JavaScript is disabled in your browser. Please enable JavaScript to view this website.
AB11576

Anti-Laminin 2 alpha 抗体 [4H8-2]

Anti-Laminin 2 alpha antibody [4H8-2]

5

(8 Reviews)

|

(71 Publications)

Anti-Laminin 2 alpha antibody [4H8-2] (ab11576) is a rat monoclonal antibody detecting Laminin 2 alpha in IHC-Fr. Suitable for Mouse.

- Clone 4H8-2 is the most cited clone to Laminin 2 alpha
- Over 70 publications
- Trusted since 2004

查看别名

Laminin subunit alpha-2, Laminin M chain, Laminin-12 subunit alpha, Laminin-2 subunit alpha, Laminin-4 subunit alpha, Merosin heavy chain, Lama2

3 Images
Immunohistochemistry (Frozen sections) - Anti-Laminin 2 alpha antibody [4H8-2] (AB11576)
  • IHC-Fr

AbReview70547****

Immunohistochemistry (Frozen sections) - Anti-Laminin 2 alpha antibody [4H8-2] (AB11576)

Immunohistochemistry (Frozen sections) analysis of Mouse muscle tissue labeling Laminin 2 alpha with ab11576 at 1/200 dilution. Tissue fixed with paraformaldehyde and permeabilized with 0.3% Triton X-100 in PBS for 30 minutes. Tissue blocked with 10% goat serum for 1 hour at room temperature followed by incubation with the primary antibody in 2% goat serum, 0.2% triton X-100 in PBS overnight at 4°C. Goat anti-rat IgG (Alexa Fluor® 568) was used as the secondary antibody at 1/500 dilution (red).

This image is courtesy of an anonymous Abreview.

Immunohistochemistry (Frozen sections) - Anti-Laminin 2 alpha antibody [4H8-2] (AB11576)
  • IHC-Fr

AbReview9848****

Immunohistochemistry (Frozen sections) - Anti-Laminin 2 alpha antibody [4H8-2] (AB11576)

ab11576 staining C57B6 mouse skeletal muscle cryostate tissue sections by IHC-Fr. The section was acetone fixed and blocked with 5% BSA for 30 mintes at RT, prior to incubation with the primary antibody (diluted 1/200 in blocking buffer) for 2 hours. A rhodamine-conjugated goat anti-rat antibody was used as the secondary.

This image is courtesy of an Abreview submitted by Dr Ling Guo

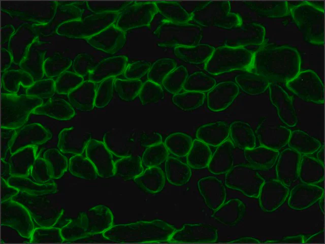
Immunohistochemistry (Frozen sections) - Anti-Laminin 2 alpha antibody [4H8-2] (AB11576)
  • IHC-Fr

Supplier Data

Immunohistochemistry (Frozen sections) - Anti-Laminin 2 alpha antibody [4H8-2] (AB11576)

Immunohistochemical analysis of acetone-fixed frozen section of mouse tongue tissue labeling Laminin 2 alpha using ab11576 at 8 μg/mL, followed by a monoclonal Anti-Rat Kappa & Lamda light chains-FITC congugate at 1/40 dilution (Green).

关键信息

宿主种属

Rat

克隆

Monoclonal

克隆号

4H8-2

亚型

IgG1

不含载体蛋白

No

反应种属

Mouse

应用

IHC-Fr

applications

免疫原

Full Length Protein corresponding to Mouse Lama2. The exact immunogen used to generate this antibody is proprietary information.

Q60675

表位

The epitope recognized by the antibody resides in the N-terminal portion of the alpha 2 chain of laminin.

反应性数据

{ "title": "Reactivity Data", "filters": { "stats": ["", "Species", "Dilution Info", "Notes"], "tabs": { "all-applications": {"fullname" : "All Applications", "shortname": "All Applications"}, "IHCFr" : {"fullname" : "Immunohistochemistry (Frozen sections)", "shortname":"IHC-Fr"} }, "product-promise": { "all": "all", "testedAndGuaranteed": "tested", "guaranteed": "expected", "predicted": "predicted", "notRecommended": "not-recommended" } }, "values": { "Human": { "IHCFr-species-checked": "predicted", "IHCFr-species-dilution-info": "", "IHCFr-species-notes": "" }, "Mouse": { "IHCFr-species-checked": "testedAndGuaranteed", "IHCFr-species-dilution-info": "4-8 µg/mL", "IHCFr-species-notes": "<p>This concentration was determined for acetone-fixed frozen sections of human tongue.</p>" } } }

产品详情

性能和储存信息

形式
Liquid
纯化工艺
Affinity purification Protein A
存储溶液
pH: 7.4 Preservative: 0.097% Sodium azide Constituents: 0.0268% PBS
运输条件
Blue Ice
推荐的短期储存条件
+4°C
推荐的长期储存条件
-20°C
分装信息
Upon delivery aliquot
储存信息
Avoid freeze / thaw cycle

补充信息

This supplementary information is collated from multiple sources and compiled automatically.

Laminin 2 alpha also known as laminin alpha 2 or merosin is a subunit of the laminin protein family that contributes to the structure of the extracellular matrix. It forms part of the heterotrimeric laminin 211 complex comprising alpha beta and gamma chains. Laminin 2 alpha has a molecular weight of approximately 300 kDa and is expressed in various tissues especially in skeletal muscle and the peripheral nervous system. This subunit plays an important role in anchoring cells to the basement membrane facilitating cellular adhesion and communication.
Biological function summary

Laminin 2 alpha contributes to the integrity and function of the basement membrane by forming a scaffold that connects cells and tissues. It is part of the greater laminin molecule which contains other laminin proteins and helps in cell differentiation migration and adhesion. The protein serves as a binding site for various integrins and dystroglycans contributing to the development and repair processes within muscular and neural systems. It ensures stability in tissue architecture maintaining proper cell signaling pathways in collaboration with other extracellular matrix components.

Pathways

Laminin 2 alpha is involved in processes essential for tissue integrity and repair. It plays a role within the PI3K/AKT signaling pathway which is important for cell survival and metabolism. In this pathway laminin 2 alpha of the laminin 211 complex interacts with integrins and dystroglycan complexes facilitating downstream signaling for cellular growth and differentiation. Additionally laminin 2 alpha assists in the MAPK pathway connecting with proteins like FAK which regulates cell adhesion and proliferation important for healthy tissue function and response to damage.

Laminin 2 alpha is closely related to congenital muscular dystrophies particularly Merosin-deficient Congenital Muscular Dystrophy type 1A (MDC1A). This disorder is characterized by muscle weakness and developmental delays resulting from mutations in the laminin alpha 2 chain. Disruptions in laminin 2 can affect its interaction with the dystrophin-glycoprotein complex leading to compromised muscle membrane stability and tissue degeneration. Another connection exists with neuropathies where laminin 2 alpha's role in the peripheral nervous system can contribute to neural dysfunction if the protein is improperly expressed or mutated.

产品实验方案

For this product, it's our understanding that no specific protocols are required. You can visit:

靶点信息

Binding to cells via a high affinity receptor, laminin is thought to mediate the attachment, migration and organization of cells into tissues during embryonic development by interacting with other extracellular matrix components.
See full target information Lama2

文献 (71)

Recent publications for all applications. Explore the full list and refine your search

Skeletal muscle 13:19 PubMed37980539

2023

Electrical impedance myography detects dystrophin-related muscle changes in mdx mice.

Applications

Unspecified application

Species

Unspecified reactive species

Tetsuaki Hiyoshi,Fuqiang Zhao,Rina Baba,Takeshi Hirakawa,Ryosuke Kuboki,Kazunori Suzuki,Yoshiro Tomimatsu,Patricio O'Donnell,Steve Han,Neta Zach,Masato Nakashima

Cancer research 83:1299-1314 PubMed36652557

2023

Active Remodeling of Capillary Endothelium via Cancer Cell-Derived MMP9 Promotes Metastatic Brain Colonization.

Applications

Unspecified application

Species

Unspecified reactive species

Matthia A Karreman,Alexander T Bauer,Gergely Solecki,Anna S Berghoff,Chanté D Mayer,Katharina Frey,Nils Hebach,Manuel J Feinauer,Nicole L Schieber,Cedric Tehranian,Luc Mercier,Mahak Singhal,Varun Venkataramani,Marc C Schubert,Daniel Hinze,Michael Hölzel,Iris Helfrich,Dirk Schadendorf,Stefan W Schneider,Dana Westphal,Hellmut G Augustin,Jacky G Goetz,Yannick Schwab,Wolfgang Wick,Frank Winkler

eLife 11: PubMed36537758

2022

The mini-IDLE 3D biomimetic culture assay enables interrogation of mechanisms governing muscle stem cell quiescence and niche repopulation.

Applications

Unspecified application

Species

Unspecified reactive species

Erik Jacques,Yinni Kuang,Allison P Kann,Fabien Le Grand,Robert S Krauss,Penney M Gilbert

Nature communications 13:7792 PubMed36526657

2022

Muscle 4EBP1 activation modifies the structure and function of the neuromuscular junction in mice.

Applications

Unspecified application

Species

Unspecified reactive species

Seok-Ting J Ang,Elisa M Crombie,Han Dong,Kuan-Ting Tan,Adriel Hernando,Dejie Yu,Stuart Adamson,Seonyoung Kim,Dominic J Withers,Hua Huang,Shih-Yin Tsai

Frontiers in physiology 13:993995 PubMed36439272

2022

p62/Sqstm1 rescue in muscle retards the progression of steatohepatitis in -null mice fed a high-fat diet.

Applications

Unspecified application

Species

Unspecified reactive species

Ikuru Miura,Kosuke Okada,Akiko Ishii,Eiji Warabi,Takahisa Watahiki,Keii To,Hitoshi Shimano,Shunichi Ariizumi,Junichi Shoda

Biomaterials 290:121818 PubMed36209578

2022

Scalable macroporous hydrogels enhance stem cell treatment of volumetric muscle loss.

Applications

Unspecified application

Species

Unspecified reactive species

Ioannis Eugenis,Di Wu,Caroline Hu,Gladys Chiang,Ngan F Huang,Thomas A Rando

Development (Cambridge, England) 149: PubMed36098369

2022

Mural Wnt/β-catenin signaling regulates Lama2 expression to promote neurovascular unit maturation.

Applications

Unspecified application

Species

Unspecified reactive species

Saptarshi Biswas,Sanjid Shahriar,Nicholas P Giangreco,Panos Arvanitis,Markus Winkler,Nicholas P Tatonetti,William J Brunken,Tyler Cutforth,Dritan Agalliu

Nucleic acids research 50:11401-11414 PubMed35944903

2022

Enhanced exon skipping and prolonged dystrophin restoration achieved by TfR1-targeted delivery of antisense oligonucleotide using FORCE conjugation in mdx mice.

Applications

Unspecified application

Species

Unspecified reactive species

Cody A Desjardins,Monica Yao,John Hall,Emma O'Donnell,Reshmii Venkatesan,Sean Spring,Aiyun Wen,Nelson Hsia,Peiyi Shen,Ryan Russo,Bo Lan,Tyler Picariello,Kim Tang,Timothy Weeden,Stefano Zanotti,Romesh Subramanian,Oxana Ibraghimov-Beskrovnaya

Nature metabolism 4:995-1006 PubMed35902645

2022

Systemic induction of senescence in young mice after single heterochronic blood exchange.

Applications

Unspecified application

Species

Unspecified reactive species

Ok Hee Jeon,Melod Mehdipour,Tae-Hwan Gil,Minha Kang,Nicholas W Aguirre,Zachery R Robinson,Cameron Kato,Jessy Etienne,Hyo Gyeong Lee,Fatouma Alimirah,Vighnesh Walavalkar,Pierre-Yves Desprez,Michael J Conboy,Judith Campisi,Irina M Conboy

FASEB journal : official publication of the Federation of American Societies for Experimental Biology 36:e22458 PubMed35867073

2022

Skeletal muscle fiber type-specific expressions of mechanosensors integrin-linked kinase, talin, and vinculin and their modulation by loading and environmental conditions in humans.

Applications

Unspecified application

Species

Unspecified reactive species

Bernhard Andresen,Markus de Marees,Thorsten Schiffer,Wilhelm Bloch,Frank Suhr
View all publications

Abcam Product Promise

我们致力于为您的研究提供高质量的试剂,为您科研的每一步提供支持。若我们的产品未能达到预期性能,我们向您提供 Abcam Product Promise 保障。
详情请参阅我们的条款与条件。

关联产品

Select an associated product type
Alternative Product
Primary Antibodies

AB236762

Anti-Laminin 2 alpha antibody [CL3450]

primary-antibodies

laminin-2-alpha-antibody-cl3450-ab236762

0

(0 reviews)

Alternative Product
Primary Antibodies

AB140482

Anti-Laminin 2 alpha antibody

primary-antibodies

laminin-2-alpha-antibody-ab140482

0

(0 reviews)

Alternative Product
Primary Antibodies

AB238458

Anti-Laminin 2 alpha antibody [EPR21890] - BSA and Azide free

primary-antibodies

laminin-2-alpha-antibody-epr21890-bsa-and-azide-free-ab238458

0

(0 reviews)

Alternative Product
Primary Antibodies

AB219409

Anti-Laminin 2 alpha antibody [EPR21890]

primary-antibodies

laminin-2-alpha-antibody-epr21890-ab219409

0

(0 reviews)

Please note: All products are 'FOR RESEARCH USE ONLY. NOT FOR USE IN DIAGNOSTIC OR THERAPEUTIC PROCEDURES'.

For licensing inquiries, please contact partnerships@abcam.com