JavaScript is disabled in your browser. Please enable JavaScript to view this website.
AB181548

Anti-Integrin alpha 2 抗体 [EPR17338] - C-terminal

Anti-Integrin alpha 2 antibody [EPR17338] - C-terminal

  • RabMAb
  • Recombinant
  • KO Validated
  • 20ul selling size
  • 了解详情

5

(4 Reviews)

|

(39 Publications)

Anti-Integrin alpha 2 antibody [EPR17338] - C-terminal (ab181548) is a rabbit monoclonal antibody detecting Integrin alpha 2 in Western Blot, Flow Cytometry (Intra), Flow Cytometry, IP, IHC-P, ICC/IF. Suitable for Human, Mouse, Rat.

- KO validated for confirmed specificity
- Biophysical QC for unrivalled batch-batch consistency
- Over 20 publications

查看别名

CD49b, CD49B, ITGA2, Integrin alpha-2, CD49 antigen-like family member B, Collagen receptor, Platelet membrane glycoprotein Ia, VLA-2 subunit alpha, GPIa

14 Images
Immunocytochemistry/ Immunofluorescence - Anti-Integrin alpha 2 antibody [EPR17338] - C-terminal (AB181548)
  • ICC/IF

Lab

Immunocytochemistry/ Immunofluorescence - Anti-Integrin alpha 2 antibody [EPR17338] - C-terminal (AB181548)

Immunofluorescent analysis of 4% paraformaldehyde-fixed, 0.1% Triton X-100 permeabilized PC-3 (Human prostate adenocarcinoma cell line) cells labeling integrin alpha 2 with ab181548 at 1/100 dilution, followed by Goat anti-rabbit IAlexa Fluor® 488 (IgG) (ab150077) secondary antibody at 1/400 dilution (green). Confocal image showing membrane and weakly cytoplasmic staining on PC-3 cell line is observed. The nuclear counterstain is DAPI (blue). Tubulin is detected with ab7291 (anti-Tubulin mouse mAb) at 1/500 dilution and ab150120 (goat anti-mouse AlexaFluor®594 secondary antibody) at 1/500 dilution (red).

The negative controls are as follows : -
-ve control 1 - ab181548 at 1/100 dilution followed by ab150120 (AlexaFluor®594 Goat anti-Mouse secondary) at 1/500 dilution.
-ve control 2. - ab7291 (anti-Tubulin mouse mAb) at 1/500 dilution followed by ab150077 (Alexa Fluor®488 Goat Anti-Rabbit IgG H&L) at 1/400 dilution.

Immunocytochemistry/ Immunofluorescence - Anti-Integrin alpha 2 antibody [EPR17338] - C-terminal (AB181548)
  • ICC/IF

Lab

Immunocytochemistry/ Immunofluorescence - Anti-Integrin alpha 2 antibody [EPR17338] - C-terminal (AB181548)

ab181548 staining Integrin α2 in wild-type HAP1 cells (top panel) and Integrin α2 knockout HAP1 cells (bottom panel). The cells were fixed with 100% methanol (5min), permeabilized with 0.1% Triton X-100 for 5 minutes and then blocked with 1% BSA/10% normal goat serum/0.3M glycine in 0.1% PBS-Tween for 1h. The cells were then incubated with ab181548 at 1μg/ml concentration and ab7291 at 1ug/ml concentration overnight at +4°C, followed by a further incubation at room temperature for 1h with a goat secondary antibody to Rabbit IgG (Alexa Fluor® 488) (ab150081) at 2 μg/ml (shown in green) and a goat secondary antibody to Mouse IgG (Alexa Fluor® 594) (ab150120) at 2ug/ml (shown in pseudo-color red). Nuclear DNA was labelled in blue with DAPI.

Image was taken with a confocal microscope (Leica-Microsystems, TCS SP8).

Flow Cytometry (Intracellular) - Anti-Integrin alpha 2 antibody [EPR17338] - C-terminal (AB181548)
  • Flow Cyt (Intra)

Lab

Flow Cytometry (Intracellular) - Anti-Integrin alpha 2 antibody [EPR17338] - C-terminal (AB181548)

Flow cytometry overlay histogram showing staining with ab181548 of HAP1 WT positive cells (magenta line) and HAP1-ITGA2 KO negative cells (red line). The cells were fixed with 80% methanol, and then permeabilised with 0.1% PBS-Triton X-100 for 15 min. The cells were then incubated in 1x PBS containing 10% normal goat serum to block non-specific protein-protein interaction followed by the antibody (ab181548) (1x 106 in 100μl at 0.2μg/ml (1/2,500)) for 30min at 22°C.

The secondary antibody Goat Anti-Rabbit IgG H&L (Alexa Fluor® 488) preadsorbed was incubated at 1/4000 for 30min at 22°C.

Isotype control antibody was Recombinant Rabbit IgG, monoclonal [EPR25A] - Isotype Control in HAP1 WT cells (black line) and HAP1-ITGA2 KO cells (grey line), used at the same concentration and conditions as the primary antibody.

Acquisition of >5000 events were collected using a 50 mW Blue laser (488nm) and 525/40 bandpass filter.

Immunocytochemistry/ Immunofluorescence - Anti-Integrin alpha 2 antibody [EPR17338] - C-terminal (AB181548)
  • ICC/IF

Lab

Immunocytochemistry/ Immunofluorescence - Anti-Integrin alpha 2 antibody [EPR17338] - C-terminal (AB181548)

Immunofluorescent analysis of 4% paraformaldehyde-fixed, 0.1% Triton X-100 permeabilized MCF7 (Human breast adenocarcinoma cell line) cells labeling integrin alpha 2 with ab181548 at 1/100 dilution, followed by Goat anti-rabbit IAlexa Fluor® 488 (IgG) (ab150077) secondary antibody at 1/400 dilution (green). Confocal image showing membrane staining on MCF7 cell line is observed. The nuclear counterstain is DAPI (blue). Tubulin is detected with ab7291 (anti-Tubulin mouse mAb) at 1/500 dilution and ab150120 (goat anti-mouse AlexaFluor®594 secondary antibody) at 1/500 dilution (red).
The negative controls are as follows : -
-ve control 1 - ab181548 at 1/100 dilution followed by ab150120 (AlexaFluor®594 Goat anti-Mouse secondary) at 1/500 dilution.
-ve control 2. - ab7291 (anti-Tubulin mouse mAb) at 1/500 dilution followed by ab150077 (Alexa Fluor®488 Goat Anti-Rabbit IgG H&L) at 1/400 dilution.

Immunohistochemistry (Formalin/PFA-fixed paraffin-embedded sections) - Anti-Integrin alpha 2 antibody [EPR17338] - C-terminal (AB181548)
  • IHC-P

Supplier Data

Immunohistochemistry (Formalin/PFA-fixed paraffin-embedded sections) - Anti-Integrin alpha 2 antibody [EPR17338] - C-terminal (AB181548)

Immunohistochemical analysis of paraffin-embedded Human squamous cell carcinoma of cervix tissue labeling Integrin alpha 2 with ab181548 at 1/500 dilution followed by Goat Anti-Rabbit HRP (IgG H&L) (ab97051) at 1/500 dilution. Membrane and weak cytoplasmic staining on epithelial cells of human squamous cell carcinoma of cervix tissue is observed. Counter stained with Hematoxylin.
Negative control : Used PBS instead of primary antibody.

Perform heat mediated antigen retrieval with Tris/EDTA buffer pH 9.0 before commencing with IHC staining protocol.

Immunohistochemistry (Formalin/PFA-fixed paraffin-embedded sections) - Anti-Integrin alpha 2 antibody [EPR17338] - C-terminal (AB181548)
  • IHC-P

Supplier Data

Immunohistochemistry (Formalin/PFA-fixed paraffin-embedded sections) - Anti-Integrin alpha 2 antibody [EPR17338] - C-terminal (AB181548)

Immunohistochemical analysis of paraffin-embedded Human colon tissue labeling Integrin alpha 2 with ab181548 at 1/500 dilution followed by Goat Anti-Rabbit HRP (IgG H&L) (ab97051) at 1/500 dilution. Membrane and weak cytoplasmic staining on epithelial cells of human colon is observed. Counter stained with Hematoxylin.

Negative control : Used PBS instead of primary antibody.

Perform heat mediated antigen retrieval with Tris/EDTA buffer pH 9.0 before commencing with IHC staining protocol.

Flow Cytometry (Intracellular) - Anti-Integrin alpha 2 antibody [EPR17338] - C-terminal (AB181548)
  • Flow Cyt (Intra)

Supplier Data

Flow Cytometry (Intracellular) - Anti-Integrin alpha 2 antibody [EPR17338] - C-terminal (AB181548)

Intracellular flow cytometric analysis of 2% paraformaldehyde-fixed A549 (Human lung carcinoma) cells labeling integrin alpha 2 with ab181549 at 1/160 dilution (red) compared with a rabbit monoclonal IgG isotype control (black) and a unlabelled control (cells without incubation with primary antibody and secondary antibody; blue). Goat anti rabbit IgG (FITC) at 1/150 dilution was used as the secondary antibody.

Immunoprecipitation - Anti-Integrin alpha 2 antibody [EPR17338] - C-terminal (AB181548)
  • IP

Supplier Data

Immunoprecipitation - Anti-Integrin alpha 2 antibody [EPR17338] - C-terminal (AB181548)

Integrin alpha 2 was immunoprecipitated from 1mg of T-47D (Human ductal breast epithelial tumor cell line) whole cell extract with ab181548 at 1/150 dilution. Western blot was performed using ab181548 at 1/20,000 dilution. Anti-Rabbit IgG (HRP), specific to the non-reduced form of IgG, was used as secondary antibody at 1/1500 dilution. Lane 1 : T-47D whole cell extract Lane 2 : PBS instead of T-47D whole cell extract.

Blocking and dilution buffer and concentration : 5% NFDM/TBST.

All lanes:

Immunoprecipitation - Anti-Integrin alpha 2 antibody [EPR17338] - C-terminal (ab181548)

Predicted band size: 129 kDa

Observed band size: 150 kDa

false

Immunohistochemistry (Formalin/PFA-fixed paraffin-embedded sections) - Anti-Integrin alpha 2 antibody [EPR17338] - C-terminal (AB181548)
  • IHC-P

Supplier Data

Immunohistochemistry (Formalin/PFA-fixed paraffin-embedded sections) - Anti-Integrin alpha 2 antibody [EPR17338] - C-terminal (AB181548)

Immunohistochemical analysis of paraffin-embedded Rat colon tissue labeling Integrin alpha 2 with ab181548 at 1/500 dilution followed by Goat Anti-Rabbit HRP (IgG H&L) (ab97051) at 1/500 dilution. Membrane staining on epithelial cells of Rat colon tissue is observed. Counter stained with Hematoxylin.
Negative control : Used PBS instead of primary antibody.

Perform heat mediated antigen retrieval with Tris/EDTA buffer pH 9.0 before commencing with IHC staining protocol.

Immunohistochemistry (Formalin/PFA-fixed paraffin-embedded sections) - Anti-Integrin alpha 2 antibody [EPR17338] - C-terminal (AB181548)
  • IHC-P

Supplier Data

Immunohistochemistry (Formalin/PFA-fixed paraffin-embedded sections) - Anti-Integrin alpha 2 antibody [EPR17338] - C-terminal (AB181548)

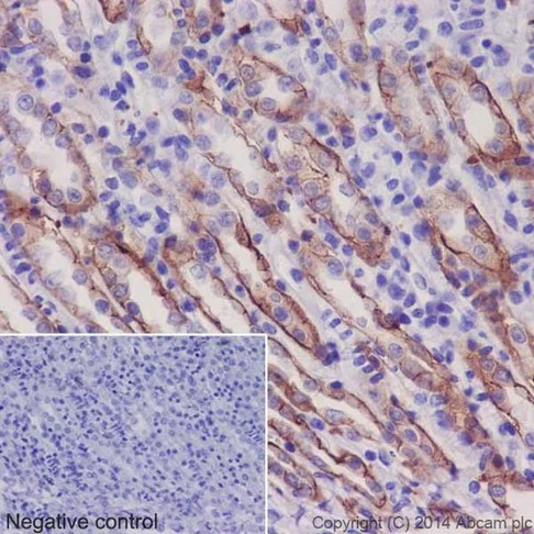
Immunohistochemical analysis of paraffin-embedded Mouse kidney tissue labeling Integrin alpha 2 with ab181548 at 1/500 dilution followed by Goat Anti-Rabbit HRP (IgG H&L) (ab97051) at 1/500 dilution. Membrane and weak cytoplasmic staining on epithelial cells of Mouse kidney tubule is observed. Counter stained with Hematoxylin.
Negative control : Used PBS instead of primary antibody.

Perform heat mediated antigen retrieval with Tris/EDTA buffer pH 9.0 before commencing with IHC staining protocol.

Western blot - Anti-Integrin alpha 2 antibody [EPR17338] - C-terminal (AB181548)
  • WB

Supplier Data

Western blot - Anti-Integrin alpha 2 antibody [EPR17338] - C-terminal (AB181548)

Blocking and diluting buffer 5% NFDM/TBST.
The increased molecular mass observed is due to glycosylation.

All lanes:

Western blot - Anti-Integrin alpha 2 antibody [EPR17338] - C-terminal (ab181548) at 1/5000 dilution

Lane 1:

Human fetal brain whole cell lysates at 10 µg

Lane 2:

Human fetal heart whole cell lysates at 10 µg

Secondary

All lanes:

Anti-Rabbit IgG (HRP), specific to the non-reduced form of IgG at 1/1000 dilution

Predicted band size: 129 kDa

Observed band size: 150 kDa

false

Western blot - Anti-Integrin alpha 2 antibody [EPR17338] - C-terminal (AB181548)
  • WB

Supplier Data

Western blot - Anti-Integrin alpha 2 antibody [EPR17338] - C-terminal (AB181548)

Blocking and diluting buffer 5% NFDM/TBST.

The increased molecular mass observed is due to glycosylation.

All lanes:

Western blot - Anti-Integrin alpha 2 antibody [EPR17338] - C-terminal (ab181548) at 1/20000 dilution

Lane 1:

A549 (Human lung carcinoma) whole cell lysates at 20 µg

Lane 2:

A431 (Human epidermoid carcinoma) whole cell lysates at 20 µg

Lane 3:

293T (Human epithelial cells from embryonic kidney) whole cell lysates at 20 µg

Lane 4:

T-47D (Human ductal breast epithelial tumor cell line) whole cell lysates at 20 µg

Secondary

All lanes:

Goat Anti-Rabbit IgG, (H+L),Peroxidase conjugated at 1/1000 dilution

Predicted band size: 129 kDa

Observed band size: 150 kDa

false

Western blot - Anti-Integrin alpha 2 antibody [EPR17338] - C-terminal (AB181548)
  • WB

Unknown

Western blot - Anti-Integrin alpha 2 antibody [EPR17338] - C-terminal (AB181548)

Lanes 1, 5 and 9 : Wild-type HAP1 cell lysate (20 μg)
Lanes 2, 6 and 10 : Integrin alpha 2 knockout HAP1 cell lysate (20 μg)
Lanes 3, 7 and 11 : A431 cell lysate (20 μg)
Lanes 4, 8 and 12 : T47D cell lysate (20 μg)
Lanes 1, 2, 3 and 4 : Green signal from target - ab181548 observed at 150 kDa
Lanes 5, 6, 7 and 8 : Red signal from loading control - ab8245 observed at 37 kDa
Lanes 9, 10, 11 and 12 : Merged (red and green) signal

ab181548 was shown to specifically react with Integrin alpha 2 when Integrin alpha 2 knockout samples were used. Wild-type and Integrin alpha 2 knockout samples were subjected to SDS-PAGE. ab181548 and ab8245 (loading control to GAPDH) were diluted 1/5000 and 1/2000 respectively and incubated overnight at 4°C. Blots were developed with Goat anti-Rabbit IgG H&L (IRDye® 800CW) preadsorbed (ab216773) and Goat anti-Mouse IgG H&L (IRDye® 680RD) preadsorbed (ab216776) secondary antibodies at 1/10 000 dilution for 1 h at room temperature before imaging.

All lanes:

Western blot - Anti-Integrin alpha 2 antibody [EPR17338] - C-terminal (ab181548)

Predicted band size: 129 kDa

false

Western blot - Anti-Integrin alpha 2 antibody [EPR17338] - C-terminal (AB181548)
  • WB

Supplier Data

Western blot - Anti-Integrin alpha 2 antibody [EPR17338] - C-terminal (AB181548)

Blocking and diluting buffer 5% NFDM/TBST.
The increased molecular mass observed is due to glycosylation.

All lanes:

Western blot - Anti-Integrin alpha 2 antibody [EPR17338] - C-terminal (ab181548) at 1/5000 dilution

Lane 1:

Mouse heart tissue lysate at 10 µg

Lane 2:

Mouse kidney tissue lysate at 10 µg

Lane 3:

Rat spleen tissue lysate at 10 µg

Lane 4:

C6 (Rat glial tumor cells) whole cell lysate at 10 µg

Lane 5:

NIH/3T3 (Mouse embyro fibroblast cells) whole cell lysate at 10 µg

Secondary

All lanes:

Goat Anti-Rabbit IgG, (H+L),Peroxidase conjugated at 1/1000 dilution

Predicted band size: 129 kDa

Observed band size: 150 kDa

false

不同偶联物与剂型 (8)

  • 519 Alexa Fluor® 488

    Alexa Fluor® 488 Anti-Integrin alpha 2 antibody [EPR17338] - C-terminal

  • 617 Alexa Fluor® 594

    Alexa Fluor® 594 Anti-Integrin alpha 2 antibody [EPR17338] - C-terminal

  • HRP

    HRP Anti-Integrin alpha 2 antibody [EPR17338] - C-terminal

  • 565 Alexa Fluor® 555

    Alexa Fluor® 555 Anti-Integrin alpha 2 antibody [EPR17338]

  • 578 PE

    PE Anti-Integrin alpha 2 antibody [EPR17338]

  • 665 Alexa Fluor® 647

    Alexa Fluor® 647 Anti-Integrin alpha 2 antibody [EPR17338] - C-terminal

  • Carrier free

    Anti-Integrin alpha 2 antibody [EPR17338] - BSA and Azide free

  • 519 FITC

    FITC Anti-Integrin alpha 2 antibody [EPR17338] - C-terminal

关键信息

宿主种属

Rabbit

克隆

Monoclonal

克隆号

EPR17338

亚型

IgG

不含载体蛋白

No

反应种属

Mouse, Rat, Human

应用

WB, ICC/IF, IP, IHC-P, Flow Cyt (Intra)

applications

免疫原

The exact immunogen used to generate this antibody is proprietary information.

反应性数据

{ "title": "Reactivity Data", "filters": { "stats": ["", "Species", "Dilution Info", "Notes"], "tabs": { "all-applications": {"fullname" : "All Applications", "shortname": "All Applications"}, "IP" : {"fullname" : "Immunoprecipitation", "shortname":"IP"}, "WB" : {"fullname" : "Western blot", "shortname":"WB"}, "ICCIF" : {"fullname" : "Immunocytochemistry/ Immunofluorescence", "shortname":"ICC/IF"}, "FlowCytIntra" : {"fullname" : "Flow Cytometry (Intracellular)", "shortname":"Flow Cyt (Intra)"}, "IHCP" : {"fullname" : "Immunohistochemistry (Formalin/PFA-fixed paraffin-embedded sections)", "shortname":"IHC-P"} }, "product-promise": { "all": "all", "testedAndGuaranteed": "tested", "guaranteed": "expected", "predicted": "predicted", "notRecommended": "not-recommended" } }, "values": { "Human": { "IP-species-checked": "testedAndGuaranteed", "IP-species-dilution-info": "1/150", "IP-species-notes": "<p></p>", "WB-species-checked": "testedAndGuaranteed", "WB-species-dilution-info": "1/5000", "WB-species-notes": "<p></p>", "ICCIF-species-checked": "testedAndGuaranteed", "ICCIF-species-dilution-info": "1 µg/mL", "ICCIF-species-notes": "<p>This product gave a positive signal in wild-type HAP1 cells fixed with 4% formaldehyde (10 min) and 100% methanol (5 min).</p>", "FlowCytIntra-species-checked": "testedAndGuaranteed", "FlowCytIntra-species-dilution-info": "1/160", "FlowCytIntra-species-notes": "<p><a href='/products/primary-antibodies/rabbit-igg-monoclonal-epr25a-isotype-control-ab172730'>ab172730</a> - Rabbit monoclonal IgG, is suitable for use as an isotype control with this antibody.</p>", "IHCP-species-checked": "testedAndGuaranteed", "IHCP-species-dilution-info": "1/500", "IHCP-species-notes": "<p></p> Perform heat-mediated antigen retrieval with Tris/EDTA buffer pH 9.0 before commencing with IHC staining protocol." }, "Mouse": { "IP-species-checked": "guaranteed", "IP-species-dilution-info": "", "IP-species-notes": "", "WB-species-checked": "testedAndGuaranteed", "WB-species-dilution-info": "1/5000", "WB-species-notes": "<p></p>", "ICCIF-species-checked": "guaranteed", "ICCIF-species-dilution-info": "", "ICCIF-species-notes": "", "FlowCytIntra-species-checked": "guaranteed", "FlowCytIntra-species-dilution-info": "", "FlowCytIntra-species-notes": "", "IHCP-species-checked": "testedAndGuaranteed", "IHCP-species-dilution-info": "1/500", "IHCP-species-notes": "<p></p> Perform heat-mediated antigen retrieval with Tris/EDTA buffer pH 9.0 before commencing with IHC staining protocol." }, "Rat": { "IP-species-checked": "guaranteed", "IP-species-dilution-info": "", "IP-species-notes": "", "WB-species-checked": "testedAndGuaranteed", "WB-species-dilution-info": "1/5000", "WB-species-notes": "<p></p>", "ICCIF-species-checked": "guaranteed", "ICCIF-species-dilution-info": "", "ICCIF-species-notes": "", "FlowCytIntra-species-checked": "guaranteed", "FlowCytIntra-species-dilution-info": "", "FlowCytIntra-species-notes": "", "IHCP-species-checked": "testedAndGuaranteed", "IHCP-species-dilution-info": "1/500", "IHCP-species-notes": "<p></p> Perform heat-mediated antigen retrieval with Tris/EDTA buffer pH 9.0 before commencing with IHC staining protocol." } } }

产品详情

What is this antibody validated in?
Anti-Integrin alpha 2 antibody [EPR17338] - C-terminal (ab181548) is a rabbit recombinant monoclonal antibody and is validated for use in Western Blot (WB), Flow Cytometry (Intra), Flow Cytometry (Flow Cyt), Immunoprecipitation (IP), Immunohistochemistry (IHC-P), Immunocytochemistry/immunofluorescence (ICC/IF) in Human, Mouse, Rat samples.

What is the molecular weight of Integrin alpha 2?
Anti-Integrin alpha 2 [EPR17338] - C-terminal (ab181548) specifically detects a band for Integrin alpha 2 (UniProt: P17301) at a molecular weight of 129kDa.

Trusted by the scientific community
Anti-Integrin alpha 2 [EPR17338] - C-terminal (ab181548) was first used in a scientific publication in 2014 and has been cited over 20 times in peer-reviewed journals.

Trial sizes available!
Test your antibody or perform pre-screening before committing to a larger quantity. Sold in 10µl. Discover our selection of trial-size antibodies.

Specificity confirmed
The specificity of Anti-Integrin alpha 2 antibody [EPR17338] - C-terminal (ab181548) has been confirmed by Western blot testing in ITGA2 Knockout HAP1 cells.

Other related products
We have a range of other formats of antibody clone [EPR17338] also available for your convenience: ab181548, Alexa Fluor® 488 - ab208770, Alexa Fluor® 647 - ab209766, HRP - ab209944, Alexa Fluor® 594 - ab210655, Carrier free - ab222377, PE - ab225284, Carrier free - ab271936, Alexa Fluor® 555 - ab280853, FITC - ab322294

Patented technology
Our RabMAb® technology is a patented hybridoma-based technology for making rabbit monoclonal antibodies. For details on our patents, please refer to RabMAb® patents.

What are the advantages of a recombinant monoclonal antibody?
This product is a recombinant monoclonal antibody, which offers several advantages including:

  • - High batch-to-batch consistency and reproducibility
  • - Improved sensitivity and specificity
  • - Long-term security of supply
  • - Animal-free batch production

For more information, read more on recombinant antibodies.

性能和储存信息

形式
Liquid
纯化工艺
Affinity purification Protein A
存储溶液
Preservative: 0.01% Sodium azide Constituents: PBS, 40% Glycerol (glycerin, glycerine), 0.05% BSA
运输条件
Blue Ice
推荐的短期储存时间
1-2 weeks
推荐的短期储存条件
+4°C
推荐的长期储存条件
-20°C
分装信息
Upon delivery aliquot
储存信息
Avoid freeze / thaw cycle

补充信息

This supplementary information is collated from multiple sources and compiled automatically.

Integrin alpha 2 also known as CD49b ITGA2 and A2 is a protein that functions as part of the integrin family. Integrins are transmembrane receptors that facilitate cell-extracellular matrix adhesion. Integrin alpha 2 has a molecular mass of approximately 130 kDa and is widely expressed in epithelial cells fibroblasts and platelets. This protein is important for mediating adhesion between cells and the extracellular matrix affecting cell signaling and behavior. Through this adhesion cells can communicate with their environment adjusting their functions accordingly.
Biological function summary

Integrin alpha 2 plays a significant role in cellular processes like migration and proliferation. It forms a heterodimer complex by pairing with the beta 1-integrin subunit contributing to its adhesive and signaling functions. This association enables the integrin alpha 2 complex to bind specific extracellular matrix components such as collagen and laminin. Through these interactions it regulates processes like wound healing and tissue remodeling and affects how cells respond to mechanical stress.

Pathways

Integrin alpha 2 is involved in major signaling routes that influence cell fate and movement. Notably it participates in the PI3K/AKT and MAPK pathways which are important for regulating cell growth and survival. It interacts with signaling proteins like focal adhesion kinase (FAK) and Src family kinases linking extracellular matrix changes to intracellular responses. These pathways help in transmitting signals that coordinate the cell's structural and functional adjustments in response to its surroundings.

Integrin alpha 2 has connections to cancer and fibrosis. In cancers its altered expression may contribute to tumor progression and metastasis often involving interactions with other integrins and matrix metalloproteinases that degrade extracellular components. In fibrosis excessive integrin alpha 2 activity can lead to abnormal tissue remodeling and scarring implicating its role alongside collagen-producing cells. Understanding these connections is vital for developing therapies targeting integrin-mediated pathways in these diseases.

产品实验方案

For this product, it's our understanding that no specific protocols are required. You can visit:

靶点信息

Integrin alpha-2/beta-1 is a receptor for laminin, collagen, collagen C-propeptides, fibronectin and E-cadherin. It recognizes the proline-hydroxylated sequence G-F-P-G-E-R in collagen. It is responsible for adhesion of platelets and other cells to collagens, modulation of collagen and collagenase gene expression, force generation and organization of newly synthesized extracellular matrix.. (Microbial infection) Integrin ITGA2 : ITGB1 acts as a receptor for Human rotavirus A.. (Microbial infection) Integrin ITGA2 : ITGB1 acts as a receptor for Human echoviruses 1 and 8.
See full target information ITGA2

文献 (39)

Recent publications for all applications. Explore the full list and refine your search

British journal of pharmacology 182:3649-3668 PubMed40222951

2025

Hydroxychloroquine cures autoimmune myocarditis by inhibiting the innate immune system via the C-X-C motif chemokine ligand 16 and C-X-C motif receptor 6 axis between macrophages and T cells.

Applications

Unspecified application

Species

Unspecified reactive species

Yunling Xuan,Xu Gao,Jin Wang,Huihui Li,Zhou Zhou,Minyu Liao,Zheng Wen,Dao Wen Wang

iScience 28:112099 PubMed40129708

2025

Development of apical out trophoblast stem cell derived organoids to model early human pregnancy.

Applications

Unspecified application

Species

Unspecified reactive species

J Zhou,M A Sheridan,Y Tian,K J Dahlgren,M Messler,T Peng,A Zhao,T Ezashi,L C Schulz,B D Ulery,R M Roberts,D J Schust

BMC cancer 25:294 PubMed39972413

2025

The role of MUC16 in tumor biology and tumor immunology in ovarian cancer.

Applications

Unspecified application

Species

Unspecified reactive species

Na Yang,Xi Zhou,Yangmei Gong,Zhizhi Deng

International journal of molecular sciences 26: PubMed39940693

2025

Establishment of a Panel of Human Cell Lines to Identify Cellular Receptors Used by to Infect Cells.

Applications

Unspecified application

Species

Unspecified reactive species

Anastasiia O Sosnovtseva,Thi Hoa Le,Dmitry S Karpov,Pavel O Vorobyev,Yana D Gumennaya,Olga N Alekseeva,Peter M Chumakov,Anastasia V Lipatova

Proceedings of the National Academy of Sciences of the United States of America 121:e2408575121 PubMed39665760

2024

Increased perfluorooctanoic acid accumulation facilitates the migration and invasion of lung cancer cells via remodeling cell mechanics.

Applications

Unspecified application

Species

Unspecified reactive species

Jie Mei,Jipeng Jiang,Zhao Li,Yue Pan,Ke Xu,Xinglong Gao,Jing Yuan,Lili Li,Yufei Wang,Liuxiang Wang,Ailin Zhao,Shasha Jiang,Xinlian Wang,Shaoqiong Yi,Shilin Li,Yueguang Xue,Yongfu Ma,Yang Liu,Yawei Wang,Juan Li,Chunying Chen,Ying Liu

Advanced science (Weinheim, Baden-Wurttemberg, Germany) 12:e2409194 PubMed39625860

2024

Interleukin 15-Presenting Nanovesicles with Doxorubicin-Loaded Ferritin Cores for Cancer Immunochemotherapy.

Applications

Unspecified application

Species

Unspecified reactive species

Yihui Zhai,Wen Zhang,Jinming Wang,Ying Kong,Rong Rong,Tianqun Lang,Chao Zheng,Yanke Wang,Yang Yu,Helen He Zhu,Ying Cai,Pengcheng Zhang,Yaping Li

Biology of reproduction 112:31-45 PubMed39504567

2024

Zygotic activin A is dispensable for the mouse preimplantation embryo development and for the derivation and pluripotency of embryonic stem cells†.

Applications

Unspecified application

Species

Unspecified reactive species

Eliza Winek,Lidia Wolińska-Nizioł,Katarzyna Szczepańska,Anna Szpakowska,Olga Gewartowska,Izabela Wysocka,Magdalena Grzesiak,Aneta Suwińska

EMBO reports 25:4311-4336 PubMed39232200

2024

An hepatitis B and D virus infection model using human pluripotent stem cell-derived hepatocytes.

Applications

Unspecified application

Species

Unspecified reactive species

Huanting Chi,Bingqian Qu,Angga Prawira,Talisa Richardt,Lars Maurer,Jungen Hu,Rebecca M Fu,Florian A Lempp,Zhenfeng Zhang,Dirk Grimm,Xianfang Wu,Stephan Urban,Viet Loan Dao Thi

Respiratory research 25:238 PubMed38862975

2024

TMPRSS2 is a tumor suppressor and its downregulation promotes antitumor immunity and immunotherapy response in lung adenocarcinoma.

Applications

Unspecified application

Species

Unspecified reactive species

Zhixian Liu,Qiqi Lu,Zhilan Zhang,Qiushi Feng,Xiaosheng Wang

FASEB journal : official publication of the Federation of American Societies for Experimental Biology 38:e23473 PubMed38334462

2024

Single-cell transcriptome analysis of aging mouse liver.

Applications

Unspecified application

Species

Unspecified reactive species

Yan Lin,Ying Li,Guangyu Liang,Xiao Yang,Jiankun Yang,Qi Hu,Jian Sun,Cuntai Zhang,Haoshu Fang,Anding Liu
View all publications

Abcam Product Promise

我们致力于为您的研究提供高质量的试剂,为您科研的每一步提供支持。若我们的产品未能达到预期性能,我们向您提供 Abcam Product Promise 保障。
详情请参阅我们的条款与条件。

Please note: All products are 'FOR RESEARCH USE ONLY. NOT FOR USE IN DIAGNOSTIC OR THERAPEUTIC PROCEDURES'.

For licensing inquiries, please contact partnerships@abcam.com