JavaScript is disabled in your browser. Please enable JavaScript to view this website.
AB182120

Anti-Integrin beta 4 抗体 [EPR17517]

Anti-Integrin beta 4 antibody [EPR17517]

5

(3 Reviews)

|

(31 Publications)

Rabbit Recombinant Monoclonal Integrin beta 4 antibody. Suitable for WB, IHC-P and reacts with Mouse, Human samples. Cited in 31 publications.

查看别名

CD104, Integrin beta-4, GP150, ITGB4

12 Images
Immunohistochemistry (Formalin/PFA-fixed paraffin-embedded sections) - Anti-Integrin beta 4 antibody [EPR17517] (AB182120)
  • IHC-P

Supplier Data

Immunohistochemistry (Formalin/PFA-fixed paraffin-embedded sections) - Anti-Integrin beta 4 antibody [EPR17517] (AB182120)

Immunohistochemical analysis of paraffin-embedded Human colon tissue labeling Integrin beta 4 with ab182120 at 1/250 dilution, followed by Goat Anti-Rabbit IgG H&L (HRP) (ab97051) secondary antibody at 1/500 dilution. Membrane and cytoplasm staining on Human colon epithelium is observed. Counter stained with Hematoxylin.

Secondary antibody only control : Used PBS instead of primary antibody, secondary antibody is Goat Anti-Rabbit IgG H&L (HRP) (ab97051) at 1/500 dilution.

Perform heat mediated antigen retrieval with Tris/EDTA buffer pH 9.0 before commencing with IHC staining protocol.

Immunohistochemistry (Formalin/PFA-fixed paraffin-embedded sections) - Anti-Integrin beta 4 antibody [EPR17517] (AB182120)
  • IHC-P

Supplier Data

Immunohistochemistry (Formalin/PFA-fixed paraffin-embedded sections) - Anti-Integrin beta 4 antibody [EPR17517] (AB182120)

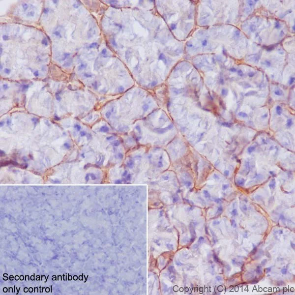
Immunohistochemical analysis of paraffin-embedded Human cervical carcinoma tissue labeling Integrin beta 4 with ab182120 at 1/250 dilution, followed by Goat Anti-Rabbit IgG H&L (HRP) (ab97051) secondary antibody at 1/500 dilution. Membrane and cytoplasm staining on Human cervical carcinoma is observed. Counter stained with Hematoxylin.

Secondary antibody only control : Used PBS instead of primary antibody, secondary antibody is Goat Anti-Rabbit IgG H&L (HRP) (ab97051) at 1/500 dilution.

Perform heat mediated antigen retrieval with Tris/EDTA buffer pH 9.0 before commencing with IHC staining protocol.

Immunohistochemistry (Formalin/PFA-fixed paraffin-embedded sections) - Anti-Integrin beta 4 antibody [EPR17517] (AB182120)
  • IHC-P

Supplier Data

Immunohistochemistry (Formalin/PFA-fixed paraffin-embedded sections) - Anti-Integrin beta 4 antibody [EPR17517] (AB182120)

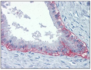
Immunohistochemical analysis of paraffin-embedded mouse pancreas tissue labeling Integrin beta 4 with ab182120 at 1/250 dilution, followed by Goat Anti-Rabbit IgG H&L (HRP) (ab97051) secondary antibody at 1/500 dilution. Cell junction staining on mouse pancreatic acinus is observed. Counter stained with Hematoxylin.

Secondary antibody only control : Used PBS instead of primary antibody, secondary antibody is Goat Anti-Rabbit IgG H&L (HRP) (ab97051) at 1/500 dilution.

Perform heat mediated antigen retrieval with Tris/EDTA buffer pH 9.0 before commencing with IHC staining protocol.

Western blot - Anti-Integrin beta 4 antibody [EPR17517] (AB182120)
  • WB

Unknown

Western blot - Anti-Integrin beta 4 antibody [EPR17517] (AB182120)

Blocking/Dilution buffer : 5% NFDM/TBST.

All lanes:

Western blot - Anti-Integrin beta 4 antibody [EPR17517] (ab182120) at 1/5000 dilution

All lanes:

SW480 (Human colon adenocarcinoma cell line) whole cell lysate at 10 µg

Secondary

All lanes:

Goat Anti-Rabbit IgG, (H+L),Peroxidase conjugated at 1/1000 dilution

Predicted band size: 202 kDa

Observed band size: 210 kDa

false

Exposure time: 5s

Western blot - Anti-Integrin beta 4 antibody [EPR17517] (AB182120)
  • WB

Lab

Western blot - Anti-Integrin beta 4 antibody [EPR17517] (AB182120)

Lane 1 : Wild-type HAP1 whole cell lysate (40 μg)
Lane 2 : ITGB4 knockout HAP1 whole cell lysate (40 μg)

Lanes 1 - 2 : Merged signal (red and green). Green - ab182120 observed at 240 kDa. Red - loading control, ab8245, observed at 37 kDa.

ab182120 was shown to specifically recognize ITGB4 in wild-type HAP1 cells alond with additional cross-reactive bands. No band was observed when ITGB4 knockout samples were used. Wild-type and ITGB4 knockout samples were subjected to SDS-PAGE. ab182120 and ab8245 (Mouse anti GAPDH loading control) were incubated overnight at 4°C at 1/1000 dilution and 1/30,000 dilution respectively. Blots were developed with Goat anti-Rabbit IgG H&L (IRDye® 800CW) preabsorbed ab216773 and Goat anti-Mouse IgG H&L (IRDye® 680RD) preabsorbed ab216776 secondary antibodies at 1/20,000 dilution for 1 hour at room temperature before imaging.

All lanes:

Western blot - Anti-Integrin beta 4 antibody [EPR17517] (ab182120)

Predicted band size: 202 kDa

false

Western blot - Anti-Integrin beta 4 antibody [EPR17517] (AB182120)
  • WB

Lab

Western blot - Anti-Integrin beta 4 antibody [EPR17517] (AB182120)

Western blot : Anti-ITGB4 antibody [EPR17517] (ab182120) staining at 1/1000 dilution, shown in green; Mouse anti-CANX [CANX/1543] (ab238078) loading control staining at 1/20000 dilution, shown in magenta. In Western blot, ab182120 was shown to bind specifically to ITGB4. A band was observed at 200 kDa in wild-type A549 cell lysates with no signal observed at this size in ITGB4 knockout cell line. To generate this image, wild-type and ITGB4 knockout A549 cell lysates were analysed. First, samples were run on an SDS-PAGE gel then transferred onto a nitrocellulose membrane. Membranes were blocked in 3 % milk in TBS-0.1 % Tween® 20 (TBS-T) before incubation with primary antibodies overnight at 4 °C. Blots were washed four times in TBS-T, incubated with secondary antibodies for 1 h at room temperature, washed again four times then imaged. Secondary antibodies used were Goat anti-Rabbit IgG H&L 800CW and Goat anti-Mouse IgG H&L 680RD at 1/20000 dilution.

All lanes:

Western blot - Anti-Integrin beta 4 antibody [EPR17517] (ab182120) at 1/1000 dilution

Lane 1:

Wild-type A549 cell lysate at 40 µg

Lane 2:

ITGB4 knockout A549 cell lysate at 40 µg

Secondary

All lanes:

Goat anti-Rabbit IgG H&L 800CW and Goat anti-Mouse IgG H&L 680RD at 1/20000 dilution

Observed band size: 200 kDa

false

Western blot - Anti-Integrin beta 4 antibody [EPR17517] (AB182120)
  • WB

Supplier Data

Western blot - Anti-Integrin beta 4 antibody [EPR17517] (AB182120)

Blocking/Dilution buffer : 5% NFDM/TBST.

All lanes:

Western blot - Anti-Integrin beta 4 antibody [EPR17517] (ab182120) at 1/20000 dilution

All lanes:

Human skin lysate at 10 µg

Secondary

All lanes:

Anti-Rabbit IgG (HRP), specific to the non-reduced form of IgG at 1/1000 dilution

Predicted band size: 202 kDa

Observed band size: 210 kDa

false

Exposure time: 30s

Western blot - Anti-Integrin beta 4 antibody [EPR17517] (AB182120)
  • WB

Supplier Data

Western blot - Anti-Integrin beta 4 antibody [EPR17517] (AB182120)

Blocking/Dilution buffer : 5% NFDM/TBST.

All lanes:

Western blot - Anti-Integrin beta 4 antibody [EPR17517] (ab182120) at 1/1000 dilution

All lanes:

Human pancreas lysate at 10 µg

Secondary

All lanes:

Anti-Rabbit IgG (HRP), specific to the non-reduced form of IgG at 1/1000 dilution

Predicted band size: 202 kDa

Observed band size: 210 kDa

false

Exposure time: 30s

Western blot - Anti-Integrin beta 4 antibody [EPR17517] (AB182120)
  • WB

Supplier Data

Western blot - Anti-Integrin beta 4 antibody [EPR17517] (AB182120)

Blocking/Dilution buffer : 5% NFDM/TBST.

All lanes:

Western blot - Anti-Integrin beta 4 antibody [EPR17517] (ab182120) at 1/1000 dilution

All lanes:

BxPC-3 (Human pancreas adenocarcinoma cells) whole cell lysate at 10 µg

Secondary

All lanes:

Goat Anti-Rabbit IgG, (H+L),Peroxidase conjugated at 1/1000 dilution

Predicted band size: 202 kDa

Observed band size: 210 kDa

false

Exposure time: 1s

Western blot - Anti-Integrin beta 4 antibody [EPR17517] (AB182120)
  • WB

Supplier Data

Western blot - Anti-Integrin beta 4 antibody [EPR17517] (AB182120)

Blocking/Dilution buffer : 5% NFDM/TBST.

All lanes:

Western blot - Anti-Integrin beta 4 antibody [EPR17517] (ab182120) at 1/1000 dilution

Lane 1:

Mouse pancreas lysate at 10 µg

Lane 2:

Mouse ovary lysate at 10 µg

Secondary

All lanes:

Goat Anti-Rabbit IgG, (H+L),Peroxidase conjugated at 1/1000 dilution

Predicted band size: 202 kDa

Observed band size: 210 kDa

false

Exposure time: 15s

Western blot - Anti-Integrin beta 4 antibody [EPR17517] (AB182120)
  • WB

Supplier Data

Western blot - Anti-Integrin beta 4 antibody [EPR17517] (AB182120)

Blocking/Dilution buffer : 5% NFDM/TBST.

All lanes:

Western blot - Anti-Integrin beta 4 antibody [EPR17517] (ab182120) at 1/1000 dilution

Lane 1:

Mouse spleen lysate at 10 µg

Lane 2:

Mouse kidney lysate at 10 µg

Secondary

All lanes:

Goat Anti-Rabbit IgG, (H+L),Peroxidase conjugated at 1/1000 dilution

Predicted band size: 202 kDa

Observed band size: 210 kDa

false

Exposure time: 3min

Western blot - Anti-Integrin beta 4 antibody [EPR17517] (AB182120)
  • WB

Supplier Data

Western blot - Anti-Integrin beta 4 antibody [EPR17517] (AB182120)

Blocking/Dilution buffer : 5% NFDM/TBST.

All lanes:

Western blot - Anti-Integrin beta 4 antibody [EPR17517] (ab182120) at 1/20000 dilution

All lanes:

Mouse skin lysate at 10 µg

Secondary

All lanes:

Goat Anti-Rabbit IgG, (H+L),Peroxidase conjugated at 1/1000 dilution

Predicted band size: 202 kDa

Observed band size: 210 kDa

false

Exposure time: 15s

不同偶联物与剂型 (3)

  • Carrier free

    Anti-Integrin beta 4 antibody [EPR17517] - BSA and Azide free

  • 665 Alexa Fluor® 647

    Alexa Fluor® 647 Anti-Integrin beta 4 antibody [EPR17517]

  • 519 Alexa Fluor® 488

    Alexa Fluor® 488 Anti-Integrin beta 4 antibody [EPR17517]

关键信息

宿主种属

Rabbit

克隆

Monoclonal

克隆号

EPR17517

亚型

IgG

不含载体蛋白

No

反应种属

Mouse, Human

应用

IHC-P, WB

applications

免疫原

The exact immunogen used to generate this antibody is proprietary information.

反应性数据

{ "title": "Reactivity Data", "filters": { "stats": ["", "Species", "Dilution Info", "Notes"], "tabs": { "all-applications": {"fullname" : "All Applications", "shortname": "All Applications"}, "WB" : {"fullname" : "Western blot", "shortname":"WB"}, "IHCP" : {"fullname" : "Immunohistochemistry (Formalin/PFA-fixed paraffin-embedded sections)", "shortname":"IHC-P"} }, "product-promise": { "all": "all", "testedAndGuaranteed": "tested", "guaranteed": "expected", "predicted": "predicted", "notRecommended": "not-recommended" } }, "values": { "Human": { "WB-species-checked": "testedAndGuaranteed", "WB-species-dilution-info": "1/1000", "WB-species-notes": "<p></p>", "IHCP-species-checked": "testedAndGuaranteed", "IHCP-species-dilution-info": "1/250", "IHCP-species-notes": "<p></p> Perform heat-mediated antigen retrieval with Tris/EDTA buffer pH 9.0 before commencing with IHC staining protocol." }, "Mouse": { "WB-species-checked": "testedAndGuaranteed", "WB-species-dilution-info": "1/1000", "WB-species-notes": "<p></p>", "IHCP-species-checked": "testedAndGuaranteed", "IHCP-species-dilution-info": "1/250", "IHCP-species-notes": "<p></p> Perform heat-mediated antigen retrieval with Tris/EDTA buffer pH 9.0 before commencing with IHC staining protocol." } } }

产品详情

Patented technology
Our RabMAb® technology is a patented hybridoma-based technology for making rabbit monoclonal antibodies. For details on our patents, please refer to RabMAb® patents.

What are the advantages of a recombinant monoclonal antibody?
This product is a recombinant monoclonal antibody, which offers several advantages including:

  • - High batch-to-batch consistency and reproducibility
  • - Improved sensitivity and specificity
  • - Long-term security of supply
  • - Animal-free batch production

For more information, read more on recombinant antibodies.

性能和储存信息

形式
Liquid
纯化工艺
Affinity purification Protein A
存储溶液
Preservative: 0.01% Sodium azide Constituents: PBS, 40% Glycerol (glycerin, glycerine), 0.05% BSA
运输条件
Blue Ice
推荐的短期储存时间
1-2 weeks
推荐的短期储存条件
+4°C
推荐的长期储存条件
-20°C
分装信息
Upon delivery aliquot
储存信息
Avoid freeze / thaw cycle

补充信息

This supplementary information is collated from multiple sources and compiled automatically.

Integrin beta 4 also known as ITGB4 integrin ß4 or integrine beta 4 is a transmembrane protein that mechanically links the extracellular matrix to the intracellular cytoskeleton. This protein has a molecular mass of approximately 205 kDa. Integrin beta 4 primarily expresses in epithelial cells particularly those forming stratified and transitional epithelia. It partners with alpha 6 integrin to form the alpha 6 beta 4 integrin complex which plays a significant role in the formation and maintenance of hemidesmosomes.
Biological function summary

Integrin beta 4 is important for anchoring epithelial cells to the basement membrane stabilizing cell layers in tissues. It interacts with intermediate filaments through specific cytoplasmic proteins. The integrin beta 4 complex ensures structural integrity essential for maintaining the skin and mucosal barriers. Integrations with proteins like M126 are essential for strengthening these interactions safeguarding cellular stability and promoting wound healing.

Pathways

Integrin beta 4 is embedded in key signaling pathways that influence cell adhesion and migration. It participates prominently in the PI3K/AKT and RAS pathway collaborations facilitating signal transduction essential for cell growth and survival. Through these pathways integrin beta 4 interacts with proteins like IS200BPIRG1A linking extracellular cues to internal cellular responses.

Integrin beta 4 has associations with epidermolysis bullosa and various cancers. In epidermolysis bullosa mutations in integrin beta 4 impair hemidesmosomal function leading to skin fragility. In cancer integrin beta 4 overexpression or mislocalization contributes to tumor progression affecting cell invasion and metastasis. Its interactions with IS200BPIAG1A or related pathways highlight the protein’s influence on carcinogenic processes and potential as a therapeutic target.

产品实验方案

For this product, it's our understanding that no specific protocols are required. You can visit:

靶点信息

Integrin alpha-6/beta-4 is a receptor for laminin. Plays a critical structural role in the hemidesmosome of epithelial cells. Is required for the regulation of keratinocyte polarity and motility. ITGA6 : ITGB4 binds to NRG1 (via EGF domain) and this binding is essential for NRG1-ERBB signaling (PubMed : 20682778). ITGA6 : ITGB4 binds to IGF1 and this binding is essential for IGF1 signaling (PubMed : 22351760). ITGA6 : ITGB4 binds to IGF2 and this binding is essential for IGF2 signaling (PubMed : 28873464).
See full target information ITGB4

文献 (31)

Recent publications for all applications. Explore the full list and refine your search

Cancer cell international 25:253 PubMed40615856

2025

STIM1 signaling modulates invasive phenotypic plasticity by regulating calpain-dependent cleavage of integrin-β4 in nasopharyngeal carcinoma cells.

Applications

Unspecified application

Species

Unspecified reactive species

Weiming Deng,Wenlin Huang,Yujuan Huang,Lihong Huang,Linsong Ye,Fei Liu,Min Li,Jingjin Weng,Qian He,Jinyan Zhang,Shenhong Qu,Jiazhang Wei

Nature communications 16:5461 PubMed40595493

2025

Positional BMP signaling orchestrates villus length in the small intestine.

Applications

Unspecified application

Species

Unspecified reactive species

Xu Wang,Siqi Li,Yuan Liu,Xiangyu Kuang,Jianxin Chen,Pei Yu,Lianzheng Zhao,Ze Zhang,Meimei Huang,Liansheng Liu,Mengxian Zhang,Yalong Wang,Weizhi Ji,Jinsong Li,Lei Zhang,Ye-Guang Chen

Acta histochemica et cytochemica 58:9-18 PubMed40060360

2025

SETDB1-Mediated Chromatin Regulation in Intestinal Epithelial Cells During Intestinal Ischemia-Reperfusion Injury.

Applications

Unspecified application

Species

Unspecified reactive species

Kazuhiro Higuchi,Makoto Ikenoue,Takumi Ishizuka,Kengo Kai,Nobuyasu Takahashi,Toshiki Kubota,Shinichiro Shirouzu,Baljinnyam Lkham-Erdene,Kham Mo Aung,Michikazu Nakai,Akira Sawaguchi,Atsushi Nanashima,Yoshitaka Hishikawa

Cell & bioscience 15:15 PubMed39915800

2025

Plectin, a novel regulator in migration, invasion and adhesion of ovarian cancer.

Applications

Unspecified application

Species

Unspecified reactive species

Lanning Bai,Xueqian Qian,Hui Zhang,Yi Yuan,Xiaodong Cui,Min Cheng,Yangyang Han

Aging 16:7902-7914 PubMed38709270

2024

Improvement of skin wound healing by giant salamander skin mucus gel wrapped with bone marrow mesenchymal stem cells via affecting integrin family molecules.

Applications

Unspecified application

Species

Unspecified reactive species

Wei Li,Dayong Du,Yan Huang,Cui Xu,Yang Liu,Xiaohong Wu,Jie Yang,Zhipeng Liu,Jianxin Ma,Chaoji Huangfu

Journal of materials science. Materials in medicine 35:25 PubMed38635066

2024

Saliva exposure reduces gingival keratinocyte growth on TiO-coated titanium.

Applications

Unspecified application

Species

Unspecified reactive species

Sini Riivari,Nagat Areid,Elisa Närvä,Jaana Willberg,Timo Närhi

Scientific reports 14:8324 PubMed38594513

2024

A study on the significance of serine hydroxymethyl transferase expression and its role in bladder cancer.

Applications

Unspecified application

Species

Unspecified reactive species

Si-Wei Su,Xian Chen,Guang Wang,Pei Li,Tong-Xin Yang,Ke-Wei Fang,Jing Wu,Jiong-Ming Li

Experimental and therapeutic medicine 25:277 PubMed37206547

2023

SPTBN2 regulates endometroid ovarian cancer cell proliferation, invasion and migration via ITGB4‑mediated focal adhesion and ECM receptor signalling pathway.

Applications

Unspecified application

Species

Unspecified reactive species

La Yang,Yuanyuan Gu

Cancer gene therapy 30:414-423 PubMed36385523

2022

KCNF1 promotes lung cancer by modulating ITGB4 expression.

Applications

Unspecified application

Species

Unspecified reactive species

Ching-Yi Chen,Pei-Ying Wu,Michelle Van Scoyk,Stephanie A Simko,Chu-Fang Chou,Robert A Winn

Pediatric allergy and immunology : official publication of the European Society of Pediatric Allergy and Immunology 33:e13871 PubMed36282138

2022

ITGB4 deficiency induces DNA damage by downregulating HDAC1 in airway epithelial cells under stress stimulation.

Applications

Unspecified application

Species

Unspecified reactive species

Kun Xu,Ye Yao,Huijun Liu,Ming Yang,Lin Yuan,Xizi Du,Yu Yang,Ling Qin,Weijie Wang,Kai Zhou,Xinyu Wu,Chi Liu
View all publications

Abcam Product Promise

我们致力于为您的研究提供高质量的试剂,为您科研的每一步提供支持。若我们的产品未能达到预期性能,我们向您提供 Abcam Product Promise 保障。
详情请参阅我们的条款与条件。

Please note: All products are 'FOR RESEARCH USE ONLY. NOT FOR USE IN DIAGNOSTIC OR THERAPEUTIC PROCEDURES'.

For licensing inquiries, please contact partnerships@abcam.com