JavaScript is disabled in your browser. Please enable JavaScript to view this website.
AB197593

重组Anti-ketohexokinase抗体[EPR15847]

Anti-ketohexokinase antibody [EPR15847]

Be the first to review this product! Submit a review

|

(2 Publications)

Rabbit Recombinant Monoclonal ketohexokinase antibody. Suitable for IP, WB, ICC/IF, IHC-P and reacts with Human, Mouse, Rat samples. Cited in 2 publications.

查看别名

Ketohexokinase, Hepatic fructokinase, KHK

6 Images
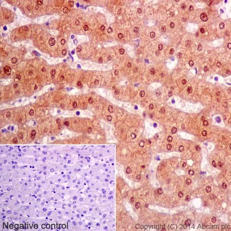
Immunohistochemistry (Formalin/PFA-fixed paraffin-embedded sections) - Anti-ketohexokinase antibody [EPR15847] (AB197593)
  • IHC-P

Supplier Data

Immunohistochemistry (Formalin/PFA-fixed paraffin-embedded sections) - Anti-ketohexokinase antibody [EPR15847] (AB197593)

Immunohistochemical analysis of paraffin-embedded Human liver tissue labeling ketohexokinase with ab197593 at 1/500 dilution, followed by Goat Anti-Rabbit IgG H&L (HRP) (ab97051) secondary antibody at 1/500 dilution. Cytoplasm and nuclear staining on Human liver tissues is observed. Counter stained with Hematoxylin.

Negative control : Used PBS instead of primary antibody, secondary antibody is Goat Anti-Rabbit IgG H&L (HRP) (ab97051) at 1/500 dilution.

Perform heat mediated antigen retrieval with Tris/EDTA buffer pH 9.0 before commencing with IHC staining protocol.

Immunocytochemistry/ Immunofluorescence - Anti-ketohexokinase antibody [EPR15847] (AB197593)
  • ICC/IF

Lab

Immunocytochemistry/ Immunofluorescence - Anti-ketohexokinase antibody [EPR15847] (AB197593)

Immunofluorescent analysis of 4% paraformaldehyde-fixed, 0.1% Triton X-100 permeabilized HepG2 (Human liver hepatocellular carcinoma) cells labeling ketohexokinase with ab197593 at 1/1000 dilution, followed by Goat anti-rabbit IgG (Alexa Fluor® 488) (ab150077) secondary antibody at 1/500 dilution (green). Cytoplasm and nuclear staining on HepG2 cell line is observed. The nuclear counter stain is DAPI (blue). Tubulin is detected with ab7291 (anti-Tubulin mouse mAb) at 1/1000 dilution and ab150120 (AlexaFluor®594 Goat anti-Mouse secondary) at 1/500 dilution (red).
The negative controls are as follows :
-ve control 1 : ab197593 at 1/1000 dilution followed by ab150120 (AlexaFluor®594 Goat anti-Mouse secondary) at 1/500 dilution.
-ve control 2 : ab7291 (anti-Tubulin mouse mAb) at 1/1000 dilution followed by ab150077 (Alexa Fluor®488 Goat Anti-Rabbit IgG H&L) at 1/500 dilution.

Immunoprecipitation - Anti-ketohexokinase antibody [EPR15847] (AB197593)
  • IP

Supplier Data

Immunoprecipitation - Anti-ketohexokinase antibody [EPR15847] (AB197593)

Ketohexokinase was immunoprecipitated from Human fetal kidney lysate with ab197593 at 1/100 dilution. Western blot was performed from the immunoprecipitate using ab197593 at 1/2000 dilution. Anti-Rabbit IgG (HRP), specific to the non-reduced form of IgG, was used as secondary antibody at 1/1500 dilution.

Lane 1 : Human fetal kidney lysate 10 μg (Input). Lane 2 : ab197593 IP in Human fetal kidney lysate. Lane 3 : Rabbit monoclonal IgG (ab172730) instead of ab197593 in Human fetal kidney lysate.

Blocking and dilution buffer and concentration : 5% NFDM/TBST.

All lanes:

Immunoprecipitation - Anti-ketohexokinase antibody [EPR15847] (ab197593)

Predicted band size: 33 kDa

false

Western blot - Anti-ketohexokinase antibody [EPR15847] (AB197593)
  • WB

Lab

Western blot - Anti-ketohexokinase antibody [EPR15847] (AB197593)

Lanes 1-3 : Merged signal (red and green). Green - ab197593 observed at 33 kDa. Red - loading control ab7291 observed at 50 kDa.

ab197593 Anti-ketohexokinase antibody [EPR15847] was shown to specifically react with ketohexokinase in wild-type HEK293T cells. Loss of signal was observed when knockout cell line ab267292 (knockout cell lysate ab258017) was used. Wild-type and ketohexokinase knockout samples were subjected to SDS-PAGE. ab197593 and Anti-alpha Tubulin antibody [DM1A] - Loading Control (ab7291) were incubated overnight at 4°C at 1 in 1000 dilution and 1 in 20000 dilution respectively. Blots were developed with Goat anti-Rabbit IgG H&L (IRDye® 800CW) preadsorbed (ab216773) and Goat anti-Mouse IgG H&L (IRDye® 680RD) preadsorbed (ab216776) secondary antibodies at 1 in 20000 dilution for 1 hour at room temperature before imaging.

All lanes:

Western blot - Anti-ketohexokinase antibody [EPR15847] (ab197593) at 1/1000 dilution

Lane 1:

Wild-type HEK293T cell lysate at 20 µg

Lane 2:

Western blot - Human KHK (ketohexokinase) knockout HEK-293T cell lysate (<a href='/products/cell-lysates/human-khk-ketohexokinase-knockout-hek-293t-cell-lysate-ab258017'>ab258017</a>) at 20 µg

Lane 3:

Human kidney tissue lysate at 20 µg

Secondary

Lanes 1 - 3:

Western blot - Goat anti-Rabbit IgG H&L (IRDye® 800CW) preadsorbed (<a href='/products/secondary-antibodies/goat-rabbit-igg-h-l-irdye-800cw-preadsorbed-ab216773'>ab216773</a>) at 1/20000 dilution

Lanes 1 - 3:

Western blot - Goat anti-Mouse IgG H&L (IRDye® 680RD) preadsorbed (<a href='/products/secondary-antibodies/goat-mouse-igg-h-l-irdye-680rd-preadsorbed-ab216776'>ab216776</a>) at 1/20000 dilution

Predicted band size: 33 kDa

Observed band size: 50 kDa,33 kDa

false

Western blot - Anti-ketohexokinase antibody [EPR15847] (AB197593)
  • WB

Supplier Data

Western blot - Anti-ketohexokinase antibody [EPR15847] (AB197593)

Blocking/Dilution buffer : 5% NFDM/TBST.

All lanes:

Western blot - Anti-ketohexokinase antibody [EPR15847] (ab197593) at 1/5000 dilution

Lane 1:

Human fetal kidney lysate at 20 µg

Lane 2:

Human fetal liver lysate at 20 µg

Secondary

All lanes:

Goat Anti-Rabbit IgG, (H+L), Peroxidase conjugated at 1/1000 dilution

Predicted band size: 33 kDa

Observed band size: 33 kDa

false

Western blot - Anti-ketohexokinase antibody [EPR15847] (AB197593)
  • WB

Supplier Data

Western blot - Anti-ketohexokinase antibody [EPR15847] (AB197593)

Blocking/Dilution buffer : 5% NFDM/TBST.

All lanes:

Western blot - Anti-ketohexokinase antibody [EPR15847] (ab197593) at 1/2500 dilution

Lane 1:

Mouse kidney lysate at 10 µg

Lane 2:

Mouse liver lysate at 10 µg

Lane 3:

Rat kidney lysate at 10 µg

Lane 4:

Rat liver lysate at 10 µg

Secondary

All lanes:

Goat Anti-Rabbit IgG, (H+L), Peroxidase conjugated at 1/1000 dilution

Predicted band size: 33 kDa

Observed band size: 33 kDa

false

不同偶联物与剂型 (1)

  • Carrier free

    Anti-ketohexokinase antibody [EPR15847] - BSA and Azide free

关键信息

宿主种属

Rabbit

克隆

Monoclonal

克隆号

EPR15847

亚型

IgG

不含载体蛋白

No

反应种属

Mouse, Rat, Human

应用

ICC/IF, WB, IHC-P, IP

applications

免疫原

The exact immunogen used to generate this antibody is proprietary information.

反应性数据

{ "title": "Reactivity Data", "filters": { "stats": ["", "Species", "Dilution Info", "Notes"], "tabs": { "all-applications": {"fullname" : "All Applications", "shortname": "All Applications"}, "IP" : {"fullname" : "Immunoprecipitation", "shortname":"IP"}, "WB" : {"fullname" : "Western blot", "shortname":"WB"}, "ICCIF" : {"fullname" : "Immunocytochemistry/ Immunofluorescence", "shortname":"ICC/IF"}, "IHCP" : {"fullname" : "Immunohistochemistry (Formalin/PFA-fixed paraffin-embedded sections)", "shortname":"IHC-P"} }, "product-promise": { "all": "all", "testedAndGuaranteed": "tested", "guaranteed": "expected", "predicted": "predicted", "notRecommended": "not-recommended" } }, "values": { "Human": { "IP-species-checked": "testedAndGuaranteed", "IP-species-dilution-info": "1/100", "IP-species-notes": "<p></p>", "WB-species-checked": "testedAndGuaranteed", "WB-species-dilution-info": "1/2500", "WB-species-notes": "<p></p>", "ICCIF-species-checked": "testedAndGuaranteed", "ICCIF-species-dilution-info": "1/1000", "ICCIF-species-notes": "<p></p>", "IHCP-species-checked": "testedAndGuaranteed", "IHCP-species-dilution-info": "1/500", "IHCP-species-notes": "<p></p>" }, "Mouse": { "IP-species-checked": "guaranteed", "IP-species-dilution-info": "", "IP-species-notes": "", "WB-species-checked": "testedAndGuaranteed", "WB-species-dilution-info": "1/2500", "WB-species-notes": "<p></p>", "ICCIF-species-checked": "guaranteed", "ICCIF-species-dilution-info": "", "ICCIF-species-notes": "", "IHCP-species-checked": "guaranteed", "IHCP-species-dilution-info": "", "IHCP-species-notes": "" }, "Rat": { "IP-species-checked": "guaranteed", "IP-species-dilution-info": "", "IP-species-notes": "", "WB-species-checked": "testedAndGuaranteed", "WB-species-dilution-info": "1/2500", "WB-species-notes": "<p></p>", "ICCIF-species-checked": "guaranteed", "ICCIF-species-dilution-info": "", "ICCIF-species-notes": "", "IHCP-species-checked": "guaranteed", "IHCP-species-dilution-info": "", "IHCP-species-notes": "" } } }

产品详情

Patented technology
Our RabMAb® technology is a patented hybridoma-based technology for making rabbit monoclonal antibodies. For details on our patents, please refer to RabMAb® patents.

What are the advantages of a recombinant monoclonal antibody?
This product is a recombinant monoclonal antibody, which offers several advantages including:

  • - High batch-to-batch consistency and reproducibility
  • - Improved sensitivity and specificity
  • - Long-term security of supply
  • - Animal-free batch production

For more information, read more on recombinant antibodies.

性能和储存信息

形式
Liquid
纯化工艺
Affinity purification Protein A
存储溶液
pH: 7.2 - 7.4 Preservative: 0.01% Sodium azide Constituents: PBS, 40% Glycerol (glycerin, glycerine), 0.05% BSA
运输条件
Blue Ice
推荐的短期储存时间
1-2 weeks
推荐的短期储存条件
+4°C
推荐的长期储存条件
-20°C
分装信息
Upon delivery aliquot
储存信息
Avoid freeze / thaw cycle

补充信息

This supplementary information is collated from multiple sources and compiled automatically.

Ketohexokinase also known as KHK or fructokinase is an enzyme that catalyzes the phosphorylation of fructose to fructose-1-phosphate utilizing ATP in the process. This enzyme has two isoforms: KHK-C and KHK-A with the cytosolic form (KHK-C) being approximately 35 kDa in mass. KHK is expressed at high levels in the liver kidney cortex and small intestine showing its importance for fructose metabolism in these tissues. The liver in particular exhibits extensive expression which facilitates the initial step in fructose metabolism.
Biological function summary

Ketohexokinase plays a significant role in the initial stage of fructose metabolism by converting fructose to fructose-1-phosphate. This reaction is a part of the fructose metabolic pathway enabling the use of fructose as an energy source especially in hepatocytes. KHK operates as a monomer and does not form part of any larger protein complex. The enzyme importantly controls the rate of fructose utilization preventing accumulation of free fructose which could lead to metabolic issues.

Pathways

Ketohexokinase belongs to the fructose metabolism pathway which is a subset of the larger carbohydrate metabolism. This enzyme's product fructose-1-phosphate subsequently interacts with aldolase B which is involved in further steps of the glycolysis and gluconeogenesis pathways. Besides aldolase B ketohexokinase's activity influences the balance between fructose and glucose metabolism connecting fructolysis with glycolytic and gluconeogenic pathways.

Dysfunction of ketohexokinase has been linked to hereditary fructose intolerance a condition resulting from a deficiency of aldolase B where the accumulation of fructose-1-phosphate can cause liver damage and hypoglycemia. KHK has also been implicated in metabolic syndrome where excessive fructose consumption exacerbates conditions like insulin resistance and fatty liver disease. The relationship of KHK with metabolic syndrome highlights its interaction with insulin pathways which involves proteins such as insulin receptor substrates that are affected by altered fructose metabolism.

产品实验方案

For this product, it's our understanding that no specific protocols are required. You can visit:

靶点信息

Catalyzes the phosphorylation of the ketose sugar fructose to fructose-1-phosphate.
See full target information Ketohexokinase

文献 (2)

Recent publications for all applications. Explore the full list and refine your search

ACS central science 11:1682-1699 PubMed41019116

2025

Astragaloside IV Alleviates Fructose-Induced Intestinal Metabolic Senescence by Targeting Ketohexokinase Asn261/Ala226 to Preserve Intestinal Stem Cell Homeostasis.

Applications

Unspecified application

Species

Unspecified reactive species

Qifang Wu,Yingna Li,Yunyun Zhao,Ruifen Zhang,Jingyang Tong,Chunlei Ji,Yiming Zhao,Mingjiang Wu,Xiaosheng Jin,Dandan Wang,Haibin Tong,Liwei Sun,Fangbing Liu

Cell metabolism 27:1249-1262.e4 PubMed29706565

2018

Aldolase B-Mediated Fructose Metabolism Drives Metabolic Reprogramming of Colon Cancer Liver Metastasis.

Applications

Unspecified application

Species

Unspecified reactive species

Pengcheng Bu,Kai-Yuan Chen,Kun Xiang,Christelle Johnson,Scott B Crown,Nikolai Rakhilin,Yiwei Ai,Lihua Wang,Rui Xi,Inna Astapova,Yan Han,Jiahe Li,Bradley B Barth,Min Lu,Ziyang Gao,Robert Mines,Liwen Zhang,Mark Herman,David Hsu,Guo-Fang Zhang,Xiling Shen
View all publications

Abcam Product Promise

我们致力于为您的研究提供高质量的试剂,为您科研的每一步提供支持。若我们的产品未能达到预期性能,我们向您提供 Abcam Product Promise 保障。
详情请参阅我们的条款与条件。

Please note: All products are 'FOR RESEARCH USE ONLY. NOT FOR USE IN DIAGNOSTIC OR THERAPEUTIC PROCEDURES'.

For licensing inquiries, please contact partnerships@abcam.com