JavaScript is disabled in your browser. Please enable JavaScript to view this website.
AB282459

重组Anti-Insulin抗体[RM1019]

Anti-Insulin antibody [RM1019]

  • RabMAb
  • Recombinant
  • Lab Essentials
  • 20ul selling size
  • 了解详情

Be the first to review this product! Submit a review

|

(3 Publications)

Rabbit Recombinant Multiclonal Insulin antibody. Suitable for I-ELISA, IHC-P, ICC/IF, IP, WB, IHC-Fr, Flow Cyt (Intra) and reacts with Recombinant fragment - Human, Mouse, Rat, Human samples. Cited in 3 publications.

查看别名

Insulin, INS

12 Images
Immunohistochemistry (Formalin/PFA-fixed paraffin-embedded sections) - Anti-Insulin antibody [RM1019] (AB282459)
  • IHC-P

Supplier Data

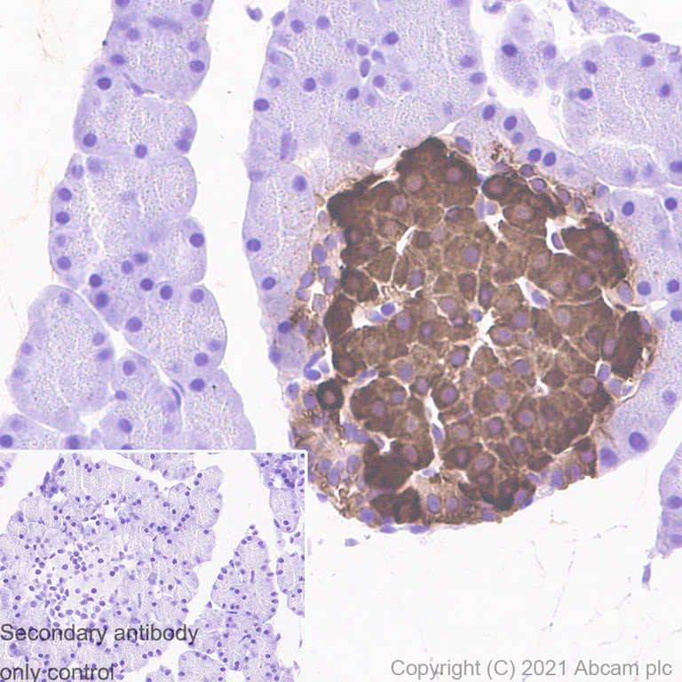
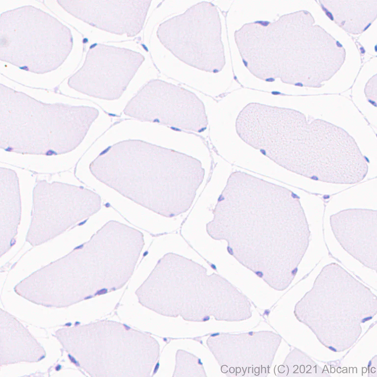
Immunohistochemistry (Formalin/PFA-fixed paraffin-embedded sections) - Anti-Insulin antibody [RM1019] (AB282459)

Immunohistochemical analysis of paraffin-embedded Human skeletal muscle tissue labeling Insulin with ab282459 at 1/10000 (0.055 ug/ml) followed by a ready to use Goat Anti-Rabbit IgG H&L (HRP polymer). The section was incubated with ab282459 overnight at 4°C. Counterstained with Hematoxylin.

Negative control : no staining in human skeletal muscle.

Secondary antibody only control : Secondary antibody is a ready to use Goat Anti-Rabbit IgG H&L (HRP polymer).

Heat mediated antigen retrieval using ab93678 (citrate buffer, pH 6.0).

Immunohistochemistry (Formalin/PFA-fixed paraffin-embedded sections) - Anti-Insulin antibody [RM1019] (AB282459)
  • IHC-P

Supplier Data

Immunohistochemistry (Formalin/PFA-fixed paraffin-embedded sections) - Anti-Insulin antibody [RM1019] (AB282459)

Immunohistochemical analysis of paraffin-embedded Human pancreas tissue labelling Insulin with ab282459 at 1/10000 (0.055 ug/ml) followed by a ready to use Goat Anti-Rabbit IgG H&L (HRP polymer). Positive staining on the islets in human pancreas. The section was incubated with ab282459 overnight at 4°C. Counterstained with Hematoxylin.

Secondary antibody only control : Secondary antibody is a ready to use Goat Anti-Rabbit IgG H&L (HRP polymer).

Heat mediated antigen retrieval using ab93678 (citrate buffer, pH 6.0).

Immunohistochemistry (Formalin/PFA-fixed paraffin-embedded sections) - Anti-Insulin antibody [RM1019] (AB282459)
  • IHC-P

Supplier Data

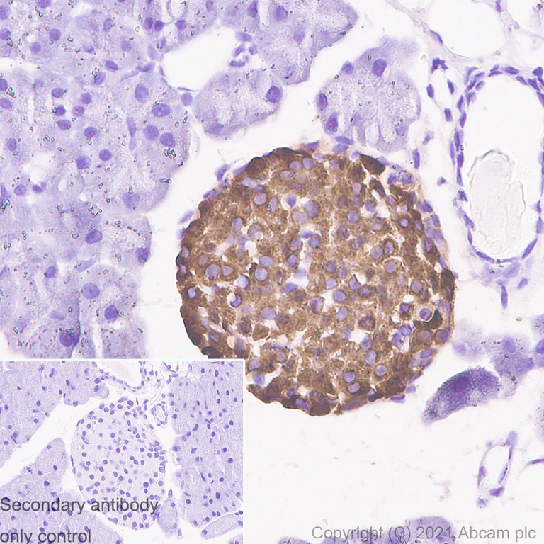
Immunohistochemistry (Formalin/PFA-fixed paraffin-embedded sections) - Anti-Insulin antibody [RM1019] (AB282459)

Immunohistochemical analysis of paraffin-embedded Mouse pancreas tissue labeling Insulin with ab282459 at 1/10000 (0.055 ug/ml) followed by a ready to use Goat Anti-Rabbit IgG H&L (HRP polymer). Positive staining on the islet in mouse pancreas. The section was incubated with ab282459 overnight at 4°C. Counterstained with Hematoxylin.

Secondary antibody only control : Secondary antibody is a ready to use Goat Anti-Rabbit IgG H&L (HRP polymer).

Heat mediated antigen retrieval using ab93678 (citrate buffer, pH 6.0).

Flow Cytometry (Intracellular) - Anti-Insulin antibody [RM1019] (AB282459)
  • Flow Cyt (Intra)

Supplier Data

Flow Cytometry (Intracellular) - Anti-Insulin antibody [RM1019] (AB282459)

Flow cytometric analysis of 4% paraformaldehyde fixed 90% methanol permeabilized C2C12 (Mouse myoblasts myoblast) (Left) / Beta-TC-6 (Mouse pancreas insulinoma beta cell) (Right) cells labelling Insulin with ab282459 at 1/5000 dilution (0.1ug) (Red) compared with a Rabbit monoclonal IgG (ab172730) (Black) isotype control and an unlabelled control (cells without incubation with primary antibody and secondary antibody) (Blue). A Goat F(ab')2 Anti-Rabbit IgG(DyLight® 488, ab98507) at 1/500 dilution was used as the secondary antibody.

Negative control : C2C12 (PMID : 22973301)

Immunohistochemistry (Frozen sections) - Anti-Insulin antibody [RM1019] (AB282459)
  • IHC-Fr

Supplier Data

Immunohistochemistry (Frozen sections) - Anti-Insulin antibody [RM1019] (AB282459)

Immunohistochemical analysis of 4% PFA-fixed, 0.2% Triton X-100 permeabilized frozen Rat pancreas tissue labeling Insulin with ab282459 at 1/1000 (0.551 ug/ml) dilution followed by ab150077 Goat Anti-Rabbit IgG H&L (Alexa Fluor® 488) at 1/1000 (2 ug/ml) dilution (Green). Cytoplasmic staining on rat pancreas islet is observed. The nuclear counterstain was DAPI (Blue).

Secondary antibody control : Secondary antibody is ab150077 Goat Anti-Rabbit IgG H&L (Alexa Fluor® 488)at 1/1000 (2 ug/ml) dilution.

Heat mediated antigen retrieval using sodium citrate buffer (10mM citrate pH 6.0 + 0.05% Tween-20).

Immunohistochemistry (Formalin/PFA-fixed paraffin-embedded sections) - Anti-Insulin antibody [RM1019] (AB282459)
  • IHC-P

Supplier Data

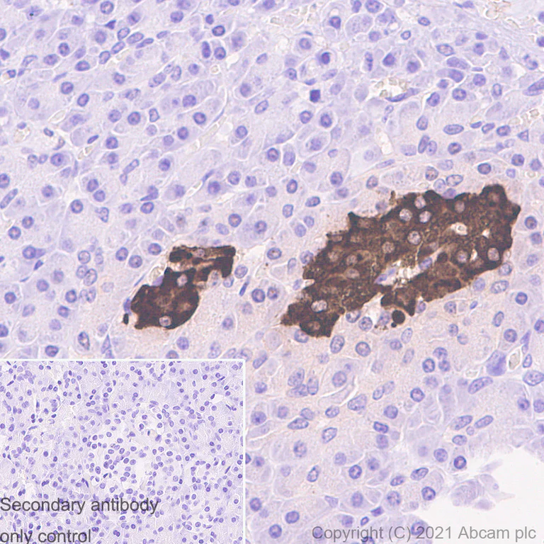
Immunohistochemistry (Formalin/PFA-fixed paraffin-embedded sections) - Anti-Insulin antibody [RM1019] (AB282459)

Immunohistochemical analysis of paraffin-embedded Rat pancreas tissue labeling Insulin with ab282459 at 1/10000 (0.055 ug/ml) followed by a ready to use Goat Anti-Rabbit IgG H&L (HRP polymer). Positive staining on the islet in rat pancreas. The section was incubated with ab282459 overnight at 4°C. Counterstained with Hematoxylin.

Secondary antibody only control : Secondary antibody is a ready to use Goat Anti-Rabbit IgG H&L (HRP polymer).

Heat mediated antigen retrieval using ab93678 (citrate buffer, pH 6.0).

Immunohistochemistry (Frozen sections) - Anti-Insulin antibody [RM1019] (AB282459)
  • IHC-Fr

Supplier Data

Immunohistochemistry (Frozen sections) - Anti-Insulin antibody [RM1019] (AB282459)

Immunohistochemical analysis of 4% PFA-fixed, 0.2% Triton X-100 permeabilized frozen Mouse pancreas tissue labeling Insulin with ab282459 at 1/1000 (0.565 ug/ml) dilution followed by ab150077 Goat Anti-Rabbit IgG H&L (Alexa Fluor® 488) at 1/1000 (2 ug/ml) dilution (Green). Cytoplasmic staining on mouse pancreas islet is observed. The nuclear counterstain was DAPI (Blue).

Secondary antibody control : Secondary antibody is ab150077 Goat Anti-Rabbit IgG H&L (Alexa Fluor® 488) at 1/1000 (2 ug/ml) dilution.

Heat mediated antigen retrieval using sodium citrate buffer (10mM citrate pH 6.0 + 0.05% Tween-20).

Immunocytochemistry/ Immunofluorescence - Anti-Insulin antibody [RM1019] (AB282459)
  • ICC/IF

Supplier Data

Immunocytochemistry/ Immunofluorescence - Anti-Insulin antibody [RM1019] (AB282459)

Immunofluorescent analysis of 4% Paraformaldehyde-fixed, 0.1% TritonX-100 permeabilized Beta-TC-6 cells labelling Insulin with ab282459 at 1/1000 (0.551 ug/ml) dilution, followed by ab150081 Goat Anti-Rabbit IgG H&L (Alexa Fluor® 488) preadsorbed antibody at 1/1000 (2 ug/ml) dilution (Green). Confocal image showing cytoplasmic staining in Beta-TC-6 cells. ab195889 Anti-alpha Tubulin mouse monoclonal antibody - Microtubule Marker (Alexa Fluor® 594) was used to counterstain tubulin at 1/200 (2.5 ug/ml) dilution (Red). The Nuclear counterstain was DAPI (Blue).

Negative control : C2C12 (PMID : 22973301)

Secondary antibody only control : Secondary antibody is ab150081 Goat Anti-Rabbit IgG H&L (Alexa Fluor® 488) preadsorbed at 1/1000 (2 ug/ml) dilution.

Immunoprecipitation - Anti-Insulin antibody [RM1019] (AB282459)
  • IP

Supplier Data

Immunoprecipitation - Anti-Insulin antibody [RM1019] (AB282459)

Insulin was immunoprecipitated from 0.35 mg Mouse pancreas lysate 10 ug with ab282459 at 1/30 dilution (2ug in 0.35mg lysates). Western blot was performed on the immunoprecipitate using ab282459 at 1/1000 dilution. VeriBlot for IP secondary antibody(HRP)(ab131366) was used at 1/5000 dilution.

Lane 1 : Mouse pancreas lysate 10 ug

Lane 2 : ab282459 IP in Mouse pancreas lysate

Lane 3 : Rabbit monoclonal IgG (ab172730) instead of ab282459 in Mouse pancreas lysate

Blocking and dilution buffer and concentration : 5% NFDM/TBST.

Exposure time : 3 min.

All lanes:

Immunoprecipitation - Anti-Insulin antibody [RM1019] (ab282459)

Predicted band size: 12 kDa

Observed band size: 12 kDa

false

Indirect ELISA - Anti-Insulin antibody [RM1019] (AB282459)
  • I-ELISA

Supplier Data

Indirect ELISA - Anti-Insulin antibody [RM1019] (AB282459)

ELISA using ab282459 at varying antibody concentrations and antigen concentration at 1000 ng/ml. An Alkaline Phosphatase-conjugated AffiniPure Goat Anti-Rabbit IgG (H+L) at 1/2500 was used as the secondary antibody.

Western blot - Anti-Insulin antibody [RM1019] (AB282459)
  • WB

Lab

Western blot - Anti-Insulin antibody [RM1019] (AB282459)

Blocking and diluting buffer and concentration : 5% NFDM/TBST

Negative control : C2C12 (PMID : 22973301)

Exposure time : 26 seconds.

All lanes:

Western blot - Anti-Insulin antibody [RM1019] (ab282459) at 1/1000 dilution

Lane 1:

Beta-TC-6 (Mouse pancreas insulinoma beta cell) whole cell lysate at 20 µg

Lane 2:

C2C12 (Mouse myoblasts myoblast) whole cell lysate at 20 µg

Secondary

All lanes:

Goat Anti-Rabbit IgG, (H+L), Peroxidase conjugated (<a href='/products/secondary-antibodies/goat-rabbit-igg-h-l-hrp-ab97051'>ab97051</a>) at 1/100000 dilution

Predicted band size: 12 kDa

Observed band size: 12 kDa

false

Western blot - Anti-Insulin antibody [RM1019] (AB282459)
  • WB

Lab

Western blot - Anti-Insulin antibody [RM1019] (AB282459)

Blocking and diluting buffer and concentration : 5% NFDM/TBST

This blot was developed using a higher sensitivity ECL substrate.

Exposure time : 3 minutes.

All lanes:

Western blot - Anti-Insulin antibody [RM1019] (ab282459) at 1/1000 dilution

Lane 1:

Human pancreas lysate at 20 µg

Lane 2:

Mouse pancreas lysate at 20 µg

Lane 3:

Rat pancreas lysate at 20 µg

Secondary

All lanes:

Goat Anti-Rabbit IgG, (H+L), Peroxidase conjugated (<a href='/products/secondary-antibodies/goat-rabbit-igg-h-l-hrp-ab97051'>ab97051</a>) at 1/100000 dilution

Predicted band size: 12 kDa

Observed band size: 12 kDa

false

关键信息

宿主种属

Rabbit

克隆

Multiclonal

克隆号

RM1019

亚型

IgG

不含载体蛋白

No

反应种属

Rat, Mouse, Human

应用

IHC-Fr, IP, Flow Cyt (Intra), I-ELISA, ICC/IF, IHC-P, WB

applications

免疫原

The exact immunogen used to generate this antibody is proprietary information.

特异性

The human recommendation is based on the IHC-P results. We do not guarantee WB for human.

反应性数据

{ "title": "Reactivity Data", "filters": { "stats": ["", "Species", "Dilution Info", "Notes"], "tabs": { "all-applications": {"fullname" : "All Applications", "shortname": "All Applications"}, "IELISA" : {"fullname" : "Indirect ELISA", "shortname":"I-ELISA"}, "IHCP" : {"fullname" : "Immunohistochemistry (Formalin/PFA-fixed paraffin-embedded sections)", "shortname":"IHC-P"}, "ICCIF" : {"fullname" : "Immunocytochemistry/ Immunofluorescence", "shortname":"ICC/IF"}, "IP" : {"fullname" : "Immunoprecipitation", "shortname":"IP"}, "WB" : {"fullname" : "Western blot", "shortname":"WB"}, "IHCFr" : {"fullname" : "Immunohistochemistry (Frozen sections)", "shortname":"IHC-Fr"}, "FlowCytIntra" : {"fullname" : "Flow Cytometry (Intracellular)", "shortname":"Flow Cyt (Intra)"} }, "product-promise": { "all": "all", "testedAndGuaranteed": "tested", "guaranteed": "expected", "predicted": "predicted", "notRecommended": "not-recommended" } }, "values": { "Human": { "IELISA-species-checked": "guaranteed", "IELISA-species-dilution-info": "", "IELISA-species-notes": "", "IHCP-species-checked": "testedAndGuaranteed", "IHCP-species-dilution-info": "1/10000", "IHCP-species-notes": "<p></p>", "ICCIF-species-checked": "notRecommended", "ICCIF-species-dilution-info": "1/1000", "ICCIF-species-notes": "<p></p>", "IP-species-checked": "guaranteed", "IP-species-dilution-info": "", "IP-species-notes": "", "WB-species-checked": "notRecommended", "WB-species-dilution-info": "1/1000", "WB-species-notes": "<p></p>", "IHCFr-species-checked": "guaranteed", "IHCFr-species-dilution-info": "", "IHCFr-species-notes": "", "FlowCytIntra-species-checked": "guaranteed", "FlowCytIntra-species-dilution-info": "", "FlowCytIntra-species-notes": "" }, "Mouse": { "IELISA-species-checked": "guaranteed", "IELISA-species-dilution-info": "", "IELISA-species-notes": "", "IHCP-species-checked": "testedAndGuaranteed", "IHCP-species-dilution-info": "1/10000", "IHCP-species-notes": "<p></p>", "ICCIF-species-checked": "testedAndGuaranteed", "ICCIF-species-dilution-info": "1/1000", "ICCIF-species-notes": "<p></p>", "IP-species-checked": "testedAndGuaranteed", "IP-species-dilution-info": "1/30", "IP-species-notes": "<p></p>", "WB-species-checked": "testedAndGuaranteed", "WB-species-dilution-info": "1/1000", "WB-species-notes": "<p></p>", "IHCFr-species-checked": "testedAndGuaranteed", "IHCFr-species-dilution-info": "1/1000", "IHCFr-species-notes": "<p>Heat mediated antigen retrieval using sodium citrate buffer (10mM citrate pH 6.0 + 0.05% Tween-20).</p>", "FlowCytIntra-species-checked": "testedAndGuaranteed", "FlowCytIntra-species-dilution-info": "", "FlowCytIntra-species-notes": "<p></p>" }, "Rat": { "IELISA-species-checked": "guaranteed", "IELISA-species-dilution-info": "", "IELISA-species-notes": "", "IHCP-species-checked": "testedAndGuaranteed", "IHCP-species-dilution-info": "1/10000", "IHCP-species-notes": "<p></p>", "ICCIF-species-checked": "guaranteed", "ICCIF-species-dilution-info": "", "ICCIF-species-notes": "", "IP-species-checked": "guaranteed", "IP-species-dilution-info": "", "IP-species-notes": "", "WB-species-checked": "testedAndGuaranteed", "WB-species-dilution-info": "1/1000", "WB-species-notes": "<p></p>", "IHCFr-species-checked": "testedAndGuaranteed", "IHCFr-species-dilution-info": "1/1000", "IHCFr-species-notes": "<p>Heat mediated antigen retrieval using sodium citrate buffer (10mM citrate pH 6.0 + 0.05% Tween-20).</p>", "FlowCytIntra-species-checked": "guaranteed", "FlowCytIntra-species-dilution-info": "", "FlowCytIntra-species-notes": "" }, "Recombinant fragment - Human": { "IELISA-species-checked": "testedAndGuaranteed", "IELISA-species-dilution-info": "", "IELISA-species-notes": "<p></p>", "IHCP-species-checked": "notRecommended", "IHCP-species-dilution-info": "", "IHCP-species-notes": "", "ICCIF-species-checked": "notRecommended", "ICCIF-species-dilution-info": "", "ICCIF-species-notes": "", "IP-species-checked": "notRecommended", "IP-species-dilution-info": "", "IP-species-notes": "", "WB-species-checked": "notRecommended", "WB-species-dilution-info": "", "WB-species-notes": "", "IHCFr-species-checked": "notRecommended", "IHCFr-species-dilution-info": "", "IHCFr-species-notes": "", "FlowCytIntra-species-checked": "notRecommended", "FlowCytIntra-species-dilution-info": "", "FlowCytIntra-species-notes": "" } } }

产品详情

What are recombinant multiclonals?
Recombinant multiclonals are a mixture of recombinant antibodies co-expressed from a library of heavy and light chains. They offer several advantages including:

  • - The sensitivity of polyclonal antibodies by recognising multiple epitopes
  • - High batch-to-batch consistency and reproducibility
  • - Improved sensitivity and specificity
  • - Long-term security of supply
  • - Animal-free batch production

View our range of recombinant multiclonal antibodies.

Patented technology
Our RabMAb® technology is a patented hybridoma-based technology for making rabbit monoclonal antibodies. For details on our patents, please refer to RabMAb® patents.

性能和储存信息

形式
Liquid
纯化工艺
Affinity purification Protein A
存储溶液
pH: 7.2 - 7.4 Preservative: 0.01% Sodium azide Constituents: PBS, 40% Glycerol (glycerin, glycerine), 0.05% BSA
运输条件
Blue Ice
推荐的短期储存时间
1-2 weeks
推荐的短期储存条件
+4°C
推荐的长期储存条件
-20°C
分装信息
Upon delivery aliquot
储存信息
Avoid freeze / thaw cycle

补充信息

This supplementary information is collated from multiple sources and compiled automatically.

Insulin a peptide hormone plays an essential mechanical role in carbohydrate and fat metabolism. Insulin alternatively known as bovine insulin in some research contexts has a molecular mass of around 5800 Da. Beta cells in the pancreas express insulin where it gets secreted directly into the bloodstream. The hormone regulates glucose levels by facilitating the uptake of glucose into cells such as muscle and adipose tissues.
Biological function summary

Insulin influences several key metabolic processes by binding to its receptor a component of the insulin receptor substrate family. This triggers a cascade of events within cells promoting the uptake of glucose and converting it into energy. Insulin operates as a singular entity but plays a critical role in forming a complex with its receptor. This interaction triggers downstream effects that alter the activity of enzymes and transcription factors involved in glucose and lipid metabolism.

Pathways

Insulin is critical for the regulation of the PI3K-AKT signaling pathway and the MAPK pathway. These pathways modulate processes such as cell growth proliferation and survival. Insulin interacts closely with other proteins in these pathways such as the insulin receptor substrate proteins and influences downstream proteins like AKT kinase which has a significant role in mediating the metabolic effects initiated by insulin binding.

Insulin is most notably linked to diabetes mellitus characterized by insufficient insulin production or action. This deficiency disrupts normal glucose homeostasis leading to hyperglycemia. Other associated proteins include glucagon which counteracts insulin's role in lowering blood glucose levels and IRS-1 an important element through which insulin signaling is transduced. Researchers utilize mouse insulin ELISA and insulin ELISA kits to better understand these relationships and develop treatments for insulin-related disorders.

产品实验方案

For this product, it's our understanding that no specific protocols are required. You can visit:

靶点信息

Insulin decreases blood glucose concentration. It increases cell permeability to monosaccharides, amino acids and fatty acids. It accelerates glycolysis, the pentose phosphate cycle, and glycogen synthesis in liver.
See full target information INS

文献 (3)

Recent publications for all applications. Explore the full list and refine your search

Nutrition & diabetes 13:24 PubMed38040681

2023

Urolithin C alleviates pancreatic β-cell dysfunction in type 1 diabetes by activating Nrf2 signaling.

Applications

Unspecified application

Species

Unspecified reactive species

Cheng Luo,Can Hou,Danyi Yang,Tingting Tan,Chen Chao

ACS omega 8:17304-17316 PubMed37214729

2023

Effects of a Proteoglycan on Type 2 Diabetic Rats and the Recovery of Rat Pancreatic Islets.

Applications

Unspecified application

Species

Unspecified reactive species

Fanzhen Yu,Yilong Teng,Jiaqi Li,Shutong Yang,Zeng Zhang,Yanming He,Hongjie Yang,Chuan-Fan Ding,Ping Zhou

Small (Weinheim an der Bergstrasse, Germany) 18:e2202566 PubMed36084222

2022

Sunlight-Controllable Biopharmaceutical Production for Remote Emergency Supply of Directly Injectable Therapeutic Proteins.

Applications

Unspecified application

Species

Unspecified reactive species

Bozhidar-Adrian Stefanov,Maysam Mansouri,Ghislaine Charpin-El Hamri,Martin Fussenegger
View all publications

Abcam Product Promise

我们致力于为您的研究提供高质量的试剂,为您科研的每一步提供支持。若我们的产品未能达到预期性能,我们向您提供 Abcam Product Promise 保障。
详情请参阅我们的条款与条件。

Please note: All products are 'FOR RESEARCH USE ONLY. NOT FOR USE IN DIAGNOSTIC OR THERAPEUTIC PROCEDURES'.

For licensing inquiries, please contact partnerships@abcam.com