JavaScript is disabled in your browser. Please enable JavaScript to view this website.
AB140482

Anti-Laminin 2 alpha 抗体

Anti-Laminin 2 alpha antibody

Be the first to review this product! Submit a review

|

(3 Publications)

Rabbit Polyclonal Laminin 2 alpha antibody. Suitable for IHC-P, WB and reacts with Human samples. Cited in 3 publications.

查看别名

LAMM, LAMA2, Laminin subunit alpha-2, Laminin M chain, Laminin-12 subunit alpha, Laminin-2 subunit alpha, Laminin-4 subunit alpha, Merosin heavy chain

2 Images
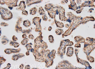
Immunohistochemistry (Formalin/PFA-fixed paraffin-embedded sections) - Anti-Laminin 2 alpha antibody (AB140482)
  • IHC-P

Unknown

Immunohistochemistry (Formalin/PFA-fixed paraffin-embedded sections) - Anti-Laminin 2 alpha antibody (AB140482)

IHC image of Laminin 2 alpha staining in human placenta formalin fixed paraffin embedded tissue section, performed on a Leica Bond system using the standard protocol F. The section was pre-treated using heat mediated antigen retrieval with sodium citrate buffer (pH6, epitope retrieval solution 1) for 20 mins. The section was then incubated with ab140482, 1μg/ml, for 15 mins at room temperature and detected using an HRP conjugated compact polymer system. DAB was used as the chromogen. The section was then counterstained with haematoxylin and mounted with DPX.

For other IHC staining systems (automated and non-automated) customers should optimize variable parameters such as antigen retrieval conditions, primary antibody concentration and antibody incubation times.

Western blot - Anti-Laminin 2 alpha antibody (AB140482)
  • WB

Lab

Western blot - Anti-Laminin 2 alpha antibody (AB140482)

This blot was produced using a 3-8% Tris Acetate gel under the TA buffer system. The gel was run at 150V for 60 minutes before being transferred onto a Nitrocellulose membrane at 30V for 70 minutes. The membrane was then blocked for an hour using 3% Milk before being incubated with ab140482 overnight at 4°C. Antibody binding was detected using an anti-rabbit antibody conjugated to HRP, and visualised using ECL development solution.

All lanes:

Western blot - Anti-Laminin 2 alpha antibody (ab140482) at 1 µg/mL

Lane 1:

Heart (Human) Tissue Lysate - adult normal tissue at 25 µg

Lane 2:

Heart (Human) Tissue Lysate - adult normal tissue at 25 µg with Immunising peptide

Secondary

All lanes:

Western blot - Goat Anti-Rabbit IgG H&L (HRP) (<a href='/products/secondary-antibodies/goat-rabbit-igg-h-l-hrp-ab97051'>ab97051</a>) at 1/10000 dilution

Predicted band size: 344 kDa

Observed band size: 344 kDa

true

Exposure time: 1min

关键信息

宿主种属

Rabbit

克隆

Polyclonal

亚型

IgG

不含载体蛋白

No

反应种属

Human

应用

IHC-P, WB

applications

免疫原

The exact immunogen used to generate this antibody is proprietary information.

反应性数据

{ "title": "Reactivity Data", "filters": { "stats": ["", "Species", "Dilution Info", "Notes"], "tabs": { "all-applications": {"fullname" : "All Applications", "shortname": "All Applications"}, "IHCP" : {"fullname" : "Immunohistochemistry (Formalin/PFA-fixed paraffin-embedded sections)", "shortname":"IHC-P"}, "WB" : {"fullname" : "Western blot", "shortname":"WB"} }, "product-promise": { "all": "all", "testedAndGuaranteed": "tested", "guaranteed": "expected", "predicted": "predicted", "notRecommended": "not-recommended" } }, "values": { "Human": { "IHCP-species-checked": "testedAndGuaranteed", "IHCP-species-dilution-info": "1 µg/mL", "IHCP-species-notes": "<p></p> Perform heat-mediated antigen retrieval with citrate buffer pH 6 before commencing with IHC staining protocol.", "WB-species-checked": "testedAndGuaranteed", "WB-species-dilution-info": "1 µg/mL", "WB-species-notes": "<p></p>" }, "Mouse": { "IHCP-species-checked": "predicted", "IHCP-species-dilution-info": "", "IHCP-species-notes": "", "WB-species-checked": "predicted", "WB-species-dilution-info": "", "WB-species-notes": "" }, "Rat": { "IHCP-species-checked": "predicted", "IHCP-species-dilution-info": "", "IHCP-species-notes": "", "WB-species-checked": "predicted", "WB-species-dilution-info": "", "WB-species-notes": "" }, "Chicken": { "IHCP-species-checked": "predicted", "IHCP-species-dilution-info": "", "IHCP-species-notes": "", "WB-species-checked": "predicted", "WB-species-dilution-info": "", "WB-species-notes": "" }, "Chimpanzee": { "IHCP-species-checked": "predicted", "IHCP-species-dilution-info": "", "IHCP-species-notes": "", "WB-species-checked": "predicted", "WB-species-dilution-info": "", "WB-species-notes": "" }, "Chinese hamster": { "IHCP-species-checked": "predicted", "IHCP-species-dilution-info": "", "IHCP-species-notes": "", "WB-species-checked": "predicted", "WB-species-dilution-info": "", "WB-species-notes": "" }, "Cow": { "IHCP-species-checked": "predicted", "IHCP-species-dilution-info": "", "IHCP-species-notes": "", "WB-species-checked": "predicted", "WB-species-dilution-info": "", "WB-species-notes": "" }, "Gorilla": { "IHCP-species-checked": "predicted", "IHCP-species-dilution-info": "", "IHCP-species-notes": "", "WB-species-checked": "predicted", "WB-species-dilution-info": "", "WB-species-notes": "" }, "Horse": { "IHCP-species-checked": "predicted", "IHCP-species-dilution-info": "", "IHCP-species-notes": "", "WB-species-checked": "predicted", "WB-species-dilution-info": "", "WB-species-notes": "" }, "Macaque monkey": { "IHCP-species-checked": "predicted", "IHCP-species-dilution-info": "", "IHCP-species-notes": "", "WB-species-checked": "predicted", "WB-species-dilution-info": "", "WB-species-notes": "" }, "Rabbit": { "IHCP-species-checked": "predicted", "IHCP-species-dilution-info": "", "IHCP-species-notes": "", "WB-species-checked": "predicted", "WB-species-dilution-info": "", "WB-species-notes": "" } } }

性能和储存信息

形式
Liquid
纯化工艺
Affinity purification Immunogen
存储溶液
pH: 7.4 Preservative: 0.02% Sodium azide Constituents: PBS, 1% BSA
运输条件
Blue Ice
推荐的短期储存时间
1-2 weeks
推荐的短期储存条件
+4°C
推荐的长期储存条件
-20°C
分装信息
Upon delivery aliquot
储存信息
Avoid freeze / thaw cycle

补充信息

This supplementary information is collated from multiple sources and compiled automatically.

Laminin 2 alpha also known as laminin alpha 2 or merosin is a subunit of the laminin protein family that contributes to the structure of the extracellular matrix. It forms part of the heterotrimeric laminin 211 complex comprising alpha beta and gamma chains. Laminin 2 alpha has a molecular weight of approximately 300 kDa and is expressed in various tissues especially in skeletal muscle and the peripheral nervous system. This subunit plays an important role in anchoring cells to the basement membrane facilitating cellular adhesion and communication.
Biological function summary

Laminin 2 alpha contributes to the integrity and function of the basement membrane by forming a scaffold that connects cells and tissues. It is part of the greater laminin molecule which contains other laminin proteins and helps in cell differentiation migration and adhesion. The protein serves as a binding site for various integrins and dystroglycans contributing to the development and repair processes within muscular and neural systems. It ensures stability in tissue architecture maintaining proper cell signaling pathways in collaboration with other extracellular matrix components.

Pathways

Laminin 2 alpha is involved in processes essential for tissue integrity and repair. It plays a role within the PI3K/AKT signaling pathway which is important for cell survival and metabolism. In this pathway laminin 2 alpha of the laminin 211 complex interacts with integrins and dystroglycan complexes facilitating downstream signaling for cellular growth and differentiation. Additionally laminin 2 alpha assists in the MAPK pathway connecting with proteins like FAK which regulates cell adhesion and proliferation important for healthy tissue function and response to damage.

Laminin 2 alpha is closely related to congenital muscular dystrophies particularly Merosin-deficient Congenital Muscular Dystrophy type 1A (MDC1A). This disorder is characterized by muscle weakness and developmental delays resulting from mutations in the laminin alpha 2 chain. Disruptions in laminin 2 can affect its interaction with the dystrophin-glycoprotein complex leading to compromised muscle membrane stability and tissue degeneration. Another connection exists with neuropathies where laminin 2 alpha's role in the peripheral nervous system can contribute to neural dysfunction if the protein is improperly expressed or mutated.

产品实验方案

For this product, it's our understanding that no specific protocols are required. You can visit:

靶点信息

Binding to cells via a high affinity receptor, laminin is thought to mediate the attachment, migration and organization of cells into tissues during embryonic development by interacting with other extracellular matrix components.
See full target information LAMA2

文献 (3)

Recent publications for all applications. Explore the full list and refine your search

Cancer informatics 23:11769351241275877 PubMed39238655

2024

Comprehensive Analysis of CCAAT/Enhancer Binding Protein Family in Ovarian Cancer.

Applications

Unspecified application

Species

Unspecified reactive species

Jiahong Tan,Daoqi Wang,Wei Dong,Lei Nian,Fen Zhang,Han Zhao,Jie Zhang,Yun Feng

Frontiers in medicine 9:922347 PubMed35924034

2022

A rare case of arrhythmogenic right ventricular cardiomyopathy associated with mutation: A case report and literature review.

Applications

Unspecified application

Species

Unspecified reactive species

Yue Wang,Yibing Fang,Dan Zhang,Yifei Li,Shuhua Luo

Brain : a journal of neurology 144:2427-2442 PubMed33792664

2021

INPP5K and SIL1 associated pathologies with overlapping clinical phenotypes converge through dysregulation of PHGDH.

Applications

Unspecified application

Species

Unspecified reactive species

Denisa Hathazi,Dan Cox,Adele D'Amico,Giorgio Tasca,Richard Charlton,Robert-Yves Carlier,Jennifer Baumann,Laxmikanth Kollipara,René P Zahedi,Ingo Feldmann,Jean-Francois Deleuze,Annalaura Torella,Ronald Cohn,Emily Robinson,Francesco Ricci,Heinz Jungbluth,Fabiana Fattori,Anne Boland,Emily O'Connor,Rita Horvath,Rita Barresi,Hanns Lochmüller,Andoni Urtizberea,Marie-Line Jacquemont,Isabelle Nelson,Laura Swan,Gisèle Bonne,Andreas Roos
View all publications

Abcam Product Promise

我们致力于为您的研究提供高质量的试剂,为您科研的每一步提供支持。若我们的产品未能达到预期性能,我们向您提供 Abcam Product Promise 保障。
详情请参阅我们的条款与条件。

Please note: All products are 'FOR RESEARCH USE ONLY. NOT FOR USE IN DIAGNOSTIC OR THERAPEUTIC PROCEDURES'.

For licensing inquiries, please contact partnerships@abcam.com