JavaScript is disabled in your browser. Please enable JavaScript to view this website.
AB237720

重组Anti-LAG-3抗体[CAL77]

Anti-LAG-3 antibody [CAL77]

Be the first to review this product! Submit a review

|

(2 Publications)

Rabbit Recombinant Monoclonal LAG-3 antibody. Suitable for Flow Cyt (Intra), IHC-P and reacts with Mouse, Human samples. Cited in 2 publications.

查看别名

CD223, FDC, LAG3, Lymphocyte activation gene 3 protein, LAG-3

6 Images
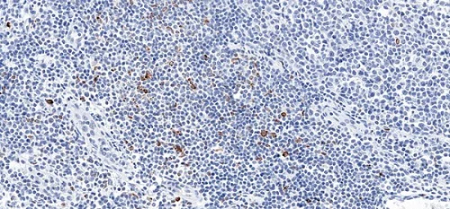
Immunohistochemistry (Formalin/PFA-fixed paraffin-embedded sections) - Anti-LAG-3 antibody [CAL77] (AB237720)
  • IHC-P

Supplier Data

Immunohistochemistry (Formalin/PFA-fixed paraffin-embedded sections) - Anti-LAG-3 antibody [CAL77] (AB237720)

Immunohistochemical analysis of paraffin-embedded human tonsil tissue labeling LAG-3 with ab237720 at 1/900 dilution, followed by a ready to use Goat Anti-Rabbit IgG H&L (HRP). Positive staining on the human tonsil is observed. The section was incubated with ab237720 for 15 mins at room temperature. The immunostaining was performed on a Leica Biosystems BOND® RX instrument. Counterstained with hematoxylin. Secondary antibody only control : Used PBS instead of primary antibody, secondary antibody is a ready to use Goat Anti-Rabbit IgG H&L (HRP). Perform heat mediated antigen retrieval with Tris-EDTA buffer (pH 9.0, epitope retrieval solution 2) for 30 mins.

Immunohistochemistry (Formalin/PFA-fixed paraffin-embedded sections) - Anti-LAG-3 antibody [CAL77] (AB237720)
  • IHC-P

Lab

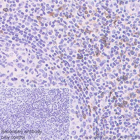
Immunohistochemistry (Formalin/PFA-fixed paraffin-embedded sections) - Anti-LAG-3 antibody [CAL77] (AB237720)

Immunohistochemical analysis of paraffin-embedded human tonsil tissue labeling LAG-3 with ab237720 at 1/900 dilution, followed by a ready to use Goat Anti-Rabbit IgG H&L (HRP). Positive staining on the human tonsil is observed. The section was incubated with ab237720 for 15 mins at room temperature. The immunostaining was performed on a Leica Biosystems BOND® RX instrument. Counterstained with hematoxylin. Secondary antibody only control : Used PBS instead of primary antibody, secondary antibody is a ready to use Goat Anti-Rabbit IgG H&L (HRP). Perform heat mediated antigen retrieval with Tris-EDTA buffer (pH 9.0, epitope retrieval solution 2) for 30 mins.

Flow Cytometry (Intracellular) - Anti-LAG-3 antibody [CAL77] (AB237720)
  • Flow Cyt (Intra)

Lab

Flow Cytometry (Intracellular) - Anti-LAG-3 antibody [CAL77] (AB237720)

Flow cytometric analysis of 2% paraformaldehyde-fixed, 0.1% Tween-20 permeabilized human peripheral blood mononuclear cell (PBMC) treated with 10μg/ml PHA for 2 days, labeling LAG-3 with ab237720 at 1/500 (right panel) compared with a Rabbit monoclonal IgG (ab172730) (left panel). Goat anti rabbit IgG (Alexa Fluor® 488, ab150077), at 1/2000 dilution was used as the secondary antibody. Cells were surface stained with anti-CD3 conjugated to Alexa Fluor® 647. Then fixed with 2% PFA for 10min followed by intracellular staining with rabbit IgG (Left) and ab237720 (Right).

Immunohistochemistry (Formalin/PFA-fixed paraffin-embedded sections) - Anti-LAG-3 antibody [CAL77] (AB237720)
  • IHC-P

Supplier Data

Immunohistochemistry (Formalin/PFA-fixed paraffin-embedded sections) - Anti-LAG-3 antibody [CAL77] (AB237720)

Formalin-fixed, paraffin-embedded human tonsil tissue stained for LAG-3 with ab237720 at 0.25 μg/ml in immunohistochemical analysis.

Flow Cytometry (Intracellular) - Anti-LAG-3 antibody [CAL77] (AB237720)
  • Flow Cyt (Intra)

Lab

Flow Cytometry (Intracellular) - Anti-LAG-3 antibody [CAL77] (AB237720)

Flow cytometry staining of human peripheral blood mononuclear cells (PBMCs) (top) or PBMCs treated with 5 μg/ml phytohaemagglutinin (PHA) for 48 hours (bottom), with ab237720 (right) or Recombinant Rabbit IgG, monoclonal [EPR25A] - Isotype Control (left). Cells were fixed and permeabilised with BD Cytofix/Cytoperm™ for 20 min. PBMCs were incubated for 30 min on ice in 1x PBS containing 10 μg/ml human IgG and 10 % normal goat serum to block FC receptors and non-specific protein-protein interaction followed by the antibody ab237720 or Recombinant Rabbit IgG, monoclonal [EPR25A] - Isotype Control (1x 106in 100 μl at 0.2 μg/ml (1/12750)) for 30 min at 22°C . The cells were simultaneously stained with CD3.

The secondary antibody Goat Anti-Rabbit IgG H&L (Alexa Fluor® 488) preadsorbed was incubated at 1/4000 for 30min at 22°C

Acquisition of >30000 events were collected using a 50 mW Blue laser (488nm) and 525/40 bandpass filter. Events were gated on live cells.

Flow Cytometry (Intracellular) - Anti-LAG-3 antibody [CAL77] (AB237720)
  • Flow Cyt (Intra)

Lab

Flow Cytometry (Intracellular) - Anti-LAG-3 antibody [CAL77] (AB237720)

Intracellular flow cytometric analysis of 2% paraformaldehyde-fixed, 0.1%Tween-20 permeabilized mouse splenocytes treated with 2.5μg/ml Concanavalin A (ConA) for 3 days, labeling LAG-3 with ab237720 at 1/500 (right panel) compared with a Rabbit monoclonal IgG (ab172730) (left panel). Goat anti rabbit IgG (Alexa Fluor® 488, ab150077), at 1/2000 dilution was used as the secondary antibody. Cells were surface stained with anti-CD3 conjugated to Alexa Fluor® 647. Then fixed with 2% PFA for 10min followed by intracellular staining with rabbit IgG (Left) and ab237720 (Right).

不同偶联物与剂型 (4)

关键信息

宿主种属

Rabbit

克隆

Monoclonal

克隆号

CAL77

亚型

IgG

不含载体蛋白

No

反应种属

Mouse, Human

应用

Flow Cyt (Intra), IHC-P

applications

免疫原

The exact immunogen used to generate this antibody is proprietary information.

特异性

IHC-P is only recommended for human samples. We obtained negative staining results with mouse.

反应性数据

{ "title": "Reactivity Data", "filters": { "stats": ["", "Species", "Dilution Info", "Notes"], "tabs": { "all-applications": {"fullname" : "All Applications", "shortname": "All Applications"}, "IP" : {"fullname" : "Immunoprecipitation", "shortname":"IP"}, "WB" : {"fullname" : "Western blot", "shortname":"WB"}, "ICCIF" : {"fullname" : "Immunocytochemistry/ Immunofluorescence", "shortname":"ICC/IF"}, "FlowCytIntra" : {"fullname" : "Flow Cytometry (Intracellular)", "shortname":"Flow Cyt (Intra)"}, "IHCP" : {"fullname" : "Immunohistochemistry (Formalin/PFA-fixed paraffin-embedded sections)", "shortname":"IHC-P"} }, "product-promise": { "all": "all", "testedAndGuaranteed": "tested", "guaranteed": "expected", "predicted": "predicted", "notRecommended": "not-recommended" } }, "values": { "Human": { "IP-species-checked": "notRecommended", "IP-species-dilution-info": "", "IP-species-notes": "<p></p>", "WB-species-checked": "notRecommended", "WB-species-dilution-info": "", "WB-species-notes": "<p></p>", "ICCIF-species-checked": "notRecommended", "ICCIF-species-dilution-info": "", "ICCIF-species-notes": "<p></p>", "FlowCytIntra-species-checked": "testedAndGuaranteed", "FlowCytIntra-species-dilution-info": "1/500", "FlowCytIntra-species-notes": "<p></p>", "IHCP-species-checked": "testedAndGuaranteed", "IHCP-species-dilution-info": "1/900", "IHCP-species-notes": "<p></p> Perform heat-mediated antigen retrieval with Tris/EDTA buffer pH 9.0 before commencing with IHC staining protocol." }, "Mouse": { "IP-species-checked": "notRecommended", "IP-species-dilution-info": "", "IP-species-notes": "<p></p>", "WB-species-checked": "notRecommended", "WB-species-dilution-info": "", "WB-species-notes": "<p></p>", "ICCIF-species-checked": "notRecommended", "ICCIF-species-dilution-info": "", "ICCIF-species-notes": "<p></p>", "FlowCytIntra-species-checked": "testedAndGuaranteed", "FlowCytIntra-species-dilution-info": "1/500", "FlowCytIntra-species-notes": "<p></p>", "IHCP-species-checked": "notRecommended", "IHCP-species-dilution-info": "", "IHCP-species-notes": "<p></p> Perform heat-mediated antigen retrieval with Tris/EDTA buffer pH 9.0 before commencing with IHC staining protocol." } } }

性能和储存信息

形式
Liquid
纯化工艺
Affinity purification Protein A
纯化说明
Purity is greater than 99%.
存储溶液
pH: 7.2 - 7.4 Preservative: 0.05% Sodium azide Constituents: PBS
运输条件
Blue Ice
推荐的短期储存时间
1-2 weeks
推荐的短期储存条件
+4°C
推荐的长期储存条件
-20°C
分装信息
Upon delivery aliquot
储存信息
Avoid freeze / thaw cycle

补充信息

This supplementary information is collated from multiple sources and compiled automatically.

LAG-3 also known as CD223 is a transmembrane protein with a mass of approximately 70 kDa. It acts as a checkpoint molecule similar to CTLA-4 and PD-1 in the immune system. LAG-3 is expressed on activated T cells natural killer cells and some dendritic cells. It interacts with its ligand MHC class II leading to inhibition of cellular proliferation and cytokine secretion an important part of immune response regulation.
Biological function summary

LAG-3 is involved in maintaining immune homeostasis and preventing autoimmunity. It is not part of a complex but works in synergy with other immune checkpoint molecules. When interacting with MHC class II LAG-3 transmits inhibitory signals that attenuate immune cell responses. Its role in immune regulation helps to balance immune activation and tolerance which is essential for preventing tissue damage while protecting against pathogens.

Pathways

The inhibitory role of LAG-3 integrates into the T cell receptor (TCR) signaling pathway and is also linked to the PD-1 signaling pathway. In TCR signaling LAG-3 negatively regulates T cell activation. LAG-3 is functionally related to proteins like PD-1 and CTLA-4 sharing similar roles in immune checkpoint pathways that are critical for maintaining immune balance.

LAG-3 has links to cancer and autoimmune diseases. In cancer LAG-3 expression on tumor-infiltrating lymphocytes correlates with immune evasion by tumors. This relationship appears in various cancers including melanoma and renal cell carcinoma. In autoimmune diseases LAG-3's expression on regulatory T cells helps control conditions such as multiple sclerosis. It collaborates with CTLA-4 in modulating immune responses that prevent excessive immune activation and tissue damage associated with autoimmunity.

产品实验方案

For this product, it's our understanding that no specific protocols are required. You can visit:

靶点信息

Lymphocyte activation gene 3 protein : Inhibitory receptor on antigen activated T-cells (PubMed : 20421648, PubMed : 7805750, PubMed : 8647185). Delivers inhibitory signals upon binding to ligands, such as FGL1 (By similarity). FGL1 constitutes a major ligand of LAG3 and is responsible for LAG3 T-cell inhibitory function (By similarity). Following TCR engagement, LAG3 associates with CD3-TCR in the immunological synapse and directly inhibits T-cell activation (By similarity). May inhibit antigen-specific T-cell activation in synergy with PDCD1/PD-1, possibly by acting as a coreceptor for PDCD1/PD-1 (By similarity). Negatively regulates the proliferation, activation, effector function and homeostasis of both CD8(+) and CD4(+) T-cells (PubMed : 20421648, PubMed : 7805750, PubMed : 8647185). Also mediates immune tolerance : constitutively expressed on a subset of regulatory T-cells (Tregs) and contributes to their suppressive function (By similarity). Also acts as a negative regulator of plasmacytoid dendritic cell (pDCs) activation (By similarity). Binds MHC class II (MHC-II); the precise role of MHC-II-binding is however unclear (PubMed : 8647185).. Secreted lymphocyte activation gene 3 protein. May function as a ligand for MHC class II (MHC-II) on antigen-presenting cells (APC), promoting APC activation/maturation and driving Th1 immune response.
See full target information LAG3

文献 (2)

Recent publications for all applications. Explore the full list and refine your search

Frontiers in immunology 16:1537520 PubMed40061944

2025

infection may increase the degrees of malignancy in lung adenocarcinoma.

Applications

Unspecified application

Species

Unspecified reactive species

Shanshan Li,Mengru Feng,Fenghua Wang,Dongxu Liu,Mingyan Li,Jinlong Dai,Yan Yang,Yinghui Chai,Wen Chen

Nature communications 15:1909 PubMed38429294

2024

synNotch-programmed iPSC-derived NK cells usurp TIGIT and CD73 activities for glioblastoma therapy.

Applications

Unspecified application

Species

Unspecified reactive species

Kyle B Lupo,Xue Yao,Shambhavi Borde,Jiao Wang,Sandra Torregrosa-Allen,Bennett D Elzey,Sagar Utturkar,Nadia A Lanman,MacKenzie McIntosh,Sandro Matosevic
View all publications

Abcam Product Promise

我们致力于为您的研究提供高质量的试剂,为您科研的每一步提供支持。若我们的产品未能达到预期性能,我们向您提供 Abcam Product Promise 保障。
详情请参阅我们的条款与条件。

Please note: All products are 'FOR RESEARCH USE ONLY. NOT FOR USE IN DIAGNOSTIC OR THERAPEUTIC PROCEDURES'.

For licensing inquiries, please contact partnerships@abcam.com