JavaScript is disabled in your browser. Please enable JavaScript to view this website.
AB187153

重组Anti-IQGAP2抗体[EPR13382-9]

Anti-IQGAP2 antibody [EPR13382-9]

Be the first to review this product! Submit a review

|

(2 Publications)

Rabbit Recombinant Monoclonal IQGAP2 antibody. Suitable for WB, IHC-P and reacts with Rat, Human, Mouse samples. Cited in 2 publications.

查看别名

Ras GTPase-activating-like protein IQGAP2, IQGAP2

6 Images
Immunohistochemistry (Formalin/PFA-fixed paraffin-embedded sections) - Anti-IQGAP2 antibody [EPR13382-9] (AB187153)
  • IHC-P

Unknown

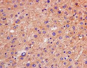
Immunohistochemistry (Formalin/PFA-fixed paraffin-embedded sections) - Anti-IQGAP2 antibody [EPR13382-9] (AB187153)

Immunohistochemistry (Formalin/PFA-fixed paraffin-embedded sections) analysis of Human prostatic hyperplasia tissue sections labeling IQGAP2 with Purified ab187153 at 1 : 100 dilution (1.04 µg/ml). Heat mediated antigen retrieval was performed using ab93684 (Tris/EDTA buffer, pH 9.0)ImmunoHistoProbe one step HRP Polymer (ready to use)was used as the secondary antibody.Negative control : PBS instead of the primary antibody.Hematoxylinwas used as a counterstain

Immunohistochemistry (Formalin/PFA-fixed paraffin-embedded sections) - Anti-IQGAP2 antibody [EPR13382-9] (AB187153)
  • IHC-P

Supplier Data

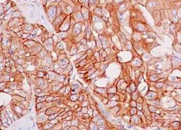
Immunohistochemistry (Formalin/PFA-fixed paraffin-embedded sections) - Anti-IQGAP2 antibody [EPR13382-9] (AB187153)

Immunohistochemical analysis of paraffin-embedded Human colonic carcinoma labeling IQGAP2 with unpurified ab187153 at 1/100 dilution.

Immunohistochemistry (Formalin/PFA-fixed paraffin-embedded sections) - Anti-IQGAP2 antibody [EPR13382-9] (AB187153)
  • IHC-P

Supplier Data

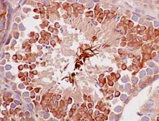
Immunohistochemistry (Formalin/PFA-fixed paraffin-embedded sections) - Anti-IQGAP2 antibody [EPR13382-9] (AB187153)

Immunohistochemical analysis of paraffin-embedded Mouse testis labeling IQGAP2 with unpurified ab187153 at 1/100 dilution.

Western blot - Anti-IQGAP2 antibody [EPR13382-9] (AB187153)
  • WB

Unknown

Western blot - Anti-IQGAP2 antibody [EPR13382-9] (AB187153)

Blocking and diluting buffer : 5% NFDM/TBST.

All lanes:

Western blot - Anti-IQGAP2 antibody [EPR13382-9] (ab187153) at 0.01 µg/mL

All lanes:

HepG2 (Human hepatocellular carcinoma epithelial cell) whole cell lysates at 15 µg

Secondary

All lanes:

Western blot - Goat Anti-Rabbit IgG H&L (HRP) (<a href='/products/secondary-antibodies/goat-rabbit-igg-h-l-hrp-ab97051'>ab97051</a>) at 1/20000 dilution

Predicted band size: 181 kDa

false

Western blot - Anti-IQGAP2 antibody [EPR13382-9] (AB187153)
  • WB

Unknown

Western blot - Anti-IQGAP2 antibody [EPR13382-9] (AB187153)

Blocking and diluting buffer : 5% NFDM/TBST.

All lanes:

Western blot - Anti-IQGAP2 antibody [EPR13382-9] (ab187153) at 0.1 µg/mL

Lane 1:

Rat liver lysates at 15 µg

Lane 2:

Mouse testis lysates at 15 µg

Secondary

All lanes:

Western blot - Goat Anti-Rabbit IgG H&L (HRP) (<a href='/products/secondary-antibodies/goat-rabbit-igg-h-l-hrp-ab97051'>ab97051</a>) at 1/20000 dilution

Predicted band size: 181 kDa

false

Western blot - Anti-IQGAP2 antibody [EPR13382-9] (AB187153)
  • WB

Supplier Data

Western blot - Anti-IQGAP2 antibody [EPR13382-9] (AB187153)

All lanes:

Western blot - Anti-IQGAP2 antibody [EPR13382-9] (ab187153) at 1/1000 dilution

Lane 1:

HepG2 cell lysate at 20 µg

Lane 2:

Ramos cell lysate at 20 µg

Secondary

All lanes:

Goat Anti-Rabbit IgG, (H+L), Peroxidase conjugated antibody at 1/1000 dilution

Predicted band size: 181 kDa

false

不同偶联物与剂型 (1)

  • Carrier free

    Anti-IQGAP2 antibody [EPR13382-9] - BSA and Azide free

关键信息

宿主种属

Rabbit

克隆

Monoclonal

克隆号

EPR13382-9

亚型

IgG

不含载体蛋白

No

反应种属

Mouse, Rat, Human

应用

IHC-P, WB

applications

免疫原

The exact immunogen used to generate this antibody is proprietary information.

特异性

The mouse and rat recommendation is based on the WB results. We do not guarantee IHC-P for mouse and rat.

反应性数据

{ "title": "Reactivity Data", "filters": { "stats": ["", "Species", "Dilution Info", "Notes"], "tabs": { "all-applications": {"fullname" : "All Applications", "shortname": "All Applications"}, "WB" : {"fullname" : "Western blot", "shortname":"WB"}, "IHCP" : {"fullname" : "Immunohistochemistry (Formalin/PFA-fixed paraffin-embedded sections)", "shortname":"IHC-P"} }, "product-promise": { "all": "all", "testedAndGuaranteed": "tested", "guaranteed": "expected", "predicted": "predicted", "notRecommended": "not-recommended" } }, "values": { "Human": { "WB-species-checked": "testedAndGuaranteed", "WB-species-dilution-info": "1/1000 - 1/10000", "WB-species-notes": "<p></p>", "IHCP-species-checked": "testedAndGuaranteed", "IHCP-species-dilution-info": "1/50 - 1/100", "IHCP-species-notes": "<p>The mouse and rat recommendation is based on the WB results. We do not guarantee IHC-P for mouse and rat.</p> Perform heat-mediated antigen retrieval with Tris/EDTA buffer pH 9.0 before commencing with IHC staining protocol." }, "Mouse": { "WB-species-checked": "guaranteed", "WB-species-dilution-info": "", "WB-species-notes": "", "IHCP-species-checked": "testedAndGuaranteed", "IHCP-species-dilution-info": "1/50 - 1/100", "IHCP-species-notes": "<p>The mouse and rat recommendation is based on the WB results. We do not guarantee IHC-P for mouse and rat.</p> Perform heat-mediated antigen retrieval with Tris/EDTA buffer pH 9.0 before commencing with IHC staining protocol." }, "Rat": { "WB-species-checked": "testedAndGuaranteed", "WB-species-dilution-info": "1/1000 - 1/10000", "WB-species-notes": "<p></p>", "IHCP-species-checked": "guaranteed", "IHCP-species-dilution-info": "", "IHCP-species-notes": "" } } }

产品详情

Patented technology
Our RabMAb® technology is a patented hybridoma-based technology for making rabbit monoclonal antibodies. For details on our patents, please refer to RabMAb® patents.

What are the advantages of a recombinant monoclonal antibody?
This product is a recombinant monoclonal antibody, which offers several advantages including:

  • - High batch-to-batch consistency and reproducibility
  • - Improved sensitivity and specificity
  • - Long-term security of supply
  • - Animal-free batch production

For more information, read more on recombinant antibodies.

性能和储存信息

形式
Liquid
纯化工艺
Affinity purification Protein A
存储溶液
pH: 7.2 - 7.4 Preservative: 0.01% Sodium azide Constituents: PBS, 40% Glycerol (glycerin, glycerine), 0.05% BSA
运输条件
Blue Ice
推荐的短期储存时间
1-2 weeks
推荐的短期储存条件
+4°C
推荐的长期储存条件
-20°C
分装信息
Upon delivery aliquot
储存信息
Avoid freeze / thaw cycle

补充信息

This supplementary information is collated from multiple sources and compiled automatically.

IQGAP2 also known as Ras GTPase-activating-like protein IQGAP2 is a protein involved in intracellular signaling and the dynamics of the cytoskeleton. The molecular mass of IQGAP2 is approximately 180 kDa. It is expressed in various tissues with significant expression levels observed in the liver and stomach. IQGAP2 functions as a scaffold protein interacting with numerous cellular components to modulate their activities.
Biological function summary

IQGAP2 influences several cellular processes including cell adhesion migration and signaling pathways. It interacts with actin filaments and participates in the Rac1 signaling complex. By binding with calmodulin and other partners IQGAP2 regulates the cytoskeletal architecture contributing to cellular morphology and movement. Through its involvement in cellular interactions IQGAP2 plays roles in both normal physiological functions and pathological conditions.

Pathways

IQGAP2 participates in the MAPK and Wnt signaling pathways. In these pathways it interacts with proteins like beta-catenin and ERK influencing signal transduction that affects cell growth and differentiation. IQGAP2's role in these pathways demonstrates its significance in regulating cellular responses to environmental cues and its impact on developmental processes and tissue homeostasis.

IQGAP2's dysfunction associates with cancer particularly hepatocellular carcinoma and gastric cancer. Its interaction with beta-catenin and E-cadherin links it to the pathways that influence tumorigenesis and cancer cell adhesion. Variations in IQGAP2 expression or activity can disrupt cellular architecture and signaling contributing to disease progression and metastasis in these malignancies.

产品实验方案

For this product, it's our understanding that no specific protocols are required. You can visit:

靶点信息

Binds to activated CDC42 and RAC1 but does not seem to stimulate their GTPase activity. Associates with calmodulin.
See full target information Ras GTPase-activating-like protein IQGAP2

文献 (2)

Recent publications for all applications. Explore the full list and refine your search

Nature genetics 54:1051-1061 PubMed35817981

2022

Systematic identification of cell-fate regulatory programs using a single-cell atlas of mouse development.

Applications

Unspecified application

Species

Unspecified reactive species

Lijiang Fei,Haide Chen,Lifeng Ma,Weigao E,Renying Wang,Xing Fang,Ziming Zhou,Huiyu Sun,Jingjing Wang,Mengmeng Jiang,Xinru Wang,Chengxuan Yu,Yuqing Mei,Danmei Jia,Tingyue Zhang,Xiaoping Han,Guoji Guo

Translational oncology 14:100958 PubMed33248413

2020

LncRNA PDCD4-AS1 alleviates triple negative breast cancer by increasing expression of IQGAP2 via miR-10b-5p.

Applications

Unspecified application

Species

Unspecified reactive species

Daoliang Wang,Zhuo Wang,Lijun Zhang,Shengrong Sun
View all publications

Abcam Product Promise

我们致力于为您的研究提供高质量的试剂,为您科研的每一步提供支持。若我们的产品未能达到预期性能,我们向您提供 Abcam Product Promise 保障。
详情请参阅我们的条款与条件。

Please note: All products are 'FOR RESEARCH USE ONLY. NOT FOR USE IN DIAGNOSTIC OR THERAPEUTIC PROCEDURES'.

For licensing inquiries, please contact partnerships@abcam.com