JavaScript is disabled in your browser. Please enable JavaScript to view this website.
AB280363

重组Anti-LATS2抗体[EPR23126-488] - BSA and Azide free

Anti-LATS2 antibody [EPR23126-488] - BSA and Azide free

Be the first to review this product! Submit a review

|

(0 Publication)

Rabbit Recombinant Monoclonal LATS2 antibody. Carrier free. Suitable for IP, WB and reacts with Human, Synthetic peptide - Human samples.

查看别名

KPM, LATS2, Serine/threonine-protein kinase LATS2, Kinase phosphorylated during mitosis protein, Large tumor suppressor homolog 2, Serine/threonine-protein kinase kpm, Warts-like kinase

5 Images
Immunoprecipitation - Anti-LATS2 antibody [EPR23126-488] - BSA and Azide free (AB280363)
  • IP

Supplier Data

Immunoprecipitation - Anti-LATS2 antibody [EPR23126-488] - BSA and Azide free (AB280363)

This data was developed using ab243657, the same antibody clone in a different buffer formulation.

LATS2 was immunoprecipitated from 0.35 mg HeLa (human cervix adenocarcinoma epithelial cell), whole cell lysate with ab243657 at 1/30 dilution (2ug in 0.35mg lysates). Western blot was performed on the immunoprecipitate using ab243657 at 1/1000 dilution. VeriBlot for IP Detection Reagent (HRP)(ab131366) was used at 1/5000 dilution.

Lane 1 : HeLa (human cervix adenocarcinoma epithelial cell), whole cell lysate 10 ug

Lane 2 : ab243657 IP in HeLa whole cell lysate

Lane 3 : Rabbit monoclonal IgG (ab172730) instead of ab243657 in HeLa whole cell lysate

Blocking and dilution buffer and concentration : 5% NFDM/TBST.

Exposure time : 64 seconds

Fresh lysates were used in this WB.

All lanes:

Immunoprecipitation - Anti-LATS2 antibody [EPR23126-488] (<a href='/products/primary-antibodies/lats2-antibody-epr23126-488-ab243657'>ab243657</a>)

Predicted band size: 120 kDa

Observed band size: 140 kDa

false

Western blot - Anti-LATS2 antibody [EPR23126-488] - BSA and Azide free (AB280363)
  • WB

Lab

Western blot - Anti-LATS2 antibody [EPR23126-488] - BSA and Azide free (AB280363)

This data was developed using ab243657, the same antibody clone in a different buffer formulation.

Blocking and diluting buffer and concentration : 5% NFDM/TBST

Fresh lysates were used in this WB.

This blot was developed using a higher sensitivity ECL substrate.

Exposure time : 3 minutes

All lanes:

Western blot - Anti-LATS2 antibody [EPR23126-488] (<a href='/products/primary-antibodies/lats2-antibody-epr23126-488-ab243657'>ab243657</a>) at 1/1000 dilution

Lane 1:

HeLa (human cervix adenocarcinoma epithelial cell), transfected with scrambled siRNA control, whole cell lysate at 20 µg

Lane 2:

HeLa transfected with siRNA specifically targeting LATS2, whole cell lysate at 20 µg

Secondary

All lanes:

Western blot - Goat Anti-Rabbit IgG H&L (HRP) (<a href='/products/secondary-antibodies/goat-rabbit-igg-h-l-hrp-ab97051'>ab97051</a>) at 1/100000 dilution

Predicted band size: 120 kDa

Observed band size: 140 kDa

false

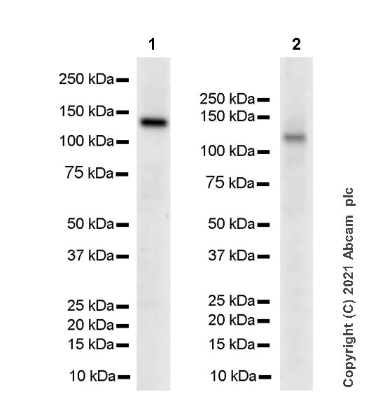
Western blot - Anti-LATS2 antibody [EPR23126-488] - BSA and Azide free (AB280363)
  • WB

Lab

Western blot - Anti-LATS2 antibody [EPR23126-488] - BSA and Azide free (AB280363)

This data was developed using ab243657, the same antibody clone in a different buffer formulation.

Blocking and diluting buffer and concentration : 5% NFDM/TBST

Fresh lysates were used in this WB.

Exposure time : 3 minutes

All lanes:

Western blot - Anti-LATS2 antibody [EPR23126-488] (<a href='/products/primary-antibodies/lats2-antibody-epr23126-488-ab243657'>ab243657</a>) at 1/1000 dilution

Lane 1:

HeLa (human cervix adenocarcinoma epithelial cell), whole cell lysate at 10 µg

Lane 2:

HEK-293T (human embryonic kidney epithelial cell), whole cell lysate at 10 µg

Secondary

All lanes:

Western blot - Goat Anti-Rabbit IgG H&L (HRP) (<a href='/products/secondary-antibodies/goat-rabbit-igg-h-l-hrp-ab97051'>ab97051</a>) at 1/100000 dilution

Predicted band size: 120 kDa

Observed band size: 140 kDa

false

Western blot - Anti-LATS2 antibody [EPR23126-488] - BSA and Azide free (AB280363)
  • WB

Lab

Western blot - Anti-LATS2 antibody [EPR23126-488] - BSA and Azide free (AB280363)

This data was developed using ab243657, the same antibody clone in a different buffer formulation.

Western blot : Anti-LATS2 antibody [EPR23126-488] (ab243657) staining at 1/1000 dilution, shown in green; Mouse anti-CANX [CANX/1543] (ab238078) loading control staining at 1/20000 dilution, shown in magenta. In Western blot, ab243657 was shown to bind specifically to LATS2. A band was observed at 117-171 kDa in wild-type A549 cell lysates with no signal observed at this size in LATS2 knockout cell line. To generate this image, wild-type and LATS2 knockout A549 cell lysates were analysed. First, samples were run on an SDS-PAGE gel then transferred onto a nitrocellulose membrane. Membranes were blocked in 3 % milk in TBS-0.1 % Tween® 20 (TBS-T) before incubation with primary antibodies overnight at 4 °C. Blots were washed four times in TBS-T, incubated with secondary antibodies for 1 h at room temperature, washed again four times then imaged. Secondary antibodies used were Goat anti-Rabbit IgG H&L 800CW and Goat anti-Mouse IgG H&L 680RD at 1/20000 dilution.

All lanes:

Western blot - Anti-LATS2 antibody [EPR23126-488] (<a href='/products/primary-antibodies/lats2-antibody-epr23126-488-ab243657'>ab243657</a>) at 1/1000 dilution

Lane 1:

Wild-type A549 cell lysate at 20 µg

Lane 2:

Western blot - Human LATS2 knockout A549 cell line (<a href='/products/cell-lines/human-lats2-knockout-a549-cell-line-ab286746'>ab286746</a>)

Lane 2:

LATS2 knockout A549 cell lysate at 20 µg

Lane 3:

MCF7 cell lysate at 20 µg

Lane 4:

Raji cell lysate at 20 µg

Secondary

Lanes 1 - 4:

Goat anti-Rabbit IgG H&L 800CW at 1/20000 dilution

Lanes 1 - 4:

Goat anti-Mouse IgG H&L 680RD at 1/20000 dilution

Observed band size: 117-171 kDa

false

Western blot - Anti-LATS2 antibody [EPR23126-488] - BSA and Azide free (AB280363)
  • WB

Lab

Western blot - Anti-LATS2 antibody [EPR23126-488] - BSA and Azide free (AB280363)

This data was developed using ab243657, the same antibody clone in a different buffer formulation.

Blocking and diluting buffer and concentration : 5% NFDM/TBST

Exposure time : 3 minutes

All lanes:

Western blot - Anti-LATS2 antibody [EPR23126-488] (<a href='/products/primary-antibodies/lats2-antibody-epr23126-488-ab243657'>ab243657</a>) at 1/1000 dilution

Lane 1:

His-tagged human LATS1 recombinant protein (aa701-1054) at 0.01 µg

Lane 2:

His-tagged human LATS2 recombinant protein (aa664-1016) at 0.01 µg

Secondary

All lanes:

Western blot - Goat Anti-Rabbit IgG H&L (HRP) (<a href='/products/secondary-antibodies/goat-rabbit-igg-h-l-hrp-ab97051'>ab97051</a>) at 1/100000 dilution

Predicted band size: 120 kDa

false

不同偶联物与剂型 (1)

关键信息

宿主种属

Rabbit

克隆

Monoclonal

克隆号

EPR23126-488

亚型

IgG

不含载体蛋白

Yes

反应种属

Human

应用

IP, WB

applications

免疫原

The exact immunogen used to generate this antibody is proprietary information.

反应性数据

{ "title": "Reactivity Data", "filters": { "stats": ["", "Species", "Dilution Info", "Notes"], "tabs": { "all-applications": {"fullname" : "All Applications", "shortname": "All Applications"}, "ICCIF" : {"fullname" : "Immunocytochemistry/ Immunofluorescence", "shortname":"ICC/IF"}, "IP" : {"fullname" : "Immunoprecipitation", "shortname":"IP"}, "WB" : {"fullname" : "Western blot", "shortname":"WB"}, "IHCP" : {"fullname" : "Immunohistochemistry (Formalin/PFA-fixed paraffin-embedded sections)", "shortname":"IHC-P"} }, "product-promise": { "all": "all", "testedAndGuaranteed": "tested", "guaranteed": "expected", "predicted": "predicted", "notRecommended": "not-recommended" } }, "values": { "Human": { "ICCIF-species-checked": "notRecommended", "ICCIF-species-dilution-info": "", "ICCIF-species-notes": "<p></p>", "IP-species-checked": "testedAndGuaranteed", "IP-species-dilution-info": "", "IP-species-notes": "<p></p>", "WB-species-checked": "testedAndGuaranteed", "WB-species-dilution-info": "", "WB-species-notes": "<p></p>", "IHCP-species-checked": "notRecommended", "IHCP-species-dilution-info": "", "IHCP-species-notes": "<p></p>" }, "Mouse": { "ICCIF-species-checked": "notRecommended", "ICCIF-species-dilution-info": "", "ICCIF-species-notes": "<p></p>", "IP-species-checked": "notRecommended", "IP-species-dilution-info": "", "IP-species-notes": "", "WB-species-checked": "notRecommended", "WB-species-dilution-info": "", "WB-species-notes": "<p></p>", "IHCP-species-checked": "notRecommended", "IHCP-species-dilution-info": "", "IHCP-species-notes": "<p></p>" }, "Rat": { "ICCIF-species-checked": "notRecommended", "ICCIF-species-dilution-info": "", "ICCIF-species-notes": "", "IP-species-checked": "notRecommended", "IP-species-dilution-info": "", "IP-species-notes": "", "WB-species-checked": "notRecommended", "WB-species-dilution-info": "", "WB-species-notes": "<p></p>", "IHCP-species-checked": "notRecommended", "IHCP-species-dilution-info": "", "IHCP-species-notes": "<p></p>" }, "Synthetic peptide - Human": { "ICCIF-species-checked": "notRecommended", "ICCIF-species-dilution-info": "", "ICCIF-species-notes": "", "IP-species-checked": "notRecommended", "IP-species-dilution-info": "", "IP-species-notes": "", "WB-species-checked": "testedAndGuaranteed", "WB-species-dilution-info": "", "WB-species-notes": "<p></p>", "IHCP-species-checked": "notRecommended", "IHCP-species-dilution-info": "", "IHCP-species-notes": "" } } }

产品详情

ab280363 is the carrier-free version of ab243657.

Patented technology
Our RabMAb® technology is a patented hybridoma-based technology for making rabbit monoclonal antibodies. For details on our patents, please refer to RabMAb® patents.

What are the advantages of a recombinant monoclonal antibody?
This product is a recombinant monoclonal antibody, which offers several advantages including:

  • - High batch-to-batch consistency and reproducibility
  • - Improved sensitivity and specificity
  • - Long-term security of supply
  • - Animal-free batch production

For more information, read more on recombinant antibodies.

Conjugation ready
Our carrier-free antibodies are typically supplied in a PBS-only formulation, purified and free of BSA, sodium azide and glycerol. This conjugation-ready format is designed for use with fluorochromes, metal isotopes, oligonucleotides, and enzymes, which makes them ideal for antibody labelling, functional and cell-based assays, flow-based assays (e.g. mass cytometry) and Multiplex Imaging applications.

Use our conjugation kits for antibody conjugates that are ready-to-use in as little as 20 minutes with 1 minute hands-on-time and 100% antibody recovery: available for fluorescent dyes, HRP, biotin and gold.

Compatibility
This product is compatible with the Maxpar® Antibody Labeling Kit from Fluidigm, without the need for antibody preparation. Maxpar® is a trademark of Fluidigm Canada Inc.

性能和储存信息

形式
Liquid
纯化工艺
Affinity purification Protein A
存储溶液
Constituents: PBS
运输条件
Blue Ice
推荐的短期储存条件
+4°C
推荐的长期储存条件
+4°C

补充信息

This supplementary information is collated from multiple sources and compiled automatically.

LATS2 also known as Large Tumor Suppressor kinase 2 is a serine/threonine-protein kinase with a molecular mass of approximately 121 kDa. It functions as a component of the Hippo signaling pathway where it helps regulate cell proliferation apoptosis and organ size. LATS2 shows expression in various tissues with notable levels in the lung heart and liver. Its role in these tissues makes it an important target for research in cancer and developmental biology.
Biological function summary

LATS2 plays an important role in cell cycle regulation and tumor suppression. LATS2 forms part of the core kinase complex within the Hippo pathway working closely with other proteins like MST1/2 kinases and Scaffold proteins SAV1. Through phosphorylation LATS2 can inhibit the activity of YAP and TAZ transcription co-activators promoting cell contact inhibition and proper tissue architecture. Its activity is important for limiting excessive cell growth and ensuring accurate cell division.

Pathways

LATS2 integrates into the Hippo signaling pathway and influences the PI3K-AKT signaling pathway. Within the Hippo pathway LATS2 interacts with MST1/2 forming an upstream kinase complex activating through phosphorylation of downstream transcription co-activators YAP and TAZ. These interactions result in the transcriptional regulation of genes controlling cell growth and apoptosis. Overlap with the PI3K-AKT pathway links LATS2 to cellular processes related to growth migration and survival providing a critical nexus that communicates cell status and environmental cues.

LATS2 has associations with both cancer and cardiac hypertrophy. In cancer dysregulation of LATS2 activity can result in aberrant cell growth and tumor development often noted in different types of carcinomas where it can act as a tumor suppressor. Mutations or reduced expression of LATS2 can correlate with increased cancer progression implying a need for comprehensive understanding of its regulation and function. Additionally in cardiac hypertrophy LATS2 contributes to cardiac cell size regulation and its imbalance can connect to abnormal heart muscle thickening. In these contexts LATS2 interaction with proteins such as YAP and TAZ provides an important point of interest for therapeutic interventions.

产品实验方案

For this product, it's our understanding that no specific protocols are required. You can visit:

靶点信息

Negative regulator of YAP1 in the Hippo signaling pathway that plays a pivotal role in organ size control and tumor suppression by restricting proliferation and promoting apoptosis. The core of this pathway is composed of a kinase cascade wherein STK3/MST2 and STK4/MST1, in complex with its regulatory protein SAV1, phosphorylates and activates LATS1/2 in complex with its regulatory protein MOB1, which in turn phosphorylates and inactivates YAP1 oncoprotein and WWTR1/TAZ. Phosphorylation of YAP1 by LATS2 inhibits its translocation into the nucleus to regulate cellular genes important for cell proliferation, cell death, and cell migration (PubMed : 26598551, PubMed : 34404733). Also phosphorylates YAP1 in response to cell contact inhibition-driven WWP1 ubiquitination of AMOTL2, which results in LATS2 activation (PubMed : 34404733). Acts as a tumor suppressor which plays a critical role in centrosome duplication, maintenance of mitotic fidelity and genomic stability. Negatively regulates G1/S transition by down-regulating cyclin E/CDK2 kinase activity. Negative regulator of the androgen receptor. Phosphorylates SNAI1 in the nucleus leading to its nuclear retention and stabilization, which enhances its epithelial-mesenchymal transition and tumor cell invasion/migration activities. This tumor-promoting activity is independent of its effects upon YAP1 or WWTR1/TAZ.
See full target information LATS2

Abcam Product Promise

我们致力于为您的研究提供高质量的试剂,为您科研的每一步提供支持。若我们的产品未能达到预期性能,我们向您提供 Abcam Product Promise 保障。
详情请参阅我们的条款与条件。

Please note: All products are 'FOR RESEARCH USE ONLY. NOT FOR USE IN DIAGNOSTIC OR THERAPEUTIC PROCEDURES'.

For licensing inquiries, please contact partnerships@abcam.com