JavaScript is disabled in your browser. Please enable JavaScript to view this website.
AB40782

重组Anti-IRR抗体[EP327Y]

Anti-IRR antibody [EP327Y]

Be the first to review this product! Submit a review

|

(3 Publications)

Rabbit Recombinant Monoclonal IRR antibody. Suitable for IHC-P, WB and reacts with Human, Rat samples. Cited in 3 publications.

查看别名

IRR, INSRR, Insulin receptor-related protein, IR-related receptor

2 Images
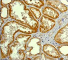
Immunohistochemistry (Formalin/PFA-fixed paraffin-embedded sections) - Anti-IRR antibody [EP327Y] (AB40782)
  • IHC-P

Unknown

Immunohistochemistry (Formalin/PFA-fixed paraffin-embedded sections) - Anti-IRR antibody [EP327Y] (AB40782)

Immunohistochemical analysis of paraffin-embedded human kidney tissue using ab40782.

Perform heat mediated antigen retrieval with citrate buffer pH 6 before commencing with IHC staining protocol.

Western blot - Anti-IRR antibody [EP327Y] (AB40782)
  • WB

Unknown

Western blot - Anti-IRR antibody [EP327Y] (AB40782)

All lanes:

Western blot - Anti-IRR antibody [EP327Y] (ab40782) at 1/2000 dilution

Lane 1:

PC12 cell lysate at 10 µg

Lane 2:

MCF7 cell lysate at 10 µg

Lane 3:

HeLa cell lysate at 10 µg

Lane 4:

SHSY5Y cell lysate at 10 µg

Predicted band size: 144 kDa

Observed band size: 130 kDa,37 kDa,80 kDa

false

关键信息

宿主种属

Rabbit

克隆

Monoclonal

克隆号

EP327Y

亚型

IgG

不含载体蛋白

No

反应种属

Rat, Human

应用

IHC-P, WB

applications

免疫原

The exact immunogen used to generate this antibody is proprietary information.

反应性数据

{ "title": "Reactivity Data", "filters": { "stats": ["", "Species", "Dilution Info", "Notes"], "tabs": { "all-applications": {"fullname" : "All Applications", "shortname": "All Applications"}, "IHCP" : {"fullname" : "Immunohistochemistry (Formalin/PFA-fixed paraffin-embedded sections)", "shortname":"IHC-P"}, "IP" : {"fullname" : "Immunoprecipitation", "shortname":"IP"}, "FlowCyt" : {"fullname" : "Flow Cytometry", "shortname":"Flow Cyt"}, "WB" : {"fullname" : "Western blot", "shortname":"WB"} }, "product-promise": { "all": "all", "testedAndGuaranteed": "tested", "guaranteed": "expected", "predicted": "predicted", "notRecommended": "not-recommended" } }, "values": { "Human": { "IHCP-species-checked": "testedAndGuaranteed", "IHCP-species-dilution-info": "1/50 - 1/100", "IHCP-species-notes": "<p></p> Perform heat-mediated antigen retrieval with citrate buffer pH 6 before commencing with IHC staining protocol.", "IP-species-checked": "notRecommended", "IP-species-dilution-info": "", "IP-species-notes": "<p></p>", "FlowCyt-species-checked": "notRecommended", "FlowCyt-species-dilution-info": "", "FlowCyt-species-notes": "<p></p>", "WB-species-checked": "guaranteed", "WB-species-dilution-info": "", "WB-species-notes": "" }, "Mouse": { "IHCP-species-checked": "predicted", "IHCP-species-dilution-info": "", "IHCP-species-notes": "", "IP-species-checked": "notRecommended", "IP-species-dilution-info": "", "IP-species-notes": "", "FlowCyt-species-checked": "notRecommended", "FlowCyt-species-dilution-info": "", "FlowCyt-species-notes": "", "WB-species-checked": "predicted", "WB-species-dilution-info": "", "WB-species-notes": "" }, "Rat": { "IHCP-species-checked": "guaranteed", "IHCP-species-dilution-info": "", "IHCP-species-notes": "", "IP-species-checked": "notRecommended", "IP-species-dilution-info": "", "IP-species-notes": "<p></p>", "FlowCyt-species-checked": "notRecommended", "FlowCyt-species-dilution-info": "", "FlowCyt-species-notes": "<p></p>", "WB-species-checked": "testedAndGuaranteed", "WB-species-dilution-info": "1/1000 - 1/2000", "WB-species-notes": "<p></p>" } } }

产品详情

Patented technology
Our RabMAb® technology is a patented hybridoma-based technology for making rabbit monoclonal antibodies. For details on our patents, please refer to RabMAb® patents.

What are the advantages of a recombinant monoclonal antibody?
This product is a recombinant monoclonal antibody, which offers several advantages including:

  • - High batch-to-batch consistency and reproducibility
  • - Improved sensitivity and specificity
  • - Long-term security of supply
  • - Animal-free batch production

For more information, read more on recombinant antibodies.

性能和储存信息

形式
Liquid
纯化工艺
Affinity purification Protein A
存储溶液
pH: 7.2 - 7.4 Preservative: 0.01% Sodium azide Constituents: PBS, 40% Glycerol (glycerin, glycerine), 0.05% BSA
运输条件
Blue Ice
推荐的短期储存条件
+4°C
推荐的长期储存条件
-20°C
分装信息
Upon delivery aliquot
储存信息
Avoid freeze / thaw cycle

补充信息

This supplementary information is collated from multiple sources and compiled automatically.

The Insulin Receptor-Related Receptor (IRR) also called INSRR is a receptor tyrosine kinase that is linked structurally to the insulin receptor. This protein has a molecular mass of about 140 kDa. IRR expresses in tissues such as the kidney lung and stomach. It functions mainly as a pH sensor playing a role in regulating cellular responses to extracellular pH changes. Through its intrinsic kinase activity IRR phosphorylates specific substrates upon ligand binding initiating downstream signaling events.
Biological function summary

IRR acts in a manner analogous to other receptor tyrosine kinases but is unique in its role as a pH sensor impacting various physiological processes. It does not usually form part of larger protein complexes but influences cellular homeostasis and adaptive responses to acidic conditions. Its activity may affect cellular growth and differentiation. Researchers have identified that IRR contributes to maintaining the pH balance in tissues where it is present which implies its importance in controlling basic cellular functions.

Pathways

The IRR participates in signaling pathways that monitor and regulate pH homeostasis and related metabolic responses. It connects with the MAPK/ERK pathway which influences cell proliferation and stress responses. This connection links IRR and MAPK/ERK to processes essential for cellular adaptation to changing pH conditions. The presence of proteins like Akt which also has roles in the pathways involving insulin receptor signals suggests IRR might have related but distinct signaling functions.

The understanding of IRR's role relates to conditions such as cancer and metabolic acidosis. Changes in its activity may influence cancer progression due to its ties with cell proliferation pathways. Abnormal IRR signaling potentially impacts acidosis-related metabolic dysfunctions where IRR's regulatory action on pH becomes critical. In these contexts proteins like the insulin receptor may share overlapping functionalities with IRR as both are receptor tyrosine kinases although IRR’s specific disease links remain less characterized.

产品实验方案

For this product, it's our understanding that no specific protocols are required. You can visit:

靶点信息

Receptor with tyrosine-protein kinase activity. Functions as a pH sensing receptor which is activated by increased extracellular pH. Activates an intracellular signaling pathway that involves IRS1 and AKT1/PKB.
See full target information INSRR

文献 (3)

Recent publications for all applications. Explore the full list and refine your search

Iranian journal of basic medical sciences 23:990-998 PubMed32952944

2020

Magnesium supplementation enhances insulin sensitivity and decreases insulin resistance in diabetic rats.

Applications

Unspecified application

Species

Unspecified reactive species

Hongzhou Liu,Nan Li,Mengmeng Jin,Xinyu Miao,Xinjie Zhang,Wenwen Zhong

Scientific reports 7:5384 PubMed28710412

2017

Exosomes derived from pancreatic cancer cells induce insulin resistance in C2C12 myotube cells through the PI3K/Akt/FoxO1 pathway.

Applications

Unspecified application

Species

Unspecified reactive species

Lantian Wang,Bo Zhang,Wen Zheng,Muxing Kang,Qing Chen,Wenjie Qin,Chao Li,Yuefeng Zhang,Yingkuan Shao,Yulian Wu

American journal of human genetics 86:696-706 PubMed20381006

2010

LRP4 mutations alter Wnt/beta-catenin signaling and cause limb and kidney malformations in Cenani-Lenz syndrome.

Applications

WB

Species

Human

Yun Li,Barbara Pawlik,Nursel Elcioglu,Mona Aglan,Hülya Kayserili,Gökhan Yigit,Ferda Percin,Frances Goodman,Gudrun Nürnberg,Asim Cenani,Jill Urquhart,Boi-Dinh Chung,Samira Ismail,Khalda Amr,Ayca D Aslanger,Christian Becker,Christian Netzer,Pete Scambler,Wafaa Eyaid,Hanan Hamamy,Jill Clayton-Smith,Raoul Hennekam,Peter Nürnberg,Joachim Herz,Samia A Temtamy,Bernd Wollnik
View all publications

Abcam Product Promise

我们致力于为您的研究提供高质量的试剂,为您科研的每一步提供支持。若我们的产品未能达到预期性能,我们向您提供 Abcam Product Promise 保障。
详情请参阅我们的条款与条件。

Please note: All products are 'FOR RESEARCH USE ONLY. NOT FOR USE IN DIAGNOSTIC OR THERAPEUTIC PROCEDURES'.

For licensing inquiries, please contact partnerships@abcam.com