JavaScript is disabled in your browser. Please enable JavaScript to view this website.
AB15323

Anti-iNOS 抗体

Anti-iNOS antibody

4

(20 Reviews)

|

(761 Publications)

Anti-iNOS antibody (ab15323) is a rabbit polyclonal antibody detecting iNOS in Western Blot, IHC-P. Suitable for Mouse, Rat,.

- Over 590 publications
- Trusted since 2004

查看别名

NOS2A, NOS2, Hepatocyte NOS, Inducible NO synthase, NOS type II, Peptidyl-cysteine S-nitrosylase NOS2, HEP-NOS, Inducible NOS, iNOS

6 Images
Western blot - Anti-iNOS antibody (AB15323)
  • WB

Lab

Western blot - Anti-iNOS antibody (AB15323)

This blot was produced using a 4-12% Bis-Tris gel under the MOPS buffer system under denaturing, reducing conditions. The gel was run at 200V for 60 minutes before being transferred onto a nitrocellulose membrane at 30V for 70 minutes. The membrane was then blocked for an hour before being incubated with rabbit polyclonal to iNOS (ab15323; 1 ug x mL-1 (based on antibody concentration of 0.2mg/ml - lot GR126616-1) and the loading control mouse anti-GAPDH antibody (ab8245; 1 : 10000) overnight at 4°C. Antibody binding was detected using infrared (IR) labelled goat anti-rabbit (green; 1 : 10000) and IR-goat anti-mouse (red; 1 : 10000) for 1 hour at room temperature before imaging.

All lanes:

Western blot - Anti-iNOS antibody (ab15323) at 1 µg/mL

Lane 1:

Raw264.7 at 20 µg

Lane 2:

Raw264.7 + LPS (1 ug per mL; 18 hours) at 20 µg

Secondary

All lanes:

IR- goat anti-rabbit (green) at 1/10000 dilution

Predicted band size: 131 kDa

false

Immunohistochemistry (Formalin/PFA-fixed paraffin-embedded sections) - Anti-iNOS antibody (AB15323)
  • IHC-P

Lab

Immunohistochemistry (Formalin/PFA-fixed paraffin-embedded sections) - Anti-iNOS antibody (AB15323)

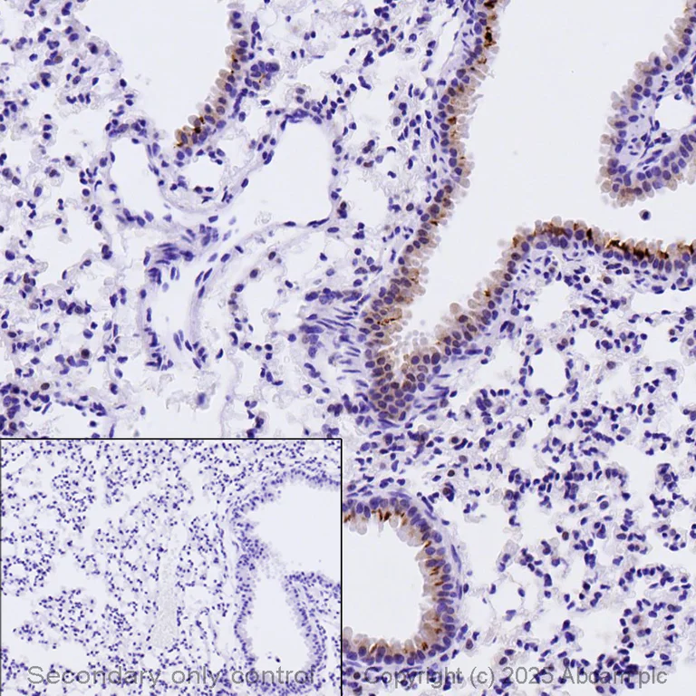
IHC image of iNOS staining in a section of formalin-fixed paraffin-embedded normal rat lung performed on a Leica BONDTM system using the standard protocol F. The section was pre-treated using heat mediated antigen retrieval with sodium citrate buffer (pH6, epitope retrieval solution 1) for 20mins. The section was then incubated with ab15323, 1/100 dilution, for 15 mins at room temperature and detected using an HRP conjugated compact polymer system. DAB was used as the chromogen. The section was then counterstained with haematoxylin and mounted with DPX. The inset secondary-only control image is taken from an identical assay without primary antibody.

For other IHC staining systems (automated and non-automated) customers should optimize variable parameters such as antigen retrieval conditions, primary antibody concentration and antibody incubation times.

Immunohistochemistry (Formalin/PFA-fixed paraffin-embedded sections) - Anti-iNOS antibody (AB15323)
  • IHC-P

Lab

Immunohistochemistry (Formalin/PFA-fixed paraffin-embedded sections) - Anti-iNOS antibody (AB15323)

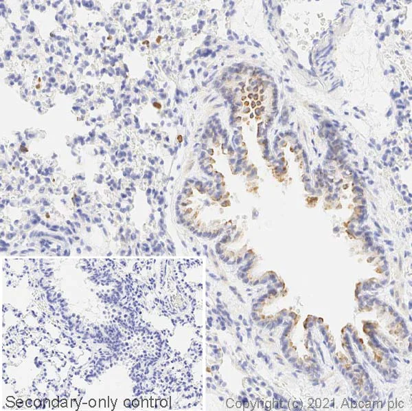
IHC image of iNOS staining in a section of formalin-fixed paraffin-embedded normal mouse lung performed on a Leica BONDTM system using the standard protocol F. The section was pre-treated using heat mediated antigen retrieval with sodium citrate buffer (pH6, epitope retrieval solution 1) for 20mins. The section was then incubated with ab15323, 1/100 dilution, for 15 mins at room temperature and detected using an HRP conjugated compact polymer system. DAB was used as the chromogen. The section was then counterstained with haematoxylin and mounted with DPX. The inset secondary-only control image is taken from an identical assay without primary antibody.

For other IHC staining systems (automated and non-automated) customers should optimize variable parameters such as antigen retrieval conditions, primary antibody concentration and antibody incubation times.

Immunohistochemistry (Formalin/PFA-fixed paraffin-embedded sections) - Anti-iNOS antibody (AB15323)
  • IHC-P

Lab

Immunohistochemistry (Formalin/PFA-fixed paraffin-embedded sections) - Anti-iNOS antibody (AB15323)

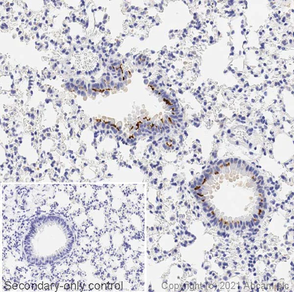
Immunohistochemical analysis of formalin fixed paraffin embedded mouse lung labelling iNOS with ab15323 at a concentration of 1µg/ml.

The immunostaining was performed on a Ventana DISCOVERY ULTRA (Roche Tissue Diagnostics) instrument with a ChromoMap DAB kit and anti-rabbit HQ and anti-HQ HRP detection.
Heat mediated antigen retrieval was performed with DISCOVERY cell conditioning solution (CC1) 100°C, pH8.5 for 32mins.
ab15323 Anti-iNOS antibody was incubated for 16mins at 37°C. Sections were counterstained with Hematoxylin II. Image inset shows absence of staining in secondary antibody only control.
Customers are encouraged to optimise antigen retrieval conditions, antibody concentration, incubation times and temperature for best results in their own IHC assay workflow (automated and manual).

Western blot - Anti-iNOS antibody (AB15323)
  • WB

Lab

Western blot - Anti-iNOS antibody (AB15323)

All lanes:

Western blot - Anti-iNOS antibody (ab15323) at 5 µg/mL

Lane 1:

Raw 264.7 whole cell lysate + PMA at 20 µg

Lane 2:

Raw 264.7 whole cell lysate + PMA + LPS + Brefeldin A at 20 µg

Predicted band size: 131 kDa

Observed band size: 140 kDa

true

Exposure time: 8min

Western blot - Anti-iNOS antibody (AB15323)
  • WB

Lab

Western blot - Anti-iNOS antibody (AB15323)

Membrane was blocked in 2% milk for 1 hour at RT. Primary anitbody was incubated at 4°C overnight.

All lanes:

Western blot - Anti-iNOS antibody (ab15323) at 5 µg/mL

Lane 1:

Human recombinant iNOS protein at 0.1 µg

Lane 2:

Mouse recombinant iNOS protein at 0.1 µg

Secondary

All lanes:

Western blot - Goat Anti-Rabbit IgG H&L (HRP) (<a href='/products/secondary-antibodies/goat-rabbit-igg-h-l-hrp-ab97051'>ab97051</a>) at 1/50000 dilution

Predicted band size: 131 kDa,47 kDa,68 kDa

true

Exposure time: 1min

关键信息

宿主种属

Rabbit

克隆

Polyclonal

亚型

IgG

不含载体蛋白

No

反应种属

Mouse, Rat

应用

WB, IHC-P

applications

免疫原

The exact immunogen used to generate this antibody is proprietary information.

特异性

The immunogen used to raise this antibody shares 84% homology with Rat iNOS.

反应性数据

{ "title": "Reactivity Data", "filters": { "stats": ["", "Species", "Dilution Info", "Notes"], "tabs": { "all-applications": {"fullname" : "All Applications", "shortname": "All Applications"}, "IHCP" : {"fullname" : "Immunohistochemistry (Formalin/PFA-fixed paraffin-embedded sections)", "shortname":"IHC-P"}, "WB" : {"fullname" : "Western blot", "shortname":"WB"} }, "product-promise": { "all": "all", "testedAndGuaranteed": "tested", "guaranteed": "expected", "predicted": "predicted", "notRecommended": "not-recommended" } }, "values": { "Mouse": { "IHCP-species-checked": "testedAndGuaranteed", "IHCP-species-dilution-info": "1/100", "IHCP-species-notes": "<p></p> Perform heat-mediated antigen retrieval with citrate buffer pH 6 before commencing with IHC staining protocol.", "WB-species-checked": "testedAndGuaranteed", "WB-species-dilution-info": "", "WB-species-notes": "<p>Please use at a assay dependent concentration. 1μg/ml was used of a 0.2mg/ml stock (lot GR126616-1). Otherwise 1/250 is recommended for any batches at lower concentration.</p>" }, "Rat": { "IHCP-species-checked": "testedAndGuaranteed", "IHCP-species-dilution-info": "1/100", "IHCP-species-notes": "<p></p> Perform heat-mediated antigen retrieval with citrate buffer pH 6 before commencing with IHC staining protocol.", "WB-species-checked": "guaranteed", "WB-species-dilution-info": "", "WB-species-notes": "" }, "Recombinant full length protein - Mouse": { "IHCP-species-checked": "notRecommended", "IHCP-species-dilution-info": "", "IHCP-species-notes": "", "WB-species-checked": "testedAndGuaranteed", "WB-species-dilution-info": "", "WB-species-notes": "<p>Please use at a assay dependent concentration. 1μg/ml was used of a 0.2mg/ml stock (lot GR126616-1). Otherwise 1/250 is recommended for any batches at lower concentration.</p>" } } }

产品详情

Product Specifications

Anti-iNOS antibody (ab15323) is a rabbit polyclonal antibody and is validated for use in IHC-P, WB in mouse, recombinant fragment samples.
Anti-iNOS antibody (ab15323) specifically detects iNOS (UniProt ID: P29477; Molecular weight: 131kDa) and is sold in 500 µL selling sizes.

Quality and Validation

Abcam's high quality validation processes ensure Anti-iNOS antibody (ab15323) has high sensitivity and specificity.
Anti-iNOS antibody (ab15323) has been cited over 595 times in peer reviewed journals and is trusted by the scientific community.
Anti-iNOS antibody (ab15323) has 20 independent reviews from customers.

性能和储存信息

形式
Liquid
纯化工艺
Affinity purification Immunogen
存储溶液
pH: 7.4 Preservative: 0.1% Sodium azide Constituents: PBS, 1% BSA
运输条件
Blue Ice
推荐的短期储存时间
1-2 weeks
推荐的短期储存条件
+4°C
推荐的长期储存条件
-20°C
分装信息
Upon delivery aliquot
储存信息
Avoid freeze / thaw cycle

补充信息

This supplementary information is collated from multiple sources and compiled automatically.

Inducible Nitric Oxide Synthase commonly referred to as iNOS or NOS2 is an important enzyme in the production of nitric oxide (NO) from L-arginine. This enzyme has a molecular weight of approximately 130 kDa and is expressed in various cell types including macrophages and hepatocytes. iNOS becomes active in response to inflammatory stimuli and can produce large amounts of NO for extended periods. Western blotting and iNOS ELISA kits are frequently used methods to detect and quantify the presence and activity of iNOS in different biological samples.
Biological function summary

INOS plays a significant role in the immune system by participating in the defense against pathogens. The enzyme is part of a molecular complex that generates NO which acts as a signaling molecule and has antimicrobial properties. iNOS activity is induced during immune responses and contributes to the elimination of bacteria and viruses through the production of reactive nitrogen species. Its expression is tightly regulated by cytokines and other signaling molecules that modulate the extent of its action.

Pathways

INOS integrates into the nitric oxide signaling pathway and is closely associated with inflammatory pathways. NO serves as a messenger within the nitric oxide signaling pathway facilitating processes like vasodilation and neurotransmission. iNOS works alongside other proteins such as cytokines like interferon-gamma that elevate its activity during inflammation and immune responses. The regulation of iNOS expression and activity plays an essential role in maintaining immune homeostasis and ensuring proper response to infections.

INOS is linked to conditions characterized by excessive inflammation such as rheumatoid arthritis and sepsis. In these diseases overproduction of nitric oxide by iNOS can lead to tissue damage and exacerbate symptoms. Additionally iNOS is associated with the protein TNF-alpha as its expression is often driven by inflammatory mediators during disease states. Understanding the role of iNOS in such conditions provides insights into potential therapeutic targets for managing inflammatory diseases.

产品实验方案

For this product, it's our understanding that no specific protocols are required. You can visit:

靶点信息

Produces nitric oxide (NO) which is a messenger molecule with diverse functions throughout the body (PubMed : 7504305, PubMed : 7531687, PubMed : 7544004, PubMed : 7682706). In macrophages, NO mediates tumoricidal and bactericidal actions. Also has nitrosylase activity and mediates cysteine S-nitrosylation of cytoplasmic target proteins such PTGS2/COX2 (By similarity). As component of the iNOS-S100A8/9 transnitrosylase complex involved in the selective inflammatory stimulus-dependent S-nitrosylation of GAPDH on 'Cys-247' implicated in regulation of the GAIT complex activity and probably multiple targets including ANXA5, EZR, MSN and VIM (PubMed : 25417112). Involved in inflammation, enhances the synthesis of pro-inflammatory mediators such as IL6 and IL8 (PubMed : 19688109).
See full target information NOS2

文献 (761)

Recent publications for all applications. Explore the full list and refine your search

PLoS pathogens 21:e1013563 PubMed41052208

2025

Dysplastic lung repair fosters a tuberculosis-promoting microenvironment through maladaptive macrophage polarization.

Applications

Unspecified application

Species

Unspecified reactive species

Shivraj M Yabaji,Suruchi Lata,Anna E Tseng,Prasanna Babu Araveti,Ming Lo,Igor Gavrish,Aoife K O'Connell,Hans P Gertje,Anna C Belkina,Colleen E Thurman,Hirofumi Kiyokawa,Darrell Kotton,Shumin Tan,Janice J Endsley,William R Bishai,Nicholas Crossland,Lester Kobzik,Igor Kramnik

eLife 14: PubMed41037321

2025

Lipid peroxidation and type I interferon coupling fuels pathogenic macrophage activation causing tuberculosis susceptibility.

Applications

Unspecified application

Species

Unspecified reactive species

Shivraj M Yabaji,Vadim Zhernovkov,Prasanna Babu Araveti,Suruchi Lata,Oleksii S Rukhlenko,Salam Al Abdullatif,Arthur Vanvalkenburg,Yuriy O Alekseyev,Qicheng Ma,Gargi Dayama,Nelson C Lau,W Evan Johnson,William R Bishai,Nicholas A Crossland,Joshua D Campbell,Boris N Kholodenko,Alexander A Gimelbrant,Lester Kobzik,Igor Kramnik

Journal of orthopaedic surgery and research 20:835 PubMed40999516

2025

Neuregulin 4 inhibits synovial macrophage pro-inflammatory polarization via ErbB4/Stat5b/NF-κB signaling to alleviate osteoarthritis progression.

Applications

Unspecified application

Species

Unspecified reactive species

Daoliang Jiang,Xiaoli Xu,Wenjing Yang,Mengjia Tang,Yuping Zhang,Lingfeng Shi,Jiongyu Hu

Parasite immunology 47:e70026 PubMed40947759

2025

In Situ Evaluation of Macrophage Populations and Inflammasome Components in Cutaneous and Mucocutaneous Leishmaniasis.

Applications

Unspecified application

Species

Unspecified reactive species

Caroline de Heleno Chagas de Carvalho,Gabriela Venicia Araujo Flores,Carmen Maria Sandoval Pacheco,Vania Lucia da Ribeiro da Matta,Carolina de Esteves de Morais,Ricardo Romiti,Walter Belda Júnior,Márcia Dalastra Laurenti

Foods (Basel, Switzerland) 14: PubMed40870713

2025

Low-Dose, Post-Storage Dancong Tea Attenuates Hydroalcohol-Induced Gastric Damage via Modulation Antioxidant and Anti-Inflammatory Pathways.

Applications

Unspecified application

Species

Unspecified reactive species

Huanwei Jian,Ruohong Chen,Lingli Sun,Qiuhua Li,Junxi Cao,Xingfei Lai,Zhenbiao Zhang,Suwan Zhang,Mengjiao Hao,Shili Sun,Zhongzheng Chen

Biomaterials research 29:0244 PubMed40873954

2025

Engineered Mesenchymal Stem Cell-Derived Small Extracellular Vesicles Mitigate Liver Fibrosis by Delivering USP10 to Reprogram Macrophage Phenotype.

Applications

Unspecified application

Species

Unspecified reactive species

Siyuan Tian,Xia Zhou,Linhua Zheng,Jingyi Liu,Miao Zhang,Shuoyi Ma,Xiaohong Zheng,Guanya Guo,Ruobing Ju,Fangfang Yang,Yansheng Liu,Bo Li,Yinan Hu,Erzhuo Xia,Rui Su,Keshuai Sun,Lina Cui,Changcun Guo,Xinmin Zhou,Jingbo Wang,Yulong Shang,Ying Han

Acta biochimica et biophysica Sinica : PubMed40836799

2025

Characterization of the mechanisms underlying sulfasalazine-induced ferroptotic cell death: role of protein disulfide isomerase-mediated NOS activation and NO accumulation.

Applications

Unspecified application

Species

Unspecified reactive species

Yi-Chen Jia,Jia-Ling Zhong,Xiangyu Hao,Bao Ting Zhu

Mediators of inflammation 2025:1654087 PubMed40838175

2025

Maxim. Alleviates Primary Dysmenorrhea in a Mouse Model by Modulating Myometrial Contractions via NF-κB/COX-2 Pathway Inhibition.

Applications

Unspecified application

Species

Unspecified reactive species

Min-Soo Kim,Kang-In Lee,Heung Joo Yuk,Yousang Jo,Hyungjun Kim,Ki-Sun Park

Drug development research 86:e70136 PubMed40785696

2025

Design, Synthesis, Biological Evaluation, and Computational Studies of Novel 1,4-Diketopiperazines as GABA Agonist.

Applications

Unspecified application

Species

Unspecified reactive species

Mostafa Abd El-Mohsen Anwar,Eman R Mohammed,Samir M El Moghazy,Nesma M E Abo El Nasr,Marawan A Elbaset,Reda M S Korany,Omar Ahmed-Farid,Ibrahim M Ibrahim,Walaa Hamada Abd-Allah

Experimental biology and medicine (Maywood, N.J.) 250:10456 PubMed40776976

2025

Vitamin D affects liver expression of pro-/anti-inflammatory cytokines and nitric oxide synthases in type 2 diabetes.

Applications

Unspecified application

Species

Unspecified reactive species

Ihor Shymanskyi,Olha Lisakovska,Mykola Veliky,Olha Mezhenska,Vasyl Bilous,Andrii Siromolot,Anna Khomenko,Dmytro Labudzynskyi,Tetyana Horid'ko,Elvira Pasichna
View all publications

Abcam Product Promise

我们致力于为您的研究提供高质量的试剂,为您科研的每一步提供支持。若我们的产品未能达到预期性能,我们向您提供 Abcam Product Promise 保障。
详情请参阅我们的条款与条件。

Please note: All products are 'FOR RESEARCH USE ONLY. NOT FOR USE IN DIAGNOSTIC OR THERAPEUTIC PROCEDURES'.

For licensing inquiries, please contact partnerships@abcam.com