JavaScript is disabled in your browser. Please enable JavaScript to view this website.
AB318985

重组Anti-JAM-C抗体[EPR29224-576] - BSA and Azide free

Anti-JAM-C antibody [EPR29224-576] - BSA and Azide free

Be the first to review this product! Submit a review

|

(0 Publication)

Rabbit Recombinant Monoclonal JAM-C antibody. Carrier free. Suitable for Flow Cyt, ICC/IF, WB and reacts with Human samples.

查看别名

UNQ859/PRO1868, JAM3, Junctional adhesion molecule C, JAM-C, JAM-2, Junctional adhesion molecule 3, JAM-3, JAMC

3 Images
Flow Cytometry - Anti-JAM-C antibody [EPR29224-576] - BSA and Azide free (AB318985)
  • Flow Cyt

Supplier Data

Flow Cytometry - Anti-JAM-C antibody [EPR29224-576] - BSA and Azide free (AB318985)

This data was developed using ab318984, the same antibody clone in a different buffer formulation.

Flow cytometric analysis of JEG-3 (human placenta epithelial cell) (Right) / HeLa (human cervical adenocarcinoma epithelial cell) (Left) cells labelling JAM-C with ab318984 at 1/500 dilution (0.1ug) (Magenta) compared with a Rabbit monoclonal IgG (ab172730) (Black) isotype control and an unlabelled control (cells without incubation with primary antibody and secondary antibody).

Goat Anti-Rabbit IgG (Alexa Fluor® 488, ab150081) at 1/5000 dilution was used as the secondary antibody.

Negative control : HeLa (PMID : 19143587).

Immunocytochemistry/ Immunofluorescence - Anti-JAM-C antibody [EPR29224-576] - BSA and Azide free (AB318985)
  • ICC/IF

Supplier Data

Immunocytochemistry/ Immunofluorescence - Anti-JAM-C antibody [EPR29224-576] - BSA and Azide free (AB318985)

This data was developed using ab318984, the same antibody clone in a different buffer formulation.

Immunofluorescent analysis of 4% Paraformaldehyde-fixed, 0.1% TritonX-100 permeabilized JEG-3 (human placenta epithelial cell) cells labelling JAM-C with ab318984 at 1/50 (10.02 ug/ml) dilution, followed by ab150081 Goat Anti-Rabbit IgG H&L (Alexa Fluor® 488) preadsorbed antibody at 1/1000 2 ug/mL dilution (Green).

Confocal image showing membrane staining in JEG-3 cell line (shown in green). The counterstain was observed in magenta. Nuclear DNA was labelled with DAPI (shown in blue).
Negative control : HeLa (PMID : 19143587).
Image was taken with a confocal microscope (Leica-Microsystems, TCS SP8).

ab195889 Anti-alpha Tubulin mouse monoclonal antibody - Microtubule Marker (Alexa Fluor® 594) was used to counterstain tubulin at 1/200 2.5ug/ml dilution (Magenta). The Nuclear counterstain was DAPI (Blue).

Secondary antibody only control : Secondary antibody is ab150081 Goat Anti-Rabbit IgG H&L (Alexa Fluor® 488) preadsorbed at 1/1000 2 ug/mL dilution.

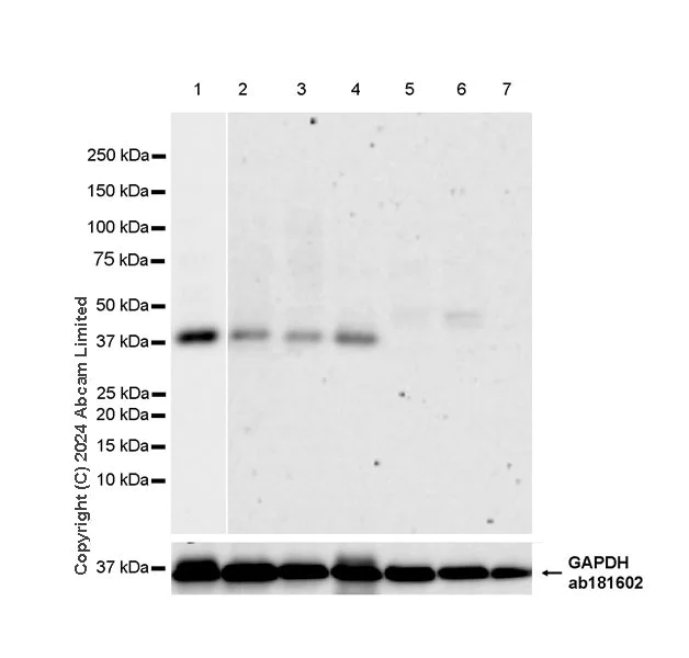
Western blot - Anti-JAM-C antibody [EPR29224-576] - BSA and Azide free (AB318985)
  • WB

Supplier Data

Western blot - Anti-JAM-C antibody [EPR29224-576] - BSA and Azide free (AB318985)

This data was developed using ab318984, the same antibody clone in a different buffer formulation.

Blocking and diluting buffer and concentration : 5% NFDM/TBST.

Negative control : HeLa, Caco-2 (PMID : 19143587), MCF7.

In Western blot, Anti-GAPDH antibody [EPR16891] - Loading Control (ab181602) staining at 1/200000 dilution.

Exposure time : Lane 1 : 37 seconds, lanes 2-7 : 180 seconds

All lanes:

Western blot - Anti-JAM-C antibody [EPR29224-576] (<a href='/products/primary-antibodies/jam-c-antibody-epr29224-576-ab318984'>ab318984</a>) at 1/1000 dilution

Lane 1:

RD (human muscle multinucleated spindle-shaped cell) whole cell lysate at 50 µg

Lane 2:

Jurkat (human T cell leukemia T lymphocyte from peripheral blood) whole cell lysate at 50 µg

Lane 3:

HEK-293 (human embryonic kidney epithelial cell) whole cell lysate at 50 µg

Lane 4:

JEG-3 (human placenta epithelial cell) whole cell lysate at 50 µg

Lane 5:

HeLa (human cervical adenocarcinoma epithelial cell) whole cell lysate at 50 µg

Lane 6:

Caco-2 (human colorectal adenocarcinoma epithelial cell) whole cell lysate at 50 µg

Lane 7:

MCF7 (human breast adenocarcinoma epithelial cell) whole cell lysate at 50 µg

Secondary

All lanes:

Western blot - Goat Anti-Rabbit IgG H&L (HRP) (<a href='/products/secondary-antibodies/goat-rabbit-igg-h-l-hrp-ab97051'>ab97051</a>) at 1/100000 dilution

Observed band size: 37 kDa,36 kDa

false

不同偶联物与剂型 (3)

关键信息

宿主种属

Rabbit

克隆

Monoclonal

克隆号

EPR29224-576

亚型

IgG

不含载体蛋白

Yes

反应种属

Human

应用

ICC/IF, WB, Flow Cyt

applications

免疫原

The exact immunogen used to generate this antibody is proprietary information.

反应性数据

{ "title": "Reactivity Data", "filters": { "stats": ["", "Species", "Dilution Info", "Notes"], "tabs": { "all-applications": {"fullname" : "All Applications", "shortname": "All Applications"}, "FlowCyt" : {"fullname" : "Flow Cytometry", "shortname":"Flow Cyt"}, "ICCIF" : {"fullname" : "Immunocytochemistry/ Immunofluorescence", "shortname":"ICC/IF"}, "WB" : {"fullname" : "Western blot", "shortname":"WB"}, "IHCP" : {"fullname" : "Immunohistochemistry (Formalin/PFA-fixed paraffin-embedded sections)", "shortname":"IHC-P"} }, "product-promise": { "all": "all", "testedAndGuaranteed": "tested", "guaranteed": "expected", "predicted": "predicted", "notRecommended": "not-recommended" } }, "values": { "Human": { "FlowCyt-species-checked": "testedAndGuaranteed", "FlowCyt-species-dilution-info": "", "FlowCyt-species-notes": "<p></p>", "ICCIF-species-checked": "testedAndGuaranteed", "ICCIF-species-dilution-info": "", "ICCIF-species-notes": "<p></p>", "WB-species-checked": "testedAndGuaranteed", "WB-species-dilution-info": "", "WB-species-notes": "<p></p>", "IHCP-species-checked": "notRecommended", "IHCP-species-dilution-info": "", "IHCP-species-notes": "<p></p>" }, "Mouse": { "FlowCyt-species-checked": "notRecommended", "FlowCyt-species-dilution-info": "", "FlowCyt-species-notes": "<p></p>", "ICCIF-species-checked": "notRecommended", "ICCIF-species-dilution-info": "", "ICCIF-species-notes": "", "WB-species-checked": "notRecommended", "WB-species-dilution-info": "", "WB-species-notes": "<p></p>", "IHCP-species-checked": "notRecommended", "IHCP-species-dilution-info": "", "IHCP-species-notes": "<p></p>" }, "Rat": { "FlowCyt-species-checked": "notRecommended", "FlowCyt-species-dilution-info": "", "FlowCyt-species-notes": "", "ICCIF-species-checked": "notRecommended", "ICCIF-species-dilution-info": "", "ICCIF-species-notes": "", "WB-species-checked": "notRecommended", "WB-species-dilution-info": "", "WB-species-notes": "<p></p>", "IHCP-species-checked": "notRecommended", "IHCP-species-dilution-info": "", "IHCP-species-notes": "<p></p>" } } }

产品详情

ab318985 is the carrier-free version of ab318984.

Patented technology
Our RabMAb® technology is a patented hybridoma-based technology for making rabbit monoclonal antibodies. For details on our patents, please refer to RabMAb® patents.

What are the advantages of a recombinant monoclonal antibody?
This product is a recombinant monoclonal antibody, which offers several advantages including:

  • - High batch-to-batch consistency and reproducibility
  • - Improved sensitivity and specificity
  • - Long-term security of supply
  • - Animal-free batch production

For more information, read more on recombinant antibodies.

Conjugation ready
Our carrier-free antibodies are typically supplied in a PBS-only formulation, purified and free of BSA, sodium azide and glycerol. This conjugation-ready format is designed for use with fluorochromes, metal isotopes, oligonucleotides, and enzymes, which makes them ideal for antibody labelling, functional and cell-based assays, flow-based assays (e.g. mass cytometry) and Multiplex Imaging applications.

Use our conjugation kits for antibody conjugates that are ready-to-use in as little as 20 minutes with 1 minute hands-on-time and 100% antibody recovery: available for fluorescent dyes, HRP, biotin and gold.

Compatibility
This product is compatible with the Maxpar® Antibody Labeling Kit from Fluidigm, without the need for antibody preparation. Maxpar® is a trademark of Fluidigm Canada Inc.

性能和储存信息

形式
Liquid
纯化工艺
Affinity purification Protein A
存储溶液
pH: 7.2 - 7.4 Constituents: PBS
运输条件
Blue Ice
推荐的短期储存条件
+4°C
推荐的长期储存条件
+4°C

补充信息

This supplementary information is collated from multiple sources and compiled automatically.

Junctional adhesion molecule-C (JAM-C) is a cell adhesion molecule belonging to the immunoglobulin superfamily also known as JAM3. It has a mass around 37 kDa. JAM-C is present on endothelial cells various immune cells and some epithelial cells. This protein functions mechanically in maintaining tight junctions that control paracellular permeability and are important in cell-to-cell interactions.
Biological function summary

Junctional adhesion molecule-C plays significant roles in leukocyte migration angiogenesis and the maintenance of vascular endothelial barrier function. JAM-C is part of a larger junctional adhesion molecule complex which includes JAM-A and JAM-B that collectively influence these processes. Its expression in tissues such as the heart and brain suggests specialized roles in physiological functions including cardiovascular regulation and CNS barriers.

Pathways

Junctional adhesion molecule-C is an integral component of the leukocyte transmigration and angiogenesis pathways. These pathways collaborate to allow immune cells to pass through vessel walls a fundamental process in immune surveillance and response. Additionally JAM-C interacts with integrins and other adhesion molecules facilitating cellular communication necessary for tissue repair and growth.

Dysregulation of junctional adhesion molecule-C expression associates with inflammatory diseases and cancer. Altered JAM-C levels have implications in autoimmune disorders where abnormal leukocyte extravasation occurs. Its connection to cancer involves interactions with proteins like VE-cadherin contributing to increased tumor angiogenesis and metastasis making it a potential target for therapeutic intervention in these conditions.

产品实验方案

For this product, it's our understanding that no specific protocols are required. You can visit:

靶点信息

Junctional adhesion protein that mediates heterotypic cell-cell interactions with its cognate receptor JAM2 to regulate different cellular processes (PubMed : 11590146, PubMed : 11823489). Plays a role in homing and mobilization of hematopoietic stem and progenitor cells within the bone marrow. At the surface of bone marrow stromal cells, it contributes to the retention of the hematopoietic stem and progenitor cells expressing JAM3 (PubMed : 11590146, PubMed : 24357068). Plays a central role in leukocytes extravasation by facilitating transmigration through the endothelium (By similarity). Plays a role in spermatogenesis where JAM2 and JAM3, which are respectively expressed by Sertoli and germ cells, mediate an interaction between both cell types and play an essential role in the anchorage of germ cells onto Sertoli cells and the assembly of cell polarity complexes during spermatid differentiation (By similarity). Also functions as a counter-receptor for ITGAM, mediating leukocyte-platelet interactions and is involved in the regulation of transepithelial migration of polymorphonuclear neutrophils (PMN) (PubMed : 12208882, PubMed : 15194813). Plays a role in angiogenesis (PubMed : 23255084). Plays a role in the regulation of cell migration (Probable). During myogenesis, it is involved in myocyte fusion (By similarity).. Soluble form of JAM-C. Promotes chemotaxis of vascular endothelial cells and stimulates angiogenesis.
See full target information JAM3

Abcam Product Promise

我们致力于为您的研究提供高质量的试剂,为您科研的每一步提供支持。若我们的产品未能达到预期性能,我们向您提供 Abcam Product Promise 保障。
详情请参阅我们的条款与条件。

Please note: All products are 'FOR RESEARCH USE ONLY. NOT FOR USE IN DIAGNOSTIC OR THERAPEUTIC PROCEDURES'.

For licensing inquiries, please contact partnerships@abcam.com