JavaScript is disabled in your browser. Please enable JavaScript to view this website.
AB109292

重组Anti-IQGAP1抗体[EPR5221]

Anti-IQGAP1 antibody [EPR5221]

Be the first to review this product! Submit a review

|

(4 Publications)

Rabbit Recombinant Monoclonal IQGAP1 antibody. Suitable for IHC-P, WB, ICC/IF, Flow Cyt (Intra) and reacts with Human, African green monkey samples. Cited in 4 publications.

查看别名

KIAA0051, IQGAP1, Ras GTPase-activating-like protein IQGAP1, p195

5 Images
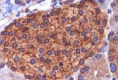
Immunohistochemistry (Formalin/PFA-fixed paraffin-embedded sections) - Anti-IQGAP1 antibody [EPR5221] (AB109292)
  • IHC-P

Unknown

Immunohistochemistry (Formalin/PFA-fixed paraffin-embedded sections) - Anti-IQGAP1 antibody [EPR5221] (AB109292)

Immunohistochemical analysis of paraffin-embedded Human uterus tissue using ab109292 at a dilution of 1/500.

Perform heat mediated antigen retrieval before commencing with IHC staining protocol.

Immunocytochemistry/ Immunofluorescence - Anti-IQGAP1 antibody [EPR5221] (AB109292)
  • ICC/IF

Unknown

Immunocytochemistry/ Immunofluorescence - Anti-IQGAP1 antibody [EPR5221] (AB109292)

Immunocytochemistry/Immunofluorescence analysis of HeLa (Human epithelial cell line from cervix adenocarcinoma) labeling IQGAP1 with Purified ab109292 at 1/500 dilution (5 μg/ml). Cells were fixed with 100% methanol. ab150077 Goat anti rabbit IgG(Alexa Fluor® 488) at 1/1000 dilution was used as the secondary antibody. Nuclei were counterstained with DAPI. PBS was used instead of the primary antibody as the negative control.

Flow Cytometry (Intracellular) - Anti-IQGAP1 antibody [EPR5221] (AB109292)
  • Flow Cyt (Intra)

Lab

Flow Cytometry (Intracellular) - Anti-IQGAP1 antibody [EPR5221] (AB109292)

Intracellular Flow Cytometry analysis of HeLa (human cervix adenocarcinoma) cells labeling IQGAP1 with unpurified ab109292 at 1/250 dilution (10ug/ml) (red). Cells were fixed with 4% paraformaldehyde and permeabilised with 90% methanol. A Goat anti-rabbit IgG (Alexa Fluor® 488) (1/2000 dilution) was used as the secondary antibody. Rabbit monoclonal IgG (Black) was used as the isotype control, cells without incubation with primary antibody and secondary antibody (Blue) were used as the unlabeled control.

Western blot - Anti-IQGAP1 antibody [EPR5221] (AB109292)
  • WB

Lab

Western blot - Anti-IQGAP1 antibody [EPR5221] (AB109292)

Lane 1 : Wild-type HAP1 cell lysate (20 μg)
Lane 2 : IQGAP1 knockout HAP1 cell lysate (20 μg)
Lane 3 : HEK293 cell lysate (20 μg)
Lane 4 : HeLa cell lysate (20 μg)
Lanes 1 - 4 : Merged signal (red and green). Green - ab109292 observed at 190 kDa. Red - loading control, ab7291, observed at 52 kDa.
ab109292 was shown to specifically react with IQGAP1 when IQGAP1 knockout samples were used. Wild-type and IQGAP1 knockout samples were subjected to SDS-PAGE. ab109292 and ab7291 (loading control to alpha tubulin) were diluted 1/1000 and 1/2000 and incubated overnight at 4°C. Blots were developed with Goat anti-Rabbit IgG H&L (IRDye® 800CW) preadsorbed ab216773 and Goat anti-Mouse IgG H&L (IRDye® 680RD) preadsorbed ab216776 secondary antibodies at 1/10000 dilution for 1 h at room temperature before imaging.

All lanes:

Western blot - Anti-IQGAP1 antibody [EPR5221] (ab109292)

Predicted band size: 189 kDa

false

Western blot - Anti-IQGAP1 antibody [EPR5221] (AB109292)
  • WB

Unknown

Western blot - Anti-IQGAP1 antibody [EPR5221] (AB109292)

All lanes:

Western blot - Anti-IQGAP1 antibody [EPR5221] (ab109292) at 1/1000 dilution

Lane 1:

HeLa cell lysate at 10 µg

Lane 2:

Cos-1 cell lysate at 10 µg

Lane 3:

HUVEC cell lysate at 10 µg

Lane 4:

Jurkat cell lysate at 10 µg

Predicted band size: 189 kDa

false

关键信息

宿主种属

Rabbit

克隆

Monoclonal

克隆号

EPR5221

亚型

IgG

不含载体蛋白

No

反应种属

Human, African green monkey

应用

IHC-P, WB, ICC/IF, Flow Cyt (Intra)

applications

免疫原

The exact immunogen used to generate this antibody is proprietary information.

反应性数据

{ "title": "Reactivity Data", "filters": { "stats": ["", "Species", "Dilution Info", "Notes"], "tabs": { "all-applications": {"fullname" : "All Applications", "shortname": "All Applications"}, "IHCP" : {"fullname" : "Immunohistochemistry (Formalin/PFA-fixed paraffin-embedded sections)", "shortname":"IHC-P"}, "IP" : {"fullname" : "Immunoprecipitation", "shortname":"IP"}, "WB" : {"fullname" : "Western blot", "shortname":"WB"}, "ICCIF" : {"fullname" : "Immunocytochemistry/ Immunofluorescence", "shortname":"ICC/IF"}, "FlowCytIntra" : {"fullname" : "Flow Cytometry (Intracellular)", "shortname":"Flow Cyt (Intra)"} }, "product-promise": { "all": "all", "testedAndGuaranteed": "tested", "guaranteed": "expected", "predicted": "predicted", "notRecommended": "not-recommended" } }, "values": { "Human": { "IHCP-species-checked": "testedAndGuaranteed", "IHCP-species-dilution-info": "1/500 - 1/1000", "IHCP-species-notes": "<p></p>", "IP-species-checked": "notRecommended", "IP-species-dilution-info": "", "IP-species-notes": "<p></p>", "WB-species-checked": "testedAndGuaranteed", "WB-species-dilution-info": "1/1000 - 1/10000", "WB-species-notes": "<p></p>", "ICCIF-species-checked": "testedAndGuaranteed", "ICCIF-species-dilution-info": "", "ICCIF-species-notes": "<p></p>", "FlowCytIntra-species-checked": "testedAndGuaranteed", "FlowCytIntra-species-dilution-info": "", "FlowCytIntra-species-notes": "<p></p>" }, "African green monkey": { "IHCP-species-checked": "guaranteed", "IHCP-species-dilution-info": "", "IHCP-species-notes": "", "IP-species-checked": "notRecommended", "IP-species-dilution-info": "", "IP-species-notes": "", "WB-species-checked": "testedAndGuaranteed", "WB-species-dilution-info": "1/1000 - 1/10000", "WB-species-notes": "<p></p>", "ICCIF-species-checked": "guaranteed", "ICCIF-species-dilution-info": "", "ICCIF-species-notes": "", "FlowCytIntra-species-checked": "guaranteed", "FlowCytIntra-species-dilution-info": "", "FlowCytIntra-species-notes": "" } } }

产品详情

Species reactivity
Mouse, Rat: We have preliminary internal testing data to indicate this antibody may not react with these species.
Please contact us for more information.

Patented technology
Our RabMAb® technology is a patented hybridoma-based technology for making rabbit monoclonal antibodies. For details on our patents, please refer to RabMAb® patents.

What are the advantages of a recombinant monoclonal antibody?
This product is a recombinant monoclonal antibody, which offers several advantages including:

  • - High batch-to-batch consistency and reproducibility
  • - Improved sensitivity and specificity
  • - Long-term security of supply
  • - Animal-free batch production

For more information, read more on recombinant antibodies.

性能和储存信息

形式
Liquid
纯化工艺
Affinity purification Protein A
存储溶液
pH: 7.2 - 7.4 Preservative: 0.05% Sodium azide Constituents: 50% Tissue culture supernatant, 40% Glycerol (glycerin, glycerine), 9.85% Tris glycine, 0.1% BSA
运输条件
Blue Ice
推荐的短期储存条件
+4°C
推荐的长期储存条件
-20°C
储存信息
Stable for 12 months at -20°C

补充信息

This supplementary information is collated from multiple sources and compiled automatically.

IQGAP1 also known as IQ motif containing GTPase activating protein 1 acts as a scaffold protein that interacts with several signaling molecules. It weighs approximately 189 kDa. This protein is expressed in various tissues but shows high expression in the brain liver and kidney. IQGAP1 contains multiple domains including four IQ motifs that bind to calmodulin and a Rho GTPase-activating protein-related domain that mediates interactions with GTPases.
Biological function summary

IQGAP1 plays a critical role in cytoskeletal organization cell adhesion and intracellular signaling. It participates in the formation of multiprotein complexes facilitating communication and structural integrity within the cell. IQGAP1 stabilizes the actin cytoskeleton and affects cell motility and polarity. It interacts with proteins such as E-cadherin and beta-catenin affecting cell-cell adhesion and signal transduction.

Pathways

IQGAP1 integrates signals from different pathways including the MAPK/ERK and Wnt pathways. It modulates the MAPK pathway by interacting with Raf and MEK kinases impacting cell proliferation and differentiation. In the Wnt signaling pathway IQGAP1 binds to APC and beta-catenin regulating gene transcription related to cell growth and division. These interactions highlight its role in coordinating cellular responses to various external signals.

IQGAP1 has associations with cancer and neurological disorders. In cancer alterations in IQGAP1 expression or function can lead to abnormal cell growth and metastasis due to disrupted signaling pathways like MAPK. Mutations and dysregulation of proteins such as Ras and beta-catenin commonly interact with IQGAP1 in oncogenic contexts. In neurological disorders its interaction with the actin cytoskeleton and signaling proteins can affect synapse formation and function with links to conditions such as schizophrenia and Alzheimer's disease.

产品实验方案

For this product, it's our understanding that no specific protocols are required. You can visit:

靶点信息

Plays a crucial role in regulating the dynamics and assembly of the actin cytoskeleton. Recruited to the cell cortex by interaction with ILK which allows it to cooperate with its effector DIAPH1 to locally stabilize microtubules and allow stable insertion of caveolae into the plasma membrane (By similarity). Binds to activated CDC42 but does not stimulate its GTPase activity. Associates with calmodulin. May promote neurite outgrowth (PubMed : 15695813). May play a possible role in cell cycle regulation by contributing to cell cycle progression after DNA replication arrest (PubMed : 20883816).
See full target information IQGAP1

文献 (4)

Recent publications for all applications. Explore the full list and refine your search

Nature communications 12:2409 PubMed33893302

2021

Inhibition of polar actin assembly by astral microtubules is required for cytokinesis.

Applications

Unspecified application

Species

Unspecified reactive species

Anan Chen,Luisa Ulloa Severino,Thomas C Panagiotou,Trevor F Moraes,Darren A Yuen,Brigitte D Lavoie,Andrew Wilde

The Journal of biological chemistry 295:3134-3147 PubMed32005666

2020

The scaffold-protein IQGAP1 enhances and spatially restricts the actin-nucleating activity of Diaphanous-related formin 1 (DIAPH1).

Applications

Unspecified application

Species

Unspecified reactive species

Anan Chen,Pam D Arora,Christine C Lai,John W Copeland,Trevor F Moraes,Christopher A McCulloch,Brigitte D Lavoie,Andrew Wilde

Proceedings of the National Academy of Sciences of 115:E10109-E10118 PubMed30301799

2018

Human leukemia mutations corrupt but do not abrogate GATA-2 function.

Applications

Unspecified application

Species

Unspecified reactive species

Koichi R Katsumura,Charu Mehta,Kyle J Hewitt,Alexandra A Soukup,Isabela Fraga de Andrade,Erik A Ranheim,Kirby D Johnson,Emery H Bresnick

Journal of cell science 125:2041-52 PubMed22328503

2012

A conserved role of IQGAP1 in regulating TOR complex 1.

Applications

ICC/IF

Species

Human

Yemsrach K Tekletsadik,Robert Sonn,Mahasin A Osman
View all publications

Abcam Product Promise

我们致力于为您的研究提供高质量的试剂,为您科研的每一步提供支持。若我们的产品未能达到预期性能,我们向您提供 Abcam Product Promise 保障。
详情请参阅我们的条款与条件。

Please note: All products are 'FOR RESEARCH USE ONLY. NOT FOR USE IN DIAGNOSTIC OR THERAPEUTIC PROCEDURES'.

For licensing inquiries, please contact partnerships@abcam.com