JavaScript is disabled in your browser. Please enable JavaScript to view this website.
AB181547

Anti-Insulin 抗体 [EPR17359]

Anti-Insulin antibody [EPR17359]

  • BOND RX™ Validated
  • RabMAb
  • Recombinant
  • Lab Essentials
  • 20ul selling size
  • Advanced Validation
  • 了解详情

5

(11 Reviews)

|

(169 Publications)

Anti-Insulin antibody [EPR17359] (ab181547) is a rabbit monoclonal antibody detecting Insulin in Western Blot, IHC-P, ICC/IF, mIHC. Suitable for Human, Mouse, Rat.

- Multiplex IHC validated on the Leica BOND® MAX using Opal reagents
- Biophysical QC for unrivalled batch-batch consistency
- Over 90 publications

查看别名

Insulin, INS

14 Images
Multiplex immunohistochemistry - Anti-Insulin antibody [EPR17359] (AB181547)
  • mIHC

Lab

Multiplex immunohistochemistry - Anti-Insulin antibody [EPR17359] (AB181547)

Fluorescence multiplex immunohistochemical analysis of the human pancreas (Formalin/PFA-fixed paraffin-embedded sections). Panel A : merged staining of anti-Carboxypeptidase A (ab278044, magenta; Opal™690), anti-Cytokeratin 19 (ab195872, green; Opal™520) and anti-Insulin (ab181547, red; Opal™570) on human pancreas. Panel B : anti-Carboxypeptidase A stained on acinar cells. Panel C : anti-Cytokeratin 19 stained on centroacinar cells and ducts. Panel D : anti-Insulin stained on beta cells. Opal Polymer HRP Ms + Rb was used as a secondary antibody. The section was incubated in three rounds of staining : in the order of ab278044 at 1/4000 dilution (0.135 μg/ml), ab195872 at 1/8000 dilution (0.127 μg/ml), and ab181547 at 1/20000 dilution (0.053 μg/ml) for 30 mins at room temperature. Each round was followed by a separate fluorescent tyramide signal amplification system. The immunostaining was performed on a Leica Biosystems BOND® RX instrument with an Opal™ 4-color kit. Image acquisition was performed with Leica SP8 confocal microscope. Heat mediated antigen retrieval with Tris-EDTA buffer (pH 9.0, epitope retrieval solution2) for 20 mins. DAPI (blue) was used as a nuclear counter stain.

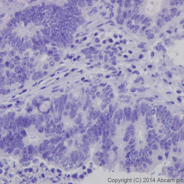
Immunohistochemistry (Formalin/PFA-fixed paraffin-embedded sections) - Anti-Insulin antibody [EPR17359] (AB181547)
  • IHC-P

Supplier Data

Immunohistochemistry (Formalin/PFA-fixed paraffin-embedded sections) - Anti-Insulin antibody [EPR17359] (AB181547)

Immunohistochemical analysis of paraffin-embedded human adenocarcinoma of colon tissue with ab181547 at 1/64000 dilution, followed by Anti-Rabbit HRP (ab97051) at 1/500 dilution.

Negative staining on human colonic adenocarcinoma is observed. Counterstained with hematoxylin.

Perform heat mediated antigen retrieval with Tris/EDTA buffer pH 9.0 before commencing with IHC staining protocol.

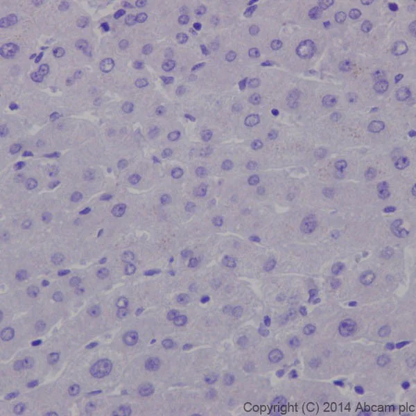
Immunohistochemistry (Formalin/PFA-fixed paraffin-embedded sections) - Anti-Insulin antibody [EPR17359] (AB181547)
  • IHC-P

Supplier Data

Immunohistochemistry (Formalin/PFA-fixed paraffin-embedded sections) - Anti-Insulin antibody [EPR17359] (AB181547)

Immunohistochemical analysis of paraffin-embedded human liver tissue with ab181547 at 1/64000 dilution, followed by Anti-Rabbit HRP (ab97051) at 1/500 dilution.

Negative staining on human liver tissue is observed. Counterstained with hematoxylin.

Perform heat mediated antigen retrieval with Tris/EDTA buffer pH 9.0 before commencing with IHC staining protocol.

Immunocytochemistry/ Immunofluorescence - Anti-Insulin antibody [EPR17359] (AB181547)
  • ICC/IF

Supplier Data

Immunocytochemistry/ Immunofluorescence - Anti-Insulin antibody [EPR17359] (AB181547)

Immunofluorescent analysis of 4% paraformaldehyde-fixed, 0.1% Triton X-100 permeabilized BxPC-3 (Human pancreas adenocarcinoma cells) cells labeling Insulin with ab181547 at 1/200 dilution, followed by Goat anti-rabbit IgG (Alexa Fluor® 488) (ab150077) secondary antibody at 1/400 dilution (green).

Confocal image shows cytoplasmic staining on BxPC-3 cells. The nuclear counterstain is DAPI (blue). Tubulin is detected with ab7291 (anti-Tubulin mouse mAb) at 1/500 dilution and ab150120 (Alexa Fluor® 594 Goat anti-Mouse secondary) at 1/500 dilution (red).

The negative controls are as follows : -
-ve control 1 : - ab181547 at 1/200 dilution followed by ab150120 (Alexa Fluor® 594 Goat anti-Mouse secondary) at 1/500 dilution.
-ve control 2 : - ab7291 (anti-Tubulin mouse mAb) at 1/500 dilution followed by ab150077 (Alexa Fluor®488 Goat Anti-Rabbit IgG H&L) at 1/400 dilution.

Immunohistochemistry (Formalin/PFA-fixed paraffin-embedded sections) - Anti-Insulin antibody [EPR17359] (AB181547)
  • IHC-P

Supplier Data

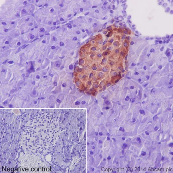
Immunohistochemistry (Formalin/PFA-fixed paraffin-embedded sections) - Anti-Insulin antibody [EPR17359] (AB181547)

Immunohistochemical analysis of paraffin-embedded human pancreas tissue labeling Insulin with ab181547 at 1/64000 dilution, followed by Anti-Rabbit HRP (ab97051) at 1/500 dilution.

Cytoplasm staining on islet cells of human pancreas is observed. Counterstained with hematoxylin.

Negative control : PBS instead of primary antibody; secondary antibody is Anti-Rabbit HRP (ab97051) at 1/500 dilution.

Perform heat mediated antigen retrieval with Tris/EDTA buffer pH 9.0 before commencing with IHC staining protocol.

Multiplex immunohistochemistry - Anti-Insulin antibody [EPR17359] (AB181547)
  • mIHC

Supplier Data

Multiplex immunohistochemistry - Anti-Insulin antibody [EPR17359] (AB181547)

Multiplex immunohistochemistry analysis of formalin/PFA-fixed paraffin-embedded mouse pancreas tissue staining CFTR with ab325171 at a 1 : 2000 (0.259 ug/ml) dilution, ab323181 anti-TMEM16A used at 1 : 1000 (0.532 ug/ml) dilution and ab181547 anti-Insulin used at a 1 : 20000 (0.053 ug/ml) dilution.

Panel A : anti-CFTR (green; Opal™520), anti-TMEM16A (magenta; Opal™690) and anti-Insulin (gray; Opal™570) on mouse pancreas.
Panel B : anti-CFTR staining centroacinar cells in mouse pancreas.
Panel C : anti-TMEM16A staining epithelium in mouse pancreas.
Panel D : anti-Insulin staining islet cells in mouse pancreas.
Nuclear DNA was labeled with DAPI (shown in blue).

The section was incubated in three rounds of staining : in the order of ab325171, ab323181 and ab181547 for 30 mins at room temperature. Each round was followed by a separate fluorescent tyramide signal amplification system.

The immunostaining was performed on a Leica Biosystems BOND® RX instrument with an Opal™ 4-color kit. Image acquisition was performed with Leica SP8 confocal microscope.

Nuclear counter stain with DAPI.

Heat mediated antigen retrieval was performed with Tris-EDTA buffer (pH 9.0, Epitope Retrieval Solution2) for 20 mins.

Immunohistochemistry (PFA perfusion fixed frozen sections) - Anti-Insulin antibody [EPR17359] (AB181547)
  • IHC-FoFr

Supplier Data

Immunohistochemistry (PFA perfusion fixed frozen sections) - Anti-Insulin antibody [EPR17359] (AB181547)

Immunohistochemical analysis of 4% paraformaldehyde perfusion fixed, frozen section of mouse pancreas tissue labeling Insulin with ab181547 at 1/1000 dilution, followed by Donkey anti-rabbit Alexa Fluor® 594 at 1/1000 dilution. Cytoplasm staining on islet cells of mouse pancreas is observed. Counter stained with DAPI.

Negative control : PBS instead of primary antibody; secondary antibody is Donkey anti-rabbit Alexa Fluor® 594 at 1/1000 dilution.

Immunohistochemistry (Formalin/PFA-fixed paraffin-embedded sections) - Anti-Insulin antibody [EPR17359] (AB181547)
  • IHC-P

Supplier Data

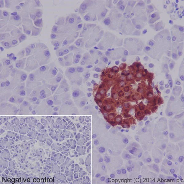
Immunohistochemistry (Formalin/PFA-fixed paraffin-embedded sections) - Anti-Insulin antibody [EPR17359] (AB181547)

Immunohistochemical analysis of paraffin-embedded mouse pancreas tissue labeling Insulin with ab181547 at 1/64000 dilution, followed by Anti-Rabbit HRP (ab97051) at 1/500 dilution. Cytoplasm staining on islet cells of mouse pancreas is observed. Counterstained with hematoxylin.

Negative control : PBS instead of primary antibody; secondary antibody is Anti-Rabbit HRP (ab97051) at 1/500 dilution.

Perform heat mediated antigen retrieval with Tris/EDTA buffer pH 9.0 before commencing with IHC staining protocol.

Immunohistochemistry (Formalin/PFA-fixed paraffin-embedded sections) - Anti-Insulin antibody [EPR17359] (AB181547)
  • IHC-P

Supplier Data

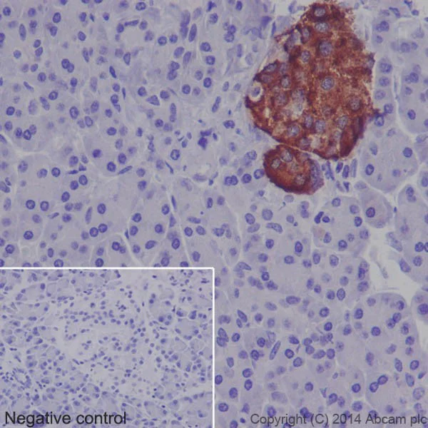
Immunohistochemistry (Formalin/PFA-fixed paraffin-embedded sections) - Anti-Insulin antibody [EPR17359] (AB181547)

Immunohistochemical analysis of paraffin-embedded rat pancreas tissue labeling Insulin with ab181547 at 1/64000 dilution, followed by Anti-Rabbit HRP (ab97051) at 1/500 dilution. Cytoplasm staining on islet cells of rat pancreas is observed. Counterstained with hematoxylin.

Negative control : PBS instead of primary antibody; secondary antibody is Anti-Rabbit HRP (ab97051) at 1/500 dilution.

Perform heat mediated antigen retrieval with Tris/EDTA buffer pH 9.0 before commencing with IHC staining protocol.

Immunohistochemistry (Formalin/PFA-fixed paraffin-embedded sections) - Anti-Insulin antibody [EPR17359] (AB181547)
  • IHC-P

Supplier Data

Immunohistochemistry (Formalin/PFA-fixed paraffin-embedded sections) - Anti-Insulin antibody [EPR17359] (AB181547)

Multiplex immunohistochemistry analysis of formalin/PFA-fixed paraffin-embedded mouse pancreas tissue staining MafA with ab324869 at a 1 : 100 (5.13 ug/ml) dilution, ab181547 anti-Insulin used at 1 : 20000 (0.053 ug/ml) dilution and ab209792 anti-GIP used at a 1 : 2000 (0.26 ug/ml) dilution.

Panel A : merged staining of anti-MafA (green; Opal™520), anti-Insulin (magenta; Opal™690) and anti-GIP (gray; Opal™570) on mouse pancreas.
Panel B : anti-MafA staining nucleus of beta cells in mouse pancreas islet.
Panel C : anti-Insulin staining cytoplasm of beta cells in mouse pancreas islet.
Panel D : anti-GIP staining the alpha cells in mouse pancreas islet.
Nuclear DNA was labeled with DAPI (shown in blue).

The section was incubated in three rounds of staining : in the order of ab324869, ab181547 and ab209792 for 30 mins at room temperature. Each round was followed by a separate fluorescent tyramide signal amplification system.

The immunostaining was performed on a Leica Biosystems BOND® RX instrument with an Opal™ 4-color kit. Image acquisition was performed with Leica SP8 confocal microscope.

Heat mediated antigen retrieval with Tris-EDTA buffer (pH 9.0, epitope retrieval solution2) for 20 mins.

Immunohistochemistry (Formalin/PFA-fixed paraffin-embedded sections) - Anti-Insulin antibody [EPR17359] (AB181547)
  • IHC-P

Supplier Data

Immunohistochemistry (Formalin/PFA-fixed paraffin-embedded sections) - Anti-Insulin antibody [EPR17359] (AB181547)

Multiplex immunohistochemistry analysis of formalin/PFA-fixed paraffin-embedded rat pancreas tissue staining MafA with ab324869 at a 1 : 100 (5.13 ug/ml) dilution, ab181547 anti-Insulin used at 1 : 20000 (0.053 ug/ml) dilution and ab209792 anti-GIP used at a 1 : 2000 (0.26 ug/ml) dilution.

Panel A : merged staining of anti-MafA (green; Opal™520), anti-Insulin (magenta; Opal™690) and anti-GIP (gray; Opal™570) on rat pancreas.
Panel B : anti-MafA staining nucleus of beta cells in rat pancreas islet.
Panel C : anti-Insulin staining cytoplasm of beta cells in rat pancreas islet.
Panel D : anti-GIP staining the alpha cells in rat pancreas islet.
Nuclear DNA was labeled with DAPI (shown in blue).

The section was incubated in three rounds of staining : in the order of ab324869, ab181547 and ab209792 for 30 mins at room temperature. Each round was followed by a separate fluorescent tyramide signal amplification system.

The immunostaining was performed on a Leica Biosystems BOND® RX instrument with an Opal™ 4-color kit. Image acquisition was performed with Leica SP8 confocal microscope.

Heat mediated antigen retrieval with Tris-EDTA buffer (pH 9.0, epitope retrieval solution2) for 20 mins.

Western blot - Anti-Insulin antibody [EPR17359] (AB181547)
  • WB

Unknown

Western blot - Anti-Insulin antibody [EPR17359] (AB181547)

Blocking/Diluting buffer and concentration : 5% NFDM/TBST

Observed MW : 12KDa

All lanes:

Western blot - Anti-Insulin antibody [EPR17359] (ab181547) at 1/1000 dilution

Lane 1:

Human pancreas at 20 µg

Lane 2:

Mouse pancreas at 20 µg

Lane 3:

Rat pancreas at 20 µg

Secondary

All lanes:

Goat Anti-Rabbit IgG (HRP) with minimal cross-reactivity with human IgG at 2000 µg/mL

Predicted band size: 12 kDa

false

Western blot - Anti-Insulin antibody [EPR17359] (AB181547)
  • WB

Lab

Western blot - Anti-Insulin antibody [EPR17359] (AB181547)

All lanes:

Western blot - Anti-Insulin antibody [EPR17359] (ab181547) at 1/1000 dilution

All lanes:

Mouse pancreas lysate 20 µg at 20 µg

Secondary

All lanes:

Western blot - Goat Anti-Rabbit IgG H&L (HRP) (<a href='/products/secondary-antibodies/goat-rabbit-igg-h-l-hrp-ab97051'>ab97051</a>) at 1/20000 dilution

Predicted band size: 12 kDa

Observed band size: 12 kDa

false

Western blot - Anti-Insulin antibody [EPR17359] (AB181547)
  • WB

CiteAb

Western blot - Anti-Insulin antibody [EPR17359] (AB181547)

Insulin western blot using anti-Insulin antibody [EPR17359] ab181547. Publication image and figure legend from Spohrer, S., Gross, R., et al., 2017, Sci Rep, PubMed 29180680.

ab181547 was used in this publication in western blot. This may not be the same as the application(s) guaranteed by Abcam. For a full list of applications guaranteed by Abcam for ab181547 please see the product overview.

Effect of CK2 inhibition on insulin expression and secretion of isolated pancreatic islets. (a) Isolated islets were treated with CX-4945 (10 μM) or DMSO as a solvent control for 24 h. Subsequently, protein extracts were generated and CK2 kinase activity was determined. DMSO treated islets were set 100%. Statistical analysis was performed by using Students t-test, **p < 0.01. (b) Light microscopic images of isolated islets which were treated with CX-4945 (10 μM) or DMSO as a solvent control for 24 h. Treatment with 100 μM H2O2 served as positive control for a treatment with an impact on cell viability. After treatment, islets viability was analysed after trypan blue and neutral red staining with a LEICA DMIL microscope and a LEICA DFC450 C camera. Scale bars : 100 μm. (c) Isolated islets were treated with CX-4945 (10 μM) or DMSO as a solvent control for 24 h and the expression of insulin and β-actin was analysed by Western blot. Full-length blots are presented in Supplementary Figure S2. (d) Quantitative analysis of (c). DMSO-treated islets were used as control and set 100%. Statistical analysis was performed by using Students t-test, *p < 0.05. (e) Pancreatic islets were treated with DMSO or 10 μM CX-4945 for 18 hours. After a glucose stimulus secreted insulin was determined in the cell culture supernatant with the rat/mouse insulin ELISA kit. DMSO treated islets were set 100%. Statistical analysis was performed by using Students t-test, **p < 0.01.

false

不同偶联物与剂型 (2)

  • 578 PE

    PE Anti-Insulin antibody [EPR17359]

  • Carrier free

    Anti-Insulin antibody [EPR17359] - BSA and Azide free

关键信息

宿主种属

Rabbit

克隆

Monoclonal

克隆号

EPR17359

亚型

IgG

不含载体蛋白

No

反应种属

Mouse, Rat, Human

应用

IHC-P, mIHC, IHC-FoFr, WB, ICC/IF

applications

免疫原

The exact immunogen used to generate this antibody is proprietary information.

特异性

The human recommendation is based on the IHC-P results. We do not guarantee WB for human.

反应性数据

{ "title": "Reactivity Data", "filters": { "stats": ["", "Species", "Dilution Info", "Notes"], "tabs": { "all-applications": {"fullname" : "All Applications", "shortname": "All Applications"}, "mIHC" : {"fullname" : "Multiplex immunohistochemistry", "shortname":"mIHC"}, "ICCIF" : {"fullname" : "Immunocytochemistry/ Immunofluorescence", "shortname":"ICC/IF"}, "WB" : {"fullname" : "Western blot", "shortname":"WB"}, "IHCFoFr" : {"fullname" : "Immunohistochemistry (PFA perfusion fixed frozen sections)", "shortname":"IHC-FoFr"}, "IHCP" : {"fullname" : "Immunohistochemistry (Formalin/PFA-fixed paraffin-embedded sections)", "shortname":"IHC-P"} }, "product-promise": { "all": "all", "testedAndGuaranteed": "tested", "guaranteed": "expected", "predicted": "predicted", "notRecommended": "not-recommended" } }, "values": { "Human": { "mIHC-species-checked": "testedAndGuaranteed", "mIHC-species-dilution-info": "1/20000", "mIHC-species-notes": "<p></p>", "ICCIF-species-checked": "testedAndGuaranteed", "ICCIF-species-dilution-info": "1/200", "ICCIF-species-notes": "<p></p>", "WB-species-checked": "notRecommended", "WB-species-dilution-info": "", "WB-species-notes": "<p></p>", "IHCFoFr-species-checked": "guaranteed", "IHCFoFr-species-dilution-info": "", "IHCFoFr-species-notes": "", "IHCP-species-checked": "testedAndGuaranteed", "IHCP-species-dilution-info": "1/64000", "IHCP-species-notes": "<p></p> Perform heat-mediated antigen retrieval with Tris/EDTA buffer pH 9.0 before commencing with IHC staining protocol." }, "Mouse": { "mIHC-species-checked": "guaranteed", "mIHC-species-dilution-info": "", "mIHC-species-notes": "", "ICCIF-species-checked": "guaranteed", "ICCIF-species-dilution-info": "", "ICCIF-species-notes": "", "WB-species-checked": "testedAndGuaranteed", "WB-species-dilution-info": "", "WB-species-notes": "<p></p>", "IHCFoFr-species-checked": "testedAndGuaranteed", "IHCFoFr-species-dilution-info": "1/1000", "IHCFoFr-species-notes": "<p></p>", "IHCP-species-checked": "testedAndGuaranteed", "IHCP-species-dilution-info": "1/64000", "IHCP-species-notes": "<p></p> Perform heat-mediated antigen retrieval with Tris/EDTA buffer pH 9.0 before commencing with IHC staining protocol." }, "Rat": { "mIHC-species-checked": "guaranteed", "mIHC-species-dilution-info": "", "mIHC-species-notes": "", "ICCIF-species-checked": "guaranteed", "ICCIF-species-dilution-info": "", "ICCIF-species-notes": "", "WB-species-checked": "testedAndGuaranteed", "WB-species-dilution-info": "", "WB-species-notes": "<p></p>", "IHCFoFr-species-checked": "guaranteed", "IHCFoFr-species-dilution-info": "", "IHCFoFr-species-notes": "", "IHCP-species-checked": "testedAndGuaranteed", "IHCP-species-dilution-info": "1/64000", "IHCP-species-notes": "<p></p> Perform heat-mediated antigen retrieval with Tris/EDTA buffer pH 9.0 before commencing with IHC staining protocol." } } }

产品详情

Product Specifications
Anti-Insulin antibody [EPR17359] (ab181547) was developed by Abcam using patented rabbit monoclonal antibody technology and is validated for use in ICC/IF, IHC-FoFr, IHC-P, WB, mIHC in human, mouse, rat samples.
Anti-Insulin antibody [EPR17359] (ab181547) specifically detects Insulin (UniProt ID: P01308; Molecular weight: 3kDa) and is sold in a convenient trial size to enable initial testing (20 µL) and larger sizes for subsequent scaling up experiments (100 µL and 1 mL).

Quality and Validation
Abcam's high quality manufacturing and validation processes ensure Anti-Insulin antibody [EPR17359] (ab181547) has high sensitivity and specificity alongside high lot-to-lot consistency and reproducibility.
Anti-Insulin antibody [EPR17359] (ab181547) has been cited over 98 times in peer reviewed journals and is trusted by the scientific community.
Anti-Insulin antibody [EPR17359] (ab181547) has 11 independent reviews from customers.

Related Products
Antibody clone EPR17359 is also available pre-conjugated to a variety of labels for your convenience - PE (ab213192).

Patented technology
Our RabMAb® technology is a patented hybridoma-based technology for making rabbit monoclonal antibodies. For details on our patents, please refer to RabMAb® patents.

What are the advantages of a recombinant monoclonal antibody?
This product is a recombinant monoclonal antibody, which offers several advantages including:

  • - High batch-to-batch consistency and reproducibility
  • - Improved sensitivity and specificity
  • - Long-term security of supply
  • - Animal-free batch production

For more information, read more on recombinant antibodies.

性能和储存信息

形式
Liquid
纯化工艺
Affinity purification Protein A
存储溶液
Preservative: 0.01% Sodium azide Constituents: PBS, 40% Glycerol (glycerin, glycerine), 0.05% BSA
运输条件
Blue Ice
推荐的短期储存时间
1-2 weeks
推荐的短期储存条件
+4°C
推荐的长期储存条件
-20°C
分装信息
Upon delivery aliquot
储存信息
Avoid freeze / thaw cycle

补充信息

This supplementary information is collated from multiple sources and compiled automatically.

Insulin a peptide hormone plays an essential mechanical role in carbohydrate and fat metabolism. Insulin alternatively known as bovine insulin in some research contexts has a molecular mass of around 5800 Da. Beta cells in the pancreas express insulin where it gets secreted directly into the bloodstream. The hormone regulates glucose levels by facilitating the uptake of glucose into cells such as muscle and adipose tissues.
Biological function summary

Insulin influences several key metabolic processes by binding to its receptor a component of the insulin receptor substrate family. This triggers a cascade of events within cells promoting the uptake of glucose and converting it into energy. Insulin operates as a singular entity but plays a critical role in forming a complex with its receptor. This interaction triggers downstream effects that alter the activity of enzymes and transcription factors involved in glucose and lipid metabolism.

Pathways

Insulin is critical for the regulation of the PI3K-AKT signaling pathway and the MAPK pathway. These pathways modulate processes such as cell growth proliferation and survival. Insulin interacts closely with other proteins in these pathways such as the insulin receptor substrate proteins and influences downstream proteins like AKT kinase which has a significant role in mediating the metabolic effects initiated by insulin binding.

Insulin is most notably linked to diabetes mellitus characterized by insufficient insulin production or action. This deficiency disrupts normal glucose homeostasis leading to hyperglycemia. Other associated proteins include glucagon which counteracts insulin's role in lowering blood glucose levels and IRS-1 an important element through which insulin signaling is transduced. Researchers utilize mouse insulin ELISA and insulin ELISA kits to better understand these relationships and develop treatments for insulin-related disorders.

产品实验方案

For this product, it's our understanding that no specific protocols are required. You can visit:

靶点信息

Insulin decreases blood glucose concentration. It increases cell permeability to monosaccharides, amino acids and fatty acids. It accelerates glycolysis, the pentose phosphate cycle, and glycogen synthesis in liver.
See full target information INS

文献 (169)

Recent publications for all applications. Explore the full list and refine your search

Experimental and therapeutic medicine 30:206 PubMed40927642

2025

Enhanced SLC2A4 expression mitigates insulin resistance in gestational diabetes mellitus via the FoxO signaling pathway .

Applications

Unspecified application

Species

Unspecified reactive species

Yanqi Jin,Xiaoyan Cheng,Jinting Wu,Yi Zhu,Hui Xu,Chunyu Cao

Science advances 11:eady8566 PubMed40779638

2025

Heparan sulfate fine-tuned interleukin-1 (IL-1) signaling inhibits insulin secretion of grafted pancreatic islets.

Applications

Unspecified application

Species

Unspecified reactive species

Selina Wrublewsky,Sandra Rother,Franziska Pohlemann,Toni Radanovic,Fabian Junker,Anne S Boewe,Stefan Schunk,Leticia P Roma,Gloria Ruiz-Gómez,M Teresa Pisabarro,Patrick E MacDonald,Michael D Menger,Matthias W Laschke,Emmanuel Ampofo

Diseases (Basel, Switzerland) 13: PubMed40710003

2025

Uric Acid Causes Pancreatic β Cell Death and Dysfunction via Modulating CHOP-Mediated Endoplasmic Reticulum Stress Pathways.

Applications

Unspecified application

Species

Unspecified reactive species

Xueyan Li,Yunan Chen,Lei Su,Jialin He

Gels (Basel, Switzerland) 11: PubMed40710679

2025

Rat Islet pECM Hydrogel-Based Microencapsulation: A Protective Niche for Xenotransplantation.

Applications

Unspecified application

Species

Unspecified reactive species

Michal Skitel Moshe,Stasia Krishtul,Anastasia Brandis,Rotem Hayam,Shani Hamias,Mazal Faraj,Tzila Davidov,Inna Kovrigina,Limor Baruch,Marcelle Machluf

Genes & diseases 12:101621 PubMed40641525

2025

miR-146b/Btg2 axis as a potential inducer of islet beta-cell decline during the progression of obesity to T2DM.

Applications

Unspecified application

Species

Unspecified reactive species

Weixuan Wang,Dan Ma,Yong Chen,Rui Cheng,Ting Zhang,Qian Ge,Xi Li

Nature communications 16:6278 PubMed40640117

2025

Body temperature regulates glucose metabolism and torpid behavior.

Applications

Unspecified application

Species

Unspecified reactive species

Ming-Liang Lee,Ching-Pu Chang,Chitoku Toda,Tomomi Nemoto,Ryosuke Enoki

PloS one 20:e0326676 PubMed40569910

2025

Effects of Conocarpus lancifolius and crocin on superoxide dismutase and protein kinase B genes and protein expressions in diabetic rats.

Applications

Unspecified application

Species

Unspecified reactive species

Mohamed Lotfy,Abdallah Khalaf,Faisal AlBarghouthy,Abdulla Alhashmi,Hesham Adam,Abdulla Almesmari,Biduth Kundu,Taoufik Ksiksi

World journal of diabetes 16:102994 PubMed40487620

2025

TERT/FOXO1 signaling promotes islet β-cell dysfunction in type 2 diabetes mellitus by regulating ATG9A-mediated autophagy.

Applications

Unspecified application

Species

Unspecified reactive species

Xiao-Tian Lei,Xiang-Fen Chen,Sheng Qiu,Jia-Ying Tang,Shan Geng,Gang-Yi Yang,Qi-Nan Wu

Bioactive materials 51:276-292 PubMed40487241

2025

Subaqueous acoustic pressure system based one day heterotypic pseudo-islet spheroid formation with adipose derived stem cells for graft survival-related function enhancement.

Applications

Unspecified application

Species

Unspecified reactive species

Jiyu Hyun,Junhyeung Park,Jihun Song,Chaerim Yoo,Seonmi Jang,Sang Yoon Lee,Jiseon An,Hyun Su Park,Seunghyuk Jung,Dasom Kong,Ji Hyeon Cho,Tae Il Lee,Ki Dong Park,Gwang-Bum Im,Jee-Heon Jeong,Hyun-Ji Park,Dong Yun Lee,Suk Ho Bhang

International journal of molecular sciences 26: PubMed40429740

2025

Effects of Combination Treatment with Leptin and Liraglutide on Glucose Metabolism in Insulin-Dependent Diabetic Mice.

Applications

Unspecified application

Species

Unspecified reactive species

Linlin Fu,Mariko Sugiyama,Shahriar Kamal,Tsubasa Ide,Tadashi Takeda,Mitsuhiro Kuno,Hiroshi Takagi,Teruhiko Koike,Hiroshi Arima,Ryoichi Banno
View all publications

Abcam Product Promise

我们致力于为您的研究提供高质量的试剂,为您科研的每一步提供支持。若我们的产品未能达到预期性能,我们向您提供 Abcam Product Promise 保障。
详情请参阅我们的条款与条件。

Please note: All products are 'FOR RESEARCH USE ONLY. NOT FOR USE IN DIAGNOSTIC OR THERAPEUTIC PROCEDURES'.

For licensing inquiries, please contact partnerships@abcam.com