JavaScript is disabled in your browser. Please enable JavaScript to view this website.
AB221214

重组Anti-Integrin alpha 2抗体[EPR5788] - Low endotoxin,Azide free

Anti-Integrin alpha 2 antibody [EPR5788] - Low endotoxin, Azide free

Be the first to review this product! Submit a review

|

(5 Publications)

Rabbit Recombinant Monoclonal Integrin alpha 2 antibody. Carrier free. Suitable for IHC-P, WB and reacts with Human, Mouse samples. Cited in 5 publications.

查看别名

CD49b, CD49B, ITGA2, Integrin alpha-2, CD49 antigen-like family member B, Collagen receptor, Platelet membrane glycoprotein Ia, VLA-2 subunit alpha, GPIa

5 Images
Flow Cytometry (Intracellular) - Anti-Integrin alpha 2 antibody [EPR5788] - Low endotoxin, Azide free (AB221214)
  • Flow Cyt (Intra)

Lab

Flow Cytometry (Intracellular) - Anti-Integrin alpha 2 antibody [EPR5788] - Low endotoxin, Azide free (AB221214)

Intracellular Flow Cytometry analysis of A549 cells labelling Integrin alpha 2 with purified ab133557 at 1/60 (red). Cells were fixed with 2% paraformaldehyde. A FITC-conjugated goat anti-rabbit IgG (1/150) was used as the secondary antibody. Black - Isotype control, rabbit monoclonal IgG. Blue - Unlabelled control, cells without incubation with primary and secondary antibodies.

This data was developed using the same antibody clone in a different buffer formulation containing PBS, BSA, glycerol, and sodium azide (ab133557).

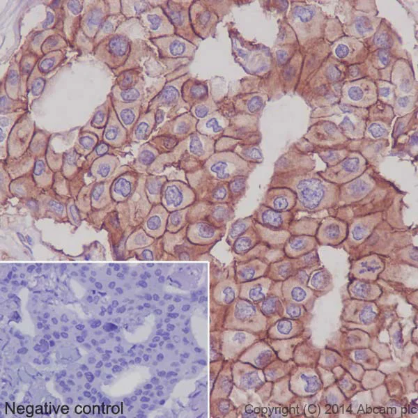
Immunohistochemistry (Formalin/PFA-fixed paraffin-embedded sections) - Anti-Integrin alpha 2 antibody [EPR5788] - Low endotoxin, Azide free (AB221214)
  • IHC-P

Lab

Immunohistochemistry (Formalin/PFA-fixed paraffin-embedded sections) - Anti-Integrin alpha 2 antibody [EPR5788] - Low endotoxin, Azide free (AB221214)

Immunohistochemistry (Formalin/PFA-fixed paraffin-embedded sections) analysis of human breast carcinoma tissue labelling Integrin alpha 2 with purified ab133557 at 1/500. Heat mediated antigen retrieval was performed using Tris/EDTA buffer pH 9. ab97051 a HRP-conjugated goat anti-rabbit IgG (H+L) was used as the secondary antibody (1/500). Negative control using PBS instead of primary antibody. Counterstained with hematoxylin.

This data was developed using the same antibody clone in a different buffer formulation containing PBS BSA glycerol and sodium azide (ab133557).

Flow Cytometry (Intracellular) - Anti-Integrin alpha 2 antibody [EPR5788] - Low endotoxin, Azide free (AB221214)
  • Flow Cyt (Intra)

Unknown

Flow Cytometry (Intracellular) - Anti-Integrin alpha 2 antibody [EPR5788] - Low endotoxin, Azide free (AB221214)

Overlay histogram showing A431 cells stained with unpurified ab133557 (red line). The cells were fixed with 80% methanol (5 min) and then permeabilized with 0.1% PBS-Tween for 20 min. The cells were then incubated in 1x PBS / 10% normal goat serum / 0.3M glycine to block non-specific protein-protein interactions followed by the antibody (ab133557, 1/1000 dilution) for 30 min at 22°C. The secondary antibody used was a goat anti-rabbit Alexa Fluor® 488 (IgG; H&L) (ab150077) at 1/2000 dilution for 30 min at 22°C. Isotype control antibody (black line) was rabbit IgG (monoclonal) (0.1μg/1x106 cells) used under the same conditions. Unlabelled sample (blue line) was also used as a control. Acquisition of >5,000 events were collected using a 20mW Argon ion laser (488nm) and 525/30 bandpass filter.

This data was developed using the same antibody clone in a different buffer formulation containing PBS, BSA, glycerol, and sodium azide (ab133557).

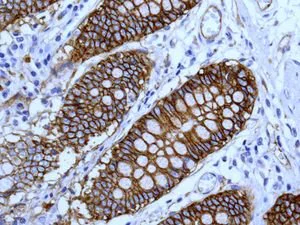
Immunohistochemistry (Formalin/PFA-fixed paraffin-embedded sections) - Anti-Integrin alpha 2 antibody [EPR5788] - Low endotoxin, Azide free (AB221214)
  • IHC-P

Unknown

Immunohistochemistry (Formalin/PFA-fixed paraffin-embedded sections) - Anti-Integrin alpha 2 antibody [EPR5788] - Low endotoxin, Azide free (AB221214)

Immunohistochemistry (Formalin/PFA-fixed paraffin-embedded sections) analysis of human colon tissue labelling Integrin alpha 2 with unpurified ab133557 at 1/250.

This data was developed using the same antibody clone in a different buffer formulation containing PBS BSA glycerol and sodium azide (ab133557).

Perform heat mediated antigen retrieval before commencing with IHC staining protocol.

OI-RD Scanning - Anti-Integrin alpha 2 antibody [EPR5788] - Low endotoxin, Azide free (AB221214)
  • OI-RD Scanning

Unknown

OI-RD Scanning - Anti-Integrin alpha 2 antibody [EPR5788] - Low endotoxin, Azide free (AB221214)

We have systematically measured KD (the equilibrium dissociation constant between the antibody and its antigen), of more than 840 recombinant antibodies to assess not only their individual KD values but also to see the average affinity of antibody. Based on the comparison with published literature values for mouse monoclonal antibodies, Recombinant antibodies appear to be on average 1-2 order of magnitude higher affinity.

关键信息

宿主种属

Rabbit

克隆

Monoclonal

克隆号

EPR5788

亚型

IgG

不含载体蛋白

Yes

反应种属

Mouse, Human

应用

IHC-P, WB

applications

免疫原

The exact immunogen used to generate this antibody is proprietary information.

反应性数据

{ "title": "Reactivity Data", "filters": { "stats": ["", "Species", "Dilution Info", "Notes"], "tabs": { "all-applications": {"fullname" : "All Applications", "shortname": "All Applications"}, "IHCP" : {"fullname" : "Immunohistochemistry (Formalin/PFA-fixed paraffin-embedded sections)", "shortname":"IHC-P"}, "WB" : {"fullname" : "Western blot", "shortname":"WB"}, "ICCIF" : {"fullname" : "Immunocytochemistry/ Immunofluorescence", "shortname":"ICC/IF"}, "FlowCytIntra" : {"fullname" : "Flow Cytometry (Intracellular)", "shortname":"Flow Cyt (Intra)"} }, "product-promise": { "all": "all", "testedAndGuaranteed": "tested", "guaranteed": "expected", "predicted": "predicted", "notRecommended": "not-recommended" } }, "values": { "Human": { "IHCP-species-checked": "testedAndGuaranteed", "IHCP-species-dilution-info": "", "IHCP-species-notes": "<p></p>", "WB-species-checked": "testedAndGuaranteed", "WB-species-dilution-info": "", "WB-species-notes": "<p></p>", "ICCIF-species-checked": "notRecommended", "ICCIF-species-dilution-info": "", "ICCIF-species-notes": "<p></p>", "FlowCytIntra-species-checked": "notRecommended", "FlowCytIntra-species-dilution-info": "", "FlowCytIntra-species-notes": "<p><a href='/products/primary-antibodies/rabbit-igg-monoclonal-epr25a-isotype-control-low-endotoxin-azide-free-ab199376'>ab199376</a> - Rabbit monoclonal IgG, is suitable for use as an isotype control with this antibody.</p>" }, "Mouse": { "IHCP-species-checked": "guaranteed", "IHCP-species-dilution-info": "", "IHCP-species-notes": "", "WB-species-checked": "testedAndGuaranteed", "WB-species-dilution-info": "", "WB-species-notes": "<p></p>", "ICCIF-species-checked": "notRecommended", "ICCIF-species-dilution-info": "", "ICCIF-species-notes": "<p></p>", "FlowCytIntra-species-checked": "notRecommended", "FlowCytIntra-species-dilution-info": "", "FlowCytIntra-species-notes": "<p><a href='/products/primary-antibodies/rabbit-igg-monoclonal-epr25a-isotype-control-low-endotoxin-azide-free-ab199376'>ab199376</a> - Rabbit monoclonal IgG, is suitable for use as an isotype control with this antibody.</p>" } } }

产品详情

ab221214 is the carrier-free version of ab133557.

Patented technology
Our RabMAb® technology is a patented hybridoma-based technology for making rabbit monoclonal antibodies. For details on our patents, please refer to RabMAb® patents.

What are the advantages of a recombinant monoclonal antibody?
This product is a recombinant monoclonal antibody, which offers several advantages including:

  • - High batch-to-batch consistency and reproducibility
  • - Improved sensitivity and specificity
  • - Long-term security of supply
  • - Animal-free batch production

For more information, read more on recombinant antibodies.

Species reactivity
Rat: We have preliminary internal testing data to indicate this antibody may not react with this species.
Please contact us for more information.

Conjugation ready
Our carrier-free antibodies are typically supplied in a PBS-only formulation, purified and free of BSA, sodium azide and glycerol. This conjugation-ready format is designed for use with fluorochromes, metal isotopes, oligonucleotides, and enzymes, which makes them ideal for antibody labelling, functional and cell-based assays, flow-based assays (e.g. mass cytometry) and Multiplex Imaging applications.

Use our conjugation kits for antibody conjugates that are ready-to-use in as little as 20 minutes with 1 minute hands-on-time and 100% antibody recovery: available for fluorescent dyes, HRP, biotin and gold.

What does low endotoxin mean?
Our low endotoxin, azide-free formats have low endotoxin level (1 EU/mg, determined by the TAL assay) and are free from azide, to achieve consistent experimental results in functional assays.

性能和储存信息

形式
Liquid
纯化工艺
Affinity purification Protein A
存储溶液
pH: 7.2 - 7.4 Constituents: PBS
运输条件
Blue Ice
推荐的短期储存条件
+4°C
推荐的长期储存条件
+4°C
储存信息
Do Not Freeze

补充信息

This supplementary information is collated from multiple sources and compiled automatically.

Integrin alpha 2 also known as CD49b ITGA2 and A2 is a protein that functions as part of the integrin family. Integrins are transmembrane receptors that facilitate cell-extracellular matrix adhesion. Integrin alpha 2 has a molecular mass of approximately 130 kDa and is widely expressed in epithelial cells fibroblasts and platelets. This protein is important for mediating adhesion between cells and the extracellular matrix affecting cell signaling and behavior. Through this adhesion cells can communicate with their environment adjusting their functions accordingly.
Biological function summary

Integrin alpha 2 plays a significant role in cellular processes like migration and proliferation. It forms a heterodimer complex by pairing with the beta 1-integrin subunit contributing to its adhesive and signaling functions. This association enables the integrin alpha 2 complex to bind specific extracellular matrix components such as collagen and laminin. Through these interactions it regulates processes like wound healing and tissue remodeling and affects how cells respond to mechanical stress.

Pathways

Integrin alpha 2 is involved in major signaling routes that influence cell fate and movement. Notably it participates in the PI3K/AKT and MAPK pathways which are important for regulating cell growth and survival. It interacts with signaling proteins like focal adhesion kinase (FAK) and Src family kinases linking extracellular matrix changes to intracellular responses. These pathways help in transmitting signals that coordinate the cell's structural and functional adjustments in response to its surroundings.

Integrin alpha 2 has connections to cancer and fibrosis. In cancers its altered expression may contribute to tumor progression and metastasis often involving interactions with other integrins and matrix metalloproteinases that degrade extracellular components. In fibrosis excessive integrin alpha 2 activity can lead to abnormal tissue remodeling and scarring implicating its role alongside collagen-producing cells. Understanding these connections is vital for developing therapies targeting integrin-mediated pathways in these diseases.

产品实验方案

For this product, it's our understanding that no specific protocols are required. You can visit:

靶点信息

Integrin alpha-2/beta-1 is a receptor for laminin, collagen, collagen C-propeptides, fibronectin and E-cadherin. It recognizes the proline-hydroxylated sequence G-F-P-G-E-R in collagen. It is responsible for adhesion of platelets and other cells to collagens, modulation of collagen and collagenase gene expression, force generation and organization of newly synthesized extracellular matrix.. (Microbial infection) Integrin ITGA2 : ITGB1 acts as a receptor for Human rotavirus A.. (Microbial infection) Integrin ITGA2 : ITGB1 acts as a receptor for Human echoviruses 1 and 8.
See full target information ITGA2

文献 (5)

Recent publications for all applications. Explore the full list and refine your search

The American journal of pathology 186:2204-2219 PubMed27301358

2016

Cytochrome P450 1B1 Contributes to the Development of Angiotensin II-Induced Aortic Aneurysm in Male Apoe(-/-) Mice.

Applications

IHC

Species

Unspecified reactive species

Shyamala Thirunavukkarasu,Nayaab S Khan,Chi Young Song,Hafiz U Ghafoor,David D Brand,Frank J Gonzalez,Kafait U Malik

Cancer discovery 6:516-31 PubMed26811325

2016

Tumor Cell-Driven Extracellular Matrix Remodeling Drives Haptotaxis during Metastatic Progression.

Applications

Unspecified application

Species

Unspecified reactive species

Madeleine J Oudin,Oliver Jonas,Tatsiana Kosciuk,Liliane C Broye,Bruna C Guido,Jeff Wyckoff,Daisy Riquelme,John M Lamar,Sreeja B Asokan,Charlie Whittaker,Duanduan Ma,Robert Langer,Michael J Cima,Kari B Wisinski,Richard O Hynes,Douglas A Lauffenburger,Patricia J Keely,James E Bear,Frank B Gertler

Nature 527:329-35 PubMed26524530

2015

Tumour exosome integrins determine organotropic metastasis.

Applications

WB

Species

Human

Ayuko Hoshino,Bruno Costa-Silva,Tang-Long Shen,Goncalo Rodrigues,Ayako Hashimoto,Milica Tesic Mark,Henrik Molina,Shinji Kohsaka,Angela Di Giannatale,Sophia Ceder,Swarnima Singh,Caitlin Williams,Nadine Soplop,Kunihiro Uryu,Lindsay Pharmer,Tari King,Linda Bojmar,Alexander E Davies,Yonathan Ararso,Tuo Zhang,Haiying Zhang,Jonathan Hernandez,Joshua M Weiss,Vanessa D Dumont-Cole,Kimberly Kramer,Leonard H Wexler,Aru Narendran,Gary K Schwartz,John H Healey,Per Sandstrom,Knut Jørgen Labori,Elin H Kure,Paul M Grandgenett,Michael A Hollingsworth,Maria de Sousa,Sukhwinder Kaur,Maneesh Jain,Kavita Mallya,Surinder K Batra,William R Jarnagin,Mary S Brady,Oystein Fodstad,Volkmar Muller,Klaus Pantel,Andy J Minn,Mina J Bissell,Benjamin A Garcia,Yibin Kang,Vinagolu K Rajasekhar,Cyrus M Ghajar,Irina Matei,Hector Peinado,Jacqueline Bromberg,David Lyden

Nucleic acids research 42:13588-98 PubMed25414352

2014

Ets homologous factor regulates pathways controlling response to injury in airway epithelial cells.

Applications

WB

Species

Human

Sara L Fossum,Michael J Mutolo,Rui Yang,Hong Dang,Wanda K O'Neal,Michael R Knowles,Shih-Hsing Leir,Ann Harris

Molecular pharmaceutics 11:3904-14 PubMed25153169

2014

Evaluation of prognostic integrin α2β1 PET tracer and concurrent targeting delivery using focused ultrasound for brain glioma detection.

Applications

Unspecified application

Species

Unspecified reactive species

Yi-Hsiu Chung,Po-Hung Hsu,Chiun-Wei Huang,Wen-Chuan Hsieh,Feng-Ting Huang,Wen-Chi Chang,Han Chiu,Shih-Ting Hsu,Tzu-Chen Yen
View all publications

Abcam Product Promise

我们致力于为您的研究提供高质量的试剂,为您科研的每一步提供支持。若我们的产品未能达到预期性能,我们向您提供 Abcam Product Promise 保障。
详情请参阅我们的条款与条件。

Please note: All products are 'FOR RESEARCH USE ONLY. NOT FOR USE IN DIAGNOSTIC OR THERAPEUTIC PROCEDURES'.

For licensing inquiries, please contact partnerships@abcam.com