JavaScript is disabled in your browser. Please enable JavaScript to view this website.
AB14087

Anti-Inhibin alpha抗体[R1]

Anti-Inhibin alpha antibody [R1]

5

(1 Review)

|

(5 Publications)

Mouse Monoclonal Inhibin alpha antibody. Suitable for IHC-P and reacts with Human samples. Cited in 5 publications. Immunogen corresponding to Synthetic Peptide within Human INHA aa 200-300.

查看别名

Inhibin alpha chain, INHA

8 Images
Immunohistochemistry (Formalin/PFA-fixed paraffin-embedded sections) - Anti-Inhibin alpha antibody [R1] (AB14087)
  • IHC-P

Supplier Data

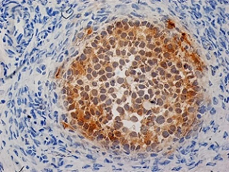
Immunohistochemistry (Formalin/PFA-fixed paraffin-embedded sections) - Anti-Inhibin alpha antibody [R1] (AB14087)

Immunohistochemical analysis of formalin fixed, paraffin embedded human testis tissue (showing sertoli cells, leydig cells and spermatogonia) labeling inhibin alpha with ab14087.

Immunohistochemistry (Formalin/PFA-fixed paraffin-embedded sections) - Anti-Inhibin alpha antibody [R1] (AB14087)
  • IHC-P

Supplier Data

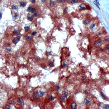
Immunohistochemistry (Formalin/PFA-fixed paraffin-embedded sections) - Anti-Inhibin alpha antibody [R1] (AB14087)

Immunohistochemical analysis of formalin fixed, paraffin embedded human testis tissue labeling inhibin alpha with ab14087. Following antigen retrieval in Tris/EDTA pH 9.0. Blocking with peroxidase blocking reagent and 10% normal goat serum. Visualization was with DAB substrate and counter-staining with haematoxylin.

Immunohistochemistry (Formalin/PFA-fixed paraffin-embedded sections) - Anti-Inhibin alpha antibody [R1] (AB14087)
  • IHC-P

Supplier Data

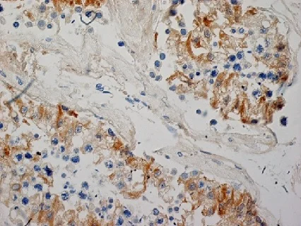
Immunohistochemistry (Formalin/PFA-fixed paraffin-embedded sections) - Anti-Inhibin alpha antibody [R1] (AB14087)

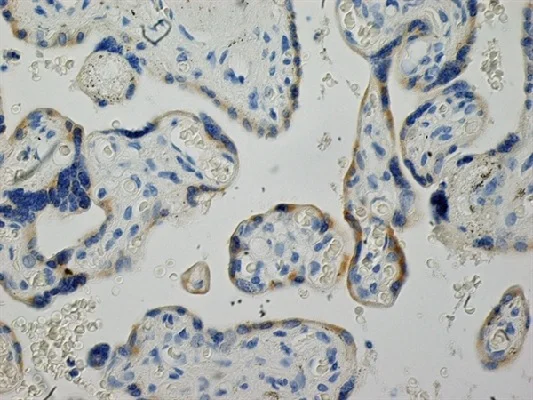
Immunohistochemical analysis of formalin fixed, paraffin embedded human placenta tissue labeling inhibin alpha with ab14087. Following antigen retrieval in Tris/EDTA pH 9.0. Blocking with peroxidase blocking reagent and 10% normal goat serum. Visualization was with DAB substrate and counter-staining with haematoxylin.

Immunohistochemistry (Formalin/PFA-fixed paraffin-embedded sections) - Anti-Inhibin alpha antibody [R1] (AB14087)
  • IHC-P

Supplier Data

Immunohistochemistry (Formalin/PFA-fixed paraffin-embedded sections) - Anti-Inhibin alpha antibody [R1] (AB14087)

Immunohistochemical analysis of formalin fixed, paraffin embedded human placenta tissue labeling inhibin alpha with ab14087. Following antigen retrieval in Tris/EDTA pH 9.0. Blocking with peroxidase blocking reagent and 10% normal goat serum. Visualization was with DAB substrate and counter-staining with haematoxylin.

Immunohistochemistry (Formalin/PFA-fixed paraffin-embedded sections) - Anti-Inhibin alpha antibody [R1] (AB14087)
  • IHC-P

Supplier Data

Immunohistochemistry (Formalin/PFA-fixed paraffin-embedded sections) - Anti-Inhibin alpha antibody [R1] (AB14087)

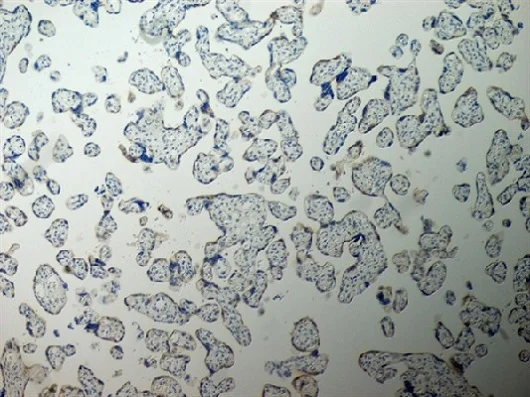
Immunohistochemical analysis of paraffin embedded human placenta tissue labeling inhibin alpha with ab14087. Blocking with 0.3% H2O2 and 10% normal goat serum. Visualization was with DAB substrate and counter-staining with haematoxylin.

Immunohistochemistry (Formalin/PFA-fixed paraffin-embedded sections) - Anti-Inhibin alpha antibody [R1] (AB14087)
  • IHC-P

Supplier Data

Immunohistochemistry (Formalin/PFA-fixed paraffin-embedded sections) - Anti-Inhibin alpha antibody [R1] (AB14087)

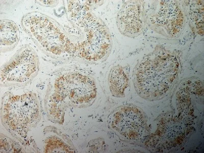
Immunohistochemical analysis of formalin fixed, paraffin embedded human testis tissue labeling inhibin alpha with ab14087. Following antigen retrieval in Tris/EDTA pH 9.0. Blocking with peroxidase blocking reagent and 10% normal goat serum. Visualization was with DAB substrate and counter-staining with haematoxylin.

Immunohistochemistry (Formalin/PFA-fixed paraffin-embedded sections) - Anti-Inhibin alpha antibody [R1] (AB14087)
  • IHC-P

Supplier Data

Immunohistochemistry (Formalin/PFA-fixed paraffin-embedded sections) - Anti-Inhibin alpha antibody [R1] (AB14087)

Immunohistochemical analysis of paraffin embedded human ovary tissue labeling inhibin alpha with ab14087. Blocking with 0.3% H2O2 and 10% normal goat serum. Visualization was with DAB substrate and counter-staining with haematoxylin.

Immunohistochemistry (Formalin/PFA-fixed paraffin-embedded sections) - Anti-Inhibin alpha antibody [R1] (AB14087)
  • IHC-P

Supplier Data

Immunohistochemistry (Formalin/PFA-fixed paraffin-embedded sections) - Anti-Inhibin alpha antibody [R1] (AB14087)

Immunohistochemical analysis of paraffin embedded human placenta tissue labeling inhibin alpha with ab14087. Blocking with 0.3% H2O2 and 10% normal goat serum. Visualization was with DAB substrate and counter-staining with haematoxylin.

关键信息

宿主种属

Mouse

克隆

Monoclonal

克隆号

R1

亚型

IgG2a

不含载体蛋白

No

反应种属

Human

应用

IHC-P

applications

免疫原

Synthetic Peptide within Human INHA aa 200-300. The exact immunogen used to generate this antibody is proprietary information.

P05111

反应性数据

{ "title": "Reactivity Data", "filters": { "stats": ["", "Species", "Dilution Info", "Notes"], "tabs": { "all-applications": {"fullname" : "All Applications", "shortname": "All Applications"}, "IHCP" : {"fullname" : "Immunohistochemistry (Formalin/PFA-fixed paraffin-embedded sections)", "shortname":"IHC-P"} }, "product-promise": { "all": "all", "testedAndGuaranteed": "tested", "guaranteed": "expected", "predicted": "predicted", "notRecommended": "not-recommended" } }, "values": { "Human": { "IHCP-species-checked": "testedAndGuaranteed", "IHCP-species-dilution-info": "1/1 - 1/50", "IHCP-species-notes": "<p>Neat - 1/1/50. Sodium citrate pH 6.0 is recommended for antigen retrieval.</p> Perform heat-mediated antigen retrieval before commencing with IHC staining protocol." } } }

产品详情

Inhibin alpha is expressed in a range of tissues including prostate, brain, adrenal gland, testis and ovary. The antibody may be of value in the differentiation of adrenocortical tumours, placental and gestational trophoblastic lesions and sex cord stromal tumours.

性能和储存信息

形式
Liquid
纯度
Tissue culture supernatant
存储溶液
Preservative: 0.08% Sodium azide Constituents: Tissue culture supernatant
运输条件
Blue Ice
推荐的短期储存时间
1-2 weeks
推荐的短期储存条件
+4°C
推荐的长期储存条件
-20°C
分装信息
Upon delivery aliquot
储存信息
Avoid freeze / thaw cycle

补充信息

This supplementary information is collated from multiple sources and compiled automatically.

Inhibin alpha also known as alpha-inhibin is a subunit of the inhibin protein complex. As a 32 kDa glycoprotein inhibin exerts its role as a modulator of hormone activities by forming heterodimers with various beta subunits typically expressed in the gonads adrenal glands and pituitary gland. Inhibin alpha not only influences the secretion of follicle-stimulating hormone (FSH) but also acts as an important player in reproductive endocrinology. Its expression can be assessed through inh alpha R1 and po12 markers offering insights through inhibin immunohistochemistry.
Biological function summary

Inhibin alpha forms part of the inhibin hormone complex which primarily serves as a negative regulator of FSH secretion. Insufficient levels of inhibin can disrupt normal metabolic functions impacting reproductive systems. The inhibin alpha subunit is vital for maintaining reproductive homeostasis and monitoring the inhibin staining pattern provides a useful diagnostic tool in reproductive health assessments. Inhibin binds to activin receptors where it blocks FSH release from the anterior pituitary gland reinforcing its role in managing the reproductive axis.

Pathways

Inhibin alpha is critically involved in the transforming growth factor-beta (TGF-beta) signaling pathway. This pathway plays a major role in cell differentiation and proliferation where inhibin competes with activin for the same receptors ultimately reducing FSH synthesis. Additionally inhibin functions within endocrine regulatory mechanisms ensuring the reproductive hormones maintain their balance alongside related proteins such as activin and follistatin each contributing uniquely to signaling processes.

Inhibin alpha alterations can significantly influence conditions like polycystic ovary syndrome (PCOS) and certain gonadal tumors. Abnormal levels of inhibin are often observed in PCOS where disrupted endocrine feedback leads to infertility issues. Gonadal tumors also relate to increased inhibin expression providing a biomarker for diagnosis and progression monitoring. Through these diseases inhibin alpha interacts with proteins such as luteinizing hormone playing part in their systemic dysfunctions within the affected individuals.

产品实验方案

For this product, it's our understanding that no specific protocols are required. You can visit:

靶点信息

Inhibins and activins inhibit and activate, respectively, the secretion of follitropin by the pituitary gland. Inhibins/activins are involved in regulating a number of diverse functions such as hypothalamic and pituitary hormone secretion, gonadal hormone secretion, germ cell development and maturation, erythroid differentiation, insulin secretion, nerve cell survival, embryonic axial development or bone growth, depending on their subunit composition. Inhibins appear to oppose the functions of activins.
See full target information INHA

文献 (5)

Recent publications for all applications. Explore the full list and refine your search

Cancer medicine 10:1485-1500 PubMed33611864

2021

An immature inhibin-α-expressing subpopulation of ovarian clear cell carcinoma cells is related to an unfavorable prognosis.

Applications

Unspecified application

Species

Unspecified reactive species

Shinya Kusumoto,Masako Kurashige,Kenji Ohshima,Shinichiro Tahara,Takahiro Matsui,Satoshi Nojima,Satoshi Hattori,Eiichi Morii

The Journal of dermatology 46:e484-e486 PubMed31456247

2019

Rare case of Leydig cell tumor with type I diabetes mellitus causing female pattern hair loss.

Applications

Unspecified application

Species

Unspecified reactive species

Miki Fukuda,Noriko Arase,Michio Otsuki,Kentaro Kuritani,Sachiko Hijiki,Satoshi Nojima,Ichiro Katayama,Mika Terao,Shigeki Inui,Manabu Fujimoto

Oncology letters 18:1133-1144 PubMed31423173

2019

Cystic and solitary nodular pulmonary metastases in a patient with low-grade endometrial stromal sarcoma: A case report and literature review.

Applications

Unspecified application

Species

Unspecified reactive species

Yang Xu,Zhi-Xin Liang,Jun-Tang Guo,Xin Su,Yun-Long Lu,Xi-Zhou Guan

Scientific reports 9:4594 PubMed30872646

2019

Primary neurons can enter M-phase.

Applications

Unspecified application

Species

Unspecified reactive species

Chaska C Walton,Wei Zhang,Iris Patiño-Parrado,Estíbaliz Barrio-Alonso,Juan-José Garrido,José M Frade

Oncology letters 14:1172-1178 PubMed28693292

2017

Computed tomography and magnetic resonance imaging features of ovarian fibrothecoma.

Applications

Unspecified application

Species

Unspecified reactive species

Jingya Chen,Jianhua Wang,Xiao Chen,Yaohui Wang,Zhongqiu Wang,Dake Li
View all publications

Abcam Product Promise

我们致力于为您的研究提供高质量的试剂,为您科研的每一步提供支持。若我们的产品未能达到预期性能,我们向您提供 Abcam Product Promise 保障。
详情请参阅我们的条款与条件。

Please note: All products are 'FOR RESEARCH USE ONLY. NOT FOR USE IN DIAGNOSTIC OR THERAPEUTIC PROCEDURES'.

For licensing inquiries, please contact partnerships@abcam.com