JavaScript is disabled in your browser. Please enable JavaScript to view this website.
AB131158

重组Anti-IMPDH2抗体[EPR8364(B)]

Anti-IMPDH2 antibody [EPR8364(B)]

4

(1 Review)

|

(21 Publications)

Rabbit Recombinant Monoclonal IMPDH2 antibody. Suitable for IHC-P, WB, ICC/IF and reacts with Human samples. Cited in 21 publications.

查看别名

IMPD2, IMPDH2, Inosine-5'-monophosphate dehydrogenase 2, IMP dehydrogenase 2, IMPD 2, IMPDH 2, Inosine-5'-monophosphate dehydrogenase type II, IMP dehydrogenase II, IMPDH-II

5 Images
Immunocytochemistry/ Immunofluorescence - Anti-IMPDH2 antibody [EPR8364(B)] (AB131158)
  • ICC/IF

Lab

Immunocytochemistry/ Immunofluorescence - Anti-IMPDH2 antibody [EPR8364(B)] (AB131158)

ab131158 staining IMPDH2 in K562 (human chronic myelogenous leukemia) cells by ICC/IF (Immunocytochemistry/immunofluorescence). Cells were fixed with 4% PFA and permeabilized with 0.1% triton X-100. Samples were incubated with primary antibody at a dilution of 1/500. A goat anti rabbit IgG (Alexa Fluor® 488) (ab150077) was used as the secondary antibody at a dilution of 1/1000.

DAPI was used as a nuclear counterstain and the negative control was PBS only.

Immunohistochemistry (Formalin/PFA-fixed paraffin-embedded sections) - Anti-IMPDH2 antibody [EPR8364(B)] (AB131158)
  • IHC-P

Unknown

Immunohistochemistry (Formalin/PFA-fixed paraffin-embedded sections) - Anti-IMPDH2 antibody [EPR8364(B)] (AB131158)

Immunohistochemical analysis of paraffin-embedded Human colon tissue labelling IMPDH2 with ab131158 at 1/100 dilution.

Perform heat mediated antigen retrieval with citrate buffer pH 6 before commencing with IHC staining protocol.

Western blot - Anti-IMPDH2 antibody [EPR8364(B)] (AB131158)
  • WB

Unknown

Western blot - Anti-IMPDH2 antibody [EPR8364(B)] (AB131158)

All lanes:

Western blot - Anti-IMPDH2 antibody [EPR8364(B)] (ab131158) at 1/1000 dilution

Lane 1:

K562 cell lysate

Lane 2:

HepG2 cell lysate

Lane 3:

HeLa cell lysate

Lane 4:

NCI-H460 cell lysate

Predicted band size: 56 kDa

false

Western blot - Anti-IMPDH2 antibody [EPR8364(B)] (AB131158)
  • WB

Supplier Data

Western blot - Anti-IMPDH2 antibody [EPR8364(B)] (AB131158)

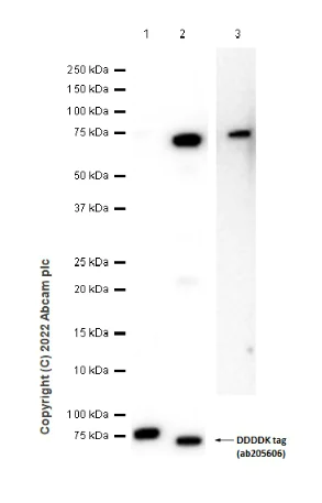
Blocking and dilution buffer : 5% NFDM/TBST. Exposure times : Lane 1&2 : 5 seconds Lane 3 : 180 seconds. This antibody shows very faint band when testing IMPDH1 recombinant protein in WB test

All lanes:

Western blot - Anti-IMPDH2 antibody [EPR8364(B)] (ab131158) at 1/1000 dilution

Lanes 1 and 3:

C-Myc/DDK tagged full length IMPDH1 Human Recombinant Protein

Lane 2:

C-Myc/DDK tagged full length IMPDH2 Human Recombinant Protein

Predicted band size: 56 kDa

Observed band size: 75 kDa

false

OI-RD Scanning - Anti-IMPDH2 antibody [EPR8364(B)] (AB131158)
  • OI-RD Scanning

Unknown

OI-RD Scanning - Anti-IMPDH2 antibody [EPR8364(B)] (AB131158)

We have systematically measured KD (the equilibrium dissociation constant between the antibody and its antigen), of more than 840 recombinant antibodies to assess not only their individual KD values but also to see the average affinity of antibody. Based on the comparison with published literature values for mouse monoclonal antibodies, Recombinant antibodies appear to be on average 1-2 order of magnitude higher affinity.

不同偶联物与剂型 (3)

关键信息

宿主种属

Rabbit

克隆

Monoclonal

克隆号

EPR8364(B)

亚型

IgG

不含载体蛋白

No

反应种属

Human

应用

IHC-P, ICC/IF, WB

applications

免疫原

The exact immunogen used to generate this antibody is proprietary information.

特异性

The immunogen used to raise this antibody shares 79% homology with Human IMPDH1.

This antibody shows very faint band when testing IMPDH1 recombinant protein in WB test.

反应性数据

{ "title": "Reactivity Data", "filters": { "stats": ["", "Species", "Dilution Info", "Notes"], "tabs": { "all-applications": {"fullname" : "All Applications", "shortname": "All Applications"}, "IHCP" : {"fullname" : "Immunohistochemistry (Formalin/PFA-fixed paraffin-embedded sections)", "shortname":"IHC-P"}, "WB" : {"fullname" : "Western blot", "shortname":"WB"}, "ICCIF" : {"fullname" : "Immunocytochemistry/ Immunofluorescence", "shortname":"ICC/IF"} }, "product-promise": { "all": "all", "testedAndGuaranteed": "tested", "guaranteed": "expected", "predicted": "predicted", "notRecommended": "not-recommended" } }, "values": { "Human": { "IHCP-species-checked": "testedAndGuaranteed", "IHCP-species-dilution-info": "1/100 - 1/250", "IHCP-species-notes": "<p></p>", "WB-species-checked": "testedAndGuaranteed", "WB-species-dilution-info": "1/1000 - 1/10000", "WB-species-notes": "<p></p>", "ICCIF-species-checked": "testedAndGuaranteed", "ICCIF-species-dilution-info": "1/100 - 1/250", "ICCIF-species-notes": "<p></p>" }, "Mouse": { "IHCP-species-checked": "predicted", "IHCP-species-dilution-info": "", "IHCP-species-notes": "", "WB-species-checked": "predicted", "WB-species-dilution-info": "", "WB-species-notes": "", "ICCIF-species-checked": "predicted", "ICCIF-species-dilution-info": "", "ICCIF-species-notes": "" }, "Rat": { "IHCP-species-checked": "predicted", "IHCP-species-dilution-info": "", "IHCP-species-notes": "", "WB-species-checked": "predicted", "WB-species-dilution-info": "", "WB-species-notes": "", "ICCIF-species-checked": "predicted", "ICCIF-species-dilution-info": "", "ICCIF-species-notes": "" } } }

产品详情

Patented technology
Our RabMAb® technology is a patented hybridoma-based technology for making rabbit monoclonal antibodies. For details on our patents, please refer to RabMAb® patents.

What are the advantages of a recombinant monoclonal antibody?
This product is a recombinant monoclonal antibody, which offers several advantages including:

  • - High batch-to-batch consistency and reproducibility
  • - Improved sensitivity and specificity
  • - Long-term security of supply
  • - Animal-free batch production

For more information, read more on recombinant antibodies.

性能和储存信息

形式
Liquid
纯化工艺
Affinity purification Protein A
存储溶液
pH: 7.2 - 7.4 Preservative: 0.01% Sodium azide Constituents: PBS, 50% Tissue culture supernatant, 40% Glycerol (glycerin, glycerine), 0.05% BSA
运输条件
Blue Ice
推荐的短期储存条件
+4°C
推荐的长期储存条件
-20°C
储存信息
Stable for 12 months at -20°C

补充信息

This supplementary information is collated from multiple sources and compiled automatically.

IMPDH2 also known as inosine monophosphate dehydrogenase 2 plays an important role in the de novo synthesis of guanine nucleotides. This enzyme with a molecular mass of approximately 56 kDa catalyzes the conversion of inosine monophosphate (IMP) to xanthosine monophosphate (XMP) an important step in the nucleotide biosynthesis. IMPDH2 is expressed in various tissues across the body with high expression in proliferating cells due to increased nucleotide requirements.
Biological function summary

IMPDH2 functions as a homotetramer forming part of a larger complex that regulates nucleotide levels. This regulation is critical for cell growth differentiation and proliferation. IMPDH2 activity drives the synthesis of guanine nucleotides which are essential for DNA and RNA synthesis influencing cellular communication and energy transfer.

Pathways

The target IMPDH2 has a significant role in the purine nucleotide biosynthesis pathway aligning with other enzymes like GMP synthetase. This pathway is critical in maintaining cellular nucleotide pools. IMPDH2’s activity closely interacts with guanosine monophosphate reductase within the same pathway ensuring the balance between different types of nucleotides necessary for various cellular processes.

Aberrations in IMPDH2 activity link to immunological diseases and cancer. Overexpression or upregulation of this enzyme contributes to the rapid proliferation seen in cancerous cells by maintaining high guanine nucleotide levels. Additionally IMPDH2 serves as a target for immunosuppressive drugs used in autoimmune conditions highlighting its relationship with T- and B-cell proliferation. This positions IMPDH2 in therapeutic strategies alongside its pathway partners to modulate disease outcomes.

产品实验方案

For this product, it's our understanding that no specific protocols are required. You can visit:

靶点信息

Catalyzes the conversion of inosine 5'-phosphate (IMP) to xanthosine 5'-phosphate (XMP), the first committed and rate-limiting step in the de novo synthesis of guanine nucleotides, and therefore plays an important role in the regulation of cell growth (PubMed : 7763314, PubMed : 7903306). Could also have a single-stranded nucleic acid-binding activity and could play a role in RNA and/or DNA metabolism (PubMed : 14766016). It may also have a role in the development of malignancy and the growth progression of some tumors.
See full target information IMPDH2

文献 (21)

Recent publications for all applications. Explore the full list and refine your search

Emerging microbes & infections 14:2447620 PubMed39745173

2025

SARS-CoV-2 and HCoV-OC43 regulate host m6A modification via activation of the mTORC1 signalling pathway to facilitate viral replication.

Applications

Unspecified application

Species

Unspecified reactive species

Shixiong Zhou,Xianfeng Hui,Weiwei Wang,Chunbei Zhao,Meilin Jin,Yali Qin,Mingzhou Chen

Nature communications 15:9515 PubMed39532854

2024

Nuclear IMPDH2 controls the DNA damage response by modulating PARP1 activity.

Applications

Unspecified application

Species

Unspecified reactive species

Lorena Espinar,Marta Garcia-Cao,Alisa Schmidt,Savvas Kourtis,Antoni Gañez Zapater,Carla Aranda-Vallejo,Ritobrata Ghose,Laura Garcia-Lopez,Ilir Sheraj,Natalia Pardo-Lorente,Marina Bantulà,Laura Pascual-Reguant,Evangelia Darai,Maria Guirola,Joan Montero,Sara Sdelci

The Journal of experimental medicine 221: PubMed39470689

2024

IMPA1-derived inositol maintains stemness in castration-resistant prostate cancer via IMPDH2 activation.

Applications

Unspecified application

Species

Unspecified reactive species

Che-Chia Hsu,Guihua Wang,Chien-Feng Li,Xian Zhang,Zhen Cai,Tingjin Chen,Bo-Syong Pan,Rajesh Kumar Manne,Gagan Deep,Haiwei Gu,Yuzhuo Wang,Danni Peng,Vasudevarao Penugurti,Xiaobo Zhou,Zhigang Xu,Zhongzhu Chen,Ming Chen,Andrew J Armstrong,Jiaoti Huang,Hong-Yu Li,Hui-Kuan Lin

Journal of translational medicine 22:133 PubMed38310229

2024

Wnt/β-catenin signalling activates IMPDH2-mediated purine metabolism to facilitate oxaliplatin resistance by inhibiting caspase-dependent apoptosis in colorectal cancer.

Applications

Unspecified application

Species

Unspecified reactive species

Yuting Huang,Szehoi Chan,Shuna Chen,Xueqi Liu,Miao Li,Liyuan Zheng,Zhaoxia Dong,Ziyi Yang,Zixuan Liu,Disheng Zhou,Xingding Zhang,Bo Zhang

Microbiology spectrum 11:e0044023 PubMed37409959

2023

Growth Transformation of B Cells by Epstein-Barr Virus Requires Induction and Nucleolar Hypertrophy.

Applications

Unspecified application

Species

Unspecified reactive species

Atsuko Sugimoto,Takahiro Watanabe,Kazuhiro Matsuoka,Yusuke Okuno,Yusuke Yanagi,Yohei Narita,Seiyo Mabuchi,Hiroyuki Nobusue,Eiji Sugihara,Masaya Hirayama,Tomihiko Ide,Takanori Onouchi,Yoshitaka Sato,Teru Kanda,Hideyuki Saya,Yasumasa Iwatani,Hiroshi Kimura,Takayuki Murata

International journal of biological sciences 19:2599-2612 PubMed37215997

2023

LncRNA UCA1 Participates in De Novo Synthesis of Guanine Nucleotides in Bladder Cancer by Recruiting TWIST1 to Increase IMPDH1/2.

Applications

Unspecified application

Species

Unspecified reactive species

Shan-Shan Liu,Jia-Shu Li,Mei Xue,Wen-Jing Wu,Xu Li,Wei Chen

Journal of cell science 135: PubMed35635291

2022

Unconventional tonicity-regulated nuclear trafficking of NFAT5 mediated by KPNB1, XPOT and RUVBL2.

Applications

Unspecified application

Species

Unspecified reactive species

Chris Y Cheung,Ting-Ting Huang,Ning Chow,Shuqi Zhang,Yanxiang Zhao,Mary P Chau,Wing Cheung Chan,Catherine C L Wong,Daniela Boassa,Sebastien Phan,Mark H Ellisman,John R Yates,SongXiao Xu,Zicheng Yu,Yajing Zhang,Rui Zhang,Ling Ling Ng,Ben C B Ko

Drug delivery 29:1243-1256 PubMed35416106

2022

A recombinant scFv antibody-based fusion protein that targets EGFR associated with IMPDH2 downregulation and its drug conjugate show therapeutic efficacy against esophageal cancer.

Applications

Unspecified application

Species

Unspecified reactive species

Shiming He,Chunyan Zhao,Hongyu Tao,Weijin Sheng,Ruijuan Gao,Xiujun Liu,Yongsu Zhen

ACS omega 7:11839-11852 PubMed35449961

2022

Integrative Proteome and Ubiquitinome Analyses Reveal the Substrates of BTBD9 and Its Underlying Mechanism in Sleep Regulation.

Applications

Unspecified application

Species

Unspecified reactive species

Zhenfei Gao,Anzhao Wang,Yongxu Zhao,Xiaoxu Zhang,Xiangshan Yuan,Niannian Li,Chong Xu,Shenming Wang,Yaxin Zhu,Jingyu Zhu,Jian Guan,Feng Liu,Shankai Yin

Scientific reports 11:10887 PubMed34035425

2021

IMPDH2 and HPRT expression and a prognostic significance in preoperative and postoperative patients with osteosarcoma.

Applications

Unspecified application

Species

Unspecified reactive species

Parunya Chaiyawat,Areerak Phanphaisarn,Nutnicha Sirikaew,Jeerawan Klangjorhor,Viraporn Thepbundit,Pimpisa Teeyakasem,Phichayut Phinyo,Dumnoensun Pruksakorn,Jongkolnee Settakorn
View all publications

Abcam Product Promise

我们致力于为您的研究提供高质量的试剂,为您科研的每一步提供支持。若我们的产品未能达到预期性能,我们向您提供 Abcam Product Promise 保障。
详情请参阅我们的条款与条件。

Please note: All products are 'FOR RESEARCH USE ONLY. NOT FOR USE IN DIAGNOSTIC OR THERAPEUTIC PROCEDURES'.

For licensing inquiries, please contact partnerships@abcam.com