JavaScript is disabled in your browser. Please enable JavaScript to view this website.
AB288301

重组Anti-IRX5抗体[EPR22724-43] - BSA and Azide free

Anti-IRX5 antibody [EPR22724-43] - BSA and Azide free

Be the first to review this product! Submit a review

|

(0 Publication)

Rabbit Recombinant Monoclonal IRX5 antibody. Carrier free. Suitable for IP, WB and reacts with Transfected cell lysate - Mouse, Mouse samples.

查看别名

Irxb2, Irx5, Iroquois-class homeodomain protein IRX-5, Homeodomain protein IRXB2, Iroquois homeobox protein 5

4 Images
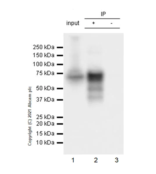
Immunoprecipitation - Anti-IRX5 antibody [EPR22724-43] - BSA and Azide free (AB288301)
  • IP

Supplier Data

Immunoprecipitation - Anti-IRX5 antibody [EPR22724-43] - BSA and Azide free (AB288301)

This data was developed using ab246494, the same antibody clone in a different buffer formulation.

IRX5 was immunoprecipitated from 0.35 mg 293T transfected with a DDDDK-tagged mouse IRX5 (WT) expression vector, whole cell lysate 4 ug with ab246494 at 1/30 dilution (2ug in 0.35mg lysates). Western blot was performed on the immunoprecipitate using ab246494 at 1/1000 dilution. VeriBlot for IP Detection Reagent (HRP)(ab131366) was used at 1/5000 dilution.

Lane 1 : 293T transfected with a DDDDK-tagged mouse IRX5 (WT) expression vector, whole cell lysate 4 ug

Lane 2 : 293T transfected with a DDDDK-tagged mouse IRX5 (WT) expression vector, whole cell lysate

Lane 3 : Rabbit monoclonal IgG (ab172730) instead of ab246494 in 293T transfected with a DDDDK-tagged mouse IRX5 (WT) expression vector, whole cell lysate

Blocking and dilution buffer and concentration : 5% NFDM/TBST.

Exposure time : 1 second

All lanes:

Immunoprecipitation - Anti-IRX5 antibody [EPR22724-43] (<a href='/products/primary-antibodies/irx5-antibody-epr22724-43-ab246494'>ab246494</a>)

Predicted band size: 50 kDa

Observed band size: 60 kDa

false

Western blot - Anti-IRX5 antibody [EPR22724-43] - BSA and Azide free (AB288301)
  • WB

Lab

Western blot - Anti-IRX5 antibody [EPR22724-43] - BSA and Azide free (AB288301)

This data was developed using ab246494, the same antibody clone in a different buffer formulation.

Blocking and diluting buffer and concentration : 5% NFDM/TBST

In lane 1, the lysate was stored at -80°C prior to Western Blotting. In lane 2, lysate was freshly made and used for Western Blotting immediately to minimize protein degradation.

Exposure time : 3 minutes

All lanes:

Western blot - Anti-IRX5 antibody [EPR22724-43] (<a href='/products/primary-antibodies/irx5-antibody-epr22724-43-ab246494'>ab246494</a>) at 1/1000 dilution

Lane 1:

Mouse lung (frozen) tissue lysate at 20 µg

Lane 2:

Mouse lung (fresh) tissue lysate at 20 µg

Secondary

All lanes:

Goat Anti-Rabbit IgG, (H+L), Peroxidase conjugated (<a href='/products/secondary-antibodies/goat-rabbit-igg-h-l-hrp-ab97051'>ab97051</a>) at 1/20000 dilution

Predicted band size: 50 kDa

Observed band size: 60 kDa

false

Western blot - Anti-IRX5 antibody [EPR22724-43] - BSA and Azide free (AB288301)
  • WB

Lab

Western blot - Anti-IRX5 antibody [EPR22724-43] - BSA and Azide free (AB288301)

This data was developed using ab246494, the same antibody clone in a different buffer formulation.

Blocking and diluting buffer and concentration : 5% NFDM/TBST

Exposure time : 3 seconds

All lanes:

Western blot - Anti-IRX5 antibody [EPR22724-43] (<a href='/products/primary-antibodies/irx5-antibody-epr22724-43-ab246494'>ab246494</a>) at 1/1000 dilution

Lane 1:

HeLa transfected with a DDDDK-tagged mouse IRX3 (WT) expression vector, whole cell lysate at 4 µg

Lane 2:

HeLa transfected with a DDDDK-tagged mouse IRX5 (WT) expression vector, whole cell lysate at 4 µg

Secondary

All lanes:

Goat Anti-Rabbit IgG, (H+L), Peroxidase conjugated (<a href='/products/secondary-antibodies/goat-rabbit-igg-h-l-hrp-ab97051'>ab97051</a>) at 1/100000 dilution

Predicted band size: 50 kDa

Observed band size: 60 kDa

false

Western blot - Anti-IRX5 antibody [EPR22724-43] - BSA and Azide free (AB288301)
  • WB

Lab

Western blot - Anti-IRX5 antibody [EPR22724-43] - BSA and Azide free (AB288301)

This data was developed using ab246494, the same antibody clone in a different buffer formulation.

Blocking and diluting buffer and concentration : 5% NFDM/TBST

Exposure time : 15 seconds

The image is kindly provided by an anonymous collaborator.

All lanes:

Western blot - Anti-IRX5 antibody [EPR22724-43] (<a href='/products/primary-antibodies/irx5-antibody-epr22724-43-ab246494'>ab246494</a>) at 1/1000 dilution

Lane 1:

IRX5 (WT) over expression whole cell lysate

Lane 2:

Mouse lung (WT) tissue lysate

Lane 3:

IRX5 knock out mouse lung tissue lysate

Predicted band size: 50 kDa

Observed band size: 60 kDa

false

不同偶联物与剂型 (1)

关键信息

宿主种属

Rabbit

克隆

Monoclonal

克隆号

EPR22724-43

亚型

IgG

不含载体蛋白

Yes

反应种属

Mouse

应用

WB, IP

applications

免疫原

The exact immunogen used to generate this antibody is proprietary information.

反应性数据

{ "title": "Reactivity Data", "filters": { "stats": ["", "Species", "Dilution Info", "Notes"], "tabs": { "all-applications": {"fullname" : "All Applications", "shortname": "All Applications"}, "IP" : {"fullname" : "Immunoprecipitation", "shortname":"IP"}, "WB" : {"fullname" : "Western blot", "shortname":"WB"}, "FlowCytIntra" : {"fullname" : "Flow Cytometry (Intracellular)", "shortname":"Flow Cyt (Intra)"}, "ICCIF" : {"fullname" : "Immunocytochemistry/ Immunofluorescence", "shortname":"ICC/IF"}, "IHCP" : {"fullname" : "Immunohistochemistry (Formalin/PFA-fixed paraffin-embedded sections)", "shortname":"IHC-P"} }, "product-promise": { "all": "all", "testedAndGuaranteed": "tested", "guaranteed": "expected", "predicted": "predicted", "notRecommended": "not-recommended" } }, "values": { "Human": { "IP-species-checked": "notRecommended", "IP-species-dilution-info": "", "IP-species-notes": "", "WB-species-checked": "notRecommended", "WB-species-dilution-info": "", "WB-species-notes": "<p></p>", "FlowCytIntra-species-checked": "notRecommended", "FlowCytIntra-species-dilution-info": "", "FlowCytIntra-species-notes": "", "ICCIF-species-checked": "notRecommended", "ICCIF-species-dilution-info": "", "ICCIF-species-notes": "", "IHCP-species-checked": "notRecommended", "IHCP-species-dilution-info": "", "IHCP-species-notes": "<p></p>" }, "Mouse": { "IP-species-checked": "guaranteed", "IP-species-dilution-info": "", "IP-species-notes": "", "WB-species-checked": "testedAndGuaranteed", "WB-species-dilution-info": "", "WB-species-notes": "<p></p>", "FlowCytIntra-species-checked": "notRecommended", "FlowCytIntra-species-dilution-info": "", "FlowCytIntra-species-notes": "<p></p>", "ICCIF-species-checked": "notRecommended", "ICCIF-species-dilution-info": "", "ICCIF-species-notes": "<p></p>", "IHCP-species-checked": "notRecommended", "IHCP-species-dilution-info": "", "IHCP-species-notes": "<p></p>" }, "Rat": { "IP-species-checked": "notRecommended", "IP-species-dilution-info": "", "IP-species-notes": "", "WB-species-checked": "notRecommended", "WB-species-dilution-info": "", "WB-species-notes": "<p></p>", "FlowCytIntra-species-checked": "notRecommended", "FlowCytIntra-species-dilution-info": "", "FlowCytIntra-species-notes": "", "ICCIF-species-checked": "notRecommended", "ICCIF-species-dilution-info": "", "ICCIF-species-notes": "", "IHCP-species-checked": "notRecommended", "IHCP-species-dilution-info": "", "IHCP-species-notes": "<p></p>" }, "Transfected cell lysate - Mouse": { "IP-species-checked": "testedAndGuaranteed", "IP-species-dilution-info": "", "IP-species-notes": "<p></p>", "WB-species-checked": "testedAndGuaranteed", "WB-species-dilution-info": "", "WB-species-notes": "<p></p>", "FlowCytIntra-species-checked": "notRecommended", "FlowCytIntra-species-dilution-info": "", "FlowCytIntra-species-notes": "", "ICCIF-species-checked": "notRecommended", "ICCIF-species-dilution-info": "", "ICCIF-species-notes": "", "IHCP-species-checked": "notRecommended", "IHCP-species-dilution-info": "", "IHCP-species-notes": "" } } }

产品详情

ab288301 is the carrier free version of ab246494.

Patented technology
Our RabMAb® technology is a patented hybridoma-based technology for making rabbit monoclonal antibodies. For details on our patents, please refer to RabMAb® patents.

What are the advantages of a recombinant monoclonal antibody?
This product is a recombinant monoclonal antibody, which offers several advantages including:

  • - High batch-to-batch consistency and reproducibility
  • - Improved sensitivity and specificity
  • - Long-term security of supply
  • - Animal-free batch production

For more information, read more on recombinant antibodies.

Conjugation ready
Our carrier-free antibodies are typically supplied in a PBS-only formulation, purified and free of BSA, sodium azide and glycerol. This conjugation-ready format is designed for use with fluorochromes, metal isotopes, oligonucleotides, and enzymes, which makes them ideal for antibody labelling, functional and cell-based assays, flow-based assays (e.g. mass cytometry) and Multiplex Imaging applications.

Use our conjugation kits for antibody conjugates that are ready-to-use in as little as 20 minutes with 1 minute hands-on-time and 100% antibody recovery: available for fluorescent dyes, HRP, biotin and gold.

Compatibility
This product is compatible with the Maxpar® Antibody Labeling Kit from Fluidigm, without the need for antibody preparation. Maxpar® is a trademark of Fluidigm Canada Inc.

性能和储存信息

形式
Liquid
纯化工艺
Affinity purification Protein A
存储溶液
pH: 7.2 - 7.4 Constituents: PBS
运输条件
Blue Ice
推荐的短期储存条件
+4°C
推荐的长期储存条件
+4°C

补充信息

This supplementary information is collated from multiple sources and compiled automatically.

IRX5 also known as Iroquois Homeobox 5 is a transcription factor with a molecular mass of approximately 50 kDa. It is part of the Iroquois (Irx) homeobox gene family which plays important roles in embryonic development. IRX5’s expression is mainly found in the heart brain and retina tissues. As a transcription factor it binds to specific DNA sequences regulating the transcription of various genes and influencing cell differentiation and tissue development.
Biological function summary

The function of IRX5 impacts cellular growth and patterning within tissues. It plays a significant role in cardiogenesis retinal differentiation and neuronal development. IRX5 does not operate alone; it forms part of the complex regulatory networks that guide development. During heart development IRX5’s expression patterns guide the proper formation of cardiac structures while in the retina its regulation is essential for developing photoreceptor cells.

Pathways

IRX5 engages in critical developmental pathways including the Wnt and Hedgehog signaling pathways. It modulates these pathways by interacting with other proteins such as β-catenin in the Wnt pathway and Gli proteins in the Hedgehog pathway. The precise control of these signaling pathways by IRX5 is essential in maintaining the balance between growth and differentiation during development.

IRX5 is associated with congenital heart defects and retinopathy. Mutations or dysregulation in IRX5 expression may lead to abnormalities in heart structure which are often linked with NKX2-5 another homeobox transcription factor involved in heart development. In the retina altered IRX5 function has connections to retinal degenerative conditions interacting with proteins such as CRX known for its role in photoreceptor function and survival. Understanding IRX5’s role in these diseases provides insights that might aid therapeutic development.

产品实验方案

For this product, it's our understanding that no specific protocols are required. You can visit:

靶点信息

Establishes the cardiac repolarization gradient by its repressive actions on the KCND2 potassium-channel gene. Required for retinal cone bipolar cell differentiation. May regulate contrast adaptation in the retina and control specific aspects of visual function in circuits of the mammalian retina. Involved in craniofacial and gonadal development (By similarity). Modulates the migration of progenitor cell populations in branchial arches and gonads by repressing CXCL12.
See full target information Irx5

Abcam Product Promise

我们致力于为您的研究提供高质量的试剂,为您科研的每一步提供支持。若我们的产品未能达到预期性能,我们向您提供 Abcam Product Promise 保障。
详情请参阅我们的条款与条件。

Please note: All products are 'FOR RESEARCH USE ONLY. NOT FOR USE IN DIAGNOSTIC OR THERAPEUTIC PROCEDURES'.

For licensing inquiries, please contact partnerships@abcam.com