JavaScript is disabled in your browser. Please enable JavaScript to view this website.
AB227654

重组Anti-Kappa light chain抗体[SP148]

Anti-Kappa light chain antibody [SP148]

Be the first to review this product! Submit a review

|

(2 Publications)

Rabbit Recombinant Monoclonal KVD16 antibody. Suitable for WB, IHC-P and reacts with Human samples. Cited in 2 publications.

查看别名

Immunoglobulin kappa variable 1D-16, Ig kappa chain V-I region HK146, Ig kappa chain V-I region HK189, IGKV1D-16

8 Images
Immunohistochemistry (Formalin/PFA-fixed paraffin-embedded sections) - Anti-Kappa light chain antibody [SP148] (AB227654)
  • IHC-P

Unknown

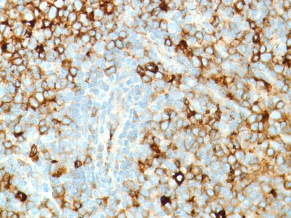
Immunohistochemistry (Formalin/PFA-fixed paraffin-embedded sections) - Anti-Kappa light chain antibody [SP148] (AB227654)

Formalin-fixed, paraffin-embedded human B-cell lymphoma tissue stained for Kappa light chain using ab227654 at 1/100 dilution in immunohistochemical analysis.

Immunohistochemistry (Formalin/PFA-fixed paraffin-embedded sections) - Anti-Kappa light chain antibody [SP148] (AB227654)
  • IHC-P

Supplier Data

Immunohistochemistry (Formalin/PFA-fixed paraffin-embedded sections) - Anti-Kappa light chain antibody [SP148] (AB227654)

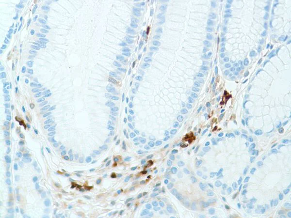
Formalin-fixed, paraffin-embedded human colon tissue stained for Kappa light chain using ab227654 at 1/100 dilution in immunohistochemical analysis.

Immunohistochemistry (Formalin/PFA-fixed paraffin-embedded sections) - Anti-Kappa light chain antibody [SP148] (AB227654)
  • IHC-P

Unknown

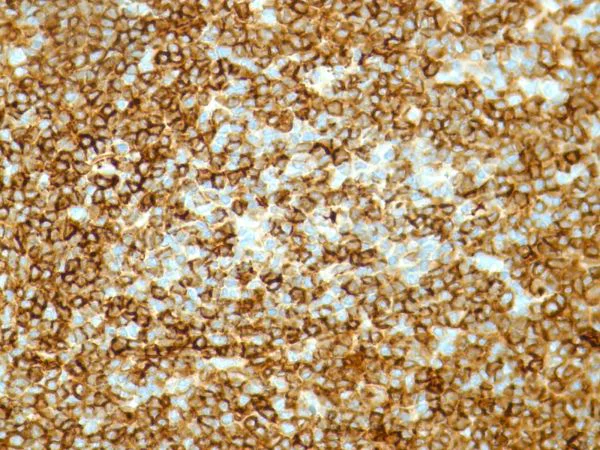
Immunohistochemistry (Formalin/PFA-fixed paraffin-embedded sections) - Anti-Kappa light chain antibody [SP148] (AB227654)

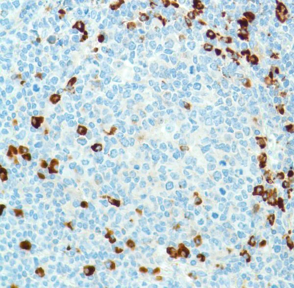
Immunohistochemistry (Formalin/PFA-fixed paraffin-embedded sections) analysis of Human tonsil tissue sections labeling Kappa light chain with Purified ab227654 at 1/100 dilution (0.90 µg/ml). Heat mediated antigen retrieval was performed Heat mediated antigen retrieval with Tris-EDTA buffer (pH 9.0, epitope retrieval solution 2) for 20mins. Rabbit specific IHC polymer detection kit HRP/DAB (ab209101) was used as the secondary antibody. Negative control : PBS instead of the primary antibody. Hematoxylin was used as a counterstain.

Immunohistochemistry (Formalin/PFA-fixed paraffin-embedded sections) - Anti-Kappa light chain antibody [SP148] (AB227654)
  • IHC-P

Supplier Data

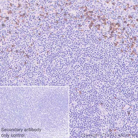
Immunohistochemistry (Formalin/PFA-fixed paraffin-embedded sections) - Anti-Kappa light chain antibody [SP148] (AB227654)

Formalin-fixed, paraffin-embedded human follicular lymphoma tissue stained for Kappa light chain using ab227654 at 1/100 dilution in immunohistochemical analysis.

Immunohistochemistry (Formalin/PFA-fixed paraffin-embedded sections) - Anti-Kappa light chain antibody [SP148] (AB227654)
  • IHC-P

Supplier Data

Immunohistochemistry (Formalin/PFA-fixed paraffin-embedded sections) - Anti-Kappa light chain antibody [SP148] (AB227654)

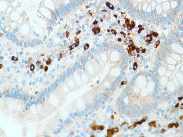
Formalin-fixed, paraffin-embedded human stomach tissue stained for Kappa light chain using ab227654 at 1/100 dilution in immunohistochemical analysis.

Immunohistochemistry (Formalin/PFA-fixed paraffin-embedded sections) - Anti-Kappa light chain antibody [SP148] (AB227654)
  • IHC-P

Unknown

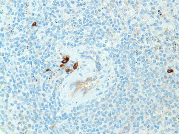
Immunohistochemistry (Formalin/PFA-fixed paraffin-embedded sections) - Anti-Kappa light chain antibody [SP148] (AB227654)

Formalin-fixed, paraffin-embedded human spleen tissue stained for Kappa light chain using ab227654 at 1/100 dilution in immunohistochemical analysis.

Immunohistochemistry (Formalin/PFA-fixed paraffin-embedded sections) - Anti-Kappa light chain antibody [SP148] (AB227654)
  • IHC-P

Supplier Data

Immunohistochemistry (Formalin/PFA-fixed paraffin-embedded sections) - Anti-Kappa light chain antibody [SP148] (AB227654)

Formalin-fixed, paraffin-embedded human tonsil tissue stained for Kappa light chain using ab227654 at 1/100 dilution in immunohistochemical analysis.

Western blot - Anti-Kappa light chain antibody [SP148] (AB227654)
  • WB

Supplier Data

Western blot - Anti-Kappa light chain antibody [SP148] (AB227654)

All lanes:

Western blot - Anti-Kappa light chain antibody [SP148] (ab227654) at 1/100 dilution

All lanes:

Human spleen lysate

Predicted band size: 25 kDa

false

不同偶联物与剂型 (1)

  • Carrier free

    Anti-Kappa light chain antibody [SP148] - BSA and Azide free

关键信息

宿主种属

Rabbit

克隆

Monoclonal

克隆号

SP148

亚型

IgG

不含载体蛋白

No

反应种属

Human

应用

IHC-P, WB

applications

免疫原

The exact immunogen used to generate this antibody is proprietary information.

反应性数据

{ "title": "Reactivity Data", "filters": { "stats": ["", "Species", "Dilution Info", "Notes"], "tabs": { "all-applications": {"fullname" : "All Applications", "shortname": "All Applications"}, "WB" : {"fullname" : "Western blot", "shortname":"WB"}, "IHCP" : {"fullname" : "Immunohistochemistry (Formalin/PFA-fixed paraffin-embedded sections)", "shortname":"IHC-P"} }, "product-promise": { "all": "all", "testedAndGuaranteed": "tested", "guaranteed": "expected", "predicted": "predicted", "notRecommended": "not-recommended" } }, "values": { "Human": { "WB-species-checked": "testedAndGuaranteed", "WB-species-dilution-info": "1/100", "WB-species-notes": "<p></p>", "IHCP-species-checked": "testedAndGuaranteed", "IHCP-species-dilution-info": "1/100", "IHCP-species-notes": "<p>For antigen retrieval: Boil tissue section in 1mM EDTA buffer, pH 8.0 for 10 minutes followed by cooling at room temperature for 20 minutes before commencing with IHC staining protocol.</p>" } } }

性能和储存信息

形式
Liquid
纯化工艺
Affinity purification Protein A/G
纯化说明
Purified from TCS by protein A/G.
存储溶液
pH: 7.6 Preservative: 0.1% Sodium azide Constituents: PBS, 1% BSA
运输条件
Blue Ice
推荐的短期储存时间
1-2 weeks
推荐的短期储存条件
+4°C
推荐的长期储存条件
-20°C
分装信息
Upon delivery aliquot
储存信息
Avoid freeze / thaw cycle

补充信息

This supplementary information is collated from multiple sources and compiled automatically.

The kappa light chain alternatively known as Ig kappa chain is a component of immunoglobulins which are important for immune response. This protein has a molecular mass of roughly 25 kDa. It predominantly expresses in B lymphocytes where it pairs with heavy chains to form antibodies. Its expression is indicative of mature B cell functions serving as a marker for certain types of immune cells. The kappa light chain can also be detected outside of cells circulating in the blood and other bodily fluids.
Biological function summary

Kappa light chains are integral to the structure and function of antibodies. As part of the immunoglobulin molecule these chains contribute to antigen specificity by combining with heavy chains. Together they form the antigen-binding site. The kappa light chain is not part of a multiprotein complex; rather it directly participates in the antibody response. The presence of either kappa or lambda light chains can determine the particularities of antibody characteristics.

Pathways

Kappa light chains are elements of the immunological pathways notably the adaptive immune response. They interact with other proteins like immunoglobulin heavy chains to neutralize pathogens. The constant region of the kappa chain plays a role in determining the isotype of immunoglobulins which affects how antibodies mediate immune effector functions. Cross-linking of surface immunoglobulin by antigens can trigger B cell activation an essential step in the adaptive immune system.

Kappa light chains associate closely with multiple myeloma and certain types of lymphomas. Overproduction of kappa light chains in these diseases results in high levels detectable in the serum or urine which can be used diagnostically as markers. Also dysregulation of kappa chains correlates with autoimmune disorders whereby the immune system incorrectly targets its tissues. In disorders like these the interplay between kappa and lambda chains often arises showing imbalance between the two as a sign of abnormal B cell activity.

产品实验方案

For this product, it's our understanding that no specific protocols are required. You can visit:

靶点信息

V region of the variable domain of immunoglobulin light chains that participates in the antigen recognition (PubMed : 24600447). Immunoglobulins, also known as antibodies, are membrane-bound or secreted glycoproteins produced by B lymphocytes. In the recognition phase of humoral immunity, the membrane-bound immunoglobulins serve as receptors which, upon binding of a specific antigen, trigger the clonal expansion and differentiation of B lymphocytes into immunoglobulins-secreting plasma cells. Secreted immunoglobulins mediate the effector phase of humoral immunity, which results in the elimination of bound antigens (PubMed : 20176268, PubMed : 22158414). The antigen binding site is formed by the variable domain of one heavy chain, together with that of its associated light chain. Thus, each immunoglobulin has two antigen binding sites with remarkable affinity for a particular antigen. The variable domains are assembled by a process called V-(D)-J rearrangement and can then be subjected to somatic hypermutations which, after exposure to antigen and selection, allow affinity maturation for a particular antigen (PubMed : 17576170, PubMed : 20176268).
See full target information IGKV1D-16

文献 (2)

Recent publications for all applications. Explore the full list and refine your search

Physiological reports 13:e70459 PubMed40650429

2025

Hydrogel-embedded precision-cut lung slices support ex vivo culture of in vivo-induced premalignant lung lesions.

Applications

Unspecified application

Species

Unspecified reactive species

Caroline Hauer,Rachel Blomberg,Kayla Sompel,Chelsea M Magin,Meredith A Tennis

Cancer medicine 13:e7017 PubMed38457205

2024

Enhanced clinical outcomes with radiotherapy in diagnostically challenging intracranial plasmacytomas: Analysis of 190 cases.

Applications

Unspecified application

Species

Unspecified reactive species

Yuan Feng,Zongpu Zhang,Fufang Qiu,Zixiao Yang,Ji Xiong,Wei Zhu,Fangzhu Wan,Bobin Chen,Jiguang Wang,Yi Zhang,Wei Hua
View all publications

Abcam Product Promise

我们致力于为您的研究提供高质量的试剂,为您科研的每一步提供支持。若我们的产品未能达到预期性能,我们向您提供 Abcam Product Promise 保障。
详情请参阅我们的条款与条件。

Please note: All products are 'FOR RESEARCH USE ONLY. NOT FOR USE IN DIAGNOSTIC OR THERAPEUTIC PROCEDURES'.

For licensing inquiries, please contact partnerships@abcam.com