JavaScript is disabled in your browser. Please enable JavaScript to view this website.
AB109026

重组Anti-KIFAP3抗体[EPR5599]

Anti-KIFAP3 antibody [EPR5599]

Be the first to review this product! Submit a review

|

(1 Publication)

Rabbit Recombinant Monoclonal KIFAP3 antibody. Suitable for IHC-P, WB and reacts with Human, Rat samples. Cited in 1 publication.

查看别名

KIF3AP, SMAP, KIFAP3, Kinesin-associated protein 3, KAP-3, KAP3, Smg GDS-associated protein

2 Images
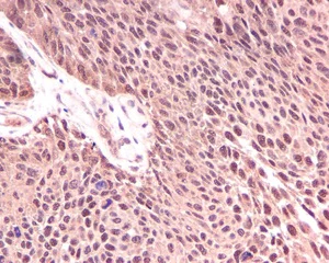
Immunohistochemistry (Formalin/PFA-fixed paraffin-embedded sections) - Anti-KIFAP3 antibody [EPR5599] (AB109026)
  • IHC-P

Unknown

Immunohistochemistry (Formalin/PFA-fixed paraffin-embedded sections) - Anti-KIFAP3 antibody [EPR5599] (AB109026)

Immunohistochemical analysis of paraffin-embedded Human bladder carcinoma tissue using ab109026 at a dilution of 1/250.

Perform heat mediated antigen retrieval before commencing with IHC staining protocol.

Western blot - Anti-KIFAP3 antibody [EPR5599] (AB109026)
  • WB

Unknown

Western blot - Anti-KIFAP3 antibody [EPR5599] (AB109026)

All lanes:

Western blot - Anti-KIFAP3 antibody [EPR5599] (ab109026) at 1/1000 dilution

Lane 1:

HeLa lysate at 10 µg

Lane 2:

SH-SY5Y lysate at 10 µg

Lane 3:

C6 lysate at 10 µg

Lane 4:

293T lysate at 10 µg

Lane 5:

Human fetal kidney lysate at 10 µg

Predicted band size: 91 kDa

false

关键信息

宿主种属

Rabbit

克隆

Monoclonal

克隆号

EPR5599

亚型

IgG

不含载体蛋白

No

反应种属

Rat, Human

应用

WB, IHC-P

applications

免疫原

The exact immunogen used to generate this antibody is proprietary information.

反应性数据

{ "title": "Reactivity Data", "filters": { "stats": ["", "Species", "Dilution Info", "Notes"], "tabs": { "all-applications": {"fullname" : "All Applications", "shortname": "All Applications"}, "IHCP" : {"fullname" : "Immunohistochemistry (Formalin/PFA-fixed paraffin-embedded sections)", "shortname":"IHC-P"}, "IP" : {"fullname" : "Immunoprecipitation", "shortname":"IP"}, "FlowCyt" : {"fullname" : "Flow Cytometry", "shortname":"Flow Cyt"}, "WB" : {"fullname" : "Western blot", "shortname":"WB"} }, "product-promise": { "all": "all", "testedAndGuaranteed": "tested", "guaranteed": "expected", "predicted": "predicted", "notRecommended": "not-recommended" } }, "values": { "Human": { "IHCP-species-checked": "testedAndGuaranteed", "IHCP-species-dilution-info": "1/250 - 1/500", "IHCP-species-notes": "<p></p>", "IP-species-checked": "notRecommended", "IP-species-dilution-info": "", "IP-species-notes": "<p></p>", "FlowCyt-species-checked": "notRecommended", "FlowCyt-species-dilution-info": "", "FlowCyt-species-notes": "<p></p>", "WB-species-checked": "testedAndGuaranteed", "WB-species-dilution-info": "1/1000 - 1/10000", "WB-species-notes": "<p></p>" }, "Mouse": { "IHCP-species-checked": "predicted", "IHCP-species-dilution-info": "", "IHCP-species-notes": "", "IP-species-checked": "notRecommended", "IP-species-dilution-info": "", "IP-species-notes": "", "FlowCyt-species-checked": "notRecommended", "FlowCyt-species-dilution-info": "", "FlowCyt-species-notes": "", "WB-species-checked": "predicted", "WB-species-dilution-info": "", "WB-species-notes": "" }, "Rat": { "IHCP-species-checked": "guaranteed", "IHCP-species-dilution-info": "", "IHCP-species-notes": "", "IP-species-checked": "notRecommended", "IP-species-dilution-info": "", "IP-species-notes": "<p></p>", "FlowCyt-species-checked": "notRecommended", "FlowCyt-species-dilution-info": "", "FlowCyt-species-notes": "<p></p>", "WB-species-checked": "testedAndGuaranteed", "WB-species-dilution-info": "1/1000 - 1/10000", "WB-species-notes": "<p></p>" } } }

产品详情

Patented technology
Our RabMAb® technology is a patented hybridoma-based technology for making rabbit monoclonal antibodies. For details on our patents, please refer to RabMAb® patents.

What are the advantages of a recombinant monoclonal antibody?
This product is a recombinant monoclonal antibody, which offers several advantages including:

  • - High batch-to-batch consistency and reproducibility
  • - Improved sensitivity and specificity
  • - Long-term security of supply
  • - Animal-free batch production

For more information, read more on recombinant antibodies.

性能和储存信息

形式
Liquid
纯化工艺
Affinity purification Protein A
存储溶液
pH: 7.2 - 7.4 Preservative: 0.05% Sodium azide Constituents: 50% Tissue culture supernatant, 40% Glycerol (glycerin, glycerine), 9.85% Tris glycine, 0.1% BSA
运输条件
Blue Ice
推荐的短期储存条件
+4°C
推荐的长期储存条件
-20°C
储存信息
Stable for 12 months at -20°C

产品实验方案

For this product, it's our understanding that no specific protocols are required. You can visit:

靶点信息

Involved in tethering the chromosomes to the spindle pole and in chromosome movement. Binds to the tail domain of the KIF3A/KIF3B heterodimer to form a heterotrimeric KIF3 complex and may regulate the membrane binding of this complex (By similarity).
See full target information KIFAP3

文献 (1)

Recent publications for all applications. Explore the full list and refine your search

Cells 14: PubMed40801649

2025

When Two Worlds Collide: The Contribution and Association Between Genetics (APOEε4) and Neuroinflammation (IL-1β) in Alzheimer's Neuropathogenesis.

Applications

Unspecified application

Species

Unspecified reactive species

Jagadeesh Narasimhappagari,Ling Liu,Meenakshisundaram Balasubramaniam,Srinivas Ayyadevara,W Sue T Griffin
View all publications

Abcam Product Promise

我们致力于为您的研究提供高质量的试剂,为您科研的每一步提供支持。若我们的产品未能达到预期性能,我们向您提供 Abcam Product Promise 保障。
详情请参阅我们的条款与条件。

Please note: All products are 'FOR RESEARCH USE ONLY. NOT FOR USE IN DIAGNOSTIC OR THERAPEUTIC PROCEDURES'.

For licensing inquiries, please contact partnerships@abcam.com