JavaScript is disabled in your browser. Please enable JavaScript to view this website.
AB238458

重组Anti-Laminin 2 alpha抗体[EPR21890] - BSA and Azide free

Anti-Laminin 2 alpha antibody [EPR21890] - BSA and Azide free

Be the first to review this product! Submit a review

|

(1 Publication)

Rabbit Recombinant Monoclonal Laminin 2 alpha antibody. Carrier free. Suitable for IHC-P and reacts with Human samples. Cited in 1 publication.

查看别名

LAMM, LAMA2, Laminin subunit alpha-2, Laminin M chain, Laminin-12 subunit alpha, Laminin-2 subunit alpha, Laminin-4 subunit alpha, Merosin heavy chain

3 Images
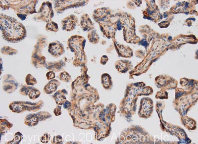
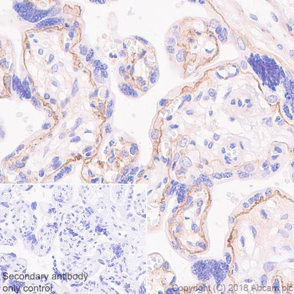
Immunohistochemistry (Formalin/PFA-fixed paraffin-embedded sections) - Anti-Laminin 2 alpha antibody [EPR21890] - BSA and Azide free (AB238458)
  • IHC-P

Supplier Data

Immunohistochemistry (Formalin/PFA-fixed paraffin-embedded sections) - Anti-Laminin 2 alpha antibody [EPR21890] - BSA and Azide free (AB238458)

Immunohistochemical analysis of paraffin-embedded human placenta tissue labeling Laminin 2 alpha with ab219409 at 1/2000 dilution, followed by Goat Anti-Rabbit IgG H&L (HRP) Ready to use. Positive staining on villous basal membrane of human placenta is observed. Counter stained with Hematoxylin.

Secondary antibody only control : Used PBS instead of primary antibody, secondary antibody is Goat Anti-Rabbit IgG H&L (HRP) Ready to use.

This data was developed using the same antibody clone in a different buffer formulation containing PBS, BSA, glycerol, and sodium azide (ab219409).

Heat mediated antigen retrieval was performed with Tris/EDTA buffer pH 9.0 before commencing with IHC staining protocol.

Immunohistochemistry (Formalin/PFA-fixed paraffin-embedded sections) - Anti-Laminin 2 alpha antibody [EPR21890] - BSA and Azide free (AB238458)
  • IHC-P

Supplier Data

Immunohistochemistry (Formalin/PFA-fixed paraffin-embedded sections) - Anti-Laminin 2 alpha antibody [EPR21890] - BSA and Azide free (AB238458)

Immunohistochemical analysis of paraffin-embedded human cardiac muscle tissue labeling Laminin 2 alpha with ab219409 at 1/2000 dilution, followed by Goat Anti-Rabbit IgG H&L (HRP) Ready to use. Positive staining on basal lamina of human cardiac muscle (PMID : 10773239). Counter stained with Hematoxylin.

Secondary antibody only control : Used PBS instead of primary antibody, secondary antibody is Goat Anti-Rabbit IgG H&L (HRP) Ready to use.

This data was developed using the same antibody clone in a different buffer formulation containing PBS, BSA, glycerol and sodium azide (ab219409).

Heat mediated antigen retrieval was performed with Tris/EDTA buffer pH 9.0 before commencing with IHC staining protocol.

Immunohistochemistry (Formalin/PFA-fixed paraffin-embedded sections) - Anti-Laminin 2 alpha antibody [EPR21890] - BSA and Azide free (AB238458)
  • IHC-P

Supplier Data

Immunohistochemistry (Formalin/PFA-fixed paraffin-embedded sections) - Anti-Laminin 2 alpha antibody [EPR21890] - BSA and Azide free (AB238458)

Immunohistochemical analysis of paraffin-embedded human skeletal muscle tissue labeling Laminin 2 alpha with ab219409 at 1/2000 dilution, followed by Goat Anti-Rabbit IgG H&L (HRP) Ready to use. Positive staining on basal lamina of human skeletal muscle (PMID : 26355035). Counter stained with Hematoxylin.

Secondary antibody only control : Used PBS instead of primary antibody, secondary antibody is Goat Anti-Rabbit IgG H&L (HRP) Ready to use.

This data was developed using the same antibody clone in a different buffer formulation containing PBS, BSA, glycerol, and sodium azide (ab219409).

Heat mediated antigen retrieval was performed with Tris/EDTA buffer pH 9.0 before commencing with IHC staining protocol.

不同偶联物与剂型 (1)

关键信息

宿主种属

Rabbit

克隆

Monoclonal

克隆号

EPR21890

亚型

IgG

不含载体蛋白

Yes

反应种属

Human

应用

IHC-P

applications

免疫原

The exact immunogen used to generate this antibody is proprietary information.

反应性数据

{ "title": "Reactivity Data", "filters": { "stats": ["", "Species", "Dilution Info", "Notes"], "tabs": { "all-applications": {"fullname" : "All Applications", "shortname": "All Applications"}, "IHCP" : {"fullname" : "Immunohistochemistry (Formalin/PFA-fixed paraffin-embedded sections)", "shortname":"IHC-P"} }, "product-promise": { "all": "all", "testedAndGuaranteed": "tested", "guaranteed": "expected", "predicted": "predicted", "notRecommended": "not-recommended" } }, "values": { "Human": { "IHCP-species-checked": "testedAndGuaranteed", "IHCP-species-dilution-info": "", "IHCP-species-notes": "<p></p>" } } }

产品详情

ab238458 is the carrier-free version of ab219409.

Patented technology
Our RabMAb® technology is a patented hybridoma-based technology for making rabbit monoclonal antibodies. For details on our patents, please refer to RabMAb® patents.

What are the advantages of a recombinant monoclonal antibody?
This product is a recombinant monoclonal antibody, which offers several advantages including:

  • - High batch-to-batch consistency and reproducibility
  • - Improved sensitivity and specificity
  • - Long-term security of supply
  • - Animal-free batch production

For more information, read more on recombinant antibodies.

Conjugation ready
Our carrier-free antibodies are typically supplied in a PBS-only formulation, purified and free of BSA, sodium azide and glycerol. This conjugation-ready format is designed for use with fluorochromes, metal isotopes, oligonucleotides, and enzymes, which makes them ideal for antibody labelling, functional and cell-based assays, flow-based assays (e.g. mass cytometry) and Multiplex Imaging applications.

Use our conjugation kits for antibody conjugates that are ready-to-use in as little as 20 minutes with 1 minute hands-on-time and 100% antibody recovery: available for fluorescent dyes, HRP, biotin and gold.

Compatibility
This product is compatible with the Maxpar® Antibody Labeling Kit from Fluidigm, without the need for antibody preparation. Maxpar® is a trademark of Fluidigm Canada Inc.

性能和储存信息

形式
Liquid
纯化工艺
Affinity purification Protein A
存储溶液
pH: 7.2 - 7.4 Constituents: PBS
运输条件
Blue Ice
推荐的短期储存条件
+4°C
推荐的长期储存条件
+4°C
储存信息
Do Not Freeze

补充信息

This supplementary information is collated from multiple sources and compiled automatically.

Laminin 2 alpha also known as laminin alpha 2 or merosin is a subunit of the laminin protein family that contributes to the structure of the extracellular matrix. It forms part of the heterotrimeric laminin 211 complex comprising alpha beta and gamma chains. Laminin 2 alpha has a molecular weight of approximately 300 kDa and is expressed in various tissues especially in skeletal muscle and the peripheral nervous system. This subunit plays an important role in anchoring cells to the basement membrane facilitating cellular adhesion and communication.
Biological function summary

Laminin 2 alpha contributes to the integrity and function of the basement membrane by forming a scaffold that connects cells and tissues. It is part of the greater laminin molecule which contains other laminin proteins and helps in cell differentiation migration and adhesion. The protein serves as a binding site for various integrins and dystroglycans contributing to the development and repair processes within muscular and neural systems. It ensures stability in tissue architecture maintaining proper cell signaling pathways in collaboration with other extracellular matrix components.

Pathways

Laminin 2 alpha is involved in processes essential for tissue integrity and repair. It plays a role within the PI3K/AKT signaling pathway which is important for cell survival and metabolism. In this pathway laminin 2 alpha of the laminin 211 complex interacts with integrins and dystroglycan complexes facilitating downstream signaling for cellular growth and differentiation. Additionally laminin 2 alpha assists in the MAPK pathway connecting with proteins like FAK which regulates cell adhesion and proliferation important for healthy tissue function and response to damage.

Laminin 2 alpha is closely related to congenital muscular dystrophies particularly Merosin-deficient Congenital Muscular Dystrophy type 1A (MDC1A). This disorder is characterized by muscle weakness and developmental delays resulting from mutations in the laminin alpha 2 chain. Disruptions in laminin 2 can affect its interaction with the dystrophin-glycoprotein complex leading to compromised muscle membrane stability and tissue degeneration. Another connection exists with neuropathies where laminin 2 alpha's role in the peripheral nervous system can contribute to neural dysfunction if the protein is improperly expressed or mutated.

产品实验方案

For this product, it's our understanding that no specific protocols are required. You can visit:

靶点信息

Binding to cells via a high affinity receptor, laminin is thought to mediate the attachment, migration and organization of cells into tissues during embryonic development by interacting with other extracellular matrix components.
See full target information LAMA2

文献 (1)

Recent publications for all applications. Explore the full list and refine your search

Brain, behavior, and immunity 80:247-254 PubMed30885840

2019

Methamphetamine-associated cognitive decline is attenuated by neutralizing IL-1 signaling.

Applications

Unspecified application

Species

Unspecified reactive species

Arkadiusz Liśkiewicz,Marta Przybyła,Minseon Park,Daniela Liśkiewicz,Marta Nowacka-Chmielewska,Andrzej Małecki,Jarosław Barski,Joanna Lewin-Kowalik,Michal Toborek
View all publications

Abcam Product Promise

我们致力于为您的研究提供高质量的试剂,为您科研的每一步提供支持。若我们的产品未能达到预期性能,我们向您提供 Abcam Product Promise 保障。
详情请参阅我们的条款与条件。

Please note: All products are 'FOR RESEARCH USE ONLY. NOT FOR USE IN DIAGNOSTIC OR THERAPEUTIC PROCEDURES'.

For licensing inquiries, please contact partnerships@abcam.com