JavaScript is disabled in your browser. Please enable JavaScript to view this website.
AB243939

重组Anti-Integrin beta 3抗体[SP324] - BSA and Azide free

Anti-Integrin beta 3 antibody [SP324] - BSA and Azide free

Be the first to review this product! Submit a review

|

(1 Publication)

Rabbit Recombinant Monoclonal Integrin beta 3 antibody. Carrier free. Suitable for WB, IHC-P and reacts with Human samples. Cited in 1 publication.

查看别名

CD61, GP3A, ITGB3, Integrin beta-3, Platelet membrane glycoprotein IIIa, GPIIIa

2 Images
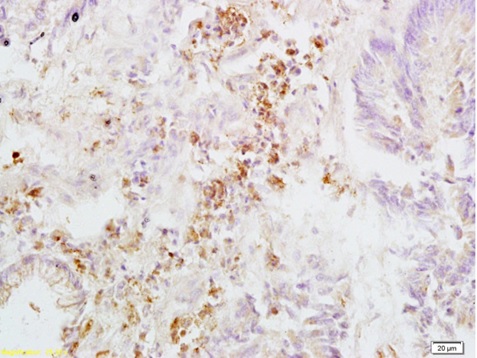
Immunohistochemistry (Formalin/PFA-fixed paraffin-embedded sections) - Anti-Integrin beta 3 antibody [SP324] - BSA and Azide free (AB243939)
  • IHC-P

Supplier Data

Immunohistochemistry (Formalin/PFA-fixed paraffin-embedded sections) - Anti-Integrin beta 3 antibody [SP324] - BSA and Azide free (AB243939)

Formalin-fixed, paraffin-embedded human bone marrow tissue stained for Integrin beta 3 using ab227702 at 1/100 dilution in immunohistochemical analysis.

This data was developed using the same antibody clone in a different buffer formulation containing PBS, BSA, and sodium azide (ab227702).

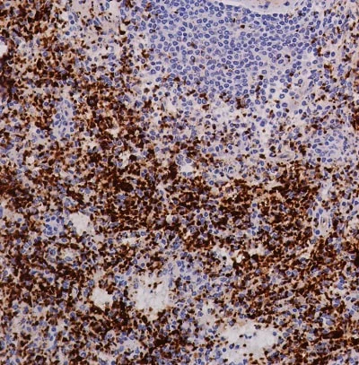
Immunohistochemistry (Formalin/PFA-fixed paraffin-embedded sections) - Anti-Integrin beta 3 antibody [SP324] - BSA and Azide free (AB243939)
  • IHC-P

Supplier Data

Immunohistochemistry (Formalin/PFA-fixed paraffin-embedded sections) - Anti-Integrin beta 3 antibody [SP324] - BSA and Azide free (AB243939)

Formalin-fixed, paraffin-embedded human spleen tissue stained for Integrin beta 3 using ab227702 at 1/100 dilution in immunohistochemical analysis.

This data was developed using the same antibody clone in a different buffer formulation containing PBS, BSA, and sodium azide (ab227702).

不同偶联物与剂型 (1)

关键信息

宿主种属

Rabbit

克隆

Monoclonal

克隆号

SP324

亚型

IgG

不含载体蛋白

Yes

反应种属

Human

应用

WB, IHC-P

applications

免疫原

The exact immunogen used to generate this antibody is proprietary information.

反应性数据

{ "title": "Reactivity Data", "filters": { "stats": ["", "Species", "Dilution Info", "Notes"], "tabs": { "all-applications": {"fullname" : "All Applications", "shortname": "All Applications"}, "WB" : {"fullname" : "Western blot", "shortname":"WB"}, "IHCP" : {"fullname" : "Immunohistochemistry (Formalin/PFA-fixed paraffin-embedded sections)", "shortname":"IHC-P"} }, "product-promise": { "all": "all", "testedAndGuaranteed": "tested", "guaranteed": "expected", "predicted": "predicted", "notRecommended": "not-recommended" } }, "values": { "Human": { "WB-species-checked": "testedAndGuaranteed", "WB-species-dilution-info": "", "WB-species-notes": "<p>Primary antibody incubation for 1 hour at room temperature.</p>", "IHCP-species-checked": "testedAndGuaranteed", "IHCP-species-dilution-info": "", "IHCP-species-notes": "<p>Perform heat mediated antigen retrieval with EDTA buffer pH 8.0 before commencing with IHC staining protocol.</p><p>Primary antibody incubation for 10 minutes at room temperature.</p>" }, "Mouse": { "WB-species-checked": "notRecommended", "WB-species-dilution-info": "", "WB-species-notes": "<p>Primary antibody incubation for 1 hour at room temperature.</p>", "IHCP-species-checked": "notRecommended", "IHCP-species-dilution-info": "", "IHCP-species-notes": "" } } }

产品详情

ab243939 is the carrier-free version of ab227702.

What are the advantages of a recombinant monoclonal antibody?
This product is a recombinant monoclonal antibody, which offers several advantages including:

  • - High batch-to-batch consistency and reproducibility
  • - Improved sensitivity and specificity
  • - Long-term security of supply
  • - Animal-free batch production

For more information, read more on recombinant antibodies.

Conjugation ready
Our carrier-free antibodies are typically supplied in a PBS-only formulation, purified and free of BSA, sodium azide and glycerol. This conjugation-ready format is designed for use with fluorochromes, metal isotopes, oligonucleotides, and enzymes, which makes them ideal for antibody labelling, functional and cell-based assays, flow-based assays (e.g. mass cytometry) and Multiplex Imaging applications.

Use our conjugation kits for antibody conjugates that are ready-to-use in as little as 20 minutes with 1 minute hands-on-time and 100% antibody recovery: available for fluorescent dyes, HRP, biotin and gold.

Compatibility
This product is compatible with the Maxpar® Antibody Labeling Kit from Fluidigm, without the need for antibody preparation. Maxpar® is a trademark of Fluidigm Canada Inc.

性能和储存信息

形式
Liquid
纯化工艺
Affinity purification Protein A/G
纯化说明
Purified from TCS by protein A/G.
存储溶液
pH: 7.2 - 7.4 Constituents: PBS
运输条件
Blue Ice
推荐的短期储存条件
+4°C
推荐的长期储存条件
+4°C
储存信息
Do Not Freeze

补充信息

This supplementary information is collated from multiple sources and compiled automatically.

Integrin beta 3 also known as ITGB3 beta 3 integrin or CD41/CD61 is a cell surface receptor that plays a role in cell adhesion and signal transduction. It is a member of the integrin family characterized by a heterodimer structure formed with an alpha subunit. This integrin has a molecular mass of approximately 88 kDa. Integrin beta 3 is expressed on platelets megakaryocytes and several other cell types such as endothelial cells and certain tumor cells.
Biological function summary

Integrins serve as the mechanical link between the extracellular matrix and the cytoskeleton. Beta 3 integrin forms a complex with different alpha subunits most notably alpha IIb to function as a receptor for fibrinogen fibronectin and vitronectin. This receptor complex is essential for platelet aggregation and normal hemostasis. Dysregulation can lead to altered cellular responses impacting processes like immune response and tumor progression.

Pathways

Integrin beta 3 participates in the signaling of outside-in and inside-out pathways that are fundamental in cellular dynamics. Of particular significance are the integrin-mediated signaling pathways and the TGF-beta signaling pathway which influence cellular proliferation and differentiation. Integrin beta 3 interacts with proteins such as talin and kindlin which are vital for activation and clustering of integrins during cell signaling processes.

Altered expression or function of integrin beta 3 is associated with bleeding disorders like Glanzmann's thrombasthenia where platelet aggregation is impaired. Additionally it plays a role in the progression of certain cancers due to its involvement in cell migration and invasion. The interaction of integrin beta 3 with proteins such as VEGF and MMPs is significant in the context of tumor angiogenesis and metastasis.

产品实验方案

For this product, it's our understanding that no specific protocols are required. You can visit:

靶点信息

Integrin alpha-V/beta-3 (ITGAV : ITGB3) is a receptor for cytotactin, fibronectin, laminin, matrix metalloproteinase-2, osteopontin, osteomodulin, prothrombin, thrombospondin, vitronectin and von Willebrand factor. Integrin alpha-IIb/beta-3 (ITGA2B : ITGB3) is a receptor for fibronectin, fibrinogen, plasminogen, prothrombin, thrombospondin and vitronectin. Integrins alpha-IIb/beta-3 and alpha-V/beta-3 recognize the sequence R-G-D in a wide array of ligands. Integrin alpha-IIb/beta-3 recognizes the sequence H-H-L-G-G-G-A-K-Q-A-G-D-V in fibrinogen gamma chain (By similarity). Following activation integrin alpha-IIb/beta-3 brings about platelet/platelet interaction through binding of soluble fibrinogen (PubMed : 9111081). This step leads to rapid platelet aggregation which physically plugs ruptured endothelial surface. Fibrinogen binding enhances SELP expression in activated platelets (By similarity). ITGAV : ITGB3 binds to fractalkine (CX3CL1) and acts as its coreceptor in CX3CR1-dependent fractalkine signaling (PubMed : 23125415, PubMed : 24789099). ITGAV : ITGB3 binds to NRG1 (via EGF domain) and this binding is essential for NRG1-ERBB signaling (PubMed : 20682778). ITGAV : ITGB3 binds to FGF1 and this binding is essential for FGF1 signaling (PubMed : 18441324). ITGAV : ITGB3 binds to FGF2 and this binding is essential for FGF2 signaling (PubMed : 28302677). ITGAV : ITGB3 binds to IGF1 and this binding is essential for IGF1 signaling (PubMed : 19578119). ITGAV : ITGB3 binds to IGF2 and this binding is essential for IGF2 signaling (PubMed : 28873464). ITGAV : ITGB3 binds to IL1B and this binding is essential for IL1B signaling (PubMed : 29030430). ITGAV : ITGB3 binds to PLA2G2A via a site (site 2) which is distinct from the classical ligand-binding site (site 1) and this induces integrin conformational changes and enhanced ligand binding to site 1 (PubMed : 18635536, PubMed : 25398877). ITGAV : ITGB3 acts as a receptor for fibrillin-1 (FBN1) and mediates R-G-D-dependent cell adhesion to FBN1 (PubMed : 12807887). In brain, plays a role in synaptic transmission and plasticity. Involved in the regulation of the serotonin neurotransmission, is required to localize to specific compartments within the synapse the serotonin receptor SLC6A4 and for an appropriate reuptake of serotonin. Controls excitatory synaptic strength by regulating GRIA2-containing AMPAR endocytosis, which affects AMPAR abundance and composition (By similarity). ITGAV : ITGB3 act as a receptor for CD40LG (PubMed : 31331973). ITGAV : ITGB3 acts as a receptor for IBSP and promotes cell adhesion and migration to IBSP (PubMed : 10640428).. (Microbial infection) Integrin ITGAV : ITGB3 acts as a receptor for Herpes virus 8/HHV-8.. (Microbial infection) Integrin ITGAV : ITGB3 acts as a receptor for Coxsackievirus A9.. (Microbial infection) Acts as a receptor for Hantaan virus.. (Microbial infection) Integrin ITGAV : ITGB3 acts as a receptor for Cytomegalovirus/HHV-5.. (Microbial infection) Integrin ITGA5 : ITGB3 acts as a receptor for Human metapneumovirus.. (Microbial infection) Integrin ITGAV : ITGB3 acts aP05556s a receptor for Human parechovirus 1.. (Microbial infection) Integrin ITGAV : ITGB3 acts as a receptor for West nile virus.. (Microbial infection) In case of HIV-1 infection, the interaction with extracellular viral Tat protein seems to enhance angiogenesis in Kaposi's sarcoma lesions.
See full target information ITGB3

文献 (1)

Recent publications for all applications. Explore the full list and refine your search

Journal of hematology & oncology 12:106 PubMed31640756

2019

MAGE-A1 in lung adenocarcinoma as a promising target of chimeric antigen receptor T cells.

Applications

Unspecified application

Species

Unspecified reactive species

Yuan Mao,Weifei Fan,Hao Hu,Louqian Zhang,Jerod Michel,Yaqin Wu,Jun Wang,Lizhou Jia,Xiaojun Tang,Li Xu,Yan Chen,Jin Zhu,Zhenqing Feng,Lin Xu,Rong Yin,Qi Tang
View all publications

Abcam Product Promise

我们致力于为您的研究提供高质量的试剂,为您科研的每一步提供支持。若我们的产品未能达到预期性能,我们向您提供 Abcam Product Promise 保障。
详情请参阅我们的条款与条件。

Please note: All products are 'FOR RESEARCH USE ONLY. NOT FOR USE IN DIAGNOSTIC OR THERAPEUTIC PROCEDURES'.

For licensing inquiries, please contact partnerships@abcam.com