JavaScript is disabled in your browser. Please enable JavaScript to view this website.
AB109545

重组Anti-KAP1抗体[EPR5249]

Anti-KAP1 antibody [EPR5249]

2

(1 Review)

|

(7 Publications)

Rabbit Recombinant Monoclonal KAP1 antibody. Suitable for IHC-P, IP, WB, ICC/IF, Flow Cyt (Intra) and reacts with Human samples. Cited in 7 publications.

查看别名

KAP1, RNF96, TIF1B, TRIM28, Transcription intermediary factor 1-beta, TIF1-beta, E3 SUMO-protein ligase TRIM28, KRAB-associated protein 1, KRAB-interacting protein 1, Nuclear corepressor KAP-1, RING finger protein 96, RING-type E3 ubiquitin transferase TIF1-beta, Tripartite motif-containing protein 28, KAP-1, KRIP-1

7 Images
Flow Cytometry (Intracellular) - Anti-KAP1 antibody [EPR5249] (AB109545)
  • Flow Cyt (Intra)

Unknown

Flow Cytometry (Intracellular) - Anti-KAP1 antibody [EPR5249] (AB109545)

Overlay histogram showing HeLa cells stained with ab109545 (red line). The cells were fixed with 80% methanol (5 min) and then permeabilized with 0.1% PBS-Tween for 20 min. The cells were then incubated in 1x PBS / 10% normal goat serum / 0.3M glycine to block non-specific protein-protein interactions followed by the antibody (ab190545, 1/100 dilution) for 30 min at 22°C. The secondary antibody used was DyLight® 488 goat anti-rabbit IgG (H+L) (ab96899) at 1/500 dilution for 30 min at 22°C. Isotype control antibody (black line) was rabbit IgG (monoclonal) (1μg/1x106 cells) used under the same conditions. Acquisition of >5,000 events was performed.

Immunohistochemistry (Formalin/PFA-fixed paraffin-embedded sections) - Anti-KAP1 antibody [EPR5249] (AB109545)
  • IHC-P

Unknown

Immunohistochemistry (Formalin/PFA-fixed paraffin-embedded sections) - Anti-KAP1 antibody [EPR5249] (AB109545)

ab109545, at a 1/100 dilution, staining KAP1 in formalin-fixed, paraffin-embedded Human colon tissue.

Perform heat mediated antigen retrieval via the pressure cooker method before commencing with IHC staining protocol.

Immunohistochemistry (Formalin/PFA-fixed paraffin-embedded sections) - Anti-KAP1 antibody [EPR5249] (AB109545)
  • IHC-P

Unknown

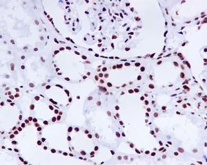
Immunohistochemistry (Formalin/PFA-fixed paraffin-embedded sections) - Anti-KAP1 antibody [EPR5249] (AB109545)

ab109545, at a 1/100 dilution, staining KAP1 in formalin-fixed, paraffin-embedded Human kidney tissue.

Perform heat mediated antigen retrieval via the pressure cooker method before commencing with IHC staining protocol.

Immunocytochemistry/ Immunofluorescence - Anti-KAP1 antibody [EPR5249] (AB109545)
  • ICC/IF

Unknown

Immunocytochemistry/ Immunofluorescence - Anti-KAP1 antibody [EPR5249] (AB109545)

ab109545, at a 1/100 dilution, staining KAP1 in HeLa cells

Immunoprecipitation - Anti-KAP1 antibody [EPR5249] (AB109545)
  • IP

Unknown

Immunoprecipitation - Anti-KAP1 antibody [EPR5249] (AB109545)

KAP1 was immunoprecipitated from 0.35 mg A431 (Human epidermoid carcinoma epithelial cell) cell lysate 10 µg with ab109545 at 1/30 dilution (2µg in 0.35mg lysates). Western blot was performed on the immunoprecipitate using ab109545 at 1/1000 dilution. VeriBlot for IP Detection Reagent (HRP)(ab131366) was used at 1/5000 dilution. Lane 1 : A431 (Human epidermoid carcinoma epithelial cell) cell lysate 10 µg

Lane 2 : ab109545 IP in A431 cell lysate

Lane 3 : Rabbit monoclonal IgG (ab172730) instead of ab109545 in A431 cell lysate

Blocking and dilution buffer and concentration : 5% NFDM/TBST.

Exposure time : 32 seconds

All lanes:

Immunoprecipitation - Anti-KAP1 antibody [EPR5249] (ab109545)

Predicted band size: 88 kDa

false

Western blot - Anti-KAP1 antibody [EPR5249] (AB109545)
  • WB

Lab

Western blot - Anti-KAP1 antibody [EPR5249] (AB109545)

Western blot : Anti-KAP1 antibody [EPR5249] ab109545 staining at 1/1000 dilution, shown in green; Mouse anti GAPDH ab8245 loading control staining at 1/20000 dilution, shown in magenta. A band was observed at 110 kDa in Wild-type HCT 116 cell lysates with no signal observed at this size in TRIM28 knockout HCT 116 cell line. To generate this image, samples were run on an SDS-PAGE gel then transferred onto a nitrocellulose membrane. Membranes were blocked in 3pc Milk in TBS-0.1 % Tween® 20 (TBS-T) before incubation with primary antibodies overnight at 4 °C. Blots were washed four times in TBS-T, incubated with secondary antibodies for 1 h at room temperature, washed again four times then imaged. Secondary antibodies used were Goat anti-Rabbit 800CW and Goat anti-Mouse 680RD at 1/20,000 dilution.

All lanes:

Western blot - Anti-KAP1 antibody [EPR5249] (ab109545) at 1/1000 dilution

Lane 1:

Wild-type HCT 116 at 20 µg

Lane 2:

Western blot - Human TRIM28 knockout HCT116 cell line (ab289073) at 20 µg

Lane 3:

HeLa at 20 µg

Lane 4:

A-431 at 20 µg

Secondary

All lanes:

Goat anti-Rabbit 800CW & Goat anti-Mouse 680RD at 1/20000 dilution

Predicted band size: 89 kDa

Observed band size: 110 kDa,37 kDa

false

Western blot - Anti-KAP1 antibody [EPR5249] (AB109545)
  • WB

Lab

Western blot - Anti-KAP1 antibody [EPR5249] (AB109545)

Blocking/diluting buffer and concentration : 5% NFDM/TBST

All lanes:

Western blot - Anti-KAP1 antibody [EPR5249] (ab109545) at 1/10000 dilution

Lane 1:

A431 (Human epidermoid carcinoma epithelial cell) whole cell lysates at 15 µg

Lane 2:

MCF7 (Human breast adenocarcinoma epithelial cell) whole cell lysates at 15 µg

Secondary

All lanes:

Western blot - Goat Anti-Rabbit IgG H&L (HRP) (<a href='/products/secondary-antibodies/goat-rabbit-igg-h-l-hrp-ab97051'>ab97051</a>) at 1/20000 dilution

Predicted band size: 88 kDa

Observed band size: 110 kDa

true

Exposure time: 10s

不同偶联物与剂型 (1)

  • Carrier free

    Anti-KAP1 antibody [EPR5249] - BSA and Azide free

关键信息

宿主种属

Rabbit

克隆

Monoclonal

克隆号

EPR5249

亚型

IgG

不含载体蛋白

No

反应种属

Human

应用

IP, ICC/IF, Flow Cyt (Intra), WB, IHC-P

applications

免疫原

The exact immunogen used to generate this antibody is proprietary information.

特异性

Although the immunogen is from a phosphor-peptide, this antibody detects phospho and non-phospho KAP1. Based on a peptide blocking experiment it has been found that the signal generated after non-phospho peptide blocking became much weaker, thus indicating that ab109545 shows cross-reactivity with the non-phospho KAP1 at high level.

反应性数据

{ "title": "Reactivity Data", "filters": { "stats": ["", "Species", "Dilution Info", "Notes"], "tabs": { "all-applications": {"fullname" : "All Applications", "shortname": "All Applications"}, "IHCP" : {"fullname" : "Immunohistochemistry (Formalin/PFA-fixed paraffin-embedded sections)", "shortname":"IHC-P"}, "IP" : {"fullname" : "Immunoprecipitation", "shortname":"IP"}, "WB" : {"fullname" : "Western blot", "shortname":"WB"}, "ICCIF" : {"fullname" : "Immunocytochemistry/ Immunofluorescence", "shortname":"ICC/IF"}, "FlowCytIntra" : {"fullname" : "Flow Cytometry (Intracellular)", "shortname":"Flow Cyt (Intra)"} }, "product-promise": { "all": "all", "testedAndGuaranteed": "tested", "guaranteed": "expected", "predicted": "predicted", "notRecommended": "not-recommended" } }, "values": { "Human": { "IHCP-species-checked": "testedAndGuaranteed", "IHCP-species-dilution-info": "1/100 - 1/250", "IHCP-species-notes": "<p>Heat up to 98 degrees C, below boiling, and then let cool for 10-20 min.</p> Perform heat-mediated antigen retrieval via the pressure cooker method before commencing with IHC staining protocol.", "IP-species-checked": "testedAndGuaranteed", "IP-species-dilution-info": "1/30", "IP-species-notes": "<p></p>", "WB-species-checked": "testedAndGuaranteed", "WB-species-dilution-info": "1/1000 - 1/50000", "WB-species-notes": "<p></p>", "ICCIF-species-checked": "testedAndGuaranteed", "ICCIF-species-dilution-info": "1/100 - 1/250", "ICCIF-species-notes": "<p></p>", "FlowCytIntra-species-checked": "testedAndGuaranteed", "FlowCytIntra-species-dilution-info": "1/100", "FlowCytIntra-species-notes": "<p><a href='/products/primary-antibodies/rabbit-igg-monoclonal-epr25a-isotype-control-ab172730'>ab172730</a> - Rabbit monoclonal IgG, is suitable for use as an isotype control with this antibody.</p>" } } }

产品详情

Patented technology
Our RabMAb® technology is a patented hybridoma-based technology for making rabbit monoclonal antibodies. For details on our patents, please refer to RabMAb® patents.

What are the advantages of a recombinant monoclonal antibody?
This product is a recombinant monoclonal antibody, which offers several advantages including:

  • - High batch-to-batch consistency and reproducibility
  • - Improved sensitivity and specificity
  • - Long-term security of supply
  • - Animal-free batch production

For more information, read more on recombinant antibodies.

性能和储存信息

形式
Liquid
纯化工艺
Affinity purification Protein A
存储溶液
pH: 7.2 - 7.4 Preservative: 0.05% Sodium azide Constituents: 50% Tissue culture supernatant, 40% Glycerol (glycerin, glycerine), 9.85% Tris glycine, 0.1% BSA
运输条件
Blue Ice
推荐的短期储存时间
1-2 weeks
推荐的短期储存条件
+4°C
推荐的长期储存条件
-20°C
分装信息
Upon delivery aliquot
储存信息
Avoid freeze / thaw cycle

补充信息

This supplementary information is collated from multiple sources and compiled automatically.

KAP1 also known as TRIM28 or TIF1β is a multifunctional protein involved in transcriptional regulation. It has a molecular weight of approximately 87 kDa. This protein is expressed in a wide variety of human tissues where it plays a role as a co-repressor for KRAB domain-containing zinc finger proteins. KAP1 recruits various epigenetic modifiers to silence transcription and this activity depends on its phosphorylation status. You might explore KAP1 using KAP1 ELISA kits and study its post-translational modifications like phosphorylation in various conditions.
Biological function summary

KAP1 acts as a scaffold protein facilitating the assembly of large protein complexes that include chromatin remodelers and histone deacetylases. It is significant in maintaining chromatin structure and mediating gene silencing. KAP1 phosphorylation serves as a switch between its roles in transcriptional repression and activation. This protein also interacts with heterochromatin protein 1 (HP1) and other TRIM family proteins playing an important role in genomic stability by controlling gene expression and repair mechanisms.

Pathways

KAP1 participates actively in p53 and DNA damage response pathways. In the p53 pathway KAP1 regulates genes involved in the cell cycle and apoptosis acting in conjunction with the p53 protein. Within the DNA damage response KAP1 modulates the repair of double-strand breaks by interacting with proteins like ATM kinase influencing cellular sensitivity to genotoxic stress. These pathways highlight its importance in maintaining cellular homeostasis and response to external stimuli.

KAP1 has known connections with cancer and neurological disorders due to its regulatory effects on gene expression and genome stability. In cancer aberrant KAP1 activity can lead to unregulated cell proliferation and survival often involving changes in its interaction with the p53 protein. In neurological disorders dysregulation of KAP1 is associated with impaired neural development and neurodegeneration. Altogether these associations highlight KAP1 as a potential target for therapeutic interventions in related diseases.

产品实验方案

For this product, it's our understanding that no specific protocols are required. You can visit:

靶点信息

Nuclear corepressor for KRAB domain-containing zinc finger proteins (KRAB-ZFPs). Mediates gene silencing by recruiting CHD3, a subunit of the nucleosome remodeling and deacetylation (NuRD) complex, and SETDB1 (which specifically methylates histone H3 at 'Lys-9' (H3K9me)) to the promoter regions of KRAB target genes. Enhances transcriptional repression by coordinating the increase in H3K9me, the decrease in histone H3 'Lys-9 and 'Lys-14' acetylation (H3K9ac and H3K14ac, respectively) and the disposition of HP1 proteins to silence gene expression. Recruitment of SETDB1 induces heterochromatinization. May play a role as a coactivator for CEBPB and NR3C1 in the transcriptional activation of ORM1. Also a corepressor for ERBB4. Inhibits E2F1 activity by stimulating E2F1-HDAC1 complex formation and inhibiting E2F1 acetylation. May serve as a partial backup to prevent E2F1-mediated apoptosis in the absence of RB1. Important regulator of CDKN1A/p21(CIP1). Has E3 SUMO-protein ligase activity toward itself via its PHD-type zinc finger. Also specifically sumoylates IRF7, thereby inhibiting its transactivation activity. Ubiquitinates p53/TP53 leading to its proteasomal degradation; the function is enhanced by MAGEC2 and MAGEA2, and possibly MAGEA3 and MAGEA6. Mediates the nuclear localization of KOX1, ZNF268 and ZNF300 transcription factors. In association with isoform 2 of ZFP90, is required for the transcriptional repressor activity of FOXP3 and the suppressive function of regulatory T-cells (Treg) (PubMed : 23543754). Probably forms a corepressor complex required for activated KRAS-mediated promoter hypermethylation and transcriptional silencing of tumor suppressor genes (TSGs) or other tumor-related genes in colorectal cancer (CRC) cells (PubMed : 24623306). Required to maintain a transcriptionally repressive state of genes in undifferentiated embryonic stem cells (ESCs) (PubMed : 24623306). In ESCs, in collaboration with SETDB1, is also required for H3K9me3 and silencing of endogenous and introduced retroviruses in a DNA-methylation independent-pathway (By similarity). Associates at promoter regions of tumor suppressor genes (TSGs) leading to their gene silencing (PubMed : 24623306). The SETDB1-TRIM28-ZNF274 complex may play a role in recruiting ATRX to the 3'-exons of zinc-finger coding genes with atypical chromatin signatures to establish or maintain/protect H3K9me3 at these transcriptionally active regions (PubMed : 27029610).. (Microbial infection) Plays a critical role in the shutdown of lytic gene expression during the early stage of herpes virus 8 primary infection. This inhibition is mediated through interaction with herpes virus 8 protein LANA1.
See full target information TRIM28

文献 (7)

Recent publications for all applications. Explore the full list and refine your search

Cancers 15: PubMed37894405

2023

CELF2 Sustains a Proliferating/OLIG2+ Glioblastoma Cell Phenotype via the Epigenetic Repression of SOX3.

Applications

Unspecified application

Species

Unspecified reactive species

Laurent Turchi,Nathalie Sakakini,Gaelle Saviane,Béatrice Polo,Mirca Saras Saurty-Seerunghen,Mathieu Gabut,Corine Auge Gouillou,Vincent Guerlais,Claude Pasquier,Marie Luce Vignais,Fabien Almairac,Hervé Chneiweiss,Marie-Pierre Junier,Fanny Burel-Vandenbos,Thierry Virolle

Nucleic acids research 51:5414-5431 PubMed37021556

2023

RBBP4 is an epigenetic barrier for the induced transition of pluripotent stem cells into totipotent 2C-like cells.

Applications

Unspecified application

Species

Unspecified reactive species

Wangfang Ping,Yingliang Sheng,Gongcheng Hu,Hongxin Zhong,Yaoyi Li,YanJiang Liu,Wei Luo,Chenghong Yan,Yulin Wen,Xinxiu Wang,Qing Li,Rong Guo,Jie Zhang,Ake Liu,Guangjin Pan,Hongjie Yao

Bioengineered 13:11945-11957 PubMed35549637

2022

Knockdown of KRAB domain-associated protein 1 suppresses the proliferation, migration and invasion of thyroid cancer cells by regulating P68/DEAD box protein 5.

Applications

Unspecified application

Species

Unspecified reactive species

Hai Lan,Congyao Lin,Hongyin Yuan

Cancers 14: PubMed35406379

2022

The Emerging Role of E3 Ubiquitin Ligase SMURF2 in the Regulation of Transcriptional Co-Repressor KAP1 in Untransformed and Cancer Cells and Tissues.

Applications

Unspecified application

Species

Unspecified reactive species

Pooja Anil Shah,Sandy Boutros-Suleiman,Andrea Emanuelli,Biagio Paolini,Gal Levy-Cohen,Michael Blank

Molecular medicine reports 24: PubMed34558647

2021

Role of salt‑inducible kinase 2 in the malignant behavior and glycolysis of colorectal cancer cells.

Applications

Unspecified application

Species

Unspecified reactive species

Xiaohong Ni,Yongjiang Feng,Xiangwei Fu

ChemMedChem 14:1701-1709 PubMed31325352

2019

An Angle on MK2 Inhibition-Optimization and Evaluation of Prevention of Activation Inhibitors.

Applications

Unspecified application

Species

Unspecified reactive species

Ulf Hedström,Monica Norberg,Emma Evertsson,Sarah R Lever,Magnus Munck Af Rosenschöld,Hans Lönn,Peter Bold,Helena Käck,Pia Berntsson,Johanna Vinblad,Jianming Liu,Anette Welinder,Johan Karlsson,Arjan Snijder,Katerina Pardali,Ulf Andersson,Andrew M Davis,Mickael Mogemark

OncoTargets and therapy 12:397-404 PubMed30655676

2019

TRIM28 activates autophagy and promotes cell proliferation in glioblastoma.

Applications

Unspecified application

Species

Unspecified reactive species

Yong Peng,Mingming Zhang,Zhongzhong Jiang,Yugang Jiang
View all publications

Abcam Product Promise

我们致力于为您的研究提供高质量的试剂,为您科研的每一步提供支持。若我们的产品未能达到预期性能,我们向您提供 Abcam Product Promise 保障。
详情请参阅我们的条款与条件。

Please note: All products are 'FOR RESEARCH USE ONLY. NOT FOR USE IN DIAGNOSTIC OR THERAPEUTIC PROCEDURES'.

For licensing inquiries, please contact partnerships@abcam.com