JavaScript is disabled in your browser. Please enable JavaScript to view this website.
AB133557

重组Anti-Integrin alpha 2抗体[EPR5788]

Anti-Integrin alpha 2 antibody [EPR5788]

5

(5 Reviews)

|

(54 Publications)

Anti-Integrin alpha 2 antibody [EPR5788] (ab133557) is a rabbit monoclonal antibody detecting Integrin alpha 2 in Western Blot, IHC-P. Suitable for Human, Mouse.

- KO validated for confirmed specificity
- Biophysical QC for unrivalled batch-batch consistency
- Over 50 publications

查看别名

CD49b, CD49B, ITGA2, Integrin alpha-2, CD49 antigen-like family member B, Collagen receptor, Platelet membrane glycoprotein Ia, VLA-2 subunit alpha, GPIa

10 Images
Western blot - Anti-Integrin alpha 2 antibody [EPR5788] (AB133557)
  • WB

Unknown

Western blot - Anti-Integrin alpha 2 antibody [EPR5788] (AB133557)

All lanes:

Western blot - Anti-Integrin alpha 2 antibody [EPR5788] (ab133557) at 1/10000 dilution

Lane 1:

T47D lysate at 10 µg

Lane 2:

293T lysate at 10 µg

Lane 3:

Human platelet lysate at 10 µg

Lane 4:

A431 lysate at 10 µg

Secondary

All lanes:

HRP labelled goat anti-rabbit at 1/2000 dilution

Predicted band size: 129 kDa

Observed band size: 150 kDa

false

Western blot - Anti-Integrin alpha 2 antibody [EPR5788] (AB133557)
  • WB

Lab

Western blot - Anti-Integrin alpha 2 antibody [EPR5788] (AB133557)

Blocking buffer and concentration : 5% NFDM/TBST.

Diluting buffer and concentration : 5% NFDM /TBST.

All lanes:

Western blot - Anti-Integrin alpha 2 antibody [EPR5788] (ab133557) at 1/10000 dilution

Lane 1:

T47-D cell lysate at 20 µg

Lane 2:

HEK293 cell lysate at 20 µg

Secondary

All lanes:

Peroxidase-conjugated goat anti-rabbit IgG (H+L) at 1/1000 dilution

Predicted band size: 129 kDa

Observed band size: 150 kDa

false

Western blot - Anti-Integrin alpha 2 antibody [EPR5788] (AB133557)
  • WB

Lab

Western blot - Anti-Integrin alpha 2 antibody [EPR5788] (AB133557)

Blocking buffer and concentration : 5% NFDM/TBST.

Diluting buffer and concentration : 5% NFDM /TBST.

All lanes:

Western blot - Anti-Integrin alpha 2 antibody [EPR5788] (ab133557) at 1/50000 dilution

All lanes:

A431 cell lysate at 20 µg

Secondary

All lanes:

Peroxidase-conjugated goat anti-rabbit IgG (H+L) at 1/1000 dilution

Predicted band size: 129 kDa,162 kDa

Observed band size: 150 kDa,162 kDa

false

Flow Cytometry (Intracellular) - Anti-Integrin alpha 2 antibody [EPR5788] (AB133557)
  • Flow Cyt (Intra)

Unknown

Flow Cytometry (Intracellular) - Anti-Integrin alpha 2 antibody [EPR5788] (AB133557)

Overlay histogram showing A431 cells stained with unpurified ab133557 (red line). The cells were fixed with 80% methanol (5 min) and then permeabilized with 0.1% PBS-Tween for 20 min. The cells were then incubated in 1x PBS / 10% normal goat serum / 0.3M glycine to block non-specific protein-protein interactions followed by the antibody (ab133557, 1/1000 dilution) for 30 min at 22°C. The secondary antibody used was a goat anti-rabbit Alexa Fluorr® 488 (IgG; H&L) (ab150077) at 1/2000 dilution for 30 min at 22°C. Isotype control antibody (black line) was rabbit IgG (monoclonal) (0.1μg/1x106 cells) used under the same conditions. Unlabelled sample (blue line) was also used as a control. Acquisition of >5,000 events were collected using a 20mW Argon ion laser (488nm) and 525/30 bandpass filter.

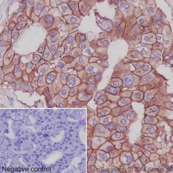
Immunohistochemistry (Formalin/PFA-fixed paraffin-embedded sections) - Anti-Integrin alpha 2 antibody [EPR5788] (AB133557)
  • IHC-P

Lab

Immunohistochemistry (Formalin/PFA-fixed paraffin-embedded sections) - Anti-Integrin alpha 2 antibody [EPR5788] (AB133557)

Immunohistochemistry (Formalin/PFA-fixed paraffin-embedded sections) analysis of human breast carcinoma tissue labelling Integrin alpha 2 with purified ab133557 at 1/500. Heat mediated antigen retrieval was performed using Tris/EDTA buffer pH 9. ab97051 a HRP-conjugated goat anti-rabbit IgG (H+L) was used as the secondary antibody (1/500). Negative control using PBS instead of primary antibody. Counterstained with hematoxylin.

Flow Cytometry (Intracellular) - Anti-Integrin alpha 2 antibody [EPR5788] (AB133557)
  • Flow Cyt (Intra)

Lab

Flow Cytometry (Intracellular) - Anti-Integrin alpha 2 antibody [EPR5788] (AB133557)

Intracellular Flow Cytometry analysis of A549 cells labelling Integrin alpha 2 with purified ab133557 at 1/60 (red). Cells were fixed with 2% paraformaldehyde. A FITC-conjugated goat anti-rabbit IgG (1/150) was used as the secondary antibody. Black - Isotype control, rabbit monoclonal IgG. Blue - Unlabelled control, cells without incubation with primary and secondary antibodies.

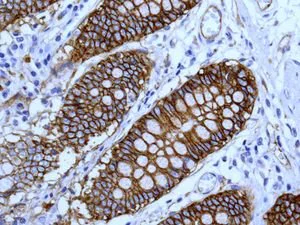
Immunohistochemistry (Formalin/PFA-fixed paraffin-embedded sections) - Anti-Integrin alpha 2 antibody [EPR5788] (AB133557)
  • IHC-P

Unknown

Immunohistochemistry (Formalin/PFA-fixed paraffin-embedded sections) - Anti-Integrin alpha 2 antibody [EPR5788] (AB133557)

Immunohistochemistry (Formalin/PFA-fixed paraffin-embedded sections) analysis of human colon tissue labelling Integrin alpha 2 with unpurified ab133557 at 1/250.

Perform heat mediated antigen retrieval before commencing with IHC staining protocol.

Western blot - Anti-Integrin alpha 2 antibody [EPR5788] (AB133557)
  • WB

Lab

Western blot - Anti-Integrin alpha 2 antibody [EPR5788] (AB133557)

Blocking buffer and concentration : 5% NFDM/TBST.

Diluting buffer and concentration : 5% NFDM /TBST.

All lanes:

Western blot - Anti-Integrin alpha 2 antibody [EPR5788] (ab133557) at 1/10000 dilution

All lanes:

Mouse spleen tissue lysate at 20 µg

Secondary

All lanes:

Peroxidase-conjugated goat anti-rabbit IgG (H+L) at 1/1000 dilution

Predicted band size: 129 kDa

Observed band size: 150 kDa

false

Western blot - Anti-Integrin alpha 2 antibody [EPR5788] (AB133557)
  • WB

Lab

Western blot - Anti-Integrin alpha 2 antibody [EPR5788] (AB133557)

Lane 1 : Wild-type HAP1 cell lysate (20 μg)
Lane 2 : Integrin alpha 2 knockout HAP1 cell lysate (20 μg)
Lane 3 : A431 cell lysate (20 μg)
Lane 4 : T47D cell lysate (20 μg)
Lanes 1 - 4 : Merged signal (red and green). Green - ab133557 observed at 165 kDa. Red - loading control, ab8245, observed at 37 kDa.

ab133557 was shown to specifically react with Integrin alpha 2 when Integrin alpha 2 knockout samples were used. Wild-type and Integrin alpha 2 knockout samples were subjected to SDS-PAGE. ab133557 and ab8245 (loading control to GAPDH) were diluted 1/10 000 and 1/2000 respectively and incubated overnight at 4°C. Blots were developed withGoat anti-Rabbit IgG H&L (IRDye® 800CW) preadsorbed (ab216773) and Goat anti-Mouse IgG H&L (IRDye® 680RD) preadsorbed (ab216776) secondary antibodies at 1/10,000 dilution for 1 h at room temperature before imaging.

All lanes:

Western blot - Anti-Integrin alpha 2 antibody [EPR5788] (ab133557)

Predicted band size: 129 kDa

false

OI-RD Scanning - Anti-Integrin alpha 2 antibody [EPR5788] (AB133557)
  • OI-RD Scanning

Unknown

OI-RD Scanning - Anti-Integrin alpha 2 antibody [EPR5788] (AB133557)

We have systematically measured KD (the equilibrium dissociation constant between the antibody and its antigen), of more than 840 recombinant antibodies to assess not only their individual KD values but also to see the average affinity of antibody. Based on the comparison with published literature values for mouse monoclonal antibodies, Recombinant antibodies appear to be on average 1-2 order of magnitude higher affinity.

不同偶联物与剂型 (8)

  • Carrier free

    Anti-Integrin alpha 2 antibody [EPR5788] - BSA and Azide free

  • 578 PE

    PE Anti-Integrin alpha 2 antibody [EPR5788]

  • 565 Alexa Fluor® 555

    Alexa Fluor® 555 Anti-Integrin alpha 2 antibody [EPR5788]

  • 660 APC

    APC Anti-Integrin alpha 2 antibody [EPR5788]

  • 617 Alexa Fluor® 594

    Alexa Fluor® 594 Anti-Integrin alpha 2 antibody [EPR5788]

  • 519 Alexa Fluor® 488

    Alexa Fluor® 488 Anti-Integrin alpha 2 antibody [EPR5788]

  • 665 Alexa Fluor® 647

    Alexa Fluor® 647 Anti-Integrin alpha 2 antibody [EPR5788]

  • 775 Alexa Fluor® 750

    Alexa Fluor® 750 Anti-Integrin alpha 2 antibody [EPR5788]

关键信息

宿主种属

Rabbit

克隆

Monoclonal

克隆号

EPR5788

亚型

IgG

不含载体蛋白

No

反应种属

Mouse, Human

应用

IHC-P, WB

applications

免疫原

The exact immunogen used to generate this antibody is proprietary information.

反应性数据

{ "title": "Reactivity Data", "filters": { "stats": ["", "Species", "Dilution Info", "Notes"], "tabs": { "all-applications": {"fullname" : "All Applications", "shortname": "All Applications"}, "IHCP" : {"fullname" : "Immunohistochemistry (Formalin/PFA-fixed paraffin-embedded sections)", "shortname":"IHC-P"}, "WB" : {"fullname" : "Western blot", "shortname":"WB"}, "ICCIF" : {"fullname" : "Immunocytochemistry/ Immunofluorescence", "shortname":"ICC/IF"}, "FlowCytIntra" : {"fullname" : "Flow Cytometry (Intracellular)", "shortname":"Flow Cyt (Intra)"} }, "product-promise": { "all": "all", "testedAndGuaranteed": "tested", "guaranteed": "expected", "predicted": "predicted", "notRecommended": "not-recommended" } }, "values": { "Human": { "IHCP-species-checked": "testedAndGuaranteed", "IHCP-species-dilution-info": "1/250", "IHCP-species-notes": "<p></p>", "WB-species-checked": "testedAndGuaranteed", "WB-species-dilution-info": "1/10000 - 1/50000", "WB-species-notes": "<p></p>", "ICCIF-species-checked": "notRecommended", "ICCIF-species-dilution-info": "", "ICCIF-species-notes": "<p></p>", "FlowCytIntra-species-checked": "notRecommended", "FlowCytIntra-species-dilution-info": "1/10 - 1/1000", "FlowCytIntra-species-notes": "<p><a href='/products/primary-antibodies/rabbit-igg-monoclonal-epr25a-isotype-control-ab172730'>ab172730</a> - Rabbit monoclonal IgG, is suitable for use as an isotype control with this antibody.</p>" }, "Mouse": { "IHCP-species-checked": "guaranteed", "IHCP-species-dilution-info": "", "IHCP-species-notes": "", "WB-species-checked": "testedAndGuaranteed", "WB-species-dilution-info": "1/10000 - 1/50000", "WB-species-notes": "<p></p>", "ICCIF-species-checked": "notRecommended", "ICCIF-species-dilution-info": "", "ICCIF-species-notes": "<p></p>", "FlowCytIntra-species-checked": "notRecommended", "FlowCytIntra-species-dilution-info": "", "FlowCytIntra-species-notes": "" } } }

您可能对以下产品感兴趣:

AB323925

Human Integrin alpha 2 ELISA Kit

0

0 Reviews

查看产品
为什么推荐这个?

我们推荐这个产品,因为它经常被用于相同的实验或相关的研究。

我们建议您务必查阅产品说明书,以确认其是否符合您的实验需求;若有疑问,也可联系我们的技术团队获取协助。

产品详情

性能和储存信息

形式
Liquid
纯化工艺
Affinity purification Protein A
存储溶液
pH: 7.2 - 7.4 Preservative: 0.01% Sodium azide Constituents: 59% PBS, 40% Glycerol (glycerin, glycerine), 0.05% BSA
运输条件
Blue Ice
推荐的短期储存时间
1-2 weeks
推荐的短期储存条件
+4°C
推荐的长期储存条件
-20°C
分装信息
Upon delivery aliquot
储存信息
Stable for 12 months at -20°C

补充信息

This supplementary information is collated from multiple sources and compiled automatically.

Integrin alpha 2 also known as CD49b ITGA2 and A2 is a protein that functions as part of the integrin family. Integrins are transmembrane receptors that facilitate cell-extracellular matrix adhesion. Integrin alpha 2 has a molecular mass of approximately 130 kDa and is widely expressed in epithelial cells fibroblasts and platelets. This protein is important for mediating adhesion between cells and the extracellular matrix affecting cell signaling and behavior. Through this adhesion cells can communicate with their environment adjusting their functions accordingly.
Biological function summary

Integrin alpha 2 plays a significant role in cellular processes like migration and proliferation. It forms a heterodimer complex by pairing with the beta 1-integrin subunit contributing to its adhesive and signaling functions. This association enables the integrin alpha 2 complex to bind specific extracellular matrix components such as collagen and laminin. Through these interactions it regulates processes like wound healing and tissue remodeling and affects how cells respond to mechanical stress.

Pathways

Integrin alpha 2 is involved in major signaling routes that influence cell fate and movement. Notably it participates in the PI3K/AKT and MAPK pathways which are important for regulating cell growth and survival. It interacts with signaling proteins like focal adhesion kinase (FAK) and Src family kinases linking extracellular matrix changes to intracellular responses. These pathways help in transmitting signals that coordinate the cell's structural and functional adjustments in response to its surroundings.

Integrin alpha 2 has connections to cancer and fibrosis. In cancers its altered expression may contribute to tumor progression and metastasis often involving interactions with other integrins and matrix metalloproteinases that degrade extracellular components. In fibrosis excessive integrin alpha 2 activity can lead to abnormal tissue remodeling and scarring implicating its role alongside collagen-producing cells. Understanding these connections is vital for developing therapies targeting integrin-mediated pathways in these diseases.

产品实验方案

For this product, it's our understanding that no specific protocols are required. You can visit:

靶点信息

Integrin alpha-2/beta-1 is a receptor for laminin, collagen, collagen C-propeptides, fibronectin and E-cadherin. It recognizes the proline-hydroxylated sequence G-F-P-G-E-R in collagen. It is responsible for adhesion of platelets and other cells to collagens, modulation of collagen and collagenase gene expression, force generation and organization of newly synthesized extracellular matrix.. (Microbial infection) Integrin ITGA2 : ITGB1 acts as a receptor for Human rotavirus A.. (Microbial infection) Integrin ITGA2 : ITGB1 acts as a receptor for Human echoviruses 1 and 8.
See full target information ITGA2

文献 (54)

Recent publications for all applications. Explore the full list and refine your search

Advanced science (Weinheim, Baden-Wurttemberg, Germany) :e2205451 PubMed36373710

2022

Podocalyxin-Like Protein 1 Regulates Pluripotency through the Cholesterol Biosynthesis Pathway.

Applications

Unspecified application

Species

Unspecified reactive species

Wei-Ju Chen,Wei-Kai Huang,Sarshan R Pather,Wei-Fang Chang,Li-Ying Sung,Han-Chung Wu,Mei-Ying Liao,Chi-Chiu Lee,Hsuan-Hui Wu,Chung-Yi Wu,Kuo-Shiang Liao,Chun-Yu Lin,Shang-Chih Yang,Hsuan Lin,Pei-Lun Lai,Chi-Hou Ng,Chun-Mei Hu,I-Chih Chen,Chi-Hsuan Chuang,Chien-Ying Lai,Po-Yu Lin,Yueh-Chang Lee,Scott C Schuyler,Axel Schambach,Frank Leigh Lu,Jean Lu

Journal of oncology 2022:3347235 PubMed35799612

2022

Maslinic Acid Inhibits the Growth of Malignant Gliomas by Inducing Apoptosis via MAPK Signaling.

Applications

Unspecified application

Species

Unspecified reactive species

Yongqiang Wang,Hewei Zhang,Zusen Ye,Qiang Ye,Xuezhi Yang,Wei Mao,Ruoting Xu,Yanlei Zhang

Frontiers in oncology 12:840474 PubMed35719923

2022

Gene Coexpression Network Characterizing Microenvironmental Heterogeneity and Intercellular Communication in Pancreatic Ductal Adenocarcinoma: Implications of Prognostic Significance and Therapeutic Target.

Applications

Unspecified application

Species

Unspecified reactive species

Chengsi Wu,Yizhen Liu,Dianhui Wei,Li Tao,Lili Yuan,Tiantian Jing,Boshi Wang

Journal of experimental & clinical cancer research : CR 41:73 PubMed35193647

2022

Overexpressed integrin alpha 2 inhibits the activation of the transforming growth factor β pathway in pancreatic cancer via the TFCP2-SMAD2 axis.

Applications

Unspecified application

Species

Unspecified reactive species

Hongkun Cai,Feng Guo,Shuang Wen,Xin Jin,Heshui Wu,Dianyun Ren

Communications biology 5:106 PubMed35115660

2022

Carvedilol targets β-arrestins to rewire innate immunity and improve oncolytic adenoviral therapy.

Applications

Unspecified application

Species

Unspecified reactive species

Joseph I Hoare,Bleona Osmani,Emily A O'Sullivan,Ashley Browne,Nicola Campbell,Stephen Metcalf,Francesco Nicolini,Jayeta Saxena,Sarah A Martin,Michelle Lockley

Investigative ophthalmology & visual science 63:27 PubMed35060996

2022

Erianin Controls Collagen-Mediated Retinal Angiogenesis via the RhoA/ROCK1 Signaling Pathway Induced by the alpha2/beta1 Integrin-Collagen Interaction.

Applications

Unspecified application

Species

Unspecified reactive species

Xueke Li,Xiaoxue Liu,Yue Xing,Lingyan Zeng,Xin Liu,Huangxuan Shen,Jin Ma

Bioengineered 12:9909-9917 PubMed34860147

2021

MicroRNA miR-145-5p regulates cell proliferation and cell migration in colon cancer by inhibiting chemokine (C-X-C motif) ligand 1 and integrin α2.

Applications

Unspecified application

Species

Unspecified reactive species

Wei Zhuang,Tao Niu,Zhen Li

Aging 13:23308-23327 PubMed34637398

2021

Transcriptome and proteome analysis of the antitumor activity of maslinic acid against pancreatic cancer cells.

Applications

Unspecified application

Species

Unspecified reactive species

Hewei Zhang,Lijun Kong,Yan Zhang,Cheng Wang,Linxiao Sun

International journal of molecular sciences 22: PubMed34502547

2021

NK Cells Lose Their Cytotoxicity Function against Cancer Stem Cell-Rich Radiotherapy-Resistant Breast Cancer Cell Populations.

Applications

Unspecified application

Species

Unspecified reactive species

Hana Jin,Hye Jung Kim

STAR protocols 2:100625 PubMed34223199

2021

Ultracentrifugal separation, characterization, and functional study of extracellular vesicles derived from serum-free cell culture.

Applications

Unspecified application

Species

Unspecified reactive species

Hooi Ting Hu,Tamako Nishimura,Shiro Suetsugu
View all publications

Abcam Product Promise

我们致力于为您的研究提供高质量的试剂,为您科研的每一步提供支持。若我们的产品未能达到预期性能,我们向您提供 Abcam Product Promise 保障。
详情请参阅我们的条款与条件。

关联产品

Select an associated product type
Alternative Product
Primary Antibodies

AB10800

Anti-Integrin alpha 2 antibody [HAS-3]

primary-antibodies

integrin-alpha-2-antibody-has-3-ab10800

3

(4 reviews)

Alternative Product
Primary Antibodies

AB230470

PE Anti-Integrin alpha 2 antibody [AK7]

primary-antibodies

pe-integrin-alpha-2-antibody-ak7-ab230470

0

(0 reviews)

Alternative Product
Primary Antibodies

AB25493

PE Anti-Integrin alpha 2 antibody [DX5]

primary-antibodies

pe-integrin-alpha-2-antibody-dx5-ab25493

0

(0 reviews)

Alternative Product
Primary Antibodies

AB30486

FITC Anti-Integrin alpha 2 antibody [AK7]

primary-antibodies

fitc-integrin-alpha-2-antibody-ak7-ab30486

0

(0 reviews)

Alternative Product
Primary Antibodies

AB30487

Anti-Integrin alpha 2 antibody [AK7]

primary-antibodies

integrin-alpha-2-antibody-ak7-ab30487

0

(0 reviews)

Alternative Product
Primary Antibodies

AB208770

Alexa Fluor® 488 Anti-Integrin alpha 2 antibody [EPR17338] - C-terminal

primary-antibodies

alexa-fluor-488-integrin-alpha-2-antibody-epr17338-c-terminal-ab208770

0

(0 reviews)

Alternative Product
Primary Antibodies

AB210655

Alexa Fluor® 594 Anti-Integrin alpha 2 antibody [EPR17338] - C-terminal

primary-antibodies

alexa-fluor-594-integrin-alpha-2-antibody-epr17338-c-terminal-ab210655

0

(0 reviews)

Alternative Product
Primary Antibodies

AB209944

HRP Anti-Integrin alpha 2 antibody [EPR17338] - C-terminal

primary-antibodies

hrp-integrin-alpha-2-antibody-epr17338-c-terminal-ab209944

0

(0 reviews)

Alternative Product
Primary Antibodies

AB109432

Anti-Integrin alpha 2 antibody [EPR5789]

primary-antibodies

integrin-alpha-2-antibody-epr5789-ab109432

0

(0 reviews)

Alternative Product
Primary Antibodies

AB181549

Anti-Integrin alpha 2 antibody [EPR17349]

primary-antibodies

integrin-alpha-2-antibody-epr17349-ab181549

0

(0 reviews)

Alternative Product
Primary Antibodies

AB41460

APC Anti-Integrin alpha 2 antibody [DX5]

primary-antibodies

apc-integrin-alpha-2-antibody-dx5-ab41460

0

(0 reviews)

Alternative Product
Primary Antibodies

AB225284

PE Anti-Integrin alpha 2 antibody [EPR17338]

primary-antibodies

pe-integrin-alpha-2-antibody-epr17338-ab225284

0

(0 reviews)

Alternative Product
Primary Antibodies

AB209766

Alexa Fluor® 647 Anti-Integrin alpha 2 antibody [EPR17338] - C-terminal

primary-antibodies

alexa-fluor-647-integrin-alpha-2-antibody-epr17338-c-terminal-ab209766

0

(0 reviews)

Alternative Product
Primary Antibodies

AB181548

Anti-Integrin alpha 2 antibody [EPR17338] - C-terminal

primary-antibodies

integrin-alpha-2-antibody-epr17338-c-terminal-ab181548

5

(4 reviews)

Alternative Product
Primary Antibodies

AB222377

Anti-Integrin alpha 2 antibody [EPR17338] - Low endotoxin, Azide free

primary-antibodies

integrin-alpha-2-antibody-epr17338-low-endotoxin-azide-free-ab222377

0

(0 reviews)

Alternative Version
Primary Antibodies

AB221214

Anti-Integrin alpha 2 antibody [EPR5788] - Low endotoxin, Azide free

primary-antibodies

integrin-alpha-2-antibody-epr5788-low-endotoxin-azide-free-ab221214

0

(0 reviews)

Please note: All products are 'FOR RESEARCH USE ONLY. NOT FOR USE IN DIAGNOSTIC OR THERAPEUTIC PROCEDURES'.

For licensing inquiries, please contact partnerships@abcam.com