JavaScript is disabled in your browser. Please enable JavaScript to view this website.
AB197892

重组Anti-KLLN抗体[EPR16934]

Anti-KLLN antibody [EPR16934]

Be the first to review this product! Submit a review

|

(4 Publications)

Rabbit Recombinant Monoclonal KLLN antibody. Suitable for WB and reacts with Rat, Human, Mouse samples. Cited in 4 publications.

查看别名

Killin, KLLN

3 Images
Western blot - Anti-KLLN antibody [EPR16934] (AB197892)
  • WB

Supplier Data

Western blot - Anti-KLLN antibody [EPR16934] (AB197892)

Blocking/dilution buffer : 5% NFDM/TBST

All lanes:

Western blot - Anti-KLLN antibody [EPR16934] (ab197892) at 1/1000 dilution

Lane 1:

Human fetal brain lysate at 10 µg

Lane 2:

Human fetal kidney lysate at 10 µg

Secondary

All lanes:

Anti-Rabbit IgG (HRP), specific to the non-reduced form of IgG at 1/1000 dilution

Predicted band size: 20 kDa

false

Exposure time: 3min

Western blot - Anti-KLLN antibody [EPR16934] (AB197892)
  • WB

Supplier Data

Western blot - Anti-KLLN antibody [EPR16934] (AB197892)

All lanes:

Western blot - Anti-KLLN antibody [EPR16934] (ab197892) at 1/2000 dilution

Lane 1:

HeLa (Human epithelial cells from cervix adenocarcinoma) whole cell lysate at 20 µg

Lane 2:

MCF7 (Human breast adenocarcinoma cell line) whole cell lysate at 20 µg

Lane 3:

HCT 116 (Human colorectal carcinoma cell line) whole cell lysate at 20 µg

Secondary

All lanes:

Goat Anti-Rabbit IgG, (H+L), Peroxidase conjugated at 1/1000 dilution

Predicted band size: 20 kDa

false

Exposure time: 3min

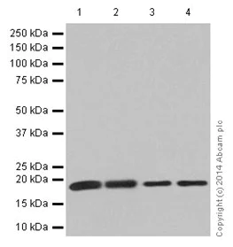
Western blot - Anti-KLLN antibody [EPR16934] (AB197892)
  • WB

Supplier Data

Western blot - Anti-KLLN antibody [EPR16934] (AB197892)

All lanes:

Western blot - Anti-KLLN antibody [EPR16934] (ab197892) at 1/1000 dilution

Lane 1:

C6 (Rat glial tumor cells) whole cell lysate at 10 µg

Lane 2:

Raw264.7 (Mouse macrophage cells transformed with Abelson murine leukemia virus) whole cell lysate at 10 µg

Lane 3:

PC12 (Rat adrenal gland pheochromocytoma) whole cell lysate at 10 µg

Lane 4:

NIH/3T3 (Mouse embyro fibroblast cells) whole cell lysate at 10 µg

Secondary

All lanes:

Goat Anti-Rabbit IgG, (H+L), Peroxidase conjugated at 1/1000 dilution

Predicted band size: 20 kDa

false

Exposure time: 3min

关键信息

宿主种属

Rabbit

克隆

Monoclonal

克隆号

EPR16934

亚型

IgG

不含载体蛋白

No

反应种属

Mouse, Rat, Human

应用

WB

applications

免疫原

The exact immunogen used to generate this antibody is proprietary information.

反应性数据

{ "title": "Reactivity Data", "filters": { "stats": ["", "Species", "Dilution Info", "Notes"], "tabs": { "all-applications": {"fullname" : "All Applications", "shortname": "All Applications"}, "WB" : {"fullname" : "Western blot", "shortname":"WB"} }, "product-promise": { "all": "all", "testedAndGuaranteed": "tested", "guaranteed": "expected", "predicted": "predicted", "notRecommended": "not-recommended" } }, "values": { "Human": { "WB-species-checked": "testedAndGuaranteed", "WB-species-dilution-info": "1/1000", "WB-species-notes": "<p></p>" }, "Mouse": { "WB-species-checked": "testedAndGuaranteed", "WB-species-dilution-info": "1/1000", "WB-species-notes": "<p></p>" }, "Rat": { "WB-species-checked": "testedAndGuaranteed", "WB-species-dilution-info": "1/1000", "WB-species-notes": "<p></p>" } } }

产品详情

Patented technology
Our RabMAb® technology is a patented hybridoma-based technology for making rabbit monoclonal antibodies. For details on our patents, please refer to RabMAb® patents.

What are the advantages of a recombinant monoclonal antibody?
This product is a recombinant monoclonal antibody, which offers several advantages including:

  • - High batch-to-batch consistency and reproducibility
  • - Improved sensitivity and specificity
  • - Long-term security of supply
  • - Animal-free batch production

For more information, read more on recombinant antibodies.

性能和储存信息

形式
Liquid
纯化工艺
Affinity purification Protein A
存储溶液
pH: 7.2 - 7.4 Preservative: 0.01% Sodium azide Constituents: PBS, 40% Glycerol (glycerin, glycerine), 0.05% BSA
运输条件
Blue Ice
推荐的短期储存时间
1-2 weeks
推荐的短期储存条件
+4°C
推荐的长期储存条件
-20°C
分装信息
Upon delivery aliquot
储存信息
Avoid freeze / thaw cycle

补充信息

This supplementary information is collated from multiple sources and compiled automatically.

KLLN also known as Killin is a DNA-binding protein approximately 19 kDa in size. It is expressed mainly in the nucleus of cells. KLLN plays a role in DNA replication inhibition and is involved in apoptosis. Its expression level may vary among different tissues with a reported presence in the thymus spleen and bone marrow. The connection of KLLN to certain cellular processes highlights its significance for maintaining cellular homeostasis and regulating cell growth.
Biological function summary

Killin functions as a direct inhibitor of DNA synthesis. It interacts with components involved in cell cycle control serving as a putative tumor suppressor. Killin can form part of larger protein complexes influencing the DNA damage response by mediating G1 arrest which is critical to prevent uncontrolled cell division. This protein exerts its effects by managing the balance between cell proliferation and programmed cell death making it a point of interest for researchers studying carcinogenesis mechanisms.

Pathways

We observe that Killin integrates into the p53 signaling pathway an important pathway in the regulation of cell growth and apoptosis. It is closely associated with proteins like p53 and PTEN. The KLLN gene lies adjacent to PTEN and these proteins often co-regulate each other’s activity impacting key cellular events such as stress response and DNA damage repair. This alignment with the p53 and PTEN pathways highlights Killin's role in maintaining genomic integrity and cellular responses to damage.

Killin displays a notable connection with certain cancers and neurodegenerative disorders. Alterations in its expression or mutations can influence the development of prostate cancer with its role as a tumor suppressor directly impacting cellular proliferation pathways. Additionally KLLN’s interaction with PTEN links it to the genetic disorder Cowden syndrome which features increased cancer risk and skin lesions. Understanding KLLN's involvement with these diseases offers insight into potential therapeutic targets and new strategies for treatment interventions.

产品实验方案

For this product, it's our understanding that no specific protocols are required. You can visit:

靶点信息

DNA-binding protein involved in S phase checkpoint control-coupled apoptosis by mediating p53/TP53-induced apoptosis. Has the ability to inhibit DNA synthesis and S phase arrest coupled to apoptosis. Has affinity to both double- and single-stranded DNA.
See full target information Killin

文献 (4)

Recent publications for all applications. Explore the full list and refine your search

Genome biology 24:248 PubMed37904237

2023

Landscape of enhancer disruption and functional screen in melanoma cells.

Applications

Unspecified application

Species

Unspecified reactive species

Zhao Wang,Menghan Luo,Qian Liang,Ke Zhao,Yuelin Hu,Wei Wang,Xiangling Feng,Bolang Hu,Jianjin Teng,Tianyi You,Ran Li,Zhengkai Bao,Wenhao Pan,Tielong Yang,Chao Zhang,Ting Li,Xiaobao Dong,Xianfu Yi,Ben Liu,Li Zhao,Miaoxin Li,Kexin Chen,Weihong Song,Jilong Yang,Mulin Jun Li

Cell death & disease 13:800 PubMed36123344

2022

LncRNA SEMA3B-AS1 inhibits breast cancer progression by targeting miR-3940/KLLN axis.

Applications

Unspecified application

Species

Unspecified reactive species

Jin Hu,Haohao Huang,Zihan Xi,Shenghui Ma,Jie Ming,Fang Dong,Hui Guo,Huiqiong Zhang,Ende Zhao,Guojie Yao,Liu Yang,Feng Zhang,Wuping Zheng,Hengyu Chen,Tao Huang,Lei Li

Experimental and therapeutic medicine 18:3299-3306 PubMed31602202

2019

MicroRNA-204 may participate in the pathogenesis of hypoxic-ischemic encephalopathy through targeting KLLN.

Applications

Unspecified application

Species

Unspecified reactive species

Ronglin Chen,Meixia Wang,Shaopin Fu,Feng Cao,Pengkai Duan,Jiefu Lu

Molecular therapy. Nucleic acids 17:563-577 PubMed31382188

2019

LINC00472 Acts as a Tumor Suppressor in NSCLC through KLLN-Mediated p53-Signaling Pathway via MicroRNA-149-3p and MicroRNA-4270.

Applications

Unspecified application

Species

Unspecified reactive species

Aimei Zou,Xingli Liu,Zongjiong Mai,Junke Zhang,Zhuohuan Liu,Qilu Huang,Aibing Wu,Chenyu Zhou
View all publications

Abcam Product Promise

我们致力于为您的研究提供高质量的试剂,为您科研的每一步提供支持。若我们的产品未能达到预期性能,我们向您提供 Abcam Product Promise 保障。
详情请参阅我们的条款与条件。

Please note: All products are 'FOR RESEARCH USE ONLY. NOT FOR USE IN DIAGNOSTIC OR THERAPEUTIC PROCEDURES'.

For licensing inquiries, please contact partnerships@abcam.com