JavaScript is disabled in your browser. Please enable JavaScript to view this website.
AB282015

重组Anti-JMJD6抗体[EPR23672-71] - BSA and Azide free

Anti-JMJD6 antibody [EPR23672-71] - BSA and Azide free

  • BOND RX™ Validated
  • RabMAb
  • Recombinant
  • KO Validated
  • 了解详情

Be the first to review this product! Submit a review

|

(0 Publication)

Rabbit Recombinant Monoclonal JMJD6 antibody. Carrier free. Suitable for Flow Cyt, WB, IHC-P and reacts with Human samples.

查看别名

KIAA0585, PSR, PTDSR, JMJD6, Bifunctional arginine demethylase and lysyl-hydroxylase JMJD6, Histone arginine demethylase JMJD6, JmjC domain-containing protein 6, Jumonji domain-containing protein 6, Lysyl-hydroxylase JMJD6, Peptide-lysine 5-dioxygenase JMJD6, Phosphatidylserine receptor, Protein PTDSR

6 Images
Flow Cytometry - Anti-JMJD6 antibody [EPR23672-71] - BSA and Azide free (AB282015)
  • Flow Cyt

Supplier Data

Flow Cytometry - Anti-JMJD6 antibody [EPR23672-71] - BSA and Azide free (AB282015)

This data was developed using ab256798, the same antibody clone in a different buffer formulation.

Flow cytometric analysis of 4% paraformaldehyde fixed 90% methanol permeabilized parental HEK293T (Human embryonic kidney epithelial cell, Right) cells / JMJD6 KO HEK293T cells (Left) labelling JMJD6 with ab256798 at 1/500 dilution (0.1ug) (Red) compared with a Rabbit monoclonal IgG (ab172730) (Black) isotype control and an unlabelled control (cells without incubation with primary antibody and secondary antibody) (Blue). A Goat anti rabbit IgG (Alexa Fluor® 488, ab150077) at 1/2000 dilution was used as the secondary antibody. Positive staining on 293T cells (ab255449), while no staining on JMJD6 knockout HEK-293T cells (ab266402).

Immunohistochemistry (Formalin/PFA-fixed paraffin-embedded sections) - Anti-JMJD6 antibody [EPR23672-71] - BSA and Azide free (AB282015)
  • IHC-P

Supplier Data

Immunohistochemistry (Formalin/PFA-fixed paraffin-embedded sections) - Anti-JMJD6 antibody [EPR23672-71] - BSA and Azide free (AB282015)

This data was developed using ab256798, the same antibody clone in a different buffer formulation.

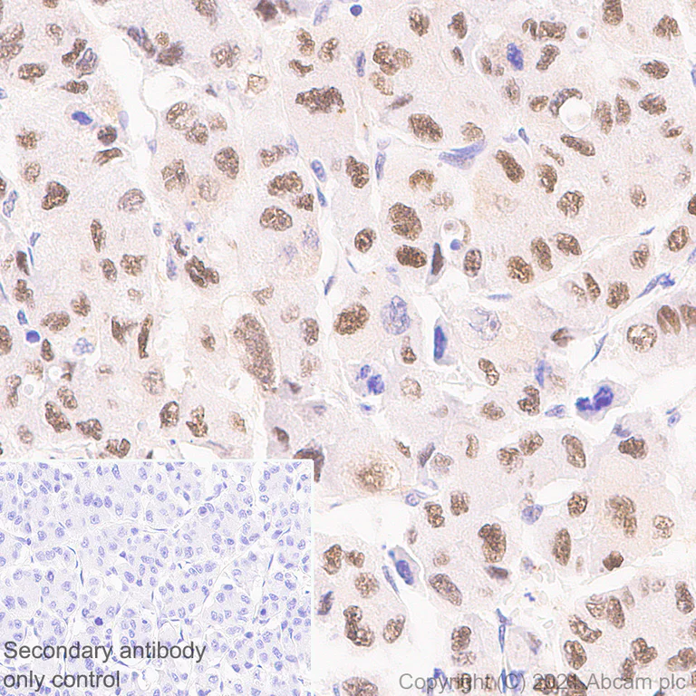
Immunohistochemical analysis of paraffin-embedded Human liver tumor tissue labelling JMJD6 with ab256798 at 1/500 dilution (1.152 ug/ml) followed by a ready to use Rabbit specific IHC polymer detection kit HRP/DAB (ab209101). Nuclear staining on human liver tumor. The section was incubated with ab256798 for 30 mins at room temperature. The immunostaining was performed on a Leica Biosystems BOND RX instrument. Counterstained with Hematoxylin.

Secondary antibody only control : Secondary antibody is a ready to use Rabbit specific IHC polymer detection kit HRP/DAB (ab209101).

Heat mediated antigen retrieval with Tris-EDTA buffer (pH 9.0, epitope retrieval solution2) for 20 mins.

Immunohistochemistry (Formalin/PFA-fixed paraffin-embedded sections) - Anti-JMJD6 antibody [EPR23672-71] - BSA and Azide free (AB282015)
  • IHC-P

Supplier Data

Immunohistochemistry (Formalin/PFA-fixed paraffin-embedded sections) - Anti-JMJD6 antibody [EPR23672-71] - BSA and Azide free (AB282015)

This data was developed using ab256798, the same antibody clone in a different buffer formulation.

Immunohistochemical analysis of paraffin-embedded Human liver tissue labelling JMJD6 with ab256798 at 1/500 dilution (1.152 ug/ml) followed by a ready to use Rabbit specific IHC polymer detection kit HRP/DAB (ab209101). Negative control : No staining on human liver. The section was incubated with ab256798 for 30 mins at room temperature. The immunostaining was performed on a Leica Biosystems BOND RX instrument. Counterstained with Hematoxylin.

Secondary antibody only control : Secondary antibody is a ready to use Rabbit specific IHC polymer detection kit HRP/DAB (ab209101).

Heat mediated antigen retrieval with Tris-EDTA buffer (pH 9.0, epitope retrieval solution2) for 20 mins.

Immunohistochemistry (Formalin/PFA-fixed paraffin-embedded sections) - Anti-JMJD6 antibody [EPR23672-71] - BSA and Azide free (AB282015)
  • IHC-P

Supplier Data

Immunohistochemistry (Formalin/PFA-fixed paraffin-embedded sections) - Anti-JMJD6 antibody [EPR23672-71] - BSA and Azide free (AB282015)

This data was developed using ab256798, the same antibody clone in a different buffer formulation.

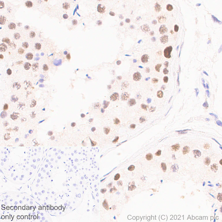
Immunohistochemical analysis of paraffin-embedded Human testis tissue labelling JMJD6 with ab256798 at 1/500 dilution (1.152 ug/ml) followed by a ready to use Rabbit specific IHC polymer detection kit HRP/DAB (ab209101). Nuclear staining on human testis. The section was incubated with ab256798 for 30 mins at room temperature. The immunostaining was performed on a Leica Biosystems BOND RX instrument. Counterstained with Hematoxylin.

Secondary antibody only control : Secondary antibody is a ready to use Rabbit specific IHC polymer detection kit HRP/DAB (ab209101).

Heat mediated antigen retrieval with Tris-EDTA buffer (pH 9.0, epitope retrieval solution2) for 20 mins.

Western blot - Anti-JMJD6 antibody [EPR23672-71] - BSA and Azide free (AB282015)
  • WB

Lab

Western blot - Anti-JMJD6 antibody [EPR23672-71] - BSA and Azide free (AB282015)

This data was developed using ab256798, the same antibody clone in a different buffer formulation.

Blocking and diluting buffer and concentration : 5% NFDM/TBST.

Lysates were made freshly and used in WB test immediately to minimize protein degradation.

The molecular weight observed is consistent with what has been described in the literature (PMID : 24360279).

This antibody reacts with an unidentifiable protein around 38 kDa.

Exposure time : 48 seconds.

All lanes:

Western blot - Anti-JMJD6 antibody [EPR23672-71] (<a href='/products/primary-antibodies/jmjd6-antibody-epr23672-71-ab256798'>ab256798</a>) at 1/1000 dilution

Lane 1:

HeLa (human cervix adenocarcinoma epithelial cell), whole cell lysate at 20 µg

Lane 2:

293T (human embryonic kidney epithelial cell), whole cell lysate at 20 µg

Secondary

All lanes:

Western blot - Goat Anti-Rabbit IgG H&L (HRP) (<a href='/products/secondary-antibodies/goat-rabbit-igg-h-l-hrp-ab97051'>ab97051</a>) at 1/20000 dilution

Predicted band size: 46 kDa

Observed band size: 147 kDa,294 kDa,49 kDa

false

Western blot - Anti-JMJD6 antibody [EPR23672-71] - BSA and Azide free (AB282015)
  • WB

Lab

Western blot - Anti-JMJD6 antibody [EPR23672-71] - BSA and Azide free (AB282015)

This data was developed using ab256798, the same antibody clone in a different buffer formulation.

Blocking and diluting buffer and concentration : Intercept® (TBS) Blocking Buffer diluted with an equal volume of 0.1% TBS.

Lanes 1-5 : Merged signal (red and green).

Green - ab256798 observed at 49, 147, 294kDa.

Red - loading control ab8245 observed at 36 kDa.

ab256798 Anti-JMJD6 antibody [EPR23672-71] was shown to react with JMJD6 in Hela cells in Western blot. Loss of signal was observed when knockout cell line

ab266402 (JMJD6 knockout cell lysate ab257490) was used. Wild-type and JMJD6 knockout samples were subjected to SDS-PAGE.

ab256798 and Anti-GAPDH antibody [6C5] - Loading Control (ab8245) were incubated at 4°C overnight at 1/1000 dilution and 1/20000 dilution respectively. Blots were developed with Goat anti-Rabbit IgG H&L (IRDye® 800CW) preadsorbed (ab216773) and Goat anti-Mouse IgG H&L (IRDye® 680RD) preadsorbed (ab216776) secondary antibodies at 1/10000 dilution for 1 hour at room temperature before imaging.

The molecular weight observed is consistent with what has been described in the literature (PMID : 24360279).

This antibody reacts with an unidentifiable protein around 38 kDa.

All lanes:

Western blot - Anti-JMJD6 antibody [EPR23672-71] (<a href='/products/primary-antibodies/jmjd6-antibody-epr23672-71-ab256798'>ab256798</a>) at 1/1000 dilution

Lane 1:

Wild-type HEK-293T (human embryonic kidney epithelial cell) whole cell lysate at 20 µg

Lane 2:

JMJD6 knockout HEK-293T whole cell lysate at 20 µg

Lane 3:

A549 (human lung carcinoma epithelial cell) whole cell lysate at 20 µg

Lane 4:

HeLa (human cervix adenocarcinoma epithelial cell), whole cell lysate at 20 µg

Lane 5:

PANC-1 (human pancreatic epithelioid carcinoma epithelial cell), whole cell lysate at 20 µg

Secondary

All lanes:

Goat Anti-Rabbit IgG H&L (IRDye® 800CW) (<a href='/products/secondary-antibodies/goat-rabbit-igg-h-l-irdye-800cw-preadsorbed-ab216773'>ab216773</a>) and Goat Anti-Mouse IgG H&L (IRDye® 680RD) (<a href='/products/secondary-antibodies/goat-mouse-igg-h-l-irdye-680rd-preadsorbed-ab216776'>ab216776</a>) at 1/10000 dilution

Predicted band size: 46 kDa

Observed band size: 147 kDa,294 kDa,49 kDa

false

不同偶联物与剂型 (1)

关键信息

宿主种属

Rabbit

克隆

Monoclonal

克隆号

EPR23672-71

亚型

IgG

不含载体蛋白

Yes

反应种属

Human

应用

IHC-P, Flow Cyt, WB

applications

免疫原

The exact immunogen used to generate this antibody is proprietary information.

反应性数据

{ "title": "Reactivity Data", "filters": { "stats": ["", "Species", "Dilution Info", "Notes"], "tabs": { "all-applications": {"fullname" : "All Applications", "shortname": "All Applications"}, "ICCIF" : {"fullname" : "Immunocytochemistry/ Immunofluorescence", "shortname":"ICC/IF"}, "IP" : {"fullname" : "Immunoprecipitation", "shortname":"IP"}, "FlowCyt" : {"fullname" : "Flow Cytometry", "shortname":"Flow Cyt"}, "WB" : {"fullname" : "Western blot", "shortname":"WB"}, "IHCP" : {"fullname" : "Immunohistochemistry (Formalin/PFA-fixed paraffin-embedded sections)", "shortname":"IHC-P"} }, "product-promise": { "all": "all", "testedAndGuaranteed": "tested", "guaranteed": "expected", "predicted": "predicted", "notRecommended": "not-recommended" } }, "values": { "Human": { "ICCIF-species-checked": "notRecommended", "ICCIF-species-dilution-info": "", "ICCIF-species-notes": "<p></p>", "IP-species-checked": "notRecommended", "IP-species-dilution-info": "", "IP-species-notes": "<p></p>", "FlowCyt-species-checked": "testedAndGuaranteed", "FlowCyt-species-dilution-info": "", "FlowCyt-species-notes": "<p></p>", "WB-species-checked": "testedAndGuaranteed", "WB-species-dilution-info": "", "WB-species-notes": "<p></p>", "IHCP-species-checked": "testedAndGuaranteed", "IHCP-species-dilution-info": "", "IHCP-species-notes": "<p></p>" }, "Mouse": { "ICCIF-species-checked": "notRecommended", "ICCIF-species-dilution-info": "", "ICCIF-species-notes": "<p></p>", "IP-species-checked": "notRecommended", "IP-species-dilution-info": "", "IP-species-notes": "<p></p>", "FlowCyt-species-checked": "notRecommended", "FlowCyt-species-dilution-info": "", "FlowCyt-species-notes": "", "WB-species-checked": "notRecommended", "WB-species-dilution-info": "", "WB-species-notes": "<p></p>", "IHCP-species-checked": "notRecommended", "IHCP-species-dilution-info": "", "IHCP-species-notes": "<p></p>" }, "Rat": { "ICCIF-species-checked": "notRecommended", "ICCIF-species-dilution-info": "", "ICCIF-species-notes": "", "IP-species-checked": "notRecommended", "IP-species-dilution-info": "", "IP-species-notes": "", "FlowCyt-species-checked": "notRecommended", "FlowCyt-species-dilution-info": "", "FlowCyt-species-notes": "", "WB-species-checked": "notRecommended", "WB-species-dilution-info": "", "WB-species-notes": "<p></p>", "IHCP-species-checked": "notRecommended", "IHCP-species-dilution-info": "", "IHCP-species-notes": "<p></p>" } } }

产品详情

ab282015 is the carrier-free version of ab256798.

Patented technology
Our RabMAb® technology is a patented hybridoma-based technology for making rabbit monoclonal antibodies. For details on our patents, please refer to RabMAb® patents.

What are the advantages of a recombinant monoclonal antibody?
This product is a recombinant monoclonal antibody, which offers several advantages including:

  • - High batch-to-batch consistency and reproducibility
  • - Improved sensitivity and specificity
  • - Long-term security of supply
  • - Animal-free batch production

For more information, read more on recombinant antibodies.

Conjugation ready
Our carrier-free antibodies are typically supplied in a PBS-only formulation, purified and free of BSA, sodium azide and glycerol. This conjugation-ready format is designed for use with fluorochromes, metal isotopes, oligonucleotides, and enzymes, which makes them ideal for antibody labelling, functional and cell-based assays, flow-based assays (e.g. mass cytometry) and Multiplex Imaging applications.

Use our conjugation kits for antibody conjugates that are ready-to-use in as little as 20 minutes with 1 minute hands-on-time and 100% antibody recovery: available for fluorescent dyes, HRP, biotin and gold.

Compatibility
This product is compatible with the Maxpar® Antibody Labeling Kit from Fluidigm, without the need for antibody preparation. Maxpar® is a trademark of Fluidigm Canada Inc.

性能和储存信息

形式
Liquid
纯化工艺
Affinity purification Protein A
存储溶液
pH: 7.2 - 7.4 Constituents: PBS
运输条件
Blue Ice
推荐的短期储存条件
+4°C
推荐的长期储存条件
+4°C

补充信息

This supplementary information is collated from multiple sources and compiled automatically.

JMJD6 also known as Jumonji Domain Containing 6 or PSR (Phosphatidylserine Receptor) is a protein with a molecular mass of approximately 47 kDa. It functions mechanically as a 2-oxoglutarate- and Fe(II)-dependent oxygenase. This protein resides in the nucleus and cytoplasm with a higher expression in the thymus kidney heart and testis. JMJD6 gets involved in demethylating histones and splicing factors playing a role in gene regulation.
Biological function summary

JMJD6 influences gene expression and mRNA splicing processes. It participates in histone arginine demethylation affecting chromatin structure and transcriptional activity. JMJD6 is not known to be part of a larger protein complex but interacts with RNA splicing factors and chromatin modifiers. Its demethylase activity can alter the epigenetic landscape which makes it a vital part of cellular response and differentiation processes.

Pathways

JMJD6 is linked to the regulation of gene expression and RNA processing pathways. It modulates the transcriptional networks by its demethylase activity affecting how genes are turned on or off. JMJD6 often associates with nuclear receptors and splicing proteins such as SF3B1 integrating within the larger network of gene expression controllers and RNA splicing machinery. These interactions place JMJD6 at a critical juncture in gene expression regulation and RNA maturation.

JMJD6 has connections with cancer and autoimmune diseases. Its role in gene regulation and splicing implicates it in cancer progression often in link with prostate cancer. Abnormal JMJD6 expression can lead to disrupted gene patterns contributing to tumor growth. Additionally its alteration has associations with autoimmune diseases where its interaction with histone-modifying proteins like HDAC affects the immune response. These relationships highlight JMJD6's involvement in disease states marking it as a target of interest in research for therapeutic interventions.

产品实验方案

For this product, it's our understanding that no specific protocols are required. You can visit:

靶点信息

Dioxygenase that can both act as a arginine demethylase and a lysyl-hydroxylase (PubMed : 17947579, PubMed : 20684070, PubMed : 21060799, PubMed : 22189873, PubMed : 24498420). Acts as a lysyl-hydroxylase that catalyzes 5-hydroxylation on specific lysine residues of target proteins such as U2AF2/U2AF65 and LUC7L2. Regulates RNA splicing by mediating 5-hydroxylation of U2AF2/U2AF65, affecting the pre-mRNA splicing activity of U2AF2/U2AF65 (PubMed : 19574390). Hydroxylates its own N-terminus, which is required for homooligomerization (PubMed : 22189873). Plays a role in the regulation of nucleolar liquid-liquid phase separation (LLPS) by post-translationally modifying LIAT1 at its lysine-rich domain which inhibits LIAT1 nucleolar targeting (By similarity). In addition to peptidyl-lysine 5-dioxygenase activity, may act as an RNA hydroxylase, as suggested by its ability to bind single strand RNA (PubMed : 20679243, PubMed : 29176719). Also acts as an arginine demethylase which preferentially demethylates asymmetric dimethylation (PubMed : 17947579, PubMed : 24360279, PubMed : 24498420). Demethylates histone H3 at 'Arg-2' (H3R2me) and histone H4 at 'Arg-3' (H4R3me), including mono-, symmetric di- and asymmetric dimethylated forms, thereby playing a role in histone code (PubMed : 17947579, PubMed : 24360279). However, histone arginine demethylation may not constitute the primary activity in vivo (PubMed : 17947579, PubMed : 21060799, PubMed : 22189873). In collaboration with BRD4, interacts with the positive transcription elongation factor b (P-TEFb) complex in its active form to regulate polymerase II promoter-proximal pause release for transcriptional activation of a large cohort of genes. On distal enhancers, so called anti-pause enhancers, demethylates both histone H4R3me2 and the methyl cap of 7SKsnRNA leading to the dismissal of the 7SKsnRNA : HEXIM1 inhibitor complex. After removal of repressive marks, the complex BRD4 : JMJD6 attract and retain the P-TEFb complex on chromatin, leading to its activation, promoter-proximal polymerase II pause release, and transcriptional activation (PubMed : 24360279). Demethylates other arginine methylated-proteins such as ESR1 (PubMed : 24498420). Has no histone lysine demethylase activity (PubMed : 21060799). Required for differentiation of multiple organs during embryogenesis. Acts as a key regulator of hematopoietic differentiation : required for angiogenic sprouting by regulating the pre-mRNA splicing activity of U2AF2/U2AF65 (By similarity). Seems to be necessary for the regulation of macrophage cytokine responses (PubMed : 15622002).
See full target information JMJD6

Abcam Product Promise

我们致力于为您的研究提供高质量的试剂,为您科研的每一步提供支持。若我们的产品未能达到预期性能,我们向您提供 Abcam Product Promise 保障。
详情请参阅我们的条款与条件。

Please note: All products are 'FOR RESEARCH USE ONLY. NOT FOR USE IN DIAGNOSTIC OR THERAPEUTIC PROCEDURES'.

For licensing inquiries, please contact partnerships@abcam.com