JavaScript is disabled in your browser. Please enable JavaScript to view this website.
AB250843

重组Anti-Keratin 12/K12抗体[EPR17883] - BSA and Azide free

Anti-Keratin 12/K12 antibody [EPR17883] - BSA and Azide free

Be the first to review this product! Submit a review

|

(1 Publication)

Rabbit Recombinant Monoclonal K1C12 antibody. Carrier free. Suitable for WB, IHC-P and reacts with Rat, Transfected cell line - Human, Mouse, Human samples. Cited in 1 publication.

查看别名

Cytokeratin-12, Keratin-12, CK-12, K12, KRT12

8 Images
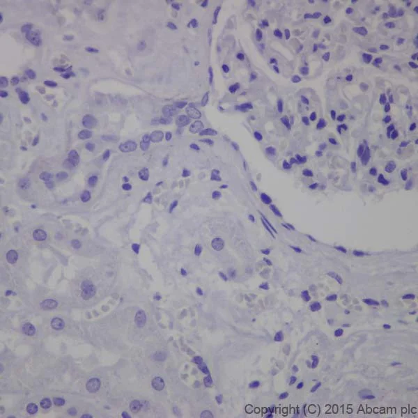
Immunohistochemistry (Formalin/PFA-fixed paraffin-embedded sections) - Anti-Keratin 12/K12 antibody [EPR17883] - BSA and Azide free (AB250843)
  • IHC-P

Supplier Data

Immunohistochemistry (Formalin/PFA-fixed paraffin-embedded sections) - Anti-Keratin 12/K12 antibody [EPR17883] - BSA and Azide free (AB250843)

This data was developed using ab185626, the same antibody clone in a different buffer formulation.

Immunohistochemical analysis of paraffin-embedded Human kidney tissue labeling Keratin 12/K12 with ab185626 at 1/4000 dilution, followed by Goat Anti-Rabbit IgG H&L (HRP) (ab97051) at 1/500 dilution.

Negative staining on Human kidney.

Counter stained with Hematoxylin.

Secondary antibody only control : Used PBS instead of primary antibody, secondary antibody is ab97051 at 1/500 dilution.

Perform heat mediated antigen retrieval with Tris/EDTA buffer pH 9.0 before commencing with IHC staining protocol.

Immunohistochemistry (Formalin/PFA-fixed paraffin-embedded sections) - Anti-Keratin 12/K12 antibody [EPR17883] - BSA and Azide free (AB250843)
  • IHC-P

Supplier Data

Immunohistochemistry (Formalin/PFA-fixed paraffin-embedded sections) - Anti-Keratin 12/K12 antibody [EPR17883] - BSA and Azide free (AB250843)

This data was developed using ab185626, the same antibody clone in a different buffer formulation.

Immunohistochemical analysis of paraffin-embedded Human cornea tissue labeling Keratin 12/K12 with ab185626 at 1/4000 dilution, followed by Goat Anti-Rabbit IgG H&L (HRP) (ab97051) at 1/500 dilution.

Cytoplasm staining on epithelium of Human cornea is observed.

Counter stained with Hematoxylin.

Secondary antibody only control : Used PBS instead of primary antibody, secondary antibody is Goat Anti-Rabbit IgG H&L (HRP) (ab97051) at 1/500 dilution.

Perform heat mediated antigen retrieval with Tris/EDTA buffer pH 9.0 before commencing with IHC staining protocol.

Immunohistochemistry (Formalin/PFA-fixed paraffin-embedded sections) - Anti-Keratin 12/K12 antibody [EPR17883] - BSA and Azide free (AB250843)
  • IHC-P

Supplier Data

Immunohistochemistry (Formalin/PFA-fixed paraffin-embedded sections) - Anti-Keratin 12/K12 antibody [EPR17883] - BSA and Azide free (AB250843)

This data was developed using ab185626, the same antibody clone in a different buffer formulation.

Immunohistochemical analysis of paraffin-embedded sagittal section of mouse cornea tissue labeling Keratin 12/K12 with ab185626 at 1/4000 dilution, followed by Goat Anti-Rabbit IgG H&L (HRP) (ab97051) at 1/500 dilution.

Cytoplasm staining on epithelium of mouse cornea is observed.

Counter stained with Hematoxylin.

Secondary antibody only control : Used PBS instead of primary antibody, secondary antibody is Goat Anti-Rabbit IgG H&L (HRP) (ab97051) at 1/500 dilution.

Perform heat mediated antigen retrieval with Tris/EDTA buffer pH 9.0 before commencing with IHC staining protocol.

Immunohistochemistry (Formalin/PFA-fixed paraffin-embedded sections) - Anti-Keratin 12/K12 antibody [EPR17883] - BSA and Azide free (AB250843)
  • IHC-P

Supplier Data

Immunohistochemistry (Formalin/PFA-fixed paraffin-embedded sections) - Anti-Keratin 12/K12 antibody [EPR17883] - BSA and Azide free (AB250843)

This data was developed using ab185626, the same antibody clone in a different buffer formulation.

Immunohistochemical analysis of paraffin-embedded sagittal section of Rat cornea tissue labeling Keratin 12/K12 with ab185626 at 1/4000 dilution, followed by Goat Anti-Rabbit IgG H&L (HRP) (ab97051) at 1/500 dilution.

Cytoplasm staining on epithelium of rat cornea is observed.

Counter stained with Hematoxylin.

Secondary antibody only control : Used PBS instead of primary antibody, secondary antibody is Goat Anti-Rabbit IgG H&L (HRP) (ab97051) at 1/500 dilution.

Perform heat mediated antigen retrieval with Tris/EDTA buffer pH 9.0 before commencing with IHC staining protocol.

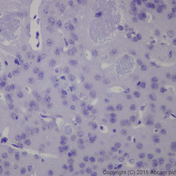
Immunohistochemistry (Formalin/PFA-fixed paraffin-embedded sections) - Anti-Keratin 12/K12 antibody [EPR17883] - BSA and Azide free (AB250843)
  • IHC-P

Supplier Data

Immunohistochemistry (Formalin/PFA-fixed paraffin-embedded sections) - Anti-Keratin 12/K12 antibody [EPR17883] - BSA and Azide free (AB250843)

This data was developed using ab185626, the same antibody clone in a different buffer formulation.

Immunohistochemical analysis of paraffin-embedded Mouse cerebrum tissue labeling Keratin 12/K12 with ab185626 at 1/4000 dilution, followed by Goat Anti-Rabbit IgG H&L (HRP) (ab97051) at 1/500 dilution.

Negative staining on mouse cerebrum.

Counter stained with Hematoxylin.

Secondary antibody only control : Used PBS instead of primary antibody, secondary antibody is ab97051 at 1/500 dilution.

Perform heat mediated antigen retrieval with Tris/EDTA buffer pH 9.0 before commencing with IHC staining protocol.

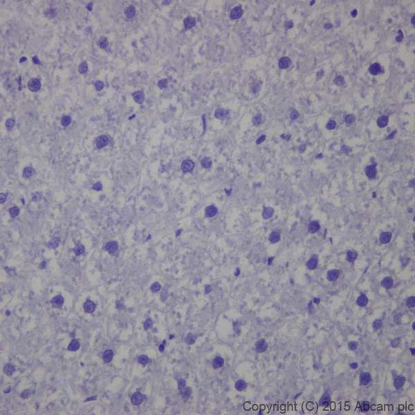
Immunohistochemistry (Formalin/PFA-fixed paraffin-embedded sections) - Anti-Keratin 12/K12 antibody [EPR17883] - BSA and Azide free (AB250843)
  • IHC-P

Supplier Data

Immunohistochemistry (Formalin/PFA-fixed paraffin-embedded sections) - Anti-Keratin 12/K12 antibody [EPR17883] - BSA and Azide free (AB250843)

This data was developed using ab185626, the same antibody clone in a different buffer formulation.

Immunohistochemical analysis of paraffin-embedded Rat liver tissue labeling Keratin 12/K12 with ab185626 at 1/4000 dilution, followed by Goat Anti-Rabbit IgG H&L (HRP) (ab97051) at 1/500 dilution.

Negative staining on rat liver.

Counter stained with Hematoxylin.

Secondary antibody only control : Used PBS instead of primary antibody, secondary antibody is ab97051 at 1/500 dilution.

Perform heat mediated antigen retrieval with Tris/EDTA buffer pH 9.0 before commencing with IHC staining protocol.

Western blot - Anti-Keratin 12/K12 antibody [EPR17883] - BSA and Azide free (AB250843)
  • WB

Supplier Data

Western blot - Anti-Keratin 12/K12 antibody [EPR17883] - BSA and Azide free (AB250843)

This data was developed using ab185626, the same antibody clone in a different buffer formulation.

Blocking and dilution buffer : 5% NFDM/TBST.

Keratin 12/K12 is cornea specific (PMID : 8759347).

All lanes:

Western blot - Anti-Keratin 12/K12 antibody [EPR17883] (<a href='/products/primary-antibodies/keratin-12-k12-antibody-epr17883-ab185626'>ab185626</a>) at 1/2000 dilution

Lane 1:

Rat eyeball lysate at 20 µg

Lane 2:

Mouse eyeball lysate at 20 µg

Lane 3:

C6 (Rat glial tumor cell line) whole cell lysate at 20 µg

Lane 4:

NIH/3T3 (Mouse embryonic fibroblast cell line) whole cell lysate at 20 µg

Lane 5:

Mouse heart lysate at 20 µg

Lane 6:

Rat kidney lysate at 20 µg

Lane 7:

Mouse spleen lysate at 20 µg

Lane 8:

HeLa (Human epithelial cell line from cervix adenocarcinoma) whole cell lysate at 20 µg

Lane 9:

Y79 (Human retinoblastoma cell line) whole cell lysate at 20 µg

Secondary

All lanes:

Western blot - Goat Anti-Rabbit IgG H&L (HRP) (<a href='/products/secondary-antibodies/goat-rabbit-igg-h-l-hrp-ab97051'>ab97051</a>) at 1/100000 dilution

Predicted band size: 54 kDa

Observed band size: 54 kDa

false

Exposure time: 54s

Western blot - Anti-Keratin 12/K12 antibody [EPR17883] - BSA and Azide free (AB250843)
  • WB

Unknown

Western blot - Anti-Keratin 12/K12 antibody [EPR17883] - BSA and Azide free (AB250843)

This data was developed using ab185626, the same antibody clone in a different buffer formulation.

Blocking and dilution buffer : 5% NFDM/TBST.

All lanes:

Western blot - Anti-Keratin 12/K12 antibody [EPR17883] (<a href='/products/primary-antibodies/keratin-12-k12-antibody-epr17883-ab185626'>ab185626</a>) at 1/20000 dilution

Lane 1:

Empty vector (vector control) transfected HEK-293 (Human epithelial cell line from embryonic kidney) whole cell lysate at 10 µg

Lane 2:

Human Keratin 12/K12 transfected HEK-293 (Human epithelial cell line from embryonic kidney) whole cell lysate at 10 µg

Secondary

All lanes:

Western blot - Goat Anti-Rabbit IgG H&L (HRP) (<a href='/products/secondary-antibodies/goat-rabbit-igg-h-l-hrp-ab97051'>ab97051</a>) at 1/100000 dilution

Predicted band size: 41 kDa,54 kDa

Observed band size: 54 kDa,55-60 kDa

false

Exposure time: 2s

不同偶联物与剂型 (1)

关键信息

宿主种属

Rabbit

克隆

Monoclonal

克隆号

EPR17883

亚型

IgG

不含载体蛋白

Yes

反应种属

Mouse, Rat, Human

应用

IHC-P, WB

applications

免疫原

The exact immunogen used to generate this antibody is proprietary information.

反应性数据

{ "title": "Reactivity Data", "filters": { "stats": ["", "Species", "Dilution Info", "Notes"], "tabs": { "all-applications": {"fullname" : "All Applications", "shortname": "All Applications"}, "WB" : {"fullname" : "Western blot", "shortname":"WB"}, "IHCP" : {"fullname" : "Immunohistochemistry (Formalin/PFA-fixed paraffin-embedded sections)", "shortname":"IHC-P"} }, "product-promise": { "all": "all", "testedAndGuaranteed": "tested", "guaranteed": "expected", "predicted": "predicted", "notRecommended": "not-recommended" } }, "values": { "Human": { "WB-species-checked": "guaranteed", "WB-species-dilution-info": "", "WB-species-notes": "", "IHCP-species-checked": "testedAndGuaranteed", "IHCP-species-dilution-info": "", "IHCP-species-notes": "<p></p>" }, "Mouse": { "WB-species-checked": "testedAndGuaranteed", "WB-species-dilution-info": "", "WB-species-notes": "<p></p>", "IHCP-species-checked": "testedAndGuaranteed", "IHCP-species-dilution-info": "", "IHCP-species-notes": "<p></p>" }, "Rat": { "WB-species-checked": "testedAndGuaranteed", "WB-species-dilution-info": "", "WB-species-notes": "<p></p>", "IHCP-species-checked": "testedAndGuaranteed", "IHCP-species-dilution-info": "", "IHCP-species-notes": "<p></p>" }, "Transfected cell line - Human": { "WB-species-checked": "testedAndGuaranteed", "WB-species-dilution-info": "", "WB-species-notes": "<p></p>", "IHCP-species-checked": "notRecommended", "IHCP-species-dilution-info": "", "IHCP-species-notes": "" } } }

产品详情

ab250843 is the carrier-free version of ab185626.

Patented technology
Our RabMAb® technology is a patented hybridoma-based technology for making rabbit monoclonal antibodies. For details on our patents, please refer to RabMAb® patents.

What are the advantages of a recombinant monoclonal antibody?
This product is a recombinant monoclonal antibody, which offers several advantages including:

  • - High batch-to-batch consistency and reproducibility
  • - Improved sensitivity and specificity
  • - Long-term security of supply
  • - Animal-free batch production

For more information, read more on recombinant antibodies.

Conjugation ready
Our carrier-free antibodies are typically supplied in a PBS-only formulation, purified and free of BSA, sodium azide and glycerol. This conjugation-ready format is designed for use with fluorochromes, metal isotopes, oligonucleotides, and enzymes, which makes them ideal for antibody labelling, functional and cell-based assays, flow-based assays (e.g. mass cytometry) and Multiplex Imaging applications.

Use our conjugation kits for antibody conjugates that are ready-to-use in as little as 20 minutes with 1 minute hands-on-time and 100% antibody recovery: available for fluorescent dyes, HRP, biotin and gold.

Compatibility
This product is compatible with the Maxpar® Antibody Labeling Kit from Fluidigm, without the need for antibody preparation. Maxpar® is a trademark of Fluidigm Canada Inc.

性能和储存信息

形式
Liquid
纯化工艺
Affinity purification Protein A
存储溶液
pH: 7.2 - 7.4 Constituents: PBS
运输条件
Blue Ice
推荐的短期储存条件
+4°C
推荐的长期储存条件
+4°C
储存信息
Do Not Freeze

补充信息

This supplementary information is collated from multiple sources and compiled automatically.

Keratin 12 (K12) also called keratin or keratin 1.12 is a type I cytokeratin protein with a mass of approximately 52 kDa. K12 is specifically expressed in the corneal epithelium an important part of the eye's outer structure. This expression is restricted making K12 a marker for corneal epithelial cells. Anti-keratin antibodies can help identify and visualize this protein in cytology studies.
Biological function summary

Keratin 12 is essential in maintaining the structural integrity and mechanical resilience of corneal epithelial cells. It forms part of the intermediate filament complex with other keratins providing a framework essential in cell stability and protection. The complex strengthens cell adhesion and maintains the corneal epithelium's hydration status enabling clear vision.

Pathways

The formation and maintenance of the corneal epithelium involve Keratin 12 in particular cellular signaling pathways. The protein takes part in the intermediate filament pathway interacting with proteins like Keratin 3. These interactions support the proper assembly and function of the cytoskeletal structure essential for cell shape and resilience significantly impacting corneal wound healing processes.

Keratin 12 mutations can lead to Meesmann corneal dystrophy which affects vision. This condition involves aberrant keratin filament assembly compromising corneal integrity. Keratin 3 often partners with K12 in maintaining corneal coherence and mutations affecting either protein can contribute to the disorder highlighting their interconnected roles in corneal health.

产品实验方案

For this product, it's our understanding that no specific protocols are required. You can visit:

靶点信息

Involved in corneal epithelium organization, integrity and corneal keratin expression.
See full target information KRT12

文献 (1)

Recent publications for all applications. Explore the full list and refine your search

Journal of radiation research 64:833-841 PubMed37439405

2023

Expression of TMEM59L associated with radiosensitive in glioblastoma.

Applications

Unspecified application

Species

Unspecified reactive species

Dezhi Gao,Peng Wang,Lin Zhi,Shibin Sun,Xiaoguang Qiu,Yanwei Liu
View all publications

Abcam Product Promise

我们致力于为您的研究提供高质量的试剂,为您科研的每一步提供支持。若我们的产品未能达到预期性能,我们向您提供 Abcam Product Promise 保障。
详情请参阅我们的条款与条件。

Please note: All products are 'FOR RESEARCH USE ONLY. NOT FOR USE IN DIAGNOSTIC OR THERAPEUTIC PROCEDURES'.

For licensing inquiries, please contact partnerships@abcam.com