JavaScript is disabled in your browser. Please enable JavaScript to view this website.
AB313890

Anti-Influenza A Virus M2 Protein 抗体 [EPR28252-11] - BSA and Azide free

Anti-Influenza A Virus M2 Protein antibody [EPR28252-11] - BSA and Azide free

Be the first to review this product! Submit a review

|

(0 Publication)

Rabbit Recombinant Monoclonal M2 antibody. Carrier free. Suitable for I-ELISA, WB, IHC-P, ICC/IF, Flow Cyt (Intra) and reacts with Synthetic peptide - Influenza A, Transfected cell lysate - Influenza A, Transfected cell line - Influenza A samples.

查看别名

Matrix protein 2, Proton channel protein M2, M

6 Images
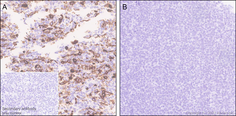
Immunohistochemistry (Formalin/PFA-fixed paraffin-embedded sections) - Anti-Influenza A Virus M2 Protein antibody [EPR28252-11] - BSA and Azide free (AB313890)
  • IHC-P

Supplier Data

Immunohistochemistry (Formalin/PFA-fixed paraffin-embedded sections) - Anti-Influenza A Virus M2 Protein antibody [EPR28252-11] - BSA and Azide free (AB313890)

This data was developed using ab313889, the same antibody clone in a different buffer formulation. Immunohistochemical analysis of paraffin-embedded (A) HEK-293T (human tissue labeling Influenza A Virus M2 Protein with ab313889 at 1/4000 (0.132 µg/ml) followed by a ready to use LeicaDS9800 (Bond™ Polymer Refine Detection). Positive on (A) HEK-293T transfected with an Influenza A virus M2 expression vector containing a myc tag; no staining on (B) HEK-293T transfected with an empty vector. The section was incubated with ab313889 for 30 mins at room temperature. The immunostaining was performed on a Leica Biosystems BOND® RX instrument. Incubate slides with 3% Hydrogen Peroxide for 10 mins at room temperature after secondary antibody incubation to reduce the background. Counterstained with Hematoxylin. Secondary antibody only control : Secondary antibody is a ready to use LeicaDS9800 (Bond™ Polymer Refine Detection).Heat mediated antigen retrieval was performed with Tris-EDTA buffer (pH 9.0, Epitope Retrieval Solution2) for 20 mins

Immunocytochemistry/ Immunofluorescence - Anti-Influenza A Virus M2 Protein antibody [EPR28252-11] - BSA and Azide free (AB313890)
  • ICC/IF

Supplier Data

Immunocytochemistry/ Immunofluorescence - Anti-Influenza A Virus M2 Protein antibody [EPR28252-11] - BSA and Azide free (AB313890)

This data was developed using ab313889, the same antibody clone in a different buffer formulation. Immunofluorescent analysis of 4% Paraformaldehyde-fixed, 0.1% TritonX-100 permeabilized 293T (human embryonic kidney epithelial cell) cells labelling Influenza A Virus M2 Protein with ab313889 at 1/100 (5.26 µg/ml) dilution, followed by ab150081 Goat Anti-Rabbit IgG H&L (Alexa Fluor® 488) preadsorbed antibody at 1/1000 (2 µg/ml) dilution (Green). Confocal image showing membranous and cytoplasmic staining in 293T cells transfected with an Influenza A virus M2 expression vector containing a myc tag. Image was taken with a confocal microscope(Leica-Microsystems, TCS SP8). is observed. ab223894 Anti-Myc tag mouse monoclonal antibody (Alexa Fluor® 594) was used to counterstain at 1/100 (5 µg/ml) dilution (Red). The Nuclear counterstain was DAPI (Blue). Secondary antibody only control : Secondary antibody is ab150081 Goat Anti-Rabbit IgG H&L (Alexa Fluor® 488) preadsorbed at 1/1000 (2 µg/ml) dilution.

Immunohistochemistry (Formalin/PFA-fixed paraffin-embedded sections) - Anti-Influenza A Virus M2 Protein antibody [EPR28252-11] - BSA and Azide free (AB313890)
  • IHC-P

Supplier Data

Immunohistochemistry (Formalin/PFA-fixed paraffin-embedded sections) - Anti-Influenza A Virus M2 Protein antibody [EPR28252-11] - BSA and Azide free (AB313890)

This data was developed using ab313889, the same antibody clone in a different buffer formulation. Immunohistochemical analysis of paraffin-embedded Human cerebrum tissue labeling Influenza A Virus M2 Protein with ab313889 at 1/4000 (0.132 µg/ml) followed by a ready to use LeicaDS9800 (Bond™ Polymer Refine Detection). Negative control : No staining on human cerebrum.The section was incubated with ab313889 for 30 mins at room temperature. The immunostaining was performed on a Leica Biosystems BOND® RX instrument. Incubate slides with 3% Hydrogen Peroxide for 10 mins at room temperature after secondary antibody incubation to reduce the background. Counterstained with Hematoxylin. Secondary antibody only control : Secondary antibody is a ready to use LeicaDS9800 (Bond™ Polymer Refine Detection).Heat mediated antigen retrieval was performed with Tris-EDTA buffer (pH 9.0, Epitope Retrieval Solution2) for 20 mins

Flow Cytometry (Intracellular) - Anti-Influenza A Virus M2 Protein antibody [EPR28252-11] - BSA and Azide free (AB313890)
  • Flow Cyt (Intra)

Supplier Data

Flow Cytometry (Intracellular) - Anti-Influenza A Virus M2 Protein antibody [EPR28252-11] - BSA and Azide free (AB313890)

This data was developed using ab313889, the same antibody clone in a different buffer formulation. Flow cytometric analysis of 4% paraformaldehyde fixed 90% methanol permeabilized 293T (human embryonic kidney epithelial cell) transfected with an Influenza A virus M2 expression vector containing a myc tag cells labelling Influenza A Virus M2 Protein with ab313889 at 1/500 dilution (0.1 ug)/Right compared with a Rabbit monoclonal IgG (ab172730) / Left isotype control and an unlabelled control (cells without incubation with primary antibody and secondary antibody) . A Goat Anti-Rabbit IgG (Alexa Fluor® 488, ab150081) at 1/5000 dilution was used as the secondary antibody. Cells are co-stained with Myc tag conjugated to Alexa Fluor®647.

Indirect ELISA - Anti-Influenza A Virus M2 Protein antibody [EPR28252-11] - BSA and Azide free (AB313890)
  • I-ELISA

Supplier Data

Indirect ELISA - Anti-Influenza A Virus M2 Protein antibody [EPR28252-11] - BSA and Azide free (AB313890)

This data was developed using ab313889, the same antibody clone in a different buffer formulation.

Indirect ELISA analysis of ab313889 at 1000-0 ng/ml. The Secondary antibody used was Alkaline Phosphatase-conjugated AffiniPure Goat Anti-Rabbit IgG (H+L) at 1 : 2500 dilution. Antigen : Influenza A Virus M2 Protein peptide1, Influenza A Virus M2 Protein peptide2. Antigen concentration : 1000 ng/ml

Western blot - Anti-Influenza A Virus M2 Protein antibody [EPR28252-11] - BSA and Azide free (AB313890)
  • WB

Supplier Data

Western blot - Anti-Influenza A Virus M2 Protein antibody [EPR28252-11] - BSA and Azide free (AB313890)

This data was developed using ab313889, the same antibody clone in a different buffer formulation. Blocking and diluting buffer and concentration : 5% NFDM/TBST In Western blot, Anti-GAPDH antibody [EPR16891] - Loading Control (ab181602) staining at 1/200000 dilution. In Western blot, Anti-6X His tag® antibody [EPR20547] - ChIP Grade (ab213204) staining at 1/5000 dilution Exposure time : 59 seconds

All lanes:

Western blot - Anti-Influenza A Virus M2 Protein antibody [EPR28252-11] (<a href='/products/primary-antibodies/influenza-a-virus-m2-protein-antibody-epr28252-11-ab313889'>ab313889</a>) at 1/1000 dilution

Lane 1:

293T (human embryonic kidney epithelial cell) cells transfected with an empty vector containing a His-tag, whole cell lysate at 20 µg

Lane 2:

293T cells transfected with an Influenza A virus M2 expression vector containing a His-tag, whole cell lysate at 20 µg

Secondary

All lanes:

Western blot - Goat Anti-Rabbit IgG H&L (HRP) (<a href='/products/secondary-antibodies/goat-rabbit-igg-h-l-hrp-ab97051'>ab97051</a>) at 1/100000 dilution

Observed band size: 20 kDa

false

Exposure time: 59s

不同偶联物与剂型 (1)

  • Unconjugated

    Anti-Influenza A Virus M2 Protein antibody [EPR28252-11]

关键信息

宿主种属

Rabbit

克隆

Monoclonal

克隆号

EPR28252-11

亚型

IgG

不含载体蛋白

Yes

反应种属

Influenza A

应用

Flow Cyt (Intra), ICC/IF, I-ELISA, IHC-P, WB

applications

免疫原

The exact immunogen used to generate this antibody is proprietary information.

反应性数据

{ "title": "Reactivity Data", "filters": { "stats": ["", "Species", "Dilution Info", "Notes"], "tabs": { "all-applications": {"fullname" : "All Applications", "shortname": "All Applications"}, "IELISA" : {"fullname" : "Indirect ELISA", "shortname":"I-ELISA"}, "IP" : {"fullname" : "Immunoprecipitation", "shortname":"IP"}, "WB" : {"fullname" : "Western blot", "shortname":"WB"}, "IHCP" : {"fullname" : "Immunohistochemistry (Formalin/PFA-fixed paraffin-embedded sections)", "shortname":"IHC-P"}, "ICCIF" : {"fullname" : "Immunocytochemistry/ Immunofluorescence", "shortname":"ICC/IF"}, "FlowCytIntra" : {"fullname" : "Flow Cytometry (Intracellular)", "shortname":"Flow Cyt (Intra)"} }, "product-promise": { "all": "all", "testedAndGuaranteed": "tested", "guaranteed": "expected", "predicted": "predicted", "notRecommended": "not-recommended" } }, "values": { "Influenza A": { "IELISA-species-checked": "predicted", "IELISA-species-dilution-info": "", "IELISA-species-notes": "", "IP-species-checked": "notRecommended", "IP-species-dilution-info": "", "IP-species-notes": "<p></p>", "WB-species-checked": "predicted", "WB-species-dilution-info": "", "WB-species-notes": "", "IHCP-species-checked": "predicted", "IHCP-species-dilution-info": "", "IHCP-species-notes": "", "ICCIF-species-checked": "predicted", "ICCIF-species-dilution-info": "", "ICCIF-species-notes": "", "FlowCytIntra-species-checked": "predicted", "FlowCytIntra-species-dilution-info": "", "FlowCytIntra-species-notes": "" }, "Synthetic peptide - Influenza A": { "IELISA-species-checked": "testedAndGuaranteed", "IELISA-species-dilution-info": "", "IELISA-species-notes": "<p></p>", "IP-species-checked": "notRecommended", "IP-species-dilution-info": "", "IP-species-notes": "", "WB-species-checked": "notRecommended", "WB-species-dilution-info": "", "WB-species-notes": "", "IHCP-species-checked": "notRecommended", "IHCP-species-dilution-info": "", "IHCP-species-notes": "", "ICCIF-species-checked": "notRecommended", "ICCIF-species-dilution-info": "", "ICCIF-species-notes": "", "FlowCytIntra-species-checked": "notRecommended", "FlowCytIntra-species-dilution-info": "", "FlowCytIntra-species-notes": "" }, "Transfected cell line - Influenza A": { "IELISA-species-checked": "notRecommended", "IELISA-species-dilution-info": "", "IELISA-species-notes": "", "IP-species-checked": "notRecommended", "IP-species-dilution-info": "", "IP-species-notes": "", "WB-species-checked": "notRecommended", "WB-species-dilution-info": "", "WB-species-notes": "", "IHCP-species-checked": "testedAndGuaranteed", "IHCP-species-dilution-info": "", "IHCP-species-notes": "<p></p>", "ICCIF-species-checked": "testedAndGuaranteed", "ICCIF-species-dilution-info": "", "ICCIF-species-notes": "<p></p>", "FlowCytIntra-species-checked": "testedAndGuaranteed", "FlowCytIntra-species-dilution-info": "", "FlowCytIntra-species-notes": "<p></p>" }, "Transfected cell lysate - Influenza A": { "IELISA-species-checked": "notRecommended", "IELISA-species-dilution-info": "", "IELISA-species-notes": "", "IP-species-checked": "notRecommended", "IP-species-dilution-info": "", "IP-species-notes": "", "WB-species-checked": "testedAndGuaranteed", "WB-species-dilution-info": "", "WB-species-notes": "<p></p>", "IHCP-species-checked": "notRecommended", "IHCP-species-dilution-info": "", "IHCP-species-notes": "", "ICCIF-species-checked": "notRecommended", "ICCIF-species-dilution-info": "", "ICCIF-species-notes": "", "FlowCytIntra-species-checked": "notRecommended", "FlowCytIntra-species-dilution-info": "", "FlowCytIntra-species-notes": "" } } }

产品详情

ab313890 is the carrier-free version of ab313889.

Patented technology
Our RabMAb® technology is a patented hybridoma-based technology for making rabbit monoclonal antibodies. For details on our patents, please refer to RabMAb® patents.

What are the advantages of a recombinant monoclonal antibody?
This product is a recombinant monoclonal antibody, which offers several advantages including:

  • - High batch-to-batch consistency and reproducibility
  • - Improved sensitivity and specificity
  • - Long-term security of supply
  • - Animal-free batch production

For more information, read more on recombinant antibodies.

Conjugation ready
Our carrier-free antibodies are typically supplied in a PBS-only formulation, purified and free of BSA, sodium azide and glycerol. This conjugation-ready format is designed for use with fluorochromes, metal isotopes, oligonucleotides, and enzymes, which makes them ideal for antibody labelling, functional and cell-based assays, flow-based assays (e.g. mass cytometry) and Multiplex Imaging applications.

Use our conjugation kits for antibody conjugates that are ready-to-use in as little as 20 minutes with 1 minute hands-on-time and 100% antibody recovery: available for fluorescent dyes, HRP, biotin and gold.

Compatibility
This product is compatible with the Maxpar® Antibody Labeling Kit from Fluidigm, without the need for antibody preparation. Maxpar® is a trademark of Fluidigm Canada Inc.

性能和储存信息

形式
Liquid
纯化工艺
Affinity purification Protein A
存储溶液
pH: 7.2 - 7.4 Constituents: PBS
运输条件
Blue Ice
推荐的短期储存条件
+4°C
推荐的长期储存条件
+4°C

补充信息

This supplementary information is collated from multiple sources and compiled automatically.

The Influenza A Virus M2 Protein also known as M2 ion channel or matrix protein 2 plays an essential role in the viral life cycle. This protein has a mass of approximately 97 amino acids and is expressed on the envelope of the Influenza A virus. It functions as a proton-selective channel facilitating the acidification of the viral interior after the virus enters the host cell. This acidification process is important for the uncoating of the viral genome allowing subsequent replication of the virus in host cells.
Biological function summary

The M2 protein from Influenza A virus participates in virus assembly budding and release. The protein operates as a tetramer creating a channel across the viral membrane. This channel is essential for the correct function and structure of the virus playing an important role in membrane fusion and release of the viral particles. It often works in conjunction with another matrix protein M1 which assists in stabilizing the integrity of the viral structure.

Pathways

The M2 Influenza protein is integral to the viral replication and assembly pathway. It aligns with the function of the viral ribonucleoprotein complex and is significant in the viral entry and exit pathways. Additionally the connection to the M1 matrix protein highlights its coordinated role in facilitating the assembly and release of new virions from the infected cells emphasizing its necessity in productive viral replication.

The Influenza A virus M2 protein is directly related to the pathogenesis of seasonal influenza. Antiviral drugs like amantadine and rimantadine target this ion channel to disrupt viral replication. Resistance mutations in the M2 protein can influence the efficacy of these drugs impacting treatment outcomes. There is also a link with immune system responses where M2 interactions with other viral proteins can modulate host immune evasion mechanisms.

产品实验方案

For this product, it's our understanding that no specific protocols are required. You can visit:

靶点信息

Forms a proton-selective ion channel that is necessary for the efficient release of the viral genome during virus entry. After attaching to the cell surface, the virion enters the cell by endocytosis. Acidification of the endosome triggers M2 ion channel activity. The influx of protons into virion interior is believed to disrupt interactions between the viral ribonucleoprotein (RNP), matrix protein 1 (M1), and lipid bilayers, thereby freeing the viral genome from interaction with viral proteins and enabling RNA segments to migrate to the host cell nucleus, where influenza virus RNA transcription and replication occur. Also plays a role in viral proteins secretory pathway. Elevates the intravesicular pH of normally acidic compartments, such as trans-Golgi network, preventing newly formed hemagglutinin from premature switching to the fusion-active conformation.
See full target information M

Abcam Product Promise

我们致力于为您的研究提供高质量的试剂,为您科研的每一步提供支持。若我们的产品未能达到预期性能,我们向您提供 Abcam Product Promise 保障。
详情请参阅我们的条款与条件。

Please note: All products are 'FOR RESEARCH USE ONLY. NOT FOR USE IN DIAGNOSTIC OR THERAPEUTIC PROCEDURES'.

For licensing inquiries, please contact partnerships@abcam.com