JavaScript is disabled in your browser. Please enable JavaScript to view this website.
AB4476

Anti-LAT (phospho Y132)抗体

Anti-LAT (phospho Y132) antibody

3

(1 Review)

|

(15 Publications)

Rabbit Polyclonal LAT phospho Y132 antibody. Suitable for WB and reacts with Human samples. Cited in 15 publications. Immunogen corresponding to Synthetic Peptide within Human LAT phospho Y132.

查看别名

Linker for activation of T-cells family member 1, 36 kDa phosphotyrosine adapter protein, p36-38, pp36, LAT

1 Images
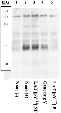
Western blot - Anti-LAT (phospho Y132) antibody (AB4476)
  • WB

Unknown

Western blot - Anti-LAT (phospho Y132) antibody (AB4476)

Peptide Competition
Extracts prepared from Jurkat E6.1 cells were left unstimulated (1) or stimulated (2-5), resolved by SDS-PAGE on a 10% polyacrylamide gel, and transferred to PVDF. Membranes were blocked with a 5% BSA-TBST buffer overnight at 4°C, then were incubated with 0.35 μg/ml phospho LAT (Tyr 132) antibody for two hours at room temperature in a 3% BSA-TBST buffer, following prior incubation with : no peptide (1, 2), the nonphosphopeptide corresponding to the immunogen (3), a generic phosphotyrosine containing peptide (4), or, the phosphopeptide immunogen (5). After washing, membranes were incubated with goat F(ab’)2 anti-rabbit IgG alkaline phosphatase and signals were detected using the Tropix WesternStar method. The data show that only the peptide corresponding to phospho LAT (Tyr 132) completely blocks the antibody signal, thereby demonstrating the specificity of the antibody, and stimulation-induced tyrosine phosphorylation of phospho LAT (Tyr 132).

All lanes:

Western blot - Anti-LAT (phospho Y132) antibody (ab4476)

Predicted band size: 28 kDa

false

关键信息

宿主种属

Rabbit

克隆

Polyclonal

亚型

IgG

不含载体蛋白

No

反应种属

Human

应用

WB

applications

免疫原

Synthetic Peptide within Human LAT phospho Y132. The exact immunogen used to generate this antibody is proprietary information.

O43561

反应性数据

{ "title": "Reactivity Data", "filters": { "stats": ["", "Species", "Dilution Info", "Notes"], "tabs": { "all-applications": {"fullname" : "All Applications", "shortname": "All Applications"}, "WB" : {"fullname" : "Western blot", "shortname":"WB"} }, "product-promise": { "all": "all", "testedAndGuaranteed": "tested", "guaranteed": "expected", "predicted": "predicted", "notRecommended": "not-recommended" } }, "values": { "Human": { "WB-species-checked": "testedAndGuaranteed", "WB-species-dilution-info": "0.1-1 µg/mL", "WB-species-notes": "<p></p>" } } }

性能和储存信息

形式
Liquid
纯化工艺
Affinity purification Immunogen
纯化说明
Purified from rabbit serum by sequential epitope-specific chromatography. The antibody has been negatively preadsorbed using a non-phosphopeptide corresponding to the site of phosphorylation to remove antibody that is reactive with non-phosphorylated LAT. The final product is generated byaffinity chromatography using an LAT-derived peptide that is phosphorylated at tyrosine 132.
存储溶液
pH: 7.3 Preservative: 0.05% Sodium azide Constituents: 0.1% BSA
运输条件
Blue Ice
推荐的短期储存条件
+4°C
推荐的长期储存条件
-20°C
分装信息
Upon delivery aliquot
储存信息
Avoid freeze / thaw cycle

补充信息

This supplementary information is collated from multiple sources and compiled automatically.

LAT or Linker for Activation of T cells also known as LAT protein is a transmembrane adaptor protein with an approximate molecular mass of 36-38 kDa. This protein is expressed predominantly on T cells and other cells of the lymphoid lineage. LAT is localized to the plasma membrane and contains multiple tyrosine residues which are critical for its function in signal transduction. Its phosphorylation leads to binding of various signaling molecules enabling signal propagation.
Biological function summary

LAT plays an important role in the immune response by facilitating the assembly of signaling complexes important for T cell activation. Upon antigen stimulation LAT becomes phosphorylated mainly at tyrosine residues allowing proteins like Grb2 and PLCγ1 to form a functional signalosome complex. This complex formation is necessary for downstream signaling events that contribute to T cell proliferation differentiation and cytokine production thereby maintaining immune homeostasis and facilitating adaptive immune responses.

Pathways

LAT operates primarily within the T cell receptor (TCR) signaling pathway. The phosphorylation of LAT by ZAP-70 another important signaling protein enables its role as a scaffold bringing together other molecules for signal transduction. It is closely related to proteins like SLP-76 and GADS both of which are essential for the full activation of T cells. These interactions link LAT to broader signaling cascades such as the MAPK and calcium signaling pathways which are essential for mounting an immune response.

LAT dysfunction is linked to both autoimmune diseases and immunodeficiencies. Defective LAT expression or function can lead to conditions like severe combined immunodeficiency (SCID) due to impaired T cell signaling. Additionally abnormal LAT activity may contribute to autoimmune disorders like systemic lupus erythematosus (SLE) where an overactive immune response is present. Proteins such as LAT can interact with others involved in these conditions including PLCγ1 highlighting its central role in both healthy and diseased states of immune regulation.

产品实验方案

For this product, it's our understanding that no specific protocols are required. You can visit:

靶点信息

Required for TCR (T-cell antigen receptor)- and pre-TCR-mediated signaling, both in mature T-cells and during their development (PubMed : 23514740, PubMed : 25907557). Involved in FCGR3 (low affinity immunoglobulin gamma Fc region receptor III)-mediated signaling in natural killer cells and FCER1 (high affinity immunoglobulin epsilon receptor)-mediated signaling in mast cells. Couples activation of these receptors and their associated kinases with distal intracellular events such as mobilization of intracellular calcium stores, PKC activation, MAPK activation or cytoskeletal reorganization through the recruitment of PLCG1, GRB2, GRAP2, and other signaling molecules.
See full target information LAT phospho Y132

文献 (15)

Recent publications for all applications. Explore the full list and refine your search

eLife 12: PubMed37796108

2023

Allosteric inhibition of the T cell receptor by a designed membrane ligand.

Applications

Unspecified application

Species

Unspecified reactive species

Yujie Ye,Shumpei Morita,Justin J Chang,Patrick M Buckley,Kiera B Wilhelm,Daniel DiMaio,Jay T Groves,Francisco N Barrera

Theranostics 12:3316-3328 PubMed35547746

2022

NAD-boosting molecules suppress mast cell degranulation and anaphylactic responses in mice.

Applications

Unspecified application

Species

Unspecified reactive species

Hyun-Woo Kim,Ga-Hee Ryoo,Hyun-Young Jang,So-Young Rah,Dong Hyun Lee,Do-Kyun Kim,Eun Ju Bae,Byung-Hyun Park

Frontiers in immunology 10:314 PubMed30873169

2019

T Cell Receptor (TCR)-Induced PLC-γ1 Sumoylation via PIASxβ and PIAS3 SUMO E3 Ligases Regulates the Microcluster Assembly and Physiological Function of PLC-γ1.

Applications

Unspecified application

Species

Unspecified reactive species

Qi-Long Wang,Jia-Qi Liang,Bei-Ni Gong,Ji-Ji Xie,Yu-Ting Yi,Xin Lan,Yingqiu Li

Frontiers in immunology 9:115 PubMed29456532

2018

A Stretch of Negatively Charged Amino Acids of Linker for Activation of T-Cell Adaptor Has a Dual Role in T-Cell Antigen Receptor Intracellular Signaling.

Applications

Unspecified application

Species

Unspecified reactive species

Mikel M Arbulo-Echevarria,Isaac Narbona-Sánchez,Cecilia M Fernandez-Ponce,Inmaculada Vico-Barranco,Mª Dolores Rueda-Ygueravide,Michael L Dustin,Arkadiusz Miazek,Mª Carmen Duran-Ruiz,Francisco García-Cózar,Enrique Aguado

Journal of cell science 130:1217-1223 PubMed28209780

2017

Microtubule-associated protein-4 controls nanovesicle dynamics and T cell activation.

Applications

Unspecified application

Species

Unspecified reactive species

Eugenio Bustos-Morán,Noelia Blas-Rus,Noa Beatriz Martin-Cófreces,Francisco Sánchez-Madrid

Nature communications 7:11389 PubMed27091106

2016

Aurora A drives early signalling and vesicle dynamics during T-cell activation.

Applications

Unspecified application

Species

Unspecified reactive species

Noelia Blas-Rus,Eugenio Bustos-Morán,Ignacio Pérez de Castro,Guillermo de Cárcer,Aldo Borroto,Emilio Camafeita,Inmaculada Jorge,Jesús Vázquez,Balbino Alarcón,Marcos Malumbres,Noa B Martín-Cófreces,Francisco Sánchez-Madrid

The Journal of experimental medicine 213:155-65 PubMed26783323

2016

A novel human autoimmune syndrome caused by combined hypomorphic and activating mutations in ZAP-70.

Applications

Unspecified application

Species

Unspecified reactive species

Alice Y Chan,Divya Punwani,Theresa A Kadlecek,Morton J Cowan,Jean L Olson,Erin F Mathes,Uma Sunderam,Shu Man Fu,Rajgopal Srinivasan,John Kuriyan,Steven E Brenner,Arthur Weiss,Jennifer M Puck

European journal of immunology 44:3741-6 PubMed25251667

2014

NF-κB is crucial in proximal T-cell signaling for calcium influx and NFAT activation.

Applications

Unspecified application

Species

Unspecified reactive species

Crystina C Bronk,Sean Yoder,Emily L Hopewell,Shengyu Yang,Esteban Celis,Xue-Zhong Yu,Amer A Beg

The EMBO journal 31:4140-52 PubMed22922463

2012

End-binding protein 1 controls signal propagation from the T cell receptor.

Applications

Unspecified application

Species

Unspecified reactive species

Noa B Martín-Cófreces,Francesc Baixauli,María J López,Diana Gil,Alicia Monjas,Balbino Alarcón,Francisco Sánchez-Madrid

Journal of immunology (Baltimore, Md. : 1950) 186:784-90 PubMed21149602

2010

Beta-catenin inhibits T cell activation by selective interference with linker for activation of T cells-phospholipase C-γ1 phosphorylation.

Applications

Unspecified application

Species

Unspecified reactive species

Gregory Driessens,Yan Zheng,Frederick Locke,Judy L Cannon,Fotini Gounari,Thomas F Gajewski
View all publications

Abcam Product Promise

我们致力于为您的研究提供高质量的试剂,为您科研的每一步提供支持。若我们的产品未能达到预期性能,我们向您提供 Abcam Product Promise 保障。
详情请参阅我们的条款与条件。

关联产品

Select an associated product type
Alternative Product
Primary Antibodies

AB73205

Anti-LAT (phospho Y171) antibody

primary-antibodies

lat-phospho-y171-antibody-ab73205

0

(0 reviews)

Alternative Product
Primary Antibodies

AB68139

Anti-LAT (phospho Y200) antibody [EP983(2)Y]

primary-antibodies

lat-phospho-y200-antibody-ep9832y-ab68139

0

(0 reviews)

Alternative Product
Primary Antibodies

AB32070

Anti-LAT antibody [Y109]

primary-antibodies

lat-antibody-y109-ab32070

0

(0 reviews)

Alternative Product
Primary Antibodies

AB189105

Anti-LAT antibody

primary-antibodies

lat-antibody-ab189105

0

(0 reviews)

Alternative Product
Primary Antibodies

AB59197

Anti-LAT (phospho Y191) antibody

primary-antibodies

lat-phospho-y191-antibody-ab59197

0

(0 reviews)

Alternative Product
Primary Antibodies

AB2507

Anti-LAT antibody

primary-antibodies

lat-antibody-ab2507

0

(0 reviews)

Please note: All products are 'FOR RESEARCH USE ONLY. NOT FOR USE IN DIAGNOSTIC OR THERAPEUTIC PROCEDURES'.

For licensing inquiries, please contact partnerships@abcam.com