JavaScript is disabled in your browser. Please enable JavaScript to view this website.
AB178858

重组Anti-JunD (phospho S100) + c-Jun (phospho S73)抗体[EPR16586]

Anti-JunD (phospho S100) + c-Jun (phospho S73) antibody [EPR16586]

Be the first to review this product! Submit a review

|

(4 Publications)

Rabbit Recombinant Monoclonal c-Jun phospho S73 antibody. Suitable for IP, Dot, WB, IHC-P and reacts with Human, Mouse, Rat samples. Cited in 4 publications.

查看别名

Transcription factor Jun, Activator protein 1, Proto-oncogene c-Jun, Transcription factor AP-1 subunit Jun, V-jun avian sarcoma virus 17 oncogene homolog, p39, AP1, JUN

10 Images
Immunohistochemistry (Formalin/PFA-fixed paraffin-embedded sections) - Anti-JunD (phospho S100) + c-Jun (phospho S73) antibody [EPR16586] (AB178858)
  • IHC-P

Supplier Data

Immunohistochemistry (Formalin/PFA-fixed paraffin-embedded sections) - Anti-JunD (phospho S100) + c-Jun (phospho S73) antibody [EPR16586] (AB178858)

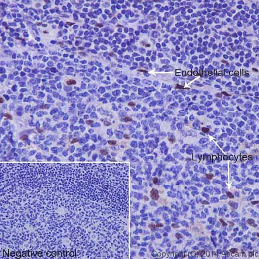
Immunohistochemical analysis of paraffin-embedded Human tonsil tissue labeling JunD (phospho S100) + c-Jun (phospho S73) with ab178858 at 1/1000 dilution followed by Goat Anti-Rabbit IgG H&L (HRP) (ab97051) at 1/500 dilution. Nuclear staining on lymphocytes and endothelial cells of Human tonsil is observed. Counter stained with Hematoxylin.

Negative Control : Used PBS instead of primary antibody secondary antibody is ab97051 at 1/500 dilution.

Perform heat mediated antigen retrieval with Tris/EDTA buffer pH 9.0 before commencing with IHC staining protocol.

Immunoprecipitation - Anti-JunD (phospho S100) + c-Jun (phospho S73) antibody [EPR16586] (AB178858)
  • IP

Supplier Data

Immunoprecipitation - Anti-JunD (phospho S100) + c-Jun (phospho S73) antibody [EPR16586] (AB178858)

JunD (phospho S100) + c-Jun (phospho S73) were immunoprecipitated from 1mg of HeLa (Human epithelial cell line from cervix adenocarcinoma), treated with 250ng/ml Anisomycin for 30 minutes, whole cell extract with ab178858 at 1/100 dilution. Western blot was performed from the immunoprecipitate using ab178858 at 1/1000 dilution. Anti-Rabbit IgG (HRP), specific to the non-reduced form of IgG was used as secondary antibody at 1/1500 dilution.
Lane 1 : HeLa, treated with 250ng/ml Anisomycin for 30 minutes, whole cell extract
Lane 2 : PBS.
Blocking and dilution buffer and concentration : 5% NFDM/TBST.
Exposure time : 10 seconds.

Per the blast, ab178858 could recognize JunD (phospho Ser100) with 100% homology. Multi-bands are due to c-Jun (phospho Ser73) & JunD (phospho Ser100)

All lanes:

Immunoprecipitation - Anti-JunD (phospho S100) + c-Jun (phospho S73) antibody [EPR16586] (ab178858)

false

Immunohistochemistry (Formalin/PFA-fixed paraffin-embedded sections) - Anti-JunD (phospho S100) + c-Jun (phospho S73) antibody [EPR16586] (AB178858)
  • IHC-P

Supplier Data

Immunohistochemistry (Formalin/PFA-fixed paraffin-embedded sections) - Anti-JunD (phospho S100) + c-Jun (phospho S73) antibody [EPR16586] (AB178858)

Immunohistochemical analysis of paraffin-embedded rat liver tissue labeling JunD (phospho S100) + c-Jun (phospho S73) with ab178858 at 1/1000 dilution followed by Goat Anti-Rabbit IgG H&L (HRP) (ab97051) at 1/500 dilution. Nuclear staining on bile duct epithelial cells while no staining on hepatocytes of rat liver is observed. Counter stained with Hematoxylin.

Negative control : Used PBS instead of primary antibody secondary antibody is ab97051 at 1/500 dilution.

Perform heat mediated antigen retrieval with Tris/EDTA buffer pH 9.0 before commencing with IHC staining protocol.

Immunohistochemistry (Formalin/PFA-fixed paraffin-embedded sections) - Anti-JunD (phospho S100) + c-Jun (phospho S73) antibody [EPR16586] (AB178858)
  • IHC-P

Supplier Data

Immunohistochemistry (Formalin/PFA-fixed paraffin-embedded sections) - Anti-JunD (phospho S100) + c-Jun (phospho S73) antibody [EPR16586] (AB178858)

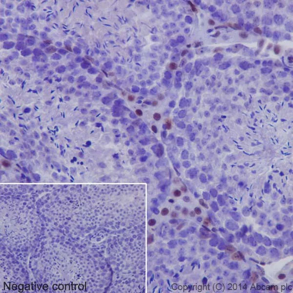
Immunohistochemical analysis of paraffin-embedded mouse testis tissue labeling JunD (phospho S100) + c-Jun (phospho S73) with ab178858 at 1/1000 dilution followed by Goat Anti-Rabbit IgG H&L (HRP) (ab97051) at 1/500 dilution. Nuclear staining on spermatogoniums and Leydig cells of mouse testis is observed. Counter stained with Hematoxylin.

Negative Control : Used PBS instead of primary antibody secondary antibody is ab97051 at 1/500 dilution.

Perform heat mediated antigen retrieval with Tris/EDTA buffer pH 9.0 before commencing with IHC staining protocol.

Western blot - Anti-JunD (phospho S100) + c-Jun (phospho S73) antibody [EPR16586] (AB178858)
  • WB

Supplier Data

Western blot - Anti-JunD (phospho S100) + c-Jun (phospho S73) antibody [EPR16586] (AB178858)

Blocking/dilution buffer : 5% NFDM/TBST.

Per the blast, ab178858 could recognize JunD (phospho Ser100) with 100% homology. Multi-bands are due to c-Jun (phospho Ser73) & JunD (phospho Ser100).

All lanes:

Western blot - Anti-JunD (phospho S100) + c-Jun (phospho S73) antibody [EPR16586] (ab178858) at 1/10000 dilution

Lane 1:

HeLa (Human epithelial cell line from cervix adenocarcinoma) treated with 250 ng/ml Anisomycin for 30 minutes whole cell lysate at 10 µg

Lane 2:

Untreated HeLa (Human epithelial cell line from cervix adenocarcinoma) whole cell lysate at 10 µg

Secondary

All lanes:

Goat Anti-Rabbit IgG,(H+L),Peroxidase conjugated at 1/1000 dilution

Predicted band size: 36 kDa

Observed band size: 40 kDa,45 kDa,48 kDa

false

Exposure time: 3min

Western blot - Anti-JunD (phospho S100) + c-Jun (phospho S73) antibody [EPR16586] (AB178858)
  • WB

Supplier Data

Western blot - Anti-JunD (phospho S100) + c-Jun (phospho S73) antibody [EPR16586] (AB178858)

Blocking/dilution buffer : 5% NFDM/TBST.

All lanes:

Western blot - Anti-JunD (phospho S100) + c-Jun (phospho S73) antibody [EPR16586] (ab178858) at 1/10000 dilution

Lane 1:

HeLa (Human epithelial cell line from cervix adenocarcinoma) treated with 250 ng/ml Anisomycin for 30 minutes whole cell lysate at 10 µg

Lane 2:

HeLa (Human epithelial cell line from cervix adenocarcinoma) treated with 250 ng/ml Anisomycin for 30 minutes, whole cell lysate treated with Alkaline Phosphatase at 10 µg

Secondary

All lanes:

Goat Anti-Rabbit IgG,(H+L),Peroxidase conjugated at 1/1000 dilution

Predicted band size: 36 kDa

Observed band size: 40 kDa,45 kDa

false

Exposure time: 3min

Western blot - Anti-JunD (phospho S100) + c-Jun (phospho S73) antibody [EPR16586] (AB178858)
  • WB

Supplier Data

Western blot - Anti-JunD (phospho S100) + c-Jun (phospho S73) antibody [EPR16586] (AB178858)

Blocking/dilution buffer : 5% NFDM/TBST.

Lanes 1, 4 and 5:

Western blot - Anti-JunD (phospho S100) + c-Jun (phospho S73) antibody [EPR16586] (ab178858)

Lanes 2 - 3:

Western blot - Anti-JunD (phospho S100) + c-Jun (phospho S73) antibody [EPR16586] (ab178858) at 1/10000 dilution

Lanes 1, 3 and 5:

Untreated HeLa (Human epithelial cell line from cervix adenocarcinoma) whole cell lysate at 10 µg

Lanes 2 and 4:

HeLa (Human epithelial cell line from cervix adenocarcinoma) treated with 250 ng/ml Anisomycin for 30 minutes whole cell lysate at 10 µg

Secondary

All lanes:

Goat Anti-Rabbit IgG,(H+L),Peroxidase conjugated at 1/1000 dilution

Predicted band size: 36 kDa

Observed band size: 40 kDa,45 kDa

false

Exposure time: 3min

Western blot - Anti-JunD (phospho S100) + c-Jun (phospho S73) antibody [EPR16586] (AB178858)
  • WB

Supplier Data

Western blot - Anti-JunD (phospho S100) + c-Jun (phospho S73) antibody [EPR16586] (AB178858)

Blocking/dilution buffer : 5% NFDM/TBST.

Per the blast, ab178858 could recognize JunD (phospho Ser100) with 100% homology. Multi-bands are due to c-Jun (phospho Ser73) & JunD (phospho Ser100).

All lanes:

Western blot - Anti-JunD (phospho S100) + c-Jun (phospho S73) antibody [EPR16586] (ab178858) at 1/10000 dilution

Lane 1:

NIH/3T3 (Mouse embryo fibroblast cell line) treated with 250 ng/ml Anisomycin for 30 minutes whole cell lysate at 10 µg

Lane 2:

Untreated NIH/3T3 (Mouse embryo fibroblast cell line) whole cell lysate at 10 µg

Secondary

All lanes:

Goat Anti-Rabbit IgG,(H+L),Peroxidase conjugated at 1/1000 dilution

Predicted band size: 36 kDa

Observed band size: 40 kDa,45 kDa

false

Exposure time: 1min

Western blot - Anti-JunD (phospho S100) + c-Jun (phospho S73) antibody [EPR16586] (AB178858)
  • WB

Supplier Data

Western blot - Anti-JunD (phospho S100) + c-Jun (phospho S73) antibody [EPR16586] (AB178858)

Blocking/dilution buffer : 5% NFDM/TBST.

Per the blast, ab178858 could recognize JunD (phospho Ser100) with 100% homology. Multi-bands are due to c-Jun (phospho Ser73) & JunD (phospho Ser100).

All lanes:

Western blot - Anti-JunD (phospho S100) + c-Jun (phospho S73) antibody [EPR16586] (ab178858) at 1/1000 dilution

Lane 1:

RAW 264.7 (Mouse macrophage cell line transformed with Abelson murine leukemia virus) whole cell lysate at 10 µg

Lane 2:

PC-12 (Rat adrenal gland pheochromocytoma cell line) whole cell lysate at 10 µg

Secondary

All lanes:

Goat Anti-Rabbit IgG,(H+L),Peroxidase conjugated at 1/1000 dilution

Predicted band size: 36 kDa

Observed band size: 40 kDa,45 kDa

false

Exposure time: 3min

Dot Blot - Anti-JunD (phospho S100) + c-Jun (phospho S73) antibody [EPR16586] (AB178858)
  • Dot

Supplier Data

Dot Blot - Anti-JunD (phospho S100) + c-Jun (phospho S73) antibody [EPR16586] (AB178858)

Dot blot analysis of JunD (phospho S100) + c-Jun (phospho S73) peptide (Lane 1) and non-phospho peptide (Lane 2) labeled using ab178858 at 1/1000 dilution followed by Goat Anti-Rabbit IgG (H+L) Peroxidase conjugated secondary antibody at 1/1000 dilution.

Blocking/Dilution buffer : 5% NFDM/TBST.

Exposure time : 3 minutes.

不同偶联物与剂型 (1)

  • Carrier free

    Anti-JunD (phospho S100) + c-Jun (phospho S73) antibody [EPR16586] - BSA and Azide free

关键信息

宿主种属

Rabbit

克隆

Monoclonal

克隆号

EPR16586

亚型

IgG

不含载体蛋白

No

反应种属

Mouse, Rat, Human

应用

IHC-P, WB, IP, Dot

applications

免疫原

The exact immunogen used to generate this antibody is proprietary information.

反应性数据

{ "title": "Reactivity Data", "filters": { "stats": ["", "Species", "Dilution Info", "Notes"], "tabs": { "all-applications": {"fullname" : "All Applications", "shortname": "All Applications"}, "IP" : {"fullname" : "Immunoprecipitation", "shortname":"IP"}, "Dot" : {"fullname" : "Dot Blot", "shortname":"Dot"}, "WB" : {"fullname" : "Western blot", "shortname":"WB"}, "IHCP" : {"fullname" : "Immunohistochemistry (Formalin/PFA-fixed paraffin-embedded sections)", "shortname":"IHC-P"} }, "product-promise": { "all": "all", "testedAndGuaranteed": "tested", "guaranteed": "expected", "predicted": "predicted", "notRecommended": "not-recommended" } }, "values": { "Human": { "IP-species-checked": "testedAndGuaranteed", "IP-species-dilution-info": "1/100", "IP-species-notes": "<p></p>", "Dot-species-checked": "guaranteed", "Dot-species-dilution-info": "", "Dot-species-notes": "", "WB-species-checked": "testedAndGuaranteed", "WB-species-dilution-info": "1/1000", "WB-species-notes": "<p></p>", "IHCP-species-checked": "testedAndGuaranteed", "IHCP-species-dilution-info": "1/1000", "IHCP-species-notes": "<p></p>" }, "Mouse": { "IP-species-checked": "guaranteed", "IP-species-dilution-info": "", "IP-species-notes": "", "Dot-species-checked": "testedAndGuaranteed", "Dot-species-dilution-info": "1/1000", "Dot-species-notes": "<p></p>", "WB-species-checked": "testedAndGuaranteed", "WB-species-dilution-info": "1/1000", "WB-species-notes": "<p></p>", "IHCP-species-checked": "testedAndGuaranteed", "IHCP-species-dilution-info": "1/1000", "IHCP-species-notes": "<p></p>" }, "Rat": { "IP-species-checked": "guaranteed", "IP-species-dilution-info": "", "IP-species-notes": "", "Dot-species-checked": "guaranteed", "Dot-species-dilution-info": "", "Dot-species-notes": "", "WB-species-checked": "testedAndGuaranteed", "WB-species-dilution-info": "1/1000", "WB-species-notes": "<p></p>", "IHCP-species-checked": "testedAndGuaranteed", "IHCP-species-dilution-info": "1/1000", "IHCP-species-notes": "<p></p>" } } }

产品详情

Patented technology
Our RabMAb® technology is a patented hybridoma-based technology for making rabbit monoclonal antibodies. For details on our patents, please refer to RabMAb® patents.

What are the advantages of a recombinant monoclonal antibody?
This product is a recombinant monoclonal antibody, which offers several advantages including:

  • - High batch-to-batch consistency and reproducibility
  • - Improved sensitivity and specificity
  • - Long-term security of supply
  • - Animal-free batch production

For more information, read more on recombinant antibodies.

性能和储存信息

形式
Liquid
纯化工艺
Affinity purification Protein A
存储溶液
Preservative: 0.01% Sodium azide Constituents: PBS, 40% Glycerol (glycerin, glycerine), 0.05% BSA
运输条件
Blue Ice
推荐的短期储存时间
1-2 weeks
推荐的短期储存条件
+4°C
推荐的长期储存条件
-20°C
分装信息
Upon delivery aliquot
储存信息
Avoid freeze / thaw cycle

补充信息

This supplementary information is collated from multiple sources and compiled automatically.

JunD and c-Jun are transcription factors belonging to the AP-1 (Activator Protein-1) family. These proteins are important for regulating gene expression in response to a variety of stimuli. JunD is approximately 39 kDa while c-Jun is a bit smaller at approximately 35 kDa. Both proteins are expressed in various tissues including the heart brain and liver. Complexes formed by binding of these proteins with other family members like Fos Jun and ATF lead to changes in transcription activity.
Biological function summary

JunD and c-Jun influence cell proliferation differentiation and apoptosis. They frequently form homodimers or heterodimers particularly in cooperation with proteins like c-Fos for regulating target gene expression. JunD and c-Jun modulate cell cycle-related genes and interact with signaling molecules to control cellular responses impacting the balance between cell survival and programmed cell death.

Pathways

JunD and c-Jun play a central role in the MAPK (Mitogen-Activated Protein Kinase) signaling pathway a critical pathway for transducing extracellular signals into various cellular responses. In this pathway JunD and c-Jun phosphorylation influences their activity. These proteins associate with other factors such as c-Fos to regulate gene expression related to stress responses and immune function. They also participate in the JNK (c-Jun N-terminal kinase) pathway further emphasizing their role in cell fate decisions.

Abnormal JunD and c-Jun activity relate to cancer and neurodegenerative diseases. In certain cancers overexpression or mutations lead to uncontrolled cell proliferation due to altered gene transcription. In the neurological context dysregulation of these proteins associates with disorders like Alzheimer's disease where improper neuronal apoptosis occurs. In both scenarios their interaction with other proteins such as c-Fos underlines their importance in pathological conditions.

产品实验方案

For this product, it's our understanding that no specific protocols are required. You can visit:

靶点信息

Transcription factor that recognizes and binds to the AP-1 consensus motif 5'-TGA[GC]TCA-3' (PubMed : 10995748, PubMed : 22083952). Heterodimerizes with proteins of the FOS family to form an AP-1 transcription complex, thereby enhancing its DNA binding activity to the AP-1 consensus sequence 5'-TGA[GC]TCA-3' and enhancing its transcriptional activity (By similarity). Together with FOSB, plays a role in activation-induced cell death of T cells by binding to the AP-1 promoter site of FASLG/CD95L, and inducing its transcription in response to activation of the TCR/CD3 signaling pathway (PubMed : 12618758). Promotes activity of NR5A1 when phosphorylated by HIPK3 leading to increased steroidogenic gene expression upon cAMP signaling pathway stimulation (PubMed : 17210646). Involved in activated KRAS-mediated transcriptional activation of USP28 in colorectal cancer (CRC) cells (PubMed : 24623306). Binds to the USP28 promoter in colorectal cancer (CRC) cells (PubMed : 24623306).. (Microbial infection) Upon Epstein-Barr virus (EBV) infection, binds to viral BZLF1 Z promoter and activates viral BZLF1 expression.
See full target information JUN phospho S73

文献 (4)

Recent publications for all applications. Explore the full list and refine your search

Frontiers in cell and developmental biology 9:758339 PubMed34805166

2021

Papillary Thyroid Carcinoma Landscape and Its Immunological Link With Hashimoto Thyroiditis at Single-Cell Resolution.

Applications

Unspecified application

Species

Unspecified reactive species

Jun Pan,Fang Ye,Chengxuan Yu,Qinsheng Zhu,Jiaqi Li,Yaohui Zhang,Hedi Tian,Yunjin Yao,Minjie Zhu,Yibin Shen,Feng Zhu,Yingying Wang,Xinhui Zhou,Guoji Guo,Yijun Wu

Biomacromolecules 22:3396-3407 PubMed34286584

2021

Nanoparticles for Directed Immunomodulation: Mannose-Functionalized Glycodendrimers Induce Interleukin-8 in Myeloid Cell Lines.

Applications

Unspecified application

Species

Unspecified reactive species

Izabela Jatczak-Pawlik,Michał Gorzkiewicz,Maciej Studzian,Robin Zinke,Dietmar Appelhans,Barbara Klajnert-Maculewicz,Łukasz Pułaski

Cell biochemistry and function 38:1017-1024 PubMed32495394

2020

microRNA-124-3p inhibits tumourigenesis by targeting mitogen-activated protein kinase 4 in papillary thyroid carcinoma.

Applications

Unspecified application

Species

Unspecified reactive species

Yu Sun,Liwei Zhang,Suzhen Zhang

American journal of translational research 9:4300-4307 PubMed28979703

2017

MicroRNA-205-5p regulates the chemotherapeutic resistance of hepatocellular carcinoma cells by targeting PTEN/JNK/ANXA3 pathway.

Applications

Unspecified application

Species

Unspecified reactive species

Ping Shao,Wei-Kun Qu,Cheng-Ye Wang,Yu Tian,Ming-Liang Ye,De-Guang Sun,Ji-Dong Sui,Li-Ming Wang,Rong Fan,Zhen-Ming Gao
View all publications

Abcam Product Promise

我们致力于为您的研究提供高质量的试剂,为您科研的每一步提供支持。若我们的产品未能达到预期性能,我们向您提供 Abcam Product Promise 保障。
详情请参阅我们的条款与条件。

Please note: All products are 'FOR RESEARCH USE ONLY. NOT FOR USE IN DIAGNOSTIC OR THERAPEUTIC PROCEDURES'.

For licensing inquiries, please contact partnerships@abcam.com