JavaScript is disabled in your browser. Please enable JavaScript to view this website.
AB9569

Anti-Insulin抗体[E2E3]

Anti-Insulin antibody [E2E3]

4

(2 Reviews)

|

(8 Publications)

Mouse Monoclonal Insulin antibody. Suitable for IHC-P and reacts with Human samples. Cited in 8 publications. Immunogen corresponding to Full Length Protein corresponding to Pig INS.

查看别名

Insulin, INS

2 Images
Immunohistochemistry (Formalin/PFA-fixed paraffin-embedded sections) - Anti-Insulin antibody [E2E3] (AB9569)
  • IHC-P

Unknown

Immunohistochemistry (Formalin/PFA-fixed paraffin-embedded sections) - Anti-Insulin antibody [E2E3] (AB9569)

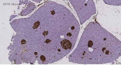
Human pancreas stained with ab9569.The antibody labels the cytoplasm of ß cells in pancreatic islands and insulinomas (tested on formalin-fixed, paraffin embedded tissue sections using the Streptavidin-biotinylated peroxidase method).

Immunohistochemistry (Formalin/PFA-fixed paraffin-embedded sections) - Anti-Insulin antibody [E2E3] (AB9569)
  • IHC-P

AbReview53861****

Immunohistochemistry (Formalin/PFA-fixed paraffin-embedded sections) - Anti-Insulin antibody [E2E3] (AB9569)

Formalin-fixed, paraffin-embedded monkey pancreas tissue stained for Insulin using ab9569 at 1/800 dilution in immunhistochemical analysis.

Goat Ani-mouse HRP was used as the secondary antibody.

Image courtesy of an abreview from Nizar Mourad.

关键信息

宿主种属

Mouse

克隆

Monoclonal

克隆号

E2E3

亚型

IgG1

轻链类型

kappa

不含载体蛋白

No

反应种属

Human

应用

IHC-P

applications

免疫原

Full Length Protein corresponding to Pig INS. The exact immunogen used to generate this antibody is proprietary information.

P01315

特异性

The antibody recognizes the biologically most active forms of insulin on the C terminal end. The antibody labels the cytoplasm of beta cells in pancreatic islands and insulinomas (tested on formalin-fixed, paraffin-embedded tissue sections using the Streptavidin-biotinylated peroxidase method).

反应性数据

{ "title": "Reactivity Data", "filters": { "stats": ["", "Species", "Dilution Info", "Notes"], "tabs": { "all-applications": {"fullname" : "All Applications", "shortname": "All Applications"}, "IHCP" : {"fullname" : "Immunohistochemistry (Formalin/PFA-fixed paraffin-embedded sections)", "shortname":"IHC-P"} }, "product-promise": { "all": "all", "testedAndGuaranteed": "tested", "guaranteed": "expected", "predicted": "predicted", "notRecommended": "not-recommended" } }, "values": { "Human": { "IHCP-species-checked": "testedAndGuaranteed", "IHCP-species-dilution-info": "1/100", "IHCP-species-notes": "<p>Staining of formalin-fixed tissue sections requirestreating in boiling 10mM citrate buffer, pH 6.0 for 10-20 minutes. Primary may be incubated for 60 mins at RT.</p>" } } }

性能和储存信息

形式
Liquid
纯化工艺
Affinity purification Protein A
存储溶液
Preservative: 0.097% Sodium azide Constituents: 0.2% BSA
运输条件
Blue Ice
推荐的短期储存时间
1-2 weeks
推荐的短期储存条件
+4°C
推荐的长期储存条件
-20°C
储存信息
Avoid freeze / thaw cycle

补充信息

This supplementary information is collated from multiple sources and compiled automatically.

Insulin a peptide hormone plays an essential mechanical role in carbohydrate and fat metabolism. Insulin alternatively known as bovine insulin in some research contexts has a molecular mass of around 5800 Da. Beta cells in the pancreas express insulin where it gets secreted directly into the bloodstream. The hormone regulates glucose levels by facilitating the uptake of glucose into cells such as muscle and adipose tissues.
Biological function summary

Insulin influences several key metabolic processes by binding to its receptor a component of the insulin receptor substrate family. This triggers a cascade of events within cells promoting the uptake of glucose and converting it into energy. Insulin operates as a singular entity but plays a critical role in forming a complex with its receptor. This interaction triggers downstream effects that alter the activity of enzymes and transcription factors involved in glucose and lipid metabolism.

Pathways

Insulin is critical for the regulation of the PI3K-AKT signaling pathway and the MAPK pathway. These pathways modulate processes such as cell growth proliferation and survival. Insulin interacts closely with other proteins in these pathways such as the insulin receptor substrate proteins and influences downstream proteins like AKT kinase which has a significant role in mediating the metabolic effects initiated by insulin binding.

Insulin is most notably linked to diabetes mellitus characterized by insufficient insulin production or action. This deficiency disrupts normal glucose homeostasis leading to hyperglycemia. Other associated proteins include glucagon which counteracts insulin's role in lowering blood glucose levels and IRS-1 an important element through which insulin signaling is transduced. Researchers utilize mouse insulin ELISA and insulin ELISA kits to better understand these relationships and develop treatments for insulin-related disorders.

产品实验方案

For this product, it's our understanding that no specific protocols are required. You can visit:

靶点信息

Insulin decreases blood glucose concentration. It increases cell permeability to monosaccharides, amino acids and fatty acids. It accelerates glycolysis, the pentose phosphate cycle, and glycogen synthesis in liver.
See full target information INS

文献 (8)

Recent publications for all applications. Explore the full list and refine your search

iScience 28:112354 PubMed40330888

2025

Synaptotagmin-7 deficit causes insulin hypoactivity and contributes to behavioral alterations in mice.

Applications

Unspecified application

Species

Unspecified reactive species

Yao-Nan Liu,Qiu-Wen Wang,Si-Yao Lu,Wei Shen,Chongye Guo,Zhikai Xing,Chang Li,Shan Sun,Sen-Fang Sui,Shuangli Mi,Fred H Gage,Jun Yao

Proceedings of the National Academy of Sciences of the United States of America 121:e2409138121 PubMed39495930

2024

Double transgenic neonatal porcine islets as an alternative source for beta cell replacement therapy.

Applications

Unspecified application

Species

Unspecified reactive species

Nizar I Mourad,Andrea Perota,Daela Xhema,Roberto Duchi,Irina Lagutina,Cesare Galli,Pierre Gianello

Developmental cell 58:727-743.e11 PubMed37040771

2023

Understanding cell fate acquisition in stem-cell-derived pancreatic islets using single-cell multiome-inferred regulomes.

Applications

Unspecified application

Species

Unspecified reactive species

Han Zhu,Gaowei Wang,Kim-Vy Nguyen-Ngoc,Dongsu Kim,Michael Miller,Georgina Goss,Jenna Kovsky,Austin R Harrington,Diane C Saunders,Alexander L Hopkirk,Rebecca Melton,Alvin C Powers,Sebastian Preissl,Francesca M Spagnoli,Kyle J Gaulton,Maike Sander

Journal of tissue engineering and regenerative medicine 12:1230-1237 PubMed29499099

2018

Decellularized pancreas as a native extracellular matrix scaffold for pancreatic islet seeding and culture.

Applications

Unspecified application

Species

Unspecified reactive species

Rajesh Guruswamy Damodaran,Patrick Vermette

Journal of cellular physiology 232:2878-2886 PubMed27925205

2017

Generation of Insulin-Producing Cells From Human-Induced Pluripotent Stem Cells Using a Stepwise Differentiation Protocol Optimized With Platelet-Rich Plasma.

Applications

Unspecified application

Species

Unspecified reactive species

Seyed Ehsan Enderami,Yousef Mortazavi,Masoud Soleimani,Samad Nadri,Alireza Biglari,Reyhaneh Nassiri Mansour

PloS one 8:e69640 PubMed23922766

2013

Alternative immunomodulatory strategies for xenotransplantation: CD80/CD86-CTLA4 pathway-modified immature dendritic cells promote xenograft survival.

Applications

IHC-P

Species

Unspecified reactive species

Min Tian,Yi Lv,Chao Zhai,Haitao Zhu,Liang Yu,Bo Wang

Xenotransplantation 18:40-5 PubMed21342286

2011

Porcine CTLA4-Ig prolong islet xenografts in rats by downregulating the direct pathway of T-cell activation.

Applications

Unspecified application

Species

Unspecified reactive species

Chao Zhai,Liang Yu,Haitao Zhu,Min Tian,Zhang Xiaogang,Wang Bo

Plant biotechnology journal 4:77-85 PubMed17177787

2006

Transgenic expression and recovery of biologically active recombinant human insulin from Arabidopsis thaliana seeds.

Applications

WB

Species

Human

Cory L Nykiforuk,Joseph G Boothe,Elizabeth W Murray,Richard G Keon,H Joseph Goren,Nancy A Markley,Maurice M Moloney
View all publications

Abcam Product Promise

我们致力于为您的研究提供高质量的试剂,为您科研的每一步提供支持。若我们的产品未能达到预期性能,我们向您提供 Abcam Product Promise 保障。
详情请参阅我们的条款与条件。

Please note: All products are 'FOR RESEARCH USE ONLY. NOT FOR USE IN DIAGNOSTIC OR THERAPEUTIC PROCEDURES'.

For licensing inquiries, please contact partnerships@abcam.com