JavaScript is disabled in your browser. Please enable JavaScript to view this website.
AB4873

Anti-IRS1 (phospho Y896)抗体

Anti-IRS1 (phospho Y896) antibody

Be the first to review this product! Submit a review

|

(5 Publications)

Rabbit Polyclonal IRS1 phospho Y896 antibody. Suitable for IHC-P and reacts with Human samples. Cited in 5 publications. Immunogen corresponding to Synthetic Peptide within Human Insulin receptor substrate 1 phospho Y896.

查看别名

Insulin receptor substrate 1, IRS-1, IRS1

1 Images
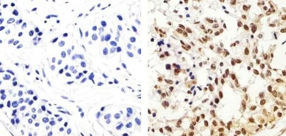
Immunohistochemistry (Formalin/PFA-fixed paraffin-embedded sections) - Anti-IRS1 (phospho Y896) antibody (AB4873)
  • IHC-P

Unknown

Immunohistochemistry (Formalin/PFA-fixed paraffin-embedded sections) - Anti-IRS1 (phospho Y896) antibody (AB4873)

Immunohistochemistry (Formalin/PFA-fixed paraffin-embedded sections) analysis of human breast carcinoma tissue labelling IRS1 with ab4873 at 1/20 dilution. Antigen retrieval was performed using 10mM sodium citrate (pH 6.0), microwaved for 8-15 min. Following antigen retrieval, tissues were blocked in 3% H2O2-methanol for 15 min at room temperature and washed with ddH2O and PBS. Tissues were washed extensively in PBST and detection was performed using an HRP-conjugated secondary antibody followed by colorimetric detection using a DAB kit. Tissues were counterstained with hematoxylin and dehydrated with ethanol and xylene to prep for mounting.

关键信息

宿主种属

Rabbit

克隆

Polyclonal

亚型

IgG

不含载体蛋白

No

反应种属

Human

应用

IHC-P

applications

免疫原

Synthetic Peptide within Human Insulin receptor substrate 1 phospho Y896. The exact immunogen used to generate this antibody is proprietary information.

P35568

反应性数据

{ "title": "Reactivity Data", "filters": { "stats": ["", "Species", "Dilution Info", "Notes"], "tabs": { "all-applications": {"fullname" : "All Applications", "shortname": "All Applications"}, "IHCP" : {"fullname" : "Immunohistochemistry (Formalin/PFA-fixed paraffin-embedded sections)", "shortname":"IHC-P"} }, "product-promise": { "all": "all", "testedAndGuaranteed": "tested", "guaranteed": "expected", "predicted": "predicted", "notRecommended": "not-recommended" } }, "values": { "Human": { "IHCP-species-checked": "testedAndGuaranteed", "IHCP-species-dilution-info": "1/10 - 1/100", "IHCP-species-notes": "<p></p>" }, "Mouse": { "IHCP-species-checked": "predicted", "IHCP-species-dilution-info": "", "IHCP-species-notes": "" }, "Rat": { "IHCP-species-checked": "predicted", "IHCP-species-dilution-info": "", "IHCP-species-notes": "" } } }

性能和储存信息

形式
Liquid
纯化工艺
Affinity purification Immunogen
纯化说明
Purified from rabbit serum by sequential epitope-specific chromatography. The antibody has been negatively preadsorbed using a non-phosphopeptide corresponding to the site of phosphorylation to remove antibody that is reactive with non-phosphorylated insulin receptor substrate 1 (IRS 1).
存储溶液
pH: 7.3 Preservative: 0.05% Sodium azide Constituents: PBS, 0.1% BSA
运输条件
Blue Ice
推荐的短期储存条件
+4°C
推荐的长期储存条件
-20°C
分装信息
Upon delivery aliquot
储存信息
Avoid freeze / thaw cycle

补充信息

This supplementary information is collated from multiple sources and compiled automatically.

The protein IRS1 also known as Insulin Receptor Substrate 1 is an important player in insulin signaling. It is a docking protein that plays a part in the signaling pathway of insulin and insulin-like growth factor (IGF) contributing to glucose homeostasis. The molecular weight of IRS1 is approximately 180 kDa. Expressed in various tissues including muscle liver and adipose tissue IRS1 facilitates the transmission of signals from activated cell surface receptors to intracellular pathways. Notable for its phosphorylation IRS1 undergoes change in state when interacting with receptor kinases impacting its role in cell signaling.
Biological function summary

IRS1 helps mediate the effects of insulin by acting as a downstream effector in the insulin signaling cascade. IRS1 functions in a complex manner binding with PI3K (phosphoinositide 3-kinase) after phosphorylation at specific tyrosine residues. This interaction is important for further signaling events leading to the regulation of glucose uptake lipid synthesis and gene expression. Besides its role in energy balance IRS1 plays a significant part in cell growth and differentiation driven by its ability to relay signals from the insulin and IGF receptors.

Pathways

IRS1 is heavily involved in the insulin signaling pathway and the PI3K-Akt pathway. Upon phosphorylation IRS1 binds to proteins such as the PI3K initiating a cascade that ultimately activates Akt resulting in anabolic processes within cells. The pathway is essential for regulating basic functions like metabolism growth and survival. IRS1's interaction with other related proteins like IR (insulin receptor) and IGFR (insulin-like growth factor receptor) highlights its integrative role in cellular processes related to energy and growth.

IRS1 is implicated in insulin resistance and type 2 diabetes. Changes in IRS1 phosphorylation patterns can disrupt normal insulin signaling leading to impaired glucose uptake and metabolic dysregulation. The protein's dysfunction is linked to obesity forming a connection through its interactions with other proteins like Akt and mTOR. Aberrant IRS1 activity may contribute to altered cell metabolism and growth promoting conditions like diabetes which highlights the importance of IRS1 in maintaining metabolic health.

产品实验方案

For this product, it's our understanding that no specific protocols are required. You can visit:

靶点信息

Signaling adapter protein that participates in the signal transduction from two prominent receptor tyrosine kinases, insulin receptor/INSR and insulin-like growth factor I receptor/IGF1R (PubMed : 7541045, PubMed : 33991522, PubMed : 38625937). Plays therefore an important role in development, growth, glucose homeostasis as well as lipid metabolism (PubMed : 19639489). Upon phosphorylation by the insulin receptor, functions as a signaling scaffold that propagates insulin action through binding to SH2 domain-containing proteins including the p85 regulatory subunit of PI3K, NCK1, NCK2, GRB2 or SHP2 (PubMed : 11171109, PubMed : 8265614). Recruitment of GRB2 leads to the activation of the guanine nucleotide exchange factor SOS1 which in turn triggers the Ras/Raf/MEK/MAPK signaling cascade (By similarity). Activation of the PI3K/AKT pathway is responsible for most of insulin metabolic effects in the cell, and the Ras/Raf/MEK/MAPK is involved in the regulation of gene expression and in cooperation with the PI3K pathway regulates cell growth and differentiation. Acts a positive regulator of the Wnt/beta-catenin signaling pathway through suppression of DVL2 autophagy-mediated degradation leading to cell proliferation (PubMed : 24616100).
See full target information Insulin receptor substrate 1 phospho Y896

文献 (5)

Recent publications for all applications. Explore the full list and refine your search

Aging 15:10291-10306 PubMed37812195

2023

polysaccharide decreases podocyte injury in diabetic nephropathy by regulating IRS-1/AKT signal and promoting mitophagy.

Applications

Unspecified application

Species

Unspecified reactive species

Huahua Li,Jin Zheng,Yacen Wu,Hong Zhou,Suli Zeng,Quanqing Li

Nature communications 13:7522 PubMed36473871

2022

The dynamic clustering of insulin receptor underlies its signaling and is disrupted in insulin resistance.

Applications

Unspecified application

Species

Unspecified reactive species

Alessandra Dall'Agnese,Jesse M Platt,Ming M Zheng,Max Friesen,Giuseppe Dall'Agnese,Alyssa M Blaise,Jessica B Spinelli,Jonathan E Henninger,Erin N Tevonian,Nancy M Hannett,Charalampos Lazaris,Hannah K Drescher,Lea M Bartsch,Henry R Kilgore,Rudolf Jaenisch,Linda G Griffith,Ibrahim I Cisse,Jacob F Jeppesen,Tong I Lee,Richard A Young

Molecular medicine (Cambridge, Mass.) 25:17 PubMed31060494

2019

Silencing of SAA1 inhibits palmitate- or high-fat diet induced insulin resistance through suppression of the NF-κB pathway.

Applications

Unspecified application

Species

Unspecified reactive species

Yong Wang,Feng Cao,Yang Wang,Gang Yu,Ben-Li Jia

Experimental and therapeutic medicine 17:57-62 PubMed30651765

2019

Swimming intervention alleviates insulin resistance and chronic inflammation in metabolic syndrome.

Applications

Unspecified application

Species

Unspecified reactive species

Jiye Tan,Lili Guo

Physiological reports 2: PubMed25472611

2014

Insulin resistance and muscle insulin receptor substrate-1 serine hyperphosphorylation.

Applications

Unspecified application

Species

Unspecified reactive species

Charles A Stuart,Mary E A Howell,Brian M Cartwright,Melanie P McCurry,Michelle L Lee,Michael W Ramsey,Michael H Stone
View all publications

Abcam Product Promise

我们致力于为您的研究提供高质量的试剂,为您科研的每一步提供支持。若我们的产品未能达到预期性能,我们向您提供 Abcam Product Promise 保障。
详情请参阅我们的条款与条件。

Please note: All products are 'FOR RESEARCH USE ONLY. NOT FOR USE IN DIAGNOSTIC OR THERAPEUTIC PROCEDURES'.

For licensing inquiries, please contact partnerships@abcam.com