JavaScript is disabled in your browser. Please enable JavaScript to view this website.
AB182407

重组Anti-L1CAM抗体[EPR18998]

Anti-L1CAM antibody [EPR18998]

5

(1 Review)

|

(2 Publications)

Rabbit Recombinant Monoclonal L1CAM antibody. Suitable for WB, IHC-P and reacts with Human samples. Cited in 2 publications.

查看别名

CD171, CAML1, MIC5, L1CAM, Neural cell adhesion molecule L1, N-CAM-L1, NCAM-L1

7 Images
Immunohistochemistry (Formalin/PFA-fixed paraffin-embedded sections) - Anti-L1CAM antibody [EPR18998] (AB182407)
  • IHC-P

Supplier Data

Immunohistochemistry (Formalin/PFA-fixed paraffin-embedded sections) - Anti-L1CAM antibody [EPR18998] (AB182407)

Immunohistochemical analysis of paraffin-embedded Human brain tissue labeling L1CAM with ab182407 at 1/250 dilution, followed by Goat Anti-Rabbit IgG H&L (HRP) (ab97051) at 1/500 dilution. Cytoplasm staining on the neurons in Human brain is observed. Counter stained with Hematoxylin.

Secondary antibody only control : Used PBS instead of primary antibody, secondary antibody is Goat Anti-Rabbit IgG H&L (HRP) (ab97051) at 1/500 dilution.

Perform heat mediated antigen retrieval with Tris/EDTA buffer pH 9.0 before commencing with IHC staining protocol.

Immunohistochemistry (Formalin/PFA-fixed paraffin-embedded sections) - Anti-L1CAM antibody [EPR18998] (AB182407)
  • IHC-P

Supplier Data

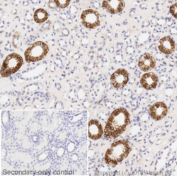
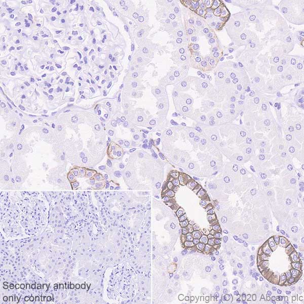
Immunohistochemistry (Formalin/PFA-fixed paraffin-embedded sections) - Anti-L1CAM antibody [EPR18998] (AB182407)

Immunohistochemical analysis of paraffin-embedded Human kidney tissue labeling L1CAM with ab182407 at 1/250 dilution, followed by Goat Anti-Rabbit IgG H&L (HRP) (ab97051) at 1/500 dilution. Membrane and cytoplasm staining on the Human kidney is observed. Counter stained with Hematoxylin.

Secondary antibody only control : Used PBS instead of primary antibody, secondary antibody is Goat Anti-Rabbit IgG H&L (HRP) (ab97051) at 1/500 dilution.

Perform heat mediated antigen retrieval with Tris/EDTA buffer pH 9.0 before commencing with IHC staining protocol.

Immunohistochemistry (Formalin/PFA-fixed paraffin-embedded sections) - Anti-L1CAM antibody [EPR18998] (AB182407)
  • IHC-P

Supplier Data

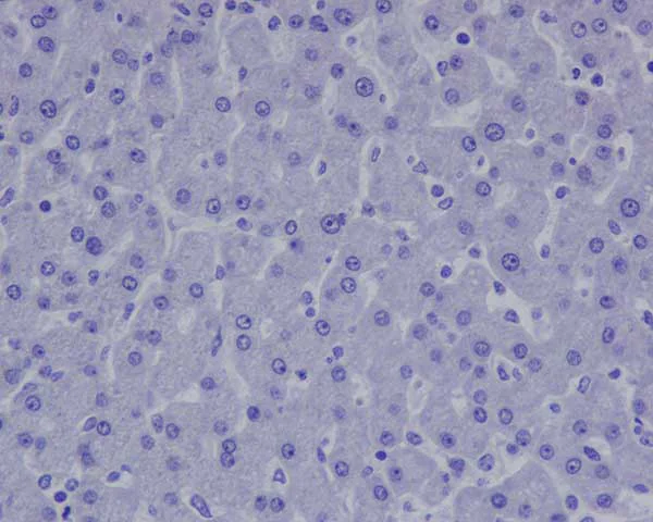
Immunohistochemistry (Formalin/PFA-fixed paraffin-embedded sections) - Anti-L1CAM antibody [EPR18998] (AB182407)

Immunohistochemical analysis of paraffin-embedded Human liver tissue labeling L1CAM with ab182407 at 1/250 dilution, followed by Goat Anti-Rabbit IgG H&L (HRP) (ab97051) at 1/500 dilution. Negative staining on the Human liver is observed. Counter stained with Hematoxylin.

Perform heat mediated antigen retrieval with Tris/EDTA buffer pH 9.0 before commencing with IHC staining protocol.

Immunohistochemistry (Formalin/PFA-fixed paraffin-embedded sections) - Anti-L1CAM antibody [EPR18998] (AB182407)
  • IHC-P

Supplier Data

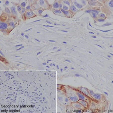
Immunohistochemistry (Formalin/PFA-fixed paraffin-embedded sections) - Anti-L1CAM antibody [EPR18998] (AB182407)

Immunohistochemical analysis of paraffin-embedded Human breast cancer tissue labeling L1CAM with ab182407 at 1/250 dilution, followed by Goat Anti-Rabbit IgG H&L (HRP) (ab97051) at 1/500 dilution. Membrane and cytoplasm staining on Human breast cancer is observed. Counter stained with Hematoxylin.

Secondary antibody only control : Used PBS instead of primary antibody, secondary antibody is Goat Anti-Rabbit IgG H&L (HRP) (ab97051) at 1/500 dilution.

Perform heat mediated antigen retrieval with Tris/EDTA buffer pH 9.0 before commencing with IHC staining protocol.

Western blot - Anti-L1CAM antibody [EPR18998] (AB182407)
  • WB

Supplier Data

Western blot - Anti-L1CAM antibody [EPR18998] (AB182407)

Blocking/Dilution buffer : 5% NFDM/TBST.

Exposure time : Lane 1 and 2 : 3minutes; Lane 3 : 2 seconds; Lane 4 : 10 seconds.

Observed MW : 200-220, 85 kDa

ab182407 binds to the full length L1CAM and the 85kDa fragment. Plasmin cleaves L1CAM at the FN3 repeat to produce 140 kDa and 85 kDa fragments (PMID : 7542658; PMID : 18332088; PMID : 20840789). The 85 kDa fragment is where the immunogen is located.

All lanes:

Western blot - Anti-L1CAM antibody [EPR18998] (ab182407) at 1/5000 dilution

Lane 1:

Human glioma lysate at 20 µg

Lane 2:

A-375 (Human malignant melanoma cell line) whole cell lysate at 20 µg

Lane 3:

Human cerebellum lysate at 20 µg

Lane 4:

Human hippocampus lysate at 20 µg

Secondary

All lanes:

Anti-Rabbit IgG (HRP), specific to the non-reduced form of IgG at 1/10000 dilution

Predicted band size: 140 kDa

false

Western blot - Anti-L1CAM antibody [EPR18998] (AB182407)
  • WB

Supplier Data

Western blot - Anti-L1CAM antibody [EPR18998] (AB182407)

Blocking/Dilution buffer : 5% NFDM/TBST.

Exposure time : Lane 1 : 1 second; Lane 2 : 3 minutes.

Observed MW : 200-220, 85 kDa

ab182407 binds to the full length L1CAM and the 85kDa fragment. Plasmin cleaves L1CAM at the FN3 repeat to produce 140 kDa and 85 kDa fragments (PMID : 7542658; PMID : 18332088; PMID : 20840789). The 85 kDa fragment is where the immunogen is located.

All lanes:

Western blot - Anti-L1CAM antibody [EPR18998] (ab182407) at 1/1000 dilution

Lane 1:

Human fetal brain lysate at 10 µg

Lane 2:

Human fetal kidney lysate at 10 µg

Secondary

All lanes:

Anti-Rabbit IgG (HRP), specific to the non-reduced form of IgG at 1/10000 dilution

Predicted band size: 140 kDa

false

Western blot - Anti-L1CAM antibody [EPR18998] (AB182407)
  • WB

Unknown

Western blot - Anti-L1CAM antibody [EPR18998] (AB182407)

Lanes 1-2 : Merged signal (red and green). Green - ab182407 observed at 220 kDa. Red - loading control, ab130007 observed at 125 kDa.

ab182407 was shown to react with L1CAM in wild-type HeLa cells in Western blot. Loss of signal was observed when knockout sample ab263786 was used. Wild-type and L1CAM knockout samples were subjected to SDS-PAGE. ab182407 and Anti-Vinculin antibody [VIN-54] (ab130007) were incubated overnight at 4°C at 1 in 5000 dilution and 1 in 20000 dilution respectively. Blots were developed with Goat anti-Rabbit IgG H&L (IRDye® 800CW) preadsorbed (ab216773) and Goat anti-Mouse IgG H&L (IRDye® 680RD) preadsorbed (ab216776) secondary antibodies at 1 in 20000 dilution for 1 hour at room temperature before imaging.

All lanes:

Western blot - Anti-L1CAM antibody [EPR18998] (ab182407) at 1/5000 dilution

Lane 1:

Wild-type HeLa cell lysate at 20 µg

Lane 2:

L1CAM knockout HeLa cell lysate at 20 µg

Lane 2:

Western blot - Human L1CAM knockout HeLa cell line (<a href='/products/cell-lines/human-l1cam-knockout-hela-cell-line-ab255401'>ab255401</a>)

Secondary

All lanes:

Western blot - Goat anti-Rabbit IgG H&L (IRDye® 800CW) preadsorbed (<a href='/products/secondary-antibodies/goat-rabbit-igg-h-l-irdye-800cw-preadsorbed-ab216773'>ab216773</a>) at 1/20000 dilution

Predicted band size: 140 kDa

Observed band size: 124 kDa,220 kDa

false

不同偶联物与剂型 (1)

  • Carrier free

    Anti-L1CAM antibody [EPR18998] - BSA and Azide free

关键信息

宿主种属

Rabbit

克隆

Monoclonal

克隆号

EPR18998

亚型

IgG

不含载体蛋白

No

反应种属

Human

应用

IHC-P, WB

applications

免疫原

The exact immunogen used to generate this antibody is proprietary information.

反应性数据

{ "title": "Reactivity Data", "filters": { "stats": ["", "Species", "Dilution Info", "Notes"], "tabs": { "all-applications": {"fullname" : "All Applications", "shortname": "All Applications"}, "WB" : {"fullname" : "Western blot", "shortname":"WB"}, "IHCP" : {"fullname" : "Immunohistochemistry (Formalin/PFA-fixed paraffin-embedded sections)", "shortname":"IHC-P"} }, "product-promise": { "all": "all", "testedAndGuaranteed": "tested", "guaranteed": "expected", "predicted": "predicted", "notRecommended": "not-recommended" } }, "values": { "Human": { "WB-species-checked": "testedAndGuaranteed", "WB-species-dilution-info": "1/1000", "WB-species-notes": "<p>Observed band: 85, 200-220 kDa</p>", "IHCP-species-checked": "testedAndGuaranteed", "IHCP-species-dilution-info": "1/250", "IHCP-species-notes": "<p></p>" } } }

产品详情

Patented technology
Our RabMAb® technology is a patented hybridoma-based technology for making rabbit monoclonal antibodies. For details on our patents, please refer to RabMAb® patents.

What are the advantages of a recombinant monoclonal antibody?
This product is a recombinant monoclonal antibody, which offers several advantages including:

  • - High batch-to-batch consistency and reproducibility
  • - Improved sensitivity and specificity
  • - Long-term security of supply
  • - Animal-free batch production

For more information, read more on recombinant antibodies.

性能和储存信息

形式
Liquid
纯化工艺
Affinity purification Protein A
存储溶液
pH: 7.2 Preservative: 0.01% Sodium azide Constituents: PBS, 40% Glycerol (glycerin, glycerine), 0.05% BSA
运输条件
Blue Ice
推荐的短期储存时间
1-2 weeks
推荐的短期储存条件
+4°C
推荐的长期储存条件
-20°C
分装信息
Upon delivery aliquot
储存信息
Avoid freeze / thaw cycle

补充信息

This supplementary information is collated from multiple sources and compiled automatically.

L1CAM also known as neural cell adhesion molecule L1 is a transmembrane protein with a molecular weight of approximately 200-220 kDa. The L1CAM protein belongs to the immunoglobulin superfamily and is heavily glycosylated. It plays a significant role in cell adhesion processes within the nervous system. L1CAM is expressed in a variety of tissues including the brain kidney and peripheral nerves and is notably present in neuronal cells where it engages in cell-cell interactions. Researchers frequently use L1CAM IHC ELISA methods and specific fluorescent markers like Alexa Fluor 568 to study its expression patterns and localization.
Biological function summary

L1CAM facilitates neuronal migration axonal growth and synaptic plasticity. This protein participates in the formation and maintenance of neural networks. It interacts with other cell adhesion molecules and components of the extracellular matrix. L1CAM acts as an important modulator within neuronal signaling complexes which impacts the development and regeneration of the nervous system. Insights into its structural and cell interaction properties have made it a focus for understanding nervous system functions.

Pathways

L1CAM participates extensively in the MAPK and PI3K/AKT pathways. These pathways contribute to cellular growth survival and programmed cell death. The protein interacts with other molecules such as integrins and FGFRs to propagate signaling cascades important for cellular response mechanisms. These connections help modulate cytoskeletal dynamics influencing cellular adhesion and motility needed during brain development and response to injury.

L1CAM has been associated with hydrocephalus and some cancers. Mutations in the L1CAM gene can lead to L1 syndrome which includes a spectrum of neurological disorders particularly hydrocephalus. In cancer overexpression or altered regulation of L1CAM may correlate with tumor aggressiveness and metastatic potential. L1CAM's association with integrin and cadherin proteins underlines its relevance in pathological states and highlights a potential target for therapeutic interventions.

产品实验方案

For this product, it's our understanding that no specific protocols are required. You can visit:

靶点信息

Neural cell adhesion molecule involved in the dynamics of cell adhesion and in the generation of transmembrane signals at tyrosine kinase receptors. During brain development, critical in multiple processes, including neuronal migration, axonal growth and fasciculation, and synaptogenesis. In the mature brain, plays a role in the dynamics of neuronal structure and function, including synaptic plasticity.
See full target information L1CAM

文献 (2)

Recent publications for all applications. Explore the full list and refine your search

Cell stem cell 23:60-73.e6 PubMed29937203

2018

hPSC Modeling Reveals that Fate Selection of Cortical Deep Projection Neurons Occurs in the Subplate.

Applications

Unspecified application

Species

Unspecified reactive species

M Zeeshan Ozair,Christoph Kirst,Bastiaan L van den Berg,Albert Ruzo,Tiago Rito,Ali H Brivanlou

The Journal of neuroscience : the official journal of the Society for Neuroscience 32:10352-64 PubMed22836268

2012

ARF6 directs axon transport and traffic of integrins and regulates axon growth in adult DRG neurons.

Applications

Unspecified application

Species

Unspecified reactive species

Richard Eva,Sarah Crisp,Jamie R K Marland,Jim C Norman,Venkateswarlu Kanamarlapudi,Charles ffrench-Constant,James W Fawcett
View all publications

Abcam Product Promise

我们致力于为您的研究提供高质量的试剂,为您科研的每一步提供支持。若我们的产品未能达到预期性能,我们向您提供 Abcam Product Promise 保障。
详情请参阅我们的条款与条件。

Please note: All products are 'FOR RESEARCH USE ONLY. NOT FOR USE IN DIAGNOSTIC OR THERAPEUTIC PROCEDURES'.

For licensing inquiries, please contact partnerships@abcam.com