blot, ab192890 was shown to bind specifically to LC3B. A band was observed at 16/14 kDa (yellow arrows) in treated wild-type HepG2 cell lysates with no signal observed at this size in MAP1LC3B knockout cell line ab277828 (knockout cell lysate ab283796). To generate this image, wild-type and MAP1LC3B knockout HepG2 cell lysates were analysed. First, samples were run on an SDS-PAGE gel then transferred onto a nitrocellulose membrane. Membranes were blocked in 3 % milk in TBS-0.1 % Tween® 20 (TBS-T) before incubation with primary antibodies overnight at 4 °C. Blots were washed four times in TBS-T, incubated with secondary antibodies for 1 h at room temperature, washed again four times then imaged. Secondary antibodies used were Goat anti-Rabbit IgG H&L 800CW and Goat anti-Mouse IgG H&L 680RD at 1/20000 dilution.

All lanes:

Western blot - Anti-LC3B antibody [EPR18709] - Autophagosome Marker (ab192890) at 1/1000 dilution

Lane 1:

Wild-type HepG2 untreated control cell lysate at 20 µg

Lane 2:

Wild-type HepG2 Treated Chloroquine (50 uM, 16 h) cell lysate at 20 µg

Lane 2:

Western blot - Human MAP1LC3B knockout Hep G2 cell line (ab277828)

Lane 2:

Western blot - Human MAP1LC3B knockout Hep G2 cell lysate (ab283796)

Lane 3:

MAP1LC3B knockout HepG2 untreated control cell lysate at 20 µg

Lane 4:

MAP1LC3B knockout HepG2 Treated Chloroquine (50 uM, 16 h) cell lysate at 20 µg

Lane 5:

U-87 MG cell lysate at 20 µg

Lane 6:

PC-12 cell lysate at 20 µg

Predicted band size: 15 kDa

Observed band size: 14 kDa,16 kDa

false

Western blot - Anti-LC3B antibody [EPR18709] - Autophagosome Marker (AB192890)
  • WB

Lab

Western blot - Anti-LC3B antibody [EPR18709] - Autophagosome Marker (AB192890)

Different batches of ab192890 were tested onU-87 MG (Human glioblastoma-astrocytoma epithelial cell line) lysate at 0.9 µg/ml. 15 µg of lysate was loaded in each lane. Bands observed at 14,16 kDa.

All lanes:

Western blot - Anti-LC3B antibody [EPR18709] - Autophagosome Marker (ab192890)

Predicted band size: 15 kDa

false

Western blot - Anti-LC3B antibody [EPR18709] - Autophagosome Marker (AB192890)
  • WB

Lab

Western blot - Anti-LC3B antibody [EPR18709] - Autophagosome Marker (AB192890)

Lane 1 : Wild-type HAP1 cell lysate (20 μg)
Lane 2 : LC3B knockout HAP1 cell lysate (20 μg)
Lane 3 : Human brain tissue lysate (20 μg)
Lane 4 : U-87 MG cell lysate (20 μg)
Lanes 1 - 4 : Merged signal (red and green). Green - ab192890 observed at 14 and 16 kDa. Red - loading control, ab8245, observed at 37 kDa.

ab192890 was shown to specifically react with LC3B in wild-type HAP1 cells. No band was observed when LC3B knockout samples were examined. Wild-type and LC3B knockout samples were subjected to SDS-PAGE. ab192890 and ab8245 (loading control to GAPDH) were diluted 1/2000 and 1/10,000 respectively and incubated overnight at 4°C. Blots were developed with Goat anti-Rabbit IgG H&L (IRDye® 800CW) preadsorbed (ab216773) and Goat anti-Mouse IgG H&L (IRDye® 680RD) preadsorbed (ab216776) secondary antibodies at 1/10,000 dilution for 1 hour at room temperature before imaging.

All lanes:

Western blot - Anti-LC3B antibody [EPR18709] - Autophagosome Marker (ab192890)

Predicted band size: 15 kDa

false

Western blot - Anti-LC3B antibody [EPR18709] - Autophagosome Marker (AB192890)
  • WB

Supplier Data

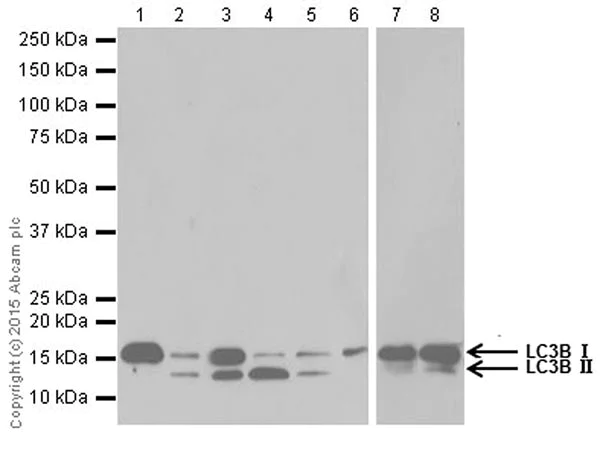
Western blot - Anti-LC3B antibody [EPR18709] - Autophagosome Marker (AB192890)

Blocking/Dilution buffer : 5% NFDM/TBST.

Exposure times : Lane 1-6 : 3 minutes; Lane 7 and 8 : 30 seconds.

All lanes:

Western blot - Anti-LC3B antibody [EPR18709] - Autophagosome Marker (ab192890) at 1/2000 dilution

Lane 1:

Human brain lysate at 20 µg

Lane 2:

U-87 MG (Human glioblastoma-astrocytoma epithelial cell line) whole cell lysate at 20 µg

Lane 3:

C6 (Rat glial tumor cell line) whole cell lysate at 20 µg

Lane 4:

RAW 264.7 (Mouse macrophage cell line transformed with Abelson murine leukemia virus) whole cell lysate at 20 µg

Lane 5:

Mouse heart lysate at 20 µg

Lane 6:

Rat heart lysate at 20 µg

Lane 7:

Mouse brain lysate at 20 µg

Lane 8:

Rat brain lysate at 20 µg

Secondary

All lanes:

Goat Anti-Rabbit IgG Peroxidase Conjugate, specific to the non-reduced form of IgG at 1/10000 dilution

Predicted band size: 15 kDa

Observed band size: 14 kDa,16 kDa

false

Immunohistochemistry (Formalin/PFA-fixed paraffin-embedded sections) - Anti-LC3B antibody [EPR18709] - Autophagosome Marker (AB192890)
  • IHC-P

Lab

Immunohistochemistry (Formalin/PFA-fixed paraffin-embedded sections) - Anti-LC3B antibody [EPR18709] - Autophagosome Marker (AB192890)

Tissue Microarrays stained for Anti-LC3B antibody [EPR18709] - Autophagosome Marker using ab192890 in immunohistochemical analysis. This table provides a detailed overview of positive (tick mark) and negaive (cross mark) staining per sample type tested. Heat mediated antigen retrieval was performed with Citrate buffer (pH 6.0, Epitope Retrieval Solution 1) for 20 mins. The section was incubated with ab192890 for 30 mins at room temperature. The immunostaining was performed on a Leica Biosystems BOND® RX instrument.

不同偶联物与剂型 (4)

  • 665 Alexa Fluor® 647

    Alexa Fluor® 647 Anti-LC3B antibody [EPR18709] - Autophagosome Marker

  • Carrier free

    Anti-LC3B antibody [EPR18709] - BSA and Azide free

  • 519 Alexa Fluor® 488

    Alexa Fluor® 488 Anti-LC3B antibody [EPR18709] - Autophagosome Marker

  • 565 Alexa Fluor® 555

    Alexa Fluor® 555 Anti-LC3B - Autophagosome Marker antibody [EPR18709]

关键信息

宿主种属

Rabbit

克隆

Monoclonal

克隆号

EPR18709

亚型

IgG

不含载体蛋白

No

反应种属

Mouse, Rat, Human

应用

WB, IHC-P, ICC/IF

applications

免疫原

The exact immunogen used to generate this antibody is proprietary information.

特异性

FURTHER INFORMATION ON SPECIFICITY (Chinese Version) available under the product protocols section. This file includes key technical notes of experience when using this product.

反应性数据

{ "title": "Reactivity Data", "filters": { "stats": ["", "Species", "Dilution Info", "Notes"], "tabs": { "all-applications": {"fullname" : "All Applications", "shortname": "All Applications"}, "IHCP" : {"fullname" : "Immunohistochemistry (Formalin/PFA-fixed paraffin-embedded sections)", "shortname":"IHC-P"}, "IP" : {"fullname" : "Immunoprecipitation", "shortname":"IP"}, "WB" : {"fullname" : "Western blot", "shortname":"WB"}, "ICCIF" : {"fullname" : "Immunocytochemistry/ Immunofluorescence", "shortname":"ICC/IF"} }, "product-promise": { "all": "all", "testedAndGuaranteed": "tested", "guaranteed": "expected", "predicted": "predicted", "notRecommended": "not-recommended" } }, "values": { "Human": { "IHCP-species-checked": "testedAndGuaranteed", "IHCP-species-dilution-info": "0.1-1 µg/mL", "IHCP-species-notes": "<p></p> Perform heat-mediated antigen retrieval with citrate buffer pH 6 before commencing with IHC staining protocol.", "IP-species-checked": "notRecommended", "IP-species-dilution-info": "1/50", "IP-species-notes": "<p></p>", "WB-species-checked": "testedAndGuaranteed", "WB-species-dilution-info": "1/2000", "WB-species-notes": "<p></p>", "ICCIF-species-checked": "testedAndGuaranteed", "ICCIF-species-dilution-info": "1 µg/mL", "ICCIF-species-notes": "<p></p>" }, "Mouse": { "IHCP-species-checked": "guaranteed", "IHCP-species-dilution-info": "", "IHCP-species-notes": "", "IP-species-checked": "notRecommended", "IP-species-dilution-info": "", "IP-species-notes": "", "WB-species-checked": "testedAndGuaranteed", "WB-species-dilution-info": "1/2000", "WB-species-notes": "<p></p>", "ICCIF-species-checked": "guaranteed", "ICCIF-species-dilution-info": "", "ICCIF-species-notes": "" }, "Rat": { "IHCP-species-checked": "guaranteed", "IHCP-species-dilution-info": "", "IHCP-species-notes": "", "IP-species-checked": "notRecommended", "IP-species-dilution-info": "", "IP-species-notes": "", "WB-species-checked": "testedAndGuaranteed", "WB-species-dilution-info": "1/2000", "WB-species-notes": "<p></p>", "ICCIF-species-checked": "guaranteed", "ICCIF-species-dilution-info": "", "ICCIF-species-notes": "" } } }

产品详情

Anti-LC3B antibody [EPR18709] - Autophagosome Marker (ab192890) was developed by Abcam using patented rabbit monoclonal antibody technology and is validated for use in ICC/IF, IHC-P and WB.

Anti-LC3B antibody [EPR18709] - Autophagosome Marker (ab192890) was first used in a scientific publication in 2017 and has been cited over 468 times in peer reviewed journals. It's performance in Western Blot in human, mouse and rat samples is trusted by the scientific community.

Abcam's high quality manufacturing and validation processes ensure Anti-LC3B antibody [EPR18709] - Autophagosome Marker (ab192890) has high sensitivity and specificity alongside high lot-to-lot consistency and reproducibility.

The specificity of Anti-LC3B antibody [EPR18709] - Autophagosome Marker (ab192890) has been confirmed by Western Blot testing in LC3B knockout HepG2 cells (ab277828).

Anti-LC3B antibody [EPR18709] - Autophagosome Marker (ab192890) has 17 independent reviews from customers.

Anti-LC3B antibody [EPR18709] - Autophagosome Marker (ab192890) specifically detects LC3B (UniProt ID: Q9GZQ8; Molecular weight: 15kDa) and is sold in a convenient trial size to enable initial testing (20 µL) and larger sizes for subsequent scaling up experiments (100 µL and 1 mL).

Conjugation-ready, carrier free format available for antibody clone EPR18709 - ab221794.

Antibody clone EPR18709 is also available pre-conjugated to a variety of labels for your convenience - Alexa Fluor® 488, Alexa Fluor® 647, Alexa Fluor® 555 (ab225382, ab225383, ab307768).

LC3B is a protein involved in autophagy, a process that helps maintain cellular homeostasis by degrading damaged components. In oncology, LC3B is used as a marker to assess autophagy levels in cancer cells, which can influence tumor progression and response to therapy.

Patented technology
Our RabMAb® technology is a patented hybridoma-based technology for making rabbit monoclonal antibodies. For details on our patents, please refer to RabMAb® patents.

What are the advantages of a recombinant monoclonal antibody?
This product is a recombinant monoclonal antibody, which offers several advantages including:

  • - High batch-to-batch consistency and reproducibility
  • - Improved sensitivity and specificity
  • - Long-term security of supply
  • - Animal-free batch production

For more information, read more on recombinant antibodies.

性能和储存信息

形式
Liquid
纯化工艺
Affinity purification Protein A
存储溶液
pH: 7.2 - 7.4 Preservative: 0.01% Sodium azide Constituents: PBS, 40% Glycerol (glycerin, glycerine), 0.05% BSA
运输条件
Blue Ice
推荐的短期储存时间
1-2 weeks
推荐的短期储存条件
+4°C
推荐的长期储存条件
-20°C
分装信息
Upon delivery aliquot
储存信息
Avoid freeze / thaw cycle

补充信息

This supplementary information is collated from multiple sources and compiled automatically.

LC3B also known as Microtubule-associated protein 1A/1B-light chain 3 is a core protein in autophagy processes. LC3B protein has a molecular weight of approximately 14 kDa. Researchers often utilize LC3B as a marker to study autophagic activity especially through LC3B immunofluorescence and LC3B Western blot analyses. This protein is predominantly found in the cytoplasm and is widely expressed in various tissues with higher expression in tissues undergoing high turnover or stress.
Biological function summary

LC3B contributes to the formation of autophagosomes playing an essential role in autophagy. During autophagosome formation LC3B conjugates with phosphatidylethanolamine which localizes it to autophagosome membranes. This lipidated form is important for the elongation and closure of autophagosomes. LC3B is also a component of the autophagy-related protein complex collaborating with other Atg proteins to ensure the proper degradation of cytoplasmic contents.

Pathways

LC3B plays an important role in the autophagy pathway important for cellular homeostasis and stress response. This pathway interfaces with the mTOR signaling pathway where LC3B helps regulate mTOR activity by controlling autophagosome dynamics. LC3B is associated with proteins like Beclin-1 and p62/SQSTM1 within these pathways coordinating the sequestration and degradation of proteins and organelles.

LC3B is implicated in cancer and neurodegenerative diseases. Altered LC3B levels and function are observed in cancers linking this protein to tumorigenesis through its role in autophagy. In neurodegenerative disorders like Parkinson's disease LC3B interacts with proteins such as alpha-synuclein influencing the accumulation of protein aggregates and neuronal health. The modulation of LC3B activity is of interest in therapeutic strategies targeting these diseases.

产品实验方案

For this product, it's our understanding that no specific protocols are required. You can visit:

靶点信息

Ubiquitin-like modifier involved in formation of autophagosomal vacuoles (autophagosomes) (PubMed : 20418806, PubMed : 23209295, PubMed : 28017329). Plays a role in mitophagy which contributes to regulate mitochondrial quantity and quality by eliminating the mitochondria to a basal level to fulfill cellular energy requirements and preventing excess ROS production (PubMed : 23209295, PubMed : 28017329). In response to cellular stress and upon mitochondria fission, binds C-18 ceramides and anchors autophagolysosomes to outer mitochondrial membranes to eliminate damaged mitochondria (PubMed : 22922758). While LC3s are involved in elongation of the phagophore membrane, the GABARAP/GATE-16 subfamily is essential for a later stage in autophagosome maturation (PubMed : 20418806, PubMed : 23209295, PubMed : 28017329). Promotes primary ciliogenesis by removing OFD1 from centriolar satellites via the autophagic pathway (PubMed : 24089205). Through its interaction with the reticulophagy receptor TEX264, participates in the remodeling of subdomains of the endoplasmic reticulum into autophagosomes upon nutrient stress, which then fuse with lysosomes for endoplasmic reticulum turnover (PubMed : 31006537, PubMed : 31006538). Upon nutrient stress, directly recruits cofactor JMY to the phagophore membrane surfaces and promotes JMY's actin nucleation activity and autophagosome biogenesis during autophagy (PubMed : 30420355).
See full target information MAP1LC3B

文献 (886)

Recent publications for all applications. Explore the full list and refine your search

Nature communications 16:9035 PubMed41073433

2025

Molecular bases of the interactions of ATG16L1 with FIP200 and ATG8 family proteins.

Applications

Unspecified application

Species

Unspecified reactive species

Xinyu Gong,Yuqian Zhou,Yingli Wang,Yubin Tang,Haobo Liu,Xindi Zhou,Yuchao Zhang,Hanbo Guo,Zhenpeng Guo,Lifeng Pan

Cell death & disease 16:710 PubMed41057318

2025

CTRP9 as a myokine mitigates sarcopenia via the LAMP-2A/NLRP3 pathway.

Applications

Unspecified application

Species

Unspecified reactive species

Linxi Li,Anju Zuo,Ruoyu Yin,Qiangqiang Liu,Chen Liu,Na Li,Dan Xu,Shaomeng Zhang,Jiarui Li,Shengyun Lei,Shiyan Ruan,Tingting Li,Yuan Guo

Journal of translational medicine 23:1054 PubMed41053757

2025

ATP5F1A deficiency causes developmental delay and motor dysfunction in humans and zebrafish.

Applications

Unspecified application

Species

Unspecified reactive species

Chunyan Xian,Qing Luo,Weiping Li,Lin Zou,Jinbo Liu

Cell death & disease 16:686 PubMed41052995

2025

Activating PIK3CA mutation promotes overgrowth of adipose tissue via inhibiting lipophagy in macrodactyly.

Applications

Unspecified application

Species

Unspecified reactive species

Yating Yin,Xiao Zhang,Shihui Lin,Zhibo Wang,Baoxing Tian,Xinyi Dai,Aiping Yu,Huixiao Li,Hailei Mao,Bin Wang

Research and reports in urology 17:383-399 PubMed41048480

2025

Influencing Factors and Risk Prediction Model Construction of Urinary Tract Infections in Patients with Bladder Cancer.

Applications

Unspecified application

Species

Unspecified reactive species

Yancheng Di,Lingling Zhang,Linlin Zhao,Lei Yin

Cell communication and signaling : CCS 23:414 PubMed41039555

2025

TRAP1 inhibits KANSL3 acetylation to alleviate mitochondrial dysfunction by promoting mitophagy in cardiomyocytes under diabetic conditions.

Applications

Unspecified application

Species

Unspecified reactive species

Xiaoyu Zhang,Shiyao Cheng,Wenxin Li,Xintian Xu,Xiaojing Huang,Zhichong Chen,Qinglang Li,Wanjing Huang,Lingxiao Zhang,Mao Ouyang

Scientific reports 15:34039 PubMed41028235

2025

Zinc alleviates vascular calcification by activating ERK1/2-mediated autophagy.

Applications

Unspecified application

Species

Unspecified reactive species

Guangying Guo,Juan Long,Tianhua Xu,Xingru Li,Dandan Sui,Xin Feng,Li Yao

Toxics 13: PubMed41012423

2025

Toxicological Impacts of Polypropylene Nanoparticles Similar in Size to Nanoplastics in Plastic-Bottle Injections on Human Umbilical Vein Endothelial Cells.

Applications

Unspecified application

Species

Unspecified reactive species

Jie Wang,Zhong-Lan Chen,Cheng-Gang Liang,Hui-Ying Yang,Xian-Fu Wu,Hui-Min Sun

Alzheimer's & dementia : the journal of the Alzheimer's Association 21:e70589 PubMed40964962

2025

Protective mechanisms against Alzheimer's disease in APOE3-Christchurch homozygous astrocytes.

Applications

Unspecified application

Species

Unspecified reactive species

Xinran Tian,Erica Keane Rivera,Inyoung Hwang,Arina A Nikitina,Jennifer A Smith,Youngsuh J Cho,Julia Sala-Jarque,Austin DuBose,Clare Andriola,Toby Gollan-Myers,Kenneth S Kosik

Journal of molecular histology 56:313 PubMed40944759

2025

Neuroprotection in neonatal Hypoxia-ischaemia: melatonin targets NCX1 to inhibit mitochondrial autophagy via the PINK1-Parkin pathway.

Applications

Unspecified application

Species

Unspecified reactive species

Tongfei Cheng,Shanlong Du,Yi Cao,Ziyan Lu,Yingjun Xu
View all publications
websiteProtocolBooklet
zh

Abcam Product Promise

我们致力于为您的研究提供高质量的试剂,为您科研的每一步提供支持。若我们的产品未能达到预期性能,我们向您提供 Abcam Product Promise 保障。
详情请参阅我们的条款与条件。

Please note: All products are 'FOR RESEARCH USE ONLY. NOT FOR USE IN DIAGNOSTIC OR THERAPEUTIC PROCEDURES'.

For licensing inquiries, please contact partnerships@abcam.com