JavaScript is disabled in your browser. Please enable JavaScript to view this website.
AB48394

Anti-LC3B 抗体 - Autophagosome Marker

Anti-LC3B antibody - Autophagosome Marker

4

(32 Reviews)

|

(912 Publications)

Anti-LC3B antibody - Autophagosome Marker (ab48394) is a rabbit polyclonal antibody detecting LC3B in Western Blot, IHC-P, ICC/IF. Suitable for Human, Mouse, Rat.

- Over 700 publications
- Trusted since 2007

查看别名

MAP1ALC3, MAP1LC3B, Microtubule-associated protein 1 light chain 3 beta, Autophagy-related protein LC3 B, Autophagy-related ubiquitin-like modifier LC3 B, MAP1 light chain 3-like protein 2, Microtubule-associated proteins 1A/1B light chain 3B, MAP1A/MAP1B LC3 B, MAP1A/MAP1B light chain 3 B

10 Images
Immunocytochemistry/ Immunofluorescence - Anti-LC3B antibody - Autophagosome Marker (AB48394)
  • ICC/IF

Supplier Data

Immunocytochemistry/ Immunofluorescence - Anti-LC3B antibody - Autophagosome Marker (AB48394)

HeLa (human epithelial cell line from cervix adenocarcinoma) cells (wild type, left; LC3B knockout HeLa, right) stained for LC3B using ab48394 (red) at 0.3 μg/ml in ICC/IF. Primary antibody was incubated for 3 hours at room temperature, followed by NorthernLights™ 557-conjugated Anti-Rabbit IgG Secondary Antibody. Counterstained with DAPI (blue).

LC3 was detected in immersion fixed Cloroquine treated Hela cells (left) but was not detected in LC3 knockout Hela cells (right).

Immunocytochemistry/ Immunofluorescence - Anti-LC3B antibody - Autophagosome Marker (AB48394)
  • ICC/IF

Unknown

Immunocytochemistry/ Immunofluorescence - Anti-LC3B antibody - Autophagosome Marker (AB48394)

ab48394 staining LC3B in HeLa cells treated with calmidazolium chloride (ab120658), by ICC/IF. Increase of LC3B expression correlates with increased concentration of calmidazolium chloride, as described in literature.
The cells were incubated at 37°C for 6h in media containing different concentrations of ab120658 (calmidazolium chloride) in DMSO, fixed with 4% formaldehyde for 10 minutes at room temperature and blocked with PBS containing 10% goat serum, 0.3 M glycine, 1% BSA and 0.1% tween for 2h at room temperature. Staining of the treated cells with ab48394 (1 μg/ml) was performed overnight at 4°C in PBS containing 1% BSA and 0.1% tween. A DyLight 488 anti-rabbit polyclonal antibody (ab96899) at 1/250 dilution was used as the secondary antibody. Nuclei were counterstained with DAPI and are shown in blue.

Immunohistochemistry (Formalin/PFA-fixed paraffin-embedded sections) - Anti-LC3B antibody - Autophagosome Marker (AB48394)
  • IHC-P

PubMed

Immunohistochemistry (Formalin/PFA-fixed paraffin-embedded sections) - Anti-LC3B antibody - Autophagosome Marker (AB48394)

Immunostaining of LC3 (green) in the arcuate hypothalamic nucleus of lean and obese mice (A; 8 weeks of a HFD or B; 16 weeks of a HFD). DAPI (blue) was used for nuclear staining.

The brain was excised after the mice were decapitated. Each SNC was fixed in 4% paraformaldehyde and each hypothalamus was processed for paraffin embedding and sectioned into 5.0 μm sections. Samples were incubated with primary antibodies overnight and with secondary antibodies conjugated to FITC or rhodamine for 2 hours (sc2777and sc2092, respectively; Santa Cruz Biotechnology, Santa Cruz, CA). The DAPI stain was used for nuclear staining while the Leica FW 4500 B microscope captured the images. Hypothalamic areas were observed according to the landmarks in the mouse brain atlas. Analysis and documentation of the results were performed using Leica Application Suite V3.6 (Switzerland).

Portovedo M. et al PLoS One. 2015 Mar 18;10(3):e0119850. doi: 10.1371/journal.pone.0119850. eCollection 2015 Reproduced under the Creative Commons license http://creativecommons.org/licenses/by/4.0/

Immunocytochemistry/ Immunofluorescence - Anti-LC3B antibody - Autophagosome Marker (AB48394)
  • ICC/IF

AbReview53768****

Immunocytochemistry/ Immunofluorescence - Anti-LC3B antibody - Autophagosome Marker (AB48394)

ab48394 staining LC3B in a Rat hepatocyte by ICC/IF (Immunocytochemistry/immunofluorescence). Cells were fixed with formaldehyde, permeabilized with 0.2% Triton X-100 in PBS and blocked with 1% Donkey serum in 0.1% PBST for 60 minutes at 21°C. Samples were incubated with primary antibody (1/50 in PBS + 1% BSA) for 3 hours at 22°C. An Alexa Fluor® 394-conjugated Donkey anti-rabbit IgG polyclonal was used as the secondary antibody at a dilution of 1/200.

This image is courtesy of an Abreview by Armen Petrosyan.

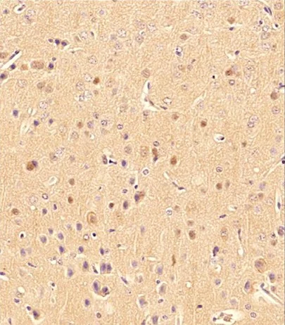
Immunohistochemistry (Formalin/PFA-fixed paraffin-embedded sections) - Anti-LC3B antibody - Autophagosome Marker (AB48394)
  • IHC-P

Supplier Data

Immunohistochemistry (Formalin/PFA-fixed paraffin-embedded sections) - Anti-LC3B antibody - Autophagosome Marker (AB48394)

Formalin-fixed, paraffin-embedded mouse brain tissue stained for LC3B using ab48394 at 1/200 dilution in immunohistochemical analysis. The specific signal of LC3 was detected using HRP-conjugated secondary antibody with DAB reagent, and nuclei of cells were counterstained using hematoxylin. This LC3 antibody generated a low to moderate levels of cytoplasmic staining in the glial cells. The neurons depicted a moderate to strong staining for LC3 in their cytoplasm.

Western blot - Anti-LC3B antibody - Autophagosome Marker (AB48394)
  • WB

Supplier Data

Western blot - Anti-LC3B antibody - Autophagosome Marker (AB48394)

Western Blot shows lysates of HeLa (human epithelial cell line from cervix adenocarcinoma) cell line and LC3B knockout HeLa cell line (KO) untreated (-) or treated (+) with 50 uM Chloroquinine for 18 hours. PVDF membrane was probed with 0.5 ug/mL ab48394 followed by HRP-conjugated Anti-Rabbit IgG Secondary Antibody. A specific band was detected for LC3B at approximately 15 kDa (as indicated) in the parental HeLa cell line, but is not detectable in the knockout HeLa cell line. GAPDH is shown as a loading control. This experiment was conducted under reducing conditions.

All lanes:

Western blot - Anti-LC3B antibody - Autophagosome Marker (ab48394)

Predicted band size: 15 kDa

false

Western blot - Anti-LC3B antibody - Autophagosome Marker (AB48394)
  • WB

Supplier Data

Western blot - Anti-LC3B antibody - Autophagosome Marker (AB48394)

Western blot shows lysates of mouse NIH/3T3 (mouse embryo fibroblast cell line) and rat PC-12 (rat adrenal gland pheochromocytoma cell line) cell lines untreated (-) or treated (+) with Chloroquine. PVDF membrane was probed with 0.5 ug/mL rabbit anti-LC3B polyclonal Antibody (ab48394), followed by 1 : 2000 dilution of goat anti-rabbit IgG secondary antibody.

All lanes:

Western blot - Anti-LC3B antibody - Autophagosome Marker (ab48394)

Predicted band size: 15 kDa

false

Immunohistochemistry (Formalin/PFA-fixed paraffin-embedded sections) - Anti-LC3B antibody - Autophagosome Marker (AB48394)
  • IHC-P

PubMed

Immunohistochemistry (Formalin/PFA-fixed paraffin-embedded sections) - Anti-LC3B antibody - Autophagosome Marker (AB48394)

LC3B immunofluorescence in primary follicles of PD 13 ovaries. The red dots represent LC3b and DAPI (blue) indicated cell nuclei.

For the immunofluorescence analysis, the ovaries were fixed in 4% paraformaldehyde, embedded in paraffin, and sectioned into 5 μm slices. After antigen retrieval, the slides were blocked with goat serum and incubated with primary antibody (rabbit anti-LC3B at 1 : 200) overnight at 4°C. Alexa Fluor 594 (Invitrogen) was used as the secondary antibody in immunofluorescence assays.

Jiang C. et al PLoS Genet. 2017 Jan 10;13(1):e1006535. doi: 10.1371/journal.pgen.1006535. eCollection 2017 Jan. Reproduced under the Creative Commons license http://creativecommons.org/licenses/by/4.0/

Western blot - Anti-LC3B antibody - Autophagosome Marker (AB48394)
  • WB

AbReview10746****

Western blot - Anti-LC3B antibody - Autophagosome Marker (AB48394)

All lanes:

Western blot - Anti-LC3B antibody - Autophagosome Marker (ab48394) at 1/2000 dilution

Lane 1:

Rat whole tissue lysate - Normal liver at 30 µg

Lane 2:

Rat whole tissue lysate - liver treated with AEE788 at 50 mg/kg 3 times a week for 1 week at 30 µg

Lane 3:

Rat whole tissue lysate - liver treated with RAD at 2.5 mg/kg daily for 1 week at 30 µg

Secondary

All lanes:

Western blot - Goat Anti-Rabbit IgG H&L (HRP) (<a href='/products/secondary-antibodies/goat-rabbit-igg-h-l-hrp-ab6721'>ab6721</a>) at 1/5000 dilution

Predicted band size: 15 kDa

Observed band size: 17 kDa

true

Exposure time: 1min

This image is courtesy of an anonymous Abreview

Western blot - Anti-LC3B antibody - Autophagosome Marker (AB48394)
  • WB

CiteAb

Western blot - Anti-LC3B antibody - Autophagosome Marker (AB48394)

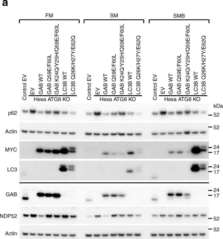
Western Blotting using Anti-LC3B antibody - Autophagosome MarkerAnti-LC3B antibody - Autophagosome Marker, ab48394. Publication image from Wirth, M. et al., 2019, Nat Commun, 31053714. Legend direct from paper.

Rendering GABARAP more LC3B-like impairs NDP52 degradation. a Control (wild-type) and hexa ATG8 CRISPR knockout (KO) HeLa cell lines stably expressing indicated MYC-ATG8 constructs or empty vector (EV) in full medium, Earle’s balanced salt solution (EBSS) (SM) or EBSS + bafilomycin A1 (BafA1) (SMB) for 7 h prior to lysis and immunoblot with indicated antibodies. Expression of MYC-ATG8 constructs was induced by 1 µg/ml doxycycline for 6 days. Note, immunoblot of non-induced cells showing equal p62 and NDP52 protein levels in the reconstituted hexa ATG8 CRISPR KO HeLa cell lines is included as Supplementary Fig. 7a. b, c Quantification of p62 (b) and NDP52 (c) protein levels (normalized to actin) shown in a. Statistical analysis of (SM) using one-way analysis of variance (ANOVA) test; mean ±s.d.; data from four (p62) and three (NDP52) independent experiments. ****p ≤ 0.0001; ***p ≤ 0.001; **p ≤ 0.01; *p ≤ 0.05; ns, not significant. d Structure of FYCO1 LIR motif bound to LC3B (PDB ID 5WRD). Non-conserved LIR docking site (LDS) residues of LC3B are displayed in white sticks. LC3B is displayed in white cartoon and the FYCO1 LIR in green transparent cartoon. Hydrophobic pocket (HP) 1 and HP2 are indicated in pink and blue, respectively. e Structure of PCM1 LIR motif bound to GABARAP (P212121). Non-conserved LDS residues of GABARAP are displayed in white sticks. GABARAP is displayed in white cartoon and the PCM1 LIR motif is shown in orange transparent cartoon. f Surface electrostatic potential of FYCO1 : LC3B structure in the same orientation as shown in d. g Surface electrostatic potential of PCM1 : GABARAP (P212121) structure with ULK1 LIR superimposed (pink cartoon). f, g Projections shown are −5 (red) and +5 (blue) kT/e using pymol apbs plugin with red and blue representing negative and positive potential, respectively. Red dashed lines encircle basic patch in LC3B (d, f) and extension of HP2 in GABARAP (e, f)

false

关键信息

宿主种属

Rabbit

克隆

Polyclonal

亚型

IgG

不含载体蛋白

No

反应种属

Mouse, Rat, Human

应用

ICC/IF, IHC-P, WB

applications

免疫原

Synthetic Peptide within Human MAP1LC3B. The exact immunogen used to generate this antibody is proprietary information.

Q9GZQ8

反应性数据

{ "title": "Reactivity Data", "filters": { "stats": ["", "Species", "Dilution Info", "Notes"], "tabs": { "all-applications": {"fullname" : "All Applications", "shortname": "All Applications"}, "IHCP" : {"fullname" : "Immunohistochemistry (Formalin/PFA-fixed paraffin-embedded sections)", "shortname":"IHC-P"}, "WB" : {"fullname" : "Western blot", "shortname":"WB"}, "ICCIF" : {"fullname" : "Immunocytochemistry/ Immunofluorescence", "shortname":"ICC/IF"} }, "product-promise": { "all": "all", "testedAndGuaranteed": "tested", "guaranteed": "expected", "predicted": "predicted", "notRecommended": "not-recommended" } }, "values": { "Human": { "IHCP-species-checked": "guaranteed", "IHCP-species-dilution-info": "", "IHCP-species-notes": "", "WB-species-checked": "testedAndGuaranteed", "WB-species-dilution-info": "0.5-2 µg/mL", "WB-species-notes": "<p>Detects bands of approximately 17 kDa (LC3-II) and 19 kDa (LC3-I).</p>", "ICCIF-species-checked": "testedAndGuaranteed", "ICCIF-species-dilution-info": "1 µg/mL", "ICCIF-species-notes": "<p></p>" }, "Mouse": { "IHCP-species-checked": "testedAndGuaranteed", "IHCP-species-dilution-info": "1/200 - 1/400", "IHCP-species-notes": "<p>Antigen Retrieval: Bring slides to a boil in 10 mM sodium citrate buffer (pH 6.0) then maintain at a sub-boiling temperature for 10 minutes. Cool slides on bench-top for 30 minutes.</p> Perform heat-mediated antigen retrieval with citrate buffer pH 6 before commencing with IHC staining protocol.", "WB-species-checked": "testedAndGuaranteed", "WB-species-dilution-info": "0.5-2 µg/mL", "WB-species-notes": "<p>Detects bands of approximately 17 kDa (LC3-II) and 19 kDa (LC3-I).</p>", "ICCIF-species-checked": "guaranteed", "ICCIF-species-dilution-info": "", "ICCIF-species-notes": "" }, "Rat": { "IHCP-species-checked": "guaranteed", "IHCP-species-dilution-info": "", "IHCP-species-notes": "", "WB-species-checked": "testedAndGuaranteed", "WB-species-dilution-info": "0.5-2 µg/mL", "WB-species-notes": "<p>Detects bands of approximately 17 kDa (LC3-II) and 19 kDa (LC3-I).</p>", "ICCIF-species-checked": "guaranteed", "ICCIF-species-dilution-info": "", "ICCIF-species-notes": "" }, "Cow": { "IHCP-species-checked": "predicted", "IHCP-species-dilution-info": "", "IHCP-species-notes": "", "WB-species-checked": "predicted", "WB-species-dilution-info": "", "WB-species-notes": "", "ICCIF-species-checked": "predicted", "ICCIF-species-dilution-info": "", "ICCIF-species-notes": "" } } }

产品详情

Anti-LC3B antibody - Autophagosome Marker (ab48394) is a rabbit polyclonal antibody and is validated for use in ICC/IF, IHC-P, WB in human samples.

Anti-LC3B antibody - Autophagosome Marker (ab48394) has been cited over 701 times in peer reviewed journals and is trusted by the scientific community.

Abcam's high quality validation processes ensure Anti-LC3B antibody - Autophagosome Marker (ab48394) has high sensitivity and specificity.

Anti-LC3B antibody - Autophagosome Marker (anti-MAP1LC3B antibody) (ab48394) has 32 independent reviews from customers.

Anti-LC3B antibody - Autophagosome Marker (ab48394) specifically detects LC3B (UniProt ID: Q9GZQ8; Molecular weight: 14kDa) and is sold in 100 µL selling sizes.

LC3B (MAP1LC3B) or Microtubule-associated protein 1 light chain 3 beta is a key marker of autophagy, a process that cancer cells often exploit for survival and growth. Elevated LC3B expression is commonly observed in various solid tumors and is associated with increased tumor proliferation and metastasis. LC3B facilitates the formation of autophagosomes, which help cancer cells manage stress and maintain cellular homeostasis.

性能和储存信息

形式
Liquid
纯化工艺
Affinity purification Immunogen
存储溶液
pH: 7.4 Preservative: 0.02% Sodium azide Constituents: PBS
运输条件
Blue Ice
推荐的短期储存条件
+4°C
推荐的长期储存条件
-20°C
分装信息
Upon delivery aliquot
储存信息
Avoid freeze / thaw cycle

补充信息

This supplementary information is collated from multiple sources and compiled automatically.

LC3B also known as microtubule-associated protein 1 light chain 3 beta plays an important role in autophagy a process that maintains cellular homeostasis. The LC3B protein with a molecular weight of approximately 14 kDa undergoes lipidation to form LC3-II which associates with autophagosomal membranes. This protein expresses ubiquitously in various tissues including liver muscle and brain. Researchers often detect LC3B using techniques like LC3B western blot and LC3B immunofluorescence due to its function as a marker indicating autophagy levels.
Biological function summary

LC3B contributes significantly to the formation and maturation of autophagosomes. LC3B part of the autophagy-related protein complex binds to autophagic membranes. During this process LC3-I converts to LC3-II a lipid-phosphatidylethanolamine conjugate essential for autophagosome membrane expansion and closure. This mechanism helps remove damaged organelles and misfolded proteins from cells therefore contributing to cellular quality control.

Pathways

LC3B integrates into the autophagy pathway which is critical for cellular adaptive responses to stress. The mammalian target of rapamycin (mTOR) pathway regulates autophagy where mTOR inhibition activates LC3B promoting autophagosome formation. Moreover LC3B operates alongside other proteins like Beclin-1 and ULK1 facilitating the initiation and progression of autophagy under nutrient starvation conditions. These interactions highlight LC3's role in cellular energy balance and survival mechanisms.

LC3B connects with conditions such as cancer and neurodegenerative diseases. Altered autophagy levels mediated by LC3B often associate with tumorigenesis where its dysregulation can affect cancer progression. Furthermore LC3B also links to neurodegenerative diseases like Alzheimer's where impaired autophagy disrupts neuronal function. LC3B interacts with proteins such as p62/SQSTM1 which affects protein aggregate clearance a critical factor in neurodegenerative pathology.

产品实验方案

For this product, it's our understanding that no specific protocols are required. You can visit:

靶点信息

Ubiquitin-like modifier involved in formation of autophagosomal vacuoles (autophagosomes) (PubMed : 20418806, PubMed : 23209295, PubMed : 28017329). Plays a role in mitophagy which contributes to regulate mitochondrial quantity and quality by eliminating the mitochondria to a basal level to fulfill cellular energy requirements and preventing excess ROS production (PubMed : 23209295, PubMed : 28017329). In response to cellular stress and upon mitochondria fission, binds C-18 ceramides and anchors autophagolysosomes to outer mitochondrial membranes to eliminate damaged mitochondria (PubMed : 22922758). While LC3s are involved in elongation of the phagophore membrane, the GABARAP/GATE-16 subfamily is essential for a later stage in autophagosome maturation (PubMed : 20418806, PubMed : 23209295, PubMed : 28017329). Promotes primary ciliogenesis by removing OFD1 from centriolar satellites via the autophagic pathway (PubMed : 24089205). Through its interaction with the reticulophagy receptor TEX264, participates in the remodeling of subdomains of the endoplasmic reticulum into autophagosomes upon nutrient stress, which then fuse with lysosomes for endoplasmic reticulum turnover (PubMed : 31006537, PubMed : 31006538). Upon nutrient stress, directly recruits cofactor JMY to the phagophore membrane surfaces and promotes JMY's actin nucleation activity and autophagosome biogenesis during autophagy (PubMed : 30420355).
See full target information MAP1LC3B

文献 (912)

Recent publications for all applications. Explore the full list and refine your search

PloS one 20:e0332202 PubMed40991530

2025

Investigating the anti-osteosarcoma effects of Patchouli alcohol through protein network mapping and in vitro experiments.

Applications

Unspecified application

Species

Unspecified reactive species

Zeyu Zhan,He Pang,Hang Wu,Lijun Song,Bo Wei

Cells 14: PubMed40940788

2025

Prepubertal Diabetes Stagnates Testicular Development by Skewing Autophagy Homeostasis in Leydig Cells.

Applications

Unspecified application

Species

Unspecified reactive species

Zonghao Tang,Youkun Zheng

PLoS pathogens 21:e1013512 PubMed40938946

2025

Fish TOLLIP manipulates ATG5 for autophagic degradation of STING to attenuate antiviral interferon responses.

Applications

Unspecified application

Species

Unspecified reactive species

Meng-Ze Tian,Yang-Yang Wang,Bao-Jie Cui,Xiao Xu,Chu-Jing Zhou,Can Zhang,Zhuo-Cong Li,Meng-Qian Hong,Na Xu,Dan-Dan Chen,Long-Feng Lu,Shun Li

Theranostics 15:8658-8674 PubMed40860153

2025

Fe-flavonoid nanozyme as dual modulator of oxidative stress and autophagy for acute kidney injury repair.

Applications

Unspecified application

Species

Unspecified reactive species

Ranran Luo,Zhongsheng Xu,Chenxi Zhang,Zening Zhang,Pengchen Ren,Xiaojing He,Jingjing Zhang,Yun Liu

PeerJ 13:e19873 PubMed40832581

2025

UQCRC1 downregulation impairs cognitive function in mice AMPK inactivation.

Applications

Unspecified application

Species

Unspecified reactive species

Jing Zhang,Zuoxi Wu,Zonghong Long,Feng Ceng,Fuhai Bai,Hong Li

BMC gastroenterology 25:582 PubMed40804659

2025

Evaluation of PINK1 protein expression as a predictive marker for the efficacy of adjuvant chemotherapy in colorectal cancer: a retrospective study.

Applications

Unspecified application

Species

Unspecified reactive species

Takatsugu Fujii,Masataka Hirasaki,Yasuo Kamakura,Tomonori Kawasaki,Satoshi Yamasaki,Yasuhiro Ishiyama,Chikashi Hiranuma,Tetsuya Hamaguchi,Yasumitsu Hirano,Shinichi Sakuramoto

Scientific reports 15:28994 PubMed40774999

2025

The therapeutic potential of pegylated arginase I treatment in glioblastoma.

Applications

Unspecified application

Species

Unspecified reactive species

Marcus Kwong Lam Fung,Shing Chan,Stella Sun,Ping De Zhang,Gilberto Ka Kit Leung,Godfrey Chi Fung Chan

Scientific reports 15:28446 PubMed40760135

2025

Aggregation potency and proinflammatory effects of SARS-CoV-2 proteins.

Applications

Unspecified application

Species

Unspecified reactive species

Monica Costa,Da-Wei Wang,Kai-Dong Zhao,Lin Yuan,Anita Krisko,Jia-Yi Li,Tiago Outeiro,Wen Li

Science advances 11:eadv6642 PubMed40668916

2025

Heterochronic parabiosis uncovers AdipoR1 as a critical player in retinal rejuvenation.

Applications

Unspecified application

Species

Unspecified reactive species

Yidan Liu,Xiuxing Liu,Jianjie Lv,Qi Zhang,Zhenlan Yang,Xuhao Chen,Chenyang Gu,Chun Zhang,Yehong Zhuo,Wenru Su

Molecular neurobiology 62:13786-13806 PubMed40588669

2025

UQCRC1 is a Key Pathogenic Determinant and Potential Therapeutic Target for Cognitive Impairment in Alzheimer's Disease.

Applications

Unspecified application

Species

Unspecified reactive species

Jing Zhang,Zuoxi Wu,Zonghong Long,Ceng Feng,Fuhai Bai,Hong Li
View all publications

Abcam Product Promise

我们致力于为您的研究提供高质量的试剂,为您科研的每一步提供支持。若我们的产品未能达到预期性能,我们向您提供 Abcam Product Promise 保障。
详情请参阅我们的条款与条件。

Please note: All products are 'FOR RESEARCH USE ONLY. NOT FOR USE IN DIAGNOSTIC OR THERAPEUTIC PROCEDURES'.

For licensing inquiries, please contact partnerships@abcam.com