JavaScript is disabled in your browser. Please enable JavaScript to view this website.
AB236762

Anti-Laminin 2 alpha抗体[CL3450]

Anti-Laminin 2 alpha antibody [CL3450]

Be the first to review this product! Submit a review

|

(4 Publications)

Anti-Laminin 2 alpha antibody [CL3450] (ab236762) is a mouse monoclonal antibody detecting Laminin 2 alpha in Western Blot, IHC-P. Suitable for Human, Mouse, Rat.

查看别名

LAMM, LAMA2, Laminin subunit alpha-2, Laminin M chain, Laminin-12 subunit alpha, Laminin-2 subunit alpha, Laminin-4 subunit alpha, Merosin heavy chain

7 Images
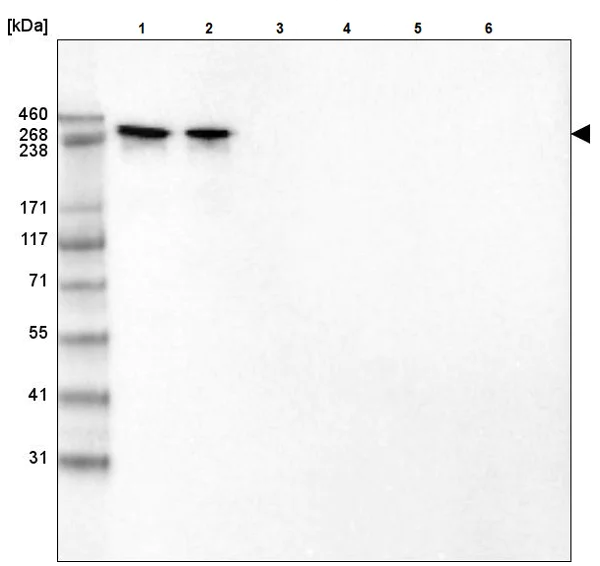
Western blot - Anti-Laminin 2 alpha antibody [CL3450] (AB236762)
  • WB

Supplier Data

Western blot - Anti-Laminin 2 alpha antibody [CL3450] (AB236762)

All lanes:

Western blot - Anti-Laminin 2 alpha antibody [CL3450] (ab236762) at 1 µg/mL

Lane 1:

Purified human recombinant Laminin-211

Lane 2:

Purified human recombinant Laminin-221

Lane 3:

Purified human recombinant Laminin-332

Lane 4:

Purified human recombinant Laminin-421

Lane 5:

Purified human recombinant Laminin-511

Lane 6:

Purified human recombinant Laminin-121

Predicted band size: 344 kDa

false

Immunohistochemistry (Formalin/PFA-fixed paraffin-embedded sections) - Anti-Laminin 2 alpha antibody [CL3450] (AB236762)
  • IHC-P

Supplier Data

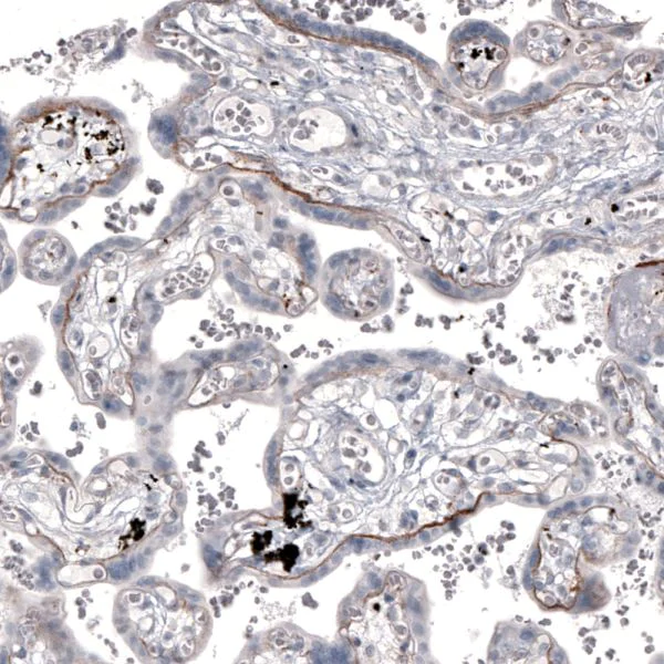
Immunohistochemistry (Formalin/PFA-fixed paraffin-embedded sections) - Anti-Laminin 2 alpha antibody [CL3450] (AB236762)

Paraffin-embedded human placenta tissue stained for Laminin 2 alpha using ab236762 at 1/200 dilution in immunohistochemical analysis.

Immunohistochemistry (Formalin/PFA-fixed paraffin-embedded sections) - Anti-Laminin 2 alpha antibody [CL3450] (AB236762)
  • IHC-P

Supplier Data

Immunohistochemistry (Formalin/PFA-fixed paraffin-embedded sections) - Anti-Laminin 2 alpha antibody [CL3450] (AB236762)

Paraffin-embedded human cerebral cortex tissue stained for Laminin 2 alpha using ab236762 at 1/200 dilution in immunohistochemical analysis.

Immunohistochemistry (Formalin/PFA-fixed paraffin-embedded sections) - Anti-Laminin 2 alpha antibody [CL3450] (AB236762)
  • IHC-P

Supplier Data

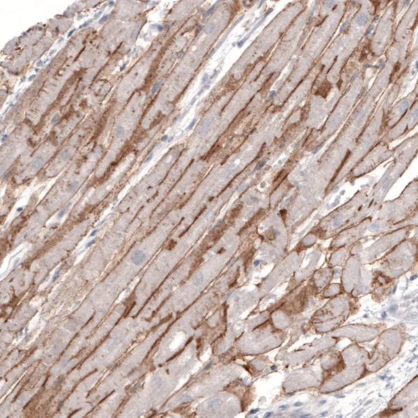
Immunohistochemistry (Formalin/PFA-fixed paraffin-embedded sections) - Anti-Laminin 2 alpha antibody [CL3450] (AB236762)

Paraffin-embedded human heart tissue stained for Laminin 2 alpha using ab236762 at 1/200 dilution in immunohistochemical analysis.

Immunohistochemistry (Formalin/PFA-fixed paraffin-embedded sections) - Anti-Laminin 2 alpha antibody [CL3450] (AB236762)
  • IHC-P

Supplier Data

Immunohistochemistry (Formalin/PFA-fixed paraffin-embedded sections) - Anti-Laminin 2 alpha antibody [CL3450] (AB236762)

Paraffin-embedded rat stomach tissue stained for Laminin 2 alpha using ab236762 at 1/200 dilution in immunohistochemical analysis.

Immunohistochemistry (Formalin/PFA-fixed paraffin-embedded sections) - Anti-Laminin 2 alpha antibody [CL3450] (AB236762)
  • IHC-P

Supplier Data

Immunohistochemistry (Formalin/PFA-fixed paraffin-embedded sections) - Anti-Laminin 2 alpha antibody [CL3450] (AB236762)

Paraffin-embedded mouse heart tissue stained for Laminin 2 alpha using ab236762 at 1/200 dilution in immunohistochemical analysis.

Immunohistochemistry (Formalin/PFA-fixed paraffin-embedded sections) - Anti-Laminin 2 alpha antibody [CL3450] (AB236762)
  • IHC-P

Supplier Data

Immunohistochemistry (Formalin/PFA-fixed paraffin-embedded sections) - Anti-Laminin 2 alpha antibody [CL3450] (AB236762)

Paraffin-embedded rat heart tissue stained for Laminin 2 alpha using ab236762 at 1/200 dilution in immunohistochemical analysis.

关键信息

宿主种属

Mouse

克隆

Monoclonal

克隆号

CL3450

亚型

IgG1

不含载体蛋白

No

反应种属

Mouse, Rat, Human

应用

WB, IHC-P

applications

免疫原

Recombinant Fragment Protein within Human LAMA2 aa 2100-2250. The exact immunogen used to generate this antibody is proprietary information.

P24043

表位

Binds to an epitope located within the peptide sequence DKLKPIKELEDNLKK as determined by overlapping synthetic peptides.

反应性数据

{ "title": "Reactivity Data", "filters": { "stats": ["", "Species", "Dilution Info", "Notes"], "tabs": { "all-applications": {"fullname" : "All Applications", "shortname": "All Applications"}, "IHCP" : {"fullname" : "Immunohistochemistry (Formalin/PFA-fixed paraffin-embedded sections)", "shortname":"IHC-P"}, "WB" : {"fullname" : "Western blot", "shortname":"WB"} }, "product-promise": { "all": "all", "testedAndGuaranteed": "tested", "guaranteed": "expected", "predicted": "predicted", "notRecommended": "not-recommended" } }, "values": { "Human": { "IHCP-species-checked": "testedAndGuaranteed", "IHCP-species-dilution-info": "1/200 - 1/500", "IHCP-species-notes": "<p></p> Perform heat-mediated antigen retrieval with citrate buffer pH 6 before commencing with IHC staining protocol.", "WB-species-checked": "testedAndGuaranteed", "WB-species-dilution-info": "1 µg/mL", "WB-species-notes": "<p></p>" }, "Mouse": { "IHCP-species-checked": "testedAndGuaranteed", "IHCP-species-dilution-info": "1/200 - 1/500", "IHCP-species-notes": "<p></p> Perform heat-mediated antigen retrieval with citrate buffer pH 6 before commencing with IHC staining protocol.", "WB-species-checked": "guaranteed", "WB-species-dilution-info": "", "WB-species-notes": "" }, "Rat": { "IHCP-species-checked": "testedAndGuaranteed", "IHCP-species-dilution-info": "1/200 - 1/500", "IHCP-species-notes": "<p></p> Perform heat-mediated antigen retrieval with citrate buffer pH 6 before commencing with IHC staining protocol.", "WB-species-checked": "guaranteed", "WB-species-dilution-info": "", "WB-species-notes": "" } } }

产品详情

What is this antibody validated in?
Anti-Laminin 2 alpha antibody [CL3450] (ab236762) is a mouse monoclonal antibody and is validated for use in Western Blot (WB), Immunohistochemistry (IHC-P) in Human, Mouse, Rat samples.

What is the molecular weight of Laminin 2 alpha?
Anti-Laminin 2 alpha [CL3450] (ab236762) specifically detects a band for Laminin 2 alpha (UniProt: P24043) at a molecular weight of 344kDa.

性能和储存信息

形式
Liquid
纯化工艺
Affinity purification Protein A
纯化说明
Purified from TCS
存储溶液
pH: 7.2 Preservative: 0.02% Sodium azide Constituents: PBS, 40% Glycerol (glycerin, glycerine)
运输条件
Blue Ice
推荐的短期储存时间
1-2 weeks
推荐的短期储存条件
+4°C
推荐的长期储存条件
-20°C
分装信息
Upon delivery aliquot
储存信息
Avoid freeze / thaw cycle

补充信息

This supplementary information is collated from multiple sources and compiled automatically.

Laminin 2 alpha also known as laminin alpha 2 or merosin is a subunit of the laminin protein family that contributes to the structure of the extracellular matrix. It forms part of the heterotrimeric laminin 211 complex comprising alpha beta and gamma chains. Laminin 2 alpha has a molecular weight of approximately 300 kDa and is expressed in various tissues especially in skeletal muscle and the peripheral nervous system. This subunit plays an important role in anchoring cells to the basement membrane facilitating cellular adhesion and communication.
Biological function summary

Laminin 2 alpha contributes to the integrity and function of the basement membrane by forming a scaffold that connects cells and tissues. It is part of the greater laminin molecule which contains other laminin proteins and helps in cell differentiation migration and adhesion. The protein serves as a binding site for various integrins and dystroglycans contributing to the development and repair processes within muscular and neural systems. It ensures stability in tissue architecture maintaining proper cell signaling pathways in collaboration with other extracellular matrix components.

Pathways

Laminin 2 alpha is involved in processes essential for tissue integrity and repair. It plays a role within the PI3K/AKT signaling pathway which is important for cell survival and metabolism. In this pathway laminin 2 alpha of the laminin 211 complex interacts with integrins and dystroglycan complexes facilitating downstream signaling for cellular growth and differentiation. Additionally laminin 2 alpha assists in the MAPK pathway connecting with proteins like FAK which regulates cell adhesion and proliferation important for healthy tissue function and response to damage.

Laminin 2 alpha is closely related to congenital muscular dystrophies particularly Merosin-deficient Congenital Muscular Dystrophy type 1A (MDC1A). This disorder is characterized by muscle weakness and developmental delays resulting from mutations in the laminin alpha 2 chain. Disruptions in laminin 2 can affect its interaction with the dystrophin-glycoprotein complex leading to compromised muscle membrane stability and tissue degeneration. Another connection exists with neuropathies where laminin 2 alpha's role in the peripheral nervous system can contribute to neural dysfunction if the protein is improperly expressed or mutated.

产品实验方案

For this product, it's our understanding that no specific protocols are required. You can visit:

靶点信息

Binding to cells via a high affinity receptor, laminin is thought to mediate the attachment, migration and organization of cells into tissues during embryonic development by interacting with other extracellular matrix components.
See full target information LAMA2

文献 (4)

Recent publications for all applications. Explore the full list and refine your search

Nature communications 14:6931 PubMed37903771

2023

Remodeling the cellular stress response for enhanced genetic code expansion in mammalian cells.

Applications

Unspecified application

Species

Unspecified reactive species

Mikhail E Sushkin,Christine Koehler,Edward A Lemke

BMC cancer 23:1021 PubMed37872487

2023

Identification of a basement membrane-related genes signature with immune correlation in bladder urothelial carcinoma and verification in vitro.

Applications

Unspecified application

Species

Unspecified reactive species

Yanze Li,Kai Xu,Ye Zhang,Hu Mao,Qiangmin Qiu,Zhiwei Yan,Xiuheng Liu,Yang Du,Zhiyuan Chen

Neuron 111:30-48.e14 PubMed36323321

2022

Mechanosensitive brain tumor cells construct blood-tumor barrier to mask chemosensitivity.

Applications

Unspecified application

Species

Unspecified reactive species

Xin Chen,Ali Momin,Siyi Wanggou,Xian Wang,Hyun-Kee Min,Wenkun Dou,Zheyuan Gong,Jade Chan,Weifan Dong,Jerry J Fan,Yi Xiong,Kamilia Talipova,Hongyu Zhao,Yuki X Chen,Kelly Veerasammy,Adam Fekete,Sachin A Kumar,Hongwei Liu,Qi Yang,Joe Eun Son,Zhengchao Dou,Malini Hu,Parnian Pardis,Kyle Juraschka,Laura K Donovan,Jiao Zhang,Vijay Ramaswamy,Hayden J Selvadurai,Peter B Dirks,Michael D Taylor,Lu-Yang Wang,Chi-Chung Hui,Rinat Abzalimov,Ye He,Yu Sun,Xuejun Li,Xi Huang

Cell death & disease 11:614 PubMed32792503

2020

Mex3a interacts with LAMA2 to promote lung adenocarcinoma metastasis via PI3K/AKT pathway.

Applications

Unspecified application

Species

Unspecified reactive species

Jinghui Liang,Haixia Li,Jingyi Han,Jin Jiang,Jiang Wang,Yongmeng Li,Zitong Feng,Renchang Zhao,Zhenguo Sun,Bin Lv,Hui Tian
View all publications

Abcam Product Promise

我们致力于为您的研究提供高质量的试剂,为您科研的每一步提供支持。若我们的产品未能达到预期性能,我们向您提供 Abcam Product Promise 保障。
详情请参阅我们的条款与条件。

Please note: All products are 'FOR RESEARCH USE ONLY. NOT FOR USE IN DIAGNOSTIC OR THERAPEUTIC PROCEDURES'.

For licensing inquiries, please contact partnerships@abcam.com