JavaScript is disabled in your browser. Please enable JavaScript to view this website.
AB131055

Anti-Integrin alpha 3 抗体

Anti-Integrin alpha 3 antibody

3

(3 Reviews)

|

(20 Publications)

Rabbit Polyclonal Integrin alpha 3 antibody. Suitable for IHC-P, WB, ICC/IF, Flow Cyt and reacts with Human, Rat samples. Cited in 20 publications. Immunogen corresponding to Synthetic Peptide within Human ITGA3 aa 50-100.

查看别名

CD49c, MSK18, ITGA3, Integrin alpha-3, CD49 antigen-like family member C, FRP-2, Galactoprotein B3, VLA-3 subunit alpha, GAPB3

4 Images
Immunohistochemistry (Formalin/PFA-fixed paraffin-embedded sections) - Anti-Integrin alpha 3 antibody (AB131055)
  • IHC-P

Supplier Data

Immunohistochemistry (Formalin/PFA-fixed paraffin-embedded sections) - Anti-Integrin alpha 3 antibody (AB131055)

ITGA3 was detected in a paraffin-embedded section of human lung cancer tissue. Heat mediated antigen retrieval was performed in EDTA buffer (pH 8.0, epitope retrieval solution). The tissue section was blocked with 10% goat serum. The tissue section was then incubated with 2 µg/ml ab131055 overnight at 4°C. Peroxidase Conjugated Goat Anti-rabbit IgG was used as secondary antibody and incubated for 30 minutes at 37°C. The tissue section was developed using HRP Conjugated Rabbit IgG Super Vision Assay Kit with DAB as the chromogen.

Flow Cytometry - Anti-Integrin alpha 3 antibody (AB131055)
  • Flow Cyt

Supplier Data

Flow Cytometry - Anti-Integrin alpha 3 antibody (AB131055)

Flow Cytometry analysis of U87 cells using ab131055 (Blue). The cells were fixed with 4% paraformaldehyde and blocked with 10% normal goat serum. And then incubated with ab131055 1 µg/1x10^6 cells for 30 min at 20°C. DyLight®488 conjugated goat anti-rabbit IgG 5-10 µg/1x10^6 cells was used as secondary antibody for 30 minutes at 20°C. Isotype control antibody (Green) was rabbit IgG at 1 µg/1x10^6 used under the same conditions. Unlabelled sample (Red) was also used as a control.

Immunohistochemistry (Formalin/PFA-fixed paraffin-embedded sections) - Anti-Integrin alpha 3 antibody (AB131055)
  • IHC-P

Supplier Data

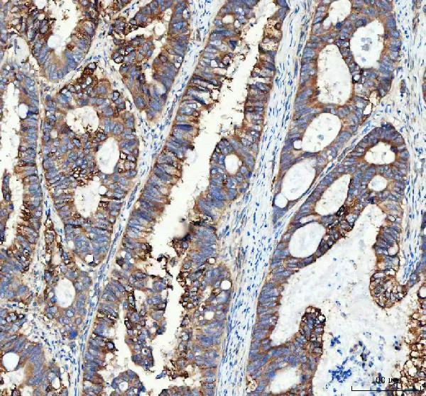
Immunohistochemistry (Formalin/PFA-fixed paraffin-embedded sections) - Anti-Integrin alpha 3 antibody (AB131055)

ITGA3 was detected in a paraffin-embedded section of human colorectal adenocarcinoma tissue. Heat mediated antigen retrieval was performed in EDTA buffer (pH 8.0, epitope retrieval solution). The tissue section was blocked with 10% goat serum. The tissue section was then incubated with 2 µg/ml ab131055 overnight at 4°C. Peroxidase Conjugated Goat Anti-rabbit IgG was used as secondary antibody and incubated for 30 minutes at 37°C. The tissue section was developed using HRP Conjugated Rabbit IgG Super Vision Assay Kit with DAB as the chromogen.

Western blot - Anti-Integrin alpha 3 antibody (AB131055)
  • WB

Supplier Data

Western blot - Anti-Integrin alpha 3 antibody (AB131055)

Electrophoresis was performed on a 5-20% SDS-PAGE gel at 70V (Stacking gel) / 90V (Resolving gel) for 2-3 hours. After electrophoresis, proteins were transferred to a nitrocellulose membrane at 150 mA for 50-90 minutes. Blocked the membrane with 5% non-fat milk/TBS for 1.5 hour at RT. The membrane was incubated with ab131055at 0.5 µg/mL overnight at 4°C, then washed with TBS-0.1%Tween 3 times with 5 minutes each and probed with a goat anti-rabbit IgG-HRP secondary antibody at a dilution of 1/5000 for 1.5 hour at RT. The signal is developed using an Enhanced Chemiluminescent detection (ECL) kit with Tanon 5200 system. A specific band was detected for ITGA3 at approximately 130 kDa. The expected band size for ITGA3 is at 117 kDa.

All lanes:

Western blot - Anti-Integrin alpha 3 antibody (ab131055) at 0.5 µg/mL

Lane 1:

human U87 whole cell lysates at 30 µg

Lane 2:

human A431 whole cell lysates at 30 µg

Lane 3:

human A549 whole cell lysates at 30 µg

Lane 4:

human U2OS whole cell lysates at 30 µg

Lane 5:

rat C6 whole cell lysates at 30 µg

Lane 6:

rat PC-12 whole cell lysates at 30 µg

Secondary

All lanes:

goat anti-rabbit IgG-HRP at 1/5000 dilution

true

关键信息

宿主种属

Rabbit

克隆

Polyclonal

亚型

IgG

不含载体蛋白

No

反应种属

Rat, Human

应用

ICC/IF, IHC-P, Flow Cyt, WB

applications

免疫原

Synthetic Peptide within Human ITGA3 aa 50-100. The exact immunogen used to generate this antibody is proprietary information.

P26006

反应性数据

{ "title": "Reactivity Data", "filters": { "stats": ["", "Species", "Dilution Info", "Notes"], "tabs": { "all-applications": {"fullname" : "All Applications", "shortname": "All Applications"}, "IHCP" : {"fullname" : "Immunohistochemistry (Formalin/PFA-fixed paraffin-embedded sections)", "shortname":"IHC-P"}, "WB" : {"fullname" : "Western blot", "shortname":"WB"}, "ICCIF" : {"fullname" : "Immunocytochemistry/ Immunofluorescence", "shortname":"ICC/IF"}, "FlowCyt" : {"fullname" : "Flow Cytometry", "shortname":"Flow Cyt"} }, "product-promise": { "all": "all", "testedAndGuaranteed": "tested", "guaranteed": "expected", "predicted": "predicted", "notRecommended": "not-recommended" } }, "values": { "Human": { "IHCP-species-checked": "testedAndGuaranteed", "IHCP-species-dilution-info": "2-5 µg/mL", "IHCP-species-notes": "<p></p> Perform heat-mediated antigen retrieval before commencing with IHC staining protocol.", "WB-species-checked": "testedAndGuaranteed", "WB-species-dilution-info": "0.1-0.5 µg/mL", "WB-species-notes": "<p></p>", "ICCIF-species-checked": "testedAndGuaranteed", "ICCIF-species-dilution-info": "5 µg/mL", "ICCIF-species-notes": "<p></p>", "FlowCyt-species-checked": "testedAndGuaranteed", "FlowCyt-species-dilution-info": "", "FlowCyt-species-notes": "<p></p>" }, "Mouse": { "IHCP-species-checked": "predicted", "IHCP-species-dilution-info": "", "IHCP-species-notes": "", "WB-species-checked": "predicted", "WB-species-dilution-info": "", "WB-species-notes": "", "ICCIF-species-checked": "predicted", "ICCIF-species-dilution-info": "", "ICCIF-species-notes": "", "FlowCyt-species-checked": "predicted", "FlowCyt-species-dilution-info": "", "FlowCyt-species-notes": "" }, "Rat": { "IHCP-species-checked": "guaranteed", "IHCP-species-dilution-info": "", "IHCP-species-notes": "", "WB-species-checked": "testedAndGuaranteed", "WB-species-dilution-info": "0.1-0.5 µg/mL", "WB-species-notes": "<p></p>", "ICCIF-species-checked": "guaranteed", "ICCIF-species-dilution-info": "", "ICCIF-species-notes": "", "FlowCyt-species-checked": "guaranteed", "FlowCyt-species-dilution-info": "", "FlowCyt-species-notes": "" } } }

性能和储存信息

形式
Liquid
纯化工艺
Affinity purification Immunogen
存储溶液
Constituents: 76.92% Trehalose, 17.31% Sodium chloride, 3.85% Disodium hydrogenorthophosphate
运输条件
Blue Ice
推荐的短期储存时间
1-2 weeks
推荐的短期储存条件
+4°C
推荐的长期储存条件
-20°C
分装信息
Upon delivery aliquot

补充信息

This supplementary information is collated from multiple sources and compiled automatically.

Integrin alpha 3 also known as ITGA3 or alpha 3 is a protein that plays an important role in cell adhesion and signaling. It forms complexes with other integrins to mediate interactions between cells and the extracellular matrix. Integrin alpha 3 is a type I transmembrane protein with a molecular weight of approximately 120 kDa. This protein is primarily expressed in epithelial tissues including the skin kidneys and respiratory tract.
Biological function summary

Integrin alpha 3 functions as a cell surface receptor that helps regulate cell migration proliferation and differentiation. It is a part of the alpha-3-beta-1 integrin complex which interacts with extracellular proteins like laminin-5 and collagen. This interaction facilitates the transmission of signals from the outside to the inside of the cell affecting various cellular responses and activities.

Pathways

Integrin alpha 3 plays a significant role in the cell signaling and communication pathways. It is involved in the pathways like focal adhesion and MAPK signaling. In these pathways integrin alpha 3 interacts with other proteins such as paxillin and FAK (focal adhesion kinase) which are critical for the downstream signaling that regulates cell shape and movement.

Integrin alpha 3 is linked to conditions like skin blistering diseases and cancers particularly those affecting the epithelial tissues. Alterations in integrin alpha 3 expression or function can disturb cell adhesion leading to diseases like epidermolysis bullosa. Additionally in cancer integrin alpha 3 often collaborates with proteins like MMP-9 to promote tumor invasion and metastasis.

产品实验方案

For this product, it's our understanding that no specific protocols are required. You can visit:

靶点信息

Integrin alpha-3/beta-1 is a receptor for fibronectin, laminin, collagen, epiligrin, thrombospondin and CSPG4. Integrin alpha-3/beta-1 provides a docking site for FAP (seprase) at invadopodia plasma membranes in a collagen-dependent manner and hence may participate in the adhesion, formation of invadopodia and matrix degradation processes, promoting cell invasion. Alpha-3/beta-1 may mediate with LGALS3 the stimulation by CSPG4 of endothelial cells migration.. (Microbial infection) Integrin ITGA3 : ITGB1 may act as a receptor for R.delemar CotH7 in alveolar epithelial cells, which may be an early step in pulmonary mucormycosis disease progression.
See full target information ITGA3

文献 (20)

Recent publications for all applications. Explore the full list and refine your search

Molecular medicine reports 31: PubMed39450567

2024

S100A16 stabilizes the ITGA3‑mediated ECM‑receptor interaction pathway to drive the malignant properties of lung adenocarcinoma cells via binding MOV10.

Applications

Unspecified application

Species

Unspecified reactive species

Lianren Yang,Ajuan Shen,Rujun Wang,Zhihui Zheng

Aging 16:7902-7914 PubMed38709270

2024

Improvement of skin wound healing by giant salamander skin mucus gel wrapped with bone marrow mesenchymal stem cells via affecting integrin family molecules.

Applications

Unspecified application

Species

Unspecified reactive species

Wei Li,Dayong Du,Yan Huang,Cui Xu,Yang Liu,Xiaohong Wu,Jie Yang,Zhipeng Liu,Jianxin Ma,Chaoji Huangfu

BMC cancer 24:559 PubMed38702644

2024

MUC1 promotes cervical squamous cell carcinoma through ERK phosphorylation-mediated regulation of ITGA2/ITGA3.

Applications

Unspecified application

Species

Unspecified reactive species

Aiqin Zhao,Yunzhi Pan,Yingyin Gao,Zheng Zhi,Haiying Lu,Bei Dong,Xuan Zhang,Meiying Wu,Fenxia Zhu,Sufang Zhou,Sai Ma

Cancer cell 41:1480-1497.e9 PubMed37451272

2023

Tissue factor is a critical regulator of radiation therapy-induced glioblastoma remodeling.

Applications

Unspecified application

Species

Unspecified reactive species

Hye-Min Jeon,Jeong-Yub Kim,Hee Jin Cho,Won Jun Lee,Dayna Nguyen,Sung Soo Kim,Young Taek Oh,Hee-Jin Kim,Chan-Woong Jung,Gonzalo Pinero,Tanvi Joshi,Dolores Hambardzumyan,Takuya Sakaguchi,Christopher G Hubert,Thomas M McIntyre,Howard A Fine,Candece L Gladson,Bingcheng Wang,Benjamin W Purow,Jong Bae Park,Myung Jin Park,Do-Hyun Nam,Jeongwu Lee

International journal of molecular sciences 24: PubMed37373142

2023

VAX014, an Oncolytic Therapy, Reduces Adenomas and Modifies Colon Microenvironment in Mouse Model of CRC.

Applications

Unspecified application

Species

Unspecified reactive species

Shea F Grenier,Mohammad W Khan,Katherine A Reil,Savannah Sawaged,Shingo Tsuji,Matthew J Giacalone,Mengxi Tian,Kathleen L McGuire

Nature communications 13:4268 PubMed35879332

2022

Integrin α3β1 promotes vessel formation of glioblastoma-associated endothelial cells through calcium-mediated macropinocytosis and lysosomal exocytosis.

Applications

Unspecified application

Species

Unspecified reactive species

Eunnyung Bae,Ping Huang,Gaёlle Müller-Greven,Dolores Hambardzumyan,Andrew Edward Sloan,Amy S Nowacki,Nicholas Marko,Cathleen R Carlin,Candece L Gladson

Oncology letters 24:271 PubMed35782901

2022

Silencing of integrin subunit α3 inhibits the proliferation, invasion, migration and autophagy of esophageal squamous cell carcinoma cells.

Applications

Unspecified application

Species

Unspecified reactive species

Jin Du,Yang Zhao,Dinghui Hu,Hang Li,Lei Gao,Zuntao Liu,Kaihu Shi

Gut and liver 17:412-429 PubMed35686504

2022

TCN1 Deficiency Inhibits the Malignancy of Colorectal Cancer Cells by Regulating the ITGB4 Pathway.

Applications

Unspecified application

Species

Unspecified reactive species

Xinqiang Zhu,Xuetong Jiang,Qinglin Zhang,Hailong Huang,Xiaohong Shi,Daorong Hou,Chungen Xing

Computational and mathematical methods in medicine 2021:9181941 PubMed34938358

2021

miRNA-144-5p/ITGA3 Suppressed the Tumor-Promoting Behaviors of Thyroid Cancer Cells by Downregulating ITGA3.

Applications

Unspecified application

Species

Unspecified reactive species

Jizong Zhang,Yan Zhong,Yiming Sang,Guanghui Ren

Acta pharmacologica Sinica 43:1544-1555 PubMed34426644

2021

Osthole inhibits the migration and invasion of highly metastatic breast cancer cells by suppressing ITGα3/ITGβ5 signaling.

Applications

Unspecified application

Species

Unspecified reactive species

Yue-Qiang Chen,Hai-Yan Song,Zhong-Yan Zhou,Jiao Ma,Zhan-Yang Luo,Ying Zhou,Jian-Yi Wang,Sheng Liu,Xiang-Hui Han
View all publications

Abcam Product Promise

我们致力于为您的研究提供高质量的试剂,为您科研的每一步提供支持。若我们的产品未能达到预期性能,我们向您提供 Abcam Product Promise 保障。
详情请参阅我们的条款与条件。

Please note: All products are 'FOR RESEARCH USE ONLY. NOT FOR USE IN DIAGNOSTIC OR THERAPEUTIC PROCEDURES'.

For licensing inquiries, please contact partnerships@abcam.com