JavaScript is disabled in your browser. Please enable JavaScript to view this website.
AB115207

Anti-IL-24抗体

Anti-IL-24 antibody

Be the first to review this product! Submit a review

|

(6 Publications)

Rabbit Polyclonal IL-24 antibody. Suitable for IHC-P, WB, Flow Cyt (Intra) and reacts with Human samples. Cited in 6 publications. Immunogen corresponding to Synthetic Peptide within Human IL24 aa 100-150 conjugated to Keyhole Limpet Haemocyanin.

查看别名

MDA7, ST16, IL24, Interleukin-24, IL-24, Melanoma differentiation-associated gene 7 protein, Suppression of tumorigenicity 16 protein, MDA-7

4 Images
Flow Cytometry (Intracellular) - Anti-IL-24 antibody (AB115207)
  • Flow Cyt (Intra)

Unknown

Flow Cytometry (Intracellular) - Anti-IL-24 antibody (AB115207)

Fow cytometry analysis of IL24 in Jurkat cells using ab115207at 5μg/106 cells. The shaded histogram represents cells only, green represents isotype control, and pink represents anti-IL24 antibody.

Immunohistochemistry (Formalin/PFA-fixed paraffin-embedded sections) - Anti-IL-24 antibody (AB115207)
  • IHC-P

Unknown

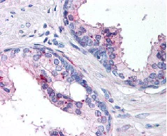
Immunohistochemistry (Formalin/PFA-fixed paraffin-embedded sections) - Anti-IL-24 antibody (AB115207)

Immunohistochemical analysis of formalin-fixed, paraffin-embedded Human prostate tissue, staining IL24 with ab114207 at 10 µg/ml.

Western blot - Anti-IL-24 antibody (AB115207)
  • WB

Unknown

Western blot - Anti-IL-24 antibody (AB115207)

All lanes:

Western blot - Anti-IL-24 antibody (ab115207) at 0.5 µg/mL

Lane 1:

Jurkat cell lysate

Lane 2:

Jurkat cell lysate with IL24 blocking peptide

Predicted band size: 23 kDa

false

Western blot - Anti-IL-24 antibody (AB115207)
  • WB

CiteAb

Western blot - Anti-IL-24 antibody (AB115207)

IL-24 western blot using anti-IL-24 antibody ab115207. Publication image and figure legend from Margaryan, N. V., Gilgur, A., et al., 2016, Int J Mol Sci, PubMed 27011171.

ab115207 was used in this publication in western blot. This may not be the same as the application(s) guaranteed by Abcam. For a full list of applications guaranteed by Abcam for ab115207 please see the product overview.

Effect of treatment of C8161 melanoma cells with HeMn melanocyte conditioned medium (HeMn-CM). (A) C8161 cells treated with HeMn-CM show morphologic changes such as dendritic shape with long cytoplasmic extensions reminiscent of melanocyte differentiation. (40× original magnification); (B) Although, Melanoma Differentiation Associated protein 7 (MDA-7) was detected in C8161 cells treated with HeMn-CM, the melanin synthesis associated enzyme tyrosinase was not; (C) C8161 cells treated with HeMn-CM showed similar proliferation rate and cell viability as non-treated control C8161 cells making potential toxic effect of HeMn-CM on C8161 unlikely; (D) Western blot analysis show that HeMn-CM treated C8161 express lower levels of Nodal, P-SMAD2 and P-ERK1/2 compared to untreated control C8161 cells. Numbers below WB bands represent densitometric units, normalized to actin loading control, total SMAD2/3 or total ERK1/2, as appropriate, relative to control.

false

关键信息

宿主种属

Rabbit

克隆

Polyclonal

亚型

IgG

不含载体蛋白

No

反应种属

Human

应用

Flow Cyt (Intra), IHC-P, WB

applications

免疫原

Synthetic Peptide within Human IL24 aa 100-150 conjugated to Keyhole Limpet Haemocyanin. The exact immunogen used to generate this antibody is proprietary information.

Q13007

反应性数据

{ "title": "Reactivity Data", "filters": { "stats": ["", "Species", "Dilution Info", "Notes"], "tabs": { "all-applications": {"fullname" : "All Applications", "shortname": "All Applications"}, "IHCP" : {"fullname" : "Immunohistochemistry (Formalin/PFA-fixed paraffin-embedded sections)", "shortname":"IHC-P"}, "WB" : {"fullname" : "Western blot", "shortname":"WB"}, "FlowCytIntra" : {"fullname" : "Flow Cytometry (Intracellular)", "shortname":"Flow Cyt (Intra)"} }, "product-promise": { "all": "all", "testedAndGuaranteed": "tested", "guaranteed": "expected", "predicted": "predicted", "notRecommended": "not-recommended" } }, "values": { "Human": { "IHCP-species-checked": "testedAndGuaranteed", "IHCP-species-dilution-info": "10 µg/mL", "IHCP-species-notes": "<p>After incubation with the primary antibody, slides are incubated with biotinylated rabbit anti-goat IgG secondary antibody followed by alkaline phosphatase-streptavidin and chromogen.</p> Perform heat-mediated antigen retrieval with citrate buffer pH 6 before commencing with IHC staining protocol.", "WB-species-checked": "testedAndGuaranteed", "WB-species-dilution-info": "0.5-5 µg/mL", "WB-species-notes": "<p></p>", "FlowCytIntra-species-checked": "testedAndGuaranteed", "FlowCytIntra-species-dilution-info": "", "FlowCytIntra-species-notes": "<p><a href='/products/primary-antibodies/rabbit-igg-polyclonal-isotype-control-chip-grade-ab171870'>ab171870</a> - Rabbit polyclonal IgG, is suitable for use as an isotype control with this antibody.</p>" } } }

性能和储存信息

形式
Liquid
纯化工艺
Affinity purification Protein G
存储溶液
Preservative: 0.05% Sodium azide Constituents: PBS, 0.2% Gelatin
运输条件
Blue Ice
推荐的短期储存时间
1-2 weeks
推荐的短期储存条件
+4°C
推荐的长期储存条件
-20°C
分装信息
Upon delivery aliquot
储存信息
Avoid freeze / thaw cycle

产品实验方案

For this product, it's our understanding that no specific protocols are required. You can visit:

靶点信息

Multifunctional cytokine mainly produced by T-cells that plays a regulatory role in immune response, tissue homeostasis, host defense, and oncogenesis (PubMed : 25168428, PubMed : 27687232). Possesses antiviral functions and induces the type I interferon response during influenza infection (PubMed : 27687232). Signals through two receptor complexes IL20RA/IL20RB or IL20RB/IL22RA1 (PubMed : 11706020, PubMed : 30111632). In turn, stimulates the JAK1-STAT3 and MAPK pathways and promotes the secretion of pro-inflammatory mediators including IL8 and MMP1 (PubMed : 25168428). Intracellularly, maintains endoplasmic reticulum homeostasis by restricting the eIF2alpha-CHOP pathway-mediated stress signal (By similarity). In addition, acts as a quality control mechanism for the ubiquitin proteasome system by alerting the cell to proteasome dysfunction through activation of PKR/EIF2AK2 (By similarity).
See full target information IL24

文献 (6)

Recent publications for all applications. Explore the full list and refine your search

Cureus 16:e64441 PubMed39007024

2024

Immunohistochemical Analysis of IL-19 and IL-24 Expression in Inflammatory Bowel Disease (IBD) Patients: Results From a Single Center Retrospective Study.

Applications

Unspecified application

Species

Unspecified reactive species

Alexandros Toskas,Stephanos Milias,Georgios Delis,Soultana Meditskou,Antonia Sioga,Sofia Karachrysafi,Theodora Papamitsou

Journal of clinical periodontology 51:196-208 PubMed38088448

2023

Single-cell sequencing identifies inflammation-promoting fibroblast-neutrophil interaction in peri-implantitis.

Applications

Unspecified application

Species

Unspecified reactive species

Jia-Ji Mo,Yi-Rao Lai,Qian-Ru Huang,Yin-Ran Li,Yi-Jie Zhang,Rui-Ying Chen,Shu-Jiao Qian

International journal of molecular sciences 22: PubMed33562773

2021

Hiltonol Cocktail Kills Lung Cancer Cells by Activating Cancer-Suppressors, PKR/OAS, and Restraining the Tumor Microenvironment.

Applications

Unspecified application

Species

Unspecified reactive species

Shu-Chun Chang,Bo-Xiang Zhang,Emily Chia-Yu Su,Wei-Ciao Wu,Tsung-Han Hsieh,Andres M Salazar,Yen-Kuang Lin,Jeak Ling Ding

Cancer cell international 20:33 PubMed32015693

2020

Mesenchymal stem cells derived from iPSCs expressing interleukin-24 inhibit the growth of melanoma in the tumor-bearing mouse model.

Applications

Unspecified application

Species

Unspecified reactive species

Zheng Wu,Wei Liu,Zujia Wang,Baitao Zeng,Guangnan Peng,Hongyan Niu,Linlin Chen,Cong Liu,Qian Hu,Yuxuan Zhang,Mengmeng Pan,Lingqian Wu,Mujun Liu,Xionghao Liu,Desheng Liang

Translational oncology 12:453-461 PubMed30580153

2018

Tumor-Penetrating Peptide Enhances Antitumor Effects of IL-24 Against Prostate Cancer.

Applications

Unspecified application

Species

Unspecified reactive species

Jie Yang,Hong Yin,Jie Yang,Yanhong Wei,Lin Fang,Dafei Chai,Qing Zhang,Junnian Zheng

International journal of molecular sciences 17:418 PubMed27011171

2016

Melanocytes Affect Nodal Expression and Signaling in Melanoma Cells: A Lesson from Pediatric Large Congenital Melanocytic Nevi.

Applications

WB

Species

Unspecified reactive species

Naira V Margaryan,Alina Gilgur,Elisabeth A Seftor,Chad Purnell,Nicoleta C Arva,Arun K Gosain,Mary J C Hendrix,Luigi Strizzi
View all publications

Abcam Product Promise

我们致力于为您的研究提供高质量的试剂,为您科研的每一步提供支持。若我们的产品未能达到预期性能,我们向您提供 Abcam Product Promise 保障。
详情请参阅我们的条款与条件。

Please note: All products are 'FOR RESEARCH USE ONLY. NOT FOR USE IN DIAGNOSTIC OR THERAPEUTIC PROCEDURES'.

For licensing inquiries, please contact partnerships@abcam.com