JavaScript is disabled in your browser. Please enable JavaScript to view this website.
AB24345

Anti-L1CAM抗体[2C2]

Anti-L1CAM antibody [2C2]

5

(13 Reviews)

|

(72 Publications)

Anti-L1CAM antibody [2C2] (ab24345) is a mouse monoclonal antibody detecting L1CAM in Western Blot, IHC-P. Suitable for Human, Mouse, Rat.

- Over 50 publications
- Trusted since 2005

查看别名

CD171, CAML1, MIC5, L1CAM, Neural cell adhesion molecule L1, N-CAM-L1, NCAM-L1

9 Images
Immunocytochemistry - Anti-L1CAM antibody [2C2] (AB24345)
  • ICC

Lab

Immunocytochemistry - Anti-L1CAM antibody [2C2] (AB24345)

ab24345 staining L1CAM in undifferentiated PC12 cells (top panel) and NGF-differentiated PC12 cells (bottom panel). The cells were fixed with 100% methanol (5min), permeabilized with 0.1%PBS-Tween for 5 minutes and then blocked with 1% BSA/10% normal goat serum/0.3M glycine in 0.1%PBS-Tween for 1h. The cells were then incubated overnight at +4°C with ab24345 at 5μg/ml and ab6046, Rabbit polyclonal to beta Tubulin - Loading Control, at 1/1000 dilution. Cells were then incubated with ab150117, Goat Anti-Mouse IgG H&L (Alexa Fluor® 488) at 1/1000 dilution (shown in green) and ab150084, Goat polyclonal Secondary Antibody to Rabbit IgG - H&L (Alexa Fluor® 594) at 1/1000 dilution (shown in pseudocolor red). Nuclear DNA was labelled with DAPI (shown in blue).

Image was taken with a confocal microscope (Leica-Microsystems, TCS SP8).

This image was generated using the ascites version of the product.

Immunohistochemistry (Formalin/PFA-fixed paraffin-embedded sections) - Anti-L1CAM antibody [2C2] (AB24345)
  • IHC-P

Lab

Immunohistochemistry (Formalin/PFA-fixed paraffin-embedded sections) - Anti-L1CAM antibody [2C2] (AB24345)

IHC image of L1CAM staining in a section of formalin-fixed paraffin-embedded normal human kidney* performed on a Leica BONDTM system using the standard protocol F. The section was pre-treated using heat mediated antigen retrieval with sodium citrate buffer (pH6, epitope retrieval solution 1) for 20mins. The section was then incubated with ab24345, 0.1ug/ml, for 15 mins at room temperature and detected using an HRP conjugated compact polymer system. DAB was used as the chromogen. The section was then counterstained with haematoxylin and mounted with DPX. The inset secondary-only control image is taken from an identical assay without primary antibody.

For other IHC staining systems (automated and non-automated) customers should optimize variable parameters such as antigen retrieval conditions, primary antibody concentration and antibody incubation times.

*Tissue obtained from the Human Research Tissue Bank, supported by the NIHR Cambridge Biomedical Research Centre

This image was generated using the ascites version of the product.

Immunocytochemistry - Anti-L1CAM antibody [2C2] (AB24345)
  • ICC

Lab

Immunocytochemistry - Anti-L1CAM antibody [2C2] (AB24345)

ab24345 staining L1CAM in primary mouse neurons/glia, DIV14 (prepared from E18 mouse hippocampal brain area, obtained from Transnetyx Tissue by BrainBits, LLC, cat.no. C57EHP) cells. The cells were fixed with 100% methanol (5 min), permeabilized with 0.1% PBS-Tween for 5 minutes and then blocked with 1% BSA/10% normal goat serum/0.3M glycine in 0.1%PBS-Tween for 1h. The cells were then incubated overnight at 4°C with ab24345 at 1µg/ml and ab4674, Chicken polyclonal to GFAP. Cells were then incubated with ab150117, Goat polyclonal Secondary Antibody to Mouse IgG H&L (Alexa Fluor® 488) preadsorbed at 1/1000 dilution (shown in green) and ab150176, Goat polyclonal Secondary Antibody to Chicken IgY - H&L (Alexa Fluor® 594), pre-adsorbed at 1/1000 dilution (shown in pseudocolour red). Nuclear DNA was labelled with DAPI (shown in blue).

Also suitable in cells fixed with 4% paraformaldehyde (10 min).

Image was acquired with a high-content analyser (Operetta CLS, Perkin Elmer) and a maximum intensity projection of confocal sections is shown.

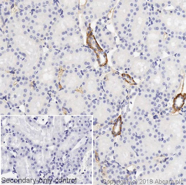
Immunohistochemistry (Formalin/PFA-fixed paraffin-embedded sections) - Anti-L1CAM antibody [2C2] (AB24345)
  • IHC-P

Lab

Immunohistochemistry (Formalin/PFA-fixed paraffin-embedded sections) - Anti-L1CAM antibody [2C2] (AB24345)

IHC image of L1CAM staining in a section of formalin-fixed paraffin-embedded normal rat kidney performed on a Leica BONDTM system using the standard protocol F. The section was pre-treated using heat mediated antigen retrieval with sodium citrate buffer (pH6, epitope retrieval solution 1) for 20mins. The section was then incubated with ab24345, 0.5ug/ml, for 15 mins at room temperature and detected using an HRP conjugated compact polymer system. DAB was used as the chromogen. The section was then counterstained with haematoxylin and mounted with DPX. The inset secondary-only control image is taken from an identical assay without primary antibody.

For other IHC staining systems (automated and non-automated) customers should optimize variable parameters such as antigen retrieval conditions, primary antibody concentration and antibody incubation times.

This image was generated using the ascites version of the product.

Immunocytochemistry - Anti-L1CAM antibody [2C2] (AB24345)
  • ICC

Lab

Immunocytochemistry - Anti-L1CAM antibody [2C2] (AB24345)

ab24345 staining L1CAM in undifferentiated Neuro-2A cells (top panel) and TRA-differentiated Neuro-2A cells (bottom panel). The cells were fixed with 100% methanol (5min), permeabilized with 0.1%PBS-Tween for 5 minutes and then blocked with 1% BSA/10% normal goat serum/0.3M glycine in 0.1%PBS-Tween for 1h. The cells were then incubated overnight at +4°C with ab24345 at 5μg/ml and ab6046, Rabbit polyclonal to beta Tubulin - Loading Control, at 1/1000 dilution. Cells were then incubated with ab150117, Goat Anti-Mouse IgG H&L (Alexa Fluor® 488) at 1/1000 dilution (shown in green) and ab150084, Goat polyclonal Secondary Antibody to Rabbit IgG - H&L (Alexa Fluor® 594) at 1/1000 dilution (shown in pseudocolor red). Nuclear DNA was labelled with DAPI (shown in blue).

Image was taken with a confocal microscope (Leica-Microsystems, TCS SP8).

This image was generated using the ascites version of the product.

Immunocytochemistry - Anti-L1CAM antibody [2C2] (AB24345)
  • ICC

Lab

Immunocytochemistry - Anti-L1CAM antibody [2C2] (AB24345)

ab24345 staining L1CAM in primary hippocampal rat neurons/glia, (obtained from Neuromics, cat. no. PC35101), DIV14. cells. The cells were fixed with 4% paraformaldehyde (10 min), permeabilized with 0.1% PBS-Tween for 5 minutes and then blocked with 1% BSA/10% normal goat serum/0.3M glycine in 0.1% PBS-Tween for 1h. The cells were then incubated overnight at 4°C with ab24345 at 5µg/ml and ab6046, Rabbit polyclonal to beta Tubulin - Loading Control. Cells were then incubated with ab150117, Goat polyclonal Secondary Antibody to Mouse IgG H&L (Alexa Fluor® 488) preadsorbed at 1/1000 dilution (shown in green) and ab150080, Goat polyclonal Secondary Antibody to Rabbit IgG - H&L (Alexa Fluor® 594) at 1/1000 dilution (shown in pseudocolour red). Nuclear DNA was labelled with DAPI (shown in blue).

Image was acquired with a high-content analyser (Operetta CLS, Perkin Elmer) and a maximum intensity projection of confocal sections is shown.

Western blot - Anti-L1CAM antibody [2C2] (AB24345)
  • WB

Lab

Western blot - Anti-L1CAM antibody [2C2] (AB24345)

This blot was produced using a 4-12% Bis-tris gel under the MOPS buffer system. The gel was run at 200V for 55 minutes before being transferred onto a Nitrocellulose membrane at 30V for 70 minutes. The membrane was then blocked for an hour using 3% milk before ab24345 and ab181602 (Rabbit anti-GAPDH loading control) were incubated overnight at 4°C at a 1ug/ml concentration and 1/10000 dilution respectively. Antibody binding was detected using Goat anti-Rabbit IgG H&L (IRDye® 800CW) preadsorbed (ab216773) at 1/20000 dilution for 1 hour at room temperature before imaging.

This image was generated using the ascites version of the product.

All lanes:

Western blot - Anti-L1CAM antibody [2C2] (ab24345)

Lane 1:

Mouse whole brain tissue lysate at 20 µg

Lane 2:

Rat whole brain tissue lysate at 20 µg

Lane 3:

Human whole brain tissue lysate at 20 µg

Predicted band size: 140 kDa

Observed band size: 200 kDa,60 kDa

false

Immunocytochemistry - Anti-L1CAM antibody [2C2] (AB24345)
  • ICC

PubMed

Immunocytochemistry - Anti-L1CAM antibody [2C2] (AB24345)

Immunofluorescence analysis of COS7 cells transfected with full-length L1CAM (left) or truncated L1CAM (right), staining L1CAM (green) with ab24345.

Cells were incubated with primary antibody (1/1000 in 1% goat serum + 0.3% Triton X-100 in PBS) and incubated overnight at 4°C. An AlexaFluor®488-conjugated anti-mouse IgG (1/700) was used as the secondary antibody. Nuclei were counterstained with bisbenzimide (blue).

This image was generated using the ascites version of the product.

Image from Donier E et al., PLoS One. 2012;7(7):e40674. Epub 2012 Jul 16. Fig 2.; doi:10.1371/journal.pone.0040674; July 16, 2012, PLoS ONE 7(7): e40674.

Western blot - Anti-L1CAM antibody [2C2] (AB24345)
  • WB

Supplier Data

Western blot - Anti-L1CAM antibody [2C2] (AB24345)

ab24345 recognizes one or two polypeptides of L1 or Ng-CAM corresponding to the full length protein (~200kDa) as well as 60-80 kDa C-terminal cleavage products (as shown in the figure).

This image was generated using the ascites version of the product.

All lanes:

Western blot - Anti-L1CAM antibody [2C2] (ab24345) at 1/1000 dilution

All lanes:

30ug CNS protein

Predicted band size: 140 kDa

Observed band size: 200 kDa,60-80 kDa

false

This image is courtesy of Martin Grumet, Rutgers University, United States

不同偶联物与剂型 (1)

  • Carrier free

    Anti-L1CAM antibody [2C2] - BSA and Azide free

关键信息

宿主种属

Mouse

克隆

Monoclonal

克隆号

2C2

亚型

IgG2b

不含载体蛋白

No

反应种属

Mouse, Rat, Human

应用

ICC, WB, IHC-P

applications

特异性

This clone may cross-react with CHL1 (PMID: 20215505).

反应性数据

{ "title": "Reactivity Data", "filters": { "stats": ["", "Species", "Dilution Info", "Notes"], "tabs": { "all-applications": {"fullname" : "All Applications", "shortname": "All Applications"}, "IHCP" : {"fullname" : "Immunohistochemistry (Formalin/PFA-fixed paraffin-embedded sections)", "shortname":"IHC-P"}, "ICC" : {"fullname" : "Immunocytochemistry", "shortname":"ICC"}, "WB" : {"fullname" : "Western blot", "shortname":"WB"} }, "product-promise": { "all": "all", "testedAndGuaranteed": "tested", "guaranteed": "expected", "predicted": "predicted", "notRecommended": "not-recommended" } }, "values": { "Human": { "IHCP-species-checked": "testedAndGuaranteed", "IHCP-species-dilution-info": "0.1-0.5 µg/mL", "IHCP-species-notes": "<p>Unsuitable for IHC-P in mouse tissue from in-house testing.</p> Perform heat-mediated antigen retrieval with citrate buffer pH 6 before commencing with IHC staining protocol.", "ICC-species-checked": "testedAndGuaranteed", "ICC-species-dilution-info": "1 µg/mL", "ICC-species-notes": "<p></p>", "WB-species-checked": "testedAndGuaranteed", "WB-species-dilution-info": "1 µg/mL", "WB-species-notes": "<p>Cleavage products observed at 60-80 kDa.</p>" }, "Mouse": { "IHCP-species-checked": "guaranteed", "IHCP-species-dilution-info": "", "IHCP-species-notes": "", "ICC-species-checked": "guaranteed", "ICC-species-dilution-info": "", "ICC-species-notes": "", "WB-species-checked": "testedAndGuaranteed", "WB-species-dilution-info": "1 µg/mL", "WB-species-notes": "<p>Cleavage products observed at 60-80 kDa.</p>" }, "Rat": { "IHCP-species-checked": "testedAndGuaranteed", "IHCP-species-dilution-info": "0.1-0.5 µg/mL", "IHCP-species-notes": "<p>Unsuitable for IHC-P in mouse tissue from in-house testing.</p> Perform heat-mediated antigen retrieval with citrate buffer pH 6 before commencing with IHC staining protocol.", "ICC-species-checked": "testedAndGuaranteed", "ICC-species-dilution-info": "1 µg/mL", "ICC-species-notes": "<p></p>", "WB-species-checked": "testedAndGuaranteed", "WB-species-dilution-info": "1 µg/mL", "WB-species-notes": "<p>Cleavage products observed at 60-80 kDa.</p>" } } }

产品详情

What is this antibody validated in?
Anti-L1CAM antibody [2C2] (ab24345) is a mouse monoclonal antibody and is validated for use in Western Blot (WB), Immunohistochemistry (IHC-P) in Human, Mouse, Rat samples.

Trusted by the scientific community
Anti-L1CAM [2C2] (ab24345) was first used in a scientific publication in 2005 and has been cited over 50 times in peer-reviewed journals.

Reviewed by scientists
Anti-L1CAM [2C2] (ab24345) has over 10 independent reviews from customers.

Other related products
We have a range of other formats of antibody clone [2C2] also available for your convenience: ab24345, Carrier free - ab264526

性能和储存信息

形式
Liquid
纯化工艺
Affinity purification
纯化说明
Purified from TCS.
存储溶液
Preservative: 0.02% Sodium azide Constituents: PBS, 6.97% L-Arginine
运输条件
Blue Ice
推荐的短期储存时间
1-2 weeks
推荐的短期储存条件
+4°C
推荐的长期储存条件
-20°C
分装信息
Upon delivery aliquot
储存信息
Avoid freeze / thaw cycle

补充信息

This supplementary information is collated from multiple sources and compiled automatically.

L1CAM also known as neural cell adhesion molecule L1 is a transmembrane protein with a molecular weight of approximately 200-220 kDa. The L1CAM protein belongs to the immunoglobulin superfamily and is heavily glycosylated. It plays a significant role in cell adhesion processes within the nervous system. L1CAM is expressed in a variety of tissues including the brain kidney and peripheral nerves and is notably present in neuronal cells where it engages in cell-cell interactions. Researchers frequently use L1CAM IHC ELISA methods and specific fluorescent markers like Alexa Fluor 568 to study its expression patterns and localization.
Biological function summary

L1CAM facilitates neuronal migration axonal growth and synaptic plasticity. This protein participates in the formation and maintenance of neural networks. It interacts with other cell adhesion molecules and components of the extracellular matrix. L1CAM acts as an important modulator within neuronal signaling complexes which impacts the development and regeneration of the nervous system. Insights into its structural and cell interaction properties have made it a focus for understanding nervous system functions.

Pathways

L1CAM participates extensively in the MAPK and PI3K/AKT pathways. These pathways contribute to cellular growth survival and programmed cell death. The protein interacts with other molecules such as integrins and FGFRs to propagate signaling cascades important for cellular response mechanisms. These connections help modulate cytoskeletal dynamics influencing cellular adhesion and motility needed during brain development and response to injury.

L1CAM has been associated with hydrocephalus and some cancers. Mutations in the L1CAM gene can lead to L1 syndrome which includes a spectrum of neurological disorders particularly hydrocephalus. In cancer overexpression or altered regulation of L1CAM may correlate with tumor aggressiveness and metastatic potential. L1CAM's association with integrin and cadherin proteins underlines its relevance in pathological states and highlights a potential target for therapeutic interventions.

产品实验方案

For this product, it's our understanding that no specific protocols are required. You can visit:

靶点信息

Neural cell adhesion molecule involved in the dynamics of cell adhesion and in the generation of transmembrane signals at tyrosine kinase receptors. During brain development, critical in multiple processes, including neuronal migration, axonal growth and fasciculation, and synaptogenesis. In the mature brain, plays a role in the dynamics of neuronal structure and function, including synaptic plasticity.
See full target information L1CAM

文献 (72)

Recent publications for all applications. Explore the full list and refine your search

Nature communications 16:7872 PubMed40849297

2025

Multi-omic identification of perineurial hyperplasia and lipid-associated nerve macrophages in human polyneuropathies.

Applications

Unspecified application

Species

Unspecified reactive species

Michael Heming,Anna-Lena Börsch,Jolien Wolbert,Christian Thomas,Anne K Mausberg,Fabian Szepanowski,Bianca Eggert,I-Na Lu,Julia Tietz,Finja Dienhart,Maja Meschnark,Jan-Kolja Strecker,Michael Glatza,Carolina Thomas,Noemi Gmahl,Christine Dambietz,Michael Müther,Anne-Kathrin Uerschels,Kathy Keyvani,Jens Minnerup,Kathrin Doppler,Nurcan Üçeyler,Julieta Aprea,Andreas Dahl,Ruth Stassart,Robert Fledrich,Heinz Wiendl,Claudia Sommer,Mark Stettner,Gerd Meyer Zu Hörste

Pigment cell & melanoma research 38:e70011 PubMed40588721

2025

Prospective Isolation According to Melanin Pigment Content of Melanoma Cells With Heterogeneous Potentials for Disease Propagation.

Applications

Unspecified application

Species

Unspecified reactive species

Clare Fedele,Gamze Kuser-Abali,Ralph Rossi,Peinan Zhao,Jason Li,Malaka Ameratunga,Pacman Szeto,YouFang Zhang,Miles Andrews,Mark Shackleton

Pharmaceuticals (Basel, Switzerland) 17: PubMed39598347

2024

Unite and Conquer: Association of Two G-Quadruplex Aptamers Provides Antiproliferative and Antimigration Activity for Cells from High-Grade Glioma Patients.

Applications

Unspecified application

Species

Unspecified reactive species

Svetlana Pavlova,Lika Fab,Fatima Dzarieva,Anastasia Ryabova,Alexander Revishchin,Dmitriy Panteleev,Olga Antipova,Dmitry Usachev,Alexey Kopylov,Galina Pavlova

Cell reports 43:114747 PubMed39298318

2024

Regulation of synapse density by Pumilio RNA-binding proteins.

Applications

Unspecified application

Species

Unspecified reactive species

Lisa K Randolph,Michaela M Pauers,José C Martínez,Leslie J Sibener,Michael A Zrzavy,Nyle A Sharif,Tatiana M Gonzalez,Kapil V Ramachandran,Daniel Dominguez,Ulrich Hengst

iScience 27:110243 PubMed39006478

2024

Neuronal-enriched small extracellular vesicles trigger a PD-L1-mediated broad suppression of T cells in Parkinson's disease.

Applications

Unspecified application

Species

Unspecified reactive species

Zhichun Chen,Wenming Li,Bo Meng,Chongchong Xu,Yiqi Huang,Guanglu Li,Zhexing Wen,Jun Liu,Zixu Mao

Cell biochemistry and function 42:e4034 PubMed38715189

2024

Functional study of a rare L1CAM gene c.1759G>C variant prove its pathogenicity.

Applications

Unspecified application

Species

Unspecified reactive species

Yuqing Yao,Liyan Qiu,Xingyu Wei,Jianping Chen,Kwong Wai Choy,Guiyun Zheng,Tuyin Yang,Sisi Li,Fang Yang

Molecular biology of the cell 35:ar61 PubMed38446634

2024

Polarized transport requires AP-1-mediated recruitment of KIF13A and KIF13B at the trans-Golgi.

Applications

Unspecified application

Species

Unspecified reactive species

Andrew C Montgomery,Christina S Mendoza,Alex Garbouchian,Geraldine B Quinones,Marvin Bentley

Developmental cell 59:627-644.e10 PubMed38309265

2024

Glia trigger endocytic clearance of axonal proteins to promote rodent myelination.

Applications

Unspecified application

Species

Unspecified reactive species

Yoko Bekku,Brendan Zotter,Changjiang You,Jacob Piehler,Warren J Leonard,James L Salzer

Journal of neuroinflammation 20:295 PubMed38082296

2023

Vesicular HMGB1 release from neurons stressed with spreading depolarization enables confined inflammatory signaling to astrocytes.

Applications

Unspecified application

Species

Unspecified reactive species

Zeynep Kaya,Nevin Belder,Melike Sever-Bahcekapili,Buket Donmez-Demir,Şefik Evren Erdener,Naz Bozbeyoglu,Canan Bagci,Emine Eren-Kocak,Muge Yemisci,Hulya Karatas,Esra Erdemli,Ihsan Gursel,Turgay Dalkara

Biomedicines 11: PubMed37893107

2023

Single-Cell RNA Sequencing (scRNA-seq) Identifies L1CAM as a Key Mediator between Epithelial Tuft Cell and Innate Lymphoid Cell in the Colon of Knockout Mice.

Applications

Unspecified application

Species

Unspecified reactive species

Guanying Bianca Xu,Yuan-Xiang Pan,Wenyan Mei,Hong Chen
View all publications

Abcam Product Promise

我们致力于为您的研究提供高质量的试剂,为您科研的每一步提供支持。若我们的产品未能达到预期性能,我们向您提供 Abcam Product Promise 保障。
详情请参阅我们的条款与条件。

Please note: All products are 'FOR RESEARCH USE ONLY. NOT FOR USE IN DIAGNOSTIC OR THERAPEUTIC PROCEDURES'.

For licensing inquiries, please contact partnerships@abcam.com