JavaScript is disabled in your browser. Please enable JavaScript to view this website.
AB264322

Anti-Lamin A抗体

Anti-Lamin A antibody - Nuclear Envelope Marker

Be the first to review this product! Submit a review

|

(2 Publications)

Rabbit Polyclonal Lamin-A/C antibody. Suitable for IHC-P, WB, ICC/IF and reacts with Mouse, Human samples. Cited in 2 publications. Immunogen corresponding to Synthetic Peptide within Human LMNA aa 400-450.

查看别名

LMN1, LMNA, Prelamin-A/C

4 Images
Immunohistochemistry (Formalin/PFA-fixed paraffin-embedded sections) - Anti-Lamin A antibody - Nuclear Envelope Marker (AB264322)
  • IHC-P

Unknown

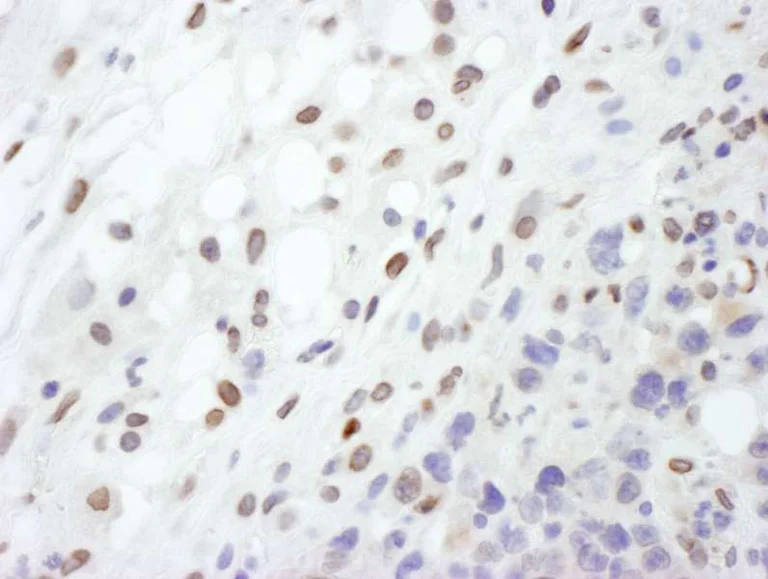
Immunohistochemistry (Formalin/PFA-fixed paraffin-embedded sections) - Anti-Lamin A antibody - Nuclear Envelope Marker (AB264322)

Immunohistochemical analysis of formalin-fixed, paraffin-embedded human testicular seminoma labeling Lamin A with ab264322 at 1/200 dilution. Detection : DAB.

Immunocytochemistry/ Immunofluorescence - Anti-Lamin A antibody - Nuclear Envelope Marker (AB264322)
  • ICC/IF

Unknown

Immunocytochemistry/ Immunofluorescence - Anti-Lamin A antibody - Nuclear Envelope Marker (AB264322)

Immunofluorescent analysis of formaldehyde-fixed asynchronous HeLa (Human epithelial cell line from cervix adenocarcinoma) cells labeling Lamin A with ab264322 at 1/200 dilution (green). Detection : Red-fluorescent goat anti-rabbit IgG-heavy and light chain cross-adsorbed Antibody DyLight® 594 Conjugated used at a dilution of 1/100.

Immunohistochemistry (Formalin/PFA-fixed paraffin-embedded sections) - Anti-Lamin A antibody - Nuclear Envelope Marker (AB264322)
  • IHC-P

Unknown

Immunohistochemistry (Formalin/PFA-fixed paraffin-embedded sections) - Anti-Lamin A antibody - Nuclear Envelope Marker (AB264322)

Immunohistochemical analysis of formalin-fixed, paraffin-embedded mouse plasmacytoma labeling Lamin A with ab264322 at 1/200 dilution. Detection : DAB.

Western blot - Anti-Lamin A antibody - Nuclear Envelope Marker (AB264322)
  • WB

Supplier Data

Western blot - Anti-Lamin A antibody - Nuclear Envelope Marker (AB264322)

4-8% SDS-PAGE

All lanes:

Western blot - Anti-Lamin A antibody - Nuclear Envelope Marker (ab264322) at 1/1000 dilution

Lane 1:

HeLa whole cell lysate at 50 µg

Lane 2:

HeLa whole cell lysate at 15 µg

Predicted band size: 74 kDa

false

Exposure time: 3min

关键信息

宿主种属

Rabbit

克隆

Polyclonal

亚型

IgG

不含载体蛋白

No

反应种属

Mouse, Human

应用

ICC/IF, WB, IHC-P

applications

免疫原

Synthetic Peptide within Human LMNA aa 400-450. The exact immunogen used to generate this antibody is proprietary information.

P02545

反应性数据

{ "title": "Reactivity Data", "filters": { "stats": ["", "Species", "Dilution Info", "Notes"], "tabs": { "all-applications": {"fullname" : "All Applications", "shortname": "All Applications"}, "IHCP" : {"fullname" : "Immunohistochemistry (Formalin/PFA-fixed paraffin-embedded sections)", "shortname":"IHC-P"}, "WB" : {"fullname" : "Western blot", "shortname":"WB"}, "ICCIF" : {"fullname" : "Immunocytochemistry/ Immunofluorescence", "shortname":"ICC/IF"} }, "product-promise": { "all": "all", "testedAndGuaranteed": "tested", "guaranteed": "expected", "predicted": "predicted", "notRecommended": "not-recommended" } }, "values": { "Human": { "IHCP-species-checked": "testedAndGuaranteed", "IHCP-species-dilution-info": "1/100 - 1/500", "IHCP-species-notes": "<p></p> Perform heat-mediated antigen retrieval with citrate buffer pH 6 before commencing with IHC staining protocol.", "WB-species-checked": "testedAndGuaranteed", "WB-species-dilution-info": "1/2000 - 1/10000", "WB-species-notes": "<p></p>", "ICCIF-species-checked": "testedAndGuaranteed", "ICCIF-species-dilution-info": "1/50 - 1/500", "ICCIF-species-notes": "<p>Formaldehyde fixation is recommended. Permeabilization with Triton-X 100 is recommended for formaldehyde-fixed cells.</p>" }, "Mouse": { "IHCP-species-checked": "testedAndGuaranteed", "IHCP-species-dilution-info": "1/100 - 1/500", "IHCP-species-notes": "<p></p> Perform heat-mediated antigen retrieval with citrate buffer pH 6 before commencing with IHC staining protocol.", "WB-species-checked": "guaranteed", "WB-species-dilution-info": "", "WB-species-notes": "", "ICCIF-species-checked": "guaranteed", "ICCIF-species-dilution-info": "", "ICCIF-species-notes": "" }, "Rat": { "IHCP-species-checked": "predicted", "IHCP-species-dilution-info": "", "IHCP-species-notes": "", "WB-species-checked": "predicted", "WB-species-dilution-info": "", "WB-species-notes": "", "ICCIF-species-checked": "predicted", "ICCIF-species-dilution-info": "", "ICCIF-species-notes": "" }, "Pig": { "IHCP-species-checked": "predicted", "IHCP-species-dilution-info": "", "IHCP-species-notes": "", "WB-species-checked": "predicted", "WB-species-dilution-info": "", "WB-species-notes": "", "ICCIF-species-checked": "predicted", "ICCIF-species-dilution-info": "", "ICCIF-species-notes": "" } } }

性能和储存信息

形式
Liquid
纯化工艺
Affinity purification Immunogen
存储溶液
pH: 6.8 - 7.4 Preservative: 0.09% Sodium azide Constituents: Tris buffered saline, 0.1% BSA
运输条件
Blue Ice
推荐的短期储存时间
1-2 weeks
推荐的短期储存条件
+4°C
推荐的长期储存条件
+4°C
分装信息
Upon delivery aliquot
储存信息
Avoid freeze / thaw cycle

补充信息

This supplementary information is collated from multiple sources and compiled automatically.

Lamin A also known as LMNA is a type of lamin protein integral to the nuclear architecture. It has a molecular weight of approximately 70 kDa. This protein localizes mainly to the nuclear lamina a dense fibrillar network inside the inner nuclear membrane found across various cell types. Lamin A serves as a structural scaffold mediating nuclear stability and rigidity. It also plays a role in chromatin organization supporting overall nuclear functions.
Biological function summary

The lamin molecule interacts with several nuclear components forming part of the nuclear lamina complex. It anchors chromatin material and regulates DNA replication and repair. Lamin A protein also modulates gene expression through interactions with transcription factors. Beyond structural support it influences cell cycle progression and differentiation impacting cellular mechanotransduction and signaling processes.

Pathways

Lamin A performs critical functions within the cell cycle and apoptotic pathways. Its interactions with the retinoblastoma protein (pRB) and other cyclin-dependent kinases control cell cycle checkpoints and progression. Moreover lamin A connects with proteins involved in signaling pathways like MAPK which relate to stress responses and cellular growth. These interactions highlight its dynamic involvement in maintaining cell health and proliferation.

Mutations in the lamin A gene associate closely with Hutchinson-Gilford Progeria Syndrome and Emery-Dreifuss Muscular Dystrophy. In these conditions altered lamin A protein affects nuclear shape and chromatin layout disrupting transcriptional regulation. The mutated lamin A protein interacts differently with binding partners like emerin contributing to muscle adipose tissue and multi-system abnormalities. This highlights the critical role lamin A plays in maintaining normal cellular function across life stages.

产品实验方案

For this product, it's our understanding that no specific protocols are required. You can visit:

靶点信息

Lamin-A/C. Lamins are intermediate filament proteins that assemble into a filamentous meshwork, and which constitute the major components of the nuclear lamina, a fibrous layer on the nucleoplasmic side of the inner nuclear membrane (PubMed : 10080180, PubMed : 10580070, PubMed : 10587585, PubMed : 10814726, PubMed : 11799477, PubMed : 12075506, PubMed : 12927431, PubMed : 15317753, PubMed : 18551513, PubMed : 18611980, PubMed : 2188730, PubMed : 22431096, PubMed : 2344612, PubMed : 23666920, PubMed : 24741066, PubMed : 31434876, PubMed : 31548606, PubMed : 37788673, PubMed : 37832547). Lamins provide a framework for the nuclear envelope, bridging the nuclear envelope and chromatin, thereby playing an important role in nuclear assembly, chromatin organization, nuclear membrane and telomere dynamics (PubMed : 10080180, PubMed : 10580070, PubMed : 10587585, PubMed : 10814726, PubMed : 11799477, PubMed : 12075506, PubMed : 12927431, PubMed : 15317753, PubMed : 18551513, PubMed : 18611980, PubMed : 22431096, PubMed : 23666920, PubMed : 24741066, PubMed : 31548606, PubMed : 37788673, PubMed : 37832547). Lamin A and C also regulate matrix stiffness by conferring nuclear mechanical properties (PubMed : 23990565, PubMed : 25127216). The structural integrity of the lamina is strictly controlled by the cell cycle, as seen by the disintegration and formation of the nuclear envelope in prophase and telophase, respectively (PubMed : 2188730, PubMed : 2344612). Lamin A and C are present in equal amounts in the lamina of mammals (PubMed : 10080180, PubMed : 10580070, PubMed : 10587585, PubMed : 10814726, PubMed : 11799477, PubMed : 12075506, PubMed : 12927431, PubMed : 15317753, PubMed : 18551513, PubMed : 18611980, PubMed : 22431096, PubMed : 23666920, PubMed : 31548606). Also invoved in DNA repair : recruited by DNA repair proteins XRCC4 and IFFO1 to the DNA double-strand breaks (DSBs) to prevent chromosome translocation by immobilizing broken DNA ends (PubMed : 31548606). Required for normal development of peripheral nervous system and skeletal muscle and for muscle satellite cell proliferation (PubMed : 10080180, PubMed : 10814726, PubMed : 11799477, PubMed : 18551513, PubMed : 22431096). Required for osteoblastogenesis and bone formation (PubMed : 12075506, PubMed : 15317753, PubMed : 18611980). Also prevents fat infiltration of muscle and bone marrow, helping to maintain the volume and strength of skeletal muscle and bone (PubMed : 10587585). Required for cardiac homeostasis (PubMed : 10580070, PubMed : 12927431, PubMed : 18611980, PubMed : 23666920).. Prelamin-A/C. Prelamin-A/C can accelerate smooth muscle cell senescence (PubMed : 20458013). It acts to disrupt mitosis and induce DNA damage in vascular smooth muscle cells (VSMCs), leading to mitotic failure, genomic instability, and premature senescence (PubMed : 20458013).
See full target information LMNA

文献 (2)

Recent publications for all applications. Explore the full list and refine your search

Genes & diseases 12:101519 PubMed40612667

2025

Restriction of YWHAB-mediated YAP cytoplasmic retention is a novel mechanism underlying stemness maintenance and chemoresistance in ovarian cancer peritoneal metastasis.

Applications

Unspecified application

Species

Unspecified reactive species

Chang Liu,Lei Shi,Zijun Meng,Manlin Zhang,Zhiqi Zhang,Yunzhe Li,Kaiwen Du,Muyao Yang,Lin Qiu,Jing Feng,Yuchen He,Jiayun Liu,Hua Zhang,Hongbin Zhang,Tingyuan Lang,Zhuo Yang

Acta biochimica et biophysica Sinica 57:805-817 PubMed39574164

2024

secretory protein VceA promotes FOXO1 entry into the nucleus to shift host cell metabolism toward glycolysis.

Applications

Unspecified application

Species

Unspecified reactive species

Shuzhu Cao,Xinxin Han,Xingmei Deng,Jia Guo,Liangbo Liu,Yu Zhang,Maratbek Suleimenov,Tianyi Zhao,Wei Li,Jian Ding,Songsong Xie,Hui Zhang
View all publications

Abcam Product Promise

我们致力于为您的研究提供高质量的试剂,为您科研的每一步提供支持。若我们的产品未能达到预期性能,我们向您提供 Abcam Product Promise 保障。
详情请参阅我们的条款与条件。

Please note: All products are 'FOR RESEARCH USE ONLY. NOT FOR USE IN DIAGNOSTIC OR THERAPEUTIC PROCEDURES'.

For licensing inquiries, please contact partnerships@abcam.com