JavaScript is disabled in your browser. Please enable JavaScript to view this website.
AB313388

重组Anti-Klra8抗体[EPR28281-49]

Anti-Klra8 antibody [EPR28281-49]

  • BOND RX™ Validated
  • 20ul selling size
  • RabMAb
  • Advanced Validation
  • Recombinant
  • 了解详情

Be the first to review this product! Submit a review

|

(0 Publication)

Rabbit Recombinant Monoclonal KLRA8 antibody. Suitable for mIHC, IHC-P, Flow Cyt, ICC/IF and reacts with Mouse samples.

查看别名

Ly-49h, Ly49-h, Ly49H, Klra8, Killer cell lectin-like receptor 8, Lymphocyte antigen 49h, T-cell surface glycoprotein Ly-49H

6 Images
Immunohistochemistry (Formalin/PFA-fixed paraffin-embedded sections) - Anti-Klra8 antibody [EPR28281-49] (AB313388)
  • IHC-P

Supplier Data

Immunohistochemistry (Formalin/PFA-fixed paraffin-embedded sections) - Anti-Klra8 antibody [EPR28281-49] (AB313388)

Immunohistochemical analysis of paraffin-embedded mouse cerebrum tissue labeling Klra8 with ab313388 at 1/2000 (0.253 ug/ml) followed by a ready to use LeicaDS9800 (Bond™ Polymer Refine Detection). Negative control : no staining on mouse cerebrum. The section was incubated with ab313388 for 30 mins at room temperature. The immunostaining was performed on a Leica Biosystems BOND® RX instrument. Counterstained with Hematoxylin. Secondary antibody only control : Secondary antibody is a ready to use LeicaDS9800 (Bond™ Polymer Refine Detection). Heat mediated antigen retrieval was performed with Tris-EDTA buffer (pH 9.0, Epitope Retrieval Solution2) for 20 mins.

Immunohistochemistry (Formalin/PFA-fixed paraffin-embedded sections) - Anti-Klra8 antibody [EPR28281-49] (AB313388)
  • IHC-P

Supplier Data

Immunohistochemistry (Formalin/PFA-fixed paraffin-embedded sections) - Anti-Klra8 antibody [EPR28281-49] (AB313388)

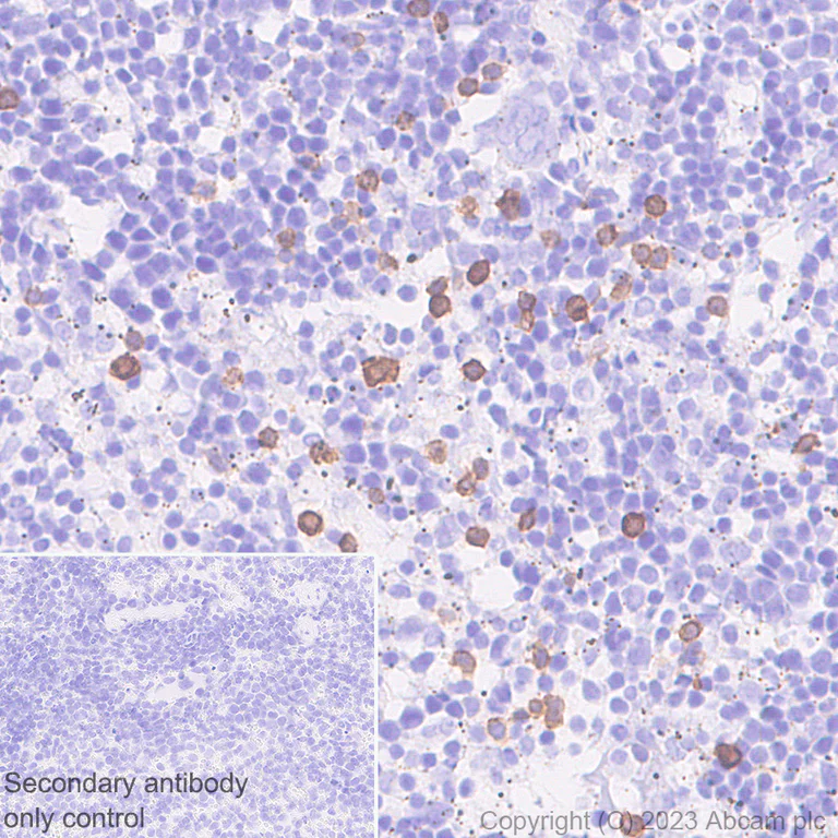
Immunohistochemical analysis of paraffin-embedded mouse spleen tissue labeling Klra8 with ab313388 at 1/2000 (0.253 ug/ml) followed by a ready to use LeicaDS9800 (Bond™ Polymer Refine Detection). Positive staining on mouse spleen (PMID : 18453597; PMID : 10770801). The section was incubated with ab313388 for 30 mins at room temperature. The immunostaining was performed on a Leica Biosystems BOND® RX instrument. Counterstained with Hematoxylin. Secondary antibody only control : Secondary antibody is a ready to use LeicaDS9800 (Bond™ Polymer Refine Detection). Heat mediated antigen retrieval was performed with Tris-EDTA buffer (pH 9.0, Epitope Retrieval Solution2) for 20 mins.

Multiplex immunohistochemistry - Anti-Klra8 antibody [EPR28281-49] (AB313388)
  • mIHC

Supplier Data

Multiplex immunohistochemistry - Anti-Klra8 antibody [EPR28281-49] (AB313388)

Multiplex immunohistochemistry (Formalin/PFA-fixed paraffin-embedded sections) analysis of Mouse spleen tissue staining Klra8 with ab313388 at a 1/2000 dilution ( 0.253 μg/ml), ab289542 anti-NKR-P1C used at 1/100 dilution (5.18 μg/ml). Panel A : merged staining of anti-NKR-P1C (green; Opal™520) and anti-Klra8 (red; Opal™570) on mouse spleen. Panel B : anti-Klra8 stained on NK cell subsets. Panel C : anti-NKR-P1C stained on NK cell subsets. The section was incubated in two rounds of staining : in the order of ab289542 and ab313388 for 30 mins at room temperature. Heat mediated antigen retrieval was performed with Tris-EDTA buffer (pH 9.0, Epitope Retrieval Solution2) for 20 mins Each round was followed by a separate fluorescent tyramide signal amplification system. The immunostaining was performed on a Leica Biosystems BOND® RX instrument with an Opal™ 4-color kit. Image acquisition was performed with Leica SP8 confocal microscope.

Immunocytochemistry/ Immunofluorescence - Anti-Klra8 antibody [EPR28281-49] (AB313388)
  • ICC/IF

Supplier Data

Immunocytochemistry/ Immunofluorescence - Anti-Klra8 antibody [EPR28281-49] (AB313388)

Immunofluorescent analysis of 4% Paraformaldehyde-fixed, 0.1% TritonX-100 permeabilized mouse splenocytes cells labelling Klra8 with ab313388 at 1/100 (5.06 ug/ml) dilution, followed by ab150081 Goat Anti-Rabbit IgG H&L (Alexa Fluor® 488) preadsorbed antibody at 1/1000 2 ug/ml dilution (Green). Confocal image showing membranous staining in subsets of mouse splenocytes. Image was taken with a confocal microscope(Leica-Microsystems, TCS SP8). ab195889 Anti-alpha Tubulin mouse monoclonal antibody - Microtubule Marker (Alexa Fluor® 594) was used to counterstain tubulin at 1/200 2.5ug/ml dilution (Red). The Nuclear counterstain was DAPI (Blue). Secondary antibody only control : Secondary antibody is ab150081 Goat Anti-Rabbit IgG H&L (Alexa Fluor® 488) preadsorbed at 1/1000 2 ug/ml dilution.

Flow Cytometry - Anti-Klra8 antibody [EPR28281-49] (AB313388)
  • Flow Cyt

Supplier Data

Flow Cytometry - Anti-Klra8 antibody [EPR28281-49] (AB313388)

Flow cytometric analysis of Mouse splenocytes cells labelling Klra8 with ab313388 at 1/500 dilution (0.1 ug)/ Right compared with a Rabbit IgG monoclonal [EPR25A] - Isotype Control (Alexa Fluor® 647) (ab199093) / Left isotype control and an unlabelled control (cells without incubation with primary antibody and secondary antibody) (Blue). Goat Anti-Rabbit IgG (Alexa Fluor® 488, ab150081) at 1/5000 dilution was used as the secondary antibody. Cells co-stained with CD3 conjugated to Alexa Fluor®488. Gated on viable cells.

Flow Cytometry - Anti-Klra8 antibody [EPR28281-49] (AB313388)
  • Flow Cyt

Supplier Data

Flow Cytometry - Anti-Klra8 antibody [EPR28281-49] (AB313388)

Flow cytometric analysis of Mouse splenocytes cells labelling Klra8 with ab313388 at 1/500 dilution (0.1 ug)/ Right compared with a Rabbit monoclonal IgG (ab172730) / Left isotype control and an unlabelled control (cells without incubation with primary antibody and secondary antibody) (Blue). Goat Anti-Rabbit IgG (Alexa Fluor® 488, ab150081) at 1/5000 dilution was used as the secondary antibody. Cells co-stained with NK1.1 conjugated to Alexa Fluor®647. Gated on viable cells.

不同偶联物与剂型 (4)

关键信息

宿主种属

Rabbit

克隆

Monoclonal

克隆号

EPR28281-49

亚型

IgG

不含载体蛋白

No

反应种属

Mouse

应用

ICC/IF, mIHC, Flow Cyt, IHC-P

applications

免疫原

The exact immunogen used to generate this antibody is proprietary information.

反应性数据

{ "title": "Reactivity Data", "filters": { "stats": ["", "Species", "Dilution Info", "Notes"], "tabs": { "all-applications": {"fullname" : "All Applications", "shortname": "All Applications"}, "mIHC" : {"fullname" : "Multiplex immunohistochemistry", "shortname":"mIHC"}, "IHCP" : {"fullname" : "Immunohistochemistry (Formalin/PFA-fixed paraffin-embedded sections)", "shortname":"IHC-P"}, "FlowCyt" : {"fullname" : "Flow Cytometry", "shortname":"Flow Cyt"}, "ICCIF" : {"fullname" : "Immunocytochemistry/ Immunofluorescence", "shortname":"ICC/IF"}, "WB" : {"fullname" : "Western blot", "shortname":"WB"}, "IP" : {"fullname" : "Immunoprecipitation", "shortname":"IP"} }, "product-promise": { "all": "all", "testedAndGuaranteed": "tested", "guaranteed": "expected", "predicted": "predicted", "notRecommended": "not-recommended" } }, "values": { "Human": { "mIHC-species-checked": "notRecommended", "mIHC-species-dilution-info": "", "mIHC-species-notes": "", "IHCP-species-checked": "notRecommended", "IHCP-species-dilution-info": "", "IHCP-species-notes": "<p></p>", "FlowCyt-species-checked": "notRecommended", "FlowCyt-species-dilution-info": "", "FlowCyt-species-notes": "", "ICCIF-species-checked": "notRecommended", "ICCIF-species-dilution-info": "", "ICCIF-species-notes": "", "WB-species-checked": "notRecommended", "WB-species-dilution-info": "", "WB-species-notes": "<p></p>", "IP-species-checked": "notRecommended", "IP-species-dilution-info": "", "IP-species-notes": "" }, "Mouse": { "mIHC-species-checked": "testedAndGuaranteed", "mIHC-species-dilution-info": "1/2000", "mIHC-species-notes": "<p></p>", "IHCP-species-checked": "testedAndGuaranteed", "IHCP-species-dilution-info": "1/2000", "IHCP-species-notes": "<p></p>", "FlowCyt-species-checked": "testedAndGuaranteed", "FlowCyt-species-dilution-info": "1/500", "FlowCyt-species-notes": "<p></p>", "ICCIF-species-checked": "testedAndGuaranteed", "ICCIF-species-dilution-info": "1/100", "ICCIF-species-notes": "<p></p>", "WB-species-checked": "notRecommended", "WB-species-dilution-info": "", "WB-species-notes": "<p></p>", "IP-species-checked": "notRecommended", "IP-species-dilution-info": "", "IP-species-notes": "<p></p>" }, "Rat": { "mIHC-species-checked": "notRecommended", "mIHC-species-dilution-info": "", "mIHC-species-notes": "", "IHCP-species-checked": "notRecommended", "IHCP-species-dilution-info": "", "IHCP-species-notes": "<p></p>", "FlowCyt-species-checked": "notRecommended", "FlowCyt-species-dilution-info": "", "FlowCyt-species-notes": "", "ICCIF-species-checked": "notRecommended", "ICCIF-species-dilution-info": "", "ICCIF-species-notes": "", "WB-species-checked": "notRecommended", "WB-species-dilution-info": "", "WB-species-notes": "<p></p>", "IP-species-checked": "notRecommended", "IP-species-dilution-info": "", "IP-species-notes": "" } } }

产品详情

Patented technology
Our RabMAb® technology is a patented hybridoma-based technology for making rabbit monoclonal antibodies. For details on our patents, please refer to RabMAb® patents.

What are the advantages of a recombinant monoclonal antibody?
This product is a recombinant monoclonal antibody, which offers several advantages including:

  • - High batch-to-batch consistency and reproducibility
  • - Improved sensitivity and specificity
  • - Long-term security of supply
  • - Animal-free batch production

For more information, read more on recombinant antibodies.

性能和储存信息

形式
Liquid
纯化工艺
Affinity purification Protein A
存储溶液
pH: 7.2 - 7.4 Preservative: 0.01% Sodium azide Constituents: PBS, 40% Glycerol (glycerin, glycerine), 0.05% BSA
运输条件
Blue Ice
推荐的短期储存时间
1-2 weeks
推荐的短期储存条件
+4°C
推荐的长期储存条件
-20°C
分装信息
Upon delivery aliquot
储存信息
Avoid freeze / thaw cycle

补充信息

This supplementary information is collated from multiple sources and compiled automatically.

Klra8 also known as Ly49H is a C-type lectin-like receptor found primarily on the surface of natural killer (NK) cells. It plays a significant role in immune surveillance against viral infections. The mass of Klra8 in its protein form is approximately 44 kDa. Expression of Klra8 is mainly in NK cells although some expression can also be observed in other immune cells under specific conditions.
Biological function summary

Natural killer cells utilize Klra8 to detect and destroy infected or transformed host cells. Klra8 plays an important role in recognizing ligands expressed by pathogens specifically certain strains of the mouse cytomegalovirus (MCMV). It is not a part of a larger protein complex. This receptor directly contributes to the cell-mediated cytotoxic response by NK cells facilitating the rapid elimination of threats to the host organism.

Pathways

Klra8 operates within the immune response pathways critical for defense against viral infections. It interacts closely with components of innate immune signaling. Related proteins include DAP12 an adaptor protein that transmits activation signals from Klra8 leading to NK cell activation and subsequent target cell lysis. This pathway represents an important line of defense in the innate immune system.

Klra8's role is particularly noted in the context of viral infections such as those caused by cytomegalovirus. Deficiencies or alterations in Klra8 expression have implications in viral susceptibility and immune regulation disorders. The receptor's connection to proteins such as DAP12 links it to other immune-mediated conditions where disruptions in NK cell function may result in increased vulnerability to viral pathogens or affect immune homeostasis.

产品实验方案

For this product, it's our understanding that no specific protocols are required. You can visit:

靶点信息

Receptor on natural killer (NK) cells for class I MHC.
See full target information Klra8

Abcam Product Promise

我们致力于为您的研究提供高质量的试剂,为您科研的每一步提供支持。若我们的产品未能达到预期性能,我们向您提供 Abcam Product Promise 保障。
详情请参阅我们的条款与条件。

Please note: All products are 'FOR RESEARCH USE ONLY. NOT FOR USE IN DIAGNOSTIC OR THERAPEUTIC PROCEDURES'.

For licensing inquiries, please contact partnerships@abcam.com