JavaScript is disabled in your browser. Please enable JavaScript to view this website.
AB229443

重组Anti-IRF2抗体[EPR4644(2)] - BSA and Azide free

Anti-IRF2 antibody [EPR4644(2)] - BSA and Azide free

Be the first to review this product! Submit a review

|

(2 Publications)

Rabbit Recombinant Monoclonal IRF2 antibody. Carrier free. Suitable for WB, ICC/IF, IHC-P and reacts with Mouse, Human samples. Cited in 2 publications.

查看别名

Interferon regulatory factor 2, IRF-2, IRF2

7 Images
Immunocytochemistry/ Immunofluorescence - Anti-IRF2 antibody [EPR4644(2)] - BSA and Azide free (AB229443)
  • ICC/IF

Supplier Data

Immunocytochemistry/ Immunofluorescence - Anti-IRF2 antibody [EPR4644(2)] - BSA and Azide free (AB229443)

Immunofluorescent analysis of 4% paraformaldehyde-fixed, 0.1% Triton X-100 permeabilized HeLa (Human epithelial cells from cervix adenocarcinoma) cells labeling IRF2 with ab124744 at 1/500 dilution, followed by Goat anti-rabbit IgG (Alexa Fluor® 488) (ab150077) secondary antibody at 1/500 dilution (green). Confocal image showing nuclear staining on HeLa cells.

The nuclear counter stain is DAPI (blue). Tubulin is detected with ab7291 (anti-Tubulin mouse mAb) at 1/1000 dilution and ab150120 (AlexaFluor®594 Goat anti-Mouse secondary) at 1/500 dilution (red).
The negative controls are as follows :
-ve control 1 : ab124744 at 1/500 dilution followed by ab150120 (AlexaFluor®594 Goat anti-Mouse secondary) at 1/500 dilution.
-ve control 2 : ab7291 (anti-Tubulin mouse mAb) at 1/1000 dilution followed by ab150077 (Alexa Fluor®488 Goat Anti-Rabbit IgG H&L) at 1/500 dilution.

This data was developed using the same antibody clone in a different buffer formulation containing PBS, BSA, glycerol, and sodium azide (ab124744).

Immunohistochemistry (Formalin/PFA-fixed paraffin-embedded sections) - Anti-IRF2 antibody [EPR4644(2)] - BSA and Azide free (AB229443)
  • IHC-P

Lab

Immunohistochemistry (Formalin/PFA-fixed paraffin-embedded sections) - Anti-IRF2 antibody [EPR4644(2)] - BSA and Azide free (AB229443)

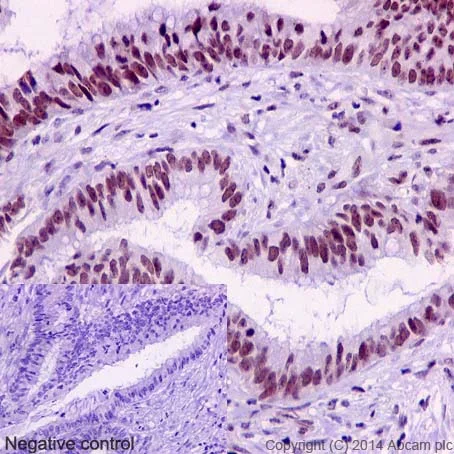
Immunohistochemistry (Formalin/PFA-fixed paraffin-embedded sections) analysis of human colonic carcinoma tissue labelling IRF2 with purified ab124744 at 1/50. Heat mediated antigen retrieval was performed using Tris/EDTA buffer pH 9. A prediluted HRP-polymer conjugated anti-rabbit IgG was used as the secondary antibody. Negative control using PBS instead of primary antibody. Counterstained with Hematoxylin.

This data was developed using the same antibody clone in a different buffer formulation containing PBS, BSA, glycerol, and sodium azide (ab124744).

Immunohistochemistry (Formalin/PFA-fixed paraffin-embedded sections) - Anti-IRF2 antibody [EPR4644(2)] - BSA and Azide free (AB229443)
  • IHC-P

Supplier Data

Immunohistochemistry (Formalin/PFA-fixed paraffin-embedded sections) - Anti-IRF2 antibody [EPR4644(2)] - BSA and Azide free (AB229443)

Immunohistochemistry (Formalin/PFA-fixed paraffin-embedded sections) analysis of Human cervical cancer tissue labeling IRF2 with purified ab124744 at 1/50. Heat mediated antigen retrieval was performed using Tris/EDTA buffer pH 9. Goat Anti-Rabbit IgG H&L (HRP) (ab97051) at 1/500 dilution was used as the secondary antibody. Nucleus staining on tumor cells of human cervix cancer was observed. Negative control using PBS instead of primary antibody. Counterstained with Hematoxylin.

This data was developed using the same antibody clone in a different buffer formulation containing PBS, BSA, glycerol, and sodium azide (ab124744).

Immunohistochemistry (Formalin/PFA-fixed paraffin-embedded sections) - Anti-IRF2 antibody [EPR4644(2)] - BSA and Azide free (AB229443)
  • IHC-P

Supplier Data

Immunohistochemistry (Formalin/PFA-fixed paraffin-embedded sections) - Anti-IRF2 antibody [EPR4644(2)] - BSA and Azide free (AB229443)

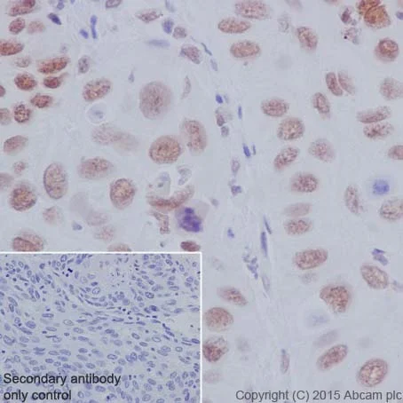
This IHC data was generated using the same anti-IRF2 antibody clone, EPR4644(2), in a different buffer formulation (cat# ab124744).

Immunohistochemistry (Formalin/PFA-fixed paraffin-embedded sections) analysis of Human colon tissue labeling IRF2 with purified ab124744 at 1/50. Heat mediated antigen retrieval was performed using Tris/EDTA buffer pH 9. Goat Anti-Rabbit IgG H&L (HRP) (ab97051) at 1/500 dilution was used as the secondary antibody. Nucleus staining on epithelium of human colon was observed. Negative control using PBS instead of primary antibody. Counterstained with Hematoxylin.

Immunohistochemistry (Formalin/PFA-fixed paraffin-embedded sections) - Anti-IRF2 antibody [EPR4644(2)] - BSA and Azide free (AB229443)
  • IHC-P

Supplier Data

Immunohistochemistry (Formalin/PFA-fixed paraffin-embedded sections) - Anti-IRF2 antibody [EPR4644(2)] - BSA and Azide free (AB229443)

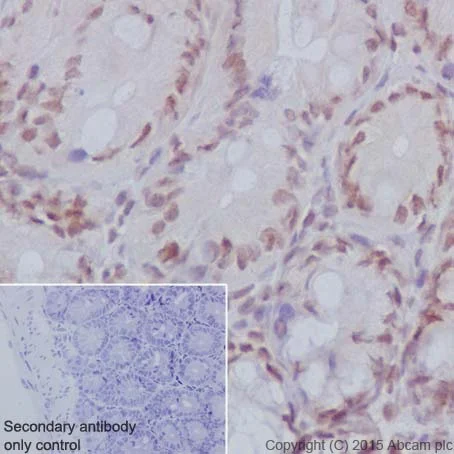
Immunohistochemistry (Formalin/PFA-fixed paraffin-embedded sections) analysis of Mouse colon tissue labeling IRF2 with purified ab124744 at 1/50. Heat mediated antigen retrieval was performed using Tris/EDTA buffer pH 9. Goat Anti-Rabbit IgG H&L (HRP) (ab97051) at 1/500 dilution was used as the secondary antibody. Nucleus staining on epithelial cells of mouse colon was observed. Negative control using PBS instead of primary antibody. Counterstained with Hematoxylin.

This data was developed using the same antibody clone in a different buffer formulation containing PBS, BSA, glycerol, and sodium azide (ab124744).

Western blot - Anti-IRF2 antibody [EPR4644(2)] - BSA and Azide free (AB229443)
  • WB

Unknown

Western blot - Anti-IRF2 antibody [EPR4644(2)] - BSA and Azide free (AB229443)

This WB data was generated using the same anti-IRF2 antibody clone, EPR4644(2), in a different buffer formulation (cat# ab12474).

Lane 1 : Wild type HAP1 whole cell lysate (20 μg)
Lane 2 : IRF2 knockout HAP1 whole cell lysate (20 μg)
Lane 3 : HeLa whole cell lysate (20 μg)
Lane 4 : CACO2 whole cell lysate (20 μg)

Lanes 1 - 4 : Merged signal (red and green). Green - ab124744 observed at 48 kDa. Red - loading control, ab18058, observed at 130 kDa.

ab124744 was shown to recognize IRF2 when IRF2 knockout samples were used, along with additional cross-reactive bands. Wild-type and IRF2 knockout samples were subjected to SDS-PAGE. ab124744 and ab18058 (Mouse anti Vinculin loading control) were incubated overnight at 4°C at 1/1000 and 1/10000 dilutions respectively. Blots were developed with Goat anti-Rabbit IgG H&L (IRDye® 800CW) ab216773 and 680CW Goat anti Mouse secondary antibodies at 1/10000 dilution for 1 hour at room temperature before imaging.

All lanes:

Western blot - Anti-IRF2 antibody [EPR4644(2)] (<a href='/products/primary-antibodies/irf2-antibody-epr46442-ab124744'>ab124744</a>)

Predicted band size: 39 kDa

false

OI-RD Scanning - Anti-IRF2 antibody [EPR4644(2)] - BSA and Azide free (AB229443)
  • OI-RD Scanning

Unknown

OI-RD Scanning - Anti-IRF2 antibody [EPR4644(2)] - BSA and Azide free (AB229443)

We have systematically measured KD (the equilibrium dissociation constant between the antibody and its antigen), of more than 840 recombinant antibodies to assess not only their individual KD values but also to see the average affinity of antibody. Based on the comparison with published literature values for mouse monoclonal antibodies, Recombinant antibodies appear to be on average 1-2 order of magnitude higher affinity.

关键信息

宿主种属

Rabbit

克隆

Monoclonal

克隆号

EPR4644(2)

亚型

IgG

不含载体蛋白

Yes

反应种属

Mouse, Human

应用

ICC/IF, WB, IHC-P

applications

免疫原

The exact immunogen used to generate this antibody is proprietary information.

反应性数据

{ "title": "Reactivity Data", "filters": { "stats": ["", "Species", "Dilution Info", "Notes"], "tabs": { "all-applications": {"fullname" : "All Applications", "shortname": "All Applications"}, "WB" : {"fullname" : "Western blot", "shortname":"WB"}, "ICCIF" : {"fullname" : "Immunocytochemistry/ Immunofluorescence", "shortname":"ICC/IF"}, "IHCP" : {"fullname" : "Immunohistochemistry (Formalin/PFA-fixed paraffin-embedded sections)", "shortname":"IHC-P"} }, "product-promise": { "all": "all", "testedAndGuaranteed": "tested", "guaranteed": "expected", "predicted": "predicted", "notRecommended": "not-recommended" } }, "values": { "Human": { "WB-species-checked": "testedAndGuaranteed", "WB-species-dilution-info": "", "WB-species-notes": "<p></p>", "ICCIF-species-checked": "testedAndGuaranteed", "ICCIF-species-dilution-info": "", "ICCIF-species-notes": "<p></p>", "IHCP-species-checked": "testedAndGuaranteed", "IHCP-species-dilution-info": "", "IHCP-species-notes": "<p></p>" }, "Mouse": { "WB-species-checked": "testedAndGuaranteed", "WB-species-dilution-info": "", "WB-species-notes": "<p></p>", "ICCIF-species-checked": "guaranteed", "ICCIF-species-dilution-info": "", "ICCIF-species-notes": "", "IHCP-species-checked": "testedAndGuaranteed", "IHCP-species-dilution-info": "", "IHCP-species-notes": "<p></p>" } } }

产品详情

ab229443 is the carrier-free version of ab124744.

Patented technology
Our RabMAb® technology is a patented hybridoma-based technology for making rabbit monoclonal antibodies. For details on our patents, please refer to RabMAb® patents.

What are the advantages of a recombinant monoclonal antibody?
This product is a recombinant monoclonal antibody, which offers several advantages including:

  • - High batch-to-batch consistency and reproducibility
  • - Improved sensitivity and specificity
  • - Long-term security of supply
  • - Animal-free batch production

For more information, read more on recombinant antibodies.

Species reactivity
Rat: We have preliminary internal testing data to indicate this antibody may not react with this species.
Please contact us for more information.

Conjugation ready
Our carrier-free antibodies are typically supplied in a PBS-only formulation, purified and free of BSA, sodium azide and glycerol. This conjugation-ready format is designed for use with fluorochromes, metal isotopes, oligonucleotides, and enzymes, which makes them ideal for antibody labelling, functional and cell-based assays, flow-based assays (e.g. mass cytometry) and Multiplex Imaging applications.

Use our conjugation kits for antibody conjugates that are ready-to-use in as little as 20 minutes with 1 minute hands-on-time and 100% antibody recovery: available for fluorescent dyes, HRP, biotin and gold.

Compatibility
This product is compatible with the Maxpar® Antibody Labeling Kit from Fluidigm, without the need for antibody preparation. Maxpar® is a trademark of Fluidigm Canada Inc.

性能和储存信息

形式
Liquid
纯化工艺
Affinity purification Protein A
存储溶液
pH: 7.2 - 7.4 Constituents: PBS
运输条件
Blue Ice
推荐的短期储存条件
+4°C
推荐的长期储存条件
+4°C
储存信息
Do Not Freeze

补充信息

This supplementary information is collated from multiple sources and compiled automatically.

The Interferon Regulatory Factor 2 (IRF2) also known as IRF-2 plays an important role in cellular processes like modulation of immune responses and regulation of gene expression. It has a molecular mass of approximately 39 kDa. IRF2 is expressed across various tissues including the immune system cells fibroblasts and epithelial cells. It can function as both a transcriptional activator and repressor depending on the context and specific gene targets.
Biological function summary

IRF2 regulates immune responses by controlling the expression of interferon (IFN) responsive genes. It acts independently and as part of transcriptional complexes binding to specific DNA sequences within target genes. Its action prevents excessive activation of immune responses maintaining a balanced immune system. IRF2 also influences cell cycle regulation contributing to its role in cell growth and differentiation.

Pathways

And several cellular communication networks IRF2 is a central figure in the interferon signaling pathway interacting with other members of the IRF family like IRF1 and IRF3. These interactions help propagate signals necessary for effective immune responses. In conjunction with the JAK-STAT pathway IRF2 modulates expressions that control antiviral responses and cellular proliferation showing its critical placement in immune response regulation.

IRF2's dysregulation has associations with cancer and autoimmune diseases. Overexpression of IRF2 is linked to certain cancers providing cells with growth advantages and resistance to apoptosis commonly in concert with proteins like STAT1. In autoimmune diseases IRF2 impacts inflammatory responses with aberrant regulation contributing to conditions like systemic lupus erythematosus. Its involvement highlights the complex nature of immune regulation and potential for targeted therapy interventions.

产品实验方案

For this product, it's our understanding that no specific protocols are required. You can visit:

靶点信息

Specifically binds to the upstream regulatory region of type I IFN and IFN-inducible MHC class I genes (the interferon consensus sequence (ICS)) and represses those genes. Also acts as an activator for several genes including H4 and IL7. Constitutively binds to the ISRE promoter to activate IL7. Involved in cell cycle regulation through binding the site II (HiNF-M) promoter region of H4 and activating transcription during cell growth. Antagonizes IRF1 transcriptional activation.
See full target information IRF2

文献 (2)

Recent publications for all applications. Explore the full list and refine your search

NPJ Parkinson's disease 11:285 PubMed41044086

2025

Capsaicin and nicotine alleviate MPTP induced olfactory dysfunction by suppressing cGAS/TBK1/STING and MAPK mediated neuroinflammation.

Applications

Unspecified application

Species

Unspecified reactive species

Jingjing Wei,Linhai Wang,Dingzhong Wang,Weiwei Chen,Lulu Guo,Mengqian Ren,Fangxin Guo,Sisi Ruan,Hangcui Hu,Yao Zheng,Siqi Nan,Zhiwen Xu,Yan Li,Hang Yuan,Jian Mao,Yan Xu,Jianping Xie

Immunity 55:2369-2385.e10 PubMed36370712

2022

The transcription factor IRF2 drives interferon-mediated CD8 T cell exhaustion to restrict anti-tumor immunity.

Applications

Unspecified application

Species

Unspecified reactive species

Sabelo Lukhele,Diala Abd Rabbo,Mengdi Guo,Jian Shen,Heidi J Elsaesser,Rene Quevedo,Madeleine Carew,Ramy Gadalla,Laura M Snell,Lawanya Mahesh,M Teresa Ciudad,Bryan E Snow,Annick You-Ten,Jillian Haight,Andrew Wakeham,Pamela S Ohashi,Tak W Mak,Weiguo Cui,Tracy L McGaha,David G Brooks
View all publications

Abcam Product Promise

我们致力于为您的研究提供高质量的试剂,为您科研的每一步提供支持。若我们的产品未能达到预期性能,我们向您提供 Abcam Product Promise 保障。
详情请参阅我们的条款与条件。

Please note: All products are 'FOR RESEARCH USE ONLY. NOT FOR USE IN DIAGNOSTIC OR THERAPEUTIC PROCEDURES'.

For licensing inquiries, please contact partnerships@abcam.com