JavaScript is disabled in your browser. Please enable JavaScript to view this website.
AB288309

重组Anti-KCNN2/SK2抗体[EPR25233-1] - BSA and Azide free

Anti-KCNN2/SK2 antibody [EPR25233-1] - BSA and Azide free

Be the first to review this product! Submit a review

|

(0 Publication)

Rabbit Recombinant Monoclonal KCNN2/SK2 antibody. Carrier free. Suitable for ICC/IF, IHC-P, IHC-Fr and reacts with Mouse, Human, Transfected cell line samples.

查看别名

Small conductance calcium-activated potassium channel protein 2, SK2, SKCa 2, SKCa2, KCa2.2, KCNN2

11 Images
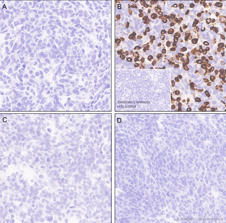
Immunohistochemistry (Formalin/PFA-fixed paraffin-embedded sections) - Anti-KCNN2/SK2 antibody [EPR25233-1] - BSA and Azide free (AB288309)
  • IHC-P

Lab

Immunohistochemistry (Formalin/PFA-fixed paraffin-embedded sections) - Anti-KCNN2/SK2 antibody [EPR25233-1] - BSA and Azide free (AB288309)

This data was developed using ab288299, the same antibody clone in a different buffer formulation.

Immunohistochemical analysis of paraffin-embedded (A) HEK-293T cells labelling KCNN2/SK2 with ab288299 at 1/2000 (0.26 ug/ml) followed by a ready to use LeicaDS9800 (Bond®, Polymer Refine Detection) was used. Positive staining on (B) HEK-293T cells transfected with a KCNN2 expression vector containing a his tag. No staining on HEK-293T cells transfected with a KCNN1 and KCNN3 expression vector containing a his tag (A, C) and HEK-293T cells transfected with empty vector containing a his tag.The section was incubated with ab288299 for 30 mins at room temperature. The immunostaining was performed on a Leica Biosystems BOND® RX instrument. Counterstained with Hematoxylin.

Secondary antibody only control : Secondary antibody is a ready to use LeicaDS9800 (Bond®, Polymer Refine Detection).

Heat mediated antigen retrieval with Tris-EDTA buffer (pH 9.0, epitope retrieval solution2) for 20 mins

Immunohistochemistry (Formalin/PFA-fixed paraffin-embedded sections) - Anti-KCNN2/SK2 antibody [EPR25233-1] - BSA and Azide free (AB288309)
  • IHC-P

Lab

Immunohistochemistry (Formalin/PFA-fixed paraffin-embedded sections) - Anti-KCNN2/SK2 antibody [EPR25233-1] - BSA and Azide free (AB288309)

This data was developed using ab288299, the same antibody clone in a different buffer formulation.

Immunohistochemical analysis of paraffin-embedded Human skeletal muscle tissue labelling KCNN2/SK2 with ab288299 at 1/500 (1.04 ug/ml) followed by a ready to use LeicaDS9800 (Bond®, Polymer Refine Detection). Cytoplasmic staining on human skeletal muscle. The section was incubated with ab288299 for 30 mins at room temperature. The immunostaining was performed on a Leica Biosystems BOND® RX instrument. Counterstained with Hematoxylin.

Secondary antibody only control : Secondary antibody is a ready to use LeicaDS9800 (Bond®, Polymer Refine Detection).

Heat mediated antigen retrieval with Tris-EDTA buffer (pH 9.0, epitope retrieval solution2) for 20 mins.

Immunohistochemistry (Formalin/PFA-fixed paraffin-embedded sections) - Anti-KCNN2/SK2 antibody [EPR25233-1] - BSA and Azide free (AB288309)
  • IHC-P

Lab

Immunohistochemistry (Formalin/PFA-fixed paraffin-embedded sections) - Anti-KCNN2/SK2 antibody [EPR25233-1] - BSA and Azide free (AB288309)

This data was developed using ab288299, the same antibody clone in a different buffer formulation.

Immunohistochemical analysis of paraffin-embedded Human cardiac muscle tissue labelling KCNN2/SK2 with ab288299 at 1/500 (1.04 ug/ml) followed by a ready to use LeicaDS9800 (Bond®, Polymer Refine Detection). Cytoplasmic staining on human cardiac muscle (PMID : 13679367). The section was incubated with ab288299 for 30 mins at room temperature. The immunostaining was performed on a Leica Biosystems BOND® RX instrument. Counterstained with Hematoxylin.

Secondary antibody only control : Secondary antibody is a ready to use LeicaDS9800 (Bond®, Polymer Refine Detection).

Heat mediated antigen retrieval with Tris-EDTA buffer (pH 9.0, epitope retrieval solution2) for 20 mins

Immunocytochemistry/ Immunofluorescence - Anti-KCNN2/SK2 antibody [EPR25233-1] - BSA and Azide free (AB288309)
  • ICC/IF

Lab

Immunocytochemistry/ Immunofluorescence - Anti-KCNN2/SK2 antibody [EPR25233-1] - BSA and Azide free (AB288309)

This data was developed using ab288299, the same antibody clone in a different buffer formulation.

Immunofluorescent analysis of 4% Paraformaldehyde-fixed, 0.1% TritonX-100 permeabilized HEK-293T cells labelling KCNN2/SK2 with ab288299 at 1/50 dilution, followed by ab150081 Goat Anti-Rabbit IgG H&L (Alexa Fluor® 488) preadsorbed antibody at 1/1000 dilution (Green). Confocal image showing cytoplasmic staining in HEK-293T cells transfected with a human KCNN2 expression vector containing a myc tag, no staining in HEK-293T cells transfected with a human KCNN1 or KCNN3 expression vector containing a myc tag. Myc-Tag Mouse mAb (Alexa Fluor® 647) was used to counterstain myc tag at 1/100 dilution (Red). The Nuclear counterstain was DAPI (Blue).

Secondary antibody only control : Secondary antibody is ab150081 Goat Anti-Rabbit IgG H&L (Alexa Fluor® 488) preadsorbed at 1/1000 dilution.

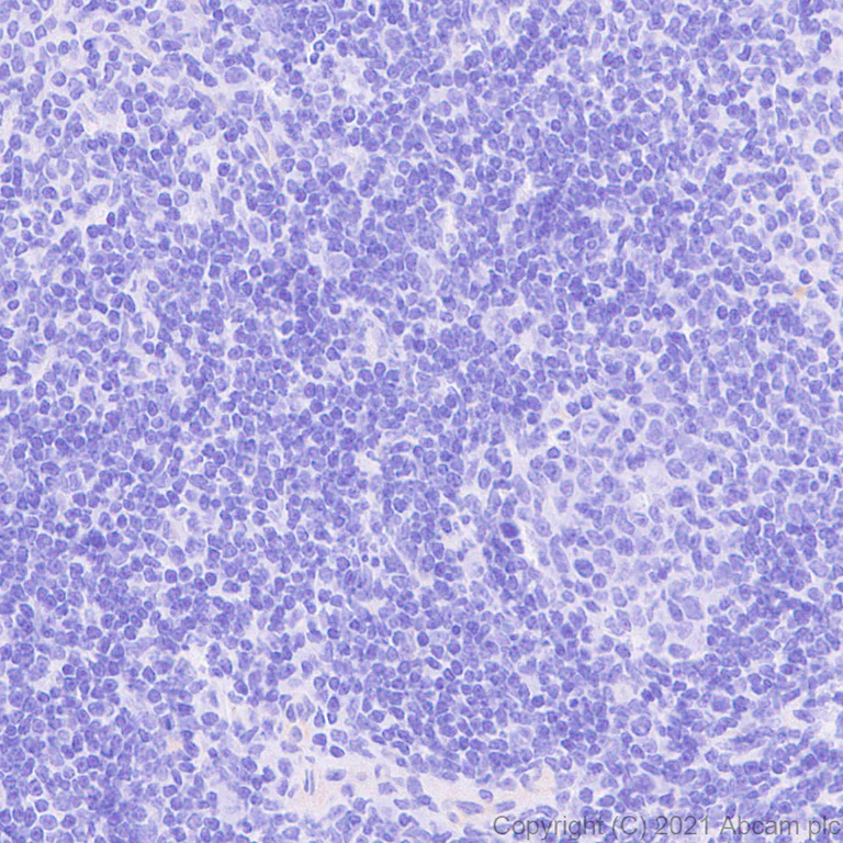
Immunohistochemistry (Formalin/PFA-fixed paraffin-embedded sections) - Anti-KCNN2/SK2 antibody [EPR25233-1] - BSA and Azide free (AB288309)
  • IHC-P

Lab

Immunohistochemistry (Formalin/PFA-fixed paraffin-embedded sections) - Anti-KCNN2/SK2 antibody [EPR25233-1] - BSA and Azide free (AB288309)

This data was developed using ab288299, the same antibody clone in a different buffer formulation.

Immunohistochemical analysis of paraffin-embedded Human spleen tissue labelling KCNN2/SK2 with ab288299 at 1/500 (0.104 ug/ml) followed by a ready to use LeicaDS9800 (Bond®, Polymer Refine Detection). Negative control : No staining on human spleen. The section was incubated with ab288299 for 30 mins at room temperature. The immunostaining was performed on a Leica Biosystems BOND® RX instrument. Counterstained with Hematoxylin.

Secondary antibody only control : Secondary antibody is a ready to use LeicaDS9800 (Bond®, Polymer Refine Detection).

Heat mediated antigen retrieval with Tris-EDTA buffer (pH 9.0, epitope retrieval solution2) for 20 mins

Immunohistochemistry (Formalin/PFA-fixed paraffin-embedded sections) - Anti-KCNN2/SK2 antibody [EPR25233-1] - BSA and Azide free (AB288309)
  • IHC-P

Lab

Immunohistochemistry (Formalin/PFA-fixed paraffin-embedded sections) - Anti-KCNN2/SK2 antibody [EPR25233-1] - BSA and Azide free (AB288309)

This data was developed using ab288299, the same antibody clone in a different buffer formulation.

Immunohistochemical analysis of paraffin-embedded Mouse spleen tissue labeling KCNN2/SK2 with ab288299 at 1/2000 (0.104 ug/ml) followed by a ready to use LeicaDS9800 (Bond®, Polymer Refine Detection). Negative control : No staining on mouse spleen (PMID : 8781233). The section was incubated with ab288299 for 30 mins at room temperature. The immunostaining was performed on a Leica Biosystems BOND® RX instrument. Counterstained with Hematoxylin.

Secondary antibody only control : Secondary antibody is a ready to use LeicaDS9800 (Bond®, Polymer Refine Detection).

Heat mediated antigen retrieval with Tris-EDTA buffer (pH 9.0, epitope retrieval solution2) for 20 mins

Immunohistochemistry (Formalin/PFA-fixed paraffin-embedded sections) - Anti-KCNN2/SK2 antibody [EPR25233-1] - BSA and Azide free (AB288309)
  • IHC-P

Lab

Immunohistochemistry (Formalin/PFA-fixed paraffin-embedded sections) - Anti-KCNN2/SK2 antibody [EPR25233-1] - BSA and Azide free (AB288309)

This data was developed using ab288299, the same antibody clone in a different buffer formulation.

Immunohistochemical analysis of paraffin-embedded Mouse cerebellum tissue labelling KCNN2/SK2 with ab288299 at 1/2000 (0.26 ug/ml) followed by a ready to use LeicaDS9800 (Bond®, Polymer Refine Detection). Cytoplasmic staining on mouse cerebullum (PMID : 8781233).The section was incubated with ab288299 for 30 mins at room temperature.The immunostaining was performed on a Leica Biosystems BOND® RX instrument Counterstained with Hematoxylin.

Secondary antibody only control : Secondary antibody is a ready to use LeicaDS9800 (Bond®, Polymer Refine Detection) was used.

Heat mediated antigen retrieval with Tris-EDTA buffer (pH 9.0, epitope retrieval solution2) for 20 mins

Immunohistochemistry (Frozen sections) - Anti-KCNN2/SK2 antibody [EPR25233-1] - BSA and Azide free (AB288309)
  • IHC-Fr

Lab

Immunohistochemistry (Frozen sections) - Anti-KCNN2/SK2 antibody [EPR25233-1] - BSA and Azide free (AB288309)

This data was developed using ab288299, the same antibody clone in a different buffer formulation.

Immunohistochemical analysis of 4% PFA-fixed, 0.2% Triton X-100 permeabilized frozen Mouse kidney (fresh) tissue labeling KCNN2/SK2 with ab288299 at 1/100 (5.2 ug/ml) dilution followed by ab150081 Goat Anti-Rabbit IgG H&L (Alexa Fluor® 488) preadsorbed at 1/1000 dilution (Green). No staining on mouse kidney is observed. Negative control : kidney (PMID : 10991935). The nuclear counterstain was DAPI (Blue).

Secondary antibody control : Secondary antibody is ab150081 Goat Anti-Rabbit IgG H&L (Alexa Fluor® 488) preadsorbed at 1/1000 dilution.

Immunohistochemistry (Frozen sections) - Anti-KCNN2/SK2 antibody [EPR25233-1] - BSA and Azide free (AB288309)
  • IHC-Fr

Lab

Immunohistochemistry (Frozen sections) - Anti-KCNN2/SK2 antibody [EPR25233-1] - BSA and Azide free (AB288309)

This data was developed using ab288299, the same antibody clone in a different buffer formulation.

Immunohistochemical analysis of 4% PFA-fixed, 0.2% Triton X-100 permeabilized frozen Mouse hippocampus (fresh) tissue labeling KCNN2/SK2 with ab288299 at 1/100 (5.2 ug/ml) dilution followed by ab150081 Goat Anti-Rabbit IgG H&L (Alexa Fluor® 488) preadsorbed at 1/1000 dilution (Green). Positive staining on mouse hippocampus. The nuclear counterstain was DAPI (Blue).

Secondary antibody control : Secondary antibody is ab150081 Goat Anti-Rabbit IgG H&L (Alexa Fluor® 488) preadsorbed at 1/1000 dilution.

Immunocytochemistry/ Immunofluorescence - Anti-KCNN2/SK2 antibody [EPR25233-1] - BSA and Azide free (AB288309)
  • ICC/IF

Lab

Immunocytochemistry/ Immunofluorescence - Anti-KCNN2/SK2 antibody [EPR25233-1] - BSA and Azide free (AB288309)

This data was developed using ab288299, the same antibody clone in a different buffer formulation.

Immunofluorescent analysis of 4% Paraformaldehyde-fixed, 0.1% TritonX-100 permeabilized mouse primary neuron cells labelling KCNN2/SK2 with ab288299 at 1/50 dilution, followed by ab150081 Goat Anti-Rabbit IgG H&L (Alexa Fluor® 488) preadsorbed antibody at 1/1000 dilution (Green). Confocal image showing positive staining in mouse primary neuron. Confocal scanning Z step was set as 0.3 μm followed by image processing with maximum Z projection. is observed. ab11267 Anti-MAP2 mouse monoclonal antibody was used to counterstain neuron-specific cytoskeletal protein at 1/500 dilution, followed by ab150120 Goat Anti-Mouse IgG H&L (Alexa Fluor® 594) at 1/1000 dilution (Red). The Nuclear counterstain was DAPI (Blue).

Secondary antibody only control : Secondary antibody is ab150081 Goat Anti-Rabbit IgG H&L (Alexa Fluor® 488) preadsorbed at 1/1000 dilution.

Immunohistochemistry (Formalin/PFA-fixed paraffin-embedded sections) - Anti-KCNN2/SK2 antibody [EPR25233-1] - BSA and Azide free (AB288309)
  • IHC-P

Lab

Immunohistochemistry (Formalin/PFA-fixed paraffin-embedded sections) - Anti-KCNN2/SK2 antibody [EPR25233-1] - BSA and Azide free (AB288309)

This data was developed using ab288299, the same antibody clone in a different buffer formulation.

Immunohistochemical analysis of paraffin-embedded Mouse hippocampus tissue labelling KCNN2/SK2 with ab288299 at 1/2000 (0.26 ug/ml) followed by a ready to use LeicaDS9800 (Bond®, Polymer Refine Detection). Cytoplasmic staining on mouse hippocampus (PMID : 8781233). The section was incubated with ab288299 for 30 mins at room temperature. The immunostaining was performed on a Leica Biosystems BOND® RX instrument. Counterstained with Hematoxylin.

Secondary antibody only control : Secondary antibody is a ready to use LeicaDS9800 (Bond®, Polymer Refine Detection).

Heat mediated antigen retrieval with Tris-EDTA buffer (pH 9.0, epitope retrieval solution2) for 20 mins

不同偶联物与剂型 (1)

关键信息

宿主种属

Rabbit

克隆

Monoclonal

克隆号

EPR25233-1

亚型

IgG

不含载体蛋白

Yes

反应种属

Mouse, Human

应用

IHC-P, ICC/IF, IHC-Fr

applications

免疫原

The exact immunogen used to generate this antibody is proprietary information.

反应性数据

{ "title": "Reactivity Data", "filters": { "stats": ["", "Species", "Dilution Info", "Notes"], "tabs": { "all-applications": {"fullname" : "All Applications", "shortname": "All Applications"}, "ICCIF" : {"fullname" : "Immunocytochemistry/ Immunofluorescence", "shortname":"ICC/IF"}, "IP" : {"fullname" : "Immunoprecipitation", "shortname":"IP"}, "WB" : {"fullname" : "Western blot", "shortname":"WB"}, "IHCP" : {"fullname" : "Immunohistochemistry (Formalin/PFA-fixed paraffin-embedded sections)", "shortname":"IHC-P"}, "IHCFr" : {"fullname" : "Immunohistochemistry (Frozen sections)", "shortname":"IHC-Fr"} }, "product-promise": { "all": "all", "testedAndGuaranteed": "tested", "guaranteed": "expected", "predicted": "predicted", "notRecommended": "not-recommended" } }, "values": { "Human": { "ICCIF-species-checked": "testedAndGuaranteed", "ICCIF-species-dilution-info": "", "ICCIF-species-notes": "<p></p>", "IP-species-checked": "notRecommended", "IP-species-dilution-info": "", "IP-species-notes": "<p></p>", "WB-species-checked": "notRecommended", "WB-species-dilution-info": "", "WB-species-notes": "<p></p>", "IHCP-species-checked": "testedAndGuaranteed", "IHCP-species-dilution-info": "", "IHCP-species-notes": "<p></p>", "IHCFr-species-checked": "guaranteed", "IHCFr-species-dilution-info": "", "IHCFr-species-notes": "" }, "Mouse": { "ICCIF-species-checked": "testedAndGuaranteed", "ICCIF-species-dilution-info": "", "ICCIF-species-notes": "<p></p>", "IP-species-checked": "notRecommended", "IP-species-dilution-info": "", "IP-species-notes": "<p></p>", "WB-species-checked": "notRecommended", "WB-species-dilution-info": "", "WB-species-notes": "<p></p>", "IHCP-species-checked": "testedAndGuaranteed", "IHCP-species-dilution-info": "", "IHCP-species-notes": "<p></p>", "IHCFr-species-checked": "testedAndGuaranteed", "IHCFr-species-dilution-info": "", "IHCFr-species-notes": "<p></p>" }, "Rat": { "ICCIF-species-checked": "notRecommended", "ICCIF-species-dilution-info": "", "ICCIF-species-notes": "", "IP-species-checked": "notRecommended", "IP-species-dilution-info": "", "IP-species-notes": "", "WB-species-checked": "notRecommended", "WB-species-dilution-info": "", "WB-species-notes": "<p></p>", "IHCP-species-checked": "notRecommended", "IHCP-species-dilution-info": "", "IHCP-species-notes": "<p></p>", "IHCFr-species-checked": "notRecommended", "IHCFr-species-dilution-info": "", "IHCFr-species-notes": "<p></p>" }, "Transfected cell line": { "ICCIF-species-checked": "notRecommended", "ICCIF-species-dilution-info": "", "ICCIF-species-notes": "", "IP-species-checked": "notRecommended", "IP-species-dilution-info": "", "IP-species-notes": "", "WB-species-checked": "notRecommended", "WB-species-dilution-info": "", "WB-species-notes": "", "IHCP-species-checked": "testedAndGuaranteed", "IHCP-species-dilution-info": "", "IHCP-species-notes": "<p></p>", "IHCFr-species-checked": "notRecommended", "IHCFr-species-dilution-info": "", "IHCFr-species-notes": "" } } }

产品详情

ab288309 is the carrier-free version of ab288299.

Patented technology
Our RabMAb® technology is a patented hybridoma-based technology for making rabbit monoclonal antibodies. For details on our patents, please refer to RabMAb® patents.

What are the advantages of a recombinant monoclonal antibody?
This product is a recombinant monoclonal antibody, which offers several advantages including:

  • - High batch-to-batch consistency and reproducibility
  • - Improved sensitivity and specificity
  • - Long-term security of supply
  • - Animal-free batch production

For more information, read more on recombinant antibodies.

Conjugation ready
Our carrier-free antibodies are typically supplied in a PBS-only formulation, purified and free of BSA, sodium azide and glycerol. This conjugation-ready format is designed for use with fluorochromes, metal isotopes, oligonucleotides, and enzymes, which makes them ideal for antibody labelling, functional and cell-based assays, flow-based assays (e.g. mass cytometry) and Multiplex Imaging applications.

Use our conjugation kits for antibody conjugates that are ready-to-use in as little as 20 minutes with 1 minute hands-on-time and 100% antibody recovery: available for fluorescent dyes, HRP, biotin and gold.

Compatibility
This product is compatible with the Maxpar® Antibody Labeling Kit from Fluidigm, without the need for antibody preparation. Maxpar® is a trademark of Fluidigm Canada Inc.

性能和储存信息

形式
Liquid
纯化工艺
Affinity purification Protein A
存储溶液
pH: 7.2 - 7.4 Constituents: PBS
运输条件
Blue Ice
推荐的短期储存条件
+4°C
推荐的长期储存条件
+4°C

产品实验方案

For this product, it's our understanding that no specific protocols are required. You can visit:

靶点信息

Small conductance calcium-activated potassium channel that mediates the voltage-independent transmembrane transfer of potassium across the cell membrane through a constitutive interaction with calmodulin which binds the intracellular calcium allowing its opening (PubMed : 10991935, PubMed : 33242881, PubMed : 9287325). The current is characterized by a voltage-independent activation, an intracellular calcium concentration increase-dependent activation and a single-channel conductance of about 3 picosiemens (PubMed : 10991935). Also presents an inwardly rectifying current, thus reducing its already small outward conductance of potassium ions, which is particularly the case when the membrane potential displays positive values, above + 20 mV (PubMed : 10991935). The inward rectification could be due to a blockade of the outward current by intracellular divalent cations such as calcium and magnesium and could also be due to an intrinsic property of the channel pore, independent of intracellular divalent ions. There are three positively charged amino acids in the S6 transmembrane domain, close to the pore, that collectively control the conductance and rectification through an electrostatic mechanism. Additionally, electrostatic contributions from these residues also play an important role in determining the intrinsic open probability of the channel in the absence of calcium, affecting the apparent calcium affinity for activation. Forms an heteromeric complex with calmodulin, which is constitutively associated in a calcium-independent manner. Channel opening is triggered when calcium binds the calmodulin resulting in a rotary movement leading to the formation of the dimeric complex to open the gate (By similarity). Plays a role in the repolarization phase of cardiac action potential (PubMed : 13679367).
See full target information KCNN2

Abcam Product Promise

我们致力于为您的研究提供高质量的试剂,为您科研的每一步提供支持。若我们的产品未能达到预期性能,我们向您提供 Abcam Product Promise 保障。
详情请参阅我们的条款与条件。

Please note: All products are 'FOR RESEARCH USE ONLY. NOT FOR USE IN DIAGNOSTIC OR THERAPEUTIC PROCEDURES'.

For licensing inquiries, please contact partnerships@abcam.com