JavaScript is disabled in your browser. Please enable JavaScript to view this website.
AB16048

Anti-Lamin B1 抗体 - Nuclear Envelope Marker

Anti-Lamin B1 antibody - Nuclear Envelope Marker

  • BOND RX™ Validated
  • KO Validated
  • Lab Essentials
  • 了解详情

5

(110 Reviews)

|

(1518 Publications)

Anti-Lamin B1 antibody - Nuclear Envelope Marker (ab16048) is a rabbit polyclonal antibody detecting Lamin B1 in Western Blot, IHC-P, ICC/IF. Suitable for Human, Mouse, Rat.

- KO validated for confirmed specificity
- Over 1180 publications
- Trusted since 2005

查看别名

LMN2, LMNB, LMNB1, Lamin-B1

12 Images
Western blot - Anti-Lamin B1 antibody - Nuclear Envelope Marker (AB16048)
  • WB

AbReview11128****

Western blot - Anti-Lamin B1 antibody - Nuclear Envelope Marker (AB16048)

All lanes:

Western blot - Anti-Lamin B1 antibody - Nuclear Envelope Marker (ab16048) at 1/1000 dilution

All lanes:

Human Pancreatic cell line - whole cell lysate at 20 µg

Secondary

All lanes:

HRP conjugated goat anti-rabbit antibody at 1/2000 dilution

Predicted band size: 66 kDa

Observed band size: 68 kDa

true

Exposure time: 30s

This image is courtesy of an anonymous Abreview

Immunocytochemistry/ Immunofluorescence - Anti-Lamin B1 antibody - Nuclear Envelope Marker (AB16048)
  • ICC/IF

Lab

Immunocytochemistry/ Immunofluorescence - Anti-Lamin B1 antibody - Nuclear Envelope Marker (AB16048)

ab16048 staining Lamin B1 in HepG2 cells. The cells were fixed with 4% paraformaldehyde (10 min) permeabilized with 0.1% PBS-Triton X-100 for 5 minutes and then blocked with 1% BSA/10% normal goat serum/0.3M glycine in 0.1%PBS-Tween for 1h. The cells were then incubated overnight at 4°C with ab16048 at 0.1µg/ml and ab7291 Mouse monoclonal [DM1A] to alpha Tubulin - Loading Control. Cells were then incubated with ab150081 Goat polyclonal Secondary Antibody to Rabbit IgG - H&L (Alexa Fluor® 488) pre-adsorbed at 1/1000 dilution (shown in green) and ab150120 Goat polyclonal Secondary Antibody to Mouse IgG - H&L (Alexa Fluor® 594) pre-adsorbed at 1/1000 dilution (shown in pseudocolour red). Nuclear DNA was labelled with DAPI (shown in blue).

Also suitable in cells fixed with 100% methanol (5 min).

Image was acquired with a high-content analyser (Operetta CLS Perkin Elmer) and a maximum intensity projection of confocal sections is shown.

Immunocytochemistry/ Immunofluorescence - Anti-Lamin B1 antibody - Nuclear Envelope Marker (AB16048)
  • ICC/IF

Characteriser

Immunocytochemistry/ Immunofluorescence - Anti-Lamin B1 antibody - Nuclear Envelope Marker (AB16048)

Human and mouse cells stained with ab16048 (1/500 dilution). The cells were fixed in 100% methanol for 6 minutes at -20°C then washed once in PBS.

A : HeLa cells + ab16048 (green)
B : HeLa cells counterstained with DAPI (blue)
C : 3T3 cells + ab16048 (green)
D : 3T3 cells counterstained with DAPI (blue)

Image courtesy of Marilena Ciciarello and Patrizia Lavia, University 'La Sapienza' CNR, Italy

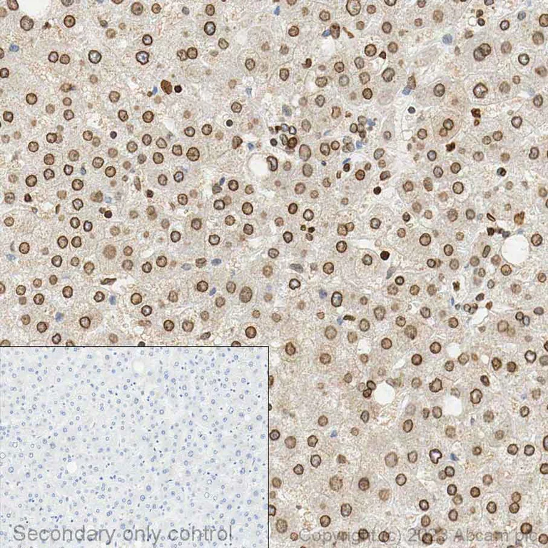
Immunohistochemistry (Formalin/PFA-fixed paraffin-embedded sections) - Anti-Lamin B1 antibody - Nuclear Envelope Marker (AB16048)
  • IHC-P

Lab

Immunohistochemistry (Formalin/PFA-fixed paraffin-embedded sections) - Anti-Lamin B1 antibody - Nuclear Envelope Marker (AB16048)

Immunohistochemical analysis of formalin-fixed paraffin-embedded human liver labelling lamin B1 with ab16048 at a concentration of 0.2µg/ml. The immunostaining was performed on a Ventana DISCOVERY ULTRA (Roche Tissue Diagnostics) instrument with an OptiView DAB IHC Detection Kit. Heat mediated antigen retrieval was conducted for 32min with ULTRA cell conditioning solution (CC1 pH8.5). ab16048 anti lamin B1 antibody was incubated at 37°C for 16min. Sections were counterstained with Hematoxylin II. Image inset shows absence of staining in secondary antibody only control.

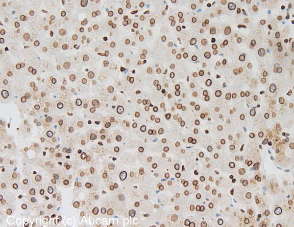
Immunohistochemistry (Formalin/PFA-fixed paraffin-embedded sections) - Anti-Lamin B1 antibody - Nuclear Envelope Marker (AB16048)
  • IHC-P

Lab

Immunohistochemistry (Formalin/PFA-fixed paraffin-embedded sections) - Anti-Lamin B1 antibody - Nuclear Envelope Marker (AB16048)

IHC image of Lamin B1 staining in Human normal Liver formalin fixed paraffin embedded tissue section* performed on a Leica Bond™ system using the standard protocol F. The section was pre-treated using heat mediated antigen retrieval with sodium citrate buffer (pH6 epitope retrieval solution 1) for 20 mins. The section was then incubated with ab16048 1μg/ml for 15 mins at room temperature and detected using an HRP conjugated compact polymer system. DAB was used as the chromogen. The section was then counterstained with haematoxylin and mounted with DPX.

For other IHC staining systems (automated and non-automated) customers should optimize variable parameters such as antigen retrieval conditions primary antibody concentration and antibody incubation times.

*Tissue obtained from the Human Research Tissue Bank supported by the NIHR Cambridge Biomedical Research Centre

Immunocytochemistry/ Immunofluorescence - Anti-Lamin B1 antibody - Nuclear Envelope Marker (AB16048)
  • ICC/IF

Characteriser

Immunocytochemistry/ Immunofluorescence - Anti-Lamin B1 antibody - Nuclear Envelope Marker (AB16048)

Human and mouse cells stained with ab16048 (1/500 dilution). The cells were fixed and permeabilized in 4% formaldehyde 0.2% Tritonm X100 for 10 minutes at room temperature then washed 3x in PBS.

A : HeLa cells + ab16048 (green)
B : HeLa cells counterstained with DAPI (blue)
C : 3T3 cells + ab16048 (green)
D : 3T3 cells counterstained with DAPI (blue)

Image courtesy of Marilena Ciciarello and Patrizia Lavia, University 'La Sapienza' CNR, Italy

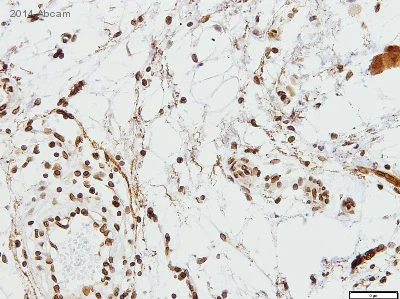
Immunohistochemistry (Formalin/PFA-fixed paraffin-embedded sections) - Anti-Lamin B1 antibody - Nuclear Envelope Marker (AB16048)
  • IHC-P

AbReview43884****

Immunohistochemistry (Formalin/PFA-fixed paraffin-embedded sections) - Anti-Lamin B1 antibody - Nuclear Envelope Marker (AB16048)

ab16048 staining Lamin B1 in human infantile fibromatosis tissue sections by Immunohistochemistry (IHC-P - paraformaldehyde-fixed, paraffin-embedded sections). Tissue was fixed with formaldehyde and blocked with 1% FBS/BSA for 3 hours at room temperature; antigen retrieval was by heat mediation in Tris pH9. Samples were incubated with primary antibody (1/100 in TBS + 1% BSA + 1% FBS) for 16 hours. An undiluted HRP-conjugated goat anti-rabbit IgG polyclonal was used as the secondary antibody.

This image is courtesy of an anonymous Abreview

Immunocytochemistry/ Immunofluorescence - Anti-Lamin B1 antibody - Nuclear Envelope Marker (AB16048)
  • ICC/IF

AbReview79366****

Immunocytochemistry/ Immunofluorescence - Anti-Lamin B1 antibody - Nuclear Envelope Marker (AB16048)

Immunocytochemistry analysis of formaldehyde-fixed NP40-permeabilized Mouse vascular smooth muscle cells staining with ab16048 at 1/100 dilution. Secondary antibody was Alexa Fluor® 488 donkey Anti-rabbit at 1/500 dilution. Samples were incubated with the primary antibody with 3% BSA in PBS for 12 hours at 4°C. Blocking was done using 3% BSA for 1 hour at 21°C.

This image is courtesy of an anonymous Abreview

Western blot - Anti-Lamin B1 antibody - Nuclear Envelope Marker (AB16048)
  • WB

Unknown

Western blot - Anti-Lamin B1 antibody - Nuclear Envelope Marker (AB16048)

Blocking buffer : 3% Milk

Gel type : MOPS

Exposure Time : 2 minutes

Observed band size : 73 kDa

Additional bands : 46 kDa

All lanes:

Western blot - Anti-Lamin B1 antibody - Nuclear Envelope Marker (ab16048) at 1 µg/mL

Lane 1:

HeLa whole cell lysate at 10 µg

Lane 2:

PC12 whole cell lysate at 10 µg

Lane 3:

NIH 3T3 whole cell lysate at 10 µg

Secondary

All lanes:

Goat polyclonal to Rabbit IgG - H&L - Pre-Adsorbed (HRP) at 1/50000 dilution

Predicted band size: 66 kDa

false

Western blot - Anti-Lamin B1 antibody - Nuclear Envelope Marker (AB16048)
  • WB

Lab

Western blot - Anti-Lamin B1 antibody - Nuclear Envelope Marker (AB16048)

Lane 1 : Wild type HAP1 whole cell lysate (20 μg)
Lane 2 : empty lane
Lane 3 : KO HAP1 LMNB1 whole cell lysate (20 μg)
Lane 4 : empty lane
Lanes 1 - 4 : Merged signal (red and green). Green - ab16048 observed at 70 kDa. Red - loading control, ab8245, observed at 37 kDa.

ab16048 was shown to specifically react with LMNB1 (Lamin B1) in wild type HAP1 cells. No band was observed when LMNB1 (Lamin B1) knockout samples were used. ab16048 LMNB1 (Lamin B1) and ab8245 (Mouse anti GAPDH loading control) were incubated overnight at 4°C at 0.1 μg per mL and 1/10000 dilution respectively. Blots were developed with Goat anti-Rabbit IgG H&L (IRDye® 800CW) preadsorbed (ab216773) and Goat anti-Mouse IgG H&L (IRDye® 680RD) preadsorbed (ab216776) secondary antibodies at 1/10000 dilution for 1 hour at room temperature before imaging.

All lanes:

Western blot - Anti-Lamin B1 antibody - Nuclear Envelope Marker (ab16048)

Predicted band size: 66 kDa

false

Western blot - Anti-Lamin B1 antibody - Nuclear Envelope Marker (AB16048)
  • WB

Ap26887****

Western blot - Anti-Lamin B1 antibody - Nuclear Envelope Marker (AB16048)

Lane 1 : Wild-type HAP1 nuclear lysate (10 μg)
Lane 2 : Lamin B1 knockout HAP1 nuclear lysate (10 μg)

Lanes 1 and 2 : Green signal from target - ab16048 observed at 68 kDa. Red signal from loading control - ab10799 observed at 18 kDa.

ab16048 was shown to specifically react with lamin B1 in wild-type HAP1 cells. No band was observed knockout samples were used. Wild-type and lamin B1 knockout samples were subjected to SDS-PAGE. ab16048 and ab10799 (loading control to histone H3 at 0.1μg/mL) were both incubated overnight at 4°C. Blots were developed with Goat anti-Rabbit IgG H&L (IRDye® 800CW) preadsorbed (ab216773) and Goat anti-Mouse IgG H&L (IRDye® 680RD) preadsorbed (ab216776) secondary antibodies at 1/10,000 dilution for 1 h at room temperature before imaging.

All lanes:

Western blot - Anti-Lamin B1 antibody - Nuclear Envelope Marker (ab16048) at 1 µg/mL

Lane 1:

Wild-type HAP1 nuclear lysate at 10 µg

Lane 2:

Lamin B1 knockout HAP1 nuclear lysate at 10 µg

Secondary

All lanes:

Western blot - Goat anti-Rabbit IgG H&L (IRDye® 800CW) preadsorbed (<a href='/products/secondary-antibodies/goat-rabbit-igg-h-l-irdye-800cw-preadsorbed-ab216773'>ab216773</a>) at 1/10000 dilution

Predicted band size: 36 kDa,66 kDa

Observed band size: 68 kDa

false

Western blot - Anti-Lamin B1 antibody - Nuclear Envelope Marker (AB16048)
  • WB

Unknown

Western blot - Anti-Lamin B1 antibody - Nuclear Envelope Marker (AB16048)

All lanes:

Western blot - Anti-Lamin B1 antibody - Nuclear Envelope Marker (ab16048) at 1/1000 dilution

All lanes:

HeLa (Human cervix adenocarcinoma epithelial cell) whole cell lysate at 20 µg

Secondary

All lanes:

Alexa fluor goat polyclonal to Rabbit IgG at 1/10000 dilution

Predicted band size: 66 kDa

Observed band size: 68-70 kDa

false

关键信息

宿主种属

Rabbit

克隆

Polyclonal

亚型

IgG

不含载体蛋白

No

反应种属

Mouse, Rat, Human

应用

ICC/IF, WB, IHC-P

applications

免疫原

The exact immunogen used to generate this antibody is proprietary information.

特异性

From July 2024, QC testing of replenishment batches of this polyclonal changed. All tested and expected application and reactive species combinations are still covered by our Abcam product promise. However, we no longer test all applications. For more information on a specific batch, please contact our Scientific Support who will be happy to help.

反应性数据

{ "title": "Reactivity Data", "filters": { "stats": ["", "Species", "Dilution Info", "Notes"], "tabs": { "all-applications": {"fullname" : "All Applications", "shortname": "All Applications"}, "ICCIF" : {"fullname" : "Immunocytochemistry/ Immunofluorescence", "shortname":"ICC/IF"}, "WB" : {"fullname" : "Western blot", "shortname":"WB"}, "IHCP" : {"fullname" : "Immunohistochemistry (Formalin/PFA-fixed paraffin-embedded sections)", "shortname":"IHC-P"} }, "product-promise": { "all": "all", "testedAndGuaranteed": "tested", "guaranteed": "expected", "predicted": "predicted", "notRecommended": "not-recommended" } }, "values": { "Human": { "ICCIF-species-checked": "testedAndGuaranteed", "ICCIF-species-dilution-info": "0.1 µg/mL", "ICCIF-species-notes": "<p></p>", "WB-species-checked": "testedAndGuaranteed", "WB-species-dilution-info": "0.1 µg/mL", "WB-species-notes": "<p>We recommend Goat anti-Rabbit IgG H&amp;L (IRDye<sup>®</sup> 800CW) preadsorbed (<a href='/products/secondary-antibodies/goat-rabbit-igg-h-l-irdye-800cw-preadsorbed-ab216773'>ab216773</a>).</p>", "IHCP-species-checked": "testedAndGuaranteed", "IHCP-species-dilution-info": "0.1-1 µg/mL", "IHCP-species-notes": "<p></p> Perform heat-mediated antigen retrieval before commencing with IHC staining protocol." }, "Mouse": { "ICCIF-species-checked": "guaranteed", "ICCIF-species-dilution-info": "0.1 µg/mL", "ICCIF-species-notes": "<p></p>", "WB-species-checked": "testedAndGuaranteed", "WB-species-dilution-info": "0.1 µg/mL", "WB-species-notes": "<p>We recommend Goat anti-Rabbit IgG H&amp;L (IRDye<sup>®</sup> 800CW) preadsorbed (<a href='/products/secondary-antibodies/goat-rabbit-igg-h-l-irdye-800cw-preadsorbed-ab216773'>ab216773</a>).</p>", "IHCP-species-checked": "guaranteed", "IHCP-species-dilution-info": "", "IHCP-species-notes": "" }, "Rat": { "ICCIF-species-checked": "guaranteed", "ICCIF-species-dilution-info": "", "ICCIF-species-notes": "", "WB-species-checked": "testedAndGuaranteed", "WB-species-dilution-info": "0.1 µg/mL", "WB-species-notes": "<p>We recommend Goat anti-Rabbit IgG H&amp;L (IRDye<sup>®</sup> 800CW) preadsorbed (<a href='/products/secondary-antibodies/goat-rabbit-igg-h-l-irdye-800cw-preadsorbed-ab216773'>ab216773</a>).</p>", "IHCP-species-checked": "guaranteed", "IHCP-species-dilution-info": "", "IHCP-species-notes": "" }, "Chicken": { "ICCIF-species-checked": "predicted", "ICCIF-species-dilution-info": "", "ICCIF-species-notes": "", "WB-species-checked": "predicted", "WB-species-dilution-info": "", "WB-species-notes": "", "IHCP-species-checked": "predicted", "IHCP-species-dilution-info": "", "IHCP-species-notes": "" }, "Indian muntjac": { "ICCIF-species-checked": "predicted", "ICCIF-species-dilution-info": "", "ICCIF-species-notes": "", "WB-species-checked": "predicted", "WB-species-dilution-info": "", "WB-species-notes": "", "IHCP-species-checked": "predicted", "IHCP-species-dilution-info": "", "IHCP-species-notes": "" }, "Pig": { "ICCIF-species-checked": "predicted", "ICCIF-species-dilution-info": "", "ICCIF-species-notes": "", "WB-species-checked": "predicted", "WB-species-dilution-info": "", "WB-species-notes": "", "IHCP-species-checked": "predicted", "IHCP-species-dilution-info": "", "IHCP-species-notes": "" }, "Xenopus laevis": { "ICCIF-species-checked": "predicted", "ICCIF-species-dilution-info": "", "ICCIF-species-notes": "", "WB-species-checked": "predicted", "WB-species-dilution-info": "", "WB-species-notes": "", "IHCP-species-checked": "predicted", "IHCP-species-dilution-info": "", "IHCP-species-notes": "" }, "Zebrafish": { "ICCIF-species-checked": "predicted", "ICCIF-species-dilution-info": "", "ICCIF-species-notes": "", "WB-species-checked": "predicted", "WB-species-dilution-info": "", "WB-species-notes": "", "IHCP-species-checked": "predicted", "IHCP-species-dilution-info": "", "IHCP-species-notes": "" } } }

产品详情

Anti-Lamin B1 antibody - Nuclear Envelope Marker (ab16048) is a rabbit polyclonal antibody and is validated for use in ICC/IF, IHC-P and WB.

Anti-Lamin B1 antibody - Nuclear Envelope Marker (ab16048) was first used in a scientific publication in 1997 and has been cited over 1182 times in peer reviewed journals. It's performance in Western blot and immunofluorescence in human, mouse and rat samples is trusted by the scientific community.

Abcam's high quality validation processes ensure Anti-Lamin B1 antibody - Nuclear Envelope Marker (ab16048) has high sensitivity and specificity.

The specificity of Anti-Lamin B1 antibody - Nuclear Envelope Marker (ab16048) has been confirmed by ICC/IF testing in Lamin B1 knockout HAP1 cells.

Anti-Lamin B1 antibody - Nuclear Envelope Marker (ab16048) has 108 independent reviews from customers.

Anti-Lamin B1 antibody - Nuclear Envelope Marker (ab16048) specifically detects Lamin B1 (UniProt ID: P14733; Molecular weight: 67kDa) and is sold in 100 ug selling sizes.

Top cited with >1500 citations. Lamin B1 is essential for studying nuclear envelope structure and function, as well as investigating diseases like laminopathies and certain cancers

性能和储存信息

形式
Liquid
纯化工艺
Affinity purification Immunogen
存储溶液
pH: 7.4 Preservative: 0.02% Sodium azide Constituents: PBS, 1% BSA
运输条件
Blue Ice
推荐的短期储存时间
1-2 weeks
推荐的短期储存条件
+4°C
推荐的长期储存条件
-20°C
分装信息
Upon delivery aliquot
储存信息
Avoid freeze / thaw cycle

补充信息

This supplementary information is collated from multiple sources and compiled automatically.

Lamin B1 also known as LMNB1 is a protein component of the nuclear lamina a dense fibrillar network inside the nuclear envelope. It plays a critical structural role in maintaining nuclear integrity. Lamin B1 typically has a molecular weight of approximately 67 kDa. This protein is expressed in the cells of almost all tissues contributing to the maintenance and organization of the nuclear envelope. Researchers often use Western blot techniques to detect and analyze Lamin B1 size and expression levels in various biological samples.
Biological function summary

The Lamin B1 protein supports nuclear stability and regulates chromatin organization. It is a component of the nuclear lamina complex interacting with other lamin proteins such as lamin A and lamin C to form a structured network. This network is essential for chromatin tethering and gene expression regulation influencing cellular processes at the transcriptional level. Its interactions with chromatin and other nuclear components highlight its significance in the overall functional architecture of the cell nucleus.

Pathways

Lamin B1 interacts with molecules involved in the mitotic spindle assembly and DNA replication pathways. It plays an essential role in mitosis where it helps in the disassembly and reassembly of the nuclear envelope. Lamin B1's interactions with proteins like lamin A/C and emerin highlight its participation in nuclear membrane dynamics and chromatin organization during the cell cycle.

Abnormalities in Lamin B1 levels or function associate with conditions like autosomal dominant leukodystrophy and certain types of cancer. Misregulation or mutation of LMNB1 can alter nuclear stability and gene expression contributing to disease pathology. Lamin B1 also connects with proteins like emerin where the disrupted interaction may lead to nuclear envelope-related muscular dystrophies. Understanding these connections is vital for elucidating the molecular basis of these diseases.

产品实验方案

For this product, it's our understanding that no specific protocols are required. You can visit:

靶点信息

Lamins are intermediate filament proteins that assemble into a filamentous meshwork, and which constitute the major components of the nuclear lamina, a fibrous layer on the nucleoplasmic side of the inner nuclear membrane (PubMed : 28716252, PubMed : 32910914). Lamins provide a framework for the nuclear envelope, bridging the nuclear envelope and chromatin, thereby playing an important role in nuclear assembly, chromatin organization, nuclear membrane and telomere dynamics (PubMed : 28716252, PubMed : 32910914). The structural integrity of the lamina is strictly controlled by the cell cycle, as seen by the disintegration and formation of the nuclear envelope in prophase and telophase, respectively (PubMed : 28716252, PubMed : 32910914).
See full target information LMNB1

文献 (1518)

Recent publications for all applications. Explore the full list and refine your search

Nature communications 16:8836 PubMed41044090

2025

Mitotic DNA repair by TMEJ suppresses replication stress-induced nuclear envelope reassembly defect.

Applications

Unspecified application

Species

Unspecified reactive species

Guojun Ye,Yide He,Yihui Zhang,Dongchen Li,Fuhai Liu,Yi Li,Qinglian Ge,Qiong Guo,Shuya Han,Chunyu Song,Weiping Chang,Haoyue Zhang,Qin Peng,Kun Sun,Weike Ji,Lin Deng

Nature communications 16:8647 PubMed41028752

2025

Cell-type-specific functionality encoded within the intrinsically disordered regions of OCT4.

Applications

Unspecified application

Species

Unspecified reactive species

Burak Ozkan,Mitzy Rios de Anda,Elisa Hall-Ponsele,Maria Rosa Portero Migueles,Amani Alshaikh,Marta Hanzevacki,Moriyah Naama,Katharine Furlong,Gareth A Roberts,Meryam Beniazza,My Linh Huynh,Michael R O'Dwyer,Sonia Yiakoumi,Christos Spanos,Hazar Yassen,Keisuke Kaji,Hitoshi Niwa,Yosef Buganim,Sally Lowell,Abdenour Soufi

Nature communications 16:8689 PubMed41027953

2025

Molecular cartography of the human down syndrome and trisomic mouse brain.

Applications

Unspecified application

Species

Unspecified reactive species

Min Yi Feng,Wuxinhao Cao,Nareh Tahmasian,Bharti Kukreja,Gen Li,Bianca Rusu,Ji-Young Youn,Brian T Kalish

Frontiers in pharmacology 16:1646822 PubMed41020006

2025

(Parsley) extract suppresses oxidative stress and inflammatory responses in human keratinocytes and reduces atopic dermatitis symptoms in mouse skin.

Applications

Unspecified application

Species

Unspecified reactive species

Juan Wang,Xiaoqian Wu,Huihao Tang,Zhiwei Liu,Yun Ding,Minyi Feng,Shasha Wang,Jiaqi Zuo,Qi Zhao,Yaozhao Li,Chuntao Zhai,Zhenlin Hu,Xiaolei Ding,Nan Liu

Biomaterials research 29:0256 PubMed40980288

2025

Decreasing Lamin A Triggers Cell Fate Transitions through Heterochromatin-Nuclear Periphery Detethering.

Applications

Unspecified application

Species

Unspecified reactive species

Lijuan Sun,Yafan Xie,Zhaoyan Zuo,Jian Liu,Jiaqi Yang,Iqra Ali,Qin Peng,Juhui Qiu

Cell death & disease 16:590 PubMed40925894

2025

CircPSD3 aggravates tumor progression by maintaining TCA cycle and mitochondrial function via regulating SUCLG2 in thyroid carcinoma.

Applications

Unspecified application

Species

Unspecified reactive species

Yijia Sun,Beinan Han,Jiawei Ge,Zijun Huo,Jin Li,Bo Lin,Xin Du,Yimin Zhang,Haiyan Weng,Shuang Yu,Yanbing Li,Haipeng Xiao,Xiaorong Lin,Shubin Hong

Nature cell biology 27:1771-1784 PubMed40913148

2025

Phase separation of ERCC6L2-CtIP regulates the extent of DNA end resection.

Applications

Unspecified application

Species

Unspecified reactive species

Yixin Yin,Jinlong Lin,Xiaoxia Cai,Runcong Nie,Jiliang Lin,Shuting Li,Zhicheng Xiang,Yihong Ling,Yiyang Zhang,Jie Zhou,Jiewei Chen,Wenping Lin,Jinling Duan,Xueyi Zheng,Dan Xie,Muyan Cai

eLife 14: PubMed40900148

2025

WRN and WRNIP1 ATPases impose high fidelity on translesion synthesis by Y-family DNA polymerases.

Applications

Unspecified application

Species

Unspecified reactive species

Jung Hoon Yoon,Karthi Sellamuthu,Louise Prakash,Satya Prakash

Alzheimer's & dementia : the journal of the Alzheimer's Association 21:e70620 PubMed40891380

2025

A phenotypic screen for novel small molecules that correct tau-mediated pathologies in human frontotemporal dementia neurons.

Applications

Unspecified application

Species

Unspecified reactive species

Hannah Maxwell,James Smith,Tom Campbell,Jason Clark,Rosanna La Rocca,Francesco Paonessa,Sergey Sitnikov,Mark Evans,Peter Maycox,Frederick J Livesey

Nature structural & molecular biology 32:2335-2348 PubMed40890525

2025

Interactions between the genome and the nuclear lamina are multivalent and cooperative.

Applications

Unspecified application

Species

Unspecified reactive species

Lise Dauban,Mathias Eder,Marcel de Haas,Vinícius H Franceschini-Santos,J Omar Yañez-Cuna,Moreno Martinovic,Tom van Schaik,Christ Leemans,Hans Teunissen,Koen Rademaker,Miguel Martinez Ara,Martijn Verkuilen,Elzo de Wit,Bas van Steensel
View all publications

Abcam Product Promise

我们致力于为您的研究提供高质量的试剂,为您科研的每一步提供支持。若我们的产品未能达到预期性能,我们向您提供 Abcam Product Promise 保障。
详情请参阅我们的条款与条件。

Please note: All products are 'FOR RESEARCH USE ONLY. NOT FOR USE IN DIAGNOSTIC OR THERAPEUTIC PROCEDURES'.

For licensing inquiries, please contact partnerships@abcam.com