JavaScript is disabled in your browser. Please enable JavaScript to view this website.
AB11575

Anti-Laminin 抗体

Anti-Laminin antibody

5

(73 Reviews)

|

(868 Publications)

Anti-Laminin antibody (ab11575) is a rabbit polyclonal antibody detecting Laminin in IHC-P, Dot Blot. Suitable for Human, Mouse.

- Over 640 publications
- Trusted since 2004

查看别名

LAMA, LAMA1, Laminin subunit alpha-1, Laminin A chain, Laminin-1 subunit alpha, Laminin-3 subunit alpha, S-laminin subunit alpha, S-LAM alpha

5 Images
Immunohistochemistry (Formalin/PFA-fixed paraffin-embedded sections) - Anti-Laminin antibody (AB11575)
  • IHC-P

Supplier Data

Immunohistochemistry (Formalin/PFA-fixed paraffin-embedded sections) - Anti-Laminin antibody (AB11575)

Immunohistochemical analysis of formalin fixed paraffin-embedded human tongue sections labeling Laminin with ab11575 at 1/30 dilution. Goat Anti-Rabbit IgG FITC conjugate was used as secondary antibody.

Immunohistochemistry (Formalin/PFA-fixed paraffin-embedded sections) - Anti-Laminin antibody (AB11575)
  • IHC-P

Unknown

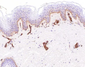
Immunohistochemistry (Formalin/PFA-fixed paraffin-embedded sections) - Anti-Laminin antibody (AB11575)

This image shows formalin fixed paraffin embedded human skin stained for Laminin (proteinase K digestion anti-laminin 1 : 200 – 30 minutes RT). The picture was kindly supplied as part of the review submitted by Elizabeth Chlipala.

Immunohistochemistry (Formalin/PFA-fixed paraffin-embedded sections) - Anti-Laminin antibody (AB11575)
  • IHC-P

Supplier Data

Immunohistochemistry (Formalin/PFA-fixed paraffin-embedded sections) - Anti-Laminin antibody (AB11575)

Immunohistochemical analysis of formalin fixed paraffin-embedded human tonsil sections labeling Laminin with ab11575 at 1/50 dilution. Goat Anti-Rabbit IgG Cy3 conjugate was used as secondary antibody.

Immunohistochemistry (Formalin/PFA-fixed paraffin-embedded sections) - Anti-Laminin antibody (AB11575)
  • IHC-P

AbReview73766****

Immunohistochemistry (Formalin/PFA-fixed paraffin-embedded sections) - Anti-Laminin antibody (AB11575)

Immunohistochemistry analysis (Formalin/PFA-fixed paraffin-embedded sections) of paraformaldehyde-fixed human brain tissue. Stained with ab11575 at 1/10000 dilution. Secondary antibody used was ab150065 at 1/250 dilution. Blocking was done with 5% serum for 1 hour at 21°C. The sample was incubated with the primary antibody and 5% Normal Donkey Serum for 19 hours at 4°C. Antigen retrieval method was heat mediated, Tris/EDTA.

This image is courtesy of an anonymous Abreview

Dot Blot - Anti-Laminin antibody (AB11575)
  • Dot

Supplier Data

Dot Blot - Anti-Laminin antibody (AB11575)

Immunoblotting
Laminin from Engelbreth-Holm-Swarm murine sarcoma basement membrane was separated on SDS-PAGE and probed with Rabbit Anti-Laminin ab11575. The antibody was developed using Goat Anti-Rabbit IgG-Peroxidase secondary antibody and a chemiluminescent substrate.
Lanes
1. antibody dilution 1/1,000
2. antibody dilution 1/2,000
3. antibody dilution 1/4,000
4. antibody dilution 1/8,000
5. antibody dilution 1/16,000
6. antibody dilution 1/32,000
7. Negative control : without primary antibody

关键信息

宿主种属

Rabbit

克隆

Polyclonal

亚型

IgG

不含载体蛋白

No

反应种属

Mouse, Human

应用

Dot, IHC-P

applications

免疫原

Native Full Length Protein corresponding to Human LAMA1.

P25391

特异性

In dot blot immunoassay this antibody does not react with Fibronectin, Vitronectin, Collagen IV, or Chondroitin sulfate types A, B, and C.

反应性数据

{ "title": "Reactivity Data", "filters": { "stats": ["", "Species", "Dilution Info", "Notes"], "tabs": { "all-applications": {"fullname" : "All Applications", "shortname": "All Applications"}, "Dot" : {"fullname" : "Dot Blot", "shortname":"Dot"}, "IHCP" : {"fullname" : "Immunohistochemistry (Formalin/PFA-fixed paraffin-embedded sections)", "shortname":"IHC-P"} }, "product-promise": { "all": "all", "testedAndGuaranteed": "tested", "guaranteed": "expected", "predicted": "predicted", "notRecommended": "not-recommended" } }, "values": { "Human": { "Dot-species-checked": "guaranteed", "Dot-species-dilution-info": "", "Dot-species-notes": "", "IHCP-species-checked": "testedAndGuaranteed", "IHCP-species-dilution-info": "", "IHCP-species-notes": "<p></p>" }, "Mouse": { "Dot-species-checked": "testedAndGuaranteed", "Dot-species-dilution-info": "1/1000", "Dot-species-notes": "<p>This concentration was determined using laminin at 50 ng per dot.</p>", "IHCP-species-checked": "guaranteed", "IHCP-species-dilution-info": "", "IHCP-species-notes": "" }, "Rat": { "Dot-species-checked": "predicted", "Dot-species-dilution-info": "", "Dot-species-notes": "", "IHCP-species-checked": "predicted", "IHCP-species-dilution-info": "", "IHCP-species-notes": "" }, "Amphibian": { "Dot-species-checked": "predicted", "Dot-species-dilution-info": "", "Dot-species-notes": "", "IHCP-species-checked": "predicted", "IHCP-species-dilution-info": "", "IHCP-species-notes": "" }, "Dog": { "Dot-species-checked": "predicted", "Dot-species-dilution-info": "", "Dot-species-notes": "", "IHCP-species-checked": "predicted", "IHCP-species-dilution-info": "", "IHCP-species-notes": "" }, "Horse": { "Dot-species-checked": "predicted", "Dot-species-dilution-info": "", "Dot-species-notes": "", "IHCP-species-checked": "predicted", "IHCP-species-dilution-info": "", "IHCP-species-notes": "" }, "Mammals": { "Dot-species-checked": "predicted", "Dot-species-dilution-info": "", "Dot-species-notes": "", "IHCP-species-checked": "predicted", "IHCP-species-dilution-info": "", "IHCP-species-notes": "" }, "Pig": { "Dot-species-checked": "predicted", "Dot-species-dilution-info": "", "Dot-species-notes": "", "IHCP-species-checked": "predicted", "IHCP-species-dilution-info": "", "IHCP-species-notes": "" }, "Xenopus laevis": { "Dot-species-checked": "predicted", "Dot-species-dilution-info": "", "Dot-species-notes": "", "IHCP-species-checked": "predicted", "IHCP-species-dilution-info": "", "IHCP-species-notes": "" } } }

产品详情

Anti-Laminin antibody (ab11575) is a rabbit polyclonal antibody and is validated for use in Dot and IHC-P.

Anti-Laminin antibody (ab11575) was first used in a scientific publication in 2005 and has been cited over 647 times in peer reviewed journals. It's performance in IHC and Western Blot in human, mouse and rat samples is trusted by the scientific community.

Abcam's high quality validation processes ensure Anti-Laminin antibody (ab11575) has high sensitivity and specificity.

Anti-Laminin antibody (ab11575) has 73 independent reviews from customers.

Anti-Laminin antibody (ab11575) specifically detects Laminin (UniProt ID: Q9Y6N6; Molecular weight: 170kDa) and is sold in 125 µL selling sizes.

Laminin is a crucial glycoprotein found in the extracellular matrix, essential for the structural integrity and function of basement membranes in all animals. Composed of three distinct polypeptide chains (α, β and γ), laminin forms a cross-shaped molecule that facilitates cell adhesion, differentiation, migration and tissue maintenance. Its role in biological activity makes laminin vital for understanding cellular interactions and tissue organization. Researchers study laminin to gain insights into various physiological processes and pathological conditions, including muscular dystrophy (DMD, BMD) and kidney diseases.

性能和储存信息

形式
Liquid
纯化工艺
Affinity purification Immunogen
存储溶液
pH: 7.4 Preservative: 0.097% Sodium azide Constituents: PBS, 1% BSA
运输条件
Blue Ice
推荐的短期储存条件
+4°C
推荐的长期储存条件
-20°C
分装信息
Upon delivery aliquot
储存信息
Avoid freeze / thaw cycle

补充信息

This supplementary information is collated from multiple sources and compiled automatically.

Laminin also known as Laminin-1 is a high-molecular weight protein with a mass of approximately 400 to 900 kDa. It belongs to the family of heterotrimeric glycoproteins found in the extracellular matrix specifically within the basement membranes. This protein includes several isoforms referred to as laminins which consist of three distinct chains: α, β and γ. Laminins contribute to the structural scaffolding by interacting with other molecules like collagen and integrins playing a significant role in tissue architecture and cellular activities such as adhesion and migration. Researchers focus on targeting laminin with laminin antibodies for experiments like laminin IHC and laminin staining to visualize and study tissue structures.
Biological function summary

Laminins serve as essential components in maintaining tissue integrity and functions. They form complexes with other matrix elements to establish basement membranes which separate epithelial cells from connective tissue. Laminins interact with cellular receptors influencing cell differentiation movement and growth. Anti-laminin tools like laminin antibodies and laminin staining techniques help identify specific isoforms and analyze their distribution in research. Scientists often utilize laminine products for such purposes including insights into how they might regulate cellular environments through these complexes.

Pathways

Laminins integrate into essential biological pathways including the PI3K/Akt and MAPK pathways. Through these pathways laminins directly influence cellular processes such as proliferation and survival. They work in tandem with proteins like integrins and collagen reinforcing the structural and signaling pathways necessary for controlling cell fate. These interactions place laminins at the center of cellular communication networks regulating various developmental and physiological processes.

Laminins have connections to several medical conditions including muscular dystrophy and certain forms of cancer. Abnormalities in laminin expression or structure can lead to defective basement membranes contributing to genetic disorders like congenital muscular dystrophy. Laminins also interact with collagen another protein involved in maintaining tissue integrity making their dysfunction a point of interest in oncological research. Scientists in laminine UK and globally use anti-laminin technologies to understand laminin's role in pathogenesis aiming to develop targeted therapies.

产品实验方案

For this product, it's our understanding that no specific protocols are required. You can visit:

靶点信息

Binding to cells via a high affinity receptor, laminin is thought to mediate the attachment, migration and organization of cells into tissues during embryonic development by interacting with other extracellular matrix components.
See full target information LAMA1

文献 (868)

Recent publications for all applications. Explore the full list and refine your search

BMC musculoskeletal disorders 26:932 PubMed41063076

2025

Accumulation of lipids after acute direct and indirect traumatic injuries in male and female mice.

Applications

Unspecified application

Species

Unspecified reactive species

Angela S Bruzina,Braydon A Crum,Christiana J Raymond-Pope,Jarrod A Call,Sarah M Greising

Nature communications 16:8667 PubMed41027875

2025

Stage-specific and cell-autonomous functions of Delta-like 1 in skeletal muscle stem cells and myogenesis.

Applications

Unspecified application

Species

Unspecified reactive species

Ying Peng,Sara Scinto,Beatriz Castro,Haowei Xu,Kashyap Akkinapally,Stephanie N Oprescu,Feng Yue,Jingjuan Chen,Shihuan Kuang

PloS one 20:e0320367 PubMed40892830

2025

Decellularized rat brain extracellular matrix effectively induces the dopaminergic differentiation of human adipose-derived stem cells.

Applications

Unspecified application

Species

Unspecified reactive species

Hossein Faghih,Arash Javeri,Masoumeh Fakhr Taha

Gut microbes 17:2545434 PubMed40824213

2025

Gut microbiota-mediated betaine regulates skeletal muscle fiber type transition by affecting mA RNA methylation and expression.

Applications

Unspecified application

Species

Unspecified reactive species

Chao Yan,Yilong Yao,Zhaobo Zhang,Fanqinyu Li,Danyang Fan,Wen Liu,Xinhao Fan,Lingna Xu,Yanwen Liu,Shilong Wang,Mengling Hu,Yalan Yang,Zhonglin Tang

Advanced materials (Deerfield Beach, Fla.) 37:e09672 PubMed40817630

2025

Fully Synthetic Hydrogels Promote Robust Crypt Formation in Intestinal Organoids.

Applications

Unspecified application

Species

Unspecified reactive species

Ella A Hushka,Michael R Blatchley,Laura J Macdougall,F Max Yavitt,Bruce E Kirkpatrick,Kaustav Bera,Peter J Dempsey,Kristi S Anseth

Science advances 11:eadr5199 PubMed40815643

2025

Traction force and mechanosensitivity mediate species-specific implantation patterns in human and mouse embryos.

Applications

Unspecified application

Species

Unspecified reactive species

Amélie Luise Godeau,Anna Seriola,Oren Tchaicheeyan,Marc Casals,Denitza Denkova,Ester Aroca,Ot Massafret,Albert Parra,Maria Demestre,Anna Ferrer-Vaquer,Shahar Goren,Anna Veiga,Miquel Solé,Montse Boada,Jordi Comelles,Elena Martínez,Julien Colombelli,Ayelet Lesman,Samuel Ojosnegros

Cells 14: PubMed40801608

2025

Extract Supports Skin Homeostasis by Enhancing Epidermal Stem Cell Function and Reinforcing Their Extracellular Niche.

Applications

Unspecified application

Species

Unspecified reactive species

Roberta Lotti,Laetitia Cattuzzato,Xuefeng Huang,David Garandeau,Elisabetta Palazzo,Marika Quadri,Cécile Delluc,Eddy Magdeleine,Xiaojing Li,Mathilde Frechet,Alessandra Marconi

eNeuro 12: PubMed40780964

2025

Single-Cell Approaches Define the Murine Leptomeninges: Cortical Brain Interface as a Distinct Cellular Neighborhood Composed of Neural and Non-neural Cell Types.

Applications

Unspecified application

Species

Unspecified reactive species

Sarah N Ebert,Christine Eisner,Konstantina Karamboulas,Louis-Philippe Bernier,David R Kaplan,Brian A MacVicar,Freda D Miller

PloS one 20:e0328898 PubMed40768435

2025

Development of a tissue-specific bioscaffold for intestinal stem cell culture.

Applications

Unspecified application

Species

Unspecified reactive species

Sachin Kakar,Mathieu F Derouet,Liyue Zhang,Connor J Gillis,Frederikke Larsen,Arghya Paul,Lauren E Flynn,Samuel Asfaha

Materials (Basel, Switzerland) 18: PubMed40731515

2025

Attachment of Human Epithelial Cells to an Anodized Titanium Surface.

Applications

Unspecified application

Species

Unspecified reactive species

Yoshihiko Akashi,Hayato Hashiguchi,Yoshitaka Yamaoka,Kei Nakajima,Katsutoshi Kokubun,Yoshiaki Shimoo,Kenichi Matsuzaka
View all publications

Abcam Product Promise

我们致力于为您的研究提供高质量的试剂,为您科研的每一步提供支持。若我们的产品未能达到预期性能,我们向您提供 Abcam Product Promise 保障。
详情请参阅我们的条款与条件。

Please note: All products are 'FOR RESEARCH USE ONLY. NOT FOR USE IN DIAGNOSTIC OR THERAPEUTIC PROCEDURES'.

For licensing inquiries, please contact partnerships@abcam.com