JavaScript is disabled in your browser. Please enable JavaScript to view this website.
AB75276

Anti-INTS11抗体

Anti-INTS11 antibody

3

(3 Reviews)

|

(8 Publications)

Rabbit Polyclonal INTS11 antibody. Suitable for IHC-P, IP, WB and reacts with Human, Mouse samples. Cited in 8 publications. Immunogen corresponding to Synthetic Peptide within Human INTS11.

查看别名

CPSF3L, RC68, INTS11, Integrator complex subunit 11, Int11, Cleavage and polyadenylation-specific factor 3-like protein, Protein related to CPSF subunits of 68 kDa, CPSF3-like protein, RC-68

3 Images
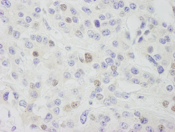
Immunohistochemistry (Formalin/PFA-fixed paraffin-embedded sections) - Anti-INTS11 antibody (AB75276)
  • IHC-P

Unknown

Immunohistochemistry (Formalin/PFA-fixed paraffin-embedded sections) - Anti-INTS11 antibody (AB75276)

Immunohistochemistry (Formalin/PFA-fixed paraffin-embedded sections) analysis of human breast carcinoma tissue labelling INT11 with ab75276 at 1/1000 (1µg/ml). Detection : DAB.

Immunoprecipitation - Anti-INTS11 antibody (AB75276)
  • IP

Unknown

Immunoprecipitation - Anti-INTS11 antibody (AB75276)

Detection of INTS11 by Western Blot of Immunprecipitate.
ab75278 at 1μg/ml staining INTS11 in HeLa whole cell lysate immunoprecipitated using ab75276 at 3μg/mg lysate (1 mg/IP; 20% of IP loaded/lane).
Detection : Chemiluminescence with exposure time of 30 seconds.

All lanes:

Immunoprecipitation - Anti-INTS11 antibody (ab75276)

Predicted band size: 67 kDa

false

Western blot - Anti-INTS11 antibody (AB75276)
  • WB

Unknown

Western blot - Anti-INTS11 antibody (AB75276)

All lanes:

Western blot - Anti-INTS11 antibody (ab75276) at 0.1 µg/mL

Lane 1:

HeLa whole cell lysate at 50 µg

Lane 2:

HeLa whole cell lysate at 15 µg

Lane 3:

HeLa whole cell lysate at 5 µg

Lane 4:

293T whole cell lysate at 50 µg

Lane 5:

NIH3T3 whole cell lysate at 50 µg

Predicted band size: 67 kDa

Observed band size: 68 kDa

true

Exposure time: 3min

关键信息

宿主种属

Rabbit

克隆

Polyclonal

亚型

IgG

不含载体蛋白

No

反应种属

Mouse, Human

应用

IHC-P, WB, IP

applications

免疫原

Synthetic Peptide within Human INTS11. The exact immunogen used to generate this antibody is proprietary information.

Q5TA45

反应性数据

{ "title": "Reactivity Data", "filters": { "stats": ["", "Species", "Dilution Info", "Notes"], "tabs": { "all-applications": {"fullname" : "All Applications", "shortname": "All Applications"}, "IHCP" : {"fullname" : "Immunohistochemistry (Formalin/PFA-fixed paraffin-embedded sections)", "shortname":"IHC-P"}, "IP" : {"fullname" : "Immunoprecipitation", "shortname":"IP"}, "WB" : {"fullname" : "Western blot", "shortname":"WB"} }, "product-promise": { "all": "all", "testedAndGuaranteed": "tested", "guaranteed": "expected", "predicted": "predicted", "notRecommended": "not-recommended" } }, "values": { "Human": { "IHCP-species-checked": "testedAndGuaranteed", "IHCP-species-dilution-info": "1/500 - 1/2000", "IHCP-species-notes": "<p></p> Perform heat-mediated antigen retrieval with citrate buffer pH 6 before commencing with IHC staining protocol.", "IP-species-checked": "testedAndGuaranteed", "IP-species-dilution-info": "2-5 µg/mg of lysate", "IP-species-notes": "<p></p>", "WB-species-checked": "testedAndGuaranteed", "WB-species-dilution-info": "1/2000 - 1/10000", "WB-species-notes": "<p></p>" }, "Mouse": { "IHCP-species-checked": "guaranteed", "IHCP-species-dilution-info": "", "IHCP-species-notes": "", "IP-species-checked": "guaranteed", "IP-species-dilution-info": "", "IP-species-notes": "", "WB-species-checked": "testedAndGuaranteed", "WB-species-dilution-info": "1/2000 - 1/10000", "WB-species-notes": "<p></p>" }, "Chimpanzee": { "IHCP-species-checked": "predicted", "IHCP-species-dilution-info": "", "IHCP-species-notes": "", "IP-species-checked": "predicted", "IP-species-dilution-info": "", "IP-species-notes": "", "WB-species-checked": "predicted", "WB-species-dilution-info": "", "WB-species-notes": "" }, "Elephant": { "IHCP-species-checked": "predicted", "IHCP-species-dilution-info": "", "IHCP-species-notes": "", "IP-species-checked": "predicted", "IP-species-dilution-info": "", "IP-species-notes": "", "WB-species-checked": "predicted", "WB-species-dilution-info": "", "WB-species-notes": "" }, "Gorilla": { "IHCP-species-checked": "predicted", "IHCP-species-dilution-info": "", "IHCP-species-notes": "", "IP-species-checked": "predicted", "IP-species-dilution-info": "", "IP-species-notes": "", "WB-species-checked": "predicted", "WB-species-dilution-info": "", "WB-species-notes": "" }, "Horse": { "IHCP-species-checked": "predicted", "IHCP-species-dilution-info": "", "IHCP-species-notes": "", "IP-species-checked": "predicted", "IP-species-dilution-info": "", "IP-species-notes": "", "WB-species-checked": "predicted", "WB-species-dilution-info": "", "WB-species-notes": "" }, "Opossum": { "IHCP-species-checked": "predicted", "IHCP-species-dilution-info": "", "IHCP-species-notes": "", "IP-species-checked": "predicted", "IP-species-dilution-info": "", "IP-species-notes": "", "WB-species-checked": "predicted", "WB-species-dilution-info": "", "WB-species-notes": "" }, "Orangutan": { "IHCP-species-checked": "predicted", "IHCP-species-dilution-info": "", "IHCP-species-notes": "", "IP-species-checked": "predicted", "IP-species-dilution-info": "", "IP-species-notes": "", "WB-species-checked": "predicted", "WB-species-dilution-info": "", "WB-species-notes": "" }, "Rhesus monkey": { "IHCP-species-checked": "predicted", "IHCP-species-dilution-info": "", "IHCP-species-notes": "", "IP-species-checked": "predicted", "IP-species-dilution-info": "", "IP-species-notes": "", "WB-species-checked": "predicted", "WB-species-dilution-info": "", "WB-species-notes": "" } } }

性能和储存信息

形式
Liquid
纯化工艺
Affinity purification Immunogen
纯化说明
ab75276 was affinity purified using an epitope specific to INTS11 immobilized on solid support.
存储溶液
pH: 7 - 8 Preservative: 0.09% Sodium azide Constituents: PBS, 1.815% Tris, 1.764% Sodium citrate
运输条件
Blue Ice
推荐的短期储存条件
+4°C
推荐的长期储存条件
+4°C
分装信息
Upon delivery aliquot
储存信息
Avoid freeze / thaw cycle

补充信息

This supplementary information is collated from multiple sources and compiled automatically.

INTS11 also known as Integrator Complex Subunit 11 is an important component of the integrator complex involved in transcriptional regulation. It weighs approximately 52 kDa. INTS11 shows expression in various tissues with higher levels in testis brain and skeletal muscle. It acts as a subunit of the Integrator complex playing a role in the processing of small nuclear RNA (snRNA).
Biological function summary

The integrator complex containing INTS11 associates with the C-terminal domain of RNA polymerase II. This connection suggests its role in RNA processing events. INTS11 in collaboration with other subunits like INTS9 contributes to the cleavage and 3'-end processing of nascent snRNAs. The accurate processing of snRNA is essential for proper spliceosome formation and function impacting overall RNA maturation.

Pathways

INTS11 participates in RNA splicing and processing related pathways including the major spliceosomal pathway. It forms a vital axis with INTS9 another integrator complex subunit to assist in proper RNA transcription termination and processing. Its activity intersects with RNA polymerase II emphasizing its influence on RNA biosynthesis and turnover.

Mutations and dysregulation in INTS11 have been linked to neurological disorders and certain cancers. Disruption in its expression or function can lead to faulty RNA processing and splicing highlighting its impact on cellular homeostasis. Additionally INTS11 shows interaction with proteins like cyclin-dependent kinase CDK8 suggesting its regulatory effects on cell cycle and transcriptional control.

产品实验方案

For this product, it's our understanding that no specific protocols are required. You can visit:

靶点信息

RNA endonuclease component of the integrator complex, a multiprotein complex that terminates RNA polymerase II (Pol II) transcription in the promoter-proximal region of genes (PubMed : 16239144, PubMed : 25201415, PubMed : 28396433, PubMed : 32697989, PubMed : 33243860, PubMed : 33548203, PubMed : 34762484, PubMed : 37080207, PubMed : 38570683). The integrator complex provides a quality checkpoint during transcription elongation by driving premature transcription termination of transcripts that are unfavorably configured for transcriptional elongation : the complex terminates transcription by (1) catalyzing dephosphorylation of the C-terminal domain (CTD) of Pol II subunit POLR2A/RPB1 and SUPT5H/SPT5, (2) degrading the exiting nascent RNA transcript via endonuclease activity and (3) promoting the release of Pol II from bound DNA (PubMed : 32697989, PubMed : 33243860, PubMed : 33548203, PubMed : 34762484, PubMed : 37080207, PubMed : 38570683). The integrator complex is also involved in terminating the synthesis of non-coding Pol II transcripts, such as enhancer RNAs (eRNAs), small nuclear RNAs (snRNAs), telomerase RNAs and long non-coding RNAs (lncRNAs) (PubMed : 16239144, PubMed : 22252320, PubMed : 26308897, PubMed : 30737432). Within the integrator complex, INTS11 constitutes the RNA endonuclease subunit that degrades exiting nascent RNA transcripts (PubMed : 28396433, PubMed : 32697989, PubMed : 33243860, PubMed : 33548203, PubMed : 34762484, PubMed : 37080207, PubMed : 38570683). Mediates recruitment of cytoplasmic dynein to the nuclear envelope, probably as component of the integrator complex (PubMed : 23904267).
See full target information INTS11

文献 (8)

Recent publications for all applications. Explore the full list and refine your search

Molecular cell 84:2900-2917.e10 PubMed39032490

2024

Cytoplasmic binding partners of the Integrator endonuclease INTS11 and its paralog CPSF73 are required for their nuclear function.

Applications

Unspecified application

Species

Unspecified reactive species

Min-Han Lin,Madeline K Jensen,Nathan D Elrod,Hsu-Feng Chu,MaryClaire Haseley,Alissa C Beam,Kai-Lieh Huang,Wesley Chiang,William K Russell,Kelsey Williams,Christoph Pröschel,Eric J Wagner,Liang Tong

Science advances 9:eadf0597 PubMed36763664

2023

The Integrator complex regulates microRNA abundance through RISC loading.

Applications

Unspecified application

Species

Unspecified reactive species

Nina Kirstein,Sadat Dokaneheifard,Pradeep Reddy Cingaram,Monica Guiselle Valencia,Felipe Beckedorff,Helena Gomes Dos Santos,Ezra Blumenthal,Mina Masoumeh Tayari,Gabriel Stephen Gaidosh,Ramin Shiekhattar

Nucleic acids research 50:12444-12461 PubMed36454007

2022

SUMO conjugation regulates the activity of the Integrator complex.

Applications

Unspecified application

Species

Unspecified reactive species

Laureano Bragado,Melina Magalnik,Pablo Mammi,Agustín Romero,Nicolás Gaioli,Berta Pozzi,Anabella Srebrow

Molecular cell 81:502-513.e4 PubMed33400923

2021

Hyperosmotic stress alters the RNA polymerase II interactome and induces readthrough transcription despite widespread transcriptional repression.

Applications

Unspecified application

Species

Unspecified reactive species

Nicolle A Rosa-Mercado,Joshua T Zimmer,Maria Apostolidi,Jesse Rinehart,Matthew D Simon,Joan A Steitz

Science advances 6:eaaz9072 PubMed32923585

2020

Integrator restrains paraspeckles assembly by promoting isoform switching of the lncRNA .

Applications

Unspecified application

Species

Unspecified reactive species

Jasmine Barra,Gabriel S Gaidosh,Ezra Blumenthal,Felipe Beckedorff,Mina M Tayari,Nina Kirstein,Tobias K Karakach,Torben Heick Jensen,Francis Impens,Kris Gevaert,Eleonora Leucci,Ramin Shiekhattar,Jean-Christophe Marine

Genes & development 29:1552-64 PubMed26220997

2015

The host Integrator complex acts in transcription-independent maturation of herpesvirus microRNA 3' ends.

Applications

Unspecified application

Species

Unspecified reactive species

Mingyi Xie,Wei Zhang,Mei-Di Shu,Acer Xu,Diana A Lenis,Daniel DiMaio,Joan A Steitz

Cell 155:1568-80 PubMed24360278

2013

Mammalian 5'-capped microRNA precursors that generate a single microRNA.

Applications

Unspecified application

Species

Unspecified reactive species

Mingyi Xie,Mingfeng Li,Anna Vilborg,Nara Lee,Mei-Di Shu,Valeria Yartseva,Nenad Šestan,Joan A Steitz

Nucleic acids research 42:264-75 PubMed24097444

2013

Human snRNA genes use polyadenylation factors to promote efficient transcription termination.

Applications

WB

Species

Human

Dawn O'Reilly,Olga V Kuznetsova,Clelia Laitem,Justyna Zaborowska,Martin Dienstbier,Shona Murphy
View all publications

Abcam Product Promise

我们致力于为您的研究提供高质量的试剂,为您科研的每一步提供支持。若我们的产品未能达到预期性能,我们向您提供 Abcam Product Promise 保障。
详情请参阅我们的条款与条件。

Please note: All products are 'FOR RESEARCH USE ONLY. NOT FOR USE IN DIAGNOSTIC OR THERAPEUTIC PROCEDURES'.

For licensing inquiries, please contact partnerships@abcam.com