JavaScript is disabled in your browser. Please enable JavaScript to view this website.
AB181615

重组Anti-JunD抗体[EPR17365]

Anti-JunD antibody [EPR17365]

3

(1 Review)

|

(12 Publications)

Rabbit Recombinant Monoclonal JUND antibody. Suitable for WB, ICC/IF, IHC-P and reacts with Mouse, Rat, Human samples. Cited in 12 publications.

查看别名

Transcription factor JunD, Transcription factor AP-1 subunit JunD, JUND

9 Images
Immunocytochemistry/ Immunofluorescence - Anti-JunD antibody [EPR17365] (AB181615)
  • ICC/IF

Supplier Data

Immunocytochemistry/ Immunofluorescence - Anti-JunD antibody [EPR17365] (AB181615)

Immunofluorescent analysis of 4% paraformaldehyde-fixed 0.1% Triton X-100 permeabilized HeLa (Human epithelial cells from cervix adenocarcinoma) cells labeling JunD with ab181615 at 1/10000 dilution followed by Goat anti-rabbit IgG (Alexa Fluor® 488) (ab150077) secondary antibody at 1/500 dilution (green). Confocal image shows nuclear staining on the HeLa cell line. The nuclear counter stain is DAPI (blue) . Tubulin is detected with ab7291 (anti-Tubulin mouse mAb) at 1/1000 dilution and ab150120 (AlexaFluor®594 Goat anti-Mouse secondary) at 1/500 dilution (red).
The negative controls are as follows :
1. ab181615 at 1/10000 dilution followed by ab150120 (AlexaFluor®594 Goat anti-Mouse secondary) at 1/500 dilution.
2. ab7291 (anti-Tubulin mouse mAb) at 1/1000 dilution followed by ab150077 (Alexa Fluor®488 Goat Anti-Rabbit IgG H&L) at 1/500 dilution.

Immunohistochemistry (Formalin/PFA-fixed paraffin-embedded sections) - Anti-JunD antibody [EPR17365] (AB181615)
  • IHC-P

Supplier Data

Immunohistochemistry (Formalin/PFA-fixed paraffin-embedded sections) - Anti-JunD antibody [EPR17365] (AB181615)

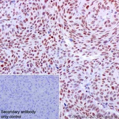
Immunohistochemical analysis of paraffin-embedded Human lung squamous cell carcinoma tissue labeling JunD using ab181615 at 1/1000 dilution. A Goat Anti-Rabbit IgG H&L (HRP) (ab97051) was used as secondary at 1/500 dilution. Counterstain : Hematoxylin.
Inset image : negative control obtained using PBS instead of ab181615 and secondary antibody only.
Note : Nucleus staining on the cancer cells of lung squamous cell carcinoma was observed.

Perform heat mediated antigen retrieval with Tris/EDTA buffer pH 9.0 before commencing with IHC staining protocol.

Immunohistochemistry (Formalin/PFA-fixed paraffin-embedded sections) - Anti-JunD antibody [EPR17365] (AB181615)
  • IHC-P

Supplier Data

Immunohistochemistry (Formalin/PFA-fixed paraffin-embedded sections) - Anti-JunD antibody [EPR17365] (AB181615)

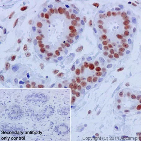
Immunohistochemical analysis of paraffin-embedded Human mammary gland tissue labeling JunD using ab181615 at 1/1000 dilution. A Goat Anti-Rabbit IgG H&L (HRP) (ab97051) was used as secondary at 1/500 dilution. Counterstain : Hematoxylin.
Inset image : negative control obtained using PBS instead of ab181615 and secondary antibody only.
Note : Nuclear staining on the epithelial cells of Human mammary gland was observed.

Perform heat mediated antigen retrieval with Tris/EDTA buffer pH 9.0 before commencing with IHC staining protocol.

Immunohistochemistry (Formalin/PFA-fixed paraffin-embedded sections) - Anti-JunD antibody [EPR17365] (AB181615)
  • IHC-P

Supplier Data

Immunohistochemistry (Formalin/PFA-fixed paraffin-embedded sections) - Anti-JunD antibody [EPR17365] (AB181615)

Immunohistochemical analysis of paraffin-embedded Rat cerebral cortex tissue labeling JunD using ab181615 at 1/1000 dilution. A Goat Anti-Rabbit IgG H&L (HRP) (ab97051) was used as secondary at 1/500 dilution. Counterstain : Hematoxylin.
Inset image : negative control obtained using PBS instead of ab181615 and secondary antibody only.
Note : Nuclear staining on neurons of the rat cerebral cortex was observed.

Perform heat mediated antigen retrieval with Tris/EDTA buffer pH 9.0 before commencing with IHC staining protocol.

Immunohistochemistry (Formalin/PFA-fixed paraffin-embedded sections) - Anti-JunD antibody [EPR17365] (AB181615)
  • IHC-P

Supplier Data

Immunohistochemistry (Formalin/PFA-fixed paraffin-embedded sections) - Anti-JunD antibody [EPR17365] (AB181615)

Immunohistochemical analysis of paraffin-embedded mouse cerebral cortex tissue labeling JunD using ab181615 at 1/1000 dilution. A Goat Anti-Rabbit IgG H&L (HRP) (ab97051) was used as secondary at 1/500 dilution. Counterstain : Hematoxylin.
Inset image : negative control obtained using PBS instead of ab181615 and secondary antibody only.
Note : Nuclear staining on neurons of the mouse cerebral cortex was observed.

Perform heat mediated antigen retrieval with Tris/EDTA buffer pH 9.0 before commencing with IHC staining protocol.

Western blot - Anti-JunD antibody [EPR17365] (AB181615)
  • WB

Supplier Data

Western blot - Anti-JunD antibody [EPR17365] (AB181615)

5% NFDM/TBST : Blocking and diluting buffer.

All lanes:

Western blot - Anti-JunD antibody [EPR17365] (ab181615) at 1/1000 dilution

Lane 1:

C6 (Rat glial tumor cells) whole cell lysate at 10 µg

Lane 2:

Raw264.7 (Mouse macrophage cells transformed with Abelson murine leukemia virus ) whole cell lysate at 10 µg

Lane 3:

PC12 (Rat adrenal gland pheochromocytoma ) whole cell lysate at 10 µg

Lane 4:

NIH 3T3 (Mouse embyro fibroblast cells ) whole cell lysate at 10 µg

Secondary

All lanes:

Goat Anti-Rabbit IgG, (H+L),Peroxidase conjugated at 1/1000 dilution

Predicted band size: 35 kDa

Observed band size: 39 kDa,42 kDa

false

Exposure time: 30s

Western blot - Anti-JunD antibody [EPR17365] (AB181615)
  • WB

Supplier Data

Western blot - Anti-JunD antibody [EPR17365] (AB181615)

5% NFDM/TBST : Blocking and diluting buffer.

All lanes:

Western blot - Anti-JunD antibody [EPR17365] (ab181615) at 1/1000 dilution

Lane 1:

293T (Human epithelial cells from embryonic kidney) whole cell lysate at 20 µg

Lane 2:

Jurkat (Human T cell leukemia cells from peripheral blood) whole cell lysate at 20 µg

Lane 3:

Human fetal liver lysate at 10 µg

Secondary

All lanes:

Goat Anti-Rabbit IgG, (H+L),Peroxidase conjugated at 1/1000 dilution

Predicted band size: 35 kDa

Observed band size: 39 kDa,42 kDa

false

Exposure time: 3min

Western blot - Anti-JunD antibody [EPR17365] (AB181615)
  • WB

Supplier Data

Western blot - Anti-JunD antibody [EPR17365] (AB181615)

5% NFDM/TBST : Blocking and diluting buffer.

All lanes:

Western blot - Anti-JunD antibody [EPR17365] (ab181615) at 1/1000 dilution

Lane 1:

Human fetal brain lysate at 10 µg

Lane 2:

Human fetal heart lysate at 10 µg

Lane 3:

Human fetal kidney lysate at 10 µg

Secondary

All lanes:

Anti-Rabbit IgG (HRP), specific to the non-reduced form of IgG at 1/1000 dilution

Predicted band size: 35 kDa

Observed band size: 39 kDa,42 kDa

false

Exposure time: 1min

Western blot - Anti-JunD antibody [EPR17365] (AB181615)
  • WB

Supplier Data

Western blot - Anti-JunD antibody [EPR17365] (AB181615)

5% NFDM/TBST : Blocking and diluting buffer.

All lanes:

Western blot - Anti-JunD antibody [EPR17365] (ab181615) at 1/1000 dilution

All lanes:

HeLa (Human epithelial cells from cervix adenocarcinoma ) whole cell lysate at 20 µg

Secondary

All lanes:

Goat Anti-Rabbit IgG, (H+L),Peroxidase conjugated at 1/1000 dilution

Predicted band size: 35 kDa

Observed band size: 39 kDa,42 kDa

false

Exposure time: 5s

关键信息

宿主种属

Rabbit

克隆

Monoclonal

克隆号

EPR17365

亚型

IgG

不含载体蛋白

No

反应种属

Mouse, Rat, Human

应用

IHC-P, ICC/IF, WB

applications

免疫原

The exact immunogen used to generate this antibody is proprietary information.

反应性数据

{ "title": "Reactivity Data", "filters": { "stats": ["", "Species", "Dilution Info", "Notes"], "tabs": { "all-applications": {"fullname" : "All Applications", "shortname": "All Applications"}, "WB" : {"fullname" : "Western blot", "shortname":"WB"}, "ICCIF" : {"fullname" : "Immunocytochemistry/ Immunofluorescence", "shortname":"ICC/IF"}, "IHCP" : {"fullname" : "Immunohistochemistry (Formalin/PFA-fixed paraffin-embedded sections)", "shortname":"IHC-P"} }, "product-promise": { "all": "all", "testedAndGuaranteed": "tested", "guaranteed": "expected", "predicted": "predicted", "notRecommended": "not-recommended" } }, "values": { "Human": { "WB-species-checked": "testedAndGuaranteed", "WB-species-dilution-info": "1/1000", "WB-species-notes": "<p></p>", "ICCIF-species-checked": "testedAndGuaranteed", "ICCIF-species-dilution-info": "1/10000", "ICCIF-species-notes": "<p></p>", "IHCP-species-checked": "testedAndGuaranteed", "IHCP-species-dilution-info": "1/1000", "IHCP-species-notes": "<p></p>" }, "Mouse": { "WB-species-checked": "testedAndGuaranteed", "WB-species-dilution-info": "1/1000", "WB-species-notes": "<p></p>", "ICCIF-species-checked": "guaranteed", "ICCIF-species-dilution-info": "", "ICCIF-species-notes": "", "IHCP-species-checked": "testedAndGuaranteed", "IHCP-species-dilution-info": "1/1000", "IHCP-species-notes": "<p></p>" }, "Rat": { "WB-species-checked": "testedAndGuaranteed", "WB-species-dilution-info": "1/1000", "WB-species-notes": "<p></p>", "ICCIF-species-checked": "guaranteed", "ICCIF-species-dilution-info": "", "ICCIF-species-notes": "", "IHCP-species-checked": "testedAndGuaranteed", "IHCP-species-dilution-info": "1/1000", "IHCP-species-notes": "<p></p>" } } }

产品详情

Patented technology
Our RabMAb® technology is a patented hybridoma-based technology for making rabbit monoclonal antibodies. For details on our patents, please refer to RabMAb® patents.

What are the advantages of a recombinant monoclonal antibody?
This product is a recombinant monoclonal antibody, which offers several advantages including:

  • - High batch-to-batch consistency and reproducibility
  • - Improved sensitivity and specificity
  • - Long-term security of supply
  • - Animal-free batch production

For more information, read more on recombinant antibodies.

性能和储存信息

形式
Liquid
纯化工艺
Affinity purification Protein A
存储溶液
Preservative: 0.01% Sodium azide Constituents: PBS, 40% Glycerol (glycerin, glycerine), 0.05% BSA
运输条件
Blue Ice
推荐的短期储存时间
1-2 weeks
推荐的短期储存条件
+4°C
推荐的长期储存条件
-20°C
分装信息
Upon delivery aliquot
储存信息
Avoid freeze / thaw cycle

补充信息

This supplementary information is collated from multiple sources and compiled automatically.

The JunD transcription factor also known as JunD protein belongs to the AP-1 family of transcription factors. It has a mass of approximately 39 kDa. JunD primarily acts by forming dimers with other proteins such as c-Fos and c-Jun. These dimers bind to specific DNA sequences regulating gene expression. JunD shows expression in various tissues but is more abundant in non-dividing and differentiated cells where it helps modulate specific cellular processes.
Biological function summary

JunD plays a significant role by influencing cellular proliferation and differentiation. It is often part of a multiprotein complex which can include members of the Fos family and other Jun proteins. These complexes interact with DNA to control the transcription of genes involved in cell cycle regulation apoptosis and stress responses. Different stimuli can alter the composition of these complexes highlighting JunD's adaptability in cellular signaling.

Pathways

JunD interacts within the MAPK signaling pathway and the oxidative stress response pathway. In the MAPK pathway it can interact with proteins such as ERK and JNK which are critical mediators of cellular responses to growth factors and stress. In the oxidative stress response JunD regulates genes that protect cells from oxidative damage showing its influence on maintaining cellular homeostasis. Other proteins like ATF2 may also interact with JunD within these pathways contributing to transcriptional regulation.

JunD has connections to cancer and neurodegenerative diseases. Its role in regulating cell proliferation links it to tumorigenesis where alterations in its function can lead to uncontrolled cell growth. Additionally in neurodegenerative disorders JunD's influence on oxidative stress response genes may impact disease progression. Furthermore JunD's interaction with the protein Bcl2 associates it with the protection of cells from apoptotic signals illustrating its potential impact on disease development and progression.

产品实验方案

For this product, it's our understanding that no specific protocols are required. You can visit:

靶点信息

Transcription factor binding AP-1 sites (PubMed : 9989505). Heterodimerizes with proteins of the FOS family to form an AP-1 transcription factor complex, thereby enhancing their DNA binding activity to an AP-1 consensus sequence 3'-TGA[GC]TCA-5' and enhancing their transcriptional activity (PubMed : 28981703, PubMed : 9989505).
See full target information Transcription factor jun-D

文献 (12)

Recent publications for all applications. Explore the full list and refine your search

PLoS genetics 21:e1011261 PubMed40455848

2025

JUND plays a genome-wide role in the quiescent to contractile switch in the pregnant human myometrium.

Applications

Unspecified application

Species

Unspecified reactive species

Nawrah Khader,Anna Dorogin,Oksana Shynlova,Jennifer A Mitchell

OncoTargets and therapy 16:347-357 PubMed37283647

2023

JUND Promotes Tumorigenesis via Specifically Binding on Enhancers of Multiple Oncogenes in Cervical Cancer.

Applications

Unspecified application

Species

Unspecified reactive species

Jianlong Zhou,Juanmei Mo,Chaohui Tan,Feng Xie,Jing Liang,Wenhua Huang

NAR cancer 5:zcad001 PubMed36694726

2023

Oncogenic ERRB2 signals through the AP-1 transcription factor to control mesenchymal-like properties of oesophageal adenocarcinoma.

Applications

Unspecified application

Species

Unspecified reactive species

Samuel Ogden,Ibrahim Ahmed,Shen-Hsi Yang,Paul Fullwood,Chiara Francavilla,Andrew D Sharrocks

Translational pediatrics 11:1470-1481 PubMed36247888

2022

Inflammatory factor tumor necrosis factor-α (TNF-α) activates P-glycoprotein (P-gp) by phosphorylating c-Jun and thus promotes transportation in placental cells.

Applications

Unspecified application

Species

Unspecified reactive species

Huaying Li,Li Yan,Biao Li,Guoqing Wei,Rong Ju

Molecular neurobiology 59:5734-5749 PubMed35781632

2022

Astrocyte-Derived TNF-α-Activated Platelets Promote Cerebral Ischemia/Reperfusion Injury by Regulating the RIP1/RIP3/AKT Signaling Pathway.

Applications

Unspecified application

Species

Unspecified reactive species

Wei Li,Dengping Liu,Jiaqi Xu,Jun Zha,Chen Wang,Jianzhong An,Zhanli Xie,Shigang Qiao

Nature 606:557-564 PubMed35614216

2022

Divergent transcriptional regulation of astrocyte reactivity across disorders.

Applications

Unspecified application

Species

Unspecified reactive species

Joshua E Burda,Timothy M O'Shea,Yan Ao,Keshav B Suresh,Shinong Wang,Alexander M Bernstein,Ashu Chandra,Sandeep Deverasetty,Riki Kawaguchi,Jae H Kim,Sarah McCallum,Alexandra Rogers,Shalaka Wahane,Michael V Sofroniew

Metabolism: clinical and experimental 127:154936 PubMed34801581

2021

Sodium/glucose cotransporter 2 (SGLT2) inhibitors improve cardiac function by reducing JunD expression in human diabetic hearts.

Applications

Unspecified application

Species

Unspecified reactive species

Raffaele Marfella,Nunzia D'Onofrio,Maria Consiglia Trotta,Celestino Sardu,Lucia Scisciola,Cristiano Amarelli,Maria Luisa Balestrieri,Vincenzo Grimaldi,Gelsomina Mansueto,Salvatore Esposito,Michele D'Amico,Paolo Golino,Giuseppe Signoriello,Marisa De Feo,Ciro Maiello,Claudio Napoli,Giuseppe Paolisso

Cell reports 37:109774 PubMed34610301

2021

c-FOS drives reversible basal to squamous cell carcinoma transition.

Applications

Unspecified application

Species

Unspecified reactive species

François Kuonen,Nancy Yanzhe Li,Daniel Haensel,Tiffany Patel,Sadhana Gaddam,Laura Yerly,Kerri Rieger,Sumaira Aasi,Anthony E Oro

Frontiers in endocrinology 12:689845 PubMed34335468

2021

JunD Regulates Pancreatic β-Cells Function by Altering Lipid Accumulation.

Applications

Unspecified application

Species

Unspecified reactive species

Kexin Wang,Yixin Cui,Peng Lin,Zhina Yao,Yu Sun

Proceedings of the National Academy of Sciences of 117:6622-6629 PubMed32156729

2020

Men1 maintains exocrine pancreas homeostasis in response to inflammation and oncogenic stress.

Applications

Unspecified application

Species

Unspecified reactive species

Amanda R Wasylishen,Chang Sun,Gilda P Chau,Yuan Qi,Xiaoping Su,Michael P Kim,Jeannelyn S Estrella,Guillermina Lozano
View all publications

Abcam Product Promise

我们致力于为您的研究提供高质量的试剂,为您科研的每一步提供支持。若我们的产品未能达到预期性能,我们向您提供 Abcam Product Promise 保障。
详情请参阅我们的条款与条件。

Please note: All products are 'FOR RESEARCH USE ONLY. NOT FOR USE IN DIAGNOSTIC OR THERAPEUTIC PROCEDURES'.

For licensing inquiries, please contact partnerships@abcam.com