JavaScript is disabled in your browser. Please enable JavaScript to view this website.
AB312856

重组抗甲型流感Virus PB2蛋白抗体[EPR28249-46]

Anti-Influenza A Virus PB2 protein antibody [EPR28249-46]

  • BOND RX™ Validated
  • 20ul selling size
  • RabMAb
  • Recombinant
  • 了解详情

4

(1 Review)

|

(0 Publication)

Rabbit Recombinant Monoclonal PB2 antibody. Suitable for WB, IHC-P, Flow Cyt (Intra), ICC/IF, I-ELISA and reacts with Influenza A, Transfected cell lysate - Influenza A, Transfected cell line - Influenza A, Recombinant fragment - Influenza A samples.

查看别名

Polymerase basic protein 2, RNA-directed RNA polymerase subunit P3, PB2

7 Images
Immunocytochemistry/ Immunofluorescence - Anti-Influenza A Virus PB2 protein antibody [EPR28249-46] (AB312856)
  • ICC/IF

Supplier Data

Immunocytochemistry/ Immunofluorescence - Anti-Influenza A Virus PB2 protein antibody [EPR28249-46] (AB312856)

Immunofluorescent analysis of 4% Paraformaldehyde-fixed, 0.1% TritonX-100 permeabilized 293T (human embryonic kidney epithelial cell) cells labelling Influenza A Virus PB2 protein with ab312856 at 1/1000 (0.513 ug/ml) dilution, followed by ab150081 Goat Anti-Rabbit IgG H&L (Alexa Fluor® 488) preadsorbed antibody at 1/1000 (2 ug/ml) dilution (Green). Confocal image showing positive staining in 293T cells transfected with a Influenza A Virus PB2 protein expression vector containing a myc tag. Image was taken with a confocal microscope(Leica-Microsystems, TCS SP8). Myc-Tag Mouse mAb (Alexa Fluor® 647) was used to counterstain tubulin at 1/100 (0.38ug/ml) dilution (Red). The Nuclear counterstain was DAPI (Blue). Secondary antibody only control : Secondary antibody is ab150081 Goat Anti-Rabbit IgG H&L (Alexa Fluor® 488) preadsorbed at 1/1000 (2 ug/ml) dilution.

Immunohistochemistry (Formalin/PFA-fixed paraffin-embedded sections) - Anti-Influenza A Virus PB2 protein antibody [EPR28249-46] (AB312856)
  • IHC-P

Supplier Data

Immunohistochemistry (Formalin/PFA-fixed paraffin-embedded sections) - Anti-Influenza A Virus PB2 protein antibody [EPR28249-46] (AB312856)

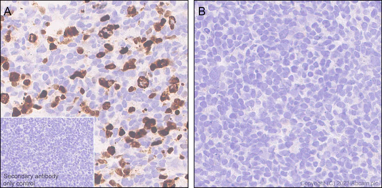
Immunohistochemical analysis of paraffin-embedded Panel A HEK-293T c tissue labeling Influenza A Virus PB2 protein with ab312856 at 1/2000 (0.257 ug/ml) followed by a ready to use LeicaDS9800 (Bond™ Polymer Refine Detection). Cytoplasmic staining on (A) HEK-293T transfected with a Influenza A Virus PB2 protein expression vector and no staining on (B) HEK-293T transfected with empty vector. The section was incubated with ab312856 for 30 mins at room temperature. The immunostaining was performed on a Leica Biosystems BOND® RX instrument. Counterstained with Hematoxylin. Secondary antibody only control : Secondary antibody is a ready to use LeicaDS9800 (Bond™ Polymer Refine Detection). Heat mediated antigen retrieval was performed with Tris-EDTA buffer (pH 9.0, Epitope Retrieval Solution2) for 20 mins.

Immunohistochemistry (Formalin/PFA-fixed paraffin-embedded sections) - Anti-Influenza A Virus PB2 protein antibody [EPR28249-46] (AB312856)
  • IHC-P

Supplier Data

Immunohistochemistry (Formalin/PFA-fixed paraffin-embedded sections) - Anti-Influenza A Virus PB2 protein antibody [EPR28249-46] (AB312856)

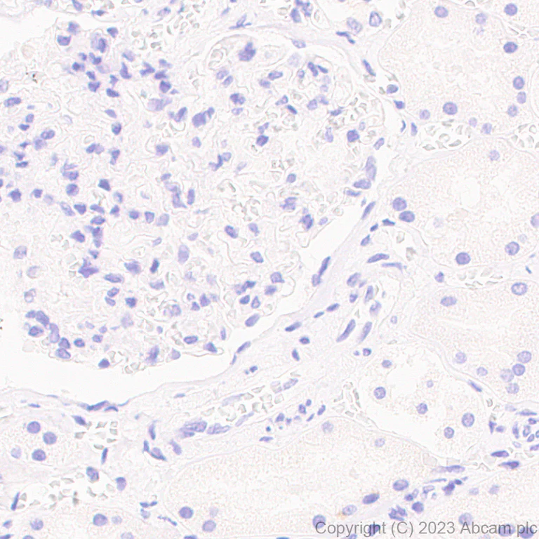
Immunohistochemical analysis of paraffin-embedded Human kidney tissue labeling Influenza A Virus PB2 protein with ab312856 at 1/2000 (0.257 ug/ml) followed by a ready to use LeicaDS9800 (Bond™ Polymer Refine Detection). Negative control : No staining on human kidney. The section was incubated with ab312856 for 30 mins at room temperature. The immunostaining was performed on a Leica Biosystems BOND® RX instrument. Counterstained with Hematoxylin. Secondary antibody only control : Secondary antibody is a ready to use LeicaDS9800 (Bond™ Polymer Refine Detection). Heat mediated antigen retrieval was performed with Tris-EDTA buffer (pH 9.0, Epitope Retrieval Solution2) for 20 mins.

Immunohistochemistry (Formalin/PFA-fixed paraffin-embedded sections) - Anti-Influenza A Virus PB2 protein antibody [EPR28249-46] (AB312856)
  • IHC-P

Supplier Data

Immunohistochemistry (Formalin/PFA-fixed paraffin-embedded sections) - Anti-Influenza A Virus PB2 protein antibody [EPR28249-46] (AB312856)

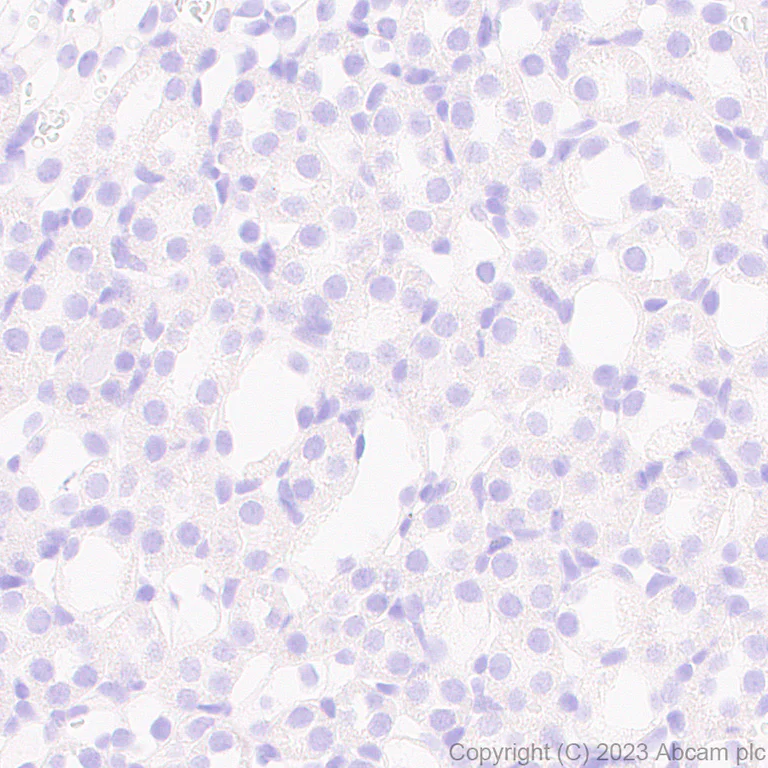
Immunohistochemical analysis of paraffin-embedded Mouse kidney tissue labeling Influenza A Virus PB2 protein with ab312856 at 1/2000 (0.257 ug/ml) followed by a ready to use LeicaDS9800 (Bond™ Polymer Refine Detection). Negative control : No staining on mouse kidney.The section was incubated with ab312856 for 30 mins at room temperature. The immunostaining was performed on a Leica Biosystems BOND® RX instrument. Counterstained with Hematoxylin. Secondary antibody only control : Secondary antibody is a ready to use LeicaDS9800 (Bond™ Polymer Refine Detection). Heat mediated antigen retrieval was performed with Tris-EDTA buffer (pH 9.0, Epitope Retrieval Solution2) for 20 mins.

Flow Cytometry (Intracellular) - Anti-Influenza A Virus PB2 protein antibody [EPR28249-46] (AB312856)
  • Flow Cyt (Intra)

Supplier Data

Flow Cytometry (Intracellular) - Anti-Influenza A Virus PB2 protein antibody [EPR28249-46] (AB312856)

Flow cytometric analysis of 4% paraformaldehyde fixed 90% methanol permeabilized Isotype (Left) / HEK-293T (human embryonic kidney epithelial cells) transfected with a Influenza A Virus PB2 protein expression vector containing a myc-his tag (Middle) / HEK-293T cells transfected with empty vector containing a myc-his tag (Right) cells labelling Influenza A Virus PB2 protein with ab312856 at 1/500 dilution (0.1 ug)/ Middle and Right (Red) compared with a Rabbit monoclonal IgG (ab172730) / Left isotype control and an unlabelled control (cells without incubation with primary antibody and secondary antibody) (Blue). A Goat Anti-Rabbit IgG (Alexa Fluor® 488, ab150081) at 1/5000 dilution was used as the secondary antibody.

Indirect ELISA - Anti-Influenza A Virus PB2 protein antibody [EPR28249-46] (AB312856)
  • I-ELISA

Supplier Data

Indirect ELISA - Anti-Influenza A Virus PB2 protein antibody [EPR28249-46] (AB312856)

Indirect ELISA analysis of abab312856 at 1000-0 ng/ml. The Secondary antibody used was Alkaline Phosphatase-conjugated AffiniPure Goat Anti-Rabbit IgG (H+L) at 1 : 2500 dilution. Antigen : Influenza A Virus PB2 protein. Antigen concentration : 1000 ng/ml

Western blot - Anti-Influenza A Virus PB2 protein antibody [EPR28249-46] (AB312856)
  • WB

Supplier Data

Western blot - Anti-Influenza A Virus PB2 protein antibody [EPR28249-46] (AB312856)

Blocking and diluting buffer and concentration : 5% NFDM/TBST In Western blot, anti-His antibody (ab213204) staining at 1/5000 dilution. Anti-GAPDH antibody (ab181602) loading control staining at 1/200000 dilution. Exposure time : 7 seconds

All lanes:

Western blot - Anti-Influenza A Virus PB2 protein antibody [EPR28249-46] (ab312856) at 1/1000 dilution

Lane 1:

HEK-293 (human embryonic kidney) transfected with an empty vector (vector control), containi a myc-His-tag® whole cell lysate at 20 µg

Lane 2:

HEK-293 transfected with a Influenza A Virus PB2 protein expression vector containi a myc-His-tag® whole cell lysate at 20 µg

Secondary

All lanes:

Western blot - Goat Anti-Rabbit IgG H&L (HRP) (<a href='/products/secondary-antibodies/goat-rabbit-igg-h-l-hrp-ab97051'>ab97051</a>) at 1/100000 dilution

Observed band size: 86 kDa

false

Exposure time: 7s

关键信息

宿主种属

Rabbit

克隆

Monoclonal

克隆号

EPR28249-46

亚型

IgG

不含载体蛋白

No

反应种属

Influenza A

应用

Flow Cyt (Intra), WB, ICC/IF, I-ELISA, IHC-P

applications

免疫原

The exact immunogen used to generate this antibody is proprietary information.

反应性数据

{ "title": "Reactivity Data", "filters": { "stats": ["", "Species", "Dilution Info", "Notes"], "tabs": { "all-applications": {"fullname" : "All Applications", "shortname": "All Applications"}, "WB" : {"fullname" : "Western blot", "shortname":"WB"}, "IHCP" : {"fullname" : "Immunohistochemistry (Formalin/PFA-fixed paraffin-embedded sections)", "shortname":"IHC-P"}, "FlowCytIntra" : {"fullname" : "Flow Cytometry (Intracellular)", "shortname":"Flow Cyt (Intra)"}, "ICCIF" : {"fullname" : "Immunocytochemistry/ Immunofluorescence", "shortname":"ICC/IF"}, "IELISA" : {"fullname" : "Indirect ELISA", "shortname":"I-ELISA"} }, "product-promise": { "all": "all", "testedAndGuaranteed": "tested", "guaranteed": "expected", "predicted": "predicted", "notRecommended": "not-recommended" } }, "values": { "Influenza A": { "WB-species-checked": "testedAndGuaranteed", "WB-species-dilution-info": "1/1000", "WB-species-notes": "<p></p>", "IHCP-species-checked": "testedAndGuaranteed", "IHCP-species-dilution-info": "1/2000", "IHCP-species-notes": "<p></p> Perform heat-mediated antigen retrieval with Tris/EDTA buffer pH 9.0 before commencing with IHC staining protocol.", "FlowCytIntra-species-checked": "testedAndGuaranteed", "FlowCytIntra-species-dilution-info": "1/500", "FlowCytIntra-species-notes": "<p></p>", "ICCIF-species-checked": "testedAndGuaranteed", "ICCIF-species-dilution-info": "1/1000", "ICCIF-species-notes": "<p></p>", "IELISA-species-checked": "guaranteed", "IELISA-species-dilution-info": "", "IELISA-species-notes": "" }, "Recombinant fragment - Influenza A": { "WB-species-checked": "notRecommended", "WB-species-dilution-info": "", "WB-species-notes": "", "IHCP-species-checked": "notRecommended", "IHCP-species-dilution-info": "", "IHCP-species-notes": "", "FlowCytIntra-species-checked": "notRecommended", "FlowCytIntra-species-dilution-info": "", "FlowCytIntra-species-notes": "", "ICCIF-species-checked": "notRecommended", "ICCIF-species-dilution-info": "", "ICCIF-species-notes": "", "IELISA-species-checked": "testedAndGuaranteed", "IELISA-species-dilution-info": "1000 ng/mL", "IELISA-species-notes": "<p>Use at 125 ng/ml</p>" }, "Transfected cell line - Influenza A": { "WB-species-checked": "notRecommended", "WB-species-dilution-info": "", "WB-species-notes": "", "IHCP-species-checked": "testedAndGuaranteed", "IHCP-species-dilution-info": "1/2000", "IHCP-species-notes": "<p></p> Perform heat-mediated antigen retrieval with Tris/EDTA buffer pH 9.0 before commencing with IHC staining protocol.", "FlowCytIntra-species-checked": "testedAndGuaranteed", "FlowCytIntra-species-dilution-info": "1/500", "FlowCytIntra-species-notes": "<p></p>", "ICCIF-species-checked": "testedAndGuaranteed", "ICCIF-species-dilution-info": "1/1000", "ICCIF-species-notes": "<p></p>", "IELISA-species-checked": "notRecommended", "IELISA-species-dilution-info": "", "IELISA-species-notes": "" }, "Transfected cell lysate - Influenza A": { "WB-species-checked": "testedAndGuaranteed", "WB-species-dilution-info": "1/1000", "WB-species-notes": "<p></p>", "IHCP-species-checked": "notRecommended", "IHCP-species-dilution-info": "", "IHCP-species-notes": "", "FlowCytIntra-species-checked": "notRecommended", "FlowCytIntra-species-dilution-info": "", "FlowCytIntra-species-notes": "", "ICCIF-species-checked": "notRecommended", "ICCIF-species-dilution-info": "", "ICCIF-species-notes": "", "IELISA-species-checked": "notRecommended", "IELISA-species-dilution-info": "", "IELISA-species-notes": "" } } }

产品详情

性能和储存信息

形式
Liquid
纯化工艺
Affinity purification Protein A
存储溶液
pH: 7.2 - 7.4 Preservative: 0.01% Sodium azide Constituents: PBS, 40% Glycerol (glycerin, glycerine), 0.05% BSA
运输条件
Blue Ice
推荐的短期储存时间
1-2 weeks
推荐的短期储存条件
+4°C
推荐的长期储存条件
-20°C
分装信息
Upon delivery aliquot
储存信息
Avoid freeze / thaw cycle

补充信息

This supplementary information is collated from multiple sources and compiled automatically.

Influenza A Polymerase basic protein 2 also known as PB2 protein plays an important mechanical role in the viral RNA polymerase complex which is necessary for viral replication. This protein has a molecular mass of approximately 87 kDa. PB2 is expressed within infected host cells and is a component of the influenza A virus polymerase complex along with PA and PB1 proteins. The PB2 target is essential for the transcription and replication phase in the viral lifecycle allowing the virus to hijack the host cell machinery for viral propagation.
Biological function summary

PB2 protein is part of the heterotrimeric RNA polymerase complex which is critical for the influenza virus's ability to replicate. The polymerase complex includes PA PB1 and PB2 proteins where PB2 protein plays a role in cap-snatching a mechanism to steal host mRNA caps for viral mRNA synthesis. This enables the influenza virus to synthesize its own proteins in the host cytoplasm facilitating efficient viral replication and protein expression.

Pathways

The PB2 protein functions prominently within the viral replication cycle of the influenza A virus. It is intricately linked with the host's mRNA processing pathways as it engages in the cap-snatching mechanism necessary for viral mRNA transcription. PB2 protein works closely with PB1 in the replication pathway where PB1 acts as the RNA-dependent RNA polymerase in conjunction with activities of PB2.

PB2 protein plays a significant role in the pathogenicity of influenza A virus infections in humans and animals. Its interactions are pivotal for the adaptation and virulence of the influenza virus leading to significant morbidity during outbreaks. Mutations in the PB2 gene can relate to species adaptation and increased virulence and the protein's function is important for the virus to overcome host defense mechanisms frequently. PB2 interacts with host proteins to moderate host immune responses making it a target for antiviral drug development and treatment strategies.

产品实验方案

For this product, it's our understanding that no specific protocols are required. You can visit:

靶点信息

Plays an essential role in transcription initiation and cap-stealing mechanism, in which cellular capped pre-mRNAs are used to generate primers for viral transcription. Recognizes and binds the 7-methylguanosine-containing cap of the target pre-RNA which is subsequently cleaved after 10-13 nucleotides by the viral protein PA. Plays a role in the initiation of the viral genome replication and modulates the activity of the ribonucleoprotein (RNP) complex. In addition, participates in the inhibition of type I interferon induction through interaction with and inhibition of the host mitochondrial antiviral signaling protein MAVS.
See full target information PB2

Abcam Product Promise

我们致力于为您的研究提供高质量的试剂,为您科研的每一步提供支持。若我们的产品未能达到预期性能,我们向您提供 Abcam Product Promise 保障。
详情请参阅我们的条款与条件。

关联产品

Select an associated product type
Alternative Version
Primary Antibodies

AB312857

Anti-Influenza A Virus PB2 protein antibody [EPR28249-46] - BSA and Azide free

primary-antibodies

influenza-a-virus-pb2-protein-antibody-epr28249-46-bsa-and-azide-free-ab312857

0

(0 reviews)

Please note: All products are 'FOR RESEARCH USE ONLY. NOT FOR USE IN DIAGNOSTIC OR THERAPEUTIC PROCEDURES'.

For licensing inquiries, please contact partnerships@abcam.com